Piezoelectric Surgery, Er:YAG Laser Surgery and Nd:YAG Laser Photobiomodulation: A Combined Approach to Treat Medication-Related Osteonecrosis of the Jaws (MRONJ)
Abstract
1. Introduction
- Patients at risk: No apparent necrotic bone in asymptomatic patients treated with IV or oral antiresorptive therapy.
- Stage 0 (non-exposed bone variant): Patients with no clinical evidence of necrotic bone but who present with non-specific symptoms or clinical and radiographic findings.
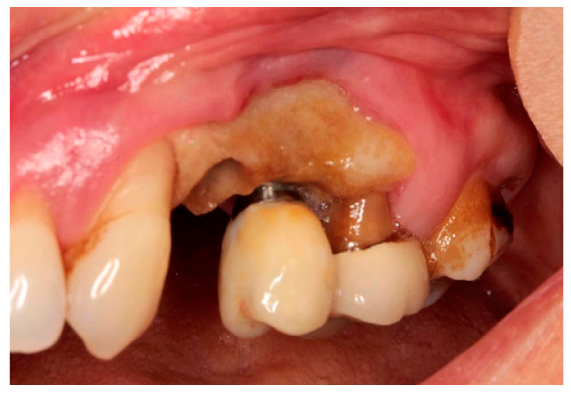
- Stage 1: Exposed and necrotic bone or fistula that probes the bone in asymptomatic patients with no evidence of infection/inflammation.
- Stage 2: Exposed and necrotic bone, or fistula that probes the bone, with evidence of infection/inflammation. The patients were symptomatic.
- Stage 3: Exposed and necrotic bone or fistulae that probe into the bone, with evidence of infection, and one or more of the following:
- Exposed necrotic bone extending beyond the region of alveolar bone
- Pathologic fracture
- Extraoral fistula
- Oral–antral/oral–nasal communication
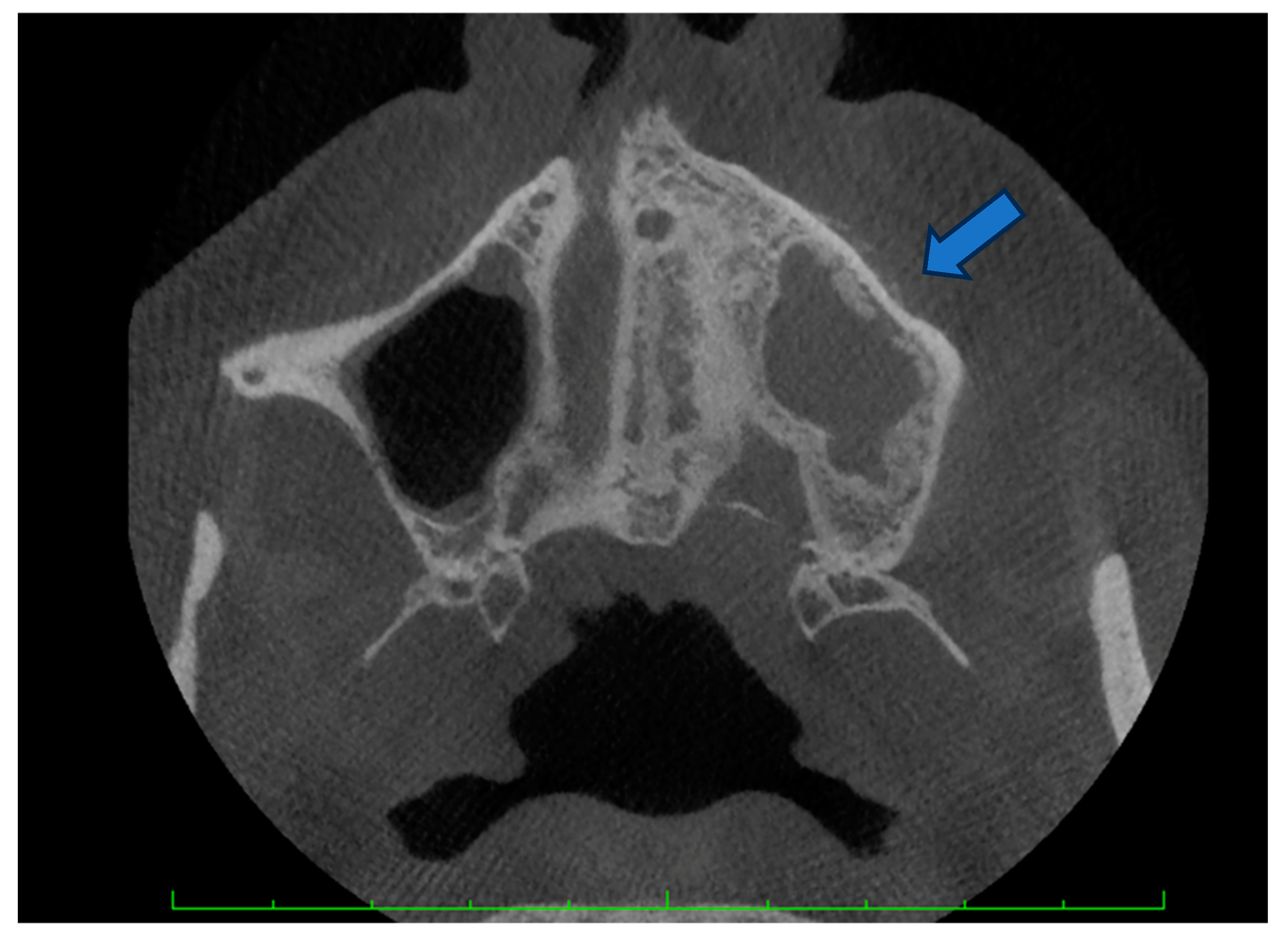
- Osteolysis extending to the inferior border of the mandible or sinus floor
1.1. Ultrasonic Bone Surgery
1.2. Laser Nd:YAG
1.3. Laser Er:YAG
2. Materials and Methods
- Current or previous treatment with antiresorptive or antiangiogenic agents.
