Toxicological Analysis of Acetamiprid Degradation by the Dominant Strain Md2 and Its Effect on the Soil Microbial Community
Abstract
1. Introduction
2. Materials and Methods
2.1. Chemicals and Materials
2.2. Enrichment, Isolation, and Characterization of the Acetamiprid-Degrading Strain
2.3. Optimization of Acetamiprid-Degrading Conditions
2.4. Toxicity Analysis of Acetamiprid and Its Metabolites
2.4.1. Effects of Acetamiprid and Its Metabolites on Cabbage Seed
2.4.2. Effects of Acetamiprid and Its Metabolites on Escherichia coli
2.4.3. Micronucleus Test
2.5. Bioremediation of Acetamiprid-Contaminated Soil by Dominant Strain Md2
2.6. Analysis of Microbial Communities by High-Throughput Sequencing
3. Results and Discussion
3.1. Identification of Acetamiprid Degrading Strain
3.2. Optimization of Acetamiprid Degrading Conditions
3.3. Biotoxicity Analysis of Acetamiprid and Its Metabolites
3.3.1. Effects of Toxicity on Cabbage Seeds
3.3.2. Effects of Toxicity on E. coli
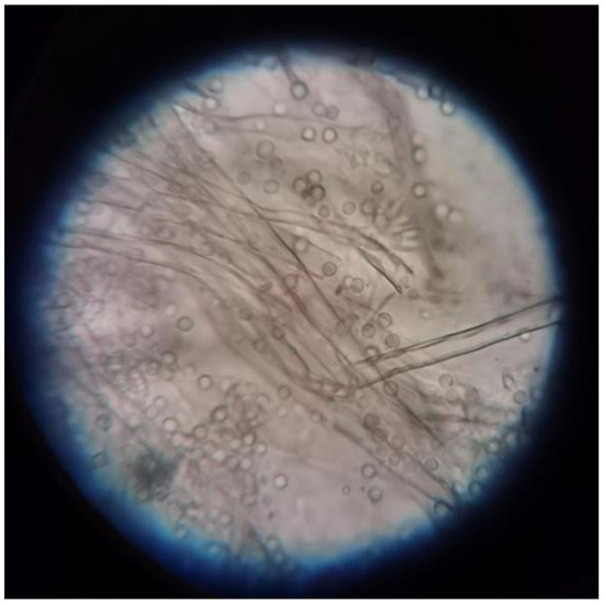
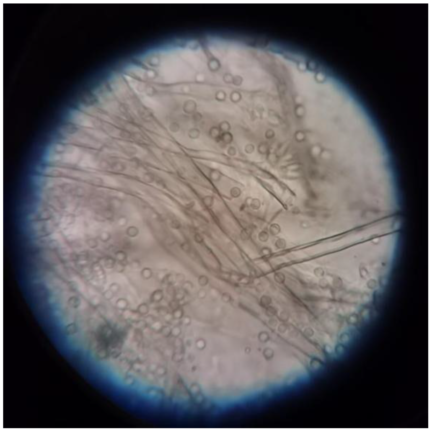
3.3.3. Micronucleus Test
3.4. Analysis of the Degradation Mechanism of Acetamiprid
3.5. Effect of Md2 on the Degradation of Acetamiprid in Soil and Microbial Community Diversity
3.5.1. Degradation of Acetamiprid by Dominate Strain Md2
3.5.2. Alpha Diversity Index Analysis
3.5.3. Beta Diversity Index Analysis
3.5.4. Effects of Dominant Strains and Acetamiprid on the Composition of Microbial Communities
4. Conclusions
Author Contributions
Funding
Institutional Review Board Statement
Informed Consent Statement
Data Availability Statement
Acknowledgments
Conflicts of Interest
References
- Dolatabadi, M.; Naidu, H.; Ahmadzadeh, S. A green approach to remove acetamiprid insecticide using pistachio shell-based modified activated carbon; economical groundwater treatment. J. Clean. Prod. 2021, 316, 128226. [Google Scholar] [CrossRef]
- Guo, W.; Yang, Y.; Zhou, X.; Ming, R.Y.; Hu, D.Y.; Lu, P. Insight into the toxic effects, bioconcentration and oxidative stress of acetamiprid on Rana nigromaculata tadpoles. Chemosphere 2022, 305, 135380. [Google Scholar] [CrossRef] [PubMed]
- Xie, G.H.; Liu, G.G.; Dezhi, S.; Zheng, L.Q. Kinetics of Acetamiprid Photolysis in Solution. Bull. Environ. Contam. Toxicol. 2009, 82, 129–132. [Google Scholar] [CrossRef]
- Roberts, T.; Hutson, D.; Lee, P.W.; Nicholls, P.H.; Plimmer, J.R. Metabolic pathways of agrochemicals, Part two: Insecticides and fungicide. In Neonicotinoids, 1st ed.; Roberts, T.R., Ed.; The Royal Society of Chemistry: London, UK, 1999; pp. 111–120. [Google Scholar] [CrossRef]
- Wang, J.; Ohno, H.; Ide, Y.; Ichinose, H.; Mori, T.; Kawagishi, H.; Hirai, H. Identification of the cytochrome P450 involved in the degradation of neonicotinoid insecticide acetamiprid in Phanerochaete chrysosporium. J. Hazard. Mater. 2019, 371, 494–498. [Google Scholar] [CrossRef] [PubMed]
- Cycoń, M.; Markowicz, A.; Borymski, S.; Wójcik, M.; Piotrowska-Seget, Z. Imidacloprid induces changes in the structure, genetic diversity and catabolic activity of soil microbial communities. J. Environ. Manag. 2013, 131, 55–65. [Google Scholar] [CrossRef] [PubMed]
