Metastatic Multifocal Malignant Peripheral Nerve Sheath Tumour in the Cervicothoracic Spinal Cord of a Dog Initially Mimicking Meningomyelitis
Abstract
Simple Summary
Abstract
1. Introduction
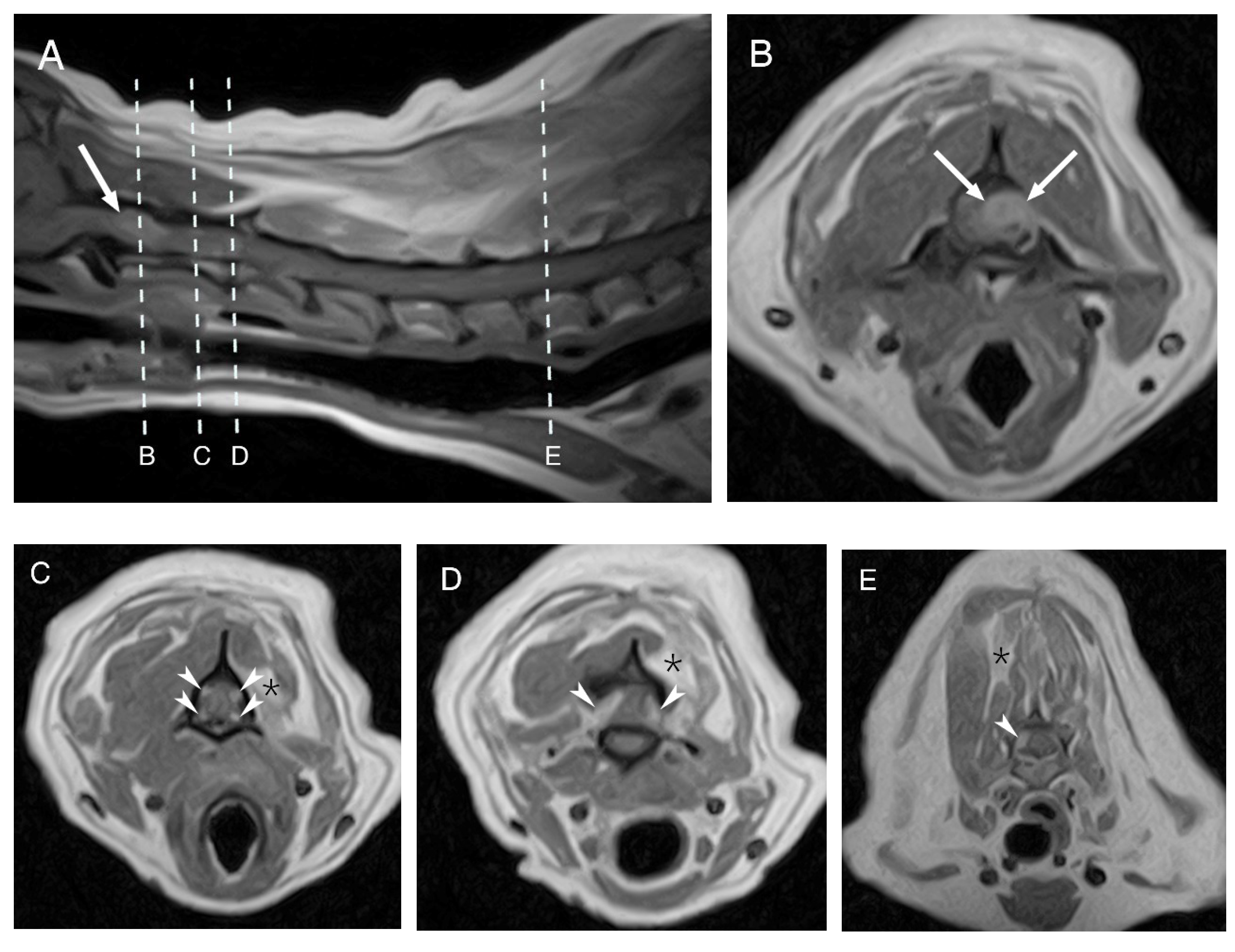
2. Case Presentation
3. Discussion
4. Conclusions
Author Contributions
Funding
Institutional Review Board Statement
Informed Consent Statement
Data Availability Statement
Acknowledgments
Conflicts of Interest
References
- Poli, F.; Calistri, M.; Mandara, M.T.; Baroni, M. Central Nervous System Metastasis of an Intradural Malignant Peripheral Nerve Sheath Tumour in a Dog. Open Vet. J. 2019, 9, 49–53. [Google Scholar] [CrossRef]
- Higgins, R.J.; Bollen, A.W.; Dickinson, P.J.; Sisó-Llonch, S. Tumors of the Nervous System. In Tumors in Domestic Animals, 5th ed.; Meuten, D.J., Ed.; John Wiley & Sons: Hoboken, NJ, USA, 2017; pp. 842–891. [Google Scholar]
- Schulman, F.Y.; Johnson, T.O.; Facemire, P.R.; Fanburg-Smith, J.C. Feline Peripheral Nerve Sheath Tumors: Histologic, Immunohistochemical and Clinicopathologic Correlation (59 tumors in 53 cats). Vet. Pathol. 2009, 46, 1166–1180. [Google Scholar] [CrossRef]
- Pavarini, S.P.; Gomes, D.C.; Bandinelli, M.B.; Wouters, F.; Sonne, L.; Driemeier, D.; Farias da Cruz, C.E. Malignant Peripheral Nerve Sheath Tumor as a Cause of Chronic Cardiac Insufficiency in Cattle. Acta Vet. Scand. 2013, 55, 7. [Google Scholar] [CrossRef]
- Quinn, G.C.; Fewis, D.; Scase, T.J.; Pearson, G.R. Malignant Peripheral Nerve Sheath Tumour of the Heart in a Horse. Vet. Rec. 2005, 157, 847–849. [Google Scholar] [CrossRef]
- Ramirez, G.A.; Herraez, P.; Rodriguez, F.; Godinho, A.; Andrada, M.; Espinosa de los Monteros, A. Malignant Peripheral Nerve Sheath Tumour (Malignant Schwannoma) in the Diaphragm of a Goat. J. Comp. Pathol. 2007, 137, 137–141. [Google Scholar] [CrossRef]
- Stilwell, J.M.; Rissi, D.R. Pathology and Immunohistochemistry of a Malignant Nerve Sheath Tumor in a Pig: Case Report and Brief Review of the Literature. J. Vet. Diagn. Investig. 2019, 31, 122–127. [Google Scholar] [CrossRef]
- Steinmetz, H.W.; Rütten, M.; Ruess-Melzer, K.; Ohlerth, S.; Lischer, C.; Oevermann, A.; Bode-Lesniewska, B.; Hatt, J.-M. Clinical Course of a Malignant Peripheral Nerve Sheath Tumor in a Siberian Tiger (Panthera tigris altaica). J. Vet. Diagn. Investig. 2010, 22, 970–975. [Google Scholar] [CrossRef]
- Ramis, A.; Pumarola, M.; Fernández-Morán, J.; Añor, S.; Majó, N.; Zidan, A. Malignant Peripheral Nerve Sheath Tumor in a Water Moccasin (Agkistrodon piscivorus). J. Vet. Diagn. Investig. 1998, 10, 205–208. [Google Scholar] [CrossRef]
