Dataset of Registered Hematoxylin–Eosin and Ki67 Histopathological Image Pairs Complemented by a Registration Algorithm
Abstract
1. Summary
1.1. Classification of Histological Images
1.2. Prediction of Ki67 Expression from HE Images
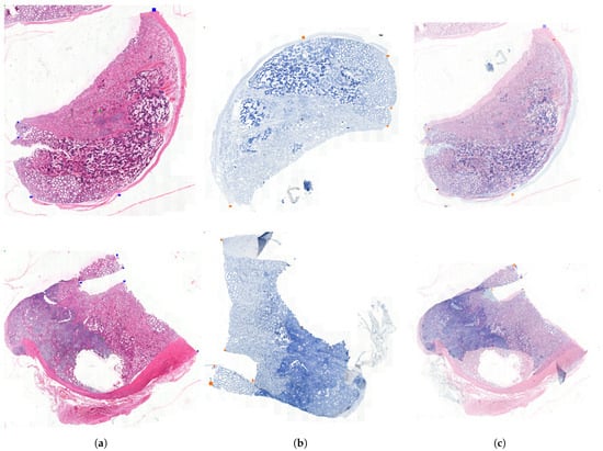
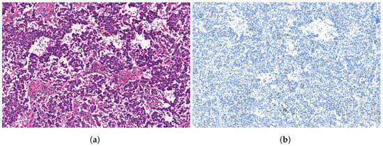
2. Data Description
2.1. Additional Data
3. Methods
3.1. Image Acquisition
3.2. Data Preprocessing
3.3. Tissue Registration
- 1.
- Rotate the Ki67 image around its center with the “expand” option enabled, ensuring the resulting image is large enough to contain the entire rotated IHC image, with additional white pixels as padding;
- 2.
- Create a white image of the same dimensions as the rotated Ki67 image;
- 3.
- Calculate the translation vector v for the HE image relative to the white image, ensuring that, when placed with its top-left corner at the origin and then shifted, it is centered;
- 4.
- Adjust the translation vector v by subtracting the shift parameters obtained from the optimization;
- 5.
- Copy each pixel of the HE image to the corresponding coordinates in the white image, adjusted by the translation vector v.
Validation with Convolutional Network Model
4. Dataset Limitations and Considerations
5. Conclusions
Supplementary Materials
Author Contributions
Funding
Institutional Review Board Statement
Informed Consent Statement
Data Availability Statement
Conflicts of Interest
Abbreviations
| AI | Artificial intelligence |
| GB | Giga byte |
| HE | Hematoxylin–eosin |
| HER2 | Human epidermal growth factor receptor 2 |
| HSV | Hue saturation value |
| IHC | Immunohistochemical |
| Ki67 | Proliferation biomarker |
| MRXS | MIRAX multi-file format with very complicated proprietary metadata and indexes |
| PNG | Portable Network Graphic |
| WSIs | Whole slide images |
| XML | eXtensible Markup Language |
References
- He, K.; Zhang, X.; Ren, S.; Sun, J. Deep Residual Learning for Image Recognition. In Proceedings of the 2016 IEEE Conference on Computer Vision and Pattern Recognition (CVPR), Las Vegas, NV, USA, 27–30 June 2016; pp. 770–778. [Google Scholar]
- Litjens, G.; Kooi, T.; Bejnordi, B.E.; Setio, A.A.A.; Ciompi, F.; Ghafoorian, M.; van der Laak, J.A.; van Ginneken, B.; Sánchez, C.I. A survey on deep learning in medical image analysis. Med. Image Anal. 2017, 42, 60–88. [Google Scholar] [CrossRef] [PubMed]
- Komura, D.; Ishikawa, S. Machine Learning Methods for Histopathological Image Analysis. Comput. Struct. Biotechnol. J. 2018, 16, 34–42. [Google Scholar] [CrossRef] [PubMed]
- Cao, C.; Liu, F.; Tan, H.; Song, D.; Shu, W.; Li, W.; Zhou, Y.; Bo, X.; Xie, Z. Deep Learning and Its Applications in Biomedicine. Genom. Proteom. Bioinform. 2018, 16, 17–32. [Google Scholar] [CrossRef] [PubMed]
- Niazi, M.K.K.; Parwani, A.V.; Gurcan, M.N. Digital pathology and artificial intelligence. Lancet Oncol. 2019, 20, e253–e261. [Google Scholar] [CrossRef] [PubMed]
- Feng, X.; Shu, W.; Li, M.; Li, J.; Xu, J.; He, M. Pathogenomics for accurate diagnosis, treatment, prognosis of oncology: A cutting edge overview. J. Transl. Med. 2024, 22, 131. [Google Scholar] [CrossRef] [PubMed]