- Hallmann, C.A.; Foppen, R.P.B.; van Turnhout, C.A.M.; de Kroon, H.; Jongejans, E. Declines in insectivorous birds are associated with high neonicotinoid concentrations. Nature 2014, 511, 341–343. [Google Scholar] [CrossRef] [PubMed]
- Mori, T.; Wang, J.; Tanaka, Y.; Nagai, K.; Kawagishi, H.; Hirai, H. Bioremediation of the neonicotinoid insecticide clothianidin by the white-rot fungus Phanerochaete sordida. J. Hazard. Mater. 2017, 321, 586–590. [Google Scholar] [CrossRef]
- Kaur, R.P.; Gupta, V.; Christopher, A.F.; Bansal, P. Potential pathways of pesticide action on erectile function—A contributory factor in male infertility. Asian Pac. J. Reprod. 2015, 4, 322–330. [Google Scholar] [CrossRef]
- Pimentel, D.; Levitan, L. Pesticides: Amounts Applied and Amounts Reaching Pests. BioScience 1986, 36, 86–91. [Google Scholar] [CrossRef]
- Garcerá, C.; Moltó, E.; Chueca, P. Spray pesticide applications in Mediterranean citrus orchards: Canopy deposition and off-target losses. Sci. Total Environ. 2017, 599–600, 1344–1362. [Google Scholar] [CrossRef]
- Jensen, P.D.; Sullivan, T.; Carney, C.; Batstone, D.J. Analysis of the potential to recover energy and nutrient resources from cattle slaughterhouses in Australia by employing anaerobic digestion. Appl. Energy 2014, 136, 23–31. [Google Scholar] [CrossRef]
- Wang, F.; Yao, J.; Chen, H.; Yi, Z.; Choi, M.M. Influence of short-time imidacloprid and acetamiprid application on soil microbial metabolic activity and enzymatic activity. Environ. Sci. Pollut. Res. Int. 2014, 21, 10129–10138. [Google Scholar] [CrossRef] [PubMed]
- Cycon, M.; Mrozik, A.; Piotrowska-Seget, Z. Antibiotics in the Soil Environment-Degradation and Their Impact on Microbial Activity and Diversity. Front. Microbiol. 2019, 10, 338. [Google Scholar] [CrossRef] [PubMed]
- Wu, C.; Wang, Z.; Ma, Y.; Luo, J.; Gao, X.; Ning, J.; Mei, X.; She, D. Influence of the neonicotinoid insecticide thiamethoxam on soil bacterial community composition and metabolic function. J. Hazard. Mater. 2021, 405, 124275. [Google Scholar] [CrossRef] [PubMed]
- Yao, X.-H.; Min, H.; Lu, Z.-H.; Yuan, H.-P. Influence of acetamiprid on soil enzymatic activities and respiration. Eur. J. Soil Biol. 2006, 42, 120–126. [Google Scholar] [CrossRef]
- Hamada, A.; Wahl, G.D.; Nesterov, A.; Nakao, T.; Kawashima, M.; Banba, S. Differential metabolism of imidacloprid and dinotefuran by Bemisia tabaci CYP6CM1 variants. Pestic. Biochem. Physiol. 2019, 159, 27–33. [Google Scholar] [CrossRef] [PubMed]
- Chen, S.; Chang, C.; Deng, Y.; An, S.; Dong, Y.H.; Zhou, J.; Hu, M.; Zhong, G.; Zhang, L.-H. Fenpropathrin Biodegradation Pathway in Bacillus sp. DG-02 and Its Potential for Bioremediation of Pyrethroid-Contaminated Soils. J. Agric. Food Chem. 2014, 62, 2147–2157. [Google Scholar] [CrossRef] [PubMed]
- Rana, S.; Jindal, V.; Mandal, K.; Kaur, G.; Gupta, V.K. Thiamethoxam degradation by Pseudomonas and Bacillus strains isolated from agricultural soils. Environ. Monit. Assess. 2015, 187, 300. [Google Scholar] [CrossRef] [PubMed]