- Exposed bone or bone that can be probed through an intra-oral or extraoral fistula in the maxillofacial region that has persisted for more than 8 weeks.
- No history of radiation therapy in the jaws or obvious metastatic disease in the jaws.
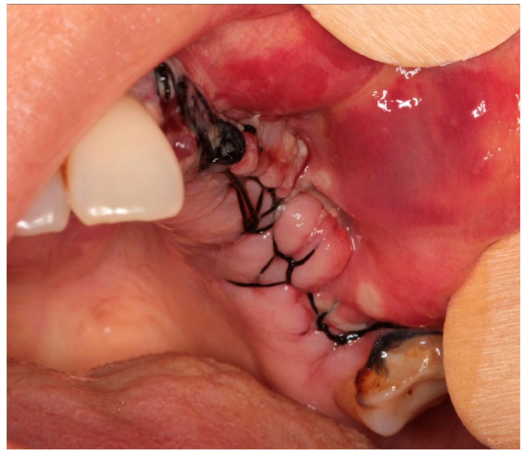
Treatment Protocol
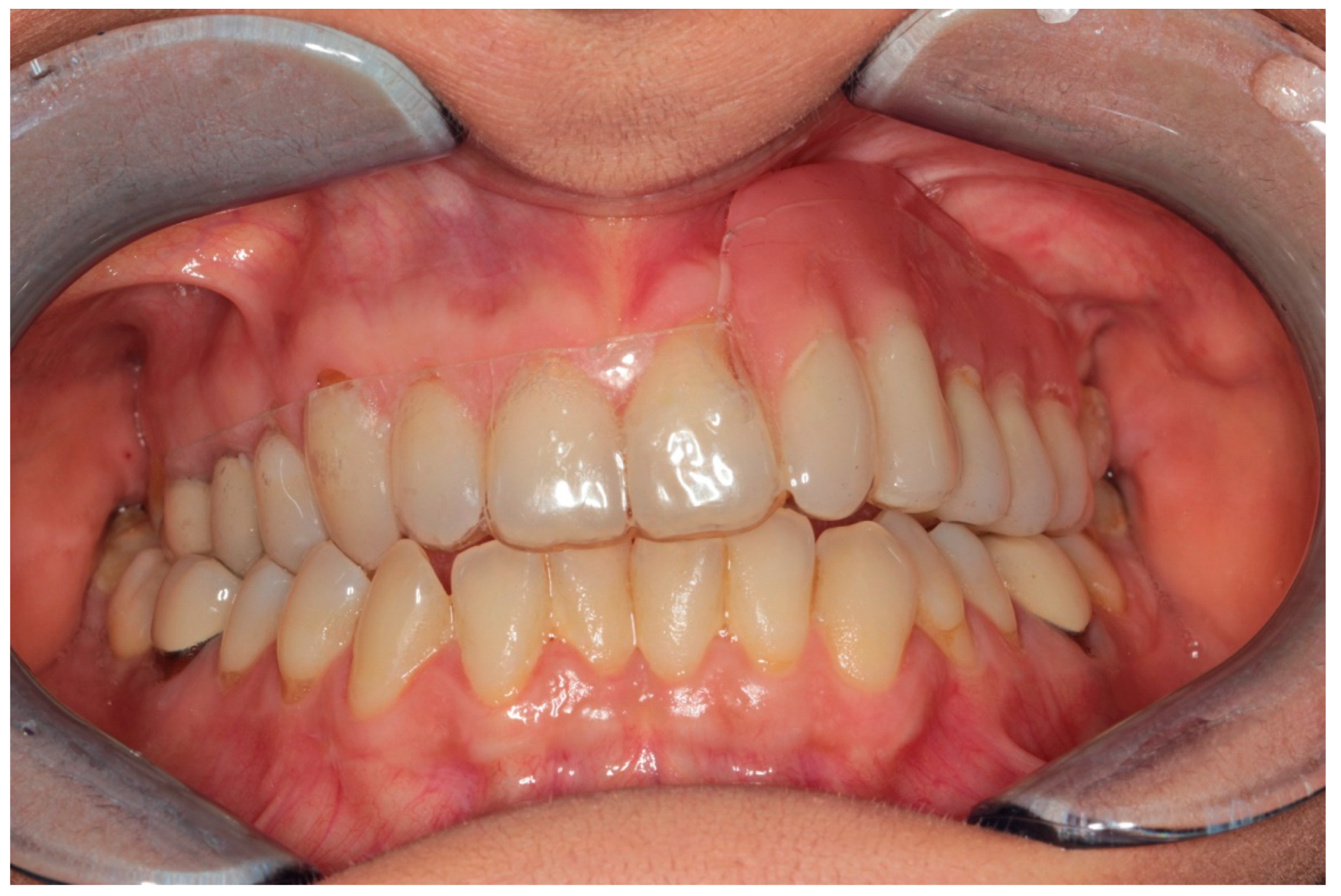
3. Results
4. Discussion
- Antiseptic therapy based on 0.2% clorexidine rinses and hydrogen peroxide 3 times a day in association with antibiotic therapy (amoxicillin 1 g/twice a day + metronidazole 500 g/twice a day) and photobiomodulation laser once a week for five weeks;
- Suspension for 1 month;
- Second cycle of antiseptic therapy with antibiotics and photobiomodulation lasers;
- If complete healing is not achieved, patients are treated with surgical laser assistance.
5. Conclusions
Author Contributions
Funding
Institutional Review Board Statement
Informed Consent Statement
Data Availability Statement
Conflicts of Interest
References
- Marx, R.E. Pamidronate (Aredia) and zoledronate (Zometa) induced avascular necrosis of the jaws: A growing epidemic. J. Oral Maxillofac. Surg. 2003, 61, 1115–1117. [Google Scholar] [CrossRef]
- Ruggiero, S.L.; Dodson, T.B. American association of oral and maxillofacial surgeons position paper on medication-related osteonecrosis of the jaw—2014 update. J. Oral Maxillofac. Surg. 2014, 72, 1938–1956. [Google Scholar] [CrossRef]
- AlRowis, R.; Aldawood, A.; AlOtaibi, M.; Alnasser, E.; AlSaif, I.; Aljaber, A.; Natto, Z. Medication-Related Osteonecrosis of the Jaw (MRONJ): A Review of Pathophysiology, Risk Factors, Preventive Measures and Treatment Strategies. Saudi Dent. J. 2022, 34, 202–210. [Google Scholar] [CrossRef]
- Izzetti, R.; Gennai, S. Panoramic Radiography Features of Medication-Related Osteonecrosis of the Jaws (MRONJ). Int. J. Dent. 2023, 2023, 5358849. [Google Scholar] [CrossRef]
- Nicolatou-Galitis, O.; Razis, E.; Galiti, D.; Galitis, E.; Labropoulos, S.; Tsimpidakis, A.; Sgouros, J.; Karampeazis, A.; Migliorati, C. Periodontal disease preceding osteonecrosis of the jaw (ONJ) in cancer patients receiving antiresorptives alone or combined with targeted therapies: Report of 5 cases and literature review. Oral Surg. Oral Med. Oral Pathol. Oral Radiol. 2015, 120, 699–706. [Google Scholar] [CrossRef]
- Vescovi, P.; Campisi, G.; Fusco, V.; Mergoni, G.; Manfredi, M.; Merigo, E.; Solazzo, L.; Gabriele, M.; Gaeta, G.M.; Favia, G.; et al. Surgery-triggered and non surgery-triggered Bisphosphonate-related Osteonecrosis of the Jaws (BRONJ): A retrospective analysis of 567 cases in an Italian multicenter study. Oral Oncol. 2011, 47, 191–194. [Google Scholar] [CrossRef]
- Merigo, E.; Manfredi, M.; Meleti, M.; Corradi, D.; Vescovi, P. Jaw bone necrosis without previous dental extractions associated with the use of bisphosphonates (pamidronate and zoledronate): A four-case report. J. Oral Pathol. Med. 2005, 34, 613–617. [Google Scholar] [CrossRef] [PubMed]
- Vescovi, P.; Merigo, E.; Meleti, M.; Manfredi, M.; Guidotti, R.; Nammour, S. Bisphosphonates-related osteonecrosis of the jaws: A concise review of the literature and a report of a single-centre experience with 151 patients. J. Oral Pathol. Med. 2012, 41, 214–221. [Google Scholar] [CrossRef] [PubMed]
