The Effects of Ovine-Derived Reinforced Tissue Matrix Surrounding Silicone-Based Implants in a Rat Prepectoral Reconstruction Model
Abstract
1. Introduction
2. Materials and Methods
2.1. Implant Mold Design, Fabrication, and Generation
2.2. Implant Mechanical Characterization of Stiffness
2.3. Scanning Electron Microscopy (SEM) of Implants
2.4. In Vivo Rodent Model and Tissue Harvest
2.5. Histological Evaluation
2.6. Statistics
3. Results
3.1. Implant Characterization and Mechanical Properties
3.2. Implant Characterization and Surface Visualization
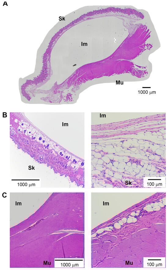
3.3. Baseline Observations of Foreign Body Response in the Prepectoral Model
3.4. Evaluation of RTM-Wrapped Implants for Capsule Formation
3.5. Evaluation of RTM-Wrapped Implants for Fibrosis
3.6. Evaluation of RTM-Wrapped Implants for Inflammation
3.7. Evaluation of RTM-Wrapped Implants for Neoplastic Growth
4. Discussion
Author Contributions
Funding
Institutional Review Board Statement
Data Availability Statement
Acknowledgments
Conflicts of Interest
Abbreviations
| RTM | Reinforced tissue matrix |
| SEM | Scanning electron microscopy |
| H&E | Hematoxylin and eosin |
| A-SMA | Alpha-smooth muscle actin |
References
- Aesthetic Plastic Surgery National Databank Statistics 2023. Aesthetic Surg. J. 2024, 44, 1–25. [CrossRef] [PubMed]
- Shin, B.H.; Kim, B.H.; Kim, S.; Lee, K.; Choy, Y.B.; Heo, C.Y. Silicone breast implant modification review: Overcoming capsular contracture. Biomater. Res. 2018, 22, 37. [Google Scholar] [CrossRef] [PubMed] [PubMed Central]
- Piccolo, P.P.; Venturi, M.; Mesbahi, A.N.; Nahabedian, M.Y. Current status prepectoral and subpectoral breast reconstruction in the USA. Gland Surg. 2023, 12, 1794–1805. [Google Scholar] [CrossRef] [PubMed] [PubMed Central]
- Taj, S.; Chandavarkar, R.; Vidya, R. Current Global Trends in Prepectoral Breast Reconstruction. Medicina 2024, 60, 431. [Google Scholar] [CrossRef] [PubMed] [PubMed Central]
- Wan, D.; Rohrich, R.J. Revisiting the Management of Capsular Contracture in Breast Augmentation: A Systematic Review. Plast. Reconstr. Surg. 2016, 137, 826–841. [Google Scholar] [CrossRef] [PubMed]
- Safran, T.; Nepon, H.; Chu, C.K.; Winocour, S.; Murphy, A.M.; Davison, P.G.; Dionisopolos, T.; Vorstenbosch, J. Current Concepts in Capsular Contracture: Pathophysiology, Prevention, and Management. Semin. Plast. Surg. 2021, 35, 189–197. [Google Scholar] [CrossRef]
- Adams, W.P., Jr. Capsular contracture: What is it? What causes it? How can it be prevented and managed? Clin. Plast. Surg. 2009, 36, 119–126. [Google Scholar] [CrossRef]
- Guimier, E.; Carson, L.; David, B.; Lambert, J.M.; Heery, E.; Malcolm, R.K. Pharmacological Approaches for the Prevention of Breast Implant Capsular Contracture. J. Surg. Res. 2022, 280, 129–150. [Google Scholar] [CrossRef] [PubMed]
- Arquero, P.S.; Zanata, F.C.; Ferreira, L.M.; Nahas, F.X. Capsular Weakness around Breast Implant: A Non-Recognized Complication. World J. Plast. Surg. 2015, 4, 168–174. [Google Scholar] [PubMed] [PubMed Central]
- Bassi, R.; Jankowski, C.; Dabajuyo, S.; Burnier, P.; Coutant, C.; Vincent, L. Evaluation of post-operative complications and adjuvant treatments following immediate prepectoral versus subpectoral direct-to-implant breast reconstruction without acellular dermal matrix. J. Plast. Reconstr. Aesthetic Surg. 2024, 95, 402–410. [Google Scholar] [CrossRef] [PubMed]
