Evaluation of Lower Dental Arch Crowding and Dimension after Treatment with Lip Bumper versus Schwarz Appliance. A Prospective Pilot Study
Abstract
1. Introduction
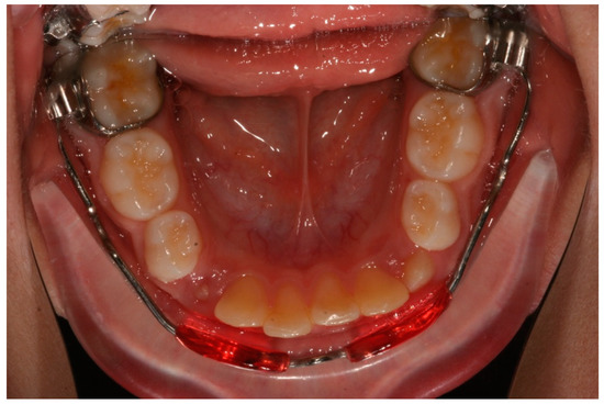
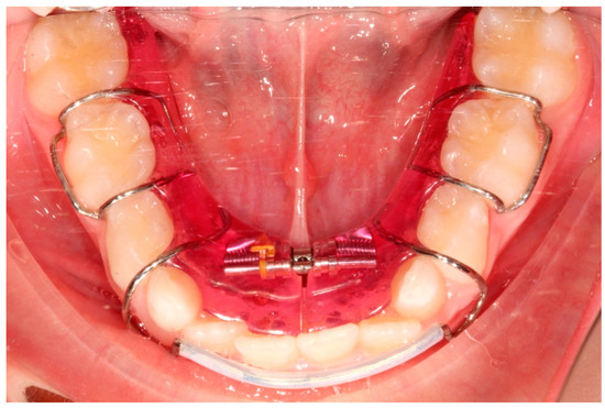
2. Materials and Methods
- Intercanine distance (ICD), calculated as the distance between the innermost lingual point of the gingival margin of the deciduous or permanent canines;
- Interpremolar distance (IPD), calculated as the distance between the innermost lingual point of the gingival margin of the first bicuspids or first deciduous molars;
- Intermolar distance (IMD), calculated as the distance between the points of intersection of the lingual sulcus with the cervical gingival margin of the first permanent molars;
- Arch length (AL), measured as the perpendicular distance between the most vestibular point between the lower central incisors, and the connection line between the mesial contact points of the first permanent molars;
- Arch perimeter (AP), calculated as the sum of the distances between: mesial contact point of the first permanent molar; mesial contact point of the first bicuspid; mesial contact point of the first bicuspid; point of mesial lateral incisive contact; point of lateral mesial incisor contact; contralateral central incisor distal contact point.
- Crowding (CRO), evaluated as the tooth-size/arch length discrepancy.
Statistical Analysis
3. Results
4. Discussion
5. Conclusions
Author Contributions
Funding
Conflicts of Interest
References
- Brunelle, J.A.; Bhat, M.; Lipton, J.A. Prevalence and distribution of selected occlusal characteristics in the US population, 1988–1991. J. Dent. Res. 1996, 75, 706–713. [Google Scholar] [CrossRef] [PubMed]
- Grippaudo, C.; Pantanali, F.; Paolantonio, E.G.; Grecolini, M.E.; Saulle, R.; La Torre, G.; Deli, R. Prevalence of malocclusion in Italian schoolchildren and orthodontic treatment need. Eur. J. Paediatr. Dent. 2013, 14, 314–318. [Google Scholar] [PubMed]
- Grippaudo, C.; Paolantonio, E.G.; Deli, R.; La Torre, G. Orthodontic treatment need in the Italian child population. Eur. J. Paediatr. Dent. 2008, 9, 71–75. [Google Scholar] [PubMed]
- Paolantonio, E.G.; Ludovici, N.; Saccomanno, S.; La Torre, G.; Grippaudo, C. Association between oral habits, mouth breathing and malocclusion in Italian preschoolers. Eur. J. Paediatr. Dent. 2019, 20, 204–208. [Google Scholar] [PubMed]
- Leighton, B.C. The early sighs of malocclusion. Rep. Congr. Eur. Orthod. Soc. 1969, 353–368. [Google Scholar]
- Buschang, P.H.; Shulman, J.D. Incisor crowding in untreated persons 15–50 years of age: United States, 1988–1994. Angle Orthod. 2003, 73, 502–508. [Google Scholar]
- Quinzi, V.; Scibetta, E.T.; Marchetti, E.; Mummolo, S.; Giannì, A.B.; Romano, M.; Beltramini, G.; Marzo, G. Analyze my face. J. Biol. Regul. Homeost. Agents 2018, 32, 149–158. [Google Scholar]
- Quinzi, V.; Rossi, O.; Paglia, L.; Marzo, G.; Caprioglio, A. Paediatric Orthodontics Part 2: Periodontal effects of maxillary expansion. Eur. J. Paediatr. Dent. 2019, 20, 164–166. [Google Scholar]