- Ceponis, P.; Keilman, C.; Guerry, C.; Freiberger, J. Hyperbaric oxygen therapy and osteonecrosis. Oral Dis. 2017, 23, 141–151. [Google Scholar] [CrossRef]
- Cavalcante, R.C.; Tomasetti, G. Pentoxifylline and tocopherol protocol to treat medication-related osteonecrosis of the jaw: A systematic literature review. J. Cranio-Maxillofac. Surg. 2020, 48, 1080–1086. [Google Scholar] [CrossRef]
- Beth-Tasdogan, N.H.; Mayer, B.; Hussein, H.; Zolk, O. Interventions for managing medication-related osteonecrosis of the jaw. Cochrane Database Syst. Rev. 2017, 2017, CD012432. [Google Scholar] [CrossRef]
- Nisi, M.; Karapetsa, D.; Gennai, S.; Ramaglia, L.; Graziani, F.; Gabriele, M. Conservative surgical treatment of medication related osteonecrosis of the jaw (MRONJ) lesions in patients affected by osteoporosis exposed to oral bisphosphonates: 24 months follow-up. J. Cranio-Maxillofac. Surg. 2018, 46, 1153–1158. [Google Scholar] [CrossRef]
- Martins, M.A.T.; Lascala, C.A.; Curi, M.M.; Migliorati, C.A.; Tenis, C.A.; Marques, M.M. Association of laser phototherapy with PRP improves healing of bisphosphonate-related osteonecrosis of the jaws in cancer patients: A preliminary study. Oral Oncol. 2012, 48, 79–84. [Google Scholar] [CrossRef] [PubMed]
- Suh, Y.; Patel, S.; Kaitlyn, R.; Gandhi, J.; Joshi, G.; Smith, N.L.; Khan, S.A. Clinical utility of ozone therapy in dental and oral medicine. Med. Gas Res. 2019, 9, 163–167. [Google Scholar] [CrossRef]
- Stübinger, S.; Dissmann, J.; Pinho, N.C.; Saldamli, B.; Seitz, O.; Sader, R. A preliminary report about treatment of bisphosphonate related osteonecrosis of the jaw with Er:YAG laser ablation. Lasers Surg. Med. 2009, 41, 26–30. [Google Scholar] [CrossRef]
- Sacco, R.; Akintola, O.; Sacco, N.; Acocella, A.; Calasans-Maia, M.D.; Maranzano, M.; Olate, S. The Use of Human Amniotic Membrane (hAM) as a Treatment Strategy of Medication-Related Osteonecrosis of the Jaw (MRONJ): A Systematic Review and Meta-Analysis of the Literature. Medicina 2023, 59, 968. [Google Scholar] [CrossRef]
- Goker, F.; Grecchi, E.; Grecchi, F.; Francetti, L.; Del Fabbro, M. Treatment of medication-related osteonecrosis of the jaw (MRONJ). A systematic review. Eur. Rev. Med. Pharmacol. Sci. 2021, 25, 2662–2673. [Google Scholar] [CrossRef]
- Campisi, G.; Mauceri, R.; Bertoldo, F.; Bettini, G.; Biasotto, M.; Colella, G.; Consolo, U.; Di Fede, O.; Favia, G.; Fusco, V.; et al. Medication-related osteonecrosis of jaws (MRONJ) prevention and diagnosis: Italian consensus update 2020. Int. J. Environ. Res. Public Health 2020, 17, 5998. [Google Scholar] [CrossRef]
- Graziani, F.; Vescovi, P.; Campisi, G.; Favia, G.; Gabriele, M.; Gaeta, G.M.; Gennai, S.; Goia, F.; Miccoli, M.; Peluso, F.; et al. Resective surgical approach shows a high performance in the management of advanced cases of bisphosphonate-related osteonecrosis of the jaws: A retrospective survey of 347 cases. J. Oral Maxillofac. Surg. 2012, 70, 2501–2507. [Google Scholar] [CrossRef]
