Pea Albumin Alleviates Oleic Acid-Induced Lipid Accumulation in LO2 Cells Through Modulating Lipid Metabolism and Fatty Acid Oxidation Pathways
Abstract
1. Introduction
2. Materials and Methods
2.1. Materials and Reagents
2.2. Preparation of Pea Albumin (PA)
2.3. Cell Culture
2.4. Cell Viability Assay
2.5. Cell Treatment
2.6. Oil Red O Staining
2.7. Determination of Cellular Lipid Indicators
2.8. Determination of Cell Damage Indicators
2.9. Measurement of Cellular Oxidative Stress Indicators
2.10. Western Blot Analysis
2.11. Statistical Analysis
3. Results
3.1. OA, PA, and ATO Effects on the Viability of LO2 Cells
3.2. Effects of PA on OA-Induced Lipid Accumulation in LO2 Cells
3.3. Effects of PA on OA-Induced Cell Damage in LO2 Cells
3.4. Effects of PA on OA-Induced Oxidative Stress in LO2 Cells
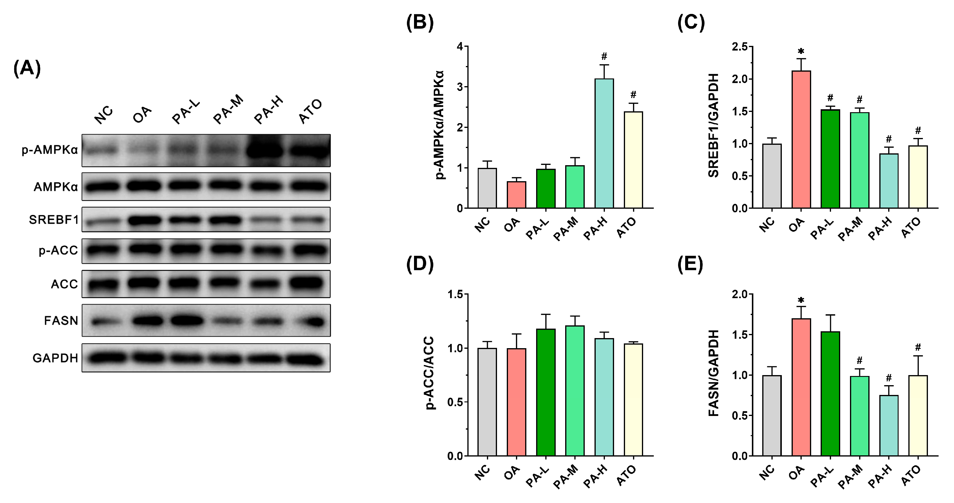
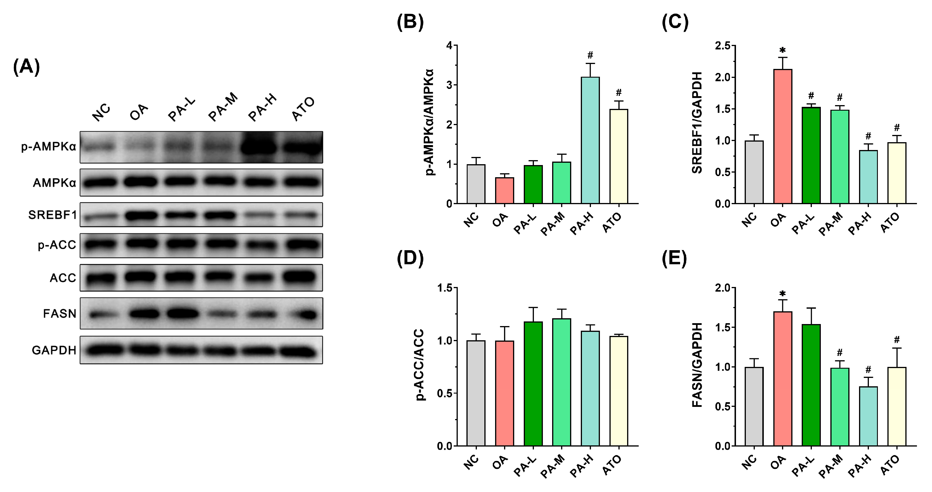
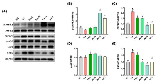
3.5. PA Inhibits OA-Induced Lipid Accumulation in LO2 Cells by Regulating Lipid Synthesis Pathways
3.6. PA Inhibits OA-Induced Lipid Accumulation in LO2 Cells by Regulating TG Catabolism Pathways
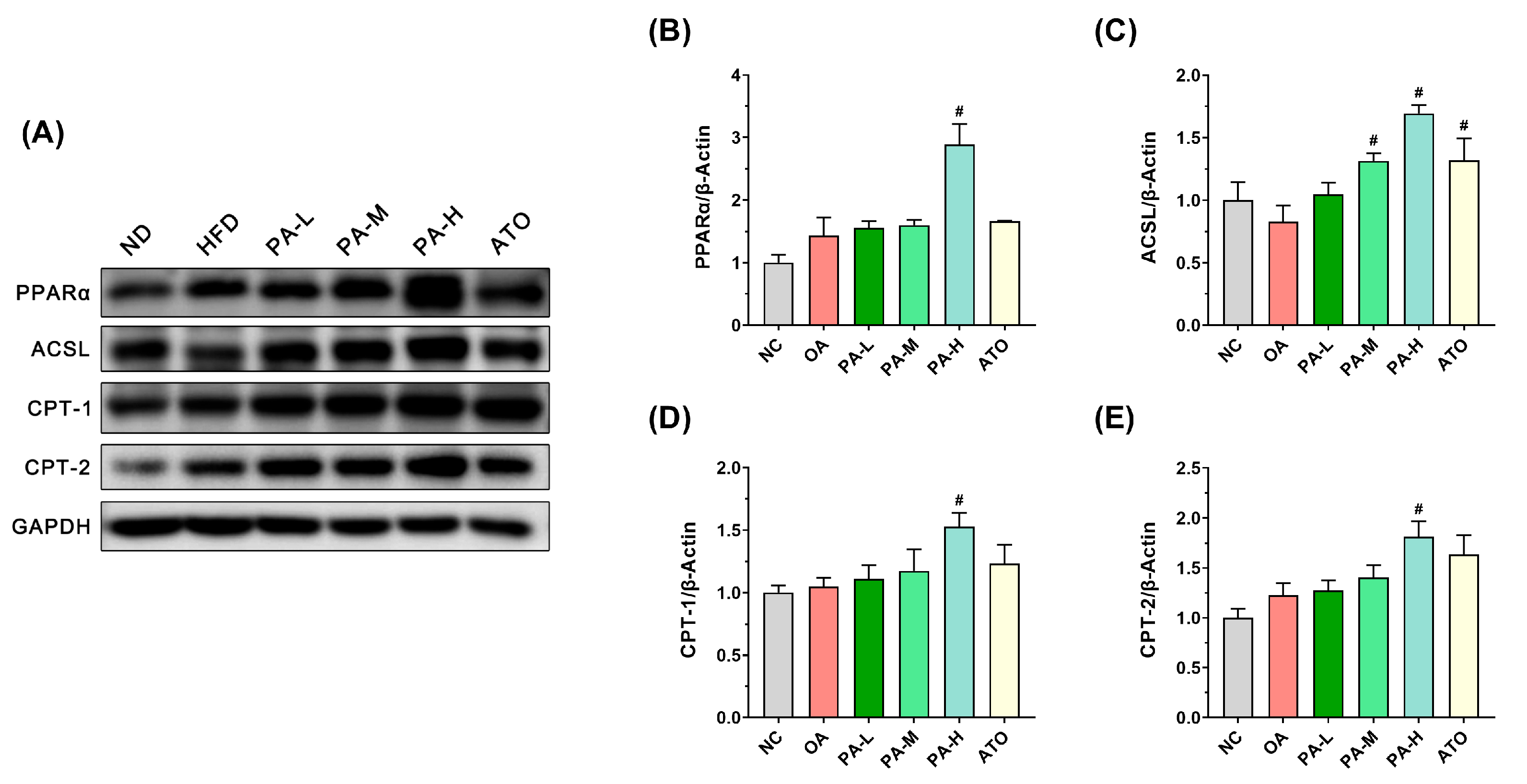
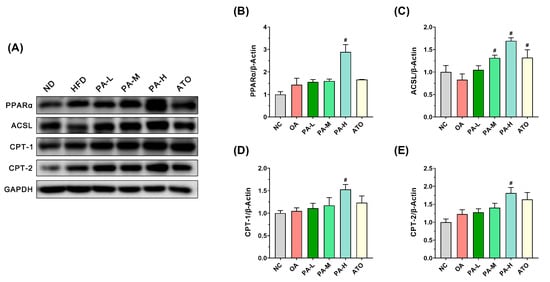
3.7. PA Inhibits OA-Induced Lipid Accumulation in LO2 Cells by Regulating Fatty Acid Oxidation Pathways
4. Discussion
5. Conclusions
Author Contributions
Funding
Institutional Review Board Statement
Informed Consent Statement
Data Availability Statement
Conflicts of Interest
References
- Yilmaz, Y.; Byrne, C.D.; Musso, G. A single-letter change in an acronym: Signals, reasons, promises, challenges, and steps ahead for moving from nafld to MAFLD. Expert Rev. Gastroenterol. Hepatol. 2021, 15, 345–352. [Google Scholar] [CrossRef] [PubMed]
- Younossi, Z.; Anstee, Q.M.; Marietti, M.; Hardy, T.; Henry, L.; Eslam, M.; George, J.; Bugianesi, E. Global burden of NAFLD and NASH: Trends, predictions, risk factors and prevention. Nat. Rev. Gastroenterol. Hepatol. 2018, 15, 11–20. [Google Scholar] [CrossRef]
- Im, H.J.; Ahn, Y.C.; Wang, J.-H.; Lee, M.M.; Son, C.G. Systematic review on the prevalence of nonalcoholic fatty liver disease in south korea. Clin. Res. Hepatol. Gastroenterol. 2021, 45, 101526. [Google Scholar] [CrossRef] [PubMed]
