Abstract
Listeria monocytogenes is the causative agent of listeriosis, a severe foodborne illness characterized by septicemia, meningitis, encephalitis, abortions, and occasional death in infants and immunocompromised individuals. L. monocytogenes is composed of four genetic lineages (I, II, III, and IV) and fourteen serotypes. The aim of the current study was to identify proteins that can serve as biomarkers for detection of genetic lineage III strains based on simple antibody-based methods. Liquid chromatography (LC) with electrospray ionization tandem mass spectrometry (ESI MS/MS) followed by bioinformatics and computational analysis were performed on three L. monocytogenes strains (NRRL B-33007, NRRL B-33014, and NRRL B-33077), which were used as reference strains for lineages I, II, and III, respectively. Results from ESI MS/MS revealed 42 unique proteins present in NRRL B-33077 and absent in NRRL B-33007 and NRRL B-33014 strains. BLAST analysis of the 42 proteins against a broader panel of >80 sequenced strains from lineages I and II revealed four proteins [TM2 domain-containing protein (NRRL B-33077_2770), DUF3916 domain-containing protein (NRRL B-33077_1897), DNA adenine methylase (NRRL B-33077_1926), and protein RhsA (NRRL B-33077_1129)] that have no homology with any sequenced strains in lineages I and II. The four genes that encode these proteins were expressed in Escherichia coli strain DE3 and purified. Polyclonal antibodies were prepared against purified recombinant proteins. ELISA using the polyclonal antibodies against 12 L. monocytogenes lineage I, II, and III isolates indicated that TM2 protein and DNA adenine methylase (Dam) detected all lineage III strains with no reaction to lineage I and II strains. In conclusion, two proteins including TM2 protein and Dam are potentially useful biomarkers for detection and differentiation of L. monocytogenes lineage III strains in clinical, environmental, and food processing facilities. Furthermore, these results validate the approach of using a combination of proteomics and bioinformatics to identify useful protein biomarkers.
1. Introduction
Listeria monocytogenes is a Gram-positive intracellular pathogen that causes listeriosis, a serious foodborne infection with high hospitalization and mortality rates (20 to 30% mortality in high-risk individuals) [1,2,3]. In the United States, L. monocytogenes is responsible for about 260 deaths each year. Foodborne outbreaks of listeriosis are serious public health problems and can cause severe clinical illness in high-risk populations, with listeriosis having the third highest mortality rate among foodborne pathogens. The most common form of the disease occurs 24 h after ingestion of a large inoculum of bacteria and usually lasts two days with gastroenteritis-like symptoms [4]. The less common but more severe form of the disease is found mainly among pregnant women and immunocompromised persons, with symptoms of abortion, neonatal death, septicemia, and meningitis [5].
L. monocytogenes is ubiquitous in the environment, including water and soil, and it can resist high salt concentration, low and high temperatures (−1 to 45 °C), and a broad pH range (4.6 to 9.5) [6,7]. This capacity for tolerating extreme conditions makes L. monocytogenes of particular concern for the food industry, especially because it can be carried asymptomatically by multiple animal species [8]. As a result, it has been isolated from raw and processed foods, including chicken, red meat, seafood, and dairy products.
Based on classical molecular subtyping methods such as ribotyping, pulse field gel electrophoresis (PFGE), and multilocus sequence typing (MLST), L. monocytogenes strains are grouped into four distinct phylogenetic lineages (I, II, III, and IV). Lineage I includes strains of serotypes 1/2b, 3b, 4b, 4d, and 4e; this lineage is more commonly associated with human clinical cases. Most outbreaks of listeriosis are caused by this lineage. Lineage II includes strains of serotypes 1/2a, 1/2c, 3a, and 3c [9], which is mostly isolated from food and environmental samples and causes sporadic listeriosis. Lineage III includes strains of serotypes 4a and 4c, as well as certain strains of serotype 4b commonly isolated from animals. Strains in this lineage are typically lower risk for causing listeriosis in people [10,11,12]. Lineage IV strains are very rare and mostly come from animals [13].
L. monocytogenes can be differentiated through culture methods based on selective enrichment and plating, followed by characterization based on colony morphology, sugar fermentation, and hemolytic properties [14]. These methods are the gold standard, but they are lengthy and may not be suitable for testing foods with short shelf lives.
As a result, more rapid tests were developed based on molecular techniques (PCR or DNA hybridization). However, some PCR techniques require two or three independent PCR reactions [15,16]. Other PCR techniques differentiate only two or three serotypes [17,18]. Thus, there is a need for the development of a rapid method that can distinguish high-risk L. monocytogenes serotypes from low-risk serotypes. Since lineage III strains are low risk for human listeriosis, we sought to identify protein biomarker(s) that could distinguish L. monocytogenes genetic lineage III isolates from lineage I and II isolates using a simple antibody-based method. This work will enable studies on the epidemiology of listeriosis and the development of preventive strategies.
In the current study, we applied liquid chromatography and electrospray ionization with tandem mass spectrometry (ESI MS/MS) proteomics to identify unique proteins of L. monocytogenes lineage III strain NRRL B-33077. Mass spectrometry identified a total of 42 distinct proteins in strain NRRL B-33077 with no ortholog in representative strains from L. monocytogenes genetic lineages I and II. BLAST analysis of these lineage III-unique proteins against a panel of 80 L. monocytogenes proteomes (representing lineages I, II, and III) revealed twenty proteins without protein homology with lineage I and II proteins. Four proteins out of twenty were chosen for further studies based on peptide coverage and identity. These proteins have potential to develop antibody-based separation methods for differentiating L. monocytogenes genetic lineage III from lineages I and II. Development of simple antibody-based methods for differentiating L. monocytogenes genetic lineages, serotypes, and epidemic clones would facilitate identification of listerial subgroups in diagnostic microbiology laboratories and potentially in food processing facilities. This increased discriminatory capability would assist in assessment of risk from L. monocytogenes isolates and accelerate epidemiological investigations.
2. Materials and Methods
2.1. Ethics Statement
Polyclonal antibody production in rabbits was performed at Mississippi State University according to a protocol approved by the MSU Institutional Animal Care and Use Committee (IACUC-18-137).
2.2. Bacterial Cultures
Twelve L. monocytogenes strains were used in this study as reference strains for lineages I, II, and III (Table 1). L. monocytogenes genome sequence for strains NRRL B-33007, NRRL B-33014, and NRRL B-33077 was provided by Todd J. Ward. L. monocytogenes strain 33077 (genomovar III; serotype 4a) was obtained from USDA-ARS and used for development of a DNA probe-based method for differentiation of L. monocytogenes serogroups [12]. Strain NRRL B-33077 served as the reference genetic lineage III strain for the current study. L. monocytogenes strains were grown on brain heart infusion (BHI) agar and broth (Difco, Sparks, MD, USA) and incubated at 37 °C. Escherichia coli K12 strain NovaBlue (Novagen, Madison, WI, USA) was used for gene cloning in pET-28a expression vector (Novagen) (Table 2). Three recombinant proteins (WP_012582068.1, WP_003728958.1, and WP_014589151.1) were expressed in BL21(DE3) (EMD Millipore, San Diego, CA, USA), and one protein (WP_077954308.1) was expressed in C41(DE3) (EMD Millipore). All E. coli strains were cultured on Luria–Bertani (LB) agar or broth (Difco) at 37 °C. Kanamycin (Kan: 30 µg/mL) (Sigma–Aldrich, St. Louis, MO, USA) was added to a culture medium for plasmid selection when needed, and isopropyl-β-D thiogalactopyranoside (IPTG, Sigma) was added for protein induction when needed.
