Effect of Natural Commiphora myrrha Extract against Hepatotoxicity Induced by Alcohol Intake in Rat Model
Abstract
1. Introduction
2. Materials and Methods
2.1. Ethics Statement
2.2. Drug and Chemicals
2.3. C. myrrha Extract Preparation
2.4. Phytochemical Analysis of C. myrrha Extract Using Gas Chromatography-Mass Spectrometry (GC–MS)
2.5. Animals and Work Design
- -
- Group 1 (control): rats were not given any drugs throughout the experiment, as a control group.
- -
- -
- Group 3 (ethanol): rats were treated with 40% ethanol (3 g/kg) [26].
- -
- Group 4 (ethanol + C. myrrha extract): rats were administered 40% ethanol (3 g/kg), followed by C. myrrha extract (500 mg/kg) after two hours.
2.6. Sampling
2.7. Biochemical Analysis
2.7.1. Evaluation of Liver Function
2.7.2. Estimation of Liver Tumor Markers
2.7.3. Determination of Lipid Peroxidation
2.7.4. Assay of Antioxidant Activity
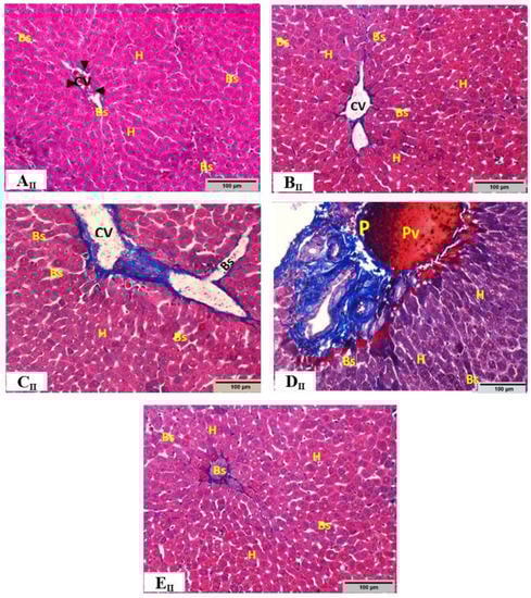
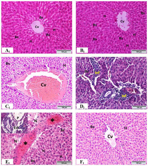
2.8. Liver Histopathological Examination
2.9. Statistical Analysis
3. Results
3.1. Chromatographic Analysis (GC–MS) of C. myrrha Extract
3.2. Effects on Liver Function Parameters
3.3. The Hepatic Tumor Markers
3.4. Effect on Lipid Peroxidation Biomarker
3.5. Activity of Antioxidant Parameters
3.6. Histopathological Evaluations
4. Discussion
5. Conclusions
Supplementary Materials
Author Contributions
Funding
Institutional Review Board Statement
Informed Consent Statement
Data Availability Statement
Acknowledgments
Conflicts of Interest
References
- Timbrell, J.A. The liver is a target organ for toxicity. In Target Organ Toxicity; CRC Press: Boca Raton, FL, USA, 2020; pp. 145–173. [Google Scholar]
- Vinken, M.; Hengstler, J.G. Characterization of hepatocyte-based in vitro systems for reliable toxicity testing. Arch. Toxicol. 2018, 92, 2981–2986. [Google Scholar] [CrossRef]
- World Health Organization (WHO). Alcohol. Available online: https://www.who.int/news-room/fact-sheets/detail/alcohol (accessed on 2 January 2022).
- World Health Organization (WHO). Towards an Action Plan (2022–2030) to Effectively Implement the Global Strategy to Reduce the Harmful Use of Alcohol. Available online: https://www.who.int/health-topics/alcohol#tab=tab_1 (accessed on 9 January 2022).
