The Conformational Structural Change of Soy Glycinin via Lactic Acid Bacteria Fermentation Reduced Immunoglobulin E Reactivity
Abstract
:1. Introduction
2. Materials and Methods
2.1. Materials, Chemicals, and Microorganism
2.2. Glycinin Extraction
2.3. Fermentation of Glycinin by L. plantarum B1-6
2.3.1. Inoculum Preparation
2.3.2. Lactic Fermentation
2.4. Immunoassay
2.5. Protein Gelation/Aggregation Assessments
2.5.1. Gelling Properties
2.5.2. Particle Size Distribution
2.5.3. Electrophoresis
2.6. Protein Conformation Assessments
2.6.1. Surface Hydrophobicity
2.6.2. Intrinsic Fluorescence Measurements
2.6.3. Fourier Transform Infrared Spectroscopy (FTIR)
2.7. Interactions between Proteins
2.8. Statistical Analysis
3. Results and Discussion
3.1. pH of Fermented Glycinin
3.2. IgE Reactivity Analysis
3.3. Formation of Protein Gel/Aggregate
3.3.1. Gelation Behavior
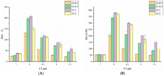
3.3.2. Particle Size Distribution
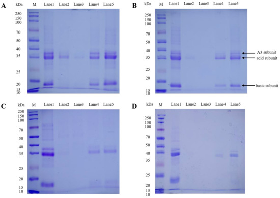
3.3.3. SDS-PAGE
3.3.4. Discussion on the Correlation between IgE Reactivity and Formation of Protein Gel/Aggregate
3.4. Conformational Changes
3.4.1. Surface Hydrophobicity
3.4.2. Intrinsic Fluorescence
3.4.3. FTIR
3.4.4. Discussion on the Correlation between IgE Reactivity and Protein Conformation
3.5. Interactions between Proteins
3.6. Principal Components Analysis (PCA)
4. Conclusions
Author Contributions
Funding
Data Availability Statement
Conflicts of Interest
References
- Xi, J.; He, M.X. Location of destroyed antigenic sites of Gly m Bd 60 K after three processing technologies. Food Res. Int. 2020, 134, 8. [Google Scholar] [CrossRef] [PubMed]
- Shori, A.B. Antioxidant activity and viability of lactic acid bacteria in soybean-yogurt made from cow and camel milk. J. Taibah Univ. Sci. 2018, 7, 202–208. [Google Scholar] [CrossRef] [Green Version]
- Bu, G.; Li, T.; Zhao, Y.; Chen, F. Effects of high hydrostatic pressure combined with heat treatment on the antigenicity and conformation of beta-conglycinin. Eur. Food Res. Technol. 2020, 246, 1065–1072. [Google Scholar] [CrossRef]
- Pi, X.; Yang, Y.; Sun, Y.; Cui, Q.; Wan, Y.; Fu, G.; Chen, H.; Cheng, J. Recent advances in alleviating food allergenicity through fermentation. Crit. Rev. Food Sci. Nutr. 2021. [Google Scholar] [CrossRef]
- Verhoeckx, K.C.M.; Vissers, Y.M.; Baumert, J.L.; Faludi, R.; Feys, M.; Flanagan, S.; Herouet-Guicheney, C.; Holzhauser, T.; Shimojo, R.; van der Bolt, N.; et al. Food processing and allergenicity. Food Chem. Toxicol. 2015, 80, 223–240. [Google Scholar] [CrossRef] [PubMed]
- Holzhauser, T.; Wackermann, O.; Ballmer-Weber, B.K.; Bindslev-Jensen, C.; Scibilia, J.; Perono-Garoffo, L.; Utsumi, S.; Poulsen, L.K.; Vieths, S. Soybean (Glycine max) allergy in Europe: Gly m 5 (beta-conglycinin) and Gly m 6 (glycinin) are potential diagnostic markers for severe allergic reactions to soy. J. Allergy Clin. Immunol. 2009, 123, 452–458. [Google Scholar] [CrossRef] [Green Version]
- Saeed, H.; Gagnon, C.; Cober, E.; Gleddie, S. Using patient serum to epitope map soybean glycinins reveals common epitopes shared with many legumes and tree nuts. Mol. Immunol. 2016, 70, 125–133. [Google Scholar] [CrossRef]
- Ito, K.; Sjolander, S.; Sato, S.; Moverare, R.; Tanaka, A.; Soderstrom, L.; Borres, M.; Poorafshar, M.; Ebisawa, M. IgE to Gly m 5 and Gly m 6 is associated with severe allergic reactions to soybean in Japanese children. J. Allergy Clin. Immunol. 2011, 128, 673–675. [Google Scholar] [CrossRef]