Table 1.
Listeria monocytogenes strains used in this study.
Table 2.
Escherichia coli strains and plasmids used in this study.
2.3. Protein Extraction with Phenol-Based Protocol
Total proteins were isolated in triplicate from L. monocytogenes strains NRRL B-33007, NRRL B-33014, and NRRL B-33077 (lineages I, II, and III, respectively) using a phenol-based extraction protocol with modifications [21]. Washed L. monocytogenes pellets were resuspended in an ice-cold extraction buffer (0.9 M sucrose, 0.5 M Tris-base, 0.05 M Na2-EDTA, 0.1 M KCl, 2% β-mercaptoethanol, 8 mM PMSF, pH 8.7) and sonicated with five 10-s pulses (Fisher Scientific Model 100 Sonic Dismembrator, setting 3) on ice with a minimum of 1 min cooling time between pulses. Lysates were further treated with DNase (85 µg/mL) and RNase (20 µg/mL) at 37 °C for 30 min. Proteins were extracted by adding an equal volume of Tris-buffered phenol (pH 8) and homogenizing for 10 min at room temperature. Insoluble matter, phenol, and aqueous phases were separated by centrifugation at 5500× g at 4 °C. The phenol phase was collected and extracted with an ice-cold extraction buffer two more times using the same procedure. Proteins were then precipitated from the phenol phase with five volumes of 0.1 M ammonium acetate and 2% β-mercaptoethanol in 100% methanol overnight at −20 °C.
Precipitated proteins were washed three times with the same solution and three times with 100% acetone. Air-dried protein pellets were stored at −20 °C.
2.4. Protein Fractionation and In-Solution Digestion
For protein fractionation and digestion, L. monocytogenes protein pellets were dissolved in 1× SDS sample buffer (2% SDS, 50 mM Tris-HCl pH 6.8, 10% glycerol; 1% DTT) and quantified using a 2D Quant Kit (GE Healthcare, Chicago, IL, USA). To increase coverage of each proteome, 350 µg of proteins were fractionated into twelve molecular weight (MW) fractions using Sage ELF (Sage Science, Beverly, MA, USA). After fractionation, protein purity was verified using Bioanalyzer (Agilent Technologies, Santa Clara, CA, USA). Fractions were desalted on HiPPR spin columns (Thermo Fisher Scientific, Waltham, MA, USA). In-solution digestion was conducted as follows: each fraction was reduced with 100 mM DTT (15 min at 65 °C), alkylated with 100 mM iodoacetamide (IAA) 30 min at room temperature in the dark, and digested overnight with Trypsin/Lys-C Mix (Promega, Madison, WI, USA) at 37 °C. Tryptic peptides were acidified with formic acid, concentrated by Speed-Vac, and stored at −80 °C. Immediately before mass spectrometry, they were dissolved in 2% acetonitrile/0.1% formic acid and subjected to LC-MS/MS. Protein fractionation was performed at Institute for Genomics, Biocomputing and Biotechnology (IGBB-MSU).
2.5. Mass Spectrometry
Trypsin-digested protein fractions from three L. monocytogenes strains were subjected to qualitative proteomics analysis using liquid chromatography and ESI MS/MS. Peptides were separated using C18 column and HPLC directly linked to an LTQ Orbitrap mass spectrometer. Mass spectra were collected in data-dependent analysis (DDA) mode during a three hour-long acetonitrile gradient. Complete open reading frames (ORFs) and translated proteins were predicted using EMBOSS (v 6.6.0).
The raw data files were converted to “MGF” format and matched against the ORF database using X!Tandem (v 2017.2.1.4). For each strain, search results from the strain-specific ORF database were filtered to reduce the false discovery rate to less than 5% using the MSnID R package. Results were filtered further by removing all spectra that matched theoretical ORF databases from NRRL B-33007 and NRRL B-33014 (genomovars I and II) to yield candidate genomovar III-specific spectra.
2.6. Bioinformatics Analysis
Bioinformatics analysis identified 232,470 spectra that were identified in NRRL B-33077 (lineage III) and not in lineages I and II. The unique spectra mapped to 1522 ORFs with an ORF FDR ≤ 0.05. Of those ORFs, a total of 42 distinct proteins were detected in strain NRRL B_33077 that did not match L. monocytogenes strains NRRL B-33007 and NRRL B-33014 with less than 50% identity.
BLAST analysis of the putative lineage III-specific proteins was conducted against 80 L. monocytogenes strains from lineages I and II in the NCBI Reference Sequence proteome database, and 20 proteins were identified that did not match any strains from lineages I and II.
Four of these 20 proteins, that were most unique to lineage III (based on peptide coverage and identity of all three lineages), are WP_012582068.1 encoding DUF3916 domain-containing protein (NRRL B-33077_1897, designated DUF3916), WP_003728958.1 encoding TM2 domain-containing protein (NRRL B-33077_2770, designated TM2), WP_014589151.1 encoding protein RhsA (NRRL B-33077_1129, designated RhsA), and WP_077954308.1 encoding Dam (NRRL B-33077_1926, designated Dam). These proteins were selected for further analysis to determine their suitability as biomarkers for antibody-based detection of L. monocytogenes genetic lineage III.
2.7. Construction of Recombinant Plasmids and Protein Expression
PCR amplicons for the selected four genes were amplified from L. monocytogenes NRRL B-33077 genomic DNA using the primer pairs shown in Table 3. Restriction endonuclease sites were incorporated at the 5′ end of each primer. The four amplified products were purified with the QIAquick PCR purification kit (Qiagen, Valencia, CA, USA). Cleaned PCR products were digested with two restriction endonucleases and ligated into pET28a. Ligation mixtures were transformed to chemically competent NovaBlue E. coli K12. Positive clones were selected on LB agar plates with kanamycin. Candidate plasmids with appropriate fragment patterns were sequenced using T7 promotor and T7 terminator primers to confirm correct orientation of the insert. Three resulting recombinant plasmids (pET28a_1897, pET28a_2770, and pET28a_1129) were transformed into E. coli BL21(DE3), while (pET28a_1926) was transformed into E. coli C41(DE3) due to the low level of expression in BL21 (DE3). Protein expression in E. coli cultures was optimized in 250 mL cultures and induced at an optical density at 600 nm (OD600) of 0.6–0.8 by adding IPTG ranging from 1 mM to 100 mM final concentration. Induced cultures were incubated overnight in temperatures ranging from 18 to 37 °C. Bacterial pellets at different time points (2, 4, 6, 8, and 18 h) were collected and analyzed by electrophoresis in 12% SDS-PAGE to check for protein expression. Non-recombinant bacteria and uninduced recombinant clones were used as controls [22].
Table 3.
Primers used for PCR amplification.
