Foaming and Physicochemical Properties of Commercial Protein Ingredients Used for Infant Formula Formulation
Abstract
1. Introduction
2. Materials and Methods
2.1. Materials
2.2. Characterization of Foaming Properties
2.2.1. Foaming Capacity and Foam Stability
2.2.2. Foam Morphology Analysis
2.3. Particle Size Measurement
2.4. Zeta Potential Measurement
2.5. Protein Turbidity and Solubility Measurement
2.6. Sodium Dodecyl Sulphate-Polyacrylamide Gel Electrophoresis (SDS-PAGE)
2.7. Circular Dichroism (CD) Spectroscopy
2.8. Surface Hydrophobicity Measurement
2.9. Free Sulfhydryl (SH) Group Content Measurement
2.10. Data Analysis
3. Results and Discussion
3.1. Foaming Properties
3.1.1. Foaming Capacity (FC) and Foam Stability (FS)
3.1.2. Foam Structure
3.2. Particle Size, Zeta Potential, Turbidity, and Solubility
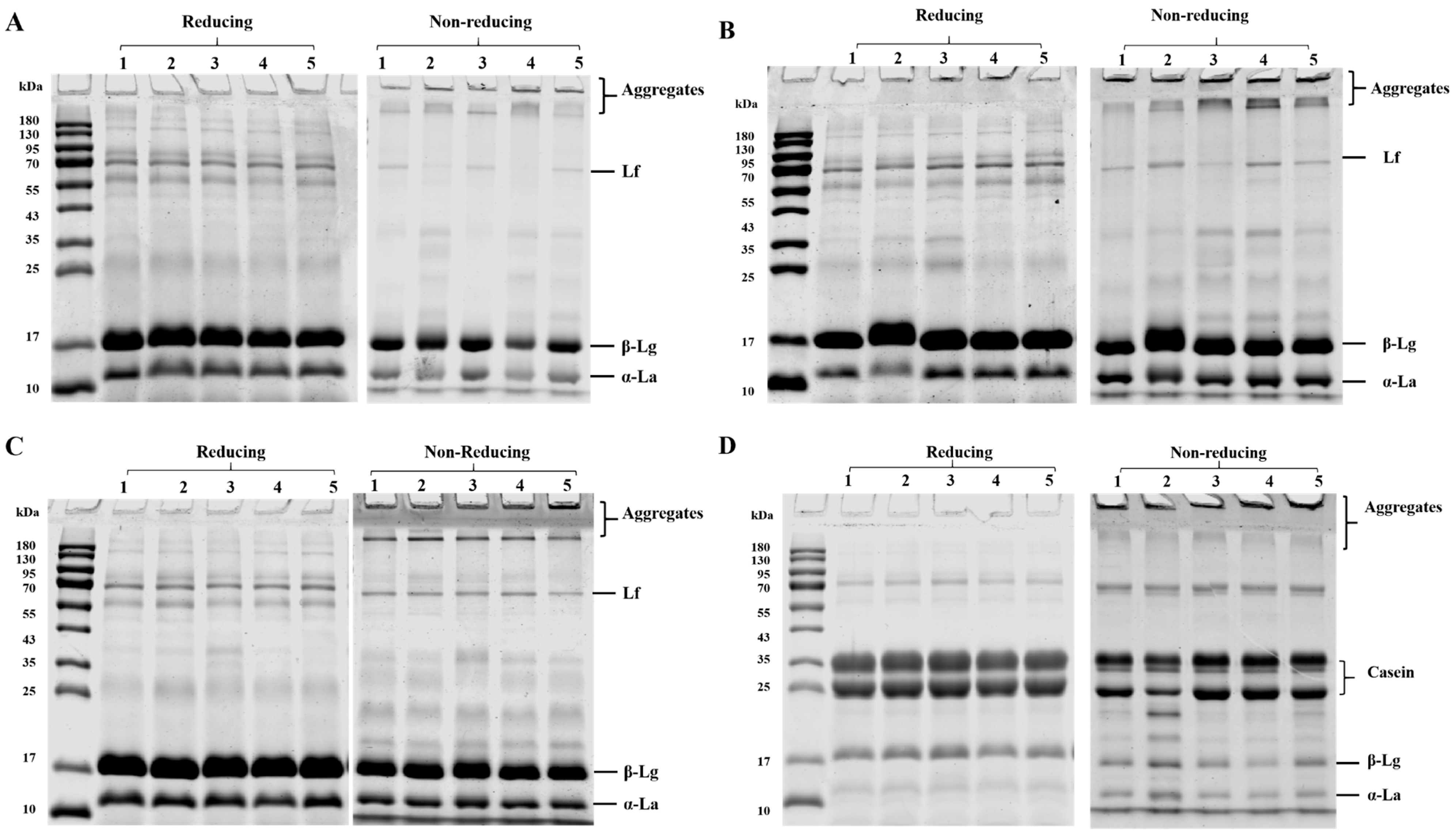
3.3. Protein Composition
3.4. Circular Dichroism (CD) Spectra
3.5. Surface Hydrophobicity (H0) and Free Sulfhydryl (SH) Content
3.6. Principal Component and Correlation Analysis
4. Conclusions
Supplementary Materials
Author Contributions
Funding
Institutional Review Board Statement
Informed Consent Statement
Data Availability Statement
Conflicts of Interest
References
- Guo, M. Introduction: Trends and issues in breastfeeding and the use of infant formula. In Human Milk Biochemistry and Infant Formula Manufacturing Technology; Elsevier: London, UK, 2014; pp. 1–16. [Google Scholar]
- Huppertz, T. Foaming properties of milk: A review of the influence of composition and processing. Int. J. Dairy Technol. 2010, 63, 477–488. [Google Scholar] [CrossRef]
- Zhou, B.; Tobin, J.T.; Drusch, S.; Hogan, S.A. Interfacial properties of milk proteins: A review. Adv. Colloid Interface Sci. 2020, 295, 102347. [Google Scholar] [CrossRef] [PubMed]
- Ho, T.M.; Bhandari, B.R.; Bansal, N. Functionality of bovine milk proteins and other factors in foaming properties of milk: A review. Crit. Rev. Food Sci. Nutr. 2021, 62, 4800–4820. [Google Scholar] [CrossRef] [PubMed]
- Khan, S.H.; Butt, M.S.; Sharif, M.K.; Sameen, A.; Mumtaz, S.; Sultan, M.T. Functional properties of protein isolates extracted from stabilized rice bran by microwave, dry heat, and parboiling. J. Agric. Food Chem. 2011, 59, 2416–2420. [Google Scholar] [CrossRef]
- Walshe, E.J.; O’Regan, J.; O’Mahony, J.A. Influence of protein content and profile on the processing characteristics and physical properties of model infant formula powders. Int. J. Dairy Technol. 2021, 74, 592–599. [Google Scholar] [CrossRef]