- Xiao, Y.; Chen, S.; Gao, Y.; Hu, W.; Hu, M.; Zhong, G. Isolation of a novel beta-cypermethrin degrading strain Bacillus subtilis BSF01 and its biodegradation pathway. Appl. Microbiol. Biotechnol. 2015, 99, 2849–2859. [Google Scholar] [CrossRef]
- Zhan, H.; Wang, H.; Liao, L.; Feng, Y.; Fan, X.; Zhang, L.; Chen, S. Kinetics and Novel Degradation Pathway of Permethrin in Acinetobacter baumannii ZH-14. Front. Microbiol. 2018, 9, 98. [Google Scholar] [CrossRef]
- Bhatt, P.; Bhatt, K.; Huang, Y.; Lin, Z.; Chen, S. Esterase is a powerful tool for the biodegradation of pyrethroid insecticides. Chemosphere 2020, 244, 125507. [Google Scholar] [CrossRef]
- Xu, B.; Xue, R.; Zhou, J.; Wen, X.; Shi, Z.; Chen, M.; Xin, F.; Zhang, W.; Dong, W.; Jiang, M. Characterization of Acetamiprid Biodegradation by the Microbial Consortium ACE-3 Enriched From Contaminated Soil. Front. Microbiol. 2020, 11, 1429. [Google Scholar] [CrossRef] [PubMed]
- Zhai, Q.; Chen, X.; Zhang, M.; Zhang, C.; Zhang, Z.; Pan, H.; Zhang, H.; Sun, F. Immobilization of Klebsiella jilinsis strain 2N3 by corn straw biochar enhanced the degradation of nicosulfuron and restores the soil microbiome function and composition. Appl. Soil Ecol. 2023, 189, 104917. [Google Scholar] [CrossRef]
- Zang, H.; Yu, Q.; Lv, T.; Cheng, Y.; Feng, L.; Cheng, X.; Li, C. Insights into the degradation of chlorimuron-ethyl by Stenotrophomonas maltophilia D310-3. Chemosphere 2016, 144, 176–184. [Google Scholar] [CrossRef] [PubMed]
- Shi, Z.; Dong, W.; Xin, F.; Liu, J.; Zhou, X.; Xu, F.; Lv, Z.; Ma, J.; Zhang, W.; Fang, Y.; et al. Characteristics and metabolic pathway of acetamiprid biodegradation by Fusarium sp. strain CS-3 isolated from soil. Biodegradation 2018, 29, 593–603. [Google Scholar] [CrossRef]
- Elango, D.; Siddharthan, N.; Alaqeel, S.I.; Subash, V.; Manikandan, V.; Almansour, A.I.; Kayalvizhi, N.; Jayanthi, P. Biodegradation of neonicotinoid insecticide acetamiprid by earthworm gut bacteria Brucella intermedium PDB13 and its ecotoxicity. Microbiol. Res. 2023, 268, 127278. [Google Scholar] [CrossRef] [PubMed]
- Medhi, K.; Thakur, I.S. Bioremoval of nutrients from wastewater by a denitrifier Paracoccus denitrificans ISTOD1. Bioresour. Technol. Rep. 2018, 1, 56–60. [Google Scholar] [CrossRef]
- Swati; Ghosh, P.; Thakur, I.S. Biodegradation of pyrene by Pseudomonas sp. ISTPY2 isolated from landfill soil: Process optimisation using Box-Behnken design model. Bioresour. Technol. Rep. 2019, 8, 100329. [Google Scholar] [CrossRef]
- Zhang, X.; Huang, Y.; Chen, W.-J.; Wu, S.; Lei, Q.; Zhou, Z.; Zhang, W.; Mishra, S.; Bhatt, P.; Chen, S. Environmental occurrence, toxicity concerns, and biodegradation of neonicotinoid insecticides. Environ. Res. 2023, 218, 114953. [Google Scholar] [CrossRef]
- Zamule, S.M.; Dupre, C.E.; Mendola, M.L.; Widmer, J.; Shebert, J.A.; Roote, C.E.; Das, P. Bioremediation potential of select bacterial species for the neonicotinoid insecticides, thiamethoxam and imidacloprid. Ecotoxicol. Environ. Saf. 2021, 209, 111814. [Google Scholar] [CrossRef]