2.8. Purification of Four Recombinant Proteins
Purification of the four recombinant proteins containing six histidine tags was carried out using His-Bind (Novagen) resin column according to the manufacturer’s protocols [22]. The recombinant DUF3916 and TM2 clones were grown in 250 mL of LB broth and induced by 1 mM final concentration IPTG for 18 h at 18 °C. Recombinant RhsA and Dam clones were grown in 250 mL of LB broth and induced by 100 mM IPTG. Bacteria were then harvested by centrifugation (6000× g for 20 min at 4 °C), and the pellets were lysed using 8 M urea, 50 mM Tris-HCl (pH 8.0), 10 mM EDTA, and 10 mg/mL lysozyme, followed by sonication (6 cycles, 30 s) on ice. The sonicated suspension of three proteins (DUF3916, TM2, and RhsA) was subjected to centrifugation and collected for protein purification. For Dam, the pellet was washed with 0.2 M sodium phosphate buffer (pH 7.3), 1 mM EDTA, 50 mM NaCl, 5% glycerol, and 1 M urea, followed by washing with a homogenization buffer (50 mM Tris-HCl (pH 8.0), 100 mM NaCl, 0.5% TritonX-100, 0.1% sodium-azide). The pellets were solubilized in 6 M guanidinium chloride, 10 mM Tris-HCl (pH 8.0), and 500 mM NaCl for 1 h at 4 °C followed by centrifugation. The clarified supernatant was loaded onto a His-Bind column prepacked with Ni2+-charged resin that had been pre-equilibrated with 10 mL of binding buffer. Non-specific proteins were removed by applying binding buffer followed by wash buffer (6 M urea, 500 mM NaCl, 20 mM imidazole, and 20 mM Tris-HCl [pH 7.9]). Recombinant proteins were then eluted with 6 M urea, 1 M imidazole, 250 mM NaCl, and 10 mM Tris-HCl. Purity of the proteins was determined by 12% SDS-PAGE analysis. Protein yield was determined on a spectrophotometer at 280 nm.
2.9. Polyclonal Antibody Production
A total of eight 10-week-old specific pathogen free (SPF) New Zealand white rabbits were housed separately in stainless steel cages and allowed free access to complete pelleted rabbit diet and water. Rabbits were acclimated for seven days before use. Two rabbits were used to produce polyclonal antibody against each recombinant protein.
On day 1, blood samples were collected from the ear vein of each rabbit to determine pre-injection antibody levels (control). Primary immunization with the purified proteins was conducted in 1 mL emulsion of sterile antigen and complete Freund’s adjuvant. The ratio of antigen to adjuvant was 4:1 with a final concentration of 250 µg/mL of recombinant protein. Rabbits were administered with 0.3 mL of the antigen/adjuvant mixture subcutaneously in four locations on the back and flank regions. Two booster immunizations were performed at 14- and 21-day intervals using emulsion with incomplete Freund’s adjuvant administered subcutaneously in four different locations. The ratio of antigen to adjuvant was 2:1. Post-injection blood samples were collected 7 and 21 days after the second booster injection to determine antibody titers using an enzyme-linked immunosorbent assay (ELISA).
After a sufficient antibody response was developed, a final blood sample was collected by the intracardiac (IC) method under anesthesia with ketamine (15 mg/kg), dexmedetomidine (0.125 mg/kg), butorphanol (0.2 mg/kg), and glycopyrrolate (0.01 mg/kg). Rabbits were euthanized without recovery from anesthesia using dexmedetomidine reversed with atipamezole (as needed).
2.10. Analysis of Antibody Titer
Analysis of antibody titer in rabbit serum was carried out using two different methods of the enzyme-linked immunosorbent assay (ELISA). In the first method, a 96-well ELISA plate (Bloomington, MN, USA) was coated with the purified recombinant proteins. The purified protein sample was diluted to 20 mg/mL final concentration using sterile PBS, and 100 μL was added per well. In the second method, a 96-well ELISA plate (Bloomington, MN, USA) was coated with inactivated bacterial suspension. L. monocytogenes strains (listed in Table 1) were cultivated to a concentration of 108 CFU/mL, heat inactivated for 3 h, washed, and suspended in sterile Hank’s balanced salt solution (HBSS).
For both ELISA methods, 100 µL rabbit serum diluted 1:100 was added to each well. After washing, goat anti-rabbit IgG antibody conjugate (Fisher Scientific) was used for detection with p-nitrophenyl phosphate substrate (Sigma 104 phosphatase substrate) dissolved in 10% diethanolamine buffer. Absorbance was measured at 405 nm in an ELISA Microplate Reader (Carlsbad, CA, USA). To standardize, average background absorbance for each plate was subtracted from the measured absorbance for each well.
2.11. Automated Western Blot (WES)
Automated Western Blot (WES) immunoassays were conducted using a fully automated Simple WesternTM capillary instrument (Protein Simple, San Jose, CA, USA) according to the manufacturer’s protocol. For Dam, the assay was set up as follows: final concentration of 5 µg/mL per well of protein diluted in PBS. Antibodies against Dam were applied in dilutions of 1:250, 1:500, 1:750, and 1:1000 as one dilution per well. For TM2 protein, a final concentration of 2.5 µg/mL of protein diluted in PBS was used per well. Antibodies against Tm2 protein were applied in dilutions of 1:500, 1:1000, 1:2500, 1:5000, 1:7500, 1:10,000, and 1:15,000 as one dilution per well. Protein samples, antibodies, and reagents were loaded on pre-filled cartridges. Serum (primary antibody) and anti-rabbit HRP-conjugated secondary antibody were used for immunoprobing with chemiluminescent substrate, which took place in the capillaries. Resulting assay data were automatically processed and analyzed by Compass software (Protein Simple) (https://www.biotechne.com/resources/instrument-software-download-center, accessed on 22 March 2024).
2.12. Statistical Analysis
The rabbit serum antibody response against the injected recombinant proteins (measured by ELISA using plates coated with respective recombinant protein) was compared between the preinjected serum and the 21 day post-injection sera with mixed model logistic regression using PROC GLIMMIX in SAS for Windows 9.4 (SAS Institute, Inc., Cary, NC, USA).
The variance in the mean difference in reactivity between preinjected serum and immune serum for each protein against the mean of all four lineage I strains, four lineage II strains, and four lineage III strains was compared using PROC GLM Dunnett in SAS for Windows 9.4.
Additionally, a multiple variant comparison of the mean difference in reactivity for each genetic lineage III strain was carried out separately against the mean differences of all four lineage I and all four lineage II strains using PROC GLM with an adjustable p value.
3. Results
3.1. Mass Spectrometry
Liquid chromatography ESI MS/MS analysis revealed that 232,470 spectra were detected in L. monocytogenes NRRL B-33077 (lineage III) and absent in NRRL B-33007 and NRRL B-33014 (lineages I and II, respectively) with a false discovery rate (FDR) ≤ 0.05. These spectra mapped to 1522 ORFs, out of which 651 had unique peptides present in NRRL B-33077 and not in NRRL B-33014 and NRRL B-33007. Out of the 651 ORFs with unique peptides, 42 ORFs had no orthologs in NRRL B-33014 and NRRL B-33007.
These 42-candidate lineage III-specific proteins were identified based on a comparison of three strains (one from each genetic lineage). To determine which of these 42 have the best potential as biomarkers that would be uniquely present in all lineage III strains (and missing in all lineage I and II strains), these 42 proteins were analyzed by BLAST against the proteomes of 80 sequenced L. monocytogenes strains (representing all three genetic lineages) available in NCBI. Results revealed that 20 proteins out of 42 have less than 50% percent identity × percent coverage (%identity × %coverage) to any lineage I and II proteins (Table 4). The predicted function of the 20 candidate ORFs was determined and is shown in Table 5. Table 6 shows the number of peptides and the percent coverage of each ORF based on all unique peptides. Four proteins (TM2 domain-containing protein, DUF3916 domain-containing protein, Dam, and protein RhsA) out of twenty had the highest peptide coverage in lineage III strains and lowest identity and coverage in lineage I and II strains, and these four were selected for further analysis.
Table 4.
Listeria monocytogenes ST33077 proteins with less than 50% %identity × %coverage in lineage I and II strains.
Table 5.
Predicted functions of candidate lineage III-specific proteins.
