Lead Exposure Assessment and Its Impact on the Structural Organization and Morphological Peculiarities of Rat Ovaries
Abstract
:1. Introduction
2. Materials and Methods
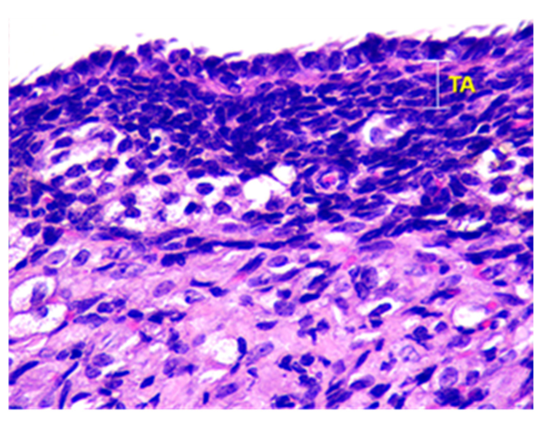
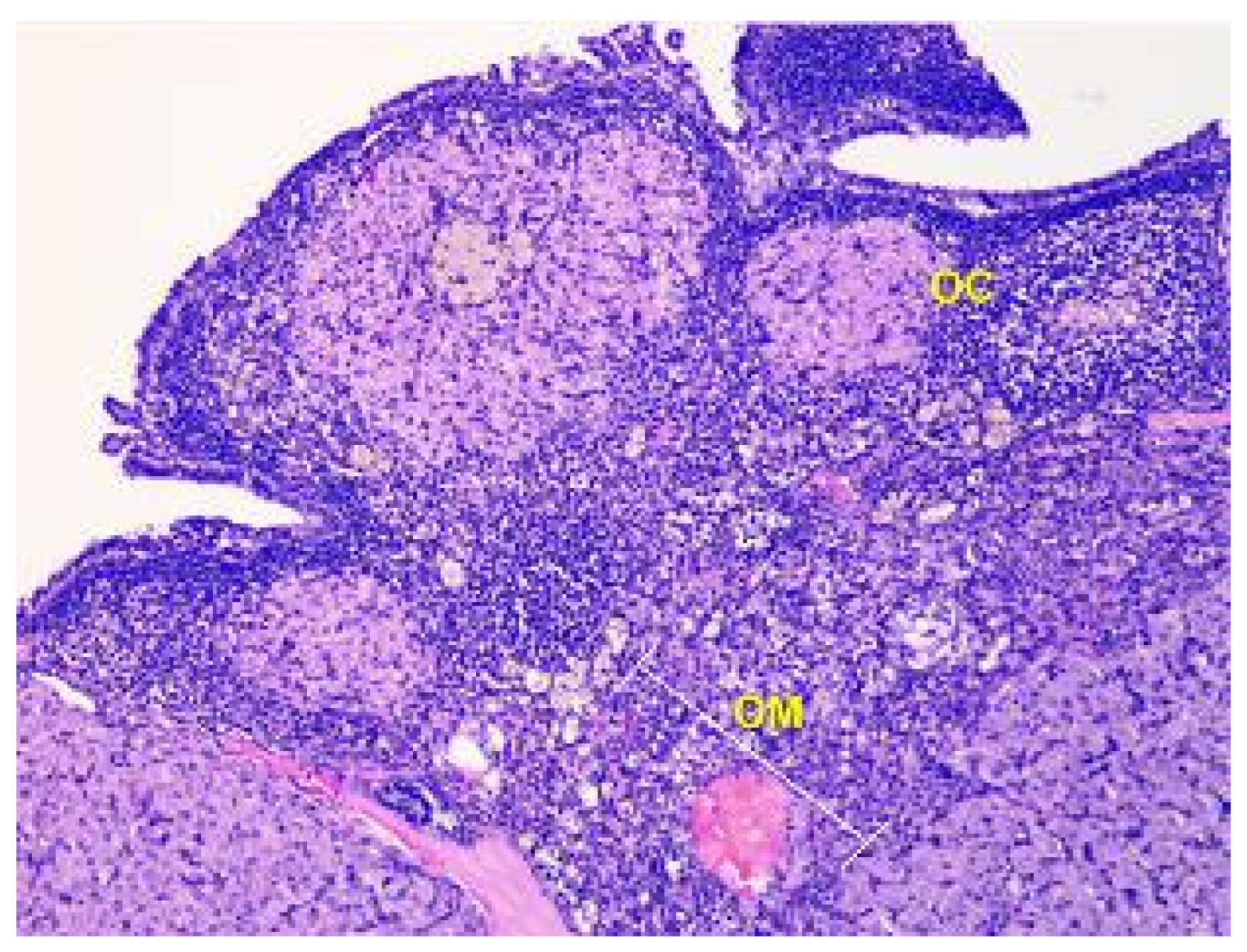
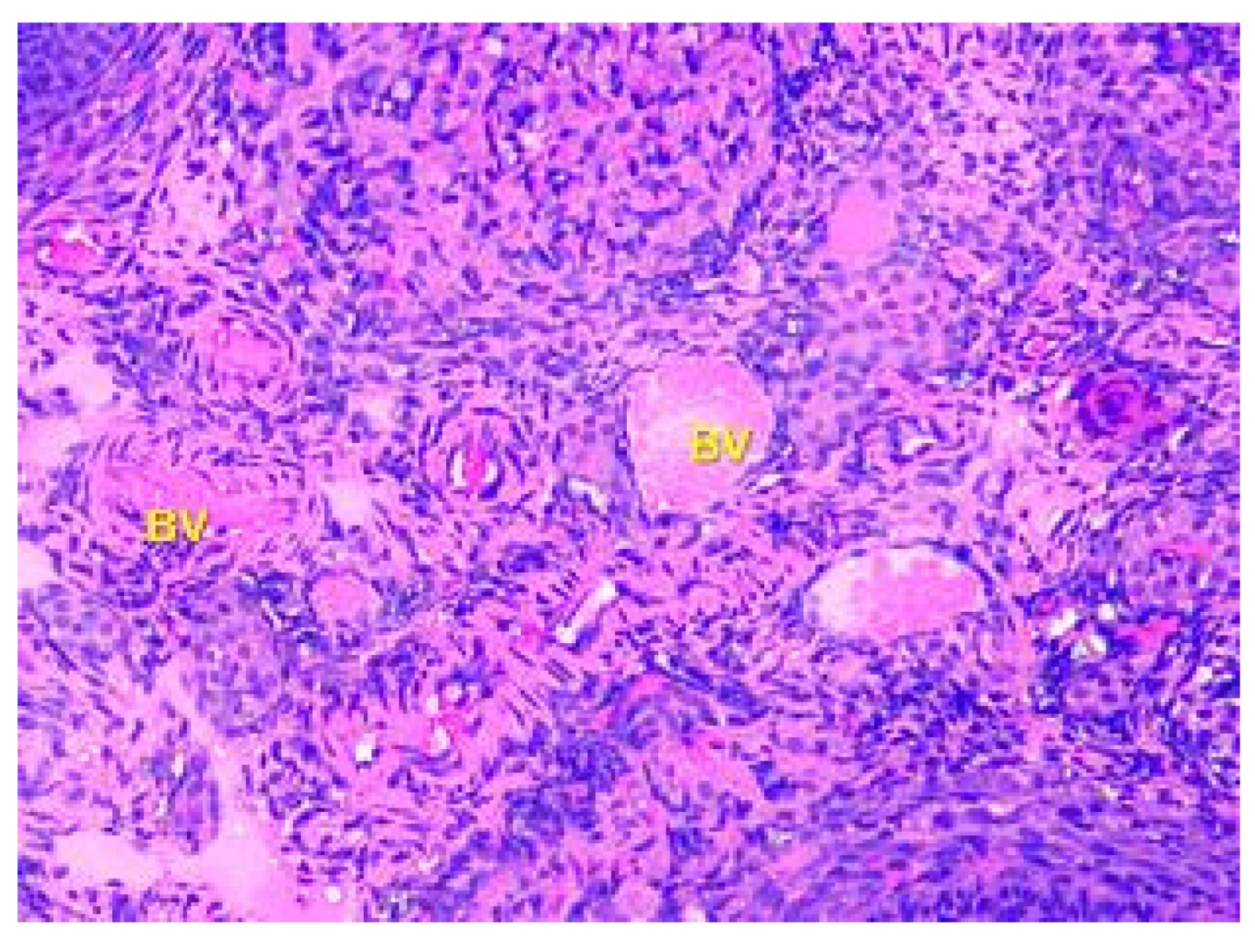
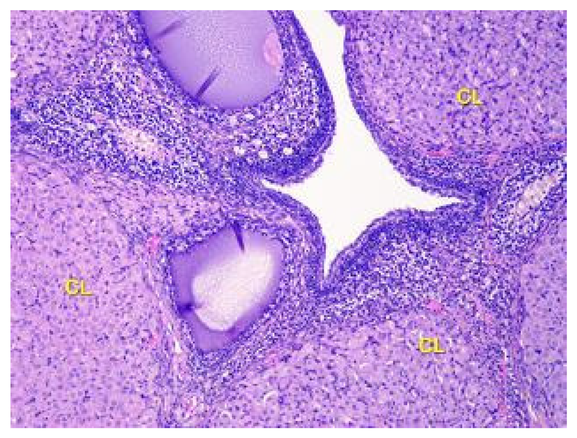
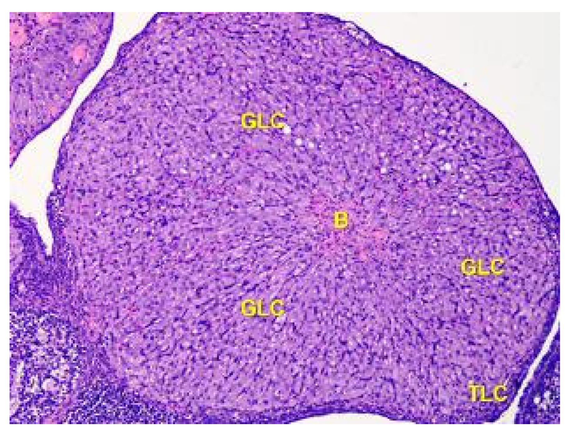
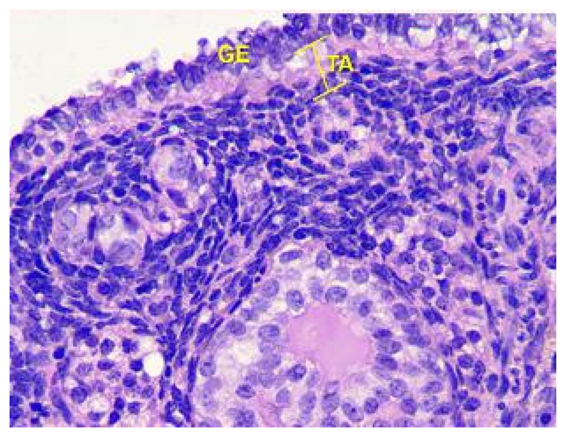
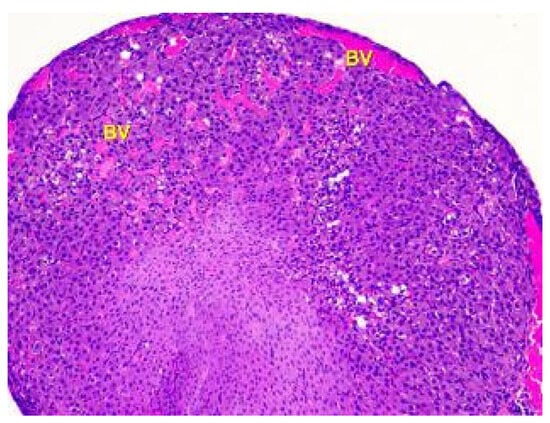
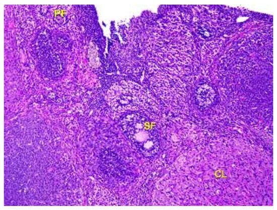
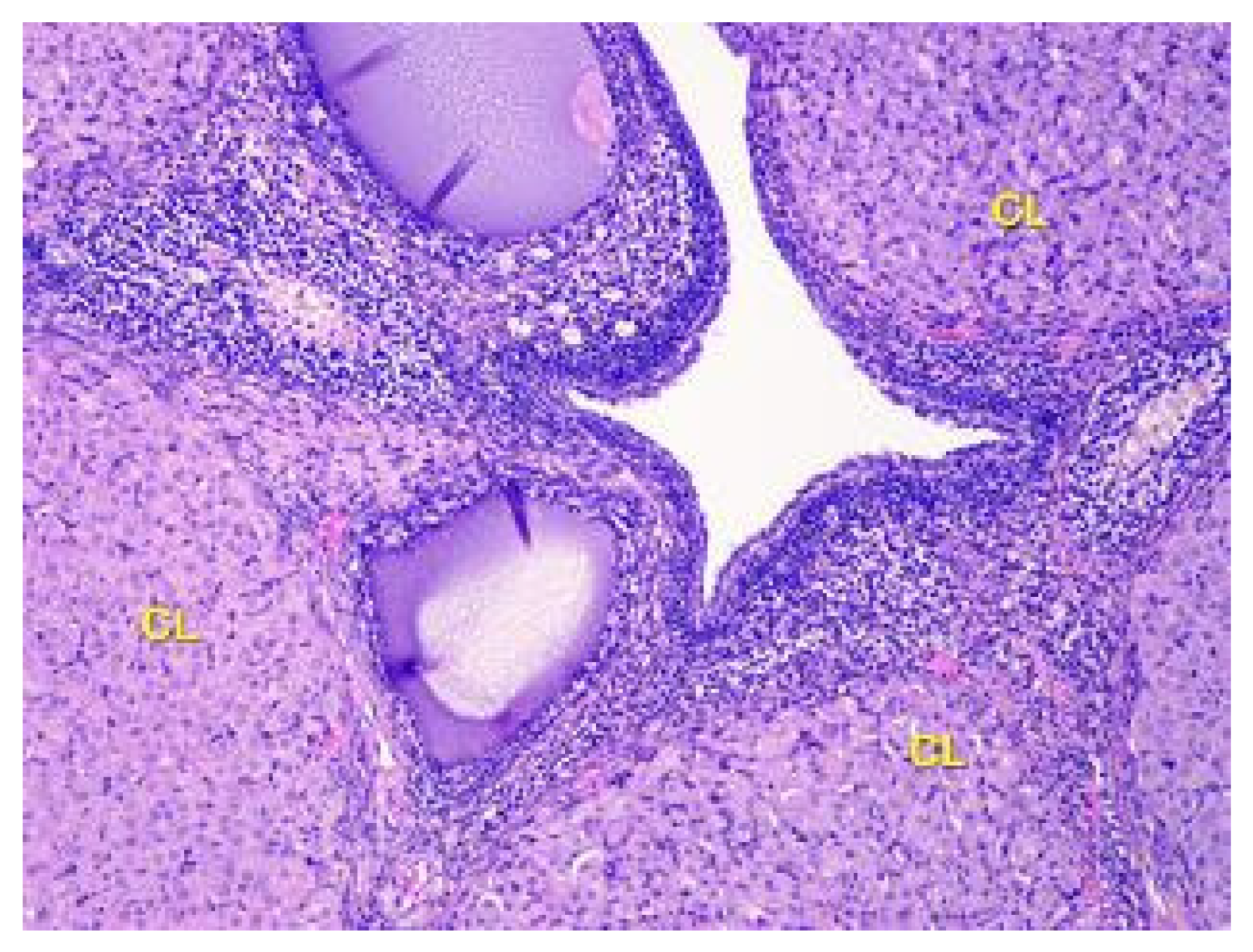
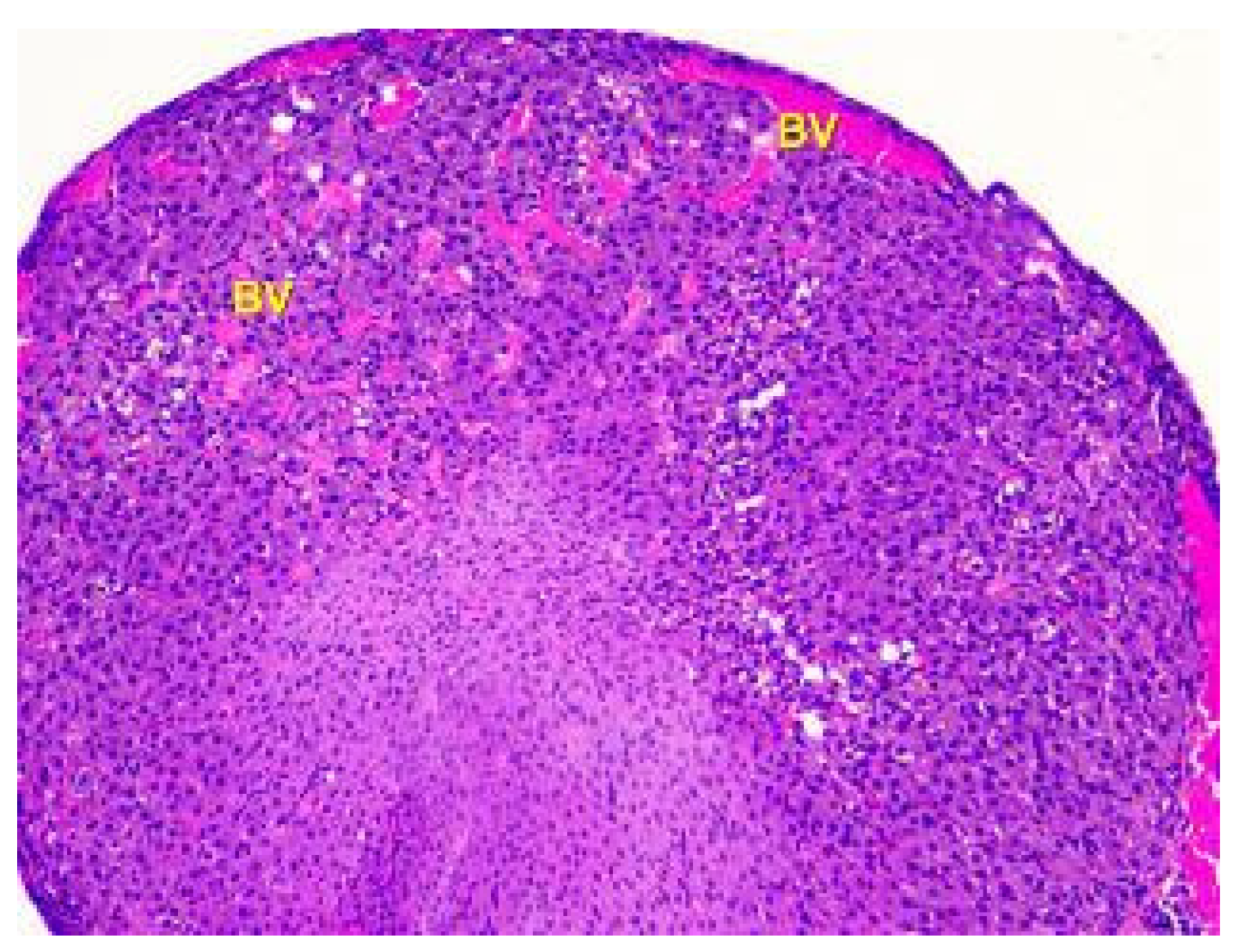
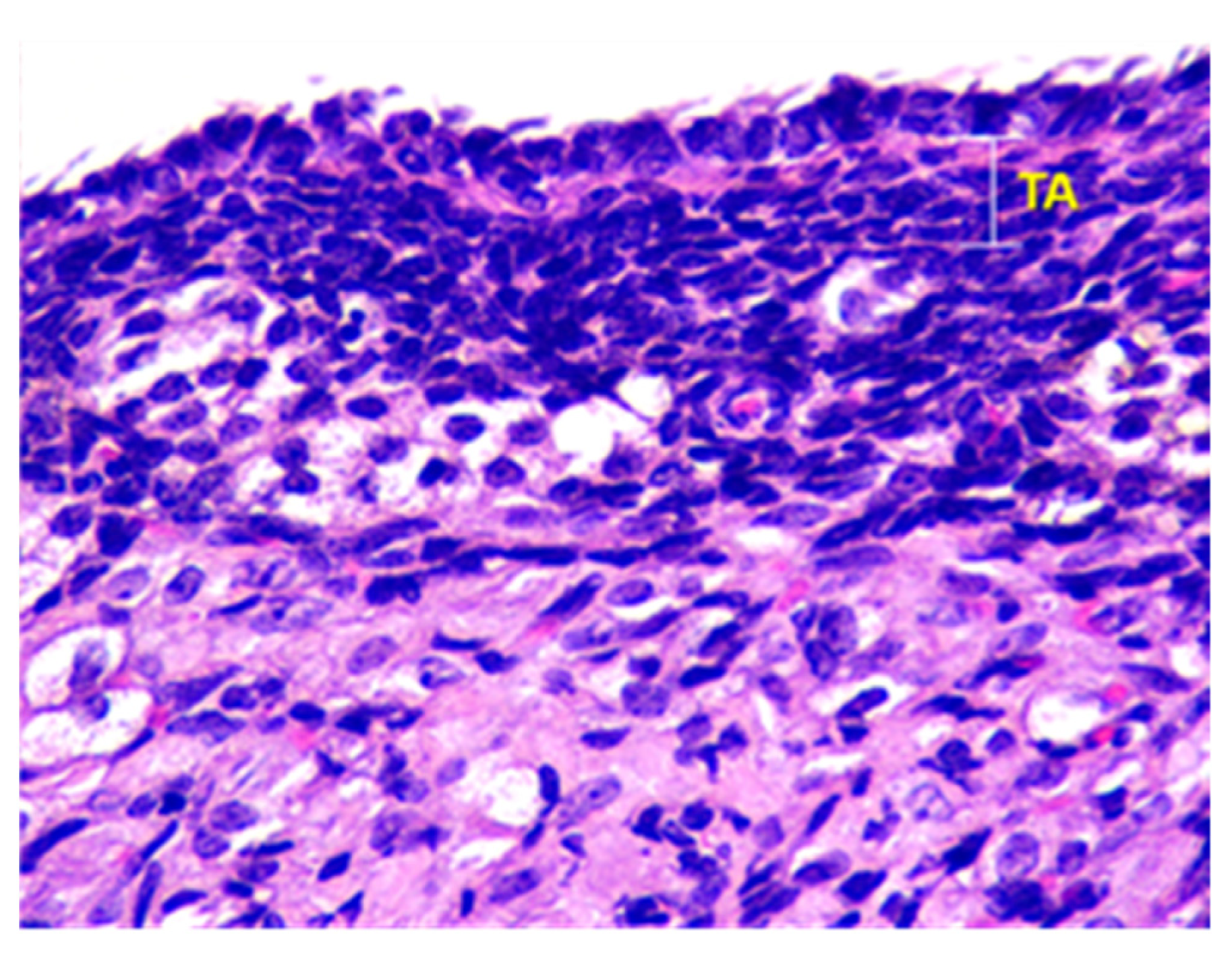
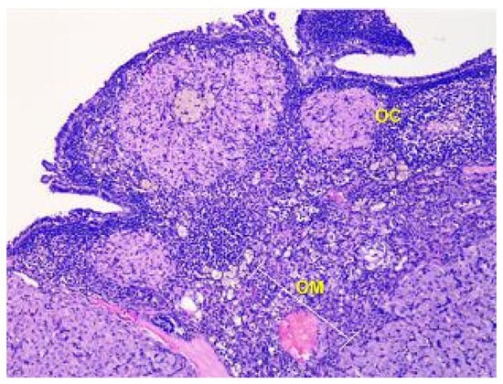
