A Human Skin Explant Test as a Novel In Vitro Assay for the Detection of Skin Sensitization to Aggregated Monoclonal Antibodies
Abstract
1. Introduction
2. Materials and Methods
2.1. Degradation of mAb Samples
2.2. Protein Analysis of Stressed mAb Samples
2.3. Human Blood and Skin Samples
2.4. Detection of Aggregated mAb-Induced Immune Activation by T-Cell Proliferation Assay
2.5. Aggregated mAb-Induced Immunotoxicity, including Skin Sensitization Using the Skin Explant Assay
2.6. Multiplex Cytokine Analysis
2.7. Immunofluorescence Labelling
2.8. Statistical Analysis
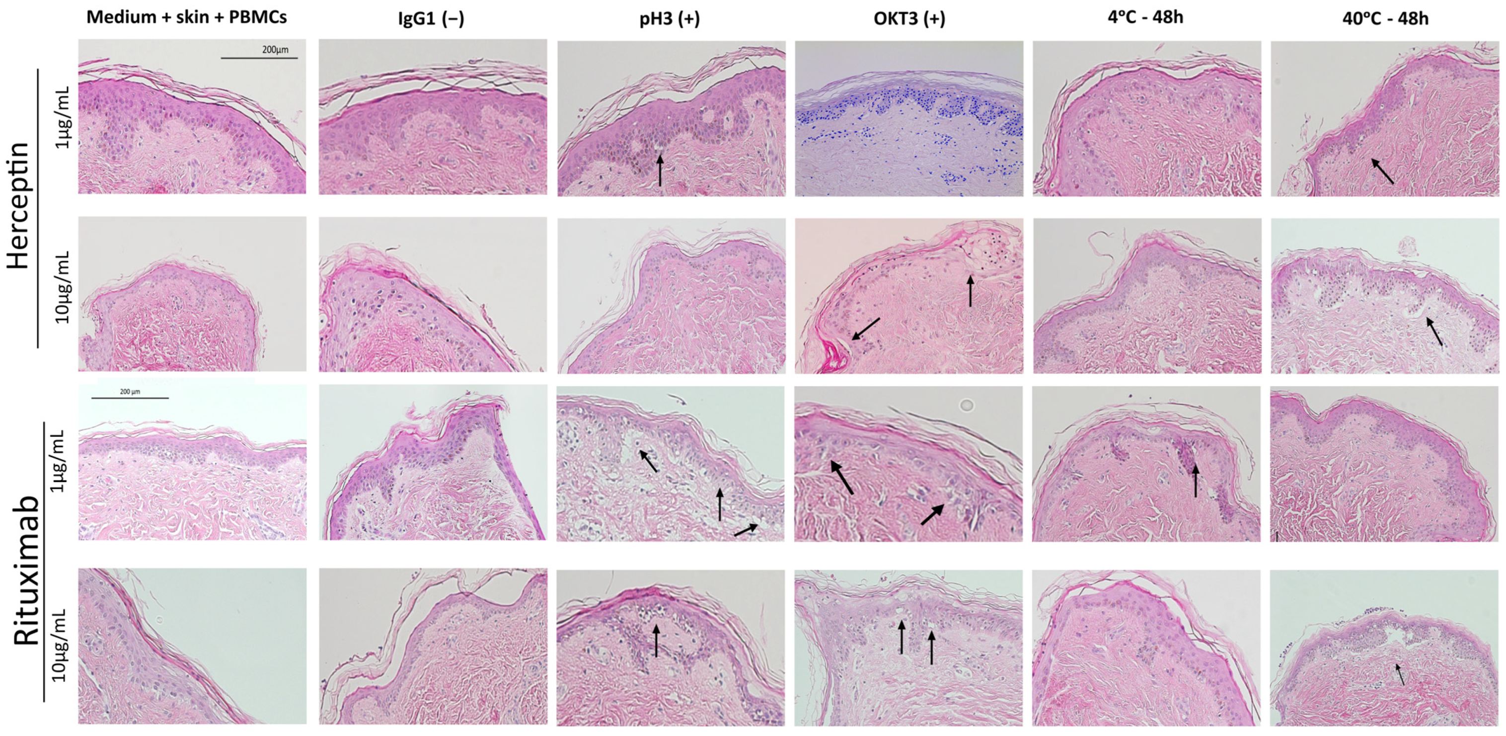
3. Results
3.1. Protein Analysis of the Stressed mAb Samples
3.2. Visual Characterization of Aggregates
3.3. Aggregated mAb Samples Induce Immune Activation and Skin Sensitization
4. Discussion
5. Conclusions
6. Patents
| Case Code | Applicant | Country | Status | Official Number | Title |
| P131663CH | Alcyomics Limited | Switzerland | Granted | ‘EP2524227 | Skin Explant Assay |
| P131663DE | Alcyomics Limited | Germany | Granted | ‘602011004834 | Skin Explant Assay |
| P131663DK | Alcyomics Limited | Denmark | Granted | ‘EP2524227 | Skin Explant Assay |
| P131663ES | Alcyomics Limited | Spain | Granted | ‘EP2524227 | Skin Explant Assay |
| P131663FR | Alcyomics Limited | France | Granted | ‘EP2524227 | Skin Explant Assay |
| P131663GB1 | Alcyomics Limited | United Kingdom | Granted | ‘EP2524227 | Skin Explant Assay |
| P131663IT | Alcyomics Limited | Italy | Granted | ‘502014902254005 | Skin Explant Assay |
| P131663US | Alcyomics Limited | USA | Granted | ‘9,651,544 | Skin Explant Assay |
| P131663USD1 | Alcyomics Limited | USA | Granted | ‘10,073,084 | Skin Explant Assay |
Author Contributions
Funding
Institutional Review Board Statement
Informed Consent Statement
Data Availability Statement
Acknowledgments
Conflicts of Interest
References
- Vermeer, A.W.; Norde, W. The Thermal Stability of Immunoglobulin: Unfolding and Aggregation of a Multi-Domain Protein. Biophys. J. 2000, 78, 394–404. [Google Scholar] [CrossRef] [PubMed]
- Joubert, M.K.; Luo, Q.; Nashed-Samuel, Y.; Wypych, J.; Narhi, L.O. Classification and Characterization of Therapeutic Antibody Aggregates. J. Biol. Chem. 2011, 286, 25118–25133. [Google Scholar] [CrossRef] [PubMed]
- Menzen, T.; Friess, W. Temperature-Ramped Studies on the Aggregation, Unfolding, and Interaction of a Therapeutic Monoclonal Antibody. J. Pharm. Sci. 2014, 103, 445–455. [Google Scholar] [CrossRef] [PubMed]