- Bhatti, S.; Satyanarayana, G.N.V.; Patel, D.K.; Satish, A. Bioaccumulation, biotransformation and toxic effect of fipronil in Escherichia coli. Chemosphere 2019, 231, 207–215. [Google Scholar] [CrossRef] [PubMed]
- Wen-yi, L.; Rui-xia, F.; Peng-yu, Y.; Zhi, Y.; Yun-tao, G.; Hua-bin, X.; Xiao-fen, L.; Man-hong, L. Study on monitoring soil pesticide pollution by plant micronucleus technology. J. Yunnan Minzu Univ. (Nat. Sci. Ed.) 2021, 30, 532–535. [Google Scholar]
- Papadopoulou, E.S.; Genitsaris, S.; Omirou, M.; Perruchon, C.; Stamatopoulou, A.; Ioannides, I.; Karpouzas, D.G. Bioaugmentation of thiabendazole-contaminated soils from a wastewater disposal site: Factors driving the efficacy of this strategy and the diversity of the indigenous soil bacterial community. Environ. Pollut. 2018, 233, 16–25. [Google Scholar] [CrossRef] [PubMed]
- Li, H.; Qiu, Y.; Yao, T.; Ma, Y.; Zhang, H.; Yang, X.; Li, C. Evaluation of seven chemical pesticides by mixed microbial culture (PCS-1): Degradation ability, microbial community, and Medicago sativa phytotoxicity. J. Hazard. Mater. 2020, 389, 121834. [Google Scholar] [CrossRef] [PubMed]
- Pelosi, C.; Joimel, S.; Makowski, D. Searching for a more sensitive earthworm species to be used in pesticide homologation tests—A meta-analysis. Chemosphere 2013, 90, 895–900. [Google Scholar] [CrossRef]
- Huang, Y.C.; Xiao, L.J.; Li, F.Y.; Xiao, M.S.; Lin, D.R.; Long, X.M.; Wu, Z.J. Microbial Degradation of Pesticide Residues and an Emphasis on the Degradation of Cypermethrin and 3-phenoxy Benzoic Acid: A Review. Molecules 2018, 23, 2313. [Google Scholar] [CrossRef] [PubMed]
- Iqbal, M. Vicia faba bioassay for environmental toxicity monitoring: A review. Chemosphere 2016, 144, 785–802. [Google Scholar] [CrossRef] [PubMed]
- Hong-Zhi, Z. The Micronuclear Research Of The Environmental Pollution Caused By A Virulent Organic Phosphorus Pesticide (Parathion-Methyl). J. Sichuan Univ. (Nat. Sci. Ed.) 2000, 62–66. [Google Scholar]
- Ji, W.; Chen, T.; Sang, Q.; Dai, Y.; Ge, F.; Yuan, S. Metabolic Effects of Penicillium Oxalicum IM-3 on Chloropyridine Nicotinic Insecticides. J. Ecol. Rural Environ. 2010, 26, 246–250. [Google Scholar]
- Hurek, T.; Wagner, B.; Reinhold-Hurek, B. Identification of N2-fixing plant- and fungus-associated Azoarcus species by PCR-based genomic fingerprints. Appl. Environ. Microbiol. 1997, 63, 4331–4339. [Google Scholar] [CrossRef]
- Wang, C.-N.; Wu, R.-L.; Li, Y.-Y.; Qin, Y.-F.; Li, Y.-L.; Meng, F.-Q.; Wang, L.-G.; Xu, F.-L. Effects of pesticide residues on bacterial community diversity and structure in typical greenhouse soils with increasing cultivation years in Northern China. Sci. Total Environ. 2020, 710, 136321. [Google Scholar] [CrossRef] [PubMed]
- Pan, X.; Wang, S.; Shi, N.; Fang, H.; Yu, Y. Biodegradation and detoxification of chlorimuron-ethyl by Enterobacter ludwigii sp. CE-1. Ecotoxicol. Environ. Saf. 2018, 150, 34–39. [Google Scholar] [CrossRef] [PubMed]
- Pang, S.M.; Lin, Z.Q.; Zhang, W.P.; Mishra, S.; Bhatt, P.; Chen, S.H. Insights Into the Microbial Degradation and Biochemical Mechanisms of Neonicotinoids. Front. Microbiol. 2020, 11, 00868. [Google Scholar] [CrossRef] [PubMed]