- Rolo, A.P.; Teodoro, J.S.; Palmeira, C.M. Role of oxidative stress in the pathogenesis of nonalcoholic steatohepatitis. Free Radical Biol. Med. 2012, 52, 59–69. [Google Scholar] [CrossRef]
- Monelli, F.; Venturelli, F.; Bonilauri, L.; Manicardi, E.; Manicardi, V.; Rossi, P.G.; Massari, M.; Ligabue, G.; Riva, N.; Schianchi, S.; et al. Systematic review of existing guidelines for NAFLD assessment. Hepatoma Res. 2021, 7, 25. [Google Scholar] [CrossRef]
- Pino-de la Fuente, F.; Carlos Borquez, J.; Diaz-Castro, F.; Espinosa, A.; Chiong, M.; Troncoso, R. Exercise regulation of hepatic lipid droplet metabolism. Life Sci. 2022, 298, 120522. [Google Scholar] [CrossRef] [PubMed]
- Brunt, E.M.; Wong, V.W.S.; Nobili, V.; Day, C.P.; Sookoian, S.; Maher, J.J.; Bugianesi, E.; Sirlin, C.B.; Neuschwander-Tetri, B.; Rinella, M.E. Nonalcoholic fatty liver disease. Nat. Rev. Dis. Primers 2015, 1, 15080. [Google Scholar] [CrossRef]
- Li, X.; Ge, J.; Li, Y.; Cai, Y.; Zheng, Q.; Huang, N.; Gu, Y.; Han, Q.; Li, Y.; Sun, R.; et al. Integrative lipidomic and transcriptomic study unravels the therapeutic effects of saikosaponins a and d on non-alcoholic fatty liver disease. Acta Pharm. Sin. B 2021, 11, 3527–3541. [Google Scholar] [CrossRef]
- Geisler, C.E.; Renquist, B.J. Hepatic lipid accumulation: Cause and consequence of dysregulated glucoregulatory hormones. J. Endocrinol. 2017, 234, R1–R21. [Google Scholar] [CrossRef]
- Ribas, G.S.; Vargas, C.R. Evidence that oxidative disbalance and mitochondrial dysfunction are involved in the pathophysiology of fatty acid oxidation disorders. Cell. Mol. Neurobiol. 2022, 42, 521–532. [Google Scholar] [CrossRef]
- Ipsen, D.H.; Lykkesfeldt, J.; Tveden-Nyborg, P. Molecular mechanisms of hepatic lipid accumulation in non-alcoholic fatty liver disease. Cell. Mol. Life Sci. 2018, 75, 3313–3327. [Google Scholar] [CrossRef] [PubMed]
- Buzzetti, E.; Pinzani, M.; Tsochatzis, E.A. The multiple-hit pathogenesis of non-alcoholic fatty liver disease (NAFLD). Metab., Clin. Exp. 2016, 65, 1038–1048. [Google Scholar] [CrossRef]