- Vermeer, A.W.; Bremer, M.G.; Norde, W. Structural changes of IgG induced by heat treatment and by adsorption onto a hydrophobic Teflon surface studied by circular dichroism spectroscopy. Biochim. Biophys. Acta BBA Gen. Subj. 1998, 1425, 1–12. [Google Scholar] [CrossRef] [PubMed]
- Buchner, J.; Renner, M.; Lilie, H.; Hinz, H.J.; Jaenicke, R.; Kiefhaber, T.; Rudolph, R. Alternatively folded states of an immunoglobulin. Biochemistry 1991, 30, 6922–6929. [Google Scholar] [CrossRef]
- Talley, K.; Alexov, E. On the pH-optimum of activity and stability of proteins. Proteins 2010, 78, 2699–2706. [Google Scholar] [CrossRef]
- Kiese, S.; Papppenberger, A.; Friess, W.; Mahler, H.-C. Shaken, Not Stirred: Mechanical Stress Testing of an IgG1 Antibody. J. Pharm. Sci. 2008, 97, 4347–4366. [Google Scholar] [CrossRef]
- Walchi, R.; Vermeire, P.-J.; Massant, J.; Arosi, P. Accelerated aggregation studies of Monoclonal Antibodies: Considerations for Storage Stability. J. Pharm. Sci. 2020, 109, 595–602. [Google Scholar] [CrossRef]
- Peters, B.J.; Capelle, M.A.H.; Arvinte, T.; van de Garde, E.M.W. Validation of an automated method for compounding monoclonal antibody patient doses: Case studies of Avastin bevacizumab), Remicade (infliximab) and Herceptin (trastuzumab). MAbs 2013, 5, 162–170. [Google Scholar] [CrossRef]
- Wafer, L.; Kloczewiak, M.; Luo, Y. Quantifying Trace Amounts of Aggregates in Biopharmaceuticals Using Analytical Ultracentrifugation Sedimentation Velocity: Bayesian Analyses and F Statistics. AAPS J. 2016, 18, 849–860. [Google Scholar] [CrossRef]
- Ye, H. Simultaneous determination of protein aggregation, degradation, and absolute molecular weight by size exclusion chromatography-multiangle laser light scattering. Anal. Biochem. 2006, 356, 76–85. [Google Scholar] [CrossRef] [PubMed]
- Fraunhofer, W.; Winter, G. The use of asymmetrical flow field-flow fractionation in pharmaceutics and biopharmaceutics. Eur. J. Pharm. Biopharm. 2004, 58, 369–383. [Google Scholar] [CrossRef] [PubMed]
- Hemmig, R.; Rammage, P.; Johann, C. Asymmetric Flow Field-Flow Fractionation (AF4) with Multi-Angle Light Scattering (MALS) for High-Throughput Protein Refolding. LCGC Eur. 2005, 18, 532–538. [Google Scholar]
- Berkowitz, S.A. Role of analytical ultracentrifugation in assessing the aggregation of protein biopharmaceuticals. AAPS J. 2006, 8, E590–E605. [Google Scholar] [CrossRef] [PubMed]
- Cole, J.L.; Lary, J.W.; Moody, T.; Laue, T.M. Analytical ultracentrifugation: Sedimentation velocity and sedimentation equilibrium. Methods Cell Biol. 2008, 84, 143–179. [Google Scholar] [PubMed]
