Laser Assisted (Er:YAG and Nd:YAG) Minimally Invasive Peri-Odontal Surgery in the Treatment of Intrabony Defects—A 12-Month Observational Randomized Clinical Trial
Abstract
1. Introduction
2. Materials and Methods
2.1. Sample Size
2.2. Study Population and Experimental Design
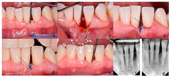
2.3. Clinical Examinations, Surgery, and Postoperative Care
2.4. Statistical Analysis
3. Results
4. Discussion
5. Conclusions
Author Contributions
Funding
Institutional Review Board Statement
Informed Consent Statement
Data Availability Statement
Conflicts of Interest
References
- Chapple, I.L.C.; Mealey, B.L.; Van Dyke, T.E.; Bartold, P.M.; Dommisch, H.; Eickholz, P.; Geisinger, M.L.; Genco, R.J.; Glogauer, M.; Goldstein, M.; et al. Periodontal health and gingival diseases and conditions on an intact and a reduced periodontium: Consensus report of workgroup 1 of the 2017 World Workshop on the Classification of Periodontal and Peri-Implant Diseases and Conditions. J. Periodontol. 2018, 89 (Suppl. S1), S74–S84. [Google Scholar] [CrossRef] [PubMed]
- Papapanou, P.N.; Sanz, M.; Buduneli, N.; Dietrich, T.; Feres, M.; Fine, D.H.; Flemmig, T.F.; Garcia, R.; Giannobile, W.V.; Graziani, F.; et al. Periodontitis: Consensus report of workgroup 2 of the 2017 World Workshop on the Classification of Periodontal and Peri-Implant Diseases and Conditions. J. Periodontol. 2018, 89 (Suppl. S1), S173–S182. [Google Scholar] [CrossRef] [PubMed]
- Suvan, J.; Leira, Y.; Moreno, F.; Graziani, F.; Derks, J.; Tomasi, C. Subgingival instrumentation for treatment of periodontitis: A systematic review. J. Clin. Periodontol. 2020, 47, 155–175. [Google Scholar] [CrossRef]
- Herrera, D.; Matesanz, P.; Martín, C.; Oud, V.; Feres, M.; Teughels, W. Adjunctive effect of locally delivered antimicrobials in periodontitis therapy: A systematic review and meta-analysis. J. Clin. Periodontol. 2020, 47, 239–256. [Google Scholar] [CrossRef]
- Figuero, E.; Roldán, S.; Serrano, J.; Escribano, M.; Martín, C.; Preshaw, P.M. Efficacy of adjunctive therapies in patients with gingival inflammation: A systematic review and meta-analysis. J. Clin. Periodontol. 2020, 47, 125–143. [Google Scholar] [CrossRef]
- Sanz, M.; Herrera, D.; Kebschull, M.; Chapple, I.; Jepsen, S.; Berglundh, T.; Sculean, A.; Tonetti, M.S.; EFP Workshop Participants and Methodological Consultants. Treatment of stage I–III periodontitis—The EFP S3 level clinical practice guideline. J. Clin. Periodontol. 2020, 47, 4–60. [Google Scholar] [CrossRef]
- Stavropoulos, A.; Bertl, K.; Spineli, L.M.; Sculean, A.; Cortellini, P.; Tonetti, M. Medium- and long-term clinical benefits of periodontal regenerative/reconstructive procedures in intrabony defects: Systematic review and network meta-analysis of randomized controlled clinical studies. J. Clin. Periodontol. 2021, 48, 410–430. [Google Scholar] [CrossRef]
- Papapanou, P.N.; Tonetti, M.S. Diagnosis and epidemiology of periodontal osseous lesions. Periodontology 2000 2000, 22, 8–21. [Google Scholar] [CrossRef]
- Kim, C.K.; Choi, S.H.; Kim, T.S.; Kaltschmitt, J.; Eickholz, P. The infrabony defect and its determinants. J. Periodontal Res. 2006, 41, 498–505. [Google Scholar] [CrossRef] [PubMed]
- Herrera, D.; Sanz, M.; Kebschull, M.; Jepsen, S.; Sculean, A.; Berglundh, T.; Papapanou, P.N.; Chapple, I.; Tonetti, M.S.; EFP Workshop Participants and Methodological Consultant. Treatment of stage IV periodontitis: The EFP S3 level clinical practice guideline. J. Clin. Periodontol. 2022, 49 (Suppl. 24), 4–71. [Google Scholar] [CrossRef]