- Ko, S.-B.; Song, K.-O.; Kang, S.-C.; Kim, J.-H. Cutaneous Peripheral Nerve Sheath Tumors in 15 dogs. Korean J. Vet. Res. 2014, 54, 7–12. [Google Scholar] [CrossRef]
- Park, J.-W.; Woo, G.-H.; Jee, H.; Jung, D.-W.; Youn, H.-Y.; Choi, M.-C.; Kim, D.-Y. Malignant Peripheral Nerve Sheath Tumour in the Liver of a Dog. J. Comp. Path. 2011, 144, 223–226. [Google Scholar] [CrossRef]
- Patterson, C.C.; Perry, R.L.; Steficek, B. Malignant Peripheral Nerve Sheath Tumor of the Diaphragm in a Dog. J. Am. Anim. Hosp. Assoc. 2008, 44, 36–40. [Google Scholar] [CrossRef]
- Yap, F.; Pratschke, K. Peripheral Nerve Sheath Tumor of the Vagus Nerve in a Dog. J. Am. Anim. Hosp. Assoc. 2016, 52, 57–62. [Google Scholar] [CrossRef]
- Baratt, R.M.; Rawlinson, J.; Roth-Johnson, L.; Jones, C.J. Lingual Malignant Peripheral Nerve Sheath Tumor in a Chinese Pug Dog. J. Vet. Dent. 2015, 32, 165–172. [Google Scholar] [CrossRef]
- Sato, T.; Yamamoto, A.; Shibuya, H.; Sudo, H.; Shirai, W.; Amemori, T. Intraocular Peripheral Nerve Sheath Tumor in a Dog. Vet. Ophthalmol. 2005, 8, 283–286. [Google Scholar] [CrossRef]
- Dewey, C.W.; Talarico, L.R. Disorders of the Peripheral Nervous System: Mononeuropathies and Polyneuropathies. In Practical Guide to Canine and Feline Neurology, 3rd ed.; Dewey, C.W., Da Costa, R., Eds.; John Wiley & Sons: Hoboken, NJ, USA, 2016; pp. 460–461. [Google Scholar]
- Mai, W. Inflammatory and Infectious Conditions. In Diagnostic MRI in Dogs and Cats, 1st ed.; Mai, W., Ed.; CRC Press: Boca Raton, FL, USA, 2018; p. 520. [Google Scholar]
- Griffin, J.F.; Levine, J.M.; Levine, G.J.; Fosgate, G.T. Meningomyelitis in Dogs: A Retrospective Review of 28 Cases (1999 to 2007). J. Small Anim. Pract. 2008, 49, 509–517. [Google Scholar] [CrossRef]
- Palus, V.; Volk, H.A.; Lamb, C.R.; Targett, M.P.; Cherubini, G.B. MRI Features of CNS Lymphoma in Dogs and Cats. Vet. Radiol. Ultrasound. 2012, 53, 44–49. [Google Scholar] [CrossRef]
- Whitney, M.S.; Coates, J.R. Cerebrospinal Fluid Analysis in the Dog and Cat. In Veterinary Cytology, 1st ed.; Sharkey, L.C., Radin, M.J., Seelig, D., Eds.; John Wiley & Sons: Hoboken, NJ, USA, 2020; pp. 638–654. [Google Scholar]
- Cornelis, I.; Volk, H.A.; Van Ham, L.; De Decker, S. Clinical Presentation, Diagnostic Findings and Outcome in Dogs Diagnosed with Presumptive Spinal-only Meningoen-cephalomyelitis of Unknown Origin. J. Small Anim. Pract. 2017, 58, 174–182. [Google Scholar] [CrossRef]
- Dolera, M.; Malfassi, L.; Bianchi, C.; Carrara, N.; Finesso, S.; Marcarini, S.; Mazza, G.; Pavesi, S.; Sala, M.; Urso, G. Frameless Stereotactic Volumetric Modulated Arc Radiotherapy of Brachial Plexus Tumours in Dogs: 10 cases. Br. J. Radiol. 2017, 90, 20160617. [Google Scholar] [CrossRef]
