Effects of Lutjanus erythropterus Protein on Depression-like Behavior and Gut Microbiota in Stressed Juvenile Mice
Abstract
1. Introduction
2. Materials and Methods
2.1. Lutjanus Erythropterus Protein Preparation
2.2. AA Determination
2.3. Experimental Animal and Groups
2.4. Chronic Unpredictable Mild Stress (CUMS) Model
2.5. Lep Treatment of the Animal Model
2.6. Behavioral Tests
2.7. Measurement of Serum Inflammatory Factors
2.8. Colon Histopathology
2.9. Determination of Fecal and Colonic Tissue SCFA Concentrations
2.10. Hippocampal, Colonic Tissue, and Fecal Neurotransmitters Measurement
2.11. Gut Microbiota Analysis
2.12. Statistical Analysis
3. Results
3.1. Amino Acid Composition of Lep
3.2. Effect of Lep on Depression-like Behaviors of CUMS Mice
3.3. Effects of Lep on Serum Inflammatory Factors
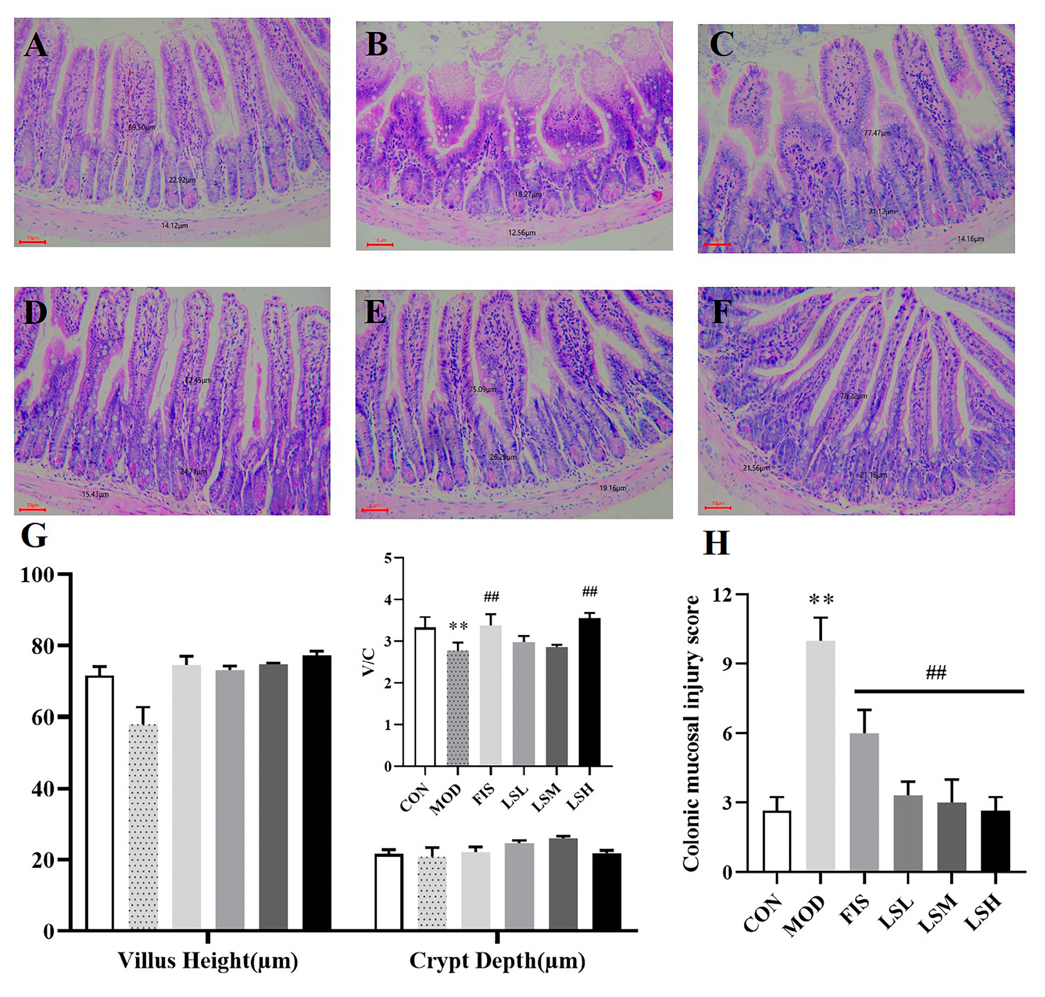
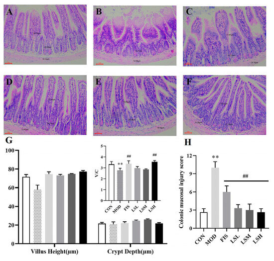
3.4. Effects of Lep on Colonic Mucosa Damage
3.5. Effects of Lep on Fecal and Colon Tissues SCFA Concentrations
3.6. Effects of Lep on Hippocampi and Colon Tissue and Fecal 5-HT Concentrations
3.7. Effects of Lep on Alpha and Beta Diversity of Gut Bacteria
3.8. Effects of Lep on Gut Microbiota Species Composition
3.9. Effects of Lep on Gene Abundance of Amino Acids Metabolic Pathways in the Gut Microbiota
3.10. Correlation Analysis
4. Discussion
5. Conclusions
Author Contributions
Funding
Institutional Review Board Statement
Data Availability Statement
Acknowledgments
Conflicts of Interest
References
- Correia, A.S.; Vale, N. Tryptophan Metabolism in Depression: A Narrative Review with a Focus on Serotonin and Kynurenine Pathways. Int. J. Mol. Sci. 2022, 23, 8493. [Google Scholar] [CrossRef]
- Skonieczna-Żydecka, K.; Grochans, E.; Maciejewska, D.; Szkup, M.; Schneider-Matyka, D.; Jurczak, A.; Łoniewski, I.; Kaczmarczyk, M.; Marlicz, W.; Czerwińska-Rogowska, M.; et al. Faecal Short Chain Fatty Acids Profile Is Changed in Polish Depressive Women. Nutrients 2018, 10, 1939. [Google Scholar] [CrossRef] [PubMed]
- Sun, D.; Luo, J.; Ye, W.; Wang, C.; Deng, Q.; Fang, Z.; Sun, L.; Gooneratne, R. Ziziphus Jujube Polysaccharides Inhibit Over-Abundance of Fecal Butyric Acid in Mildly Stressed Growing Mice to Ameliorate Depression-like Behavior. Food Biosci. 2024, 62, 104875. [Google Scholar] [CrossRef]
- DeFilippis, M.; Wagner, K.D. Management of Treatment-Resistant Depression in Children and Adolescents. Pediatr. Drugs 2014, 16, 353–361. [Google Scholar] [CrossRef] [PubMed]
- Hazell, P. Depression in Children and Adolescents. BMJ Clin. Evid. 2011, 2011, 1008. [Google Scholar] [CrossRef][Green Version]