- El-Rabbany, M.; Lam, D.K.; Shah, P.S.; Azarpazhooh, A. Surgical Management of Medication-Related Osteonecrosis of the Jaw Is Associated With Improved Disease Resolution: A Retrospective Cohort Study. J. Oral Maxillofac. Surg. 2019, 77, 1816–1822. [Google Scholar] [CrossRef] [PubMed]
- Vescovi, P.; Manfredi, M.; Merigo, E.; Guidotti, R.; Meleti, M.; Pedrazzi, G.; Fornaini, C.; Bonanini, M.; Ferri, T.; Nammour, S. Early Surgical Laser-Assisted Management of Bisphosphonate-Related Osteonecrosis of the Jaws (BRONJ): A Retrospective Analysis of 101 Treated Sites with Long-Term Follow-Up. Photomed. Laser Surg. 2012, 30, 5–13. [Google Scholar] [CrossRef] [PubMed]
- Ruggiero, S.L.; Dodson, T.B.; Aghaloo, T.; Carlson, E.R.; Ward, B.B.; Kademani, D. American Association of Oral and Maxillofacial Surgeons’ Position Paper on Medication-Related Osteonecrosis of the Jaws—2022 Update. J. Oral Maxillofac. Surg. 2022, 80, 920–943. [Google Scholar] [CrossRef]
- Kirpalani, T.; Dym, H. Role of Piezo Surgery and Lasers in the Oral Surgery Office. Dent. Clin. N. Am. 2020, 64, 351–363. [Google Scholar] [CrossRef]
- Blus, C.; Giannelli, G.; Szmukler-Moncler, S.; Orru, G. Treatment of medication-related osteonecrosis of the jaws (MRONJ) with ultrasonic piezoelectric bone surgery. A case series of 20 treated sites. Oral Maxillofac. Surg. 2017, 21, 41–48. [Google Scholar] [CrossRef] [PubMed]
- Pavlíková, G.; Foltán, R.; Horká, M.; Hanzelka, T.; Borunská, H.; Šedý, J. Piezosurgery in oral and maxillofacial surgery. Int. J. Oral Maxillofac. Surg. 2011, 40, 451–457. [Google Scholar] [CrossRef] [PubMed]
- Covani, U.; Barone, A. Piezosurgical Treatment of Unicystic Ameloblastoma. J. Periodontol. 2007, 78, 1342–1347. [Google Scholar] [CrossRef] [PubMed]
- Ealla, K.K.R.; Thomas, M.; Akula, U.; Gajjada, N. Piezosurgery: A boon for modern periodontics. J. Int. Soc. Prev. Community Dent. 2017, 7, 1–7. [Google Scholar] [CrossRef] [PubMed]
- Crovace, A.M.; Luzzi, S.; Lacitignola, L.; Fatone, G.; Lucifero, A.G.; Vercellotti, T.; Crovace, A. Minimal invasive piezoelectric osteotomy in neurosurgery: Technic, applications, and clinical outcomes of a retrospective case series. Vet. Sci. 2020, 7, 68. [Google Scholar] [CrossRef] [PubMed]
- Blus, C.; Szmukler-Moncler, S.; Giannelli, G.; Denotti, G.; Orrù, G. Use of Ultrasonic Bone Surgery (Piezosurgery) to Surgically Treat Bisphosphonate-Related Osteonecrosis of the Jaws (BRONJ). A Case Series Report with at Least 1 Year of Follow-Up. Open Dent. J. 2013, 7, 94–101. [Google Scholar] [CrossRef]
- Kopel, M.; Degtyar, E.; Banin, E. Surface acoustic waves increase the susceptibility of Pseudomonas aeruginosa biofilms to antibiotic treatment. Biofouling 2011, 27, 701–711. [Google Scholar] [CrossRef]
- Momesso, G.A.C.; Lemos, C.A.A.; Santiago-Júnior, J.F.; Faverani, L.P.; Pellizzer, E.P. Laser surgery in management of medication-related osteonecrosis of the jaws: A meta-analysis. Oral Maxillofac. Surg. 2020, 24, 133–144. [Google Scholar] [CrossRef]
- Tolentino, E.d.S.; de Castro, T.F.; Michellon, F.C.; Passoni, A.C.C.; Ortega, L.J.A.; Iwaki, L.C.V.; da Silva, M.C. Adjuvant therapies in the management of medication-related osteonecrosis of the jaws: Systematic review. Head Neck 2019, 41, 4209–4228. [Google Scholar] [CrossRef]