- Bresnick, S.D. Higher Prevalence of Capsular Contracture with Second-side Use of Breast Implant Insertion Funnels. Plast. Reconstr. Surg. Glob. Open 2021, 9, e3906. [Google Scholar] [CrossRef] [PubMed] [PubMed Central]
- Federica, G.; Tommaso, F.; Alessia, C.; Agostino, C.; Florian, B.; Antonio, G.; Domenico Nicola, M.; Abdallah, R.; Carmela, S.; Lorenzo, S.; et al. Use of Antimicrobial Irrigation and Incidence of Capsular Contracture in Breast Augmentation and Immediate Implant-Based Breast Reconstruction. Aesthetic Plast. Surg. 2023, 47, 2345–2350. [Google Scholar] [CrossRef] [PubMed] [PubMed Central]
- Mofid, M.M. Acellular dermal matrix in cosmetic breast procedures and capsular contracture. Aesthetic Surg. J. 2011, 31, 77S–84S. [Google Scholar] [CrossRef] [PubMed]
- Macadam, S.A.; Lennox, P.A. Acellular dermal matrices: Use in reconstructive and aesthetic breast surgery. Can. J. Plast. Surg. 2012, 20, 75–89. [Google Scholar] [CrossRef] [PubMed] [PubMed Central]
- Headon, H.; Kasem, A.; Mokbel, K. Capsular Contracture after Breast Augmentation: An Update for Clinical Practice. Arch. Plast. Surg. 2015, 42, 532–543. [Google Scholar] [CrossRef]
- Susini, P.; Nisi, G.; Pierazzi, D.M.; Giardino, F.R.; Pozzi, M.; Grimaldi, L.; Cuomo, R. Advances on Capsular Contracture-Prevention and Management Strategies: A Narrative Review of the Literature. Plast. Reconstr. Surg. Glob. Open 2023, 11, e5034. [Google Scholar] [CrossRef] [PubMed] [PubMed Central]
- Fischer, S.; Hirche, C.; Reichenberger, M.A.; Kiefer, J.; Diehm, Y.; Mukundan, S., Jr.; Alhefzi, M.; Bueno, E.M.; Kneser, U.; Pomahac, B. Silicone Implants with Smooth Surfaces Induce Thinner but Denser Fibrotic Capsules Compared to Those with Textured Surfaces in a Rodent Model. PLoS ONE 2015, 10, e0132131. [Google Scholar] [CrossRef] [PubMed] [PubMed Central]
- Xuan, T.; Yuan, X.; Zheng, S.; Wang, L.; Wang, Q.; Zhang, S.; Qi, F.; Luan, W. Repeated Lipoteichoic Acid Injection at Low Concentration Induces Capsular Contracture by Activating Adaptive Immune Response through the IL-6/STAT3 Signaling Pathway. Plast. Reconstr. Surg. 2023, 152, 349–359. [Google Scholar] [CrossRef] [PubMed]
- Kim, H.B.; Han, S.Y.; Eom, J.S.; Han, H.H. Human-Mimic Submuscular and Premuscular Irradiated Rat Model: Histologic Characteristics of the Capsule Tissue in Contact with the Breast Implant. Breast J. 2023, 2023, 4363272. [Google Scholar] [CrossRef] [PubMed] [PubMed Central]
- Joseph, J.; Mohanty, M.; Mohanan, P.V. Investigative study of myofibroblasts and cytokines in peri-implant tissue of silicone breast expander by rt-PCR in a rat model. J. Biomater. Sci. Polym. Ed. 2010, 21, 1389–1402. [Google Scholar] [CrossRef] [PubMed]
- Shih, S.; Salazar, H.F.; Poveromo, L.P.; Askinas, C.; Vernice, N.; Corpuz, G.S.; O’Connell, G.M.; Dong, X.; Spector, J. Augmenting Breast Implant Research: Accessible Methods for Fabricating Miniature Smooth and Textured Breast Implants in a Laboratory Setting. Ann. Plast. Surg. 2023, 90, S707–S712. [Google Scholar] [CrossRef] [PubMed]
- Vieira, V.J.; D’Acampora, A.; Neves, F.S.; Mendes, P.R.; Vasconcellos, Z.A.; Neves, R.D.; Figueiredo, C.P. Capsular Contracture In Silicone Breast Implants: Insights From Rat Models. An. Acad. Bras. Cienc. 2016, 88, 1459–1470. [Google Scholar] [CrossRef] [PubMed]