- Yan, L.; Wang, J.; He, X.; Jin, Y.; Chen, P.; Bai, Y.; Li, P.; Su, W. Platycladus Orientalis Seed Extract as a Potential Triple Reuptake MAO Inhibitor Rescue Depression Phenotype through Restoring Monoamine Neurotransmitters. J. Ethnopharmacol. 2022, 295, 115302. [Google Scholar] [CrossRef] [PubMed]
- Diener, M.J.; Gottdiener, W.H.; Keefe, J.R.; Levy, K.N.; Midgley, N. Treatment of Depression in Children and Adolescents. Lancet Psychiatry 2021, 8, 97. [Google Scholar] [CrossRef] [PubMed]
- Ayvaci, E.R.; Croarkin, P.E. Special Populations: Treatment-Resistant Depression in Children and Adolescents. Psychiatr. Clin. N. Am. 2023, 46, 359–370. [Google Scholar] [CrossRef] [PubMed]
- Fries, G.R.; Saldana, V.A.; Finnstein, J.; Rein, T. Molecular Pathways of Major Depressive Disorder Converge on the Synapse. Mol. Psychiatry 2023, 28, 284–297. [Google Scholar] [CrossRef]
- Zhang, Y.; Huang, J.; Xiong, Y.; Zhang, X.; Lin, Y.; Liu, Z. Jasmine Tea Attenuates Chronic Unpredictable Mild Stress-Induced Depressive-like Behavior in Rats via the Gut-Brain Axis. Nutrients 2021, 14, 99. [Google Scholar] [CrossRef]
- He, J.; Hu, L.; Deng, Q.; Sun, L.; Zhao, Y.; Fang, Z.; Wang, C.; Zhao, J. Carboxymethyl Pachymaran Attenuates Short-Term Stress Induced Depressive Behaviours and over-Expression of Occludin and Claudin-2 in the Blood–Brain-Barrier by Regulating Inflammatory Cytokines- JNK/ERK/P38 Pathway. J. Funct. Foods 2023, 103, 105490. [Google Scholar] [CrossRef]
- Bekhbat, M.; Howell, P.A.; Rowson, S.A.; Kelly, S.D.; Tansey, M.G.; Neigh, G.N. Chronic Adolescent Stress Sex-Specifically Alters Central and Peripheral Neuro-Immune Reactivity in Rats. Brain. Behav. Immun. 2019, 76, 248–257. [Google Scholar] [CrossRef]
- Liu, Y.; Wu, Z.; Cheng, L.; Zhang, X.; Yang, H. The Role of the Intestinal Microbiota in the Pathogenesis of Host Depression and Mechanism of TPs Relieving Depression. Food Funct. 2021, 12, 7651–7663. [Google Scholar] [CrossRef]
- Ju, S.; Shin, Y.; Han, S.; Kwon, J.; Choi, T.G.; Kang, I.; Kim, S.S. The Gut–Brain Axis in Schizophrenia: The Implications of the Gut Microbiome and SCFA Production. Nutrients 2023, 15, 4391. [Google Scholar] [CrossRef]
- van de Wouw, M.; Boehme, M.; Lyte, J.M.; Wiley, N.; Strain, C.; O’Sullivan, O.; Clarke, G.; Stanton, C.; Dinan, T.G.; Cryan, J.F.; et al. Short-chain Fatty Acids: Microbial metabolites that alleviate stress-induced brain-gut axis alterations. J Physiol. 2018, 596, 4923–4944. [Google Scholar] [CrossRef] [PubMed]
- Huang, M.; He, Y.; Tian, L.; Yu, L.; Cheng, Q.; Li, Z.; Gao, L.; Gao, S.; Yu, C. Gut Microbiota-SCFAs-Brain Axis Associated with the Antidepressant Activity of Berberine in CUMS Rats. J. Affect. Disord. 2023, 325, 141–150. [Google Scholar] [CrossRef] [PubMed]