- Kern, K.; Havenith, H.; Delaroque, N.; Rautenberger, P.; Lehmann, J.; Fischer, M.; Spiegel, H.; Schillberg, S.; Ehrentreich-Foerster, E.; Aurich, S.; et al. The immunome of soy bean allergy: Comprehensive identification and characterization of epitopes. Clin. Exp. Allergy 2019, 49, 239–251. [Google Scholar] [CrossRef]
- Zeece, M.G.; Beardslee, T.A.; Markwell, J.P.; Sarath, G. Identification of an IgE-binding region in soybean acidic glycinin G1. Food Agric. Immunol. 1999, 11, 83–90. [Google Scholar] [CrossRef]
- Biscola, V.; de Olmos, A.R.; Choiset, Y.; Rabesona, H.; Garro, M.S.; Mozzi, F.; Chobert, J.M.; Drouet, M.; Haertle, T.; Franco, B. Soymilk fermentation by Enterococcus faecalis VB43 leads to reduction in the immunoreactivity of allergenic proteins beta- conglycinin (7S) and glycinin (11S). Benef. Microbes 2017, 8, 635–643. [Google Scholar] [CrossRef]
- Yang, A.; Xia, J.; Gong, Y.; Deng, H.; Wu, Z.; Li, X.; Tong, P.; Chen, H. Changes in the structure, digestibility and immunoreactivities of glycinin induced by the cross-linking of microbial transglutaminase following heat denaturation. Int. J. Food Sci. Technol. 2017, 52, 2265–2273. [Google Scholar] [CrossRef]
- Rui, X.; Huang, J.; Xing, G.; Zhang, Q.; Li, W.; Dong, M. Changes in soy protein immunoglobulin E reactivity, protein degradation, and conformation through fermentation with Lactobacillus plantarum strains. LWT 2019, 99, 156–165. [Google Scholar] [CrossRef]
- Zhao, J.; He, S.; Tang, M.; Sun, X.; Zhang, Z.; Ye, Y.; Cao, X.; Sun, H. Low-pH induced structural changes, allergenicity and in vitro digestibility of lectin from black turtle bean (Phaseolus vulgaris L.). Food Chem. 2019, 283, 183–190. [Google Scholar] [CrossRef]
- Serrazanetti, D.I.; Ndagijimana, M.; Miserocchi, C.; Perillo, L.; Guerzoni, M.E. Fermented tofu: Enhancement of keeping quality and sensorial properties. Food Control 2013, 34, 336–346. [Google Scholar] [CrossRef]
- Meinlschmidt, P.; Ueberham, E.; Lehmann, J.; Schweiggert-Weisz, U.; Eisner, P. Immunoreactivity, sensory and physicochemical properties of fermented soy protein isolate. Food Chem. 2016, 205, 229–238. [Google Scholar] [CrossRef] [PubMed]
- Huang, J.; Liu, Z.; Rui, X.; L’Hocine, L.; Zhang, Q.; Li, W.; Dong, M. Assessment of the effect of lactic acid fermentation on the gastroduodenal digestibility and immunoglobulin E binding capacity of soy proteins via an in vitro dynamic gastrointestinal digestion model. Food Funct. 2020, 11, 10467–10479. [Google Scholar] [CrossRef]
- Li, Y.; Damodaran, S. In vitro digestibility and IgE reactivity of enzymatically cross-linked heterologous protein polymers. Food Chem. 2017, 221, 1151–1157. [Google Scholar] [CrossRef]
- Boye, J.I.; Aksay, S.; Roufik, S.; Ribereau, S.; Mondor, M.; Farnworth, E.; Rajamohamed, S.H. Comparison of the functional properties of pea, chickpea and lentil protein concentrates processed using ultrafiltration and isoelectric precipitation techniques. Food Res. Int. 2010, 43, 537–546. [Google Scholar] [CrossRef]
- Alizadeh-Pasdar, N.; Li-Chan, E.C.Y. Comparison of protein surface hydrophobicity measured at various pH values using three different fluorescent probes. J. Agric. Food Chem. 2000, 48, 328–334. [Google Scholar] [CrossRef] [PubMed]
- Tian, Y.; Rao, H.; Zhang, K.; Tao, S.; Xue, W.T. Effects of different thermal processing methods on the structure and allergenicity of peanut allergen Ara h 1. Food Sci. Nutr. 2018, 6, 1706–1714. [Google Scholar] [CrossRef]
- Tan, F.-J.; Lai, K.-M.; Hsu, K.-C. A Comparative study on physical properties and chemical interactions of gels from tilapia meat pastes induced by heat and pressure. J. Texture Stud. 2010, 41, 153–170. [Google Scholar] [CrossRef]