Table 6.
Number of peptides identified by LC ESI MS/MS for candidate lineage III-specific proteins and percent coverage of proteins by identified peptides.
3.2. Expression and Purification of the Recombinant Proteins
Four genes encoding TM2 protein (NRRL B-33077_2770), DUF3916 domain-containing protein (NRRL B-33077_1897), Dam (NRRL B-33077_1926), and protein RhsA (NRRL B-33077_1129) from L. monocytogenes NRRL B-33077 were successfully cloned into pET28a vector, which was confirmed by restriction enzyme analysis and DNA sequencing. The result of expression analysis revealed that the induced recombinant bacteria started expression of TM2 and DUF3916 proteins after 6 h of induction with 1 mM final concentration of IPTG and reached maximum expression after 18 h at 18 °C. On the other hand, induced E. coli started expression of RhsA and Dam proteins after 2 h of induction with 100 mM IPTG and reached a maximum level at 6 h at 37 °C.
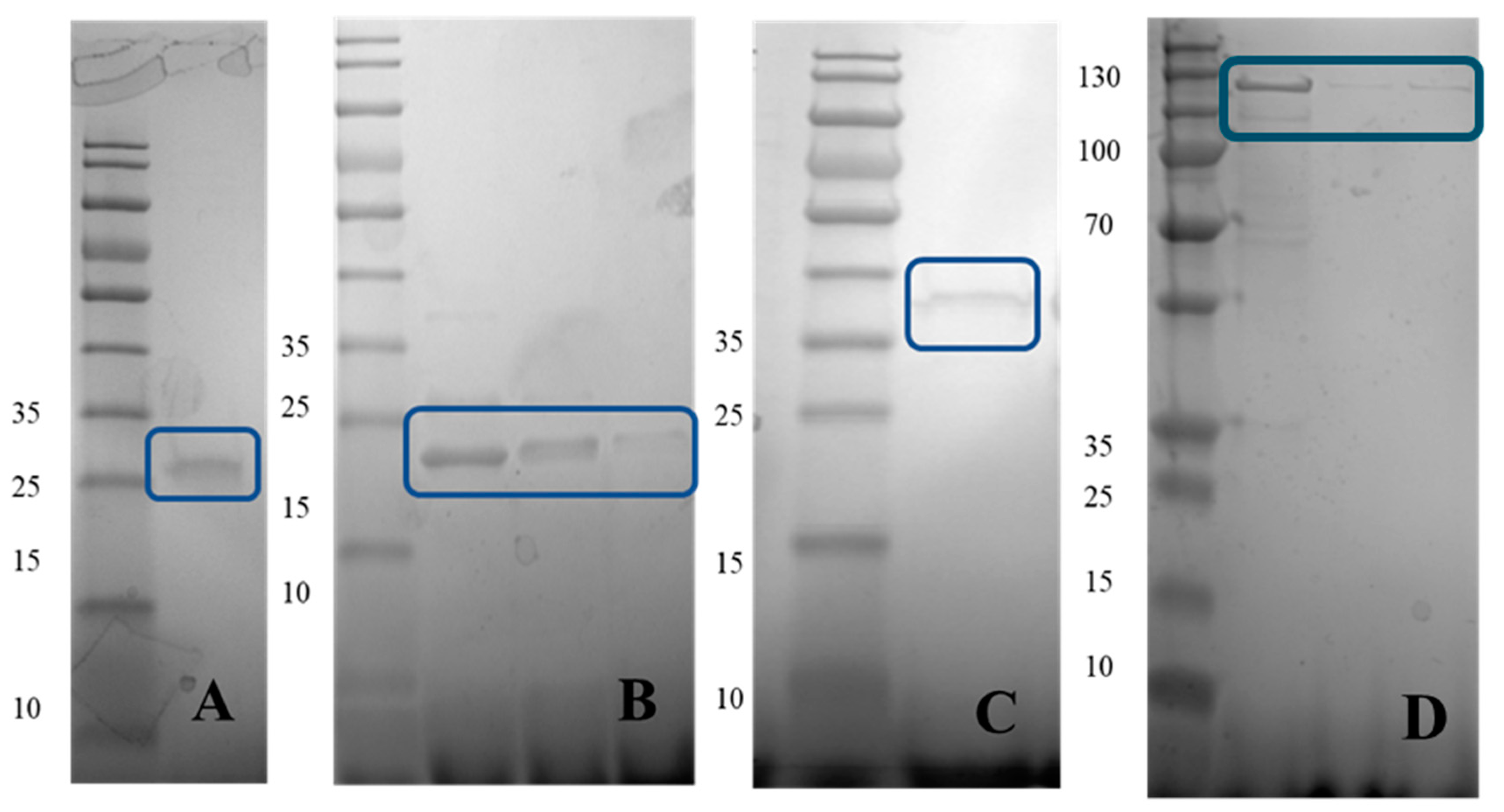
Recombinant RhsA, Dam, TM2, and DUF3916 proteins were estimated to have a molecular weight of 107.73, 33.62, 20.91, and 21.15 kDa, respectively. Each purified recombinant protein yielded a single band on sodium dodecyl sulfate polyacrylamide gel electrophoresis (SDS-PAGE) that is higher than the expected molecular weight by about 3 KDa for each protein (Figure 1). This is likely due to post-translational modification of the proteins or the addition of amino acids from the expression vector. The identities of the four proteins were confirmed using liquid chromatography ESI MS/MS analysis. The raw mass spectra data were matched to proteins using SEQUEST algorithm of Proteome Discoverer program with the translated ORF database of NRRL B-33077.
Figure 1.
Confirmation of recombinant DUF3916 (A), TM2 (B), Dam (C), and RhsA (D) proteins purity using SDS-PAGE. Molecular weight (kDa) of bands in the Page-Ruler Pre-stained Protein Ladder (Thermo Scientific, MAN0011772) are shown to the left of each image.
3.3. Rabbit Serum Antibody Response
ELISA was used to determine the titers of the polyclonal antibody obtained from each rabbit serum at 21 days after the second booster injection with each of the recombinant proteins. When ELISA plates were coated with purified proteins, sera collected 21 days post-injection showed a significantly (p < 0.0001) higher antibody titer than the pre-injected rabbit serum for all four proteins (Figure 2). No significant difference was detected between the two rabbits in the same treatment group in the antibody titer level.
Figure 2.
Serum antibody response against recombinant DUF3916, TM2, Dam, and RhsA proteins measured by ELISA using plates coated with respective recombinant protein. Optical densities at 405 nm are means of four replicates of tested serum against the purified protein. Serum was collected 21 days after the second booster injection. Asterisks indicate significantly higher antibody titer compared to pre-injection serum (p < 0.0001).
To determine the specificity of polyclonal antibodies for each recombinant protein, the reactivity of immune serum for each protein was determined against the killed bacterial suspension from the twelve L. monocytogenes strains (four lineage III strains, four lineage I strains, and four lineage II strains). Pre-injected rabbit sera and sera collected 21 days post-injection with the four purified proteins were tested against the killed bacterial suspension of each representative strain using ELISA (Figure 3). No significant difference was detected between the two rabbits in the same treatment group in the antibody titer level.
Figure 3.
Reactivity of Dam-specific (A), TM2-specific (B), DUF3916-specific (C), and RhsA-specific (D) rabbit immune serum against representative strains in lineages III, I, and II. Antibody response was determined by ELISA using plates coated with the killed bacterial suspension of each strain shown using rabbit sera collected 21 days post-injection with purified protein. Optical densities at 405 nm are means of two rabbits with four technical replicates each.