- Attia, S.L.; Softic, S.; Mouzaki, M. Evolving role for pharmacotherapy in NAFLD/NASH. Clin. Transl. Sci. 2021, 14, 11–19. [Google Scholar] [CrossRef]
- Radaelli, M.G.; Martucci, F.; Perra, S.; Accornero, S.; Castoldi, G.; Lattuada, G.; Manzoni, G.; Perseghin, G. NAFLD/NASH in patients with type 2 diabetes and related treatment options. J. Endocrinol. Investig. 2018, 41, 509–521. [Google Scholar] [CrossRef]
- Zhang, C.; Yang, M. Current options and future directions for NAFLD and NASH treatment. Int. J. Mol. Sci. 2021, 22, 7571. [Google Scholar] [CrossRef]
- Liu, J.; Wu, H.; Zhang, Y.; Hu, C.; Zhen, D.; Fu, P.; He, Y. Phycobiliprotein peptide extracts from arthrospira platensis ameliorate nonalcoholic fatty liver disease by modulating hepatic lipid profile and strengthening fat mobilization. Nutrients 2023, 15, 4573. [Google Scholar] [CrossRef] [PubMed]
- Ma, P.; Huang, R.; Ou, Y. A soy glycinin derived octapeptide protects against mcd diet induced non-alcoholic fatty liver disease in mice. Food Sci. Hum. Wellness 2022, 11, 1544–1554. [Google Scholar] [CrossRef]
- Yao, Z.; Song, S.; Li, X.; Wang, W.; Ren, P.; Wang, H.; Xie, Y.; Li, Z. Corn peptides ameliorate nonalcoholic fatty liver disease by suppressing endoplasmic reticulum stress via the ampkα/sirt1 pathway in vivo and in vitro. J. Funct. Foods 2022, 93, 105063. [Google Scholar] [CrossRef]
- Kang, W.; Yang, W.; Weidong, X.; Feng, L.; Haile, M. Corn peptides improved obesity-induced non-alcoholic fatty liver disease through relieving lipid metabolism, insulin resistance and oxidative stress. Food Funct. 2022, 13, 5782–5793. [Google Scholar] [CrossRef]
- Okagu, O.; Jin, J.; Udenigwe, C. Interaction of pea globulin, albumin and glutelin with curcumin and the formation of pepsin resistant and thermo-stabilized well-ordered spherical bio-nanocomplexes for oral delivery. J. Am. Oil Chem. Soc. 2021, 98, 194. [Google Scholar]
- Lu, Z.X.; He, J.F.; Zhang, Y.C.; Bing, D.J. Composition, physicochemical properties of pea protein and its application in functional foods. Crit. Rev. Food Sci. Nutr. 2020, 60, 2593–2605. [Google Scholar] [CrossRef] [PubMed]