- Oldfield, D.J.; Taylor, M.W.; Singh, H. Effect of preheating and other process parameters on whey protein reactions during skim milk powder manufacture. Int. Dairy J. 2005, 15, 501–511. [Google Scholar] [CrossRef]
- Martínez-Padilla, L.P.; García-Mena, V.; Casas-Alencáster, N.B.; Sosa-Herrera, M.G. Foaming properties of skim milk powder fortified with milk proteins. Int. Dairy J. 2014, 36, 21–28. [Google Scholar]
- Carter, B.; Patel, H.; Barbano, D. The effect of spray drying on the difference in flavor and functional properties of liquid and dried whey proteins, milk proteins, and micellar casein concentrates. J. Dairy Sci. 2018, 101, 3900–3909. [Google Scholar] [CrossRef]
- Zhou, P.; Liu, D.; Chen, X.; Chen, Y.; Labuza, T.P. Stability of whey protein hydrolysate powders: Effects of relative humidity and temperature. Food Chem. 2014, 150, 457–462. [Google Scholar] [CrossRef]
- Harper, W.J.; Lee, K.M. Functional properties of 34% whey protein concentrates. In Proceedings of the 2nd International Whey Conference, Chicago, IL, USA, 27–29 October 1997; pp. 140–153. [Google Scholar]
- Banavara, D.S.; Anupama, D.; Rankin, S.A. Studies on physicochemical and functional properties of commercial sweet whey powders. J. Dairy Sci. 2003, 86, 3866–3875. [Google Scholar] [CrossRef]
- Wang, Y.; Wang, S.; Li, R.; Wang, Y.; Xiang, Q.; Li, K.; Bai, Y. Effects of combined treatment with ultrasound and pH shifting on foaming properties of chickpea protein isolate. Food Hydrocoll. 2022, 124, 107351. [Google Scholar] [CrossRef]
- Zhang, X.; Qi, B.; Xie, F.; Hu, M.; Sun, Y.; Han, L.; Li, L.; Zhang, S.; Li, Y. Emulsion stability and dilatational rheological properties of soy/whey protein isolate complexes at the oil-water interface: Influence of pH. Food Hydrocoll. 2021, 113, 106391. [Google Scholar] [CrossRef]
- Zhao, X.; Cheng, M.; Zhang, X.; Li, X.; Chen, D.; Qin, Y.; Wang, J.; Wang, C. The effect of heat treatment on the microstructure and functional properties of whey protein from goat milk. J. Dairy Sci. 2020, 103, 1289–1302. [Google Scholar] [CrossRef] [PubMed]
- Cui, Q.; Sun, Y.; Cheng, J.; Guo, M. Effect of two-step enzymatic hydrolysis on the antioxidant properties and proteomics of hydrolysates of milk protein concentrate. Food Chem. 2022, 366, 130711. [Google Scholar] [CrossRef]
- Pi, X.; Sun, Y.; Guo, X.; Chen, Q.; Cheng, J.; Guo, M. Effects of thermal sterilization on the allergenicity of soybeans. LWT-Food Sci. Technol. 2022, 154, 112678. [Google Scholar] [CrossRef]
- Liu, Q.; Sun, Y.; Cheng, J.; Guo, M. Development of whey protein nanoparticles as carriers to deliver soy isoflavones. LWT-Food Sci. Technol. 2022, 155, 112953. [Google Scholar] [CrossRef]