To statistically compare the reactivity of immune serum for each recombinant protein to lineage III, lineage I, and lineage II strains, the difference in reactivity between pre-injection serum and immune sera for each L. monocytogenes strain was calculated, and the mean difference in reactivity was determined for each protein against lineage III, lineage I, and lineage II. When the mean difference in antibody reactivity for all four lineage III strains was compared to the mean for all four lineage I and all four lineage II strains, significantly higher reactivity was detected in serum against Dam and TM2 proteins in the plates coated with the killed bacterial suspension of L. monocytogenes genetic lineage III strains compared with the plates coated with the killed bacterial suspension of L. monocytogenes genetic lineages II and I (p < 0.0001 and <0.0018, respectively). By contrast, the mean difference in reactivity of serum against DUF3916 and RhsA proteins showed no significant difference between the plates coated with the killed bacterial suspension of L. monocytogenes genetic lineage III strains against plates coated with the killed bacterial suspension of L. monocytogenes lineage I and II strains (p = 0.6 and 0.68, respectively).
When the mean difference in antibody reactivity for each individual lineage III strain was compared to the mean reactivity for all four lineage I and all four lineage II strains using multiple variant comparison, all four lineage III strains (NRRL B-33077, RM3030, RM3170, and RM3171) had significantly higher differences in antibody reactivity against Dam protein compared to the mean difference of all four lineage I strains and all four lineage II strains (Figure 3A). However, TM2 protein only had significantly higher differences in antibody reactivity in RM3030 and RM3170 compared to the mean of all four lineage I strains and all four lineage II strains. As expected, DUF3916 and RhsA proteins did not show any significant difference in antibody reactivity against lineage III strains compared to the mean of antibody reactivity for all four lineage I and II strains (Figure 3B).
3.4. Automated Western Blots
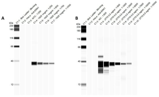
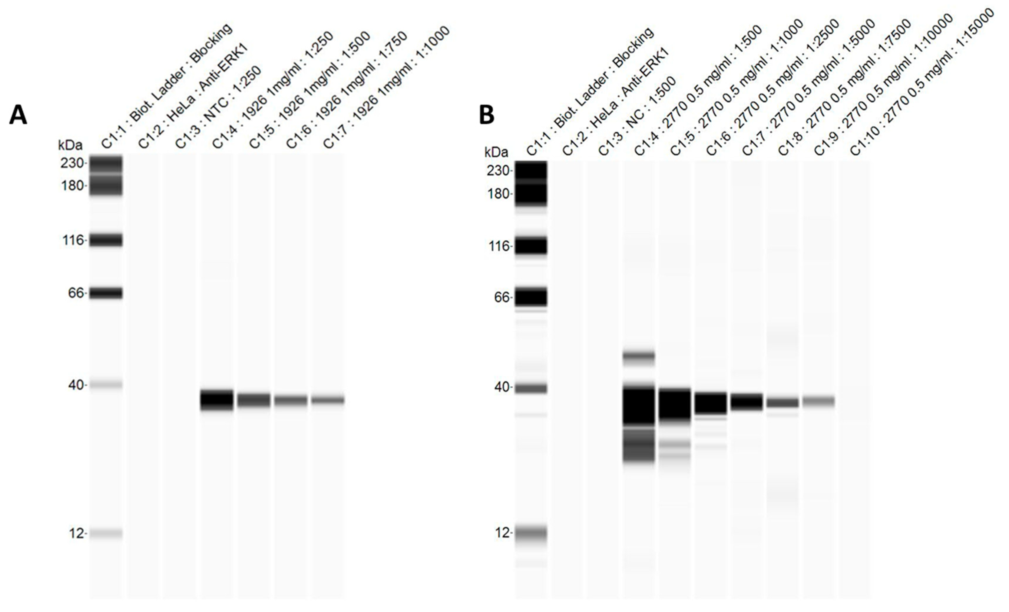
Capillary Western blots were conducted to analyze purity and confirm the size of recombinant Dam and TM2 proteins. Compass software generates gel-like images of immunoassays (Figure 4A,B). For Dam, a single clear band was present at 1:1000 and 1:750 serum dilutions, and the size matched the predicted molecular weight for Dam (33.6 kDa). For TM2 protein, a single clear band was visible at 1:7500 and 1:10,000 dilutions of serum. The band was approximately 40 kDa, which is about twice the predicted molecular weight of 20.9 kDa, suggesting the protein may exist as a dimer.
Figure 4.
Automated capillary Western blot gel-like image of Dam (A) and TM2 proteins (B). The predicted molecular weights of Dam and TM2 are 33.62 and 20.9 kDa, respectively. Lane 1: manufacturer molecular weight standard; Lane 2: manufacturer HeLa control; Lane 3: no recombinant protein with immune serum; Lanes 4–7: 5 µg recombinant Dam protein with varying dilutions of immune serum (A). Lanes 4–10: 2.5 µg of recombinant TM2 protein with varying dilutions of immune serum (B).
4. Discussion
Several subtyping techniques identified four major genetic lineages of L. monocytogenes [23,24,25,26], and specific serotypes are associated with each lineage. Lineage I strains are most frequently associated with clinical outbreaks of listeriosis. Lineage II strains also commonly cause clinical listeriosis and are routinely found in food and environmental samples. Lineage III strains are not as common. They are often isolated from animals, and they typically pose little risk of causing disease in humans [23,27].
In addition to serology, differentiation of L. monocytogenes lineages currently relies on DNA-based technology. To date, there are no reported biomarkers useful for differentiating L. monocytogenes genetic lineages. Since lineage III strains are low risk for human listeriosis, we sought to identify protein biomarker(s) that could distinguish L. monocytogenes genetic lineage III isolates from lineage I and II isolates. A protein biomarker could be used for development of a simple antibody-based method for distinguishing lineages. Another objective of the current study was to determine if mass spectrometry-based shotgun proteomics could be used to identify candidate biomarkers. Our reasoning was that mass spectrometry would be an efficient screening method compared to a purely bioinformatics-based search for unique proteins because we could be assured that any candidate biomarker proteins are actually expressed in detectable quantities prior to conducting labor-intensive cloning and expression of candidate recombinant proteins. To test this method, we used three strains of L. monocytogenes, one representing each of the three genetic lineages. Electrospray ionization tandem mass spectrometry was used to identify peptides from each of the strains, and comparative proteomics analysis between the three strains yielded candidate proteins unique to lineage III.
Proteome coverage was improved by running liquid chromatography-tandem mass spectrometry in triplicate for each strain. Coverage was further improved by running a liquid chromatography gradient based on molecular weight and running mass spectrometry on the resulting fractions. Increasing the gradient length enhances the number of protein identifications in complex mixtures by reducing the complexity of fractions, which increases the sensitivity of mass spectrometry output [28,29]. Analysis of brain proteome demonstrated that coupling of prefractionation with long gradient LC-MS/MS yielded higher peptide numbers and increased protein coverage with less than 1% protein false discovery [29].
After identification of potential lineage III-specific proteins based on mass spectrometric analysis of three strains, an additional bioinformatic analysis was conducted to help select the best candidate proteins for cloning and expression. BLAST analysis of each candidate lineage III-specific protein against a proteome database of >80 L. monocytogenes strains (representing all three lineages) was conducted to account for strain sequence variation within each genetic lineage and select candidate proteins consistently present in lineage III strains but with low percent identity and coverage against all lineage I and II strains. The predicted functions of the four candidate proteins include Dam (NRRL B-33077_1926), RhsA protein (NRRL B-33077_1129), TM2 protein (NRRL B-33077_2770), and hypothetical DUF3916 domain-containing protein (NRRL B-33077_1897).