- Seegerer, P.; Binder, A.; Saitenmacher, R.; Bockmayr, M.; Alber, M.; Jurmeister, P.; Klauschen, F.; Müller, K.R. Interpretable Deep Neural Network to Predict Estrogen Receptor Status from Haematoxylin-Eosin Images; Springer International Publishing: Berlin/Heidelberg, Germany, 2020; pp. 16–37. [Google Scholar] [CrossRef]
- Naik, N.; Madani, A.; Esteva, A.; Keskar, N.S.; Press, M.F.; Ruderman, D.; Agus, D.B.; Socher, R. Deep learning-enabled breast cancer hormonal receptor status determination from base-level H&E stains. Nat. Commun. 2020, 11, 5727. [Google Scholar] [CrossRef] [PubMed]
- Rawat, R.R.; Ortega, I.; Roy, P.; Sha, F.; Shibata, D.; Ruderman, D.; Agus, D.B. Deep learned tissue “fingerprints” classify breast cancers by ER/PR/Her2 status from H&E images. Sci. Rep. 2020, 10, 7275. [Google Scholar] [CrossRef]
- Liu, Y.; Li, X.; Zheng, A.; Zhu, X.; Liu, S.; Hu, M.; Luo, Q.; Liao, H.; Liu, M.; He, Y.; et al. Predict Ki-67 Positive Cells in H&E-Stained Images Using Deep Learning Independently From IHC-Stained Images. Front. Mol. Biosci. 2020, 7, 183. [Google Scholar] [CrossRef]
- Shovon, M.S.H.; Islam, M.J.; Nabil, M.N.A.K.; Molla, M.M.; Jony, A.I.; Mridha, M.F. Strategies for enhancing the multi-stage classification performances of HER2 breast cancer from hematoxylin and eosin images. Diagnostics 2022, 12, 2825. [Google Scholar] [CrossRef] [PubMed]
- Anand, D.; Kurian, N.C.; Dhage, S.; Kumar, N.; Rane, S.; Gann, P.H.; Sethi, A. Deep learning to estimate human epidermal growth factor receptor 2 status from hematoxylin and eosin-stained breast tissue images. J. Pathol. Inform. 2020, 11, 19. [Google Scholar] [CrossRef] [PubMed]
- Ronneberger, O.; Fischer, P.; Brox, T. U-Net: Convolutional Networks for Biomedical Image Segmentation; Lecture Notes in Computer Science; Springer: Berlin/Heidelberg, Germany, 2015; Volume 9351. [Google Scholar]
- Gerdes, J.; Schwab, U.; Lemke, H.; Stein, H. Production of a mouse monoclonal antibody reactive with a human nuclear antigen associated with cell proliferation. Int. J. Cancer 1983, 31, 13–20. [Google Scholar] [CrossRef] [PubMed]
- Kos, Z.; Dabbs, D.J. Biomarker assessment and molecular testing for prognostication in breast cancer. Histopathology 2016, 68, 70–85. [Google Scholar] [CrossRef] [PubMed]
- Rabes, H.M.; Schmeller, N.; Hartmann, A.; Rattenhuber, U.; Carl, P.; Staehler, G. Analysis of proliferative compartments in human tumors. II. Seminoma. Cancer 1985, 55, 1758–1769. [Google Scholar] [CrossRef] [PubMed]
- Gallegos, I.; Valdevenito, J.P.; Miranda, R.; Fernandez, C. Immunohistochemistry expression of P53, Ki67, CD30, and CD117 and presence of clinical metastasis at diagnosis of testicular seminoma. Appl. Immunohistochem. Mol. Morphol. 2011, 19, 147–152. [Google Scholar] [CrossRef] [PubMed]
- Lourenço, B.C.; Guimarães-Teixeira, C.; Flores, B.C.T.; Miranda-Gonçalves, V.; Guimarães, R.; Cantante, M.; Lopes, P.; Braga, I.; Maurício, J.; Jerónimo, C.; et al. Ki67 and LSD1 expression in testicular germ cell tumors is not associated with patient outcome: Investigation using a digital pathology algorithm. Life 2022, 12, 264. [Google Scholar] [CrossRef] [PubMed]