- Yang, J.; Zamani, S.; Liang, L.; Chen, L. Extraction methods significantly impact pea protein composition, structure and gelling properties. Food Hydrocolloids 2021, 117, 106678. [Google Scholar] [CrossRef]
- Zhang, S.; Cui, Z.; Zhang, H.; Wang, P.; Wang, F.; Zhang, J. Pea albumin extracted from pea (Pisum sativum L.) seeds ameliorates high-fat-diet-induced non-alcoholic fatty liver disease by regulating lipogenesis and lipolysis pathways. Nutrients 2024, 16, 2232. [Google Scholar] [CrossRef] [PubMed]
- Liu, N.; Song, Z.; Jin, W.; Yang, Y.; Sun, S.; Zhang, Y.; Zhang, S.; Liu, S.; Ren, F.; Wang, P. Pea albumin extracted from pea (Pisum sativum L.) seed protects mice from high fat diet-induced obesity by modulating lipid metabolism and gut microbiota. J. Funct. Foods 2022, 97, 105234. [Google Scholar] [CrossRef]
- Ruiz, R.; Olias, R.; Clemente, A.; Rubio, L.A. A pea (Pisum sativum L.) seed vicilins hydrolysate exhibits pparγ ligand activity and modulates adipocyte differentiation in a 3t3-l1 cell culture model. Foods 2020, 9, 793. [Google Scholar] [CrossRef]
- Seida, A.A.; El Tanbouly, N.D.; Islam, W.T.; Eid, H.H.; El Maraghy, S.A.; El Senousy, A.S. Bioassay-guided fractionation of a hepatoprotective and antioxidant extract of pea by-product. Nat. Prod. Res. 2015, 29, 1578–1583. [Google Scholar] [CrossRef]
- Zhang, S.; Jin, W.; Zhang, W.; Ren, F.; Wang, P.; Liu, N. Pea albumin attenuates dextran sulfate sodium-induced colitis by regulating nf-kappa b signaling and the intestinal microbiota in mice. Nutrients 2022, 14, 3611. [Google Scholar] [CrossRef]
- Shao, T.; Chen, Y.-L. Stop using the misidentified cell line LO2 as a human hepatocyte. J. Hepatol. 2024, 80, 200–201. [Google Scholar] [CrossRef]
- Peng, B.; Luo, T.; Chen, F.; Wang, M.; Zheng, L.-F.; Li, J.; Deng, Z.-Y. Medium- and long-chain triglycerides attenuate lipid accumulation and regulate the expression of proteins related to lipid metabolism in oleic acid-induced lipid deposition in human hepatic lo2 cells. J. Funct. Foods 2021, 78, 104354. [Google Scholar] [CrossRef]