- Sobczuk, P.; Teterycz, P.; Czarnecka, A.M.; Switaj, T.; Kosela-Paterczyk, H.; Kozak, K.; Falkowski, S.; Rutkowski, P. Systemic Treatment for Advanced and Metastatic Malignant Peripheral Nerve Sheath Tumors—A Sarcoma Reference Center Experience. J. Clin. Med. 2020, 9, 3157. [Google Scholar] [CrossRef]
- Wang, S.; Liechty, B.; Patel, S.; Weber, J.; Hollmann, T.J.; Snuderl, M.; Karajannis, M.A. Programmed Death Ligand 1 Expression and Tumor Infiltrating Lymphocytes in Neurofibromatosis Type 1 and 2 Associated Tumors. J. Neurooncol. 2018, 138, 183–190. [Google Scholar] [CrossRef]
- Gilder, H.E.; Puffer, R.C.; Bydon, M.; Spinner, R.J. The Implications of Intradural Extension in Paraspinal Malignant Peripheral Nerve Sheath Tumors: Effects of Central Nervous System Metastases and Overall Survival. J. Neurosurg. Spine 2018, 29, 725–728. [Google Scholar] [CrossRef]
- Posporis, C.; Grau-Roma, L.; Travetti, O.; Oliveira, M.; Polledo, L.; Wessmann, A. Meningeal Carcinomatosis and Spinal Cord Infiltration Caused by a Locally Invasive Pulmonary Adenocarcinoma in a Cat. JFMS Open Rep. 2017, 3, 2055116917742812. [Google Scholar] [CrossRef]
- Grossman, S.A.; Krabak, M.J. Leptomeningeal carcinomatosis. Cancer Treat. Rev. 2019, 25, 103–119. [Google Scholar] [CrossRef]
- Knight, S.W.E.; Knight, T.E.; Santiago, T.; Murphy, A.J.; Abdelhafeez, A.H. Malignant Peripheral Nerve Sheath Tumors—A Comprehensive Review of Pathophysiology, Diagnosis, and Multidisciplinary Management. Children 2022, 9, 38. [Google Scholar] [CrossRef]
- Amirian, E.S.; Goodman, J.C.; New, P.; Scheurer, M.E. Pediatric and Adult Malignant Peripheral Nerve Sheath Tumors: An Analysis of Data from the Surveillance, Epidemiology, and End Results Program. J. Neurooncol. 2014, 116, 609–616. [Google Scholar] [CrossRef]
- Silva, E.O.; Goiozo, P.F.I.; Pereira, L.G.; Headley, S.A.; Bracarense, A.F.R.L. Concomitant Malignant Pulmonary Peripheral Nerve Sheath Tumour and Benign Cutaneous Peripheral Nerve Sheath Tumour in a Dog. J. Comp. Path. 2017, 157, 46–50. [Google Scholar] [CrossRef]
- Mauldin, E.A.; Peters-Kennedy, J. Integumentary System. In Pathology of Domestic Animals, 5th ed.; Maxie, M.G., Ed.; Saunders Elsevier: New York, NY, USA, 2007; pp. 553–781. [Google Scholar]
- Goedegebuure, S.A. A Case of Neurofibromatosis in the Dog. JSAP 1975, 16, 329–335. [Google Scholar] [CrossRef]
- Warren, A.L.; Miller, A.D.; de Lahunta, A.; Kortz, G.; Summers, B.A. Four Cases of the Melanotic Variant of Malignant Nerve Sheath Tumour: A Rare, Aggressive Neoplasm in Young Dogs with a Predilection for the Spinal Cord. J. Comp. Path. 2020, 178, 1–8. [Google Scholar] [CrossRef]