- Jamal, M.; Ito, A.; Tanaka, N.; Takakura, A.; Ameno, K.; Kinoshita, H. Acetaldehyde in the Brain After Ethanol Exposure: Research Progress and Challenges. In Neuroscience of Alcohol; Academic Press: Cambridge, MA, USA, 2019; pp. 39–46. [Google Scholar]
- Asrani, S.K.; Larson, J.J.; Yawn, B.; Therneau, T.M.; Kim, W.R. Underestimation of Liver-Related Mortality in the United States. Gastroenterology 2013, 145, 375–382.e2. [Google Scholar] [CrossRef] [PubMed]
- Kong, L.-Z.; Chandimali, N.; Han, Y.-H.; Lee, D.-H.; Kim, J.-S.; Kim, S.-U.; Kim, T.-D.; Jeong, D.K.; Sun, H.-N.; Kwon, T. Pathogenesis, Early Diagnosis, and Therapeutic Management of Alcoholic Liver Disease. Int. J. Mol. Sci. 2019, 20, 2712. [Google Scholar] [CrossRef]
- Zakhari, S. Overview: How is alcohol metabolized by the body? Alcohol Res. Health 2006, 29, 245–254. Available online: https://www.ncbi.nlm.nih.gov/pmc/articles/PMC6527027/ (accessed on 4 February 2022). [PubMed]
- Xie, N.; Zhang, L.; Gao, W.; Huang, C.; Huber, P.E.; Zhou, X.; Li, C.; Shen, G.; Zou, B. NAD+ metabolism: Pathophysiologic mechanisms and therapeutic potential. Signal Transduct. Target. Ther. 2020, 5, 1–37. [Google Scholar] [CrossRef] [PubMed]
- Son, Y.; Cheong, Y.-K.; Kim, N.-H.; Chung, H.-T.; Kang, D.G.; Pae, H.-O. Mitogen-Activated Protein Kinases and Reactive Oxygen Species: How Can ROS Activate MAPK Pathways? J. Signal Transduct. 2011, 2011, 792639. [Google Scholar] [CrossRef] [PubMed]
- Wen, D.; Huang, X.; Zhang, M.; Zhang, L.; Chen, J.; Gu, Y.; Hao, C.-M. Resveratrol Attenuates Diabetic Nephropathy via Modulating Angiogenesis. PLoS ONE 2013, 8, e82336. [Google Scholar] [CrossRef] [PubMed]
- Ge, N.; Liang, H.; Zhao, Y.-Y.; Liu, Y.; Gong, A.-J.; Zhang, W.-L. Aplysin Protects Against Alcohol-Induced Liver Injury Via Alleviating Oxidative Damage and Modulating Endogenous Apoptosis-Related Genes Expression in Rats. J. Food Sci. 2018, 83, 2612–2621. [Google Scholar] [CrossRef] [PubMed]
- Achliya, G.S.; Wadodkar, S.G.; Dorle, A.K. Evaluation of hepatoprotective effect of Amalkadi Ghrita against carbon tetrachloride-induced hepatic damage in rats. J. Ethnopharmacol. 2004, 90, 229–232. [Google Scholar] [CrossRef] [PubMed]
- Zhao, N.; Guo, F.-F.; Xie, K.-Q.; Zeng, T. Targeting Nrf-2 is a promising intervention approach for the prevention of ethanol-induced liver disease. Cell. Mol. Life Sci. 2018, 75, 3143–3157. [Google Scholar] [CrossRef]
- Awodele, O.; Adeneye, A.A.; Aiyeola, S.A.; Benebo, A.S. Modulatory effect of Mangifera indica against carbon tetrachloride induced kidney damage in rats. Interdiscip. Toxicol. 2015, 8, 175–183. [Google Scholar] [CrossRef] [PubMed]
- Nomicos, E.Y. Myrrh: Medical marvel or myth of the magi? Holist. Nurs. Pract. 2007, 21, 308–323. [Google Scholar] [CrossRef]
- Hanuš, L.O.; Řezanka, T.; Dembitsky, V.M.; Moussaieff, A. Myrrh-Commiphora Chemistry. Biomed. Pap. 2005, 149, 3–28. [Google Scholar] [CrossRef]