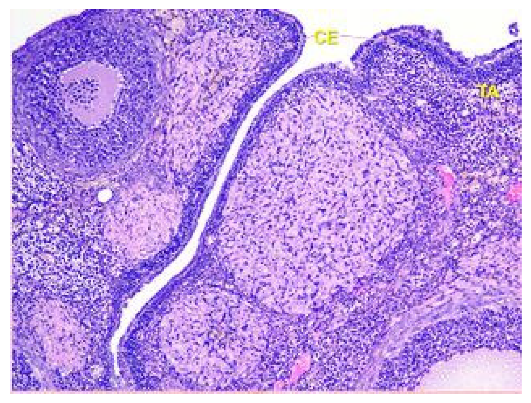
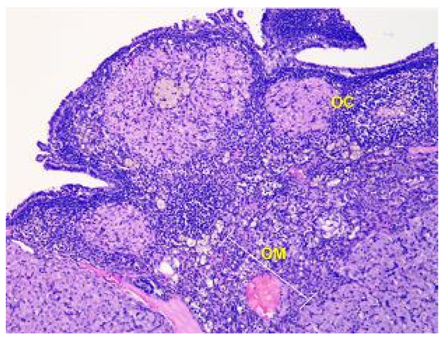
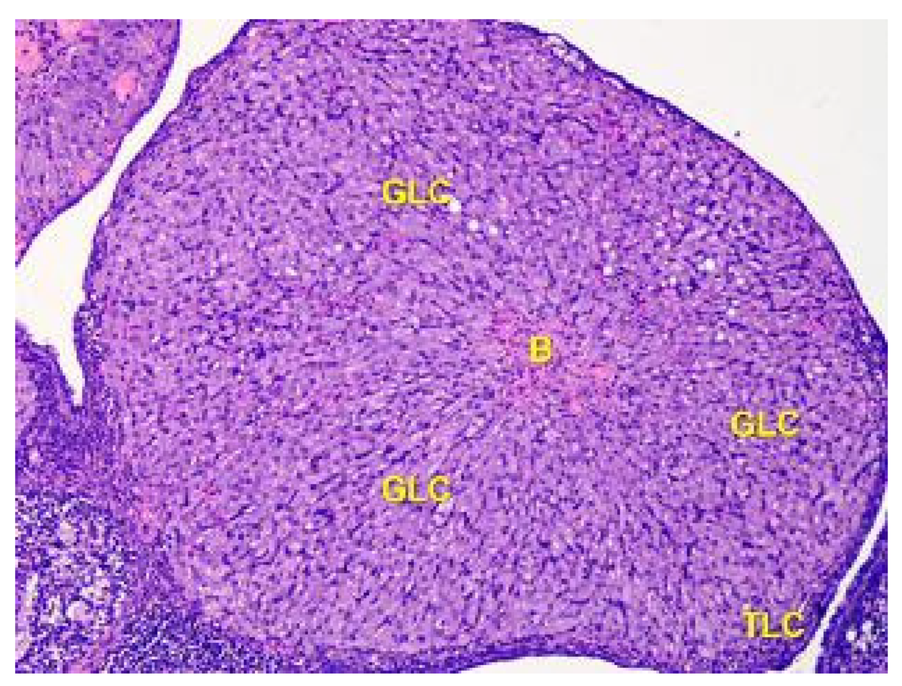
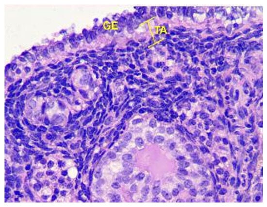
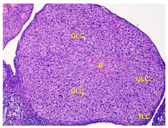
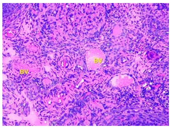
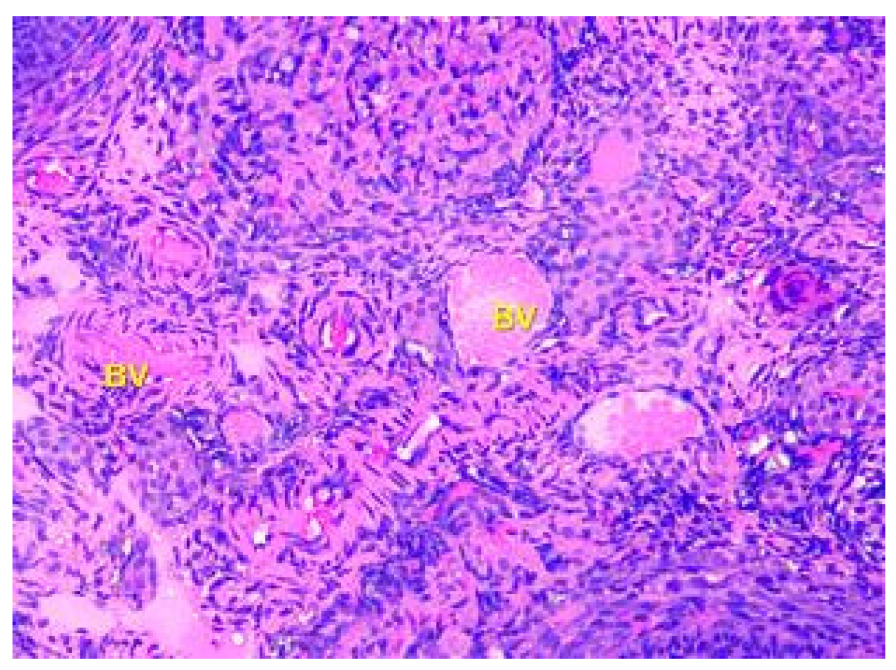
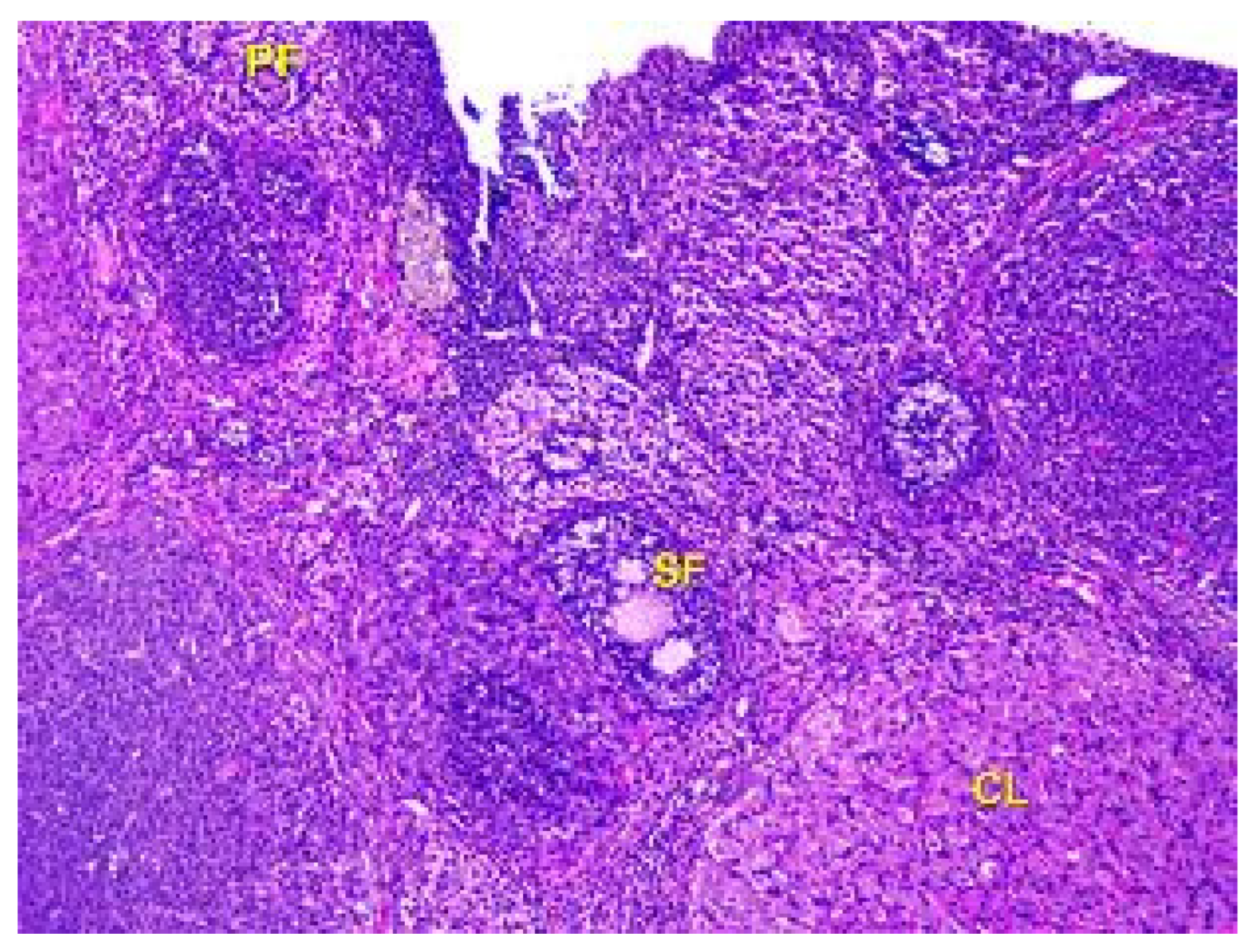
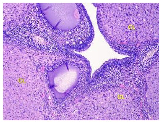
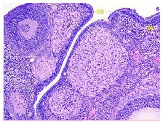
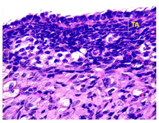
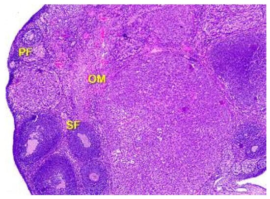
3. Results
4. Discussion
5. Conclusions
Author Contributions
Funding
Institutional Review Board Statement
Informed Consent Statement
Data Availability Statement