- Secher, T.; Bodier-Montagutelli, E.; Parent, C.; Bouvart, L.; Cortes, M.; Ferreira, M.; MacLoughlin, R.; Ilango, G.; Schmid, O.; Respaud, R.; et al. Aggregates Associated with Instability of Antibodies during Aerosoliziation Induce Adverse Immunologival Effects. Pharm. J. 2022, 14, 671. [Google Scholar]
- Ryan, M.; Lam, N.; Wright, K.; Siderov, J. Clinical Oncology Society of Australia Position Statement: 2022 update to the safe handling of monoclonal antibodies in healthcare settings. Asia-Pac. J. Clin. Oncol. 2023, 19, 723–730. [Google Scholar] [CrossRef] [PubMed]
- Roberts, C.J. Therapeutic protein aggregation: Mechanisms, design, and control. Trends Biotechnol. 2014, 32, 372–380. [Google Scholar] [CrossRef] [PubMed]
- Baert, F.; Noman, M.; Vermeire, S.; Van Assche, G.; D’Haens, G.; Carbonez, A.; Rutgeerts, P. Influence of immunogenicity on the long-term efficacy of infliximab in Crohn’s disease. N. Engl. J. Med. 2003, 348, 601–608. [Google Scholar] [CrossRef]
- West, R.L.; Zelinkova, Z.; Wolbink, G.J.; Kuipers, E.J.; Stokkers, P.C.F.; Van Der Woude, C.J. Immunogenicity negatively influences the outcome of adalimumab treatment in Crohn’s disease. Aliment. Pharmacol. Ther. 2008, 28, 1122–1126. [Google Scholar] [CrossRef]
- Swanson, M.D.; Rios, S.; Mittal, S.; Soder, G.; Jawa, V. Immunogenicity Risk Assessment of Spontaneously Occurring Therapeutic Monoclonal Antibody Aggregates. Front. Immunol. 2022, 13, 915412. [Google Scholar] [CrossRef] [PubMed]
- Filipe, V.; Poole, R.; Kutscher, M.; Forier, K.; Braeckmans, K.; Jiskoot, W. Fluorescence Single Particle Tracking for the Characterization of Submicron Protein Aggregates in Biological Fluids and Complex Formulations. Pharm. Res. 2011, 28, 1112–1120. [Google Scholar] [CrossRef] [PubMed]
- Filipe, V.; Poole, R.; Oladunjoye, O.; Braeckmans, K.; Jiskoot, W. Detection and Characterization of Subvisible Aggregates of Monoclonal IgG in Serum. Pharm. Res. 2012, 29, 2202–2212. [Google Scholar] [CrossRef] [PubMed]
- Rombach-Riegraf, V.; Karle, A.C.; Wolf, B.; Sordé, L.; Koepke, S.; Gottlieb, S.; Krieg, J.; Djidja, M.-C.; Baban, A.; Spindeldreher, S.; et al. Aggregation of Human Recombinant Monoclonal Antibodies Influences the Capacity of Dendritic Cells to Stimulate Adaptive T-Cell Responses In Vitro. PLoS ONE 2014, 9, e86322. [Google Scholar] [CrossRef] [PubMed]
- Ahmadi, M.; Bryson, C.J.; Cloake, E.A.; Welch, K.; Filipe, V.; Romeijn, S.; Hawe, A.; Jiskoot, W.; Baker, M.P.; Fogg, M.H. Small Amounts of Sub-Visible Aggregates Enhance the Immunogenic Potential of Monoclonal Antibody Therapeutics. Pharm. Res. 2014, 32, 1383–1394. [Google Scholar] [CrossRef] [PubMed]