- Hamed, A.M.; Awad, A.A.; Abdel-Mobdy, A.E.; Alzahrani, A.; Salamatullah, A.M. Buffalo Yogurt Fortified with Eucalyptus (Eucalyptus camaldulensis) and Myrrh (Commiphora myrrha) Essential Oils: New Insights into the Functional Properties and Extended Shelf Life. Molecules 2021, 26, 6853. [Google Scholar] [CrossRef]
- Ahamad, S.R.; Al-Ghadeer, A.R.; Ali, R.; Qamar, W.; Aljarboa, S. Analysis of inorganic and organic constituents of myrrh resin by GC–MS and ICP-MS: An emphasis on medicinal assets. Saudi Pharm. J. 2016, 25, 788–794. [Google Scholar] [CrossRef] [PubMed]
- Vafaei, H.; Ajdari, S.; Hessami, K.; Hosseinkhani, A.; Foroughinia, L.; Asadi, N.; Faraji, A.; Abolhasanzadeh, S.; Bazrafshan, K.; Roozmeh, S. Efficacy and safety of myrrh in patients with incomplete abortion: A randomized, double-blind, placebo-controlled clinical study. BMC Complement. Med. Ther. 2020, 20, 1–8. [Google Scholar] [CrossRef] [PubMed]
- Zheng, P.; Huang, Z.; Tong, D.-C.; Zhou, Q.; Tian, S.; Chen, B.-W.; Ning, D.-M.; Guo, Y.-M.; Zhu, W.-H.; Long, Y.; et al. Frankincense myrrh attenuates hepatocellular carcinoma by regulating tumor blood vessel development through multiple epidermal growth factor receptor-mediated signaling pathways. World J. Gastrointest. Oncol. 2022, 14, 450–477. [Google Scholar] [CrossRef] [PubMed]
- Younis, N.S.; Mohamed, M.E. Protective effects of myrrh essential oil on isoproterenol-induced myocardial infarction in rats through antioxidant, anti-inflammatory, Nrf2/HO-1 and apoptotic pathways. J. Ethnopharmacol. 2021, 270, 113793. [Google Scholar] [CrossRef]
- Fatani, A.J.; Alrojayee, F.S.; Parmar, M.Y.; Abuohashish, H.M.; Ahmed, M.M.; Al-Rejaie, S.S. Myrrh attenuates oxidative and inflammatory processes in acetic acid-induced ulcerative colitis. Exp. Ther. Med. 2016, 12, 730–738. [Google Scholar] [CrossRef]
- El-Sherbiny, I.M.; Salih, E.; Reicha, F.M. Green synthesis of densely dispersed and stable silver nanoparticles using myrrh extract and evaluation of their antibacterial activity. J. Nanostructure Chem. 2013, 3, 8. [Google Scholar] [CrossRef]
- Alqahtani, A.S.; Herqash, R.N.; Alqahtani, F.; Ahamad, S.R.; Nasr, F.A.; Noman, O.M. GC-MS Method for Quantification and Pharmacokinetic Study of Four Volatile Compounds in Rat Plasma after Oral Administration of Commiphora myrrh (Nees) Engl. Resin and In Vitro Cytotoxic Evaluation. Separations 2021, 8, 239. [Google Scholar] [CrossRef]
- Hosseini, S.M.; Taghiabadi, E.; Abnous, K.; Hariri, A.T.; Pourbakhsh, H.; Hosseinzadeh, H. Protective effect of thymoquinone, the active constituent of Nigella sativa fixed oil, against ethanol toxicity in rats. Iran J. Basic Med. Sci. 2017, 20, 927. [Google Scholar] [CrossRef] [PubMed]
- Reitman, S.; Frankel, S. A Colorimetric Method for the Determination of Serum Glutamic Oxalacetic and Glutamic Pyruvic Transaminases. Am. J. Clin. Pathol. 1957, 28, 56–63. [Google Scholar] [CrossRef] [PubMed]