- Nasca, C.; Bigio, B.; Lee, F.S.; Young, S.P.; Kautz, M.M.; Albright, A.; Beasley, J.; Millington, D.S.; Mathé, A.A.; Kocsis, J.H.; et al. Acetyl-l-Carnitine Deficiency in Patients with Major Depressive Disorder. Proc. Natl. Acad. Sci. USA 2018, 115, 8627–8632. [Google Scholar] [CrossRef] [PubMed]
- Wang, J.; Jia, Y.; Li, G.; Wang, B.; Zhou, T.; Zhu, L.; Chen, T.; Chen, Y. The Dopamine Receptor D3 Regulates Lipopolysaccharide-Induced Depressive-Like Behavior in Mice. Int. J. Neuropsychopharmacol. 2018, 21, 448–460. [Google Scholar] [CrossRef] [PubMed]
- Levin, A.D.; van den Brink, G.R. Selective Inhibition of Mucosal Serotonin as Treatment for IBD? Gut 2014, 63, 866–867. [Google Scholar] [CrossRef] [PubMed]
- Stavely, R.; Fraser, S.; Sharma, S.; Rahman, A.A.; Stojanovska, V.; Sakkal, S.; Apostolopoulos, V.; Bertrand, P.; Nurgali, K. The Onset and Progression of Chronic Colitis Parallels Increased Mucosal Serotonin Release via Enterochromaffin Cell Hyperplasia and Downregulation of the Serotonin Reuptake Transporter. Inflamm. Bowel Dis. 2018, 24, 1021–1034. [Google Scholar] [CrossRef] [PubMed]
- Neis, E.P.J.G.; Dejong, C.H.C.; Rensen, S.S. The Role of Microbial Amino Acid Metabolism in Host Metabolism. Nutrients 2015, 7, 2930–2946. [Google Scholar] [CrossRef] [PubMed]
- Rapaport, M.H.; Nierenberg, A.A.; Schettler, P.J.; Kinkead, B.; Cardoos, A.; Walker, R.; Mischoulon, D. Inflammation as a Predictive Biomarker for Response to Omega-3 Fatty Acids in Major Depressive Disorder: A Proof of Concept Study. Mol. Psychiatry 2016, 21, 71–79. [Google Scholar] [CrossRef] [PubMed]
- Yu, J.-Z.; Wang, J.; Sheridan, S.D.; Perlis, R.H.; Rasenic, M.M. N-3 Polyunsaturated Fatty Acids Promote Astrocyte Differentiation and Neurotrophin Production Independent of cAMP in Patient-Derived Neural Stem Cells. Mol. Psychiatry 2021, 26, 4605–4615. [Google Scholar] [CrossRef]
- Grosso, G.; Galvano, F.; Marventano, S.; Malaguarnera, M.; Bucolo, C.; Drago, F.; Caraci, F. Omega-3 Fatty Acids and Depression: Scientific Evidence and Biological Mechanisms. Oxid. Med. Cell. Longev. 2014, 2014, 313570. [Google Scholar] [CrossRef] [PubMed]
- Eckert, F.; Meyer, N.; Monzel, E.; Bouvret, E.; Chataigner, M.; Hellhammer, J. Efficacy of a Fish Hydrolysate Supplement on Sleep Quality: A Randomized, Double-Blind, Placebo-Controlled, Crossover Clinical Trial. Clin. Nutr. ESPEN 2024, 60, 48–58. [Google Scholar] [CrossRef] [PubMed]
- Zhao, Y.-T.; Yin, H.; Hu, C.; Zeng, J.; Zhang, S.; Chen, S.; Zheng, W.; Li, M.; Jin, L.; Liu, Y.; et al. Tilapia Skin Peptides Ameliorate Cyclophosphamide-Induced Anxiety- and Depression-Like Behavior via Improving Oxidative Stress, Neuroinflammation, Neuron Apoptosis, and Neurogenesis in Mice. Front. Nutr. 2022, 9, 882175. [Google Scholar] [CrossRef] [PubMed]