- Giuca, M.R.; Pasini, M.; Tecco, S.; Giuca, G.; Marzo, G. Levels of salivary immunoglobulins and periodontal evaluation in smoking patients. BMC Immunol. 2014, 15, 5. [Google Scholar] [CrossRef]
- Ferro, R.; Besostri, A.; Olivieri, A.; Quinzi, V.; Scibetta, D. Prevalence of cross-bite in a sample of Italian preschoolers. Eur. J. Paediatr. Dent. 2016, 17, 307–309. [Google Scholar]
- Silvestrini-Biavati, A.; Migliorati, M.; Demarziani, E.; Tecco, S.; Silvestrini-Biavati, P.; Polimeni, A.; Saccucci, M. Clinical association between teeth malocclusions, wrong posture and ocular convergence disorders: An epidemiological investigation on primary school children. BMC Pediatr. 2013, 13, 12. [Google Scholar] [CrossRef] [PubMed]
- Tecco, S.; Farronato, G.; Salini, V.; Di Meo, S.; Filippi, M.R.; Festa, F.; D’Attilio, M. Evaluation of cervical spine posture after functional therapy with FR-2: A longitudinal study. Cranio 2005, 23, 53–66. [Google Scholar] [CrossRef] [PubMed]
- Baldini, A.; Nota, A.; Caruso, S.; Tecco, S. Correlations between the Visual Apparatus and Dental Occlusion: A Literature Review. Biomed Res. Int. 2018, 2018, 2694517. [Google Scholar] [CrossRef] [PubMed]
- Tecco, S.; Festa, F.; Salini, V.; Epifania, E.; D’Attilio, M. Treatment of joint pain and joint noises associated with a recent TMJ internal derangement: A comparison of an anterior repositioning splint, a full-arch maxillary stabilization splint, and an untreated control group. Cranio 2004, 22, 209–219. [Google Scholar] [CrossRef] [PubMed]
- Tecco, S.; Nota, A.; Caruso, S.; Primozic, J.; Marzo, G.; Baldini, A.; Gherlone, E.F. Temporomandibular clinical exploration in Italian adolescents. Cranio 2019, 37, 77–84. [Google Scholar] [CrossRef] [PubMed]
- Silvestrini Biavati, A.; Tecco, S.; Migliorati, M.; Festa, F.; Marzo, G.; Gherlone, E.; Tetè, S. Three-dimensional tomographic mapping related to primary stability and structural miniscrew characteristics. Orthod. Craniofacial Res. 2011, 14, 88–89. [Google Scholar] [CrossRef]
- Quinzi, V.; Ferro, R.; Rizzo, F.A.; Marranzini, E.M.; Federici Canova, F.; Mummolo, S.; Mattei, A.; Marzo, G. The Two by Four appliance: A nationwide cross-sectional survey. Eur. J. Paediatr. Dent. 2018, 19, 145–150. [Google Scholar]
- Mummolo, S.; Nota, A.; Caruso, S.; Quinzi, V.; Marchetti, E.; Marzo, G. Salivary Markers and Microbial Flora in Mouth Breathing Late Adolescents. Biomed Res. Int. 2018, 2018, 8687608. [Google Scholar] [CrossRef]
- Ballanti, F.; Baldini, A.; Ranieri, S.; Nota, A.; Cozza, P. Is there a correlation between nasal septum deviation and maxillary transversal deficiency? A retrospective study on prepubertal subjects. Int. J. Pediatr Otorhinolaryngol. 2016, 83, 109–112. [Google Scholar] [CrossRef]
- Baldini, A.; Nota, A.; Santariello, C.; Assi, V.; Ballanti, F.; Cozza, P. A comparative assessment of changes in dental arches associated with different activation protocols of rapid maxillary expansion. Eur. J. Paediatr. Dent. 2018, 19, 35–39. [Google Scholar]
- Baldini, A.; Nota, A.; Santariello, C.; Caruso, S.; Assi, V.; Ballanti, F.; Gatto, R.; Cozza, P. Sagittal dentoskeletal modifications associated with different activation protocols of rapid maxillary expansion. Eur. J. Paediatr. Dent. 2018, 19, 151–155. [Google Scholar]