- Westwood, A. The analysis of bilirubin in serum. Ann. Clin. biochem. 1991, 28, 119–130. [Google Scholar] [CrossRef] [PubMed]
- El-Houseini, M.E.; Mohammed, M.S.; Elshemey, W.M.; Hussein, T.D.; Desouky, O.S.; Elsayed, A.A. Enhanced Detection of Hepatocellular Carcinoma. Cancer Control 2005, 12, 248–253. [Google Scholar] [CrossRef] [PubMed]
- Patil, N.B.; Somvanshi, B.S.; Kothari, R.M. A simple and rapid high recovery protocol for the purification of arginase. Biotechnol. Tech. 1990, 4, 133–136. [Google Scholar] [CrossRef]
- Rael, L.; Thomas, G.W.; Craun, M.L.; Curtis, C.G.; Bar-Or, R.; Bar-Or, D. Lipid Peroxidation and the Thiobarbituric Acid Assay: Standardization of the Assay When Using Saturated and Unsaturated Fatty Acids. BMB Rep. 2004, 37, 749–752. [Google Scholar] [CrossRef] [PubMed]
- Vinatier, V.; Guieu, V.; Madaule, Y.; Maturano, M.; Payrastre, C.; Hoffmann, P. Superoxide-induced bleaching of streptocyanine dyes: Application to assay the enzymatic activity of superoxide dismutases. Anal. Biochem. 2010, 405, 255–259. [Google Scholar] [CrossRef] [PubMed]
- Damiano, S.; Longobardi, C.; Andretta, E.; Prisco, F.; Piegari, G.; Squillacioti, C.; Montagnaro, S.; Pagnini, F.; Badino, P.; Florio, S.; et al. Antioxidative Effects of Curcumin on the Hepatotoxicity Induced by Ochratoxin A in Rats. Antioxidants 2021, 10, 125. [Google Scholar] [CrossRef] [PubMed]
- Hyun, J.; Han, J.; Lee, C.; Yoon, M.; Jung, Y. Pathophysiological Aspects of Alcohol Metabolism in the Liver. Int. J. Mol. Sci. 2021, 22, 5717. [Google Scholar] [CrossRef]
- Patel, F.; Parwani, K.; Patel, D.; Mandal, P. Metformin and probiotics interplay in amelioration of ethanol-induced oxidative stress and inflammatory response in an in vitro and in vivo model of hepatic injury. Mediat. Inflamm. 2021, 2021, 6636152. [Google Scholar] [CrossRef]
- Hussein, R.H.; Khalifa, F.K. The protective role of ellagitannins flavonoids pretreatment against N-nitrosodiethylamine induced-hepatocellular carcinoma. Saudi J. Biol. Sci. 2014, 21, 589–596. [Google Scholar] [CrossRef]
- Han, Y.; Xu, Q.; Hu, J.-N.; Han, X.-Y.; Li, W.; Zhao, L.-C. Maltol, a Food Flavoring Agent, Attenuates Acute Alcohol-Induced Oxidative Damage in Mice. Nutrients 2015, 7, 682–696. [Google Scholar] [CrossRef] [PubMed]
- Chuncharunee, L.; Yamashiki, N.; Thakkinstian, A.; Sobhonslidsuk, A. Alcohol relapse and its predictors after liver transplantation for alcoholic liver disease: A systematic review and meta-analysis. BMC Gastroenterol. 2019, 19, 150. [Google Scholar] [CrossRef] [PubMed]
- Osna, N.A.; Donohue, T.M., Jr.; Kharbanda, K.K. Alcoholic liver disease: Pathogenesis and current management. Alcohol Res. Curr. Rev. 2017, 38, 147. Available online: https://www.ncbi.nlm.nih.gov/pmc/articles/PMC5513682/ (accessed on 11 June 2022).