- de Bakker, E.; van den Broek, L.J.; Ritt, M.; Gibbs, S.; Niessen, F.B. The Histological Composition of Capsular Contracture Focussed on the Inner Layer of the Capsule: An Intra-Donor Baker-I Versus Baker-IV Comparison. Aesthetic Plast. Surg. 2018, 42, 1485–1491. [Google Scholar] [CrossRef] [PubMed] [PubMed Central]
- Ludolph, I.; Gruener, J.S.; Kengelbach-Weigand, A.; Fiessler, C.; Horch, R.E.; Schmitz, M. Long-term studies on the integration of acellular porcine dermis as an implant shell and the effect on capsular fibrosis around silicone implants in a rat model. J. Plast. Reconstr. Aesthetic Surg. 2019, 72, 1555–1563. [Google Scholar] [CrossRef] [PubMed]
- Eltze, E.; Bettendorf, O.; Rody, A.; Jackisch, C.; Herchenroder, F.; Bocker, W.; Pfleiderer, B. Influence of local complications on capsule formation around model implants in a rat model. J. Biomed. Mater. Res. A 2003, 64, 12–19. [Google Scholar] [CrossRef] [PubMed]
- Batra, M.; Bernard, S.; Picha, G. Histologic comparison of breast implant shells with smooth, foam, and pillar microstructuring in a rat model from 1 day to 6 months. Plast. Reconstr. Surg. 1995, 95, 354–363. [Google Scholar] [CrossRef] [PubMed]
- Daneshgaran, G.; Gardner, D.J.; Chen, H.A.; Niknam-Bienia, S.; Soundararajan, V.; Raghuram, A.C.; Kim, G.H.; Labaj, P.; Kreil, D.P.; Wang, C.; et al. Silicone Breast Implant Surface Texture Impacts Gene Expression in Periprosthetic Fibrous Capsules. Plast. Reconstr. Surg. 2023, 151, 85–95. [Google Scholar] [CrossRef] [PubMed]
- Boyd, C.J.; Chiodo, M.V.; Lisiecki, J.L.; Wagner, R.D.; Rohrich, R.J. Systematic Review of Capsular Contracture Man-agement following Breast Augmentation: An Update. Plast. Reconstr. Surg. 2024, 153, 303e–321e. [Google Scholar] [CrossRef] [PubMed]
- Swanson, E. Open Cap-sulotomy: An Effective but Overlooked Treatment for Capsular Contracture after Breast Augmentation. Plast. Reconstr. Surg. Glob. Open 2016, 4, e1096. [Google Scholar] [CrossRef] [PubMed]
- Spear, S.L.; Seruya, M.; Clemens, M.W.; Teitelbaum, S.; Nahabedian, M.Y. Acellular dermal matrix for the treatment and prevention of implant-associated breast deformities. Plast. Reconstr. Surg. 2011, 127, 1047–1058. [Google Scholar] [CrossRef] [PubMed]
- Cheng, A.; Lakhiani, C.; Saint-Cyr, M. Treatment of capsular contracture using complete implant coverage by acellular dermal matrix: A novel technique. Plast. Reconstr. Surg. 2013, 132, 519–529. [Google Scholar] [CrossRef] [PubMed]
- Samuels, K.; Millet, E.; Wong, L. Efficacy of Acellular Dermal Matrix Type in Treatment of Capsular Contracture in Breast Augmentation: A Systematic Review and Meta-Analysis. Aesthetic Surg. J. 2023, 44, 26–35. [Google Scholar] [CrossRef] [PubMed]
- Salzberg, C.A.; Ashikari, A.Y.; Berry, C.; Hunsicker, L.M. Acellular Dermal Matrix-Assisted Direct-to-Implant Breast Reconstruction and Capsular Contracture: A 13-Year Experience. Plast. Reconstr. Surg. 2016, 138, 329–337. [Google Scholar] [CrossRef] [PubMed]
- Tevlin, R.; Borrelli, M.R.; Irizarry, D.; Nguyen, D.; Wan, D.C.; Momeni, A. Acellular Dermal Matrix Reduces Myofibroblast Presence in the Breast Capsule. Plast. Reconstr. Surg. Glob. Open 2019, 7, e2213. [Google Scholar] [CrossRef] [PubMed] [PubMed Central]