- Lees, M.J.; Carson, B.P. The Potential Role of Fish-Derived Protein Hydrolysates on Metabolic Health, Skeletal Muscle Mass and Function in Ageing. Nutrients 2020, 12, 2434. [Google Scholar] [CrossRef] [PubMed]
- Deng, Y.; Wang, R.; Wang, Y.; Sun, L.; Tao, S.; Li, X.; Gooneratne, R.; Zhao, J. Diversity and Succession of Microbial Communities and Chemical Analysis in Dried Lutianus Erythropterus during Storage. Int. J. Food Microbiol. 2020, 314, 108416. [Google Scholar] [CrossRef] [PubMed]
- He, S.; Franco, C.; Zhang, W. Functions, Applications and Production of Protein Hydrolysates from Fish Processing Co-Products (FPCP). Food Res. Int. 2013, 50, 289–297. [Google Scholar] [CrossRef]
- Khantaphant, S.; Benjakul, S.; Kishimura, H. Antioxidative and ACE Inhibitory Activities of Protein Hydrolysates from the Muscle of Brownstripe Red Snapper Prepared Using Pyloric Caeca and Commercial Proteases. Process Biochem. 2011, 46, 318–327. [Google Scholar] [CrossRef]
- Das, B.K.; Ganguly, S.; Bayen, S.; Talukder, A.K.; Ray, A.; Gupta, S.D.; Kumari, K. Amino Acid Composition of Thirty Food Fishes of the Ganga Riverine Environment for Addressing Amino Acid Requirement through Fish Supplementation. Foods 2024, 13, 2124. [Google Scholar] [CrossRef] [PubMed]
- Ding, K.; Wang, F.; Wang, K.; Feng, X.; Yang, M.; Han, B.; Li, G.; Li, S. Environmental Stress during Adolescence Promotes Depression-like Behavior and Endocrine Abnormalities in Rats. Behav. Brain Res. 2024, 457, 114710. [Google Scholar] [CrossRef]
- Zhang, Z.; Lu, W.; Liu, P.; Li, M.; Ge, X.; Yu, B.; Wu, Z.; Liu, G.; Ding, N.; Cui, B.; et al. Microbial Modifications with Lycium barbarum L. Oligosaccharides Decrease Hepatic Fibrosis and Mitochondrial Abnormalities in Mice. Phytomedicine Int. J. Phytother. Phytopharm. 2023, 120, 155068. [Google Scholar] [CrossRef] [PubMed]
- Cao, C.; Rijlaarsdam, J. Childhood Parenting and Adolescent Internalizing and Externalizing Symptoms: Moderation by Multilocus Hypothalamic-Pituitary-Adrenal Axis-Related Genetic Variation. Dev. Psychopathol. 2023, 35, 524–536. [Google Scholar] [CrossRef] [PubMed]
- Portincasa, P.; Bonfrate, L.; Khalil, M.; Angelis, M.D.; Calabrese, F.M.; D’Amato, M.; Wang, D.Q.-H.; Di Ciaula, A. Intestinal Barrier and Permeability in Health, Obesity and NAFLD. Biomedicines 2021, 10, 83. [Google Scholar] [CrossRef]
- Berk, M.; Williams, L.J.; Jacka, F.N.; O’Neil, A.; Pasco, J.A.; Moylan, S.; Allen, N.B.; Stuart, A.L.; Hayley, A.C.; Byrne, M.L.; et al. So Depression Is an Inflammatory Disease, but Where Does the Inflammation Come from? BMC Med. 2013, 11, 200. [Google Scholar] [CrossRef] [PubMed]
- Beurel, E.; Toups, M.; Nemeroff, C.B. The Bidirectional Relationship of Depression and Inflammation: Double Trouble. Neuron 2020, 107, 234–256. [Google Scholar] [CrossRef]