- Zhang, Y.; Zhang, X.L.; Zhang, H.W.; He, Q.; Zhou, Q.X.; Su, Z.C.; Zhang, C.G. Responses of Soil Bacteria to Long-Term and Short-Term Cadmium Stress as Revealed by Microbial Community Analysis. Bull. Environ. Contam. Toxicol. 2009, 82, 367–372. [Google Scholar] [CrossRef] [PubMed]
- Desai, C.; Parikh, R.Y.; Vaishnav, T.; Shouche, Y.S.; Madamwar, D. Tracking the influence of long-term chromium pollution on soil bacterial community structures by comparative analyses of 16S rRNA gene phylotypes. Res. Microbiol. 2009, 160, 1–9. [Google Scholar] [CrossRef]
- Huang, L.-N.; Zhu, S.; Zhou, H.; Qu, L.-H. Molecular phylogenetic diversity of bacteria associated with the leachate of a closed municipal solid waste landfill. FEMS Microbiol. Lett. 2005, 242, 297–303. [Google Scholar] [CrossRef]
- Sánchez, O.; Ferrera, I.; González, J.M.; Mas, J. Assessing bacterial diversity in a seawater-processing wastewater treatment plant by 454-pyrosequencing of the 16S rRNA and amoA genes. Microb. Biotechnol. 2013, 6, 435–442. [Google Scholar] [CrossRef] [PubMed]
- Yu, B.; Chen, Z.; Lu, X.; Huang, Y.; Zhou, Y.; Zhang, Q.; Wang, D.; Li, J. Effects on soil microbial community after exposure to neonicotinoid insecticides thiamethoxam and dinotefuran. Sci. Total Environ. 2020, 725, 138328. [Google Scholar] [CrossRef]
- Liang, Y.M.; Pan, F.J.; Ma, J.M.; Yang, Z.Q.; Yan, P.D. Long-term forest restoration influences succession patterns of soil bacterial communities. Environ. Sci. Pollut. Res. 2021, 28, 20598–20607. [Google Scholar] [CrossRef]
- Yan, B.S.; Sun, L.P.; Li, J.J.; Liang, C.Q.; Wei, F.R.; Xue, S.; Wang, G.L. Change in composition and potential functional genes of soil bacterial and fungal communities with secondary succession in Quercus liaotwigensis forests of the Loess Plateau, western China. Geoderma 2020, 364, 114199. [Google Scholar] [CrossRef]
- Nettles, R.; Watkins, J.; Ricks, K.; Boyer, M.; Licht, M.; Atwood, L.W.; Peoples, M.; Smith, R.G.; Mortensen, D.A.; Koide, R.T. Influence of pesticide seed treatments on rhizosphere fungal and bacterial communities and leaf fungal endophyte communities in maize and soybean. Appl. Soil Ecol. 2016, 102, 61–69. [Google Scholar] [CrossRef]
- Zabaloy, M.C.; Gómez, E.; Garland, J.L.; Gómez, M.A. Assessment of microbial community function and structure in soil microcosms exposed to glyphosate. Appl. Soil Ecol. 2012, 61, 333–339. [Google Scholar] [CrossRef]
- Upadhyay, L.S.B.; Dutt, A. Microbial Detoxification of Residual Organophosphate Pesticides in Agricultural Practices. In Microbial Biotechnology; Springer: Singapore, 2017; pp. 225–242. [Google Scholar]
- Horemans, B.; Vandermaesen, J.; Vanhaecke, L.; Smolders, E.; Springael, D. Variovorax sp.-mediated biodegradation of the phenyl urea herbicide linuron at micropollutant concentrations and effects of natural dissolved organic matter as supplementary carbon source. Appl. Microbiol. Biotechnol. 2013, 97, 9837–9846. [Google Scholar] [CrossRef] [PubMed]