- Joubert, M.K.; Deshpande, M.; Yang, J.; Reynolds, H.; Bryson, C.; Fogg, M.; Baker, M.P.; Herskovitz, J.; Goletz, T.J.; Zhou, L.; et al. Use of In Vitro Assays to Assess Immunogenicity Risk of Antibody-Based Biotherapeutics. PLoS ONE 2016, 11, e0159328. [Google Scholar] [CrossRef] [PubMed]
- Joubert, M.K.; Hokom, M.; Eakin, C.; Zhou, L.; Deshpande, M.; Baker, M.P.; Goletz, T.J.; Kerwin, B.A.; Chirmule, N.; Narhi, L.O.; et al. Highly Aggregated Antibody Therapeutics Can Enhance the in Vitro Innate and Late-stage T-cell Immune Responses. J. Biol. Chem. 2012, 287, 25266–25279. [Google Scholar] [CrossRef]
- Chudnovskiy, A.; Pasqual, G.; Victora, G.D. Studying interactions between dendritic cells and T cells in vivo. Curr. Opin. Immunol. 2019, 58, 24–30. [Google Scholar] [CrossRef] [PubMed]
- Bessa, J.; Boeckle, S.; Beck, H.; Buckel, T.; Schlicht, S.; Ebeling, M.; Kiialainen, A.; Koulov, A.; Boll, B.; Weiser, T.; et al. The Immunogenicity of Antibody Aggregates in a Novel Transgenic Mouse Model. Pharm. Res. 2015, 32, 2344–2359. [Google Scholar] [CrossRef]
- Clair, J.B.S.; Detanico, T.; Aviszus, K.; Kirchenbaum, G.A.; Christie, M.; Carpenter, J.F.; Wysocki, L.J. Immunogenicity of Isogenic IgG in Aggregates and Immune Complexes. PLoS ONE 2017, 12, e0170556. [Google Scholar] [CrossRef]
- Ahmed, S.S.; Wang, X.N.; Fielding, M.; Kerry, A.; Dickinson, I.; Munuswamy, R.; Kimber, I.; Dickinson, A.M. An in vitro human skin test for assessing sensitization potential. J. Appl. Toxicol. 2016, 36, 669–684. [Google Scholar] [CrossRef] [PubMed]
- Ahmed, S.; Whritenour, J.; Ahmed, M.; Bibby, L.; Darby, L.; Wang, X.; Watson, J.; Dickinson, A. Evaluation of a human in vitro skin test for predicting drug hypersensitivity reactions. Toxicol. Appl. Pharmacol. 2019, 369, 39–48. [Google Scholar] [CrossRef] [PubMed]
- Carpenter, P.A.; Pavlovic, S.; Tso, J.Y.; Press, O.W.; Gooley, T.; Yu, X.-Z.; Anasetti, C. Non-Fc Receptor-Binding Humanized Anti-CD3 Antibodies Induce Apoptosis of Activated Human T Cells. J. Immunol. 2000, 165, 6205–6213. [Google Scholar] [CrossRef] [PubMed]
- Ahmed, S.S.; Ahmed, M.M.; Ashaq, A.; Freer, M.; Stebbings, R.; Dickinson, A.M. An In vitro human skin test for predicting skin sensitization and adverse immune reactions of biologics. Toxics 2024, in press. [Google Scholar]
- Lerner, K.G.; Kao, G.F.; Storb, R.; Buckner, C.D.; Clift, R.A.; Thomas, E.D. Histopathology of graft-vs.-host reaction (GvHR) in human recipients of marrow from HL-A-matched sibling donors. Transplant. Proc. 1974, 6, 367–371. [Google Scholar] [PubMed]
- Ikwegbue, P.C.; Masamba, P.; Oyinloye, B.E.; Kappo, A.P. Roles of Heat Shock Proteins in Apoptosis, Oxidative Stress, Human Inflammatory Diseases, and Cancer. Pharmaceuticals 2018, 11, 2. [Google Scholar] [CrossRef] [PubMed]