- Mi, Y.; Tan, D.; He, Y.; Zhou, X.; Zhou, Q.; Ji, S. Melatonin modulates lipid metabolism in HepG2 cells cultured in high concentrations of oleic acid: AMPK pathway activation may play an important role. Cell Biochem. Biophys. 2018, 76, 463–470. [Google Scholar] [CrossRef]
- Rajendran, V.; Krishnegowda, A.; Nachiappan, V. Antihyperlipidemic activity of cassia auriculata flower extract in oleic acid induced hyperlipidemia in saccharomyces cerevisiae. J Food Sci Technol 2017, 54, 2965–2972. [Google Scholar] [CrossRef] [PubMed]
- Zhang, B.; Zhang, C.; Zhang, X.; Li, N.; Dong, Z.; Sun, G.; Sun, X. Atorvastatin promotes ampk signaling to protect against high fat diet-induced non-alcoholic fatty liver in golden hamsters. Exp. Ther. Med. 2020, 19, 2133–2142. [Google Scholar] [CrossRef]
- Grabner, G.F.; Xie, H.; Schweiger, M.; Zechner, R. Lipolysis: Cellular mechanisms for lipid mobilization from fat stores. Nat. Metab. 2021, 3, 1445–1465. [Google Scholar] [CrossRef] [PubMed]
- Lee, M.-S.; Kim, J.-S.; Cho, S.-M.; Lee, S.O.; Kim, S.-H.; Lee, H.-J. Fermented rhus verniciflua stokes extract exerts an antihepatic lipogenic effect in oleic-acid-induced HepG2 cells via upregulation of AMP-activated protein kinase. J. Agric. Food. Chem. 2015, 63, 7270–7276. [Google Scholar] [CrossRef]
- Lu, Z.; Sun, G.-F.; Pan, X.-A.; Qu, X.-H.; Yang, P.; Chen, Z.-P.; Han, X.-J.; Wang, T. Bcatc inhibitor 2 ameliorated mitochondrial dysfunction and apoptosis in oleic acid-induced non-alcoholic fatty liver disease model. Front. Pharmacol. 2022, 13, 1025551. [Google Scholar] [CrossRef]
- Boland, M.L.; Oldham, S.; Boland, B.B.; Will, S.; Lapointe, J.-M.; Guionaud, S.; Rhodes, C.J.; Trevaskis, J.L. Nonalcoholic steatohepatitis severity is defined by a failure in compensatory antioxidant capacity in the setting of mitochondrial dysfunction. World J. Gastroenterol. 2018, 24, 1748–1765. [Google Scholar] [CrossRef] [PubMed]
- Zhao, D.; Liu, X.L.; Zheng, X.; Fan, L. Antioxidant activity of pea protein hydrolysates in vitro and on HepG2 cells. Food Ferment. Ind. 2023, 11, 170–177. [Google Scholar] [CrossRef]