- Mahapatra, B.; Adak, T.; Patil, N.K.B.; Gowda, G.B.; Jambhulkar, N.N.; Yadav, M.K.; Panneerselvam, P.; Kumar, U.; Munda, S.; Jena, M. Imidacloprid application changes microbial dynamics and enzymes in rice soil. Ecotoxicol. Environ. Saf. 2017, 144, 123–130. [Google Scholar] [CrossRef]
- Villaverde, J.; Rubio-Bellido, M.; Merchán, F.; Morillo, E. Bioremediation of diuron contaminated soils by a novel degrading microbial consortium. J. Environ. Manag. 2017, 188, 379–386. [Google Scholar] [CrossRef]










| Concentration (mg/L) | MCN‰ of Acetamiprid Group | MI of Acetamiprid Group | MCN‰ of Metabolite Group | MI of Metabolite Group |
|---|---|---|---|---|
| 0 | 0.14 ± 0.14 f | 0.20 ± 0.12 f | 0.20 ± 0.11 f | 0.15 ± 0.15 f |
| 5 | 4.50 ± 0.40 e | 4.82 ± 0.58 e | 0.94 ± 0.14 e | 1.23 ± 0.11 e |
| 10 | 5.76 ± 0.40 d | 8.34 ± 0.43 d | 1.64 ± 0.11 d | 2.16 ± 0.12 d |
| 20 | 11.09 ± 0.22 c | 10.84 ± 0.51 c | 3.03 ± 0.29 c | 3.15 ± 0.25 c |
| 50 | 13.24 ± 0.31 b | 13.61 ± 0.73 b | 3.85 ± 0.11 b | 4.45 ± 0.22 b |
| 100 | 15.99 ± 0.25 a | 16.28 ± 1.05 a | 4.68 ± 0.40 a | 5.81 ± 0.43 a |
| Group | Chao1 | Observed-Species | Shannon | Simpson | |
|---|---|---|---|---|---|
| Bacteria | CK | 6038.21 | 4978.20 | 11.28 | 0.99 |
| D | 3626.98 | 3126.33 | 8.19 | 0.98 | |
| DJ | 3417.11 | 3884.23 | 8.44 | 0.98 | |
| Fungi | CK | 899.07 | 891.87 | 6.8 | 0.97 |
| D | 369.96 | 365.83 | 1.7 | 0.28 | |
| DJ | 666.96 | 666.13 | 7.47 | 0.98 |
Disclaimer/Publisher’s Note: The statements, opinions and data contained in all publications are solely those of the individual author(s) and contributor(s) and not of MDPI and/or the editor(s). MDPI and/or the editor(s) disclaim responsibility for any injury to people or property resulting from any ideas, methods, instructions or products referred to in the content. |
© 2024 by the authors. Licensee MDPI, Basel, Switzerland. This article is an open access article distributed under the terms and conditions of the Creative Commons Attribution (CC BY) license (https://creativecommons.org/licenses/by/4.0/).
Share and Cite
Zhang, J.; Wang, X.; Yue, W.; Bao, J.; Yao, M.; Ge, L. Toxicological Analysis of Acetamiprid Degradation by the Dominant Strain Md2 and Its Effect on the Soil Microbial Community. Toxics 2024, 12, 572. https://doi.org/10.3390/toxics12080572
Zhang J, Wang X, Yue W, Bao J, Yao M, Ge L. Toxicological Analysis of Acetamiprid Degradation by the Dominant Strain Md2 and Its Effect on the Soil Microbial Community. Toxics. 2024; 12(8):572. https://doi.org/10.3390/toxics12080572
Chicago/Turabian StyleZhang, Jiale, Xin Wang, Wanlei Yue, Jia Bao, Mengqin Yao, and Ling Ge. 2024. "Toxicological Analysis of Acetamiprid Degradation by the Dominant Strain Md2 and Its Effect on the Soil Microbial Community" Toxics 12, no. 8: 572. https://doi.org/10.3390/toxics12080572
APA StyleZhang, J., Wang, X., Yue, W., Bao, J., Yao, M., & Ge, L. (2024). Toxicological Analysis of Acetamiprid Degradation by the Dominant Strain Md2 and Its Effect on the Soil Microbial Community. Toxics, 12(8), 572. https://doi.org/10.3390/toxics12080572

