Study of the Normal Crested Porcupine (Hystrix cristata) Nasal Cavity and Paranasal Sinuses by Cross-Sectional Anatomy and Computed Tomography
Simple Summary
Abstract
1. Introduction
2. Materials and Methods
2.1. Animals
2.2. CT Technique
2.3. Anatomic Evaluation
3. Results
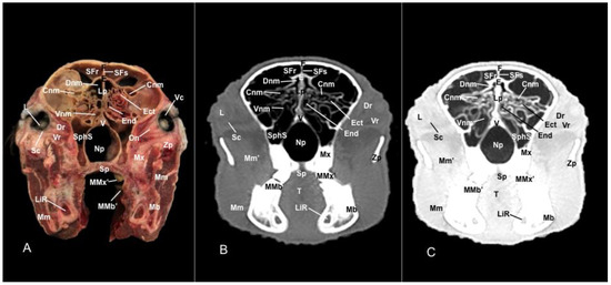
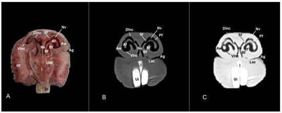
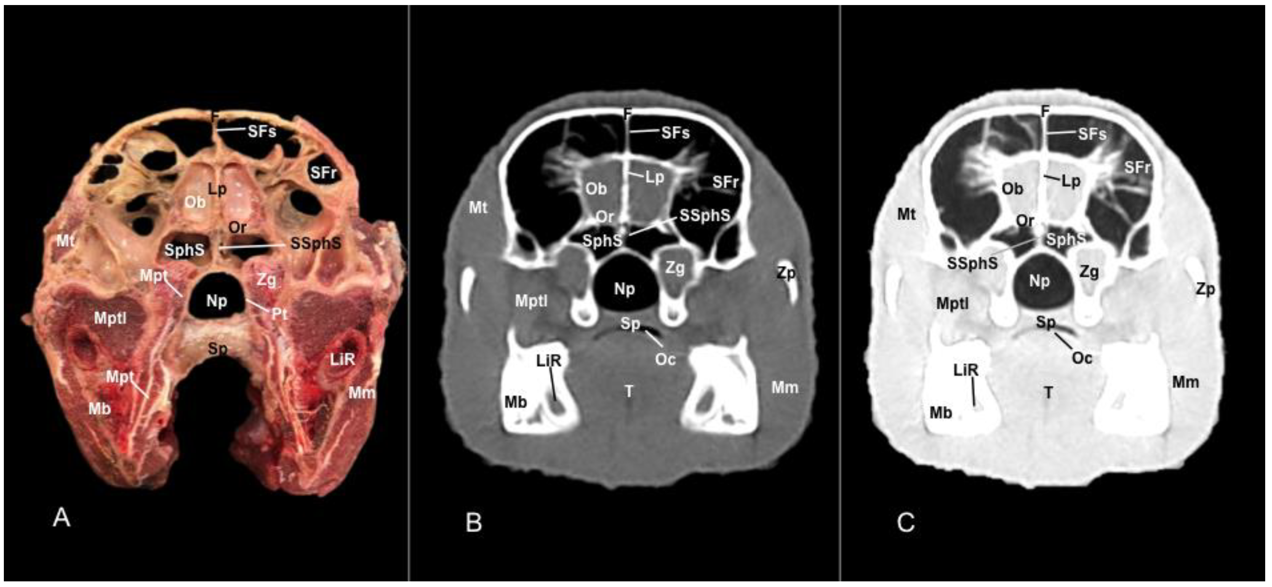
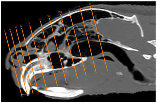
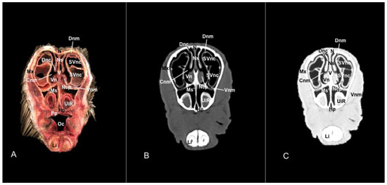
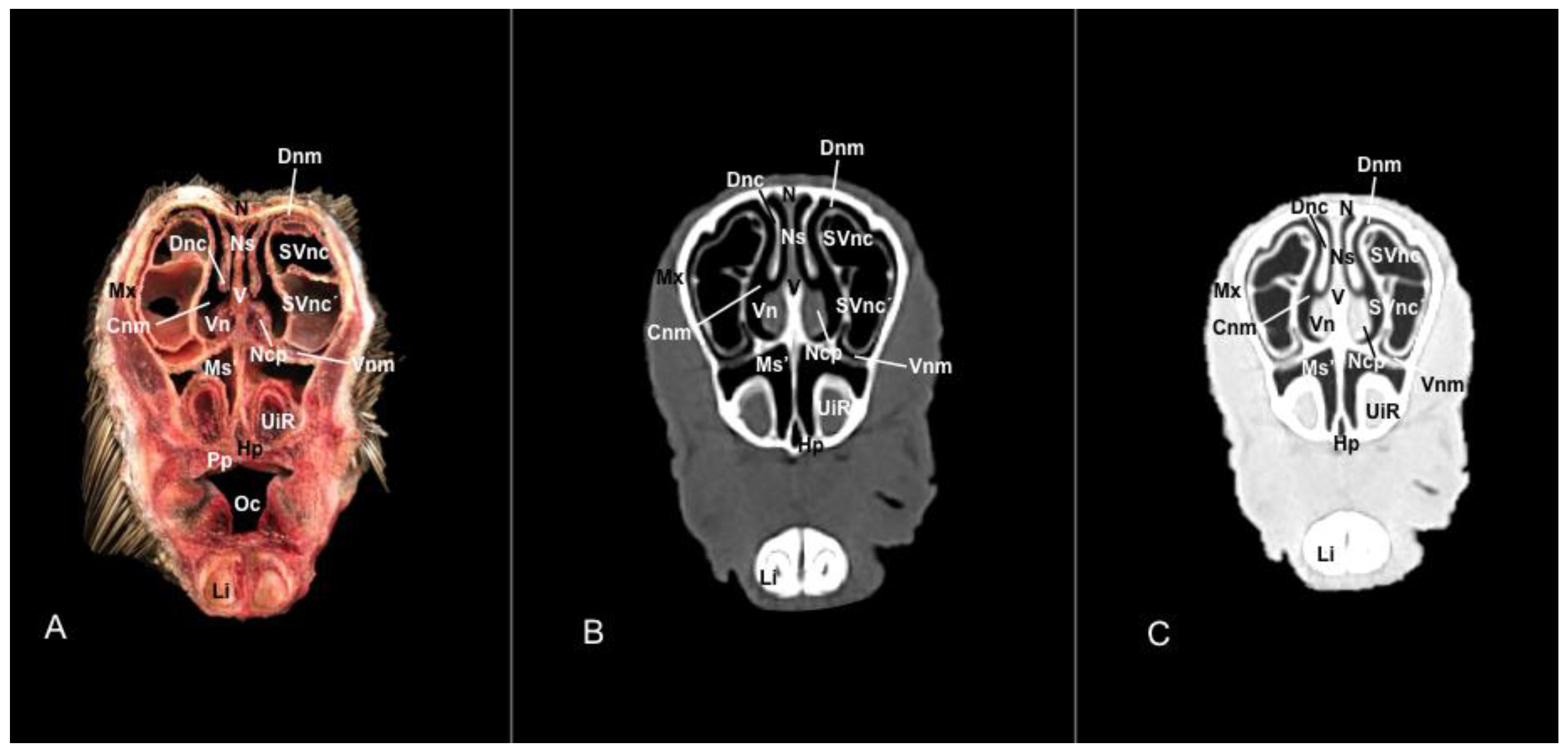
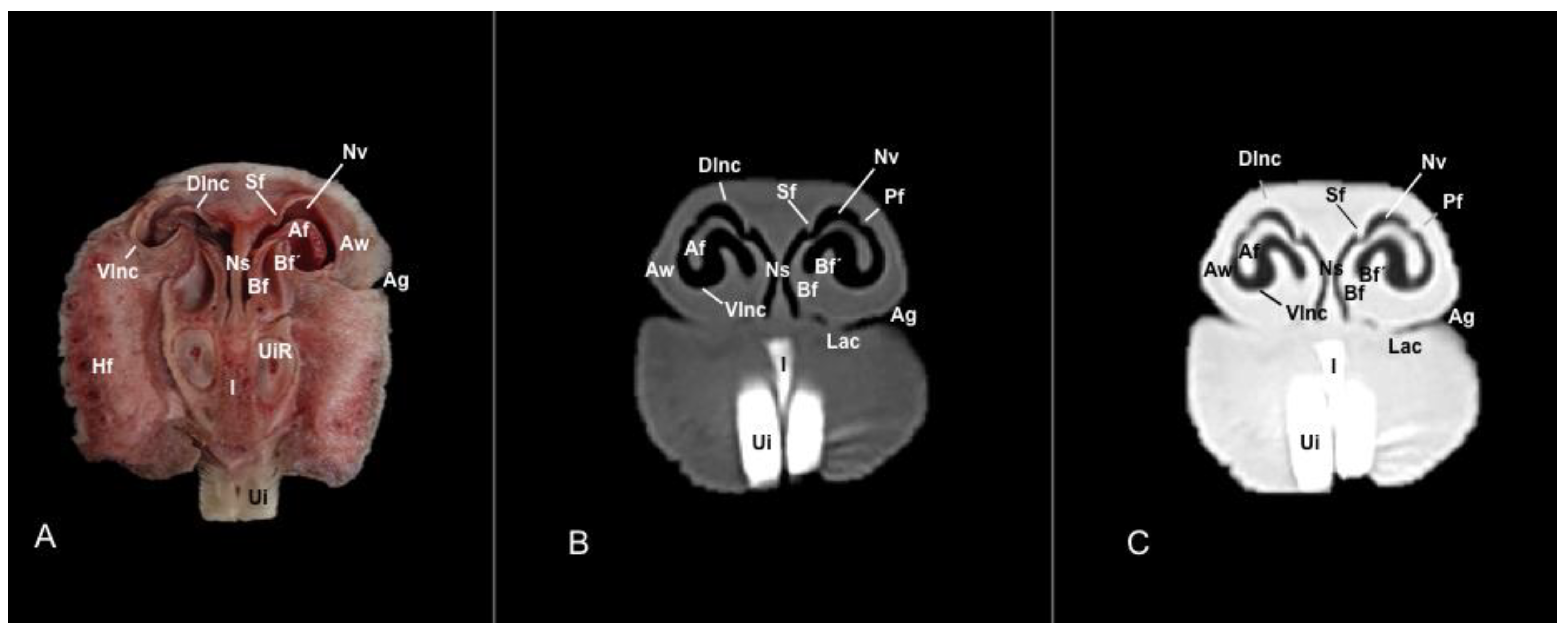
3.1. Anatomical Sections
3.2. Computed Tomography (CT)
4. Discussion
5. Conclusions
Author Contributions
Funding
Institutional Review Board Statement
Informed Consent Statement
Data Availability Statement
Acknowledgments
Conflicts of Interest
References
- Amori, G.; De Smet, K. Hystrix cristata. In IUCN Red List of Threatened Species; 2016; e.T10746A22232484. Available online: https://www.iucnredlist.org/species/10746/22232484 (accessed on 23 June 2024).
- Wilson, D.E.; Reeder, D.M. (Eds.) Species Hystrix (Hystrix) cristata. In Mammal Species of the World: A Taxonomic and Geographic Reference, 3rd ed.; Johns Hopkins University Press: Baltimore, MA, USA, 2005; p. 1543. [Google Scholar]
- Angelici, F.M.; Colangelo, P.; Gippoliti, S. Out of Europe: Investigating Hystrix cristata (Rodentia: Hystricidae) skull morphometric geographic variability in Africa. Biogeographia 2021, 36, a001. [Google Scholar] [CrossRef]
- Storch, G. Porcupines. In Grzimek’s Encyclopedia of Mammals; Grzimek, B., Ed.; McGraw-Hill: New York, NY, USA, 1990; pp. 300–307. [Google Scholar]
- Felicioli, A.; Grazzini, A.; Santini, L. The mounting behaviour of a pair of crested porcupine Hystrix cristata L. Mammalia 1997, 61, 119–123. [Google Scholar]
- Pigozzi, G.; Patterson, I.J. Movements and diet of crested porcupines in the Maremma Natural Park, central Italy. Acta Theriol. 1990, 35, 173–180. [Google Scholar] [CrossRef]
- Corsini, M.T.; Lovari, S.; Sonnino, S. Temporal activity patterns of crested porcupines Hystrix cristata. J. Zool. 1995, 236, 43–54. [Google Scholar] [CrossRef]