- Bae, S.; Lee, Y.-H.; Lee, J.; Park, J.; Jun, W. Salvia plebeia r. Br. Water extract ameliorates hepatic steatosis in a non-alcoholic fatty liver disease model by regulating the ampk pathway. Nutrients 2022, 14, 5379. [Google Scholar] [CrossRef]
- Grygiel-Gorniak, B. Peroxisome proliferator-activated receptors and their ligands: Nutritional and clinical implications—A review. Nutr. J. 2014, 13, 17. [Google Scholar] [CrossRef]
- Tardelli, M.; Bruschi, F.V.; Trauner, M. The role of metabolic lipases in the pathogenesis and management of liver disease. Hepatology 2020, 72, 1117–1126. [Google Scholar] [CrossRef]
- Nam, Y.K.; Park, S.J.; Kim, M.H.; Choi, L.Y.; Yang, W.M. Pharmacopuncture of Taraxacum platycarpum extract reduces localized fat by regulating the lipolytic pathway. Biomed. Pharmacother. 2021, 141, 111905. [Google Scholar] [CrossRef]
- Bougarne, N.; Weyers, B.; Desmet, S.J.; Deckers, J.; Ray, D.W.; Staels, B.; De Bosscher, K. Molecular actions of pparα in lipid metabolism and inflammation. Endocr. Rev. 2018, 39, 760–802. [Google Scholar] [CrossRef] [PubMed]
- Ma, Y.; Nenkov, M.; Chen, Y.; Press, A.T.; Kaemmerer, E.; Gassler, N. Fatty acid metabolism and acyl-coa synthetases in the liver-gut axis. World J. Hepatol. 2021, 13, 1512–1533. [Google Scholar] [CrossRef] [PubMed]
- Warfel, J.D.; Vandanmagsar, B.; Dubuisson, O.S.; Hodgeson, S.M.; Elks, C.M.; Ravussin, E.; Mynatt, R.L. Examination of carnitine palmitoyltransferase 1 abundance in white adipose tissue: Implications in obesity research. Am. J. Physiol. Regul. Integr. Comp. Physiol. 2017, 312, R816–R820. [Google Scholar] [CrossRef]
- Kim, D.; Choi, Y.; Kim, S.; Ha, J.; Oh, H.; Lee, Y.; Kim, Y.; Seo, Y.; Park, E.; Kang, J.; et al. Lactobacillus fermentum smfm2017-nk4 isolated from kimchi can prevent obesity by inhibiting fat accumulation. Foods 2021, 10, 772. [Google Scholar] [CrossRef]
- Storch, J.; Corsico, B. The multifunctional family of mammalian fatty acid–binding proteins. Annu. Rev. Nutr. 2023, 43, 25–54. [Google Scholar] [CrossRef] [PubMed]