- Aguirre, L.; Hebert, E.M.; Garro, M.S.; de Giori, G.S. Proteolytic activity of Lactobacillus strains on soybean proteins. LWT 2014, 59, 780–785. [Google Scholar] [CrossRef]
- Ringgenberg, E.; Alexander, M.; Corredig, M. Effect of concentration and incubation temperature on the acid induced aggregation of soymilk. Food Hydrocoll. 2013, 30, 463–469. [Google Scholar] [CrossRef]
- Ge, J.; Sun, C.-X.; Mata, A.; Corke, H.; Gan, R.-Y.; Fang, Y. Physicochemical and pH-dependent functional properties of proteins isolated from eight traditional Chinese beans. Food Hydrocoll. 2021, 112, 106288. [Google Scholar] [CrossRef]
- Adebiyi, A.P.; Aluko, R.E. Functional properties of protein fractions obtained from commercial yellow field pea (Pisum sativum L.) seed protein isolate. Food Chem. 2011, 128, 902–908. [Google Scholar] [CrossRef]
- Di Marzo, L.; Cree, P.; Barbano, D.M. Prediction of fat globule particle size in homogenized milk using Fourier transform mid- infrared spectra. J. Dairy Sci. 2016, 99, 8549–8560. [Google Scholar] [CrossRef] [PubMed] [Green Version]
- Rui, X.; Xing, G.; Zhang, Q.; Zare, F.; Li, W.; Dong, M. Protein bioaccessibility of soymilk and soymilk curd prepared with two Lactobacillus plantarum strains as assessed by in vitro gastrointestinal digestion. Innov. Food Sci. Emerg. 2016, 38, 155–159. [Google Scholar] [CrossRef]
- Gu, J.; Mao, X.; Xiao, Y.; Yang, S. Effect of gelation factors on the formation and characteristics of protease-induced whey protein gel. Int. J. Dairy Technol. 2011, 64, 473–479. [Google Scholar] [CrossRef]
- Yuan, D.-B.; Yang, X.-Q.; Tang, C.-H.; Zheng, Z.-X.; Wei, M.; Ahmad, I.; Yin, S.-W. Physicochemical and functional properties of acidic and basic polypeptides of soy glycinin. Food Res. Int. 2009, 42, 700–706. [Google Scholar] [CrossRef]
- Frias, J.; Soo Song, Y.; Martinez-Villaluenga, C.; Gonzalez De Mejia, E.; Vidal-Valverde, C. Immunoreactivity and amino acid content of fermented soybean products. J. Agric. Food Chem. 2008, 56, 99–105. [Google Scholar] [CrossRef]
- Zhao, J.; Xiong, Y.L.; McNear, D.H. Changes in Structural Characteristics of Antioxidative Soy Protein Hydrolysates Resulting from Scavenging of Hydroxyl Radicals. J. Food Sci. 2013, 78, C152–C159. [Google Scholar] [CrossRef]
- Zhang, Q.; Tong, X.; Sui, X.; Wang, Z.; Qi, B.; Li, Y.; Jiang, L. Antioxidant activity and protective effects of Alcalase-hydrolyzed soybean hydrolysate in human intestinal epithelial Caco-2 cells. Food Res. Int. 2018, 111, 256–264. [Google Scholar] [CrossRef]
- Zhang, G.; Wang, L.; Pan, J. Probing the Binding of the Flavonoid Diosmetin to Human Serum Albumin by Multispectroscopic Techniques. J. Agric. Food Chem. 2012, 60, 2721–2729. [Google Scholar] [CrossRef]
- Choi, S.-M.; Ma, C.-Y. Structural characterization of globulin from common buckwheat (Fagopyrum esculentum Moench) using circular dichroism and Raman spectroscopy. Food Chem. 2007, 102, 150–160. [Google Scholar] [CrossRef]
- Liu, R.; Zhao, S.-M.; Xiong, S.-B.; Die, B.-j.; Qin, L.-H. Role of secondary structures in the gelation of porcine myosin at different pH values. Meat Sci. 2008, 80, 632–639. [Google Scholar] [CrossRef] [PubMed]
- Helm, R.M.; Cockrell, G.; Connaughton, C.; Sampson, H.A.; Bannon, G.A.; Beilinson, V.; Nielsen, N.C.; Burks, A.W. A soybean G2 glycinin allergen. 2. Epitope mapping and three-dimensional modeling. Int. Arch. Allergy Appl. Immunol. 2000, 123, 213–219. [Google Scholar] [CrossRef]
- Xiang, J.; Cheng, A.; Wang, M.; Chang, H.; Zhang, S.; Cheng, A.; Wang, M.; Zhu, D.; Jia, R.; Luo, Q.; et al. Prediction of B Cell Epitopes and Overexpression of Truncated VP19c of Duck Enteritis Virus in Escherichia coli. In Proceedings of the 4th International Conference on Bioinformatics and Biomedical Engineering (iCBBE), Chengdu, China, 18–20 June 2010. [Google Scholar]