- Bruno, E.; Riccardi, C. The diet of the crested porcupine Hystrix cristata L., 1758, in a Mediterranean rural area. Z. Säugetierkunde 1995, 60, 226–236. [Google Scholar]
- Farrow, C.S. Veterinary Diagnostic Imaging: Birds, Exotic Pets and Wildlife; Mosby Elsevier: St. Louis, MO, USA, 2009. [Google Scholar]
- Knipe, M.F. Principles of Neurological Imaging of Exotic Animal Species. Vet. Clin. N. Am. Exot. Anim. Pract. 2007, 10, 893–907. [Google Scholar] [CrossRef]
- Lauridsen, H.; Hansen, K.; Wang, T.; Agger, P.; Andersen, J.L.; Knudsen, P.S.; Rasmussen, A.S.; Uhrenholt, L.; Pedersen, M. Inside out: Modern Imaging Techniques to Reveal Animal Anatomy. PLoS ONE 2011, 6, e17879. [Google Scholar] [CrossRef]
- Banzato, T.; Russo, E.; Di Toma, A.; Palmisano, G.; Zotti, A. Anatomic imaging of the Boa constrictor head: A comparison between radio graphy, computed tomography and cadaver anatomy. Am. J. Vet. Res. 2011, 72, 1592–1599. [Google Scholar] [CrossRef]
- Capello, V. Diagnostic Imaging of Dental Disease in Pet Rabbits and Rodents. Vet. Clin. N. Am. Exot. Anim. Pract. 2016, 19, 757–782. [Google Scholar] [CrossRef]
- Arencibia, A.; Encinoso, M.; Jaber, J.R.; Morales, D.; Blanco, D.; Artiles, A.; Vázquez, J.M. Magnetic resonance imaging study in a normal Bengal tiger (Panthera tigris) stifle joint. BMC Vet. Res. 2015, 11, 192. [Google Scholar] [CrossRef]
- Capello, V.; Cauduro, A. Comparison of diagnostic consistency and diagnostic accuracy between survey radiography and computed tomography of the skull in 30 rabbits with dental disease. J. Exot. Pet. Med. 2016, 25, 115–127. [Google Scholar] [CrossRef]
- Glodek, J.; Adamiak, Z.; Przeworski, A. Magnetic Resonance Imaging of Reptiles, Rodents, and Lagomorphs for Clinical Diagnosis and Animal Research. Comp. Med. 2016, 66, 216–219. [Google Scholar] [PubMed]
- Van Caelenberg, A.I.; De Rycke, L.M.; Hermans, K.; Verhaert, L.; van Bree, H.J.; Gielen, I.M. Low-field magnetic resonance imaging and cross-sectional anatomy of the rabbit head. Vet. J. 2011, 188, 83–91. [Google Scholar] [CrossRef] [PubMed]