- Cortellini, P.; Prato, G.P.; Tonetti, M.S. The modified papilla preservation technique: A new surgical approach for interproximal regenerative procedures. J. Periodontol. 1995, 66, 261–266. [Google Scholar] [CrossRef]
- Cortellini, P.; Tonetti, M.S. Improved wound stability with a modified minimally invasive surgical technique in the regenerative treatment of isolated interdental intrabony defects. J. Clin. Periodontol. 2009, 36, 157–163. [Google Scholar] [CrossRef]
- Graziani, F.; Gennai, S.; Cei, S.; Cairo, F.; Baggiani, A.; Miccoli, M.; Gabriele, M.; Tonetti, M. Clinical performance of access flap surgery in the treatment of the intrabony defect: A systematic review and meta-analysis of randomized clinical trials. J. Clin. Periodontol. 2012, 39, 145–156. [Google Scholar] [CrossRef]
- Aljateeli, M.; Koticha, T.; Bashutski, J.; Sugai, J.V.; Braun, T.M.; Giannobile, W.V.; Wang, H.L. Surgical periodontal therapy with and without initial scaling and root planing in the management of chronic periodontitis: A randomized clinical trial. J. Clin. Periodontol. 2014, 41, 693–700. [Google Scholar] [CrossRef] [PubMed]
- Estrin, N.E.; Moraschini, V.; Zhang, Y.; Romanos, G.E.; Sculean, A.; Miron, R.J. Combination of Nd:YAG and Er:YAG lasers in non-surgical periodontal therapy: A systematic review of randomized clinical studies. Lasers Med. Sci. 2022, 37, 2737–2743. [Google Scholar] [CrossRef]
- Mizutani, K.; Aoki, A.; Coluzzi, D.; Yukna, R.; Wang, C.Y.; Pavlic, V.; Izumi, Y. Lasers in minimally invasive periodontal and peri-implant therapy. Periodontology 2000 2016, 71, 185–212. [Google Scholar] [CrossRef]
- Ishikawa, I.; Aoki, A.; Takasaki, A.A.; Mizutani, K.; Sasaki, K.M.; Izumi, Y. Application of lasers in periodontics: True innovation or myth? Periodontology 2000 2009, 50, 90–126. [Google Scholar] [CrossRef]
- Abu-Ta’a, M.; Karameh, R. Laser and Its Application in Periodontology: A Review of Literature. Open J. Stomatol. 2022, 12, 305–320. [Google Scholar] [CrossRef]
- Al Asmari, D.; Alenezi, A. Laser Technology in Periodontal Treatment: Benefits, Risks, and Future Directions—A Mini Review. J. Clin. Med. 2025, 14, 1962. [Google Scholar] [CrossRef] [PubMed]
- O’Leary, T.J.; Drake, R.B.; Naylor, J.E. The plaque control record. J. Periodontol. 1972, 43, 38. [Google Scholar] [CrossRef] [PubMed]
- Ainamo, J.; Bay, I. Problems and proposals for recording gingivitis and plaque. Int. Dent. J. 1975, 25, 229–235. [Google Scholar]
- Cortellini, P.; Tonetti, M.S.; Lang, N.P.; Suvan, J.E.; Zucchelli, G.; Vangsted, T.; Silvestri, M.; Rossi, R.; McClain, P.; Fonzar, A.; et al. The simplified papilla preservation flap in the regenerative treatment of deep intrabony defects: Clinical outcomes and postoperative morbidity. J. Periodontol. 2001, 72, 1702–1712. [Google Scholar] [CrossRef]
- Cortellini, P.; Tonetti, M.S. Minimally invasive surgical technique (M.I.S.T.) and enamel matrix derivative (EMD) in intrabony defects. (I) Clinical outcomes and intraoperative and post-operative morbidity. J. Clin. Periodontol. 2007, 34, 1082–1088. [Google Scholar] [CrossRef] [PubMed]
- Dolińska, E.; Skurska, A.; Dymicka-Piekarska, V.; Milewski, R.; Pietruska, M. Matrix metalloproteinase 9 (MMP-9) and interleukin-8 (IL-8) in gingival crevicular fluid after minimally invasive periodontal surgery with or without Er:YAG and Nd:YAG laser application. Antibiotics 2024, 13, 704. [Google Scholar] [CrossRef]