- Elaby, S.M.; Ali, J.B. The anti-anemic effect of dried beet green in phenylhydrazine treated rats. Arch. Pharm. Sci. Ain Shams Univ. 2018, 2, 54–69. [Google Scholar] [CrossRef]
- Assiri, M.A.; Roy, S.R.; Harris, P.S.; Ali, H.; Liang, Y.; Shearn, C.T.; Orlicky, D.J.; Roede, J.R.; Hirschey, M.D.; Backos, D.S.; et al. Chronic Ethanol Metabolism Inhibits Hepatic Mitochondrial Superoxide Dismutase via Lysine Acetylation. Alcohol. Clin. Exp. Res. 2017, 41, 1705–1714. [Google Scholar] [CrossRef] [PubMed]
- Hu, S.; Yin, S.; Jiang, X.; Huang, D.; Shen, G. Melatonin protects against alcoholic liver injury by attenuating oxidative stress, inflammatory response, and apoptosis. Eur. J. Pharmacol. 2009, 616, 287–292. [Google Scholar] [CrossRef] [PubMed]
- Cheng, X.-Y.; Liu, J.-D.; Lu, X.-Y.; Yan, X.; Huang, C.; Meng, X.-M.; Li, J. miR-203 Inhibits Alcohol-Induced Hepatic Steatosis by Targeting Lipin1. Front. Pharmacol. 2018, 9, 275. [Google Scholar] [CrossRef] [PubMed]
- Seitz, H.K.; Bataller, R.; Cortez-Pinto, H.; Gao, B.; Gual, A.; Lackner, C.; Mathurin, P.; Mueller, S.; Szabo, G.; Tsukamoto, H. Publisher Correction: Alcoholic liver disease. Nat. Rev. Dis. Primers 2018, 4, 18. [Google Scholar] [CrossRef]
- Angwa, L.M.; Jiang, Y.; Pei, J.; Sun, D. Antioxidant phytochemicals for the prevention of fluoride-induced oxidative stress and apoptosis: A review. Biol. Trace Elem. Res. 2021, 200, 1418–1441. [Google Scholar] [CrossRef] [PubMed]
- Abdelsalam, A.H.; Ila, H.B. In vitro cytogenotoxic and mutagenic effects of Commiphora myrrha essential oil. Drug Chem. Toxicol. 2021, 45, 2718–2726. [Google Scholar] [CrossRef]
- Seifried, H.E.; McDonald, S.S.; Anderson, D.E.; Greenwald, P.; Milner, J.A. The antioxidant conundrum in cancer. Cancer Res. 2003, 63, 4295–4298. Available online: https://pubmed.ncbi.nlm.nih.gov/12907593/ (accessed on 12 July 2022). [PubMed]
- Anwar, H.M.; Moghazy, A.M.; Osman, A.A.E.; Rahman, A.A.A. The Therapeutic Effect of Myrrh (Commiphora molmol) and Doxorubicin on Diethylnitrosamine Induced Hepatocarcinogenesis in Male Albino Rats. Asian Pac. J. Cancer Prev. 2021, 22, 2153–2163. [Google Scholar] [CrossRef]
- Mahmoud, A.M.; Germoush, M.O.; Al-Anazi, K.M.; Mahmoud, A.H.; Farah, M.A.; Allam, A. Commiphora molmol protects against methotrexate-induced nephrotoxicity by up-regulating Nrf2/ARE/HO-1 signaling. Biomed. Pharmacother. 2018, 106, 499–509. [Google Scholar] [CrossRef]
- Alqahtani, A.S.; Nasr, F.A.; Noman, O.M.; Farooq, M.; Alhawassi, T.; Qamar, W.; El-Gamal, A. Cytotoxic Evaluation and Anti-Angiogenic Effects of Two Furano-Sesquiterpenoids from Commiphora myrrh Resin. Molecules 2020, 25, 1318. [Google Scholar] [CrossRef] [PubMed]
- Chen, Y.; Zhou, C.; Ge, Z.; Liu, Y.; Liu, Y.; Feng, W.; Li, S.; Chen, G.; Wei, T. Composition and potential anticancer activities of essential oils obtained from myrrh and frankincense. Oncol. Lett. 2013, 6, 1140–1146. [Google Scholar] [CrossRef] [PubMed]