- Müllhaupt, D.; Augsburger, H.; Schwarz, A.; Fischer, G.; Kircher, P.; Hatt, J.M.; Ohlerth, S. Magnetic resonance imaging anatomy of the rabbit brain at 3 T. Acta Vet. Scand. 2015, 57, 47. [Google Scholar] [CrossRef] [PubMed]
- Capello, V.; Lennox, A. Advanced diagnostic imaging and surgical treatment of an odontogenic retromasseteric abscess in a guinea pig. J. Small Anim. Pract. 2015, 56, 134–137. [Google Scholar] [CrossRef]
- Mahdy, M.A.A. Correlation between computed tomography, magnetic resonance imaging and cross-sectional anatomy of the head of the guinea pig (Cavia porcellus, Linnaeus 1758). Anat. Histol. Embryol. 2022, 51, 51–61. [Google Scholar] [CrossRef]
- Chuang, N.; Mori, S.; Yamamoto, A.; Jiang, H.; Ye, X.; Xu, X.; Richards, L.J.; Nathans, J.; Miller, M.I.; Toga, A.W.; et al. An MRI-based atlas and database of the developing mouse brain. NeuroImage 2011, 54, 80–89. [Google Scholar] [CrossRef]
- Alvites, R.D.; Caseiro, A.R.; Pedrosa, S.S.; Branquinho, M.E.; Varejão, A.S.P.; Maurício, A.C. The Nasal Cavity of the Rat and Mouse-Source of Mesenchymal Stem Cells for Treatment of Peripheral Nerve Injury. Anat. Rec. 2018, 10, 1678–1689. [Google Scholar] [CrossRef]
- Gray-Edwards, H.L.; Salibi, N.; Josephson, E.M.; Hudson, J.A.; Cox, N.R.; Randle, A.N.; McCurdy, V.J.; Bradbury, A.M.; Wilson, D.U.; Beyers, R.J.; et al. High resolution MRI anatomy of the cat brain at 3 Tesla. J. Neurosci. Methods 2014, 227, 10–17. [Google Scholar] [CrossRef]
- Popesko, P.; Rajtova, V.; Horak, J. Anatomy of Small Laboratory Animals; Wolfe Publishing Ltd.: London, UK, 1990; pp. 14–53. [Google Scholar]
- Jaber, J.R.; Encinoso, M.; Morales, D.; Artiles, A.; Santana, M.; Blanco, D.; Arencibia, A. Anatomic study of the normal Bengal tiger (Panthera tigris tigris) brain and associated structures using low field magnetic resonance imaging. Eur. J. Anat. 2016, 20, 195–203. [Google Scholar]
- Silva, A.B.; Sousa, M.M.; Silva, J.V.; Oliveira, I.M.; Barbosa, C.M.; Santos, M.; Conde, A.M. Anatomy of the nasal cavity of nine-banded armadillo (Dasypus novemcinctus, Linnaeus, 1758). J. Interdiscip. Biocienc. 2016, 1, 1–4. [Google Scholar] [CrossRef]