Acknowledgments
Conflicts of Interest
References
- Shatornaya, V.F.; Nefyodova, O.O.; Nefyodov, O.O.; Kolosova, I.I.; Major, V.V.; Kuznetsova, O.V.; Demidenko, Y.V.; Yeroshenko, G.A. Cardiogenesis changes after the plumbic acetate impact in rats under the correction conditions in the experiment. World Med. Biol. 2020, 4, 219–223. [Google Scholar] [CrossRef]
- Tkachyshyn, V.S. Intoxications by Lead and its Inorganic compounds. Emerg. Med. 2022, 4, 6–12. [Google Scholar] [CrossRef]
- Grant, L.D. Lead and compounds. In Book Environmental Toxicants: Human Exposure and Their Health Effects, 3rd ed.; Lippmann, M., Ed.; Wiley-Interscience: Hoboken, NJ, USA, 2009; pp. 757–809. [Google Scholar] [CrossRef]
- Patrick, L. Lead toxicity, a review of the literature. Part 1: Exposure, evaluation, and treatment. Altern. Med. Rev. 2006, 11, 2–22. [Google Scholar] [PubMed]
- Levitin, Y.Y.; Vedernykova, I.O.; Koval, A.O.; Kryskiv, O.S. Toxic influence of metals and their compounds. In Bioaktyvnistneorhanichnykhspoluk: Navch. Posibn. Dliaaudytornoi ta Samostiinoirobotystudentiv; NfaU: Kharkiv, Ukraine, 2017; pp. 63–81. [Google Scholar]
- Levitin, Y.Y.; Bryzytska, A.M.; Kliuieva, R.H. Zahalna ta Neorhanichnakhimiia: Pidruch. Dliastudentivvyshch. Navch. Zakl, 3rd ed.; NfaU, Zolotistorinky: Kharkiv, Ukraine, 2017; pp. 355–377. [Google Scholar]
- Rybchenko, A.A.; Kiku, P.F.; Shabanov, A.G.; Kryzhanovsky, S.P.; Yarygina, M.V. Assessment of neurophysiological functions of the central nervous system when exposed to lead. Ekolohyia Cheloveka 2016, 2, 8–12. [Google Scholar] [CrossRef]
- Lead Toxicity Case Studies in Environmental Medicine. Agency for Toxic Substances and Disease Registry (ATSDR). Lead Toxicity: Who Is at Risk of Lead Exposure? Environmental Health and Medicine Education.2010. U.S. Department of Health and Human Services. Course: WB 1105. Available online: https://www.atsdr.cdc.gov/csem/lead/docs/lead.pdf (accessed on 19 January 2022).