- Choung, H.-W.; Lee, S.-H.; Ham, A.R.; Lee, N.R.; Kim, B.; Pang, K.-M.; Jahng, J.W.; Lee, J.-H. Effectiveness of low-level laser therapy with a 915 nm wavelength diode laser on the healing of intraoral mucosal wound: An animal study and a double-blind randomized clinical trial. Medicina 2019, 55, 405. [Google Scholar] [CrossRef] [PubMed]
- Glass, G.E. Photobiomodulation: The clinical applications of low-level light therapy. Aesthetic Surg. J. 2021, 41, 723–738. [Google Scholar] [CrossRef] [PubMed]
- Kalhori, K.A.; Vahdatinia, F.; Jamalpour, M.R.; Vescovi, P.; Fornaini, C.; Merigo, E.; Fekrazad, R. Photobiomodulation in Oral Medicine. Photobiomodulation Photomed. Laser Surg. 2019, 37, 837–861. [Google Scholar] [CrossRef]
- Razavi, P.; Jafari, A.; Vescovi, P.; Fekrazad, R. Efficacy of Adjunctive Photobiomodulation in the Management of Medication-Related Osteonecrosis of the Jaw: A Systematic Review. Photobio. Photomed. Laser Surg. 2022, 40, 777–791. [Google Scholar] [CrossRef]
- Sasaki, K.M.; Aoki, A.; Ichinose, S.; Yoshino, T.; Yamada, S.; Ishikawa, I. Scanning Electron Microscopy and Fourier Transformed Infrared Spectroscopy Analysis of Bone Removal Using Er:YAG and CO2 Lasers. J. Periodontol. 2002, 73, 643–652. [Google Scholar] [CrossRef]
- Vescovi, P.; Giovannacci, I.; Otto, S.; Manfredi, M.; Merigo, E.; Fornaini, C.; Nammour, S.; Meleti, M. Medication-Related Osteonecrosis of the Jaw: An Autofluorescence-Guided Surgical Approach Performed with Er:YAG Laser. Photomed. Laser Surg. 2015, 33, 437–442. [Google Scholar] [CrossRef]
- Taylor, K.; Middlefell, L.; Mizen, K. Osteonecrosis of the jaws induced by anti-RANK ligand therapy. Br. J. Oral Maxillofac. Surg. 2010, 48, 221–223. [Google Scholar] [CrossRef]
- Kearns, A.E.; Khosla, S.; Kostenuik, P.J. Receptor activator of nuclear factor κB ligand and osteoprotegerin regulation of bone remodeling in health and disease. Endocr. Rev. 2008, 29, 155–192. [Google Scholar] [CrossRef]
- Limones, A.; Sáez-Alcaide, L.; Díaz-Parreño, S.; Helm, A.; Bornstein, M.; Molinero-Mourelle, P. Denosumab-related osteonecrosis of the jaws. Osteoporos. Int. 2011, 22, 369–370. [Google Scholar] [CrossRef]
- Limones, A.; Sáez-Alcaide, L.M. Medication-related osteonecrosis of the jaws (MRONJ) in cancer patients treated with denosumab VS. zoledronic acid: A systematic review and meta-analysis. Med. Oral Patol. Oral Y Cir. Bucal 2020, 25, e326–e336. [Google Scholar] [CrossRef] [PubMed]
- A AlDhalaan, N.; BaQais, A.; Al-Omar, A. Medication-related Osteonecrosis of the Jaw: A Review. Cureus 2020, 12, e6944. [Google Scholar] [CrossRef]
- Otto, S.; Pautke, C.; Van den Wyngaert, T.; Niepel, D.; Schiødt, M. Medication-related osteonecrosis of the jaw: Prevention, diagnosis and management in patients with cancer and bone metastases. Cancer Treat. Rev. 2018, 69, 177–187. [Google Scholar] [CrossRef]
- Vescovi, P.; Manfredi, M.; Merigo, E.; Meleti, M. Early Surgical Approach Preferable to Medical Therapy for Bisphosphonate-Related Osteonecrosis of the Jaws. J. Oral Maxillofac. Surg. 2008, 66, 831–832. [Google Scholar] [CrossRef] [PubMed]