- Burk, R.L. Computed tomographic anatomy of the canine nasal passages. Vet. Radiol. Ultrasound 1992, 33, 170–176. [Google Scholar] [CrossRef]
- Bercier, M.; Alexander, K.; Gorow, A.; Pye, G.W. Computed tomography and magnetic resonance for the advanced imaging of the normal nasal cavity and paranasal sinuses of the koala (Phascolarctos cinereus). J. Zoo. Wildl. Med. 2014, 45, 766–774. [Google Scholar] [CrossRef] [PubMed]
- De Rycke, L.M.; Saunders, J.H.; Gielen, I.M.; van Bree, H.J.; Simoens, P.J. Magnetic resonance imaging, computed tomography, and cross-sectional views of the anatomy of normal nasal cavities and paranasal sinuses in mesaticephalic dogs. Am. J. Vet. Res. 2003, 64, 1093–1098. [Google Scholar] [CrossRef] [PubMed]
- Jaber, J.R.; Morales Bordon, D.; Arencibia, A.; Corbera, J.A.; Conde-Felipe, M.; Ayala, M.D.; Encinoso, M. Correlation between Cross-Sectional Anatomy and Computed Tomography of the Normal Six-Banded Armadillo (Euphractus sexcintus) Nasal Cavity and Paranasal Sinuses. Animals 2024, 14, 1135. [Google Scholar] [CrossRef] [PubMed]
- Arencibia, A.; Vázquez, J.M.; Jaber, R.; Gil, F.; Ramírez, J.A.; Rivero, M.; González, N.; Wisner, E.R. Magnetic resonance Imaging and cross-sectional anatomy of the normal equine sinuses and nasal passages. Vet. Radiol. Ultrasound 2000, 41, 313–319. [Google Scholar] [CrossRef] [PubMed]
- Arencibia, A.; Hidalgo, M.R.; Vázquez, J.M.; Contreras, S.; Ramírez, G.; Orós, J. Sectional Anatomic and Magnetic Resonance Imaging Features of the Head of Juvenile Loggerhead Sea Turtles (Caretta Caretta). Am. J. Vet. Res. 2012, 73, 1119–1127. [Google Scholar] [CrossRef]
- Morales-Bordon, D.; Encinoso, M.; Arencibia, A.; Jaber, J.R. Cranial Investigations of Crested Porcupine (Hystrix cristata) by Anatomical Cross-Sections and Magnetic Resonance Imaging. Animals 2023, 13, 2551. [Google Scholar] [CrossRef]