- Kim, I.K.; Park, S.O.; Chang, H.; Jin, U.S. Inhibition Mechanism of Acellular Dermal Matrix on Capsule Formation in Expander-Implant Breast Reconstruction After Postmastectomy Radiotherapy. Ann. Surg. Oncol. 2018, 25, 2279–2287. [Google Scholar] [CrossRef] [PubMed]
- Yu, D.; Hanna, K.R.; LeGallo, R.D.; Drake, D.B. Comparison of Histological Characteristics of Acellular Dermal Matrix Capsules to Surrounding Breast Capsules in Acellular Dermal Matrix-Assisted Breast Reconstruction. Ann. Plast. Surg. 2016, 76, 485–488. [Google Scholar] [CrossRef] [PubMed]
- He, C.; Yang, Z.; Jin, Y.; Qi, X.; Chu, J.; Deng, X. ADM Scaffolds Generate a Pro-regenerative Microenvironment During Full-Thickness Cutaneous Wound Healing Through M2 Macrophage Polarization via Lamtor1. Front. Physiol. 2018, 9, 657. [Google Scholar] [CrossRef] [PubMed] [PubMed Central]
- Kim, A.; Jung, J.H.; Choi, Y.L.; Pyon, J.K. Capsule biopsy of acellular dermal matrix (ADM) to predict future capsular contracture in two-stage prosthetic breast reconstruction. J. Plast. Reconstr. Aesthetic Surg. 2019, 72, 1576–1606. [Google Scholar] [CrossRef] [PubMed]
- Sweitzer, K.; Arias-Camison, R.; Cafro, C.; Langstein, H. The Use of Reinforced Ovine Mesh in Implant Breast Reconstruction: Equivalent Outcomes to Human Acellular Dermal Matrices and More Cost-effective. Ann. Plast. Surg. 2024, 93, 664–667. [Google Scholar] [CrossRef] [PubMed]
- Overbeck, N.; Beierschmitt, A.; May, B.C.; Qi, S.; Koch, J. In-Vivo Evaluation of a Reinforced Ovine Biologic for Plastic and Reconstructive Procedures in a Non-human Primate Model of Soft Tissue Repair. Eplasty 2022, 22, e43. [Google Scholar] [PubMed] [PubMed Central]
- Marks, J.M.; Farmer, R.L.; Afifi, A.M. Current Trends in Prepectoral Breast Reconstruction: A Survey of American Society of Plastic Surgeons Members. Plast. Reconstr. Surg. Glob. Open 2020, 8, e3060. [Google Scholar] [CrossRef] [PubMed] [PubMed Central]
- Bui, J.M.; Perry, T.; Ren, C.D.; Nofrey, B.; Teitelbaum, S.; Van Epps, D.E. Histological characterization of human breast implant capsules. Aesthetic Plast. Surg. 2015, 39, 306–315. [Google Scholar] [CrossRef] [PubMed] [PubMed Central]
- Wright, M.A.; Samadi, A.; Lin, A.J.; Lara, D.O.; Harper, A.D.; Zhao, R.; Spector, J.A. Periprosthetic Capsule Formation and Contracture in a Rodent Model of Implant-Based Breast Reconstruction with Delayed Radiotherapy. Ann. Plast. Surg. 2019, 82, S264–S270. [Google Scholar] [CrossRef] [PubMed]
- Berkane, Y.; Oubari, H.; van Dieren, L.; Charles, L.; Lupon, E.; McCarthy, M.; Cetrulo, C.L., Jr.; Bertheuil, N.; Uygun, B.E.; Smadja, D.M.; et al. Tissue engineering strategies for breast reconstruction: A literature review of current advances and future directions. Ann. Transl. Med. 2024, 12, 15. [Google Scholar] [CrossRef] [PubMed] [PubMed Central]
- Lis-Lopez, L.; Bauset, C.; Seco-Cervera, M.; Cosin-Roger, J. Is the Macrophage Phenotype Determinant for Fibrosis Development? Biomedicines 2021, 9, 1747. [Google Scholar] [CrossRef] [PubMed] [PubMed Central]
- Foroushani, F.T.; Dzobo, K.; Khumalo, N.P.; Mora, V.Z.; de Mezerville, R.; Bayat, A. Advances in surface modifications of the silicone breast implant and impact on its biocompatibility and biointegration. Biomater. Res. 2022, 26, 80. [Google Scholar] [CrossRef] [PubMed]