- Khalil, N.; Fikry, S.; Salama, O. Bactericidal activity of Myrrh extracts and two dosage forms against standard bacterial strains and multidrug-resistant clinical isolates with GC/MS profiling. AMB Express 2020, 10, 21. [Google Scholar] [CrossRef] [PubMed]
- Su, S.; Hua, Y.; Wang, Y.; Gu, W.; Zhou, W.; Duan, J.-A.; Jiang, H.; Chen, T.; Tang, Y. Evaluation of the anti-inflammatory and analgesic properties of individual and combined extracts from Commiphora myrrha, and Boswellia carterii. J. Ethnopharmacol. 2012, 139, 649–656. [Google Scholar] [CrossRef]
- Forman, H.J.; Davies, K.J.; Ursini, F. How do nutritional antioxidants really work: Nucleophilic tone and para-hormesis versus free radical scavenging in vivo. Free Radical Biol. Med. 2014, 66, 24–35, Erratum in Free Radic. Biol. Med. 2014, 74, 307. [Google Scholar] [CrossRef]
- Madia, V.; De Angelis, M.; De Vita, D.; Messore, A.; De Leo, A.; Ialongo, D.; Tudino, V.; Saccoliti, F.; De Chiara, G.; Garzoli, S.; et al. Investigation of Commiphora myrrha (Nees) Engl. Oil and Its Main Components for Antiviral Activity. Pharmaceuticals 2021, 14, 243. [Google Scholar] [CrossRef] [PubMed]
- Racine, P.; Auffray, B. Quenching of singlet molecular oxygen by Commiphora myrrha extracts and menthofuran. Fitoterapia 2005, 76, 316–323. [Google Scholar] [CrossRef]
- Xu, J.; Guo, Y.; Li, Y.; Zhao, P.; Liu, C.; Ma, Y.; Gao, J.; Hou, W.; Zhang, T. Sesquiterpenoids from the Resinous Exudates of Commiphora myrrhaand Their Neuroprotective Effects. Planta Med. 2011, 77, 2023–2028. [Google Scholar] [CrossRef] [PubMed]
- Verma, P.K.; Bala, M.; Kumar, N.; Singh, B. Therapeutic potential of natural products from terrestrial plants as TNF-? antagonist. Curr. Top. Med. Chem. 2012, 12, 1422–1435. [Google Scholar] [CrossRef]
- Olszowy, M. What is responsible for antioxidant properties of polyphenolic compounds from plants? Plant Physiol. Biochem. 2019, 144, 135–143. [Google Scholar] [CrossRef] [PubMed]
- Kieliszek, M.; Edris, A.; Kot, A.M.; Piwowarek, K. Biological Activity of Some Aromatic Plants and Their Metabolites, with an Emphasis on Health-Promoting Properties. Molecules 2020, 25, 2478. [Google Scholar] [CrossRef] [PubMed]





| Retention Time (Minute) | Phytochemical Contents of Myrrh Resin Extract | Area % | Area |
|---|---|---|---|
| 13.17 | 3-methyl-6-(1-methylethylidene)-cyclohexene | 0.44 | 848,956 |
| 14.03 | Beta-elemene | 0.12 | 226,618 |
| 14.63 | Trans-caryophyllene | 0.12 | 226,618 |
| 14.74 | Gamma-elemene | 0.84 | 1,635,662 |
| 15.32 | CIS-.alpha.-bisabolene | 0.16 | 302,442 |
| 15.79 | Germacrene-D | 0.56 | 1,092,838 |
| 16.02 | Curzerene | 31.07 | 60,172,180 |
| 16.91 | 4-ethenyl cyclohexanemethanol | 0.14 | 262,910 |
| 17.16 | Germacrene b | 1.96 | 3,800,492 |
| 17.38 | Menthofuran | 2.21 | 4,272,107 |
| 18.19 | 3A,4,4A,7,7A,8,9,9A-octahydro-1,4,8-metheno-1H-cyclopent[f]azulene | 13.20 | 25,573,312 |