- Abadin, H.; Ashizawa, A.; Stevens, Y.W.; Llados, F.; Diamond, G.; Sage, G.; Citra, M.; Quinones, A.; Bosch, S.J.; Swarts, S.G. Toxicological Profile for Lead; Agency for Toxic Substances and Disease Registry (US): Atlanta, GA, USA, 2007.
- Wieczorek, J.; Pietrzak, M.; Osowski, A.; Wieczorek, Z. Determination of lead, cadmium, and persistent organic pollutants in wild and orchard-farm-grown fruit in northeastern Poland. J. Toxicol. Environ. Health 2010, 73(Part A), 1236–1243. [Google Scholar] [CrossRef]
- Karri, S.K.; Saper, R.B.; Kales, S.N. Lead encephalopathy due to traditional medicines. Curr. Drug Saf. 2008, 3, 54–59. [Google Scholar] [CrossRef] [PubMed]
- Ghafouri-Fard, S.; Shoorei, H.; Mohaqiq, M.; Tahmasebi, M.; Seify, M.; Taheri, M. Counteracting effects of heavy metals and antioxidants on male fertility. Biometals Int. J. Role Met. Ions Biol. Biochem. Med. 2021, 34, 439–491. [Google Scholar] [CrossRef]
- Barbosa, F., Jr.; Tanus-Santos, J.E.; Gerlach, R.F.; Parsons, P.J. A critical review of biomarkers used for monitoring human exposure to lead: Advantages, limitations, and future needs. Environ Health Perspect. 2005, 113, 1669–1674. [Google Scholar] [CrossRef]
- Chinyere Nsonwu-Anyanwu, A.; Raymond Ekong, E.; Jeremiah Offor, S.; Francis Awusha, O.; Chukwuma Orji, O.; IdiongoUmoh, E.; AleruchimOwhorji, J.; Rowland Emetonjor, F.; AdannaOparaUsoro, C. Heavy metals, biomarkers of oxidative stress and changes in sperm function: A case-control study. Int. J. Reprod. Biomed. 2019, 5, 163–174. [Google Scholar] [CrossRef]
- Balachandar, R.; Bagepally, B.S.; Kalahasthi, R.; Haridoss, M. Blood lead levels and male reproductive hormones: A systematic review and meta-analysis. Toxicology 2020, 443, 152574. [Google Scholar] [CrossRef]
- Vigeh, M.; Smith, D.R.; Hsu, P.C. How does lead induce male infertility? Iran. J. Reprod. Med. 2011, 9, 1–8. [Google Scholar]
- Navas-Acien, A.; Guallar, E.; Silbergeld, E.K.; Rothenberg, S.J. Lead exposure and cardiovascular disease—A systematic review. Environ. Health Perspect. 2007, 115, 472–482. [Google Scholar] [CrossRef] [PubMed]
- Raeeszadeh, M.; Saleh, H.M.; Amiri, A.A. Impact of Co-Administration of N-Acetylcysteine and Vitamin E on Cyclophosphamide-Induced Ovarian Toxicity in Female Rats. J. Toxicol. 2022, 2022, 9073405. [Google Scholar] [CrossRef]
- Cleveland, L.M.; Minter, M.L.; Cobb, K.A.; Scott, A.A.; German, V.F. Lead hazards for pregnant women and children: Part 1: Immigrants and the poor shoulder most of the burden of lead exposure in this country. Part 1 of a two-part article details how exposure happens, whom it affects, and the harm it can do. Am. J. Nurs. 2008, 108, 40–50. [Google Scholar] [CrossRef] [PubMed]
- Richards, J.S.; Pangas, S.A. The ovary: Basic biology and clinical implications. J. Clin. Investig. 2010, 120, 963–972. [Google Scholar] [CrossRef]
- Sharma, R.K.; Singh, P.; Setia, A.; Sharma, A.K. Insecticides and ovarian functions. Environ. Mol. Mutagen. 2020, 61, 369–392. [Google Scholar] [CrossRef] [PubMed]
- He, Y.; Wang, L.; Li, X.; Zhao, H. The effects of chronic lead exposure on the ovaries of female juvenile Japanese quails (Coturnix japonica): Developmental delay, histopathological alterations, hormone release disruption and gene expression disorder. Ecotoxicol. Environ. Saf. 2020, 205, 111338. [Google Scholar] [CrossRef]
- Dumitrescu, E.; Chiurciu, V.; Muselin, F.; Popescu, R.; Brezovan, D. Effects of long-term exposure of female rats to low levels of lead: Ovary and uterus histological architecture changes. Turk. J. Biol. 2015, 39, 13. [Google Scholar] [CrossRef]
- Wang, X.; Wang, M.; Dong, W.; Li, Y.; Zheng, X.; Piao, F.; Li, S. Subchronic exposure to lead acetate inhibits spermatogenesis and downregulates the expression of Ddx3y in testis of mice. Reprod. Toxicol. 2013, 42, 242–250. [Google Scholar] [CrossRef]
- Kumar, A.; Kumar, A.; Cabral-Pinto, M.M.S.; Chaturvedi, A.K.; Shabnam, A.A.; Subrahmanyam, G.; Mondal, R.; Gupta, D.K.; Malyan, S.K.; Kumar, S.S.; et al. Lead Toxicity: Health Hazards, Influence on Food Chain, and Sustainable Remediation Approaches. Int. J. Environ. Res. Public Health 2020, 17, 2179. [Google Scholar] [CrossRef]
- Shih, R.A.; Hu, H.; Weisskopf, M.G.; Schwartz, B.S. Cumulative lead dose and cognitive function in adults: A review of studies that measured both blood lead and bone lead. Environ. Health Perspect. 2007, 115, 483–492. [Google Scholar] [CrossRef] [PubMed]
- Soltaninejad, K.; Kebriaeezadeh, A.; Minaiee, B.; Ostad, S.N.; Hosseini, R.; Azizi, E.; Abdollahi, M. Biochemical and ultrastructural evidences for toxicity of lead through free radicals in rat brain. Hum. Exp. Toxicol. 2003, 22, 417–423. [Google Scholar]
- Hasanein, P.; Ghafari-Vahed, M.; Khodadadi, I. Effects of isoquinoline alkaloid berberine on lipid peroxidation, antioxidant defense system, and liver damage induced by lead acetate in rats. Redox Rep. Commun. Free. Radic. Res. 2017, 22, 42–50. [Google Scholar] [CrossRef] [PubMed]
