Digital Implant-Supported Restoration Planning Placed in Autologous Graft Using Titanium Implants Produced by Additive Manufacturing
Abstract
1. Introduction
2. Materials and Methods
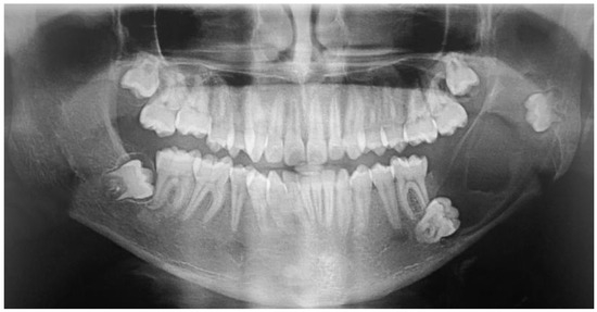
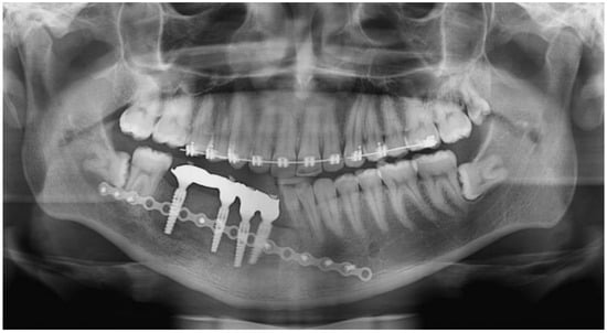
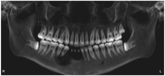
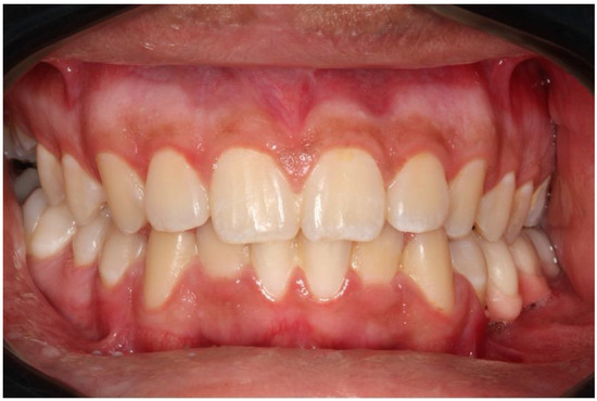
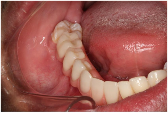
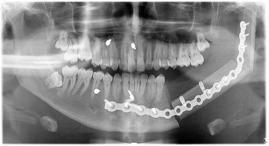
2.1. Case 1
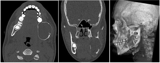
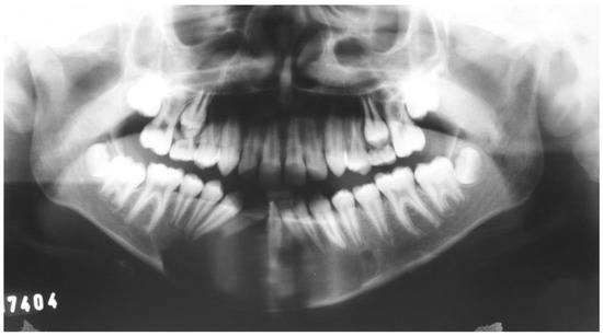
2.2. Case 2
3. Discussion
4. Conclusions
Author Contributions
Funding
Institutional Review Board Statement
Informed Consent Statement
Data Availability Statement
Conflicts of Interest
References
- Fatani, B.; Fatani, J.A.; Fatani, O.A. Approach for Mandibular Reconstruction Using Vascularized Free Fibula Flap: A Review of the Literature. Cureus 2022, 14, e30161. [Google Scholar] [CrossRef] [PubMed]
- Ferraz, M.P. Bone Grafts in Dental Medicine: An Overview of Autografts, Allografts and Synthetic Materials. Materials 2023, 16, 4117. [Google Scholar] [CrossRef] [PubMed]
- Kumar, B.P.; Venkatesh, V.; Kumar, K.A.J.; Yadav, B.Y.; Mohan, S.R. Mandibular Reconstruction: Overview. J. Maxillofac. Oral. Surg. 2016, 15, 425–441. [Google Scholar] [CrossRef] [PubMed]
- Kim, J.Y.; Lee, Y.C.; Kim, S.G.; Garagiola, U. Advancements in Oral Maxillofacial Surgery: A Comprehensive Review on 3D Printing and Virtual Surgical Planning. Appl. Sci. 2023, 13, 9907. [Google Scholar] [CrossRef]
- Pu, J.J.; Hakim, S.G.; Melville, J.C.; Su, Y.X. Current Trends in the Reconstruction and Rehabilitation of Jaw following Ablative Surgery. Cancers 2022, 14, 3308. [Google Scholar] [CrossRef] [PubMed]
- Andrade, C.X.; Quirynen, M.; Rosenberg, D.R.; Pinto, N.R. Interaction between Different Implant Surfaces and Liquid Fibrinogen: A Pilot in Vitro Experiment. Biomed. Res. Int. 2021, 2021, 9996071. [Google Scholar] [CrossRef] [PubMed]
- Shibli, J.A.; Mangano, C.; Mangano, F.; Rodrigues, J.A.; Cassoni, A.; Bechara, K.; Ferreia, J.D.B.; Dottore, A.M.; Iezzi, G.; Piattelli, A. Bone-to-Implant Contact Around Immediately Loaded Direct Laser Metal-Forming Transitional Implants in Human Posterior Maxilla. J. Periodontol. 2013, 84, 732–737. [Google Scholar] [CrossRef]
- Lang, N.P.; Imber, J.C.; Lang, K.N.; Schmid, B.; Muñoz, F.; Bosshardt, D.D.; Saulacic, N. Sequential osseointegration of a novel implant system based on 3D printing in comparison with conventional titanium implants. Clin. Oral. Implants Res. 2023, 34, 627–638. [Google Scholar] [CrossRef]
- Rana, M.; Warraich, R.; Kokemüller, H.; Lemound, J.; Essig, H.; Tavassol, F.; Eckardt, A.; Gellrich, N. Reconstruction of mandibular defects—Clinical retrospective research over a 10-year period. Head. Neck Oncol. 2011, 3, 23. [Google Scholar] [CrossRef]