The protein encoded by TM2 domain-containing protein is predicted to contain two transmembrane domains that are linked by a short loop. There is a conserved DRF (aspartate-arginine-phenylalanine) motif inside this loop, which is seen in several G-protein coupled receptors [30]. There are three TM2 domain-containing genes (TM2D1, TM2D2, and TM2D3) with unknown molecular functions [31]. The TM2D1 protein shares sequence and structural similarities to the beta-amyloid binding protein (BBP) [32]. Several researchers used membrane proteins as biomarkers for differentiating infectious L. monocytogenes strains from non-infectious strains and CNS-related strains from non-CNS related strains [24].
DNA methylation at adenine residues by Dam controls the timing and targeting of important biological processes such as DNA replication, chromosome segregation, methyl-directed mismatch repair, and transcription of certain genes [33,34]. Dam DNA methylation modulates the expression of various genes and has a role in pathogenicity of numerous bacterial species, including Salmonella enterica [34,35], Vibrio cholerae [36], and Haemophilus influenzae [37]. Dam proteins are potentially useful as biomarkers in cancer cell detection and disease-associated changes [27,28,29,30,31,32,33,34,35,36,37,38].
Protein RhsA is a member of the Rhs family and consists of a complex genetic sequence [39]. The rhs genes were first described in E. coli, and they were originally thought to be rearrangement hot spots due to a recombination event between nearly identical sequences within the rhsA and rhsB genes [39,40]. Despite the broad distribution of Rhs family proteins in both bacteria and eukaryotes, the function of this protein is not well studied. Some studies suggest that some Rhs systems encode toxin/immunity protein pairs, and bioinformatic analyses support that Rhs proteins contain toxic nuclease domains [41,42]. In Gram-negative and Gram-positive bacteria, Rhs functions as an intercellular competition mediator by inhibiting the growth of neighboring bacteria [43]. Rhs also functions as an immunity protein to protect bacteria from auto-inhibition [43]. Cloning, expression, and purification of the four-candidate lineage III-specific proteins were very effective using pET28a (5369 bp) in E. coli with the T7 promoter. Cloning of the gene encoding RhsA was difficult due to its size (approximately 10 kbp), which is almost twice the plasmid size. Therefore, approximately 2900 bp was cloned in pET28a expression vector, which represents the rearrangement hotspot (RhsA) repeat domain. RhsA is a large protein complex and consists of some distinct sequence features including a GC-rich core (core open reading frame [ORF]), an AT-rich extension (ext-a1) of the core ORF, and an AT-rich region following the core extension (dsORF-a1) [44].
Recombinant RhsA, TM2, and DUF3916 proteins showed a high level of expression in BL21(DE3) E. coli in the insoluble fraction. However, Dam protein showed no expression after IPTG induction. Additionally, bacterial growth stopped immediately after IPTG induction. Therefore, we used C41(DE3) E. coli, which is more resistant to some toxic proteins, to express Dam, where it was isolated from inclusion bodies.
A lineage III-specific protein biomarker has the potential for development of a simple, field-deployable antibody-based detection method. To begin testing the feasibility of this approach, we developed polyclonal antibodies for each of the recombinant proteins. Some background reactivity was detected against L. monocytogenes in all the rabbit sera, which may be due to environmental exposure. L. monocytogenes is common in the environment and can colonize rabbit’s intestine. Another factor likely contributing to the background antibody reaction is that the ELISA plates were coated with L. monocytogenes, the killed bacterial suspension; therefore, some reactivity could occur from other bacterial antigens.
Significant antibody titers were detected in ELISA using plates coated with the four respective recombinant proteins compared to the pre-inoculation serum. Next, to determine the specificity of the polyclonal antibodies for detection of lineage III L. monocytogenes, each was tested for reactivity against whole bacteria from the three original strains (NRRL B-33077, NRRL B-33014, and NRRL B-33007) and nine additional L. monocytogenes strains representing the three lineages. Based on ELISA results using four representative strains from each genetic lineage, Dam and TM2 are promising protein biomarkers for development of an antibody-based method to differentiate L. monocytogenes genetic lineage III from lineages I and II. Of these, Dam has higher potential than TM2 protein as a biomarker because Dam-specific serum reacted significantly higher against each of the four individual lineage III strains compared to the mean reactivity against all four lineage I and lineage II strains. Western blots based on capillary electrophoresis confirmed that the polyclonal antibodies detected the recombinant Dam and TM2 proteins. The size of Dam was also confirmed (33.62 kDa). Western blot results suggest that TM2 protein (20.9 kDa) exists as a dimer, but little information is published about this protein; therefore, this could not be confirmed. Capillary Western blots provided good sensitivity and protein separation compared to traditional Western blots, and it reduces time and reagent requirements [45].
In conclusion, our results confirmed that Dam and TM2 domain-containing protein are promising candidates as protein biomarkers for differentiating L. monocytogenes genetic lineage III from lineages I and II, which will facilitate the identification of L. monocytogenes subgroups in diagnostic microbiology laboratories and potentially in food processing facilities. This increased discriminatory capability would assist in assessment of risk from L. monocytogenes isolates and accelerate epidemiological investigations. The approach described in the current study shows promise for identifying protein biomarkers for L. monocytogenes genetic lineages I and II.
Author Contributions
Conceptualization, H.A., A.K. and M.L.L.; Methodology, B.G., J.L., H.A., M.B., O.P., T.P. and M.A.A.II; Software, M.A.A.II; Formal analysis, B.G. and M.A.A.II; Investigation, B.G., J.L., O.P. and T.P.; Writing—original draft, B.G.; Writing—review & editing, H.A., A.K. and M.L.L.; Project administration, M.L.L.; Funding acquisition, M.L.L. All authors have read and agreed to the published version of the manuscript.
Funding
This project was supported by USDA-ARS agreement no. 58-6402-2-729, “Mississippi Center for Food Safety and Postharvest Technology”, and by the Mississippi INBRE, funded by an Institutional Development Award (IDeA) from the National Institute of General Medical Sciences of the National Institutes of Health under grant number P20GM103476.
Institutional Review Board Statement
Polyclonal antibody production in rabbits was performed at Mississippi State University according to a protocol approved by the MSU Institutional Animal Care and Use Committee (IACUC-18-137, approved 18 April 2018).
Informed Consent Statement
Not applicable.
Data Availability Statement
The data that support the findings of this study are available on request from corresponding author. The data are not publicly available due to privacy restrictions.
Acknowledgments
We thank Todd Ward from USDA Agricultural Research Service at Peoria, Illinois for providing the L. monocytogenes strains. We thank the Mississippi State University Laboratory Animal Research and Care unit for technical assistance with rabbit care and polyclonal antibody production. The mass spectrometry proteomics analysis was performed at the Institute for Genomics, Biocomputing and Biotechnology, Mississippi State University, with partial support from Mississippi Agricultural and Forestry Experiment Station.
Conflicts of Interest
The authors declare no conflict of interest.
