Partial Ceramic Veneer Technique for Challenging Esthetic Frontal Restorative Procedures
Abstract
1. Introduction
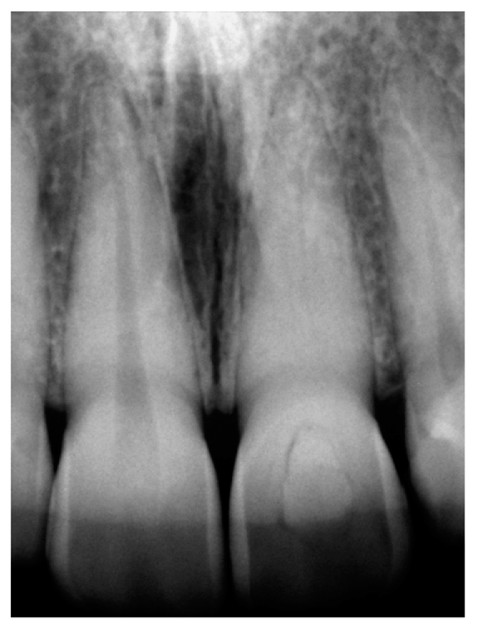
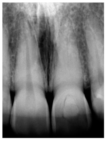
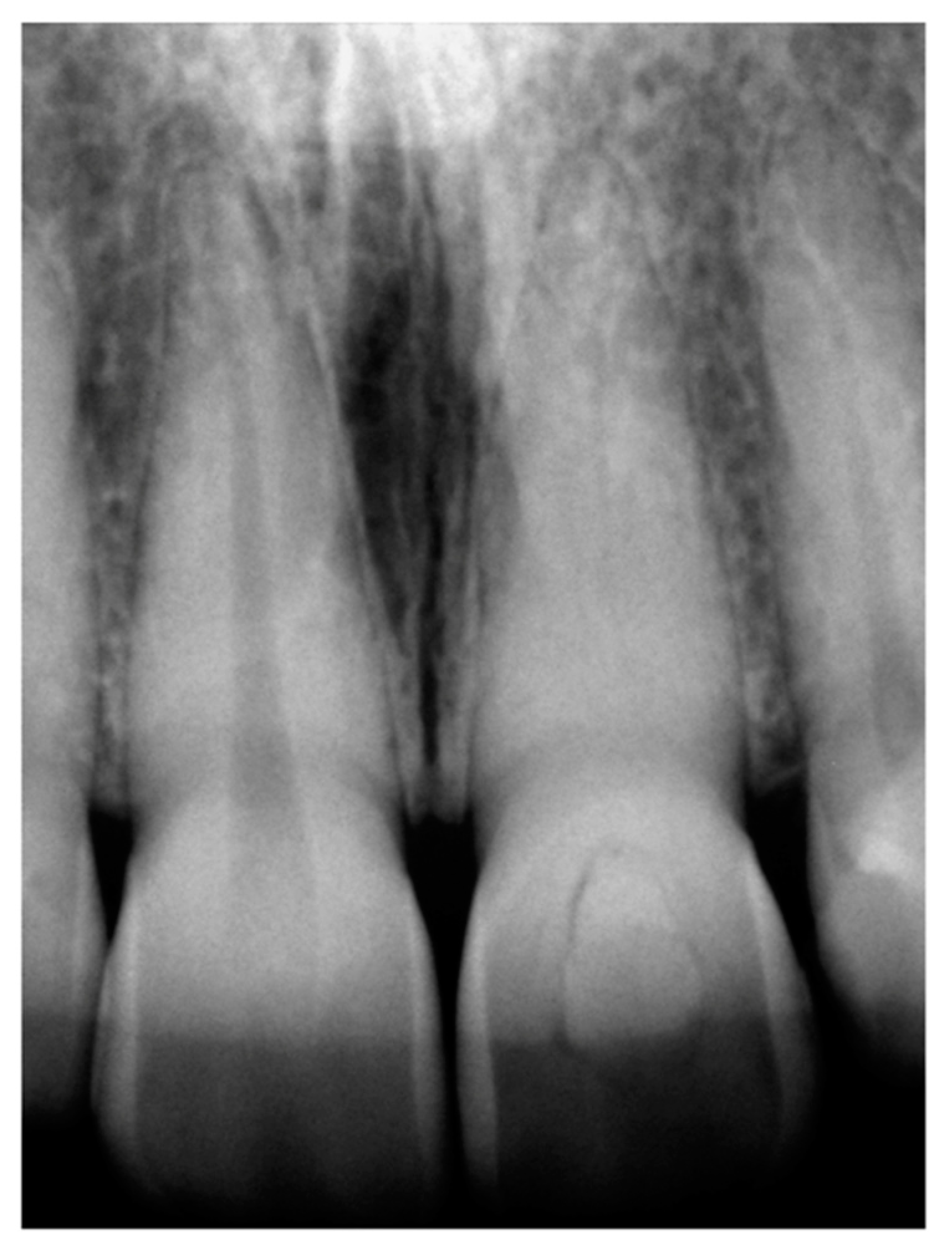
2. Case Presentation
3. Discussion
4. Conclusions
Author Contributions
Funding
Institutional Review Board Statement
Informed Consent Statement
Data Availability Statement
Acknowledgments
Conflicts of Interest
References
- Azami-Aghdash, S.; Ebadifard Azar, F.; Pournaghi Azar, F.; Rezapour, A.; Moradi-Joo, M.; Moosavi, A.; Ghertasi Oskouei, S. Prevalence, etiology, and types of dental trauma in children and adolescents: Systematic review and meta-analysis. Med. J. Islam. Repub. Iran. 2015, 29, 234. [Google Scholar] [PubMed]
- Goettems, M.L.; Torriani, D.D.; Hallal, P.C.; Correa, M.B.; Demarco, F.F. Dental trauma: Prevalence and risk factors in schoolchildren. Community Dent. Oral. Epidemiol. 2014, 42, 581–590. [Google Scholar] [CrossRef] [PubMed]
- Tewari, N.; Bansal, K.; Mathur, V.P. Dental trauma in children: A quick overview on management. Indian J. Pediatr. 2019, 86, 1043–1047. [Google Scholar] [CrossRef] [PubMed]