- Weber, J.B.B.; Camilotti, R.S.; Ponte, M.E. Efficacy of laser therapy in the management of bisphosphonate-related osteonecrosis of the jaw (BRONJ): A systematic review. Lasers Med Sci. 2016, 31, 1261–1272. [Google Scholar] [CrossRef]
- Freiberger, J.J.; Padilla-Burgos, R.; Chhoeu, A.H.; Kraft, K.H.; Boneta, O.; Moon, R.; Piantadosi, C. Hyperbaric Oxygen Treatment and Bisphosphonate-Induced Osteonecrosis of the Jaw: A Case Series. J. Oral Maxillofac. Surg. 2007, 65, 1321–1327. [Google Scholar] [CrossRef] [PubMed]
- Ripamonti, C.I.; Cislaghi, E.; Mariani, L.; Maniezzo, M. Efficacy and safety of medical ozone (O3) delivered in oil suspension applications for the treatment of osteonecrosis of the jaw in patients with bone metastases treated with bisphosphonates: Preliminary results of a phase I-II study. Oral Oncol. 2011, 47, 185–190. [Google Scholar] [CrossRef]
- Migliorati, C.A.; Epstein, J.B.; Abt, E.; Berenson, J.R. Osteonecrosis of the jaw and bisphosphonates in cancer: A narrative review. Nat. Rev. Endocrinol. 2011, 7, 34–42. [Google Scholar] [CrossRef]
- Agrillo, A.; Filiaci, F.; Ramieri, V.; Riccardi, E.; Quarato, D.; Rinna, C.; Gennaro, P.; Cascino, F.; Mitro, V.; Ungari, C. Bisphosphonate-related osteonecrosis of the jaw (BRONJ): 5 year experience in the treatment of 131 cases with ozone therapy. Eur. Rev. Med. Pharmacol. Sci. 2012, 16, 1741–1747. [Google Scholar]
- Rupel, K.; Ottaviani, G.; Gobbo, M.; Contardo, L.; Tirelli, G.; Vescovi, P.; Di Lenarda, R.; Biasotto, M. A systematic review of therapeutical approaches in bisphosphonates-related osteonecrosis of the jaw (BRONJ). Oral Oncol. 2014, 50, 1049–1057. [Google Scholar] [CrossRef] [PubMed]
- Lopez-Jornet, P.; Perez, A.S.; Mendes, R.A.; Tobias, A. Medication-related osteonecrosis of the jaw: Is autologous platelet concentrate application effective for prevention and treatment? A systematic review. J. Cranio-Maxillofac. Surg. 2016, 44, 1067–1072. [Google Scholar] [CrossRef] [PubMed]
- Goker, F.; Donati, G.; Grecchi, F.; Sparaco, A.; Ghezzo, M.; Rania, V.; Rossi, C.A.; Del Fabbro, M. Treatment of BRONJ with ozone/oxygen therapy and debridement with piezoelectric surgery. Eur. Rev. Med. Pharmacol. Sci. 2020, 24, 9094–9103. [Google Scholar] [CrossRef] [PubMed]
- Morishita, K.; Yamada, S.-I.; Kawakita, A.; Hashidume, M.; Tachibana, A.; Takeuchi, N.; Ohbayashi, Y.; Kanno, T.; Yoshiga, D.; Narai, T.; et al. Treatment outcomes of adjunctive teriparatide therapy for medication-related osteonecrosis of the jaw (MRONJ): A multicenter retrospective analysis in Japan. J. Orthop. Sci. 2020, 25, 1079–1083. [Google Scholar] [CrossRef] [PubMed]
- Yüce, M.O.; Adalı, E.; Işık, G. The effect of concentrated growth factor (CGF) in the surgical treatment of medication-related osteonecrosis of the jaw (MRONJ) in osteoporosis patients: A randomized controlled study. Clin. Oral Investig. 2021, 25, 4529–4541. [Google Scholar] [CrossRef] [PubMed]
- Şahin, O.; Akan, E.; Tatar, B.; Ekmekcioğlu, C.; Ünal, N.; Odabaşı, O. Combined approach to treatment of advanced stages of medication-related osteonecrosis of the jaw patients. Braz. J. Otorhinolaryngol. 2022, 88, 613–620. [Google Scholar] [CrossRef]