References
- Farber, J.M.; Peterkin, P.I. Listeria monocytogenes, a food-borne pathogen. Microbiol. Rev. 1991, 55, 476–511. [Google Scholar] [CrossRef] [PubMed]
- Murray, E.G.D.; Webb, R.A.; Swann, M.B.R. A disease of rabbits characterised by a large mononuclear leucocytosis, caused by a hitherto undescribed bacillus Bacterium monocytogenes (n.sp.). J. Pathol. Bacteriol. 1926, 29, 407–439. [Google Scholar] [CrossRef]
- Schlech, W.F.; Lavigne, P.M.; Bortolussi, R.A.; Allen, A.C.; Haldane, E.V.; Wort, A.J.; Hightower, A.W.; Johnson, S.E.; King, S.H.; Nicholls, E.S.; et al. Epidemic Listeriosis—Evidence for Transmission by Food. N. Engl. J. Med. 1983, 308, 203–206. [Google Scholar] [CrossRef] [PubMed]
- Mateus, T.; Silva, J.; Maia, R.L.; Teixeira, P. Listeriosis during pregnancy: A public health concern. Int. Sch. Res. Not. 2013, 2013, 851712. [Google Scholar] [CrossRef] [PubMed]
- Vazquez-Boland, J.A.; Kuhn, M.; Berche, P.; Chakraborty, T.; Dominguez-Bernal, G.; Goebel, W.; Gonzalez-Zorn, B.; Wehland, J.; Kreft, J. Listeria pathogenesis and molecular virulence determinants. Clin. Microbiol. Rev. 2001, 14, 584–640. [Google Scholar] [CrossRef] [PubMed]
- Harrigan, W.F. Listeria, Listeriosis and Food Safety, 2nd edition. Int. J. Food Sci. Technol. 2001, 36, 114–115. [Google Scholar] [CrossRef]
- Buchanan, R.L.; Stahl, H.G.; Whiting, R.C. Effects and Interactions of Temperature, pH, Atmosphere, Sodium Chloride, and Sodium Nitrite on the Growth of Listeria monocytogenes. J. Food Prot. 1989, 52, 844. [Google Scholar] [CrossRef] [PubMed]
- Matle, I.; Mbatha, K.R.; Madoroba, E. A review of Listeria monocytogenes from meat and meat products: Epidemiology, virulence factors, antimicrobial resistance and diagnosis. Onderstepoort J. Vet. Res. 2020, 87, e1–e20. [Google Scholar] [CrossRef]
- Nho, S.W.; Abdelhamed, H.; Reddy, S.; Karsi, A.; Lawrence, M.L. Identification of high-risk Listeria monocytogenes serotypes in lineage I (serotype 1/2a, 1/2c, 3a and 3c) using multiplex PCR. J. Appl. Microbiol. 2015, 119, 845–852. [Google Scholar] [CrossRef] [PubMed]
- Nadon, C.A.; Woodward, D.L.; Young, C.; Rodgers, F.G.; Wiedmann, M. Correlations between Molecular Subtyping and Serotyping of Listeria monocytogenes. J. Clin. Microbiol. 2001, 39, 2704–2707. [Google Scholar] [CrossRef]
- Rasmussen, O.F.; Skouboe, P.; Dons, L.; Rossen, L.; Olsen, J.E. Listeria monocytogenes exists in at least three evolutionary lines: Evidence from flagellin, invasive associated protein and listeriolysin O genes. Microbiology 1995, 141, 2053–2061. [Google Scholar] [CrossRef] [PubMed]
- Ward, T.J.; Usgaard, T.; Evans, P. A targeted multilocus genotyping assay for lineage, serogroup, and epidemic clone typing of Listeria monocytogenes. Appl. Environ. Microbiol. 2010, 76, 6680–6684. [Google Scholar] [CrossRef] [PubMed]
- Kuenne, C.; Billion, A.; Mraheil, M.A.; Strittmatter, A.; Daniel, R.; Goesmann, A.; Barbuddhe, S.; Hain, T.; Chakraborty, T. Reassessment of the Listeria monocytogenes pan-genome reveals dynamic integration hotspots and mobile genetic elements as major components of the accessory genome. BMC Genom. 2013, 14, 47. [Google Scholar] [CrossRef] [PubMed]
- Jacquet, C.; Gouin, E.; Jeannel, D.; Cossart, P.; Rocourt, J. Expression of ActA, Ami, InlB, and listeriolysin O in Listeria monocytogenes of human and food origin. Appl. Environ. Microbiol. 2002, 68, 616–622. [Google Scholar] [CrossRef] [PubMed]
- Mead, P.S.; Dunne, E.F.; Graves, L.; Wiedmann, M.; Patrick, M.; Hunter, S.; Salehi, E.; Mostashari, F.; Craig, A.; Mshar, P.; et al. Nationwide outbreak of listeriosis due to contaminated meat. Epidemiol. Infect. 2005, 134, 744–751. [Google Scholar] [CrossRef] [PubMed]
- Pan, Y.; Breidt, F.; Jr Kathariou, S. Competition of Listeria monocytogenes serotype 1/2a and 4b strains in mixed-culture biofilms. Appl. Environ. Microbiol. 2009, 75, 5846–5852. [Google Scholar] [CrossRef] [PubMed]
- Borucki, M.K.; Call, D.R. Listeria monocytogenes serotype identification by PCR. J. Clin. Microbiol. 2003, 41, 5537–5540. [Google Scholar] [CrossRef]
- Tresse, O.; Shannon, K.; Pinon, A.; Malle, P.; Vialette, M.; Midelet-Bourdin, G. Variable adhesion of Listeria monocytogenes isolates from food-processing facilities and clinical cases to inert surfaces. J. Food Prot. 2007, 70, 1569–1578. [Google Scholar] [CrossRef]
- Gorski, L.; Palumbo, J.D.; Nguyen, K.D. Strain-specific differences in the attachment of Listeria monocytogenes to alfalfa sprouts. J. Food Prot. 2004, 67, 2488–2495. [Google Scholar] [CrossRef] [PubMed]
- Gorski, L.; Palumbo, J.D.; Mandrell, R.E. Attachment of Listeria monocytogenes to radish tissue is dependent upon temperature and flagellar motility. Appl. Environ. Microbiol. 2003, 69, 258–266. [Google Scholar] [CrossRef] [PubMed]
- Hurkman, W.J.; Tanaka, C.K. Solubilization of plant membrane proteins for analysis by two-dimensional gel electrophoresis. Plant Physiol. 1986, 81, 802–806. [Google Scholar] [CrossRef] [PubMed]
- Abdelhamed, H.; Nho, S.W.; Turaga, G.; Banes, M.M.; Karsi, A.; Lawrence, M.L. Protective efficacy of four recombinant fimbrial proteins of virulent Aeromonas hydrophila strain ML09-119 in channel catfish. Vet. Microbiol. 2016, 197, 8–14. [Google Scholar] [CrossRef] [PubMed]
- Aarts, H.J.; Hakemulder, L.E.; Van Hoef, A.M. Genomic typing of Listeria monocytogenes strains by automated laser fluorescence analysis of amplified fragment length polymorphism fingerprint patterns. Int. J. Food Microbiol. 1999, 49, 95–102. [Google Scholar] [CrossRef] [PubMed]
- Aguilar-Bultet, L.; Nicholson, P.; Rychener, L.; Dreyer, M.; Gozel, B.; Origgi, F.C.; Oevermann, A.; Frey, J.; Falquet, L. Genetic Separation of Listeria monocytogenes Causing Central Nervous System Infections in Animals. Front. Cell. Infect. Microbiol. 2018, 8, 20. [Google Scholar] [CrossRef] [PubMed]