- Cheng, J.; Hu, H.; Ju, Y.; Liu, J.; Wang, M.; Liu, B.; Zhang, Y. Gut Microbiota-Derived Short-Chain Fatty Acids and Depression: Deep Insight into Biological Mechanisms and Potential Applications. Gen. Psychiatry 2024, 37, e101374. [Google Scholar] [CrossRef] [PubMed]
- Li, H.; Xiang, Y.; Zhu, Z.; Wang, W.; Jiang, Z.; Zhao, M.; Cheng, S.; Pan, F.; Liu, D.; Ho, R.C.M.; et al. Rifaximin-Mediated Gut Microbiota Regulation Modulates the Function of Microglia and Protects against CUMS-Induced Depression-like Behaviors in Adolescent Rat. J. Neuroinflammation 2021, 18, 254. [Google Scholar] [CrossRef]
- Huang, X.-Z.; Li, Z.-R.; Zhu, L.-B.; Huang, H.-Y.; Hou, L.-L.; Lin, J. Inhibition of P38 Mitogen-Activated Protein Kinase Attenuates Butyrate-Induced Intestinal Barrier Impairment in a Caco-2 Cell Monolayer Model. J. Pediatr. Gastroenterol. Nutr. 2014, 59, 264–269. [Google Scholar] [CrossRef] [PubMed]
- Killingsworth, J.; Sawmiller, D.; Shytle, R.D. Propionate and Alzheimer’s Disease. Front. Aging Neurosci. 2021, 12, 580001. [Google Scholar] [CrossRef] [PubMed]
- Neal, M.; Thiruppathy, D.; Zengler, K. Genome-Scale Metabolic Modeling of the Human Gut Bacterium Bacteroides Fragilis Strain 638R. PLOS Comput. Biol. 2023, 19, e1011594. [Google Scholar] [CrossRef]
- Abdugheni, R.; Wang, W.; Wang, Y.; Du, M.; Liu, F.; Zhou, N.; Jiang, C.; Wang, C.; Wu, L.; Ma, J.; et al. Metabolite Profiling of Human-originated Lachnospiraceae at the Strain Level. iMeta 2022, 1, e58. [Google Scholar] [CrossRef] [PubMed]
- Javelle, F.; Lampit, A.; Bloch, W.; Häussermann, P.; Johnson, S.L.; Zimmer, P. Effects of 5-Hydroxytryptophan on Distinct Types of Depression: A Systematic Review and Meta-Analysis. Nutr. Rev. 2020, 78, 77–88. [Google Scholar] [CrossRef] [PubMed]
- Erritzoe, D.; Godlewska, B.R.; Rizzo, G.; Searle, G.E.; Agnorelli, C.; Lewis, Y.; Ashok, A.H.; Colasanti, A.; Boura, I.; Farrell, C.; et al. Brain Serotonin Release Is Reduced in Patients With Depression: A [11C]Cimbi-36 Positron Emission Tomography Study with a d-Amphetamine Challenge. Biol. Psychiatry 2023, 93, 1089–1098. [Google Scholar] [CrossRef] [PubMed]
- Li, H.; Wang, P.; Huang, L.; Li, P.; Zhang, D. Effects of Regulating Gut Microbiota on the Serotonin Metabolism in the Chronic Unpredictable Mild Stress Rat Model. Neurogastroenterol. Motil. 2019, 31, e13677. [Google Scholar] [CrossRef] [PubMed]
- Cao, H.; Liu, X.; An, Y.; Zhou, G.; Liu, Y.; Xu, M.; Dong, W.; Wang, S.; Yan, F.; Jiang, K.; et al. Dysbiosis Contributes to Chronic Constipation Development via Regulation of Serotonin Transporter in the Intestine. Sci. Rep. 2017, 7, 10322. [Google Scholar] [CrossRef]
- Zhang, S.; Wang, R.; Li, D.; Zhao, L.; Zhu, L. Role of Gut Microbiota in Functional Constipation. Gastroenterol. Rep. 2021, 9, 392–401. [Google Scholar] [CrossRef] [PubMed]