- Ibrahim, N.M.; Eweis, E.A.; El-Beltagi, H.S.; Abdel-Mobdy, Y.E. Effect of lead acetate toxicity on experimental male albino rat. Asian Pac. J. Trop. Biomed. 2012, 2, 41–46. [Google Scholar] [CrossRef] [PubMed]
- Kolosova, I.I.; Maior, V.V.; Belska, I.O.; Harets, V.I.; Shatorna, V.F. Definition of Embryotoxicity of Lead Acetate in Combination with Metal Citrates on Various Terms of Pregnancy in Rats. Ukr. Zhurnal Medytsyny Biol. Sport. 2016, 1, 158–165. [Google Scholar] [CrossRef]
- Yu, C.C.; Lin, J.L.; Lin-Tan, D.T. Environmental exposure to lead and progression of chronic renal diseases: A four-year prospective longitudinal study. J. Am. Soc. Nephrol. 2004, 15, 1016–1022. [Google Scholar] [CrossRef] [PubMed]
- Shatorna, V.F.; Harets, V.I.; Ostrovskaya, S.S.; Kononova, I.I.; Krasnov, A.A. Methodological approaches to the definition of embryo and teratogenicity in morphological experiments. Ukr. Zhurnal Medytsyny Biol. Sport. 2016, 1, 189–194. [Google Scholar] [CrossRef]
- Asad, A.; Hamid, S.; Qama, K. Effect of Lead Acetate on Basement Membrane of Seminiferous Tubules of Adult Rat Testis and Protective Effects of Ficus Carica: A Histological Study. J. Coll. Physicians Surg. 2018, 28, 731–734. [Google Scholar]
- Kolosova, I.I. Morphological characteristics of rat ovaries at different stages of pregnancy in normal and in condition of lead intoxication. Visnyk Probl. Biol. Medytsyny 2016, 1, 281–287. [Google Scholar]
- Titov, A.F.; Kaznina, N.M.; Karapetyan, T.A.; Dorshakova, N.V. Lead as a contaminant for living things. Zhurnal Obs. Byolohyy 2020, 81, 147–160. [Google Scholar] [CrossRef]
- Herman, O.M.; Herasymiuk, I.Y.; Fedoniuk, L.Y. Character and specifics of the structural alteration of the parenchyma and bloodstream of the testes of white rats with prolonged administration of high doses of prednisolone. Wiad Lek. 2021, 74, 3147–3151. [Google Scholar] [CrossRef] [PubMed]
- Denefil, O.V.; Bilyk, Y.O.; Chorniy, S.V.; Fedoniuk, L.Y.; Chornii, N.V. The peculiarities of morpological changes of rats’ ovary and biochemical state under the damage with different doses of lead acetate. Wiad Lek. 2022, 75, 377–382. [Google Scholar] [CrossRef] [PubMed]
- Trujillo-Vázquez, S.K.; Gaona-Domínguez, S.; Villeda-González, J.D.; Librado-Osorio, R.; Luna-López, A.; Bonilla-González, E.; Valencia-Quintana, P.R.; Gómez-Olivares, J.L. Oxidative stress in the ovaries of mice chronically exposed to a low lead concentration:A generational approach. Reprod. Toxicol. 2023, 115, 40–48. [Google Scholar] [CrossRef] [PubMed]
- Gorbel, F.; Boujelbene, M.; Makni-Ayadi, F.; Guermazi, F.; Croute, F.; Soleilhavoup, J.P.; elFeki, A. Cytotoxic effects of lead on the endocrine and exocrine sexual function of pubescent male and female rats. Demonstration of apoptotic activity. Comptes Rendus Biol. 2002, 325, 927–940. [Google Scholar] [CrossRef]
- Franks, P.A.; Laughlin, N.K.; Dierschke, D.J.; Bowman, R.E.; Meller, P.A. Effects of lead on luteal function in rhesus monkeys. Biol. Reprod. 1989, 41, 1055–1062. [Google Scholar] [CrossRef]
- Nava-Hernández, M.P.; Hauad-Marroquín, L.A.; Bassol-Mayagoitia, S.; García-Arenas, G.; Mercado-Hernández, R.; Echávarri-Guzmán, M.A.; Cerda-Flores, R.M. Lead-, cadmium-, and arsenic-induced DNA damage in rat germinal cells. DNA Cell Biol. 2009, 28, 241–248. [Google Scholar] [CrossRef] [PubMed]
- Kelainy, E.G.; Ibrahim Laila, I.M.; Ibrahim, S.R. The effect of ferulic acid against lead-induced oxidative stress and DNA damage in kidney and testes of rats. Environ. Sci. Pollut. Res. Int. 2019, 26, 31675–31684. [Google Scholar] [CrossRef] [PubMed]
- Liu, X.; Ye, J.; Wang, L.; Li, Z.; Zhang, Y.; Sun, J.; Du, C.; Wang, C.; Xu, S. Protective Effects of PGC-1α Against Lead-Induced Oxidative Stress and Energy Metabolism Dysfunction in Testis Sertoli Cells. Biol. Trace Elem. Res. 2017, 175, 440–448. [Google Scholar] [CrossRef]
- Sosedova, L.M.; Kapustina, E.A.; Vokina, V.A. The influence of the lead intoxication of male albino rats on the functioning of the nervous system of their offspring. Hyg. Sanit. 2018, 97, 972–975. [Google Scholar] [CrossRef]
- Kumar, S. Occupational and Environmental Exposure to Lead and Reproductive Health Impairment: An Overview. Indian J. Occup. Environ. Med. 2018, 22, 128–137. [Google Scholar]
- Apostoli, P.; Kiss, P.; Porru, S.; Bonde, J.P.; Vanhoorne, M. Male reproductive toxicity of lead in animals and humans. ASCLEPIOS Study Group. Occup. Environ. Med. 1998, 55, 364–374. [Google Scholar] [CrossRef] [PubMed]
- Davis, B.J.; Travlos, G.; McShane, T. Reproductive endocrinology and toxicological pathology over the life span of the female rodent. Toxicol. Pathol. 2001, 29, 77–83. [Google Scholar] [CrossRef] [PubMed]
- Beier, E.E.; Inzana, J.A.; Sheu, T.J.; Shu, L.; Puzas, J.E.; Mooney, R.A. Effects of Combined Exposure to Lead and High-Fat Diet on Bone Quality in Juvenile Male Mice. Environ. Health Perspect. 2015, 123, 935–943. [Google Scholar] [CrossRef] [PubMed]