- Marino, A.; Nota, A.; Caruso, S.; Gatto, R.; Malagola, C.; Tecco, S. Obstructive sleep apnea severity and dental arches dimensions in children with late primary dentition: An observational study. Cranio 2019, 1–6. [Google Scholar] [CrossRef]
- Celentano, G.; Longobardi, A.; Cannavale, R.; Perillo, L. Mandibular lip bumper for molar torque control. Prog. Orthod. 2011, 12, 90–92. [Google Scholar] [CrossRef] [PubMed]
- Raucci, G.; Pachêco-Pereira, C.; Elyasi, M.; D’Apuzzo, F.; Flores-Mir, C.; Perillo, L. Predictors of postretention stability of mandibular dental arch dimensions in patients treated with a lip bumper during mixed dentition followed by fixed appliances. Angle Orthod. 2017, 87, 209–214. [Google Scholar] [CrossRef]
- Tai, K.; Park, J.H. Dental and skeletal changes in the upper and lower jaws after treatment with Schwarz appliances using cone-beam computed tomography. J. Clin. Pediatr. Dent. 2010, 35, 111–120. [Google Scholar] [CrossRef] [PubMed]
- Mummolo, S.; Marchetti, E.; Albani, F.; Campanella, V.; Pugliese, F.; Di Martino, S.; Tecco, S.; Marzo, G. Comparison between rapid and slow palatal expansion: Evaluation of selected periodontal indices. Head Face Med. 2014, 10, 30. [Google Scholar] [CrossRef] [PubMed]
- Raucci, G.; Pachêco-Pereira, C.; Elyasi, M.; D’Apuzzo, F.; Flores-Mir, C.; Perillo, L. Short-and long-term evaluation of mandibular dental arch dimensional changes in patients treated with a lip bumper during mixed dentition followed by fixed appliances. Angle Orthod. 2016, 86, 753–760. [Google Scholar] [CrossRef] [PubMed]
- Tecco, S.; Lacarbonara, M.; Dinoi, M.T.; Gallusi, G.; Marchetti, E.; Mummolo, S.; Campanella, V.; Marzo, G. The retrieval of unerupted teeth in pedodontics: Two case reports. J. Med. Case Rep. 2014, 8, 334. [Google Scholar] [CrossRef][Green Version]
- Dinoi, M.T.; Marchetti, E.; Garagiola, U.; Caruso, S.; Mummolo, S.; Marzo, G. Orthodontic treatment of an unerupted mandibular canine tooth in a patient with mixed dentition: A case report. J. Med. Case Rep. 2016, 10, 170. [Google Scholar] [CrossRef]
- Tecco, S.; Baldini, A.; Mummolo, S.; Marchetti, E.; Giuca, M.R.; Marzo, G.; Gherlone, E.F. Frenulectomy of the tongue and the influence of rehabilitation exercises on the sEMG activity of masticatory muscles. J. Electromyogr. Kinesiol. 2015, 25, 619–628. [Google Scholar] [CrossRef]
- Mummolo, S.; Marchetti, E.; Giuca, M.R.; Gallusi, G.; Tecco, S.; Gatto, R.; Marzo, G. In-office bacteria test for a microbial monitoring during the conventional and self-ligating orthodontic treatment. Head Face Med. 2013, 9, 7. [Google Scholar] [CrossRef] [PubMed]
- Rubin, R.L.; Baccetti, T.; McNamara, J.A. Mandibular second molar eruption difficulties related to the maintenance of arch perimeter in the mixed dentition. Am. J. Orthod. Dentofac. Orthop. 2012, 141, 146–152. [Google Scholar] [CrossRef] [PubMed]