- Yang, X.; Ke, C.; Li, L. Physicochemical, rheological and digestive characteristics of soy protein isolate gel induced by lactic acid bacteria. J. Food Eng. 2021, 292, 110243. [Google Scholar] [CrossRef]
- Beardslee, T.A.; Zeece, M.G.; Sarath, G.; Markwell, J.P. Soybean glycinin G1 acidic chain shares IgE epitopes with peanut allergen Ara h 3. Int. Arch. Allergy Appl. Immunol. 2000, 123, 299–307. [Google Scholar] [CrossRef]
- Li, H.; Zhu, K.; Zhou, H.; Peng, W. Effects of high hydrostatic pressure treatment on allergenicity and structural properties of soybean protein isolate for infant formula. Food Chem. 2012, 132, 808–814. [Google Scholar] [CrossRef]
- Bu, G.; Huang, T.; Li, T. The separation and identification of the residual antigenic fragments in soy protein hydrolysates. J. Food Biochem. 2020, 44, e13144. [Google Scholar] [CrossRef] [PubMed]
- Huang, X.L.; Li, J.H.; Chang, C.H.; Gu, L.P.; Su, Y.J.; Yang, Y.J. Effects of NaOH/NaCl pickling on heat-induced gelation behaviour of egg white. Food Chem. 2019, 297, 124939. [Google Scholar] [CrossRef] [PubMed]
- Wei, L.; Cao, L.W.; Xiong, S.B.; You, J.; Hu, Y.; Liu, R. Effects of pH on self-assembly of silver carp myosin at low temperature. Food Biosci. 2019, 30, 100420. [Google Scholar] [CrossRef]
- Li, J.H.; Zhang, M.Q.; Chang, C.H.; Gu, L.P.; Peng, N.; Su, Y.J.; Yang, Y.J. Molecular forces and gelling properties of heat-set whole chicken egg protein gel as affected by NaCl or pH. Food Chem. 2018, 261, 36–41. [Google Scholar] [CrossRef]
- Li, H.; Jia, Y.; Peng, W.; Zhu, K.; Zhou, H.; Guo, X. High hydrostatic pressure reducing allergenicity of soy protein isolate for infant formula evaluated by ELISA and proteomics via Chinese soy-allergic children’s sera. Food Chem. 2018, 269, 311–317. [Google Scholar] [CrossRef] [PubMed]









| Samples | pH 7.0 | pH 6.0 | pH 4.5 | pH 4.0 | pH 3.5 |
|---|---|---|---|---|---|
| G-0.1 | |||||
| G-0.5 | ± | ± | ± | ± | |
| G-1 | √√ | √√ | √± | ||
| G-2 | √√ | √√ | √√ | √√ |
Publisher’s Note: MDPI stays neutral with regard to jurisdictional claims in published maps and institutional affiliations. |
© 2021 by the authors. Licensee MDPI, Basel, Switzerland. This article is an open access article distributed under the terms and conditions of the Creative Commons Attribution (CC BY) license (https://creativecommons.org/licenses/by/4.0/).
Share and Cite
Liu, Z.; Wang, Y.; Liu, Y.; Zhang, Q.; Li, W.; Dong, M.; Rui, X. The Conformational Structural Change of Soy Glycinin via Lactic Acid Bacteria Fermentation Reduced Immunoglobulin E Reactivity. Foods 2021, 10, 2969. https://doi.org/10.3390/foods10122969
Liu Z, Wang Y, Liu Y, Zhang Q, Li W, Dong M, Rui X. The Conformational Structural Change of Soy Glycinin via Lactic Acid Bacteria Fermentation Reduced Immunoglobulin E Reactivity. Foods. 2021; 10(12):2969. https://doi.org/10.3390/foods10122969
Chicago/Turabian StyleLiu, Zhen, Yaqiong Wang, Yifei Liu, Qiuqin Zhang, Wei Li, Mingsheng Dong, and Xin Rui. 2021. "The Conformational Structural Change of Soy Glycinin via Lactic Acid Bacteria Fermentation Reduced Immunoglobulin E Reactivity" Foods 10, no. 12: 2969. https://doi.org/10.3390/foods10122969
APA StyleLiu, Z., Wang, Y., Liu, Y., Zhang, Q., Li, W., Dong, M., & Rui, X. (2021). The Conformational Structural Change of Soy Glycinin via Lactic Acid Bacteria Fermentation Reduced Immunoglobulin E Reactivity. Foods, 10(12), 2969. https://doi.org/10.3390/foods10122969