- Pingueiro, J.; Piattelli, A.; Paiva, J.; Figueiredo, L.C.; Feres, M.; Shibli, J.; Bueno-Silva, B. Additive manufacturing of titanium alloy could modify the pathogenic microbial profile: An in vitro study. Braz. Oral. Res. 2019, 33 (Suppl. S1), e065. [Google Scholar] [CrossRef] [PubMed]
- Meirizal; Lutfianto, M.B.; Zidny, M.R.; Baskara, A.A.N.N.; Yasykur, M.Y. Autologous double barrel vascularized fibular bone graft for reconstruction after hemi resection of mandible do to ameloblastoma: Surgical case report. Int. J. Surg. Case Rep. 2023, 112, 108920. [Google Scholar] [CrossRef] [PubMed]
- Rodella, L.F.; Favero, G.; Labanca, M. Biomaterials in Maxillofacial Surgery: Membranes and Grafts. Int. J. Biomed. Sci. 2011, 7, 81–88. [Google Scholar] [CrossRef] [PubMed] [PubMed Central]
- Kao, S.T.; Scott, D.D. A Review of Bone Substitutes. Oral Maxillofac. Surg. Clin. N. Am. 2007, 19, 513–521. [Google Scholar] [CrossRef] [PubMed]
- Zhu, H.; Zhang, L.; Cai, Z.; Shan, X. Dental Implant Rehabilitation After Jaw Reconstruction Assisted by Virtual Surgical Planning. Int. J. Oral Maxillofac. Implant. 2019, 34, 1223–1230. [Google Scholar] [CrossRef] [PubMed]
- Duong, H.Y.; Roccuzzo, A.; Stähli, A.; Salvi, G.E.; Lang, N.P.; Sculean, A. Oral health-related quality of life of patients rehabilitated with fixed and removable implant-supported dental prostheses. Periodontology 2000 2022, 88, 201–237. [Google Scholar] [CrossRef] [PubMed]
- Moraschini, V.; Poubel, L.A.; Ferreira, V.F.; Barboza Edos, S. Evaluation of survival and success rates of dental implants reported in longitudinal studies with a follow-up period of at least 10 years: A systematic review. Int. J. Oral. Maxillofac. Surg. 2015, 44, 377–388. [Google Scholar] [CrossRef] [PubMed]
- Lodders, J.N.; Leusink, F.K.J.; Ridwan-Pramana, A.; Winters, H.A.H.; Karagozoglu, K.H.; Dekker, H.; Forouzanfar, T.; Schulten, E.A.J.M. Long-term outcomes of implant-based dental rehabilitation in head and neck cancer patients after reconstruction with the free vascularized fibula flap. J. Craniomaxillofac. Surg. 2021, 49, 845–854. [Google Scholar] [CrossRef] [PubMed]
- Myers, P.L.; Nelson, J.A.; Rosen, E.B.; Allen, R.J.; Disa, J.J.; Matros, E. Virtual Surgical Planning for Oncologic Mandibular and Maxillary Reconstruction. Plast. Reconstr. Surg.-Glob. Open 2021, 9, e3672. [Google Scholar] [CrossRef] [PubMed]
- Moraschini, V.; Louro, R.S.; Son, A.; Calasans-Maia, M.D.; Sartoretto, S.C.; Shibli, J.A. Long-term survival and success rate of dental implants placed in reconstructed areas with extraoral autogenous bone grafts: A systematic review and meta-analysis. Clin. Implant. Dent. Relat. Res. 2024. Epub ahead of print. [Google Scholar] [CrossRef]
- Zoabi, A.; Redenski, I.; Oren, D.; Kasem, A.; Zigron, A.; Daoud, S.; Moskovich, L.; Kablan, F.; Srouji, S. 3D Printing and Virtual Surgical Planning in Oral and Maxillofacial Surgery. J. Clin. Med. 2022, 11, 2385. [Google Scholar] [CrossRef]