- Roshchina, V.V. New Trends and Perspectives in the Evolution of Neurotransmitters in Microbial, Plant, and Animal Cells. Adv. Exp. Med. Biol. 2016, 874, 25–77. [Google Scholar] [CrossRef]
- Di Vincenzo, F.; Del Gaudio, A.; Petito, V.; Lopetuso, L.R.; Scaldaferri, F. Gut Microbiota, Intestinal Permeability, and Systemic Inflammation: A Narrative Review. Intern. Emerg. Med. 2024, 19, 275–293. [Google Scholar] [CrossRef] [PubMed]
- Zhuang, Y.; Zeng, R.; Liu, X.; Yang, L.; Chan, Z. Neoagaro-Oligosaccharides Ameliorate Chronic Restraint Stress-Induced Depression by Increasing 5-HT and BDNF in the Brain and Remodeling the Gut Microbiota of Mice. Mar. Drugs 2022, 20, 725. [Google Scholar] [CrossRef] [PubMed]
- Strandwitz, P. Neurotransmitter Modulation by the Gut Microbiota. Brain Res. 2018, 1693, 128. [Google Scholar] [CrossRef] [PubMed]
- Yang, J.; Zheng, P.; Li, Y.; Wu, J.; Tan, X.; Zhou, J.; Sun, Z.; Chen, X.; Zhang, G.; Zhang, H.; et al. Landscapes of Bacterial and Metabolic Signatures and Their Interaction in Major Depressive Disorders. Sci. Adv. 2020, 6, eaba8555. [Google Scholar] [CrossRef]
- Liu, X.; Zhang, Y.; Li, W.; Zhang, B.; Yin, J.; Liuqi, S.; Wang, J.; Peng, B.; Wang, S. Fucoidan Ameliorated Dextran Sulfate Sodium-Induced Ulcerative Colitis by Modulating Gut Microbiota and Bile Acid Metabolism. J. Agric. Food Chem. 2022, 70, 14864–14876. [Google Scholar] [CrossRef] [PubMed]
- Fan, Y.; Pedersen, O. Gut Microbiota in Human Metabolic Health and Disease. Nat. Rev. Microbiol. 2021, 19, 55–71. [Google Scholar] [CrossRef]
- Zumbi, C.N.; Choi, H.H.T.; Huang, H.-S.; Panyod, S.; Wang, T.-W.; Huang, S.-J.; Tsou, H.-H.; Ho, C.-T.; Sheen, L.-Y. Amino Acid Metabolites Profiling in Unpredictable Chronic Mild Stress-Induced Depressive Rats and the Protective Effects of Gastrodia Elata Blume and Gastrodin. J. Ethnopharmacol. 2025, 337, 118906. [Google Scholar] [CrossRef] [PubMed]
- Dai, Z.; Wu, Z.; Zhu, W.; Wu, G. Amino Acids in Microbial Metabolism and Function. In Recent Advances in Animal Nutrition and Metabolism; Wu, G., Ed.; Springer International Publishing: Cham, Switzerland, 2022; pp. 127–143. ISBN 978-3-030-85686-1. [Google Scholar]
- Chung, Y.W.; Gwak, H.-J.; Moon, S.; Rho, M.; Ryu, J.-H. Functional Dynamics of Bacterial Species in the Mouse Gut Microbiome Revealed by Metagenomic and Metatranscriptomic Analyses. PLoS ONE 2020, 15, e0227886. [Google Scholar] [CrossRef]









| Evaluation Indicator | ||
|---|---|---|
| Degree of Inflammation Damage | Degree of Crypt Damage | |
| Evaluation scale (points) | None (0 points) Mild (1 points) Moderate (2 points) Severe (3 points) | None (0 points) 1/3 damage of crypts (1 points) 2/3 damage of crypts (2 points) Loss of crypts, retention of epithelium (3 points) Loss of crypts and epithelium (4 points) |