- Mummolo, S.; Tieri, M.; Nota, A.; Caruso, S.; Darvizeh, A.; Albani, F.; Gatto, R.; Marzo, G.; Marchetti, E.; Quinzi, V.; et al. Salivary concentrations of Streptococcus mutans and Lactobacilli during an orthodontic treatment. An observational study comparing fixed and removable orthodontic appliances. Clin. Exp. Dent. Res. 2019, 6, 181–187. [Google Scholar] [CrossRef] [PubMed]





| Whole Sample (n = 20) | SA (n = 10) | LB (n = 10) | p Value | |
|---|---|---|---|---|
| Gender, n (%) a | ||||
| Males | 10 (50%) | 5 (50%) | 5 (50%) | ns |
| Females | 10 (50%) | 5 (50%) | 5 (50%) | |
| Age | ||||
| (Mean ± SD) b | 8.46 ± 0.45 | 8.5 ± 0.53 | 8.43 ± 0.38 | ns |
| Treatment duration | ||||
| (Mean ± SD) b | 15.25 ± 5.18 | 18.8 ± 4.52 | 11.7 ± 2.87 | 0.0014 * |
| Molar class, n (%) a | ||||
| Molar class I | 10 (50%) | 5 (50%) | 5 (50%) | ns |
| Molar class II | 10 (50%) | 5 (50%) | 5 (50%) |
| SA (cm) (Mean ± SD) | SA (Pre vs. Post) p-Value | LB (cm) (Mean ± SD) | LB (Pre vs Post) p-Value | Interaction Time#Treatment (p-Value) | |||
|---|---|---|---|---|---|---|---|
| Pre | Post | Pre | Post | ||||
| ICD | 2.01 ± 0.14 | 2.33 ± 0.19 | (0.32) < 0.001 * | 2.19 ± 0.01 | 2.24 ± 0.12 | (0.05) 0.171 | <0.001 |
| IPD | 2.36 ± 0.1 | 2.8 ± 0.24 | (0.44) < 0.001 * | 2.57 ± 0.11 | 2.68 ± 0.12 | (0.11) 0.046 * | 0.002 |
| IMD | 3.14 ± 0.16 | 3.58 ± 0.23 | (0.44) < 0.001 * | 3.26± 0.11 | 3.37 ± 0.07 | (0.11) 0.027 * | 0.001 |
| AL | 2.31 ± 0.19 | 2.26 ± 0.23 | (−0.05) 0.057 | 2.42 ± 0.09 | 3.36 ± 0.05 | (0.94) < 0.001 * | <0.001 |
| AP | 7.25 ± 0.42 | 7.61 ± 0.46 | (0.36) < 0.001 * | 7.54 ± 0.22 | 7.2 ± 0.21 | (−0.34) < 0.001 * | <0.001 |
| CRO (mm) | −5.0 ± 2.1 | −2.5 ± 2.4 | (3.5) < 0.001 * | −4.6 ± 1.2 | −1.7 ± 1.2 | (2.9) < 0.001 * | 0.351 |
© 2020 by the authors. Licensee MDPI, Basel, Switzerland. This article is an open access article distributed under the terms and conditions of the Creative Commons Attribution (CC BY) license (http://creativecommons.org/licenses/by/4.0/).
Share and Cite
Quinzi, V.; Caruso, S.; Mummolo, S.; Nota, A.; Angelone, A.M.; Mattei, A.; Gatto, R.; Marzo, G. Evaluation of Lower Dental Arch Crowding and Dimension after Treatment with Lip Bumper versus Schwarz Appliance. A Prospective Pilot Study. Dent. J. 2020, 8, 34. https://doi.org/10.3390/dj8020034
Quinzi V, Caruso S, Mummolo S, Nota A, Angelone AM, Mattei A, Gatto R, Marzo G. Evaluation of Lower Dental Arch Crowding and Dimension after Treatment with Lip Bumper versus Schwarz Appliance. A Prospective Pilot Study. Dentistry Journal. 2020; 8(2):34. https://doi.org/10.3390/dj8020034
Chicago/Turabian StyleQuinzi, Vincenzo, Silvia Caruso, Stefano Mummolo, Alessandro Nota, Anna Maria Angelone, Antonella Mattei, Roberto Gatto, and Giuseppe Marzo. 2020. "Evaluation of Lower Dental Arch Crowding and Dimension after Treatment with Lip Bumper versus Schwarz Appliance. A Prospective Pilot Study" Dentistry Journal 8, no. 2: 34. https://doi.org/10.3390/dj8020034
APA StyleQuinzi, V., Caruso, S., Mummolo, S., Nota, A., Angelone, A. M., Mattei, A., Gatto, R., & Marzo, G. (2020). Evaluation of Lower Dental Arch Crowding and Dimension after Treatment with Lip Bumper versus Schwarz Appliance. A Prospective Pilot Study. Dentistry Journal, 8(2), 34. https://doi.org/10.3390/dj8020034