- Park, S.-K.; Yi, H.-J.; Paik, S.-S.; Kim, Y.-J.; Ko, Y.; Oh, S.-J. Metastasizing Malignant Peripheral Nerve Sheath Tumor Initially Presenting as Intracerebral Hemorrhage. Case Report and Review of Literature. Surg. Neurol. 2007, 68, 79–84. [Google Scholar] [CrossRef]
- Park, M.-K.; Sung, J.-K.; Nam, K.-H.; Kim, K.-T. Malignant Peripheral Nerve Sheath Tumor of Non-Neurofibromatosis Type I Metastasized to the Cerebrospinal Axis. J. Korean Neurosurg. 2013, 53, 190–193. [Google Scholar] [CrossRef]
- Baehring, J.M.; Betensky, R.A.; Batchelor, T.T. Malignant Peripheral Nerve Sheath Tumor: The Clinical Spectrum and Outcome of Treatment. Neurology 2003, 61, 696–698. [Google Scholar] [CrossRef]
- Baek, W.S.; Pytel, P.; Undevia, S.D.; Rubeiz, H. Spinal Cord Metastasis of a Non-Neurofibromatosis Type-1 Malignant Peripheral Nerve Sheath Tumor: An Unusual Manifestation of a Rare Tumor. J. Neurooncol. 2005, 74, 183–185. [Google Scholar] [CrossRef]
- Ducatman, B.S.; Scheithauer, B.W.; Piepgras, D.G.; Reiman, H.M.; Ilstrup, D.M. Malignant Peripheral Nerve Sheath Tumors. A Clinicopathologic Study of 120 Cases. Cancer 1986, 57, 2006–2021. [Google Scholar] [CrossRef]
- Ellison, D.A.; Corredor-Buchmann, J.; Parham, D.M.; Jackson, R.J. Malignant Triton Tumor Presenting as a Rectal Mass in an 11-Month-Old. Pediatr. Dev. Pathol. 2005, 8, 235–239. [Google Scholar] [CrossRef]
- Hruban, R.H.; Shiu, M.H.; Senie, R.T.; Woodruff, J.M. Malignant Peripheral Nerve Sheath Tumors of the Buttock and Lower Extremity. A Study of 43 Cases. Cancer 1990, 66, 1253–1265. [Google Scholar] [CrossRef]
- Thomas, J.G.; Lincoln, C.; Goodman, J.C.; Gopinath, S.P. Malignant Peripheral Nerve Sheath Tumor of Cauda Equina with Craniospinal Metastasis. J. Clin. Neurosci. 2014, 21, 2239–2242. [Google Scholar] [CrossRef]
- Nonaka, D.; Chiriboga, L.; Rubin, B.P. Sox10: A Pan-Schwannian and Melanocytic Marker. Am. J. Surg. Pathol. 2008, 32, 1291–1298. [Google Scholar] [CrossRef]
- Tekavec, K.; Švara, T.; Knific, T.; Gombač, M.; Cantile, C. Histopathological and Immunohistochemical Evaluation of Canine Nerve Sheath Tumors and Proposal for an Updated Classification. Vet. Sci. 2022, 9, 204. [Google Scholar] [CrossRef]
- Ersen, A.; Pekmezci, M.; Folpe, A.L.; Tihan, T. Comparision of New Diagnostic Tools for Malignant Peripheral Nerve Sheath Tumors. Pathol. Oncol. Res. 2017, 23, 393–398. [Google Scholar] [CrossRef]
- Pekmezci, M.; Reuss, D.E.; Hirbe, A.C.; Dahiya, S.; Gutmann, D.H.; Von Deimling, A.; Horvai, A.E.; Perry, A. Morphologic and Immunohistochemical Features of Malignant Peripheral Nerve Sheath Tumors and Cellular Schwannomas. Mod. Pathol. 2015, 28, 187–200. [Google Scholar] [CrossRef]