- Peng, Z.; Zhu, M.; Zhang, J.; Zhao, S.; He, H.; Kang, Z.; Ma, H.; Xu, B. Physicochemical and structural changes in myofibrillar proteins from porcine longissimus dorsi subjected to microwave combined with air convection thawing treatment. Food Chem. 2021, 343, 128412. [Google Scholar] [CrossRef]
- Dombrowski, J.; Dechau, J.; Kulozik, U. Multiscale approach to characterize bulk, surface and foaming behavior of casein micelles as a function of alkalinisation. Food Hydrocoll. 2016, 57, 92–102. [Google Scholar] [CrossRef]
- Marinova, K.G.; Basheva, E.S.; Nenova, B.; Temelska, M.; Mirarefi, A.Y.; Campbell, B.; Ivanov, I.B. Physico-chemical factors controlling the foamability and foam stability of milk proteins: Sodium caseinate and whey protein concentrates. Food Hydrocoll. 2009, 23, 1864–1876. [Google Scholar] [CrossRef]
- Xiong, X.; Ho, M.T.; Bhandari, B.; Bansal, N. Foaming properties of milk protein dispersions at different protein content and casein to whey protein ratios. Int. Dairy J. 2020, 109, 104758. [Google Scholar] [CrossRef]
- Sun, J.; Chang, C.; Su, Y.; Gu, L.; Yang, Y.; Li, J. Impact of saccharides on the foam properties of egg white: Correlation between rheological, interfacial properties and foam properties. Food Hydrocoll. 2022, 122, 107088. [Google Scholar] [CrossRef]
- Dickinson, E. Adsorbed protein layers at fluid interfaces: Interactions, structure and surface rheology. Colloids Surf. B Biointerfaces 1999, 15, 161–176. [Google Scholar] [CrossRef]
- Nishanthi, M.; Vasiljevic, T.; Chandrapala, J. Properties of whey proteins obtained from different whey streams. Int. Dairy J. 2017, 66, 76–83. [Google Scholar] [CrossRef]
- Du, H.; Zhang, J.; Wang, S.; Manyande, A.; Wang, J. Effect of high-intensity ultrasonic treatment on the physicochemical, structural, rheological, behavioral, and foaming properties of pumpkin (Cucurbita moschata Duch.)-seed protein isolates. LWT-Food Sci. Technol. 2022, 155, 112952. [Google Scholar] [CrossRef]
- Sheng, L.; Zu, L.; Ma, M. Study of high pressure carbon dioxide on the physicochemical, interfacial and rheological properties of liquid whole egg. Food Chem. 2021, 337, 127989. [Google Scholar] [CrossRef] [PubMed]
- Zhao, Q.; Ding, L.; Xia, M.; Huang, X.; Isobe, K.; Handa, A.; Cai, Z. Role of lysozyme on liquid egg white foaming properties: Interface behavior, physicochemical characteristics and protein structure. Food Hydrocoll. 2021, 120, 106876. [Google Scholar] [CrossRef]