- Jarvis, M.; Marzolini, M.; Wang, X.N.; Jackson, G.; Sviland, L.; Dickinson, A.M. Heat shock protein 70: Correlation of expression with degree of graft-versus-host response and clinical graft-versus-host disease. Transplantation 2003, 76, 849–853. [Google Scholar] [CrossRef] [PubMed]
- Obrezanova, O.; Arnell, A.; de la Cuesta, R.G.; Berthelot, M.E.; Gallagher, T.R.; Zurdo, J.; Stallwood, Y. Aggregation risk prediction for antibodies and its application to biotherapeutic development. mAbs 2015, 7, 352–363. [Google Scholar] [CrossRef]
- Murray, P.J. The primary mechanism of the IL-10-regulated antiinflammatory response is to selectively inhibit transcription. Proc. Natl. Acad. Sci. USA 2005, 102, 8686–8691. [Google Scholar] [CrossRef]
- Mosser, D.D.; Caron, A.W.; Bourget, L.; Denis-Larose, C.; Massie, B. Role of the Human Heat Shock Protein hsp70 in Protection against Stress-Induced Apoptosis. Mol. Cell. Biol. 1997, 17, 5317–5327. [Google Scholar] [CrossRef]
- Klein, S.D.; Brune, B. Heat-shock protein 70 attenuates nitric oxide-induced apoptosis in RAW macrophages by preventing cytochrome c release. Biochem. J. 2002, 362, 635–641. [Google Scholar] [CrossRef] [PubMed]
- Boll, B.; Bessa, J.; Folzer, E.; Quiroz, A.R.; Schmidt, R.; Bulau, P.; Finkler, C.; Mahler, H.-C.; Huwyler, J.; Iglesias, A.; et al. Extensive Chemical Modifications in the Primary Protein Structure of IgG1 Subvisible Particles Are Necessary for Breaking Immune Tolerance. Mol. Pharm. 2017, 14, 1292–1299. [Google Scholar] [CrossRef] [PubMed]
- Hermeling, S.; Crommelin, D.J.A.; Schellekens, H.; Jiskoot, W. Structure-Immunogenicity Relationships of Therapeutic Proteins. Pharm. Res. 2004, 21, 897–903. [Google Scholar] [CrossRef] [PubMed]









| Monomer | Dimer | Larger Molecules | RMSD | |||||||
|---|---|---|---|---|---|---|---|---|---|---|
| Temp (°C) | Time (h) | Sedimentation (S) | Mass (kDa) | % | Sedimentation (S) | Mass (kDa) | % | % | ||
| Rituximab | 4 | 0 | 6.412 | 152.1 | 97.92 | 9.25 | 263.653 | 1.14 | 0.93 | 0.015 |
| 48 | 6.415 | 138.3 | 97.72 | 9.715 | 257.707 | 1.7 | 0.58 | 0.017 | ||
| 37 | 0 | 6.411 | 153.4 | 96.16 | 9.089 | 258.781 | 2.69 | 1.15 | 0.014 | |
| 3 | 6.411 | 149.9 | 97.41 | 9.27 | 274.93 | 1.68 | 0.91 | 0.013 | ||
| 6 | 6.408 | 152.5 | 96.88 | 9.19 | 261.938 | 2.07 | 1.05 | 0.011 | ||
| 12 | 6.413 | 149.3 | 96.69 | 9.522 | 270.064 | 2.28 | 1.11 | 0.010 | ||
| 24 | 6.426 | 146.8 | 99 | - | - | - | 1 | 0.018 | ||
| 48 | 6.424 | 148.3 | 97.38 | 8.34 | 229.272 | 1.61 | 1.48 | 0.014 | ||
| 40 | 0 | 6.415 | 153 | 97.26 | 9.042 | 262.435 | 2.23 | 1.24 | 0.016 | |