- Petríková, D.; Cimrák, I.; Tobiášová, K.; Plank, L. Semi-Automated Workflow for Computer-Generated Scoring of Ki67 Positive Cells from HE Stained Slides. In Proceedings of the BIOINFORMATICS, Barcelona, Spain, 22–24 September 2023; pp. 292–300. [Google Scholar]
- Petríková, D.; Cimrák, I. Semi-automated Ki67 Index Label Estimation For HE Images Classification. In Proceedings of the 2024 35th Conference of Open Innovations Association (FRUCT), Tampere, Finland, 24–26 April 2024; Volume 35, pp. 812–817. [Google Scholar]
- Brierley, J.D.; Gospodarowicz, M.K.; Wittekind, C. (Eds.) TNM Classification of Malignant Tumours, 8th ed.; John Wiley & Sons: Nashville, TN, USA, 2016. [Google Scholar]
- Boormans, J.L.; Mayor de Castro, J.; Marconi, L.; Yuan, Y.; Laguna Pes, M.P.; Bokemeyer, C.; Nicolai, N.; Algaba, F.; Oldenburg, J.; Albers, P. Testicular tumour size and rete testis invasion as prognostic factors for the risk of relapse of clinical stage I seminoma testis patients under surveillance: A systematic review by the testicular cancer guidelines panel. Eur. Urol. 2018, 73, 394–405. [Google Scholar] [CrossRef] [PubMed]
- Trevino, K.E.; Esmaeili-Shandiz, A.; Saeed, O.; Xu, H.; Ulbright, T.M.; Idrees, M.T. Pathological risk factors for higher clinical stage in testicular seminomas. Histopathology 2018, 73, 741–747. [Google Scholar] [CrossRef] [PubMed]
- Petríková, D.; Cimrák, I.; Tobiášová, K.; Plank, L. Ki67 expression classification from HE images with semi-automated computer-generated annotations. In Proceedings of the BIOINFORMATICS, Kunming, China, 19–21 July 2024. [Google Scholar]



Disclaimer/Publisher’s Note: The statements, opinions and data contained in all publications are solely those of the individual author(s) and contributor(s) and not of MDPI and/or the editor(s). MDPI and/or the editor(s) disclaim responsibility for any injury to people or property resulting from any ideas, methods, instructions or products referred to in the content. |
© 2024 by the authors. Licensee MDPI, Basel, Switzerland. This article is an open access article distributed under the terms and conditions of the Creative Commons Attribution (CC BY) license (https://creativecommons.org/licenses/by/4.0/).
Share and Cite
Petríková, D.; Cimrák, I.; Tobiášová, K.; Plank, L. Dataset of Registered Hematoxylin–Eosin and Ki67 Histopathological Image Pairs Complemented by a Registration Algorithm. Data 2024, 9, 100. https://doi.org/10.3390/data9080100
Petríková D, Cimrák I, Tobiášová K, Plank L. Dataset of Registered Hematoxylin–Eosin and Ki67 Histopathological Image Pairs Complemented by a Registration Algorithm. Data. 2024; 9(8):100. https://doi.org/10.3390/data9080100
Chicago/Turabian StylePetríková, Dominika, Ivan Cimrák, Katarína Tobiášová, and Lukáš Plank. 2024. "Dataset of Registered Hematoxylin–Eosin and Ki67 Histopathological Image Pairs Complemented by a Registration Algorithm" Data 9, no. 8: 100. https://doi.org/10.3390/data9080100
APA StylePetríková, D., Cimrák, I., Tobiášová, K., & Plank, L. (2024). Dataset of Registered Hematoxylin–Eosin and Ki67 Histopathological Image Pairs Complemented by a Registration Algorithm. Data, 9(8), 100. https://doi.org/10.3390/data9080100