- Peche, V.; Pietka, T.; Jacome-Sosa, M.; Samovski, D.; Palacios, H.; Chatterjee-Basu, G.; Dudley, A.; Beatty, W.; Meyer, G.; Goldberg, I. Endothelial cell cd36 regulates membrane ceramide formation, exosome fatty acid transfer and circulating fatty acid levels. Nat. Commun. 2023, 14, 4029. [Google Scholar] [CrossRef]
- Ampong, I.; Watkins, A.; Gutierrez-Merino, J.; Ikwuobe, J.; Griffiths, H.R. Dietary protein insufficiency: An important consideration in fatty liver disease? Br. J. Nutr. 2020, 123, 601–609. [Google Scholar] [CrossRef]







Disclaimer/Publisher’s Note: The statements, opinions and data contained in all publications are solely those of the individual author(s) and contributor(s) and not of MDPI and/or the editor(s). MDPI and/or the editor(s) disclaim responsibility for any injury to people or property resulting from any ideas, methods, instructions or products referred to in the content. |
© 2024 by the authors. Licensee MDPI, Basel, Switzerland. This article is an open access article distributed under the terms and conditions of the Creative Commons Attribution (CC BY) license (https://creativecommons.org/licenses/by/4.0/).
Share and Cite
Fang, B.; Luo, J.; Cui, Z.; Liu, R.; Wang, P.; Zhang, J. Pea Albumin Alleviates Oleic Acid-Induced Lipid Accumulation in LO2 Cells Through Modulating Lipid Metabolism and Fatty Acid Oxidation Pathways. Foods 2024, 13, 3482. https://doi.org/10.3390/foods13213482
Fang B, Luo J, Cui Z, Liu R, Wang P, Zhang J. Pea Albumin Alleviates Oleic Acid-Induced Lipid Accumulation in LO2 Cells Through Modulating Lipid Metabolism and Fatty Acid Oxidation Pathways. Foods. 2024; 13(21):3482. https://doi.org/10.3390/foods13213482
Chicago/Turabian StyleFang, Bing, Jie Luo, Zhengwu Cui, Rong Liu, Pengjie Wang, and Jian Zhang. 2024. "Pea Albumin Alleviates Oleic Acid-Induced Lipid Accumulation in LO2 Cells Through Modulating Lipid Metabolism and Fatty Acid Oxidation Pathways" Foods 13, no. 21: 3482. https://doi.org/10.3390/foods13213482
APA StyleFang, B., Luo, J., Cui, Z., Liu, R., Wang, P., & Zhang, J. (2024). Pea Albumin Alleviates Oleic Acid-Induced Lipid Accumulation in LO2 Cells Through Modulating Lipid Metabolism and Fatty Acid Oxidation Pathways. Foods, 13(21), 3482. https://doi.org/10.3390/foods13213482