- Li, R.; Feng, D.; Han, S.; Zhai, X.; Yu, X.; Fu, Y.; Jin, F. Macrophages and fibroblasts in foreign body reactions: How mechanical cues drive cell functions? Mater. Today Bio 2023, 22, 100783. [Google Scholar] [CrossRef] [PubMed]
- Bartalena, G.; Grieder, R.; Sharma, R.I.; Zambelli, T.; Muff, R.; Snedeker, J.G. A novel method for assessing adherent single-cell stiffness in tension: Design and testing of a substrate-based live cell functional imaging device. Biomed. Microdevices 2011, 13, 291–301. [Google Scholar] [CrossRef] [PubMed]
- Brown, X.Q.; Ookawa, K.; Wong, J.Y. Evaluation of polydimethylsiloxane scaffolds with physiologically-relevant elastic moduli: Interplay of substrate mechanics and surface chemistry effects on vascular smooth muscle cell response. Biomaterials 2005, 26, 3123–3129. [Google Scholar] [CrossRef] [PubMed]
- Li, T.Y.; Salingaros, S.; Salazar, H.F.; Mayne, R.D.; Jeon, J.; Urrea de la Puerta, C.; Liao, M.W.; Medina, S.J.; Dong, X.; Bonassar, L.J.; et al. Designing Positionally Stable Smooth Breast Implants. ACS Biomater. Sci. Eng. 2025, 11, 1765–1775. [Google Scholar] [CrossRef] [PubMed]
- Palchesko, R.N.; Zhang, L.; Sun, Y.; Feinberg, A.W. Development of polydimethylsiloxane substrates with tunable elastic modulus to study cell mechanobiology in muscle and nerve. PLoS ONE 2012, 7, e51499. [Google Scholar] [CrossRef] [PubMed]












Disclaimer/Publisher’s Note: The statements, opinions and data contained in all publications are solely those of the individual author(s) and contributor(s) and not of MDPI and/or the editor(s). MDPI and/or the editor(s) disclaim responsibility for any injury to people or property resulting from any ideas, methods, instructions or products referred to in the content. |
© 2026 by the authors. Licensee MDPI, Basel, Switzerland. This article is an open access article distributed under the terms and conditions of the Creative Commons Attribution (CC BY) license.
Share and Cite
Pinni, S.L.; Martin, C.; Fadell, N.; Xia, X.; Marsh, E.; Schellhardt, L.; Li, X.; Wood, M.D.; Sacks, J.M. The Effects of Ovine-Derived Reinforced Tissue Matrix Surrounding Silicone-Based Implants in a Rat Prepectoral Reconstruction Model. Bioengineering 2026, 13, 150. https://doi.org/10.3390/bioengineering13020150
Pinni SL, Martin C, Fadell N, Xia X, Marsh E, Schellhardt L, Li X, Wood MD, Sacks JM. The Effects of Ovine-Derived Reinforced Tissue Matrix Surrounding Silicone-Based Implants in a Rat Prepectoral Reconstruction Model. Bioengineering. 2026; 13(2):150. https://doi.org/10.3390/bioengineering13020150
Chicago/Turabian StylePinni, Sai L., Cameron Martin, Nicholas Fadell, Xiaochao Xia, Evan Marsh, Lauren Schellhardt, Xiaowei Li, Matthew D. Wood, and Justin M. Sacks. 2026. "The Effects of Ovine-Derived Reinforced Tissue Matrix Surrounding Silicone-Based Implants in a Rat Prepectoral Reconstruction Model" Bioengineering 13, no. 2: 150. https://doi.org/10.3390/bioengineering13020150
APA StylePinni, S. L., Martin, C., Fadell, N., Xia, X., Marsh, E., Schellhardt, L., Li, X., Wood, M. D., & Sacks, J. M. (2026). The Effects of Ovine-Derived Reinforced Tissue Matrix Surrounding Silicone-Based Implants in a Rat Prepectoral Reconstruction Model. Bioengineering, 13(2), 150. https://doi.org/10.3390/bioengineering13020150