- Díaz Martínez, E.; Arencibia Espinosa, A.; Soler Laguía, M.; Kilroy, D.; Martínez Gomariz, F.; Casas García, D.L.; Sánchez Collado, C.; Gil Cano, F.; Jaber, J.R.; Ramírez Zarzosa, G. An Anatomical Study Using Computed Tomography, Magnetic Resonance Imaging, and Rhinoscopy of the Nasal Cavity of Domestic Cat (Felis silvestris catus L.) and Big Cats: Lion (Panthera leo leo L.), Leopard (Panthera pardus kotiya L.), and Cheetah (Acinonyx jubatus jubatus S.). Animals 2024, 14, 1172. [Google Scholar] [CrossRef]
- Fornazari, F.; Guimaraes, F.F.; Teixeira, C.R.; Langoni, H. Isolation of staphylococcus epidermidis from inflamed upper respiratory tract of an orange-spined hairy dwarf porcupine (Sphiggurus villosus). J. Venom. Anim. Toxins Incl. Trop. Dis. 2012, 18, 455–458. [Google Scholar] [CrossRef]
- Encinoso, M.; Morales, D.; Déniz, S.; Guerra, J.V.; Jaber, J.R. Computed Tomography and Magnetic Resonance Imaging of a Rhinosinusitis Secondary to a Dental Abscess in a Crested Porcupine (Hystrix cristata). Slov. Vet. Res. 2023, 60, 37–43. [Google Scholar] [CrossRef]
- Ragab, S.A.; Abouelela, Y.S.; Daghash, S.M.; Khattab, M.A.; Tahon, R. Comparative Morphological and Histochemical Characteristics of the Nasal Cavity and Paranasal Sinuses of Adult Rabbits and Domestic Cats in Egypt. Inter. J. Vet. Sci. 2018, 7, 97–105. [Google Scholar]
- Díaz Martínez, E.; Arencibia Espinosa, A.; Soler Laguía, M.; Ayala Florenciano, M.D.; Kilroy, D.; García García, M.I.; Martínez Gomariz, F.; Sánchez Collado, C.; Gil Cano, F.; Jaber, J.R.; et al. The Bony Nasal Cavity and Paranasal Sinuses of Big Felids and Domestic Cat: A Study Using Anatomical Techniques, Computed Tomographic Images Reconstructed in Maximum-Intensity Projection, Volume Rendering and 3D Printing Models. Animals 2024, 14, 2609. [Google Scholar] [CrossRef] [PubMed]
- Probst, A.; Henninger, W.; Willmann, M. Communications of normal nasal and paranasal cavities in computed tomography of horses. Vet. Radiol. Ultrasound 2005, 46, 44–48. [Google Scholar] [CrossRef]
- Pigozzi, G. Female-biased sexual size dimorphism in the crested porcupine (Hystrix cristata L.). Ital. J. Zool. 1987, 3, 255–259. [Google Scholar]