- Clementini, M.; Ambrosi, A.; Cicciarelli, V.; De Risi, V.; De Sanctis, M. Clinical performance of minimally invasive periodontal surgery in the treatment of infrabony defects: Systematic review and meta-analysis. J. Clin. Periodontol. 2019, 46, 1236–1253. [Google Scholar] [CrossRef] [PubMed]
- Cosyn, J.; Cleymaet, R.; Hanselaer, L.; De Bruyn, H. Regenerative periodontal therapy of infrabony defects using minimally invasive surgery and a collagen-enriched bovine-derived xenograft: A 1-year prospective study on clinical and aesthetic outcome. J. Clin. Periodontol. 2012, 39, 979–986. [Google Scholar] [CrossRef]
- Mishra, A.; Avula, H.; Pathakota, K.R.; Avula, J. Efficacy of modified minimally invasive surgical technique in the treatment of human intrabony defects with or without use of rhPDGF-BB gel: A randomized controlled trial. J. Clin. Periodontol. 2013, 40, 172–179. [Google Scholar] [CrossRef]
- Ribeiro, F.V.; Casarin, R.C.; Palma, M.A.; Júnior, F.H.; Sallum, E.A.; Casati, M.Z. Clinical and microbiological changes after minimally invasive therapeutic approaches in intrabony defects: A 12-month follow-up. Clin. Oral Investig. 2013, 17, 1635–1644. [Google Scholar] [CrossRef]
- Cortellini, P.; Tonetti, M.S. Clinical and radiographic outcomes of the modified minimally invasive surgical technique with and without regenerative materials: A randomized-controlled trial in intra-bony defects. J. Clin. Periodontol. 2011, 38, 365–373. [Google Scholar] [CrossRef]
- Liu, S.; Hu, B.; Zhang, Y.; Li, W.; Song, J. Minimally invasive surgery combined with regenerative biomaterials in treating intra-bony defects: A meta-analysis. PLoS ONE 2016, 11, e0147001. [Google Scholar] [CrossRef] [PubMed]
- Needleman, I.; Tucker, R.; Giedrys-Leeper, E.; Worthington, H. Guided tissue regeneration for periodontal intrabony defects—A Cochrane systematic review. Periodontology 2000 2005, 37, 106–123. [Google Scholar] [CrossRef] [PubMed]
- Nibali, L.; Koidou, V.P.; Nieri, M.; Barbato, L.; Pagliaro, U.; Cairo, F. Regenerative surgery versus access flap for the treatment of intra-bony periodontal defects: A systematic review and meta-analysis. J. Clin. Periodontol. 2020, 47, 320–351. [Google Scholar] [CrossRef] [PubMed]
- Retzepi, M.; Tonetti, M.; Donos, N. Gingival blood flow changes following periodontal access flap surgery using laser Doppler flowmetry. J. Clin. Periodontol. 2007, 34, 437–443. [Google Scholar] [CrossRef]
- Cortellini, P.; Cortellini, S.; Bonaccini, D.; Tonetti, M.S. Modified minimally invasive surgical technique in human intrabony defects with or without regenerative materials—10-year follow-up of a randomized clinical trial: Tooth retention, periodontitis recurrence, and costs. J. Clin. Periodontol. 2022, 49, 528–536. [Google Scholar] [CrossRef]
- Silvestri, M.; Rasperini, G.; Milani, S. 120 infrabony defects treated with regenerative therapy: Long-term results. J. Periodontol. 2011, 82, 668–675. [Google Scholar] [CrossRef]
- Patel, R.A.; Wilson, R.F.; Palmer, R.M. The effect of smoking on periodontal bone regeneration: A systematic review and meta-analysis. J. Periodontol. 2012, 83, 143–155. [Google Scholar] [CrossRef]
- Tomasi, C.; Wennström, J.L. Full-mouth treatment vs. the conventional staged approach for periodontal infection control. Periodontology 2000 2009, 1, 45–62. [Google Scholar] [CrossRef]