- Ding, L.; Xia, M.; Zeng, Q.; Zhao, Q.; Cai, Z.; Zhu, Z. Foaming properties and aggregation mechanism of egg white protein with different physical treatments. LWT-Food Sci. Technol. 2022, 153, 112505. [Google Scholar] [CrossRef]
- Le, T.T.; Bhandari, B.; Holland, J.W.; Deeth, H.C. Maillard reaction and protein cross-linking in relation to the solubility of milk powders. J. Agric. Food Chem. 2011, 59, 12473–12479. [Google Scholar] [CrossRef]
- Chang, K.; Jiang, W.; Liu, J. Effect of subcritical water treatment on the structure and foaming properties of egg white protein. Food Hydrocoll. 2022, 124, 107241. [Google Scholar] [CrossRef]
- Han, T.; Wang, M.; Wang, Y.; Tang, L. Effects of high-pressure homogenization and ultrasonic treatment on the structure and characteristics of casein. LWT-Food Sci. Technol. 2020, 130, 109560. [Google Scholar] [CrossRef]
- Jiang, S.; Hussain, M.A.; Cheng, J.; Jiang, Z.; Geng, H.; Sun, Y.; Sun, C.; Hou, J. Effect of heat treatment on physicochemical and emulsifying properties of polymerized whey protein concentrate and polymerized whey protein isolate. LWT-Food Sci. Technol. 2018, 98, 134–140. [Google Scholar] [CrossRef]
- Rupp, L.S.; Molitor, M.S.; Lucey, J.A. Effect of processing methods and protein content of the concentrate on the properties of milk protein concentrate with 80% protein. J. Dairy Sci. 2018, 101, 7702–7713. [Google Scholar] [CrossRef]
- Murphy, E.G.; Fenelon, M.A.; Roos, Y.H.; Hogan, S.A. Decoupling macronutrient interactions during heating of model infant milk formulas. J. Agric. Food Chem. 2014, 62, 10585–10593. [Google Scholar] [CrossRef] [PubMed]
- Gazi, I.; Franc, V.; Tamara, S.; van Gool, M.P.; Huppertz, T.; Heck, A.J.R. Identifying glycation hot-spots in bovine milk proteins during production and storage of skim milk powder. Int. Dairy J. 2022, 129, 105340. [Google Scholar] [CrossRef]
- Dombrowski, J.; Johler, F.; Warncke, M.; Kulozik, U. Correlation between bulk characteristics of aggregated β-lactoglobulin and its surface and foaming properties. Food Hydrocoll. 2016, 61, 318–328. [Google Scholar] [CrossRef]
- Lajnaf, R.; Picart-Palmade, L.; Attia, H.; Marchesseau, S.; Ayadi, M.A. The effect of pH and heat treatments on the foaming properties of purified alpha-lactalbumin from camel milk. Colloids Surf. B Biointerfaces 2017, 156, 55–61. [Google Scholar] [CrossRef]
- Schmitt, C.; Bovay, C.; Rouvet, M.; Shojaei-Rami, S.; Kolodziejczyk, E. Whey protein soluble aggregates from heating with nacl: Physicochemical, interfacial, and foaming properties. Langmuir ACS J. Surf. Colloids 2007, 23, 4155–4166. [Google Scholar] [CrossRef]