- Otsuru, M.; Soutome, S.; Hayashida, S.; Rokutanda, S.; Yanamoto, S.; Umeda, M. A preliminary clinical study of segmental mandibulectomy on medication-related osteonecrosis of the jaw. J. Dent. Sci. 2022, 17, 444–450. [Google Scholar] [CrossRef] [PubMed]
- Parise, G.K.; Costa, B.N.; Nogueira, M.L.; Sassi, L.M.; Schussel, J.L. Efficacy of fibrin-rich platelets and leukocytes (L-PRF) in tissue repair in surgical oral procedures in patients using zoledronic acid—case–control study. Oral Maxillofac. Surg. 2023, 27, 507–512. [Google Scholar] [CrossRef]
- Costa, D.L.; de Azevedo, E.T.; Przysiezny, P.E.; Kluppel, L.E. Use of Lasers and Piezoelectric in Intraoral Surgery. Oral Maxillofac. Surg. Clin. N. Am. 2021, 33, 275–285. [Google Scholar] [CrossRef]
- Blus, C.; Szmukler-Moncler, S.; Khoury, P.; Orrù, G. Immediate implants placed in infected and noninfected sites after atraumatic tooth extraction and placement with ultrasonic bone surgery. Clin. Implant. Dent. Relat. Res. 2015, 17, e287–e297. [Google Scholar] [CrossRef]
- Ghidini, G.; Manfredi, M.; Giovannacci, I.; Mergoni, G.; Sarraj, A.; Mureddu, M.; Giunta, G.; Bonanini, M.; Meleti, M.; Vescovi, P. Medication-related osteonecrosis of the jaw: Risk factors in patients under biphosphonate versus patients under antiresorptive-antiangiogenic drugs. Minerva Stomatol. 2017, 66, 135–140. [Google Scholar] [CrossRef]
- Dipalma, G.; Inchingolo, A.D.; Piras, F.; Palmieri, G.; Pede, C.D.; Ciocia, A.M.; Siciliani, R.A.; Olio, F.D.; Inchingolo, A.M.; Palermo, A.; et al. Efficacy of guided autofluorescence laser therapy in MRONJ: A systematic review. Eur. Rev. Med. Pharmacol. Sci. 2023, 27, 11817–11831. [Google Scholar] [CrossRef]
- Porcaro, G.; Amosso, E.; Scarpella, R.; Carini, F. Doxycycline fluorescence-guided Er:YAG laser ablation combined with Nd:YAG/diode laser biostimulation for treating bisphosphonate-related osteonecrosis of the jaw. Oral Surg. Oral Med. Oral Pathol. Oral Surg. Oral Med. Oral Pathol. Oral Radiol. 2015, 119, e6–e12. [Google Scholar] [CrossRef]












| Authors | N° Patients | Follow-Up (Months) | Clinical Improvement | Complete Healing |
|---|---|---|---|---|
| J. Freiberger et al. (2007) [47] Hyperbaric oxygen therapy | 16 | 87.5 | 12.5% | |
| C.I. Ripamonti et al. (2011) [48] Ozone + antibiotic therapy | 24 | 100% | 25% | |
| Migliorati CA et al. (2011) [49] | ||||
| No surgery (120 sites) | 599 | 24–48 | 17.6% | |
| Surgery (debridement) (118 sites) | 24–48 | 17.3% | ||
| Surgery (flap and/or resection) (316 sites) | 24–48 | 46.3% | ||
| A. Agrillo et al. (2012) [50] Ozone + antibiotic therapy + surgery | 94 | 14.3 | 60% | |
| Martins et al. (2012) [13] | ||||
| CHX + antibiotic therapy | 3 | 6 | 33.3% | |
| Surgery + antibiotic therapy | 5 | 6 | 60% | |
| Antibiotic therapy + surgery + PRP + LLLT | 14 | 6 | 85.7% | |
| Rupel K et al. (2014) [51] | ||||
| No surgery | 77 | 23.4% | ||
| Surgery (debridement) | 236 | 75.4% | ||
| Surgery (traditional techniques) | 221 | 90% | ||
| Surgery (laser) | 56 | 89.3% | ||