- Labriola, A.; Needleman, I.; Moles, D.R. Systematic review of the effect of smoking on nonsurgical periodontal therapy. Periodontology 2000 2005, 37, 124–137. [Google Scholar] [CrossRef]
- Heasman, L.; Stacey, F.; Preshaw, P.M.; McCracken, G.I.; Hepburn, S.; Heasman, P.A. The effect of smoking on periodontal treatment response: A review of clinical evidence. J. Clin. Periodontol. 2006, 33, 241–253. [Google Scholar] [CrossRef] [PubMed]
- Simonelli, A.; Severi, M.; Trombelli, L.; Farina, R. Minimal invasiveness in the surgical treatment of intraosseous defects: A systematic review. Periodontology 2000 2023, 91, 20–44. [Google Scholar] [CrossRef] [PubMed]
- Gaspirc, B.; Skaleric, U. Clinical evaluation of periodontal surgical treatment with an Er:YAG laser: 5-year results. J. Periodontol. 2007, 78, 1864–1871. [Google Scholar] [CrossRef]
- Sculean, A.; Schwarz, F.; Berakdar, M.; Windisch, P.; Arweiler, N.B.; Romanos, G.E. Healing of intrabony defects following surgical treatment with or without an Er:YAG laser. J. Clin. Periodontol. 2004, 31, 604–608. [Google Scholar] [CrossRef] [PubMed]
- Lavu, V.; Sundaram, S.; Sabarish, R.; Rao, S.R. Root surface biomodification with erbium lasers—A myth or a reality? Open Dent. J. 2015, 9, 79–86. [Google Scholar] [CrossRef] [PubMed]
- Dilsiz, A.; Canakci, V.; Aydin, T. The combined use of Nd:YAG laser and enamel matrix proteins in the treatment of periodontal infrabony defects. J. Periodontol. 2010, 81, 1411–1418. [Google Scholar] [CrossRef]
- Yukna, R.A.; Carr, R.L.; Evans, G.H. Histologic evaluation of an Nd:YAG laser-assisted new attachment procedure in humans. Int. J. Periodontics Restor. Dent. 2007, 27, 577–587. [Google Scholar] [PubMed]
- Nevins, M.L.; Camelo, M.; Schupbach, P.; Kim, S.W.; Kim, D.M.; Nevins, M. Human clinical and histologic evaluation of laser-assisted new attachment procedure. Int. J. Periodontics Restor. Dent. 2012, 32, 497–507. [Google Scholar] [PubMed]
- Behdin, S.; Monje, A.; Lin, G.H.; Edwards, B.; Othman, A.; Wang, H.L. Effectiveness of laser application for periodontal surgical therapy: Systematic review and meta-analysis. J. Periodontol. 2015, 86, 1352–1363. [Google Scholar] [CrossRef] [PubMed]




| No | Gender | Mean Age | Incisors/Canines/ Premolars/Molars | Defect Walls 3walls/2walls/1wall | Mean Intrasurgical Defect Depth | Mean Intrasurgical Defect Width | |
|---|---|---|---|---|---|---|---|
| Test (M-MIST+Er:YAG+Nd:YAG) | 19 | 12F/7M | 47 | 3/3/12/1 | 5/11/3 | 4.03 | 2.58 |
| Control (M-MIST) | 19 | 9F/10M | 43.5 | 3/1/9/6 | 3/15/1 | 4.34 | 2.95 |
| significance | NS | NS | - | - | NS | NS |
| Basal | 3 Months | 6 Months | 12 Month | p * (Changes in Time) | |
|---|---|---|---|---|---|
| FMPS | |||||
| M-MIST+Er:YAG+Nd:YAG | 10.79 ± 4.41 | 12.21 ± 6.28 | 12.23 ± 6.61 | 12.16 ± 6.35 | NS |
| M-MIST | 11.59 ± 4.67 | 14.36 ± 9.97 | 11.82 ± 7.33 | 9.91 ± 4.42 | NS |
| p ** (between groups) | NS | NS | NS | NS | |
| FMBOP | |||||
| M-MIST+Er:YAG+Nd:YAG | 10.71 ± 3.89 | 9.35 ± 5.02 | 11.60 ± 6.14 | 14.81 ± 7.43 | NS |
| M-MIST | 10.34 ± 4.58 | 10.32 ± 8.57 | 10.67 ± 7.59 | 9.69 ± 4.95 | NS |
| p ** (between groups) | NS | NS | NS | p = 0.035 |
| Basal | 12 Month | p * (Changes in Time) | Basal Median | 12 Month Median | Diff 0–12 | |
|---|---|---|---|---|---|---|
| PD (mm) | ||||||