- Wu, J.; Chen, S.; Sedaghat Doost, A.; A’yun, Q.; Van der Meeren, P. Dry heat treatment of skim milk powder greatly improves the heat stability of recombined evaporated milk emulsions. Food Hydrocoll. 2021, 112, 106342. [Google Scholar] [CrossRef]
- Lajnaf, R.; Picart-Palmade, L.; Attia, H.; Marchesseau, S.; Ayadi, M.A. Foaming and adsorption behavior of bovine and camel proteins mixed layers at the air/water interface. Colloids Surf. B Biointerfaces 2017, 151, 287–294. [Google Scholar] [CrossRef]
- Sirison, J.; Ishii, T.; Matsumiya, K.; Samoto, M.; Kohno, M.; Matsumura, Y. Comparison of surface and foaming properties of soy lipophilic protein with those of glycinin and β-conglycinin. Food Hydrocoll. 2021, 112, 106345. [Google Scholar] [CrossRef]
- Zhan, F.; Hu, J.; He, C.; Sun, J.; Li, J.; Li, B. Complexation between sodium caseinate and gallic acid: Effects on foam properties and interfacial properties of foam. Food Hydrocoll. 2020, 99, 105365. [Google Scholar] [CrossRef]
- Zhang, T.; Zhang, M.; Gong, P.; Jiang, H.; Liu, J.; Liu, X. Ions-induced ovalbumin foaming properties enhancement: Structural, rheological, and molecular aggregation mechanism. Food Hydrocoll. 2022, 124, 107221. [Google Scholar] [CrossRef]






Publisher’s Note: MDPI stays neutral with regard to jurisdictional claims in published maps and institutional affiliations. |
© 2022 by the authors. Licensee MDPI, Basel, Switzerland. This article is an open access article distributed under the terms and conditions of the Creative Commons Attribution (CC BY) license (https://creativecommons.org/licenses/by/4.0/).
Share and Cite
Zhang, S.; Cheng, J.; Xie, Q.; Jiang, S.; Sun, Y. Foaming and Physicochemical Properties of Commercial Protein Ingredients Used for Infant Formula Formulation. Foods 2022, 11, 3710. https://doi.org/10.3390/foods11223710
Zhang S, Cheng J, Xie Q, Jiang S, Sun Y. Foaming and Physicochemical Properties of Commercial Protein Ingredients Used for Infant Formula Formulation. Foods. 2022; 11(22):3710. https://doi.org/10.3390/foods11223710
Chicago/Turabian StyleZhang, Siyu, Jianjun Cheng, Qinggang Xie, Shilong Jiang, and Yuxue Sun. 2022. "Foaming and Physicochemical Properties of Commercial Protein Ingredients Used for Infant Formula Formulation" Foods 11, no. 22: 3710. https://doi.org/10.3390/foods11223710
APA StyleZhang, S., Cheng, J., Xie, Q., Jiang, S., & Sun, Y. (2022). Foaming and Physicochemical Properties of Commercial Protein Ingredients Used for Infant Formula Formulation. Foods, 11(22), 3710. https://doi.org/10.3390/foods11223710