| P. Lopez-Jornet et al. (2016) [52] PRP + surgery | 123 | 86% | ||
| F. Goker et al. (2020) [53] Ozone + antibiotic therapy + piezosurgery | 14 | 90% | 64.2% | |
| Morishita et al. (2020) [54] Teriparatide therapy | 29 | 75.9% | 65.5% | |
| Yüce et al. (2021) [55] | ||||
| Surgery + concentrated growth factor (CGF) | 14 | 78.6% | ||
| Surgery without CGF | 14 | 57.1% | ||
| Sahin et al. (2021) [56] Piezosurgery + leukocyte and platelet-rich fibrin concentrate (L-PRF) +Nd:YAG laser | 21 | 100% | ||
| Otsuru et al. (2022) [57] Marginal mandibulectomy Segmental mandibulectomy | ||||
| 155 | 67.1% | |||
| 13 | 92.3% | |||
| Parise et al. (2022) [58] | ||||
| Surgery + fibrin-rich platelets and leukocytes (L-PRF) + antibiotic therapy | 5 | 80% | ||
| Surgery + without L-PRF + antibiotic therapy | 7 | 57% | ||
| P. Vescovi et al. (2012) [8] | ||||
| G1 (28 sites): medical therapy; G2 (32 sites): medical therapy and LLLT | 151 | G1: 25% G2: 71.8% G3: 64.7% G4: 81.8% G5: 96.5% | G1: 17.8% G2: 28.1% G3: 64.7% G4: 72.7% G5: 89.6% | |
| G3 (17 sites): medical and conventional surgical therapy | ||||
| G4 (33 sites): medical therapy, conventional surgical therapy, and LLLT | ||||
| G5 (29 sites): medical therapy, Er:YAG laser surgical therapy, and LLLT |
Disclaimer/Publisher’s Note: The statements, opinions and data contained in all publications are solely those of the individual author(s) and contributor(s) and not of MDPI and/or the editor(s). MDPI and/or the editor(s) disclaim responsibility for any injury to people or property resulting from any ideas, methods, instructions or products referred to in the content. |
© 2024 by the authors. Licensee MDPI, Basel, Switzerland. This article is an open access article distributed under the terms and conditions of the Creative Commons Attribution (CC BY) license (https://creativecommons.org/licenses/by/4.0/).
Share and Cite
Vescovi, P.; De Francesco, P.; Giovannacci, I.; Leão, J.C.; Barone, A. Piezoelectric Surgery, Er:YAG Laser Surgery and Nd:YAG Laser Photobiomodulation: A Combined Approach to Treat Medication-Related Osteonecrosis of the Jaws (MRONJ). Dent. J. 2024, 12, 261. https://doi.org/10.3390/dj12080261
Vescovi P, De Francesco P, Giovannacci I, Leão JC, Barone A. Piezoelectric Surgery, Er:YAG Laser Surgery and Nd:YAG Laser Photobiomodulation: A Combined Approach to Treat Medication-Related Osteonecrosis of the Jaws (MRONJ). Dentistry Journal. 2024; 12(8):261. https://doi.org/10.3390/dj12080261
Chicago/Turabian StyleVescovi, Paolo, Pierpaolo De Francesco, Ilaria Giovannacci, Jair Carneiro Leão, and Antonio Barone. 2024. "Piezoelectric Surgery, Er:YAG Laser Surgery and Nd:YAG Laser Photobiomodulation: A Combined Approach to Treat Medication-Related Osteonecrosis of the Jaws (MRONJ)" Dentistry Journal 12, no. 8: 261. https://doi.org/10.3390/dj12080261
APA StyleVescovi, P., De Francesco, P., Giovannacci, I., Leão, J. C., & Barone, A. (2024). Piezoelectric Surgery, Er:YAG Laser Surgery and Nd:YAG Laser Photobiomodulation: A Combined Approach to Treat Medication-Related Osteonecrosis of the Jaws (MRONJ). Dentistry Journal, 12(8), 261. https://doi.org/10.3390/dj12080261