- Sethi, A.; Kaus, T.; Cawood, J.I.; Plaha, H.; Boscoe, M.; Sochor, P. Onlay bone grafts from iliac crest: A retrospective analysis. Int. J. Oral. Maxillofac. Surg. 2020, 49, 264–271. [Google Scholar] [CrossRef]
- Bosc, R.; Hersant, B.; Carloni, R.; Niddam, J.; Bouhassira, J.; De Kermadec, H.; Bequignon, E.; Wojcik, T.; Julieron, M.; Meningaud, J.P. Mandibular reconstruction after cancer: An in-house approach to manufacturing cutting guides. Int. J. Oral. Maxillofac. Surg. 2017, 46, 24–31. [Google Scholar] [CrossRef] [PubMed]
- Damecourt, A.; Nieto, N.; Galmiche, S.; Garrel, R.; de Boutray, M. In-house 3D treatment planning for mandibular reconstruction by free fibula flap in cancer: Our technique. Eur. Ann. Otorhinolaryngol. Head. Neck Dis. 2020, 137, 501–505. [Google Scholar] [CrossRef] [PubMed]
- Naros, A.; Weise, H.; Tilsen, F.; Hoefert, S.; Naros, G.; Krimmel, M.; Reinert, S.; Polligkeit, J. Three-dimensional accuracy of mandibular reconstruction by patient-specific pre-bent reconstruction plates using an “in-house” 3D-printer. J. Cranio-Maxillofacial. Surg. 2018, 46, 1645–1651. [Google Scholar] [CrossRef] [PubMed]





















Disclaimer/Publisher’s Note: The statements, opinions and data contained in all publications are solely those of the individual author(s) and contributor(s) and not of MDPI and/or the editor(s). MDPI and/or the editor(s) disclaim responsibility for any injury to people or property resulting from any ideas, methods, instructions or products referred to in the content. |
© 2024 by the authors. Licensee MDPI, Basel, Switzerland. This article is an open access article distributed under the terms and conditions of the Creative Commons Attribution (CC BY) license (https://creativecommons.org/licenses/by/4.0/).
Share and Cite
Louro, R.S.; Moraschini, V.; Melhem-Elias, F.; Sturzinger, G.P.S.; Amad, R.A.; Shibli, J.A. Digital Implant-Supported Restoration Planning Placed in Autologous Graft Using Titanium Implants Produced by Additive Manufacturing. Dent. J. 2024, 12, 192. https://doi.org/10.3390/dj12070192
Louro RS, Moraschini V, Melhem-Elias F, Sturzinger GPS, Amad RA, Shibli JA. Digital Implant-Supported Restoration Planning Placed in Autologous Graft Using Titanium Implants Produced by Additive Manufacturing. Dentistry Journal. 2024; 12(7):192. https://doi.org/10.3390/dj12070192
Chicago/Turabian StyleLouro, Rafael Seabra, Vittorio Moraschini, Fernando Melhem-Elias, George Patrick Sotero Sturzinger, Renata Augusto Amad, and Jamil A. Shibli. 2024. "Digital Implant-Supported Restoration Planning Placed in Autologous Graft Using Titanium Implants Produced by Additive Manufacturing" Dentistry Journal 12, no. 7: 192. https://doi.org/10.3390/dj12070192
APA StyleLouro, R. S., Moraschini, V., Melhem-Elias, F., Sturzinger, G. P. S., Amad, R. A., & Shibli, J. A. (2024). Digital Implant-Supported Restoration Planning Placed in Autologous Graft Using Titanium Implants Produced by Additive Manufacturing. Dentistry Journal, 12(7), 192. https://doi.org/10.3390/dj12070192