- Ramos-Vara, J.A.; Borst, L.B. Immunohistochemistry: Fundamentals and Applications in Oncology. In Tumors in Domestic Animals, 5th ed.; Meuten, D.J., Ed.; John Wiley & Sons: Hoboken, NJ, USA, 2017; pp. 44–87. [Google Scholar]
- Kumar, V.R.R.; Madhugiri, V.S.; Sasidharan, G.M.; Ganesh, C.V.S.; Gundamaneni, S.K. Multifocal Spinal Malignant Peripheral Nerve Sheath Tumor in an Immunocompromised Individual: Case Report and Review of Literature. Eur. Spine J. 2014, 23, 236–241. [Google Scholar] [CrossRef]
- Blackwood, L.; German, A.J.; Stell, A.J.; O´Neill, T. Multicentric Lymphoma in a Dog after Cyclosporine Therapy. J. Small Anim. Pract. 2004, 45, 259–262. [Google Scholar] [CrossRef]
- Durnian, J.M.; Stewart, R.M.K.; Tatham, R.; Batterbury, M.; Kaye, S.B. Cyclosporine-A associated malignancy. Clin. Ophthalmol. 2007, 1, 421–430. [Google Scholar]



Disclaimer/Publisher’s Note: The statements, opinions and data contained in all publications are solely those of the individual author(s) and contributor(s) and not of MDPI and/or the editor(s). MDPI and/or the editor(s) disclaim responsibility for any injury to people or property resulting from any ideas, methods, instructions or products referred to in the content. |
© 2023 by the authors. Licensee MDPI, Basel, Switzerland. This article is an open access article distributed under the terms and conditions of the Creative Commons Attribution (CC BY) license (https://creativecommons.org/licenses/by/4.0/).
Share and Cite
Espinosa, J.; Ortega, M.; Pumarola, M.; Fraga, E.; Martín, L. Metastatic Multifocal Malignant Peripheral Nerve Sheath Tumour in the Cervicothoracic Spinal Cord of a Dog Initially Mimicking Meningomyelitis. Vet. Sci. 2023, 10, 170. https://doi.org/10.3390/vetsci10020170
Espinosa J, Ortega M, Pumarola M, Fraga E, Martín L. Metastatic Multifocal Malignant Peripheral Nerve Sheath Tumour in the Cervicothoracic Spinal Cord of a Dog Initially Mimicking Meningomyelitis. Veterinary Sciences. 2023; 10(2):170. https://doi.org/10.3390/vetsci10020170
Chicago/Turabian StyleEspinosa, Javier, María Ortega, Martí Pumarola, Eduardo Fraga, and Laura Martín. 2023. "Metastatic Multifocal Malignant Peripheral Nerve Sheath Tumour in the Cervicothoracic Spinal Cord of a Dog Initially Mimicking Meningomyelitis" Veterinary Sciences 10, no. 2: 170. https://doi.org/10.3390/vetsci10020170
APA StyleEspinosa, J., Ortega, M., Pumarola, M., Fraga, E., & Martín, L. (2023). Metastatic Multifocal Malignant Peripheral Nerve Sheath Tumour in the Cervicothoracic Spinal Cord of a Dog Initially Mimicking Meningomyelitis. Veterinary Sciences, 10(2), 170. https://doi.org/10.3390/vetsci10020170