- Bibb, W.F.; Gellin, B.G.; Weaver, R.; Schwartz, B.; Plikaytis, B.D.; Reeves, M.W.; Pinner, R.W.; Broome, C.V. Analysis of clinical and food-borne isolates of Listeria monocytogenes in the United States by multilocus enzyme electrophoresis and application of the method to epidemiologic investigations. Appl. Environ. Microbiol. 1990, 56, 2133–2141. [Google Scholar] [CrossRef] [PubMed]
- Piffaretti, J.C.; Kressebuch, H.; Aeschbacher, M.; Bille, J.; Bannerman, E.; Musser, J.M.; Selander, R.K.; Rocourt, J. Genetic characterization of clones of the bacterium Listeria monocytogenes causing epidemic disease. Proc. Natl. Acad. Sci. USA 1989, 86, 3818–3822. [Google Scholar] [CrossRef]
- Levenson, V.V. DNA methylation as a universal biomarker. Expert Rev. Mol. Diagn. 2010, 10, 481–488. [Google Scholar] [CrossRef] [PubMed]
- Hsieh, E.J.; Bereman, M.S.; Durand, S.; Valaskovic, G.A.; MacCoss, M.J. Effects of column and gradient lengths on peak capacity and peptide identification in nanoflow LC-MS/MS of complex proteomic samples. J. Am. Soc. Mass. Spectrom. 2013, 24, 148–153. [Google Scholar] [CrossRef] [PubMed]
- Wang, H.; Yang, Y.; Li, Y.; Bai, B.; Wang, X.; Tan, H.; Liu, T.; Beach, T.G.; Peng, J.; Wu, Z. Systematic optimization of long gradient chromatography mass spectrometry for deep analysis of brain proteome. J. Proteome Res. 2015, 14, 829–838. [Google Scholar] [CrossRef] [PubMed]
- Jakobsdottir, J.; van der Lee, S.J.; Bis, J.C.; Chouraki, V.; Li-Kroeger, D.; Yamamoto, S.; Grove, M.L.; Naj, A.; Vronskaya, M.; Salazar, J.L.; et al. Rare Functional Variant in TM2D3 is Associated with Late-Onset Alzheimer’s Disease. PLOS Genet. 2016, 12, e1006327. [Google Scholar] [CrossRef] [PubMed]
- Salazar, J.L.; Yang, S.-A.; Lin, Y.Q.; Li-Kroeger, D.; Marcogliese, P.C.; Deal, S.L.; Neely, G.G.; Yamamoto, S. Alzheimer’s disease-associated TM2D genes regulate Notch signaling and neuronal function in Drosophila. bioRxiv 2021, 17, e1009962. [Google Scholar] [CrossRef] [PubMed]
- Kajkowski, E.M.; Lo, C.F.; Ning, X.; Walker, S.; Sofia, H.J.; Wang, W.; Edris, W.; Chanda, P.; Wagner, E.; Vile, S.; et al. μ-Amyloid peptide-induced apoptosis regulated by a novel protein containing a G protein activation module. J. Biol. Chem. 2001, 276, 18748–18756. [Google Scholar] [CrossRef] [PubMed]
- Neidhardt, F.C. Escherichia coli and Salmonella: Cellular and Molecular Biology; ASM Press: Washington, DC, USA, 1996. [Google Scholar]
- Heithoff, D.M.; Sinsheimer, R.L.; Low, D.A.; Mahan, M.J. An Essential Role for DNA Adenine Methylation in Bacterial Virulence. Science 1999, 284, 967–970. [Google Scholar] [CrossRef] [PubMed]
- García-Del Portillo, F.; Pucciarelli, M.G.; Casadesús, J. DNA adenine methylase mutants of Salmonella typhimurium show defects in protein secretion, cell invasion, and M cell cytotoxicity. Proc. Natl. Acad. Sci. USA 1999, 96, 11578–11583. [Google Scholar] [CrossRef] [PubMed]
- Julio, S.M.; Heithoff, D.M.; Provenzano, D.; Klose, K.E.; Sinsheimer, R.L.; Low, D.A.; Mahan, M.J. DNA adenine methylase is essential for viability and plays a role in the pathogenesis of Yersinia pseudotuberculosis and Vibrio cholerae. Infect. Immun. 2001, 69, 7610–7615. [Google Scholar] [CrossRef] [PubMed]
- Fleischmann, R.D.; Adams, M.D.; White, O.; Clayton, R.A.; Kirkness, E.F.; Kerlavage, A.R.; Bult, C.J.; Tomb, J.-F.; Dougherty, B.A.; Merrick, J.M. Whole-genome random sequencing and assembly of Haemophilus influenzae Rd. Science 1995, 269, 496–512. [Google Scholar] [CrossRef] [PubMed]
- Tost, J. DNA methylation: An introduction to the biology and the disease-associated changes of a promising biomarker. Methods Mol. Biol. 2009, 507, 3–20. [Google Scholar] [PubMed]
- Lin, R.-J.; Capage, M.; Hill, C. A repetitive DNA sequence, rhs, responsible for duplications within the Escherichia coli K-12 chromosome. J. Mol. Biol. 1984, 177, 1–18. [Google Scholar] [CrossRef] [PubMed]
- Zhao, S.; Sandt, C.; Feulner, G.; Vlazny, D.; Gray, J.A.; Hill, C. Rhs elements of Escherichia coli K-12: Complex composites of shared and unique components that have different evolutionary histories. J. Bacteriol. 1993, 175, 2799–2808. [Google Scholar] [CrossRef] [PubMed][Green Version]
- Poole, S.J.; Diner, E.J.; Aoki, S.K.; Braaten, B.A.; t’Kint de Roodenbeke, C.; Low, D.A.; Hayes, C.S. Identification of Functional Toxin/Immunity Genes Linked to Contact-Dependent Growth Inhibition (CDI) and Rearrangement Hotspot (Rhs) Systems. PLOS Genet. 2011, 7, e1002217. [Google Scholar] [CrossRef] [PubMed]
- Zhang, D.; Iyer, L.M.; Aravind, L. A novel immunity system for bacterial nucleic acid degrading toxins and its recruitment in various eukaryotic and DNA viral systems. Nucleic Acids Res. 2011, 39, 4532–4552. [Google Scholar] [CrossRef] [PubMed]
- Koskiniemi, S.; Lamoureux, J.G.; Nikolakakis, K.C.; t’Kint de Roodenbeke, C.; Kaplan, M.D.; Low, D.A.; Hayes, C.S. Rhs proteins from diverse bacteria mediate intercellular competition. Proc. Natl. Acad. Sci. USA 2013, 110, 7032–7037. [Google Scholar] [CrossRef] [PubMed]
- Aggarwal, K.; Lee, K.H. Overexpression of cloned RhsA sequences perturbs the cellular translational machinery in Escherichia coli. J. Bacteriol. 2011, 193, 4869–4880. [Google Scholar] [CrossRef] [PubMed]
- Beekman, C.; Janson, A.A.; Baghat, A.; van Deutekom, J.C.; Datson, N.A. Use of capillary Western immunoassay (Wes) for quantification of dystrophin levels in skeletal muscle of healthy controls and individuals with Becker and Duchenne muscular dystrophy. PLoS ONE 2018, 13, e0195850. [Google Scholar] [CrossRef] [PubMed]
Disclaimer/Publisher’s Note: The statements, opinions and data contained in all publications are solely those of the individual author(s) and contributor(s) and not of MDPI and/or the editor(s). MDPI and/or the editor(s) disclaim responsibility for any injury to people or property resulting from any ideas, methods, instructions or products referred to in the content. |
© 2024 by the authors. Licensee MDPI, Basel, Switzerland. This article is an open access article distributed under the terms and conditions of the Creative Commons Attribution (CC BY) license (https://creativecommons.org/licenses/by/4.0/).