| M-MIST+Er:YAG+Nd:YAG | 7.26 ± 1.44 | 4.31 ± 1.63 | p = 0.0002 | 7 (6–11) | 4 (2–9) | 2.95 ± 1.31 |
| M-MIST | 7.15 ± 1.25 | 4.21 ± 1.43 | p = 0.0002 | 7 (5–9) | 4 (3–9) | 2.95 ± 1.35 |
| p ** (between groups) | NS | NS | ||||
| GR (mm) | ||||||
| M-MIST+Er:YAG+Nd:YAG | 1.31 ± 1.34 | 1.26 ± 1.09 | NS | 1.5 (0–4) | 1 (0–3) | 0.05 ± 0.6 |
| M-MIST | 0.89 ± 1.19 | 1.21 ± 1.61 | NS | 0 (0–4) | 1 (0–5) | −0.32 ± 1.00 |
| p ** (between groups) | NS | NS | ||||
| CAL (mm) | ||||||
| M-MIST+Er:YAG+Nd:YAG | 8.57 ± 2.16 | 5.57 ± 1.86 | p = 0.0002 | 8 (6–15) | 6 (2–9) | 3.0 ± 1.57 |
| M-MIST | 8.05 ± 1.8 | 5.42 ± 2.77 | p = 0.0008 | 8 (5–12) | 4 (3–14) | 2.63 ± 2.03 |
| p ** (between groups) | NS | NS | ||||
| KT (mm) | ||||||
| M-MIST+Er:YAG+Nd:YAG | 3.78 ± 1.78 | 3.73 ± 1.69 | NS | 4 (1–7) | 4 (1–7) | 0.05 ± 0.85 |
| M-MIST | 4.47 ± 1.38 | 4.10 ± 1.52 | NS | 4 (2–7) | 4 (2–7) | 0.37 ± 1.3 |
| p ** (between groups) | NS | NS |
| Basal | 12 Month | p * (Changes in Time) | Basal Median | 12 Month Median | Diff 0–12 | |
|---|---|---|---|---|---|---|
| RxD (mm) | ||||||
| M-MIST+Er:YAG+Nd:YAG | 4.42 ± 1.98 | 3.04 ± 1.75 | p = 0.0007 | 3.6 (2.3–9.8) | 2.6 (0–7.3) | 1.38 ± 1.47 |
| M-MIST | 3.71 ± 1.22 | 2.37 ± 1.02 | p = 0.0002 | 3.3 (2.2–6.3) | 2.5 (0.8–4.3) | 1.34 ± 1.08 |
| p ** (between groups) | NS | NS | ||||
| RxW (mm) | ||||||
| M-MIST+Er:YAG+Nd:YAG | 2.13 ± 0.83 | 1.99 ± 0.91 | NS | 2.2 (0.8–3.3) | 2.4 (0–3.3) | 0.14 ± 0.56 |
| M-MIST | 2.28 ± 1.04 | 1.88 ± 1.13 | p = 0.006 | 2.2 (1.1–5.5) | 1.6 (0.7–6) | 0.4 ± 0.58 |
| p ** (between groups) | NS | NS |
Disclaimer/Publisher’s Note: The statements, opinions and data contained in all publications are solely those of the individual author(s) and contributor(s) and not of MDPI and/or the editor(s). MDPI and/or the editor(s) disclaim responsibility for any injury to people or property resulting from any ideas, methods, instructions or products referred to in the content. |
© 2025 by the authors. Licensee MDPI, Basel, Switzerland. This article is an open access article distributed under the terms and conditions of the Creative Commons Attribution (CC BY) license (https://creativecommons.org/licenses/by/4.0/).
Share and Cite
Skurska, A.; Dolińska, E.; Milewski, R.; Pietruska, M. Laser Assisted (Er:YAG and Nd:YAG) Minimally Invasive Peri-Odontal Surgery in the Treatment of Intrabony Defects—A 12-Month Observational Randomized Clinical Trial. Bioengineering 2025, 12, 1002. https://doi.org/10.3390/bioengineering12091002
Skurska A, Dolińska E, Milewski R, Pietruska M. Laser Assisted (Er:YAG and Nd:YAG) Minimally Invasive Peri-Odontal Surgery in the Treatment of Intrabony Defects—A 12-Month Observational Randomized Clinical Trial. Bioengineering. 2025; 12(9):1002. https://doi.org/10.3390/bioengineering12091002
Chicago/Turabian StyleSkurska, Anna, Ewa Dolińska, Robert Milewski, and Małgorzata Pietruska. 2025. "Laser Assisted (Er:YAG and Nd:YAG) Minimally Invasive Peri-Odontal Surgery in the Treatment of Intrabony Defects—A 12-Month Observational Randomized Clinical Trial" Bioengineering 12, no. 9: 1002. https://doi.org/10.3390/bioengineering12091002
APA StyleSkurska, A., Dolińska, E., Milewski, R., & Pietruska, M. (2025). Laser Assisted (Er:YAG and Nd:YAG) Minimally Invasive Peri-Odontal Surgery in the Treatment of Intrabony Defects—A 12-Month Observational Randomized Clinical Trial. Bioengineering, 12(9), 1002. https://doi.org/10.3390/bioengineering12091002