| 18.31 | Myrtenal | 3.07 | 5,943,514 |
| 18.70 | Aromadendrene 2 | 2.07 | 4,004,514 |
| 18.94 | 5-isopropylidenetricyclo [5.2.1.0(2,6)]dec-3-ene | 2.75 | 5,317,004 |
| 19.15 | 7-cyclopentylidene-2-oxabi cyclo [4.1.0]heptane | 0.51 | 991,674 |
| 19.37 | Hepta-2,6-dienoic acid | 18.97 | 36,733,940 |
| 20.14 | (-)-Lepidozenol | 0.13 | 249,712 |
| 21.37 | Alpha thejenal | 12.13 | 23,488,962 |
| 22.40 | 8-isopropenyl-9-isopropyltetra cyclo[4.4.0.0(1,5).0(2,6)]deca-7,9-diene | 4.65 | 9,005,438 |
| 23.67 | 3,3-epoxymethano-6-(3’-isopropenyl cyclopropen-1’-yl)-6-methyl-2-heptanone | 0.36 | 696,775 |
| 23.80 | (-)-(e)-trans-bergamota-2,12-dien-14-al | 0.20 | 386,455 |
| 24.11 | (3z,6z)-dodeca-3,6-dien-1-ol | 0.30 | 581,867 |
| 25.58 | 3,3-epoxymethano-6-(3’-isopropenyl cyclopropen-1’-yl)-6-methyl-2-heptanone | 1.39 | 2,701,007 |
| 26.61 | Lyratyl acetate | 0.20 | 395,513 |
| 27.95 | 3-O-acetyl-6-methoxy-cycloartenol | 0.16 | 307,148 |
| Control | C. myrrha | Ethanol | Ethanol + C. myrrha | |
|---|---|---|---|---|
| TBARS (nmol/g) | 66.50 ± 2.09 | 66.28 ± 2.15 | 114.94 ± 3.82 **** | 83.65 ± 2.87 #### |
| SOD (U/g) | 68.68 ± 2.26 | 67.30 ± 2.67 | 44.24 ± 2.41 **** | 48.30 ± 3.35 |
| CAT (U/g) | 6.22 ± 0.19 | 6.15 ± 0.13 | 4.11 ± 0.22 **** | 4.67 ± 0.20 |
| GSH (mg/g) | 13.34 ± 0.52 | 13.57 ± 0.50 | 9.68 ± 0.45 **** | 10.56 ± 0.53 |
| GPx (U/g) | 20.52 ± 0.84 | 21.59 ± 0.61 | 13.39 ± 0.65 **** | 16.56 ± 0.52 # |
| TAC (µM/g) | 48.64 ± 1.66 | 52.73 ± 1.82 | 35.52 ± 2.26 **** | 41.61 ± 1.45 |
Publisher’s Note: MDPI stays neutral with regard to jurisdictional claims in published maps and institutional affiliations. |
© 2022 by the authors. Licensee MDPI, Basel, Switzerland. This article is an open access article distributed under the terms and conditions of the Creative Commons Attribution (CC BY) license (https://creativecommons.org/licenses/by/4.0/).
Share and Cite
Alahmari, A.S.; El-Mekkawy, H.I.; Al-Doaiss, A.A.; Alduwish, M.A. Effect of Natural Commiphora myrrha Extract against Hepatotoxicity Induced by Alcohol Intake in Rat Model. Toxics 2022, 10, 729. https://doi.org/10.3390/toxics10120729
Alahmari AS, El-Mekkawy HI, Al-Doaiss AA, Alduwish MA. Effect of Natural Commiphora myrrha Extract against Hepatotoxicity Induced by Alcohol Intake in Rat Model. Toxics. 2022; 10(12):729. https://doi.org/10.3390/toxics10120729
Chicago/Turabian StyleAlahmari, Abeer S., Haitham I. El-Mekkawy, Amin A. Al-Doaiss, and Manal A. Alduwish. 2022. "Effect of Natural Commiphora myrrha Extract against Hepatotoxicity Induced by Alcohol Intake in Rat Model" Toxics 10, no. 12: 729. https://doi.org/10.3390/toxics10120729
APA StyleAlahmari, A. S., El-Mekkawy, H. I., Al-Doaiss, A. A., & Alduwish, M. A. (2022). Effect of Natural Commiphora myrrha Extract against Hepatotoxicity Induced by Alcohol Intake in Rat Model. Toxics, 10(12), 729. https://doi.org/10.3390/toxics10120729