Disclaimer/Publisher’s Note: The statements, opinions and data contained in all publications are solely those of the individual author(s) and contributor(s) and not of MDPI and/or the editor(s). MDPI and/or the editor(s) disclaim responsibility for any injury to people or property resulting from any ideas, methods, instructions or products referred to in the content. |
© 2024 by the authors. Licensee MDPI, Basel, Switzerland. This article is an open access article distributed under the terms and conditions of the Creative Commons Attribution (CC BY) license (https://creativecommons.org/licenses/by/4.0/).
Share and Cite
Morales Bordon, D.; Suárez-Cabrera, F.; Ramírez, G.; Paz-Oliva, P.; Morales-Espino, A.; Arencibia, A.; Encinoso, M.; Ventura, M.R.; Jaber, J.R. Study of the Normal Crested Porcupine (Hystrix cristata) Nasal Cavity and Paranasal Sinuses by Cross-Sectional Anatomy and Computed Tomography. Vet. Sci. 2024, 11, 611. https://doi.org/10.3390/vetsci11120611
Morales Bordon D, Suárez-Cabrera F, Ramírez G, Paz-Oliva P, Morales-Espino A, Arencibia A, Encinoso M, Ventura MR, Jaber JR. Study of the Normal Crested Porcupine (Hystrix cristata) Nasal Cavity and Paranasal Sinuses by Cross-Sectional Anatomy and Computed Tomography. Veterinary Sciences. 2024; 11(12):611. https://doi.org/10.3390/vetsci11120611
Chicago/Turabian StyleMorales Bordon, Daniel, Francisco Suárez-Cabrera, Gregorio Ramírez, Pablo Paz-Oliva, Alejandro Morales-Espino, Alberto Arencibia, Mario Encinoso, Myriam R. Ventura, and José Raduan Jaber. 2024. "Study of the Normal Crested Porcupine (Hystrix cristata) Nasal Cavity and Paranasal Sinuses by Cross-Sectional Anatomy and Computed Tomography" Veterinary Sciences 11, no. 12: 611. https://doi.org/10.3390/vetsci11120611
APA StyleMorales Bordon, D., Suárez-Cabrera, F., Ramírez, G., Paz-Oliva, P., Morales-Espino, A., Arencibia, A., Encinoso, M., Ventura, M. R., & Jaber, J. R. (2024). Study of the Normal Crested Porcupine (Hystrix cristata) Nasal Cavity and Paranasal Sinuses by Cross-Sectional Anatomy and Computed Tomography. Veterinary Sciences, 11(12), 611. https://doi.org/10.3390/vetsci11120611