| Degree of inflammation infiltration | Demage proportional composition | |
| Evaluation scale (points) | None (0 points) Mucous membrane layer (1 points) Submucosa (2 points) Entire mucous membrane (3 points) | 0 damage (0 points) 1–25% damage (1 points) 26–50% damage (2 points) 51–75% damage (3 points) 75–100% damage (4 points) |
| Amino Acid | Percentage/% | Amino Acid | Percentage/% |
|---|---|---|---|
| Aspartate (Asp) | 5.88% | Isoleucine (Ile) | 2.53% |
| Threonine (Thr) | 2.71% | Leucine (Leu) | 4.59% |
| Serine (Ser) | 2.38% | Tyrosine (Tyr) | 1.59% |
| Glutamate (Glu) | 9.09% | Phenylalanine (Phe) | 2.14% |
| Glycine (Gly) | 3.21% | Lysine (Lys) | 5.51% |
| Alanine (Ala) | 3.75% | Proline (Pro) | 1.19% |
| Cysteine (Cys) | 0.29% | Histidine (His) | 1.37% |
| Valine (Val) | 2.89% | Arginine (Arg) | 3.47% |
| Methionine (Met) | 0.84% | Other | 21.15% |
| Crude protein content/% | 74.56% | ||
Disclaimer/Publisher’s Note: The statements, opinions and data contained in all publications are solely those of the individual author(s) and contributor(s) and not of MDPI and/or the editor(s). MDPI and/or the editor(s) disclaim responsibility for any injury to people or property resulting from any ideas, methods, instructions or products referred to in the content. |
© 2025 by the authors. Licensee MDPI, Basel, Switzerland. This article is an open access article distributed under the terms and conditions of the Creative Commons Attribution (CC BY) license (https://creativecommons.org/licenses/by/4.0/).
Share and Cite
Luo, J.; Wang, C.; Ye, W.; He, R.; Huang, L.; Fang, Z.; Deng, Q.; Qiu, M.; Sun, L.; Gooneratne, R. Effects of Lutjanus erythropterus Protein on Depression-like Behavior and Gut Microbiota in Stressed Juvenile Mice. Foods 2025, 14, 330. https://doi.org/10.3390/foods14020330
Luo J, Wang C, Ye W, He R, Huang L, Fang Z, Deng Q, Qiu M, Sun L, Gooneratne R. Effects of Lutjanus erythropterus Protein on Depression-like Behavior and Gut Microbiota in Stressed Juvenile Mice. Foods. 2025; 14(2):330. https://doi.org/10.3390/foods14020330
Chicago/Turabian StyleLuo, Jinjin, Chen Wang, Weichang Ye, Ruiyang He, Ling Huang, Zhijia Fang, Qi Deng, Mei Qiu, Lijun Sun, and Ravi Gooneratne. 2025. "Effects of Lutjanus erythropterus Protein on Depression-like Behavior and Gut Microbiota in Stressed Juvenile Mice" Foods 14, no. 2: 330. https://doi.org/10.3390/foods14020330
APA StyleLuo, J., Wang, C., Ye, W., He, R., Huang, L., Fang, Z., Deng, Q., Qiu, M., Sun, L., & Gooneratne, R. (2025). Effects of Lutjanus erythropterus Protein on Depression-like Behavior and Gut Microbiota in Stressed Juvenile Mice. Foods, 14(2), 330. https://doi.org/10.3390/foods14020330