| 3 | 6.407 | 147.4 | 98.34 | 8.997 | 262.004 | 1.18 | 1.3 | 0.017 | ||
| 6 | 6.399 | 149.5 | 98.16 | 8.768 | 249.582 | 1.15 | 1.04 | 0.017 | ||
| 12 | 6.397 | 155.3 | 98.40 | - | - | - | 1.60 | 0.017 | ||
| 24 | 6.425 | 150.3 | 97.38 | 9.461 | 281.061 | 1.32 | 1.42 | 0.018 | ||
| 48 | 6.42 | 147.6 | 97.73 | 9.649 | 281.75 | 1.15 | 1.44 | 0.016 | ||
| 65 | 1 | 1.587 | 13.11 | 0.706 | 6.503 | 108.75 | 2.544 | 73.01 | - | |
| Herceptin | 4 | 0 * | 6.441 | 149 | 97.96 | 9.432 | 263.977 | 1.701 | 0.468 | 0.010 |
| 37 | 48 | 6.427 | 148.1 | 94.8 | 9.109 | 249.839 | 2.854 | 2.653 | 0.010 | |
| 40 | 48 | 6.421 | 148.1 | 95.51 | 9.235 | 255.364 | 2.611 | 1.929 | 0.011 | |
| 65 | 1 | 6.346 | 132.6 | 2.661 | 9.862 | 256.928 | 6.107 | 69.246 | 0.010 | |
Disclaimer/Publisher’s Note: The statements, opinions and data contained in all publications are solely those of the individual author(s) and contributor(s) and not of MDPI and/or the editor(s). MDPI and/or the editor(s) disclaim responsibility for any injury to people or property resulting from any ideas, methods, instructions or products referred to in the content. |
© 2024 by the authors. Licensee MDPI, Basel, Switzerland. This article is an open access article distributed under the terms and conditions of the Creative Commons Attribution (CC BY) license (https://creativecommons.org/licenses/by/4.0/).
Share and Cite
Martins-Ribeiro, A.; Kizhedath, A.; Ahmed, S.S.; Glassey, J.; Ishaq, A.; Freer, M.; Dickinson, A.M. A Human Skin Explant Test as a Novel In Vitro Assay for the Detection of Skin Sensitization to Aggregated Monoclonal Antibodies. Toxics 2024, 12, 332. https://doi.org/10.3390/toxics12050332
Martins-Ribeiro A, Kizhedath A, Ahmed SS, Glassey J, Ishaq A, Freer M, Dickinson AM. A Human Skin Explant Test as a Novel In Vitro Assay for the Detection of Skin Sensitization to Aggregated Monoclonal Antibodies. Toxics. 2024; 12(5):332. https://doi.org/10.3390/toxics12050332
Chicago/Turabian StyleMartins-Ribeiro, Ana, Arathi Kizhedath, Shaheda Sameena Ahmed, Jarka Glassey, Abbas Ishaq, Matthew Freer, and Anne Mary Dickinson. 2024. "A Human Skin Explant Test as a Novel In Vitro Assay for the Detection of Skin Sensitization to Aggregated Monoclonal Antibodies" Toxics 12, no. 5: 332. https://doi.org/10.3390/toxics12050332
APA StyleMartins-Ribeiro, A., Kizhedath, A., Ahmed, S. S., Glassey, J., Ishaq, A., Freer, M., & Dickinson, A. M. (2024). A Human Skin Explant Test as a Novel In Vitro Assay for the Detection of Skin Sensitization to Aggregated Monoclonal Antibodies. Toxics, 12(5), 332. https://doi.org/10.3390/toxics12050332