- Ostrovska, S.S.; Shatorna, V.F.; Slesarenko, O.G.; Gerasymchuk, P.G.; Topka, E.G.; Alekseenko, Z.K.; Lyulko, I.V.; Kosse, V.A. ImpactofLeadonReproductiveHealthofMen. Ukr. Zhurnal Medytsyny Biol. Sport. 2021, 6, 193–198. [Google Scholar] [CrossRef]
- Horalskyi, L.; Khomych, V.; Kononskyi, O. Fundamentals of Histological Technique and Morphofunctional Research Methods in Normal and Pathology: Textbook; Zhytomyr: ZhNAEU, Ukraine, 2019; 286p. [Google Scholar]
- Park, S.K.; O’Neill, M.S.; Vokonas, P.S.; Sparrow, D.; Wright, R.O.; Coull, B.; Nie, H.; Hu, H.; Schwartz, J. Air pollution and heart rate variability: Effect modification by chronic lead exposure. Epidemiology 2008, 19, 111–120. [Google Scholar] [CrossRef]
- Pidruchna, S.R.; Stepanova, H.M.; Zakcharchuk, U.M.; Fedonyuk, L.Y.; Nychyk, N.A.; Krytskyi, T.I. Changes in the kallikrein-kinin system in rats of different ages under conditions of polytrauma. Ukr. Zhurnal Medytsyny Biol. Sport. 2018, 3, 173–176. [Google Scholar] [CrossRef]
- Lyubomirskaya, E.S.; Kamyshnyi, A.M.; Krut, Y.Y.; Smiianov, V.A.; Fedoniuk, L.Y.; Romanyuk, L.B.; Kravets, N.Y.; Mochulska, O.M. SNPs and transcriptional activity of genes of innate and adaptive immunity at the maternal-fetal interface in woman with preterm labour, associated with preterm premature rupture of membranes. Wiad Lek. 2020, 73, 25–30. [Google Scholar] [PubMed]
- Biletska, E.M.; Onul, N.M.; Kalinicheva, V.V. Combined effect of low dose levels of lead and zinc on bone tissue of rats. ZaporozhyeMed. J. 2018, 20, 101–104. [Google Scholar] [CrossRef]
- Makarenko, T.M.; Radchenko, O.M. Ratio of blood biochemical parameters in medical practice: Clinical-diagnostic value. Prakt. Likar 2017, 6, 49–53. [Google Scholar]
- Kuzniak, N.; Protsak, T.; Marchuk, O.; Fedoniuk, L.; Kamyshnyi, A.; Penteleichuk, N.; Stoliar, D.; Dmytrenko, R. Histophotography of the oviducts in fetus. Wiad Lek. 2019, 72, 1481–1485. [Google Scholar] [CrossRef]










| Group № | Characteristics of the Experimental Model Group | Number of Animals |
|---|---|---|
| I | Intact albino rats (control) | 10 |
| II | Lead acetate (0.5 mg/kg) | 10 |
| III | Lead acetate (10 mg/kg) | 10 |
| IV | Lead acetate (60 mg/kg) | 10 |
| Group | Experimental Conditions | Index | |
|---|---|---|---|
| DC, Unit/mL | TBA-Active Products, μmol/L | ||
| I | Control | 0.84 ± 0.03 | 2.50 ± 0.04 |
| III | Lead acetate (10 mg/kg) | 3.42 ± 0.16 *,** | 7.34 ± 0.57 *,** |
| IV | Lead acetate (60 mg/kg) | 5.33 ± 0.22 *,** | 9.16 ± 0.43 *,** |
| Group | Index | |||
|---|---|---|---|---|
| MMW238 | MMW254 | MMW260 | MMW280 | |
| I Control | 0.231 ± 0.003 | 0.254 ± 0.004 | 0.276 ± 0.004 | 0.194 ± 0.006 |
| III Lead acetate (10 mg/kg) | 0.315 ± 0.017 *,** | 0.472 ± 0.021 *,** | 0.490 ± 0.010 *,** | 0.438 ± 0.011 *,** |
| IV Lead acetate (60 mg/kg) | 0.386 ± 0.012 *,** | 0.553 ± 0.013 *,** | 0.569 ± 0.013 *,** | 0.494 ± 0.003 *,** |
Disclaimer/Publisher’s Note: The statements, opinions and data contained in all publications are solely those of the individual author(s) and contributor(s) and not of MDPI and/or the editor(s). MDPI and/or the editor(s) disclaim responsibility for any injury to people or property resulting from any ideas, methods, instructions or products referred to in the content. |
© 2023 by the authors. Licensee MDPI, Basel, Switzerland. This article is an open access article distributed under the terms and conditions of the Creative Commons Attribution (CC BY) license (https://creativecommons.org/licenses/by/4.0/).
Share and Cite
Osowski, A.; Fedoniuk, L.; Bilyk, Y.; Fedchyshyn, O.; Sas, M.; Kramar, S.; Lomakina, Y.; Fik, V.; Chorniy, S.; Wojtkiewicz, J. Lead Exposure Assessment and Its Impact on the Structural Organization and Morphological Peculiarities of Rat Ovaries. Toxics 2023, 11, 769. https://doi.org/10.3390/toxics11090769
Osowski A, Fedoniuk L, Bilyk Y, Fedchyshyn O, Sas M, Kramar S, Lomakina Y, Fik V, Chorniy S, Wojtkiewicz J. Lead Exposure Assessment and Its Impact on the Structural Organization and Morphological Peculiarities of Rat Ovaries. Toxics. 2023; 11(9):769. https://doi.org/10.3390/toxics11090769
Chicago/Turabian StyleOsowski, Adam, Larysa Fedoniuk, Yaroslav Bilyk, Olena Fedchyshyn, Mykhailo Sas, Solomiia Kramar, Yuliia Lomakina, Volodymyr Fik, Sofija Chorniy, and Joanna Wojtkiewicz. 2023. "Lead Exposure Assessment and Its Impact on the Structural Organization and Morphological Peculiarities of Rat Ovaries" Toxics 11, no. 9: 769. https://doi.org/10.3390/toxics11090769
APA StyleOsowski, A., Fedoniuk, L., Bilyk, Y., Fedchyshyn, O., Sas, M., Kramar, S., Lomakina, Y., Fik, V., Chorniy, S., & Wojtkiewicz, J. (2023). Lead Exposure Assessment and Its Impact on the Structural Organization and Morphological Peculiarities of Rat Ovaries. Toxics, 11(9), 769. https://doi.org/10.3390/toxics11090769