- Bücher, K.; Neumann, C.; Thiering, E.; Hickel, R.; Kühnisch, J. Complications and survival rates of teeth after dental trauma over a 5-year period. Clin. Oral. Investig. 2013, 17, 1311–1318. [Google Scholar] [CrossRef] [PubMed]
- Lam, R. Epidemiology and outcomes of traumatic dental injuries: A review of the literature. Aust. Dent. J. 2016, 61 (Suppl. S1), 4–20. [Google Scholar] [CrossRef]
- Zaleckiene, V.; Peciuliene, V.; Brukiene, V.; Drukteinis, S. Traumatic dental injuries: Etiology, prevalence and possible outcomes. Stomatologija 2014, 16, 7–14. [Google Scholar] [PubMed]
- Cem Güngör, H.; Uysal, S.; Altay, N. A retrospective evaluation of crown-fractured permanent teeth treated in a pediatric dentistry clinic. Dent. Traumatol. 2007, 23, 211–217. [Google Scholar] [CrossRef]
- Maran, B.M.; de Paris Matos, T.; de Castro, A.D.S.; Vochikovski, L.; Amadori, A.L.; Loguercio, A.D.; Reis, A.; Berger, S.B. In-office bleaching with low/medium vs. high concentrate hydrogen peroxide: A systematic review and meta-analysis. J. Dent. 2020, 103, 103499. [Google Scholar] [CrossRef]
- Marcondes, M.; Paranhos, M.P.; Spohr, A.M.; Mota, E.G.; da Silva, I.N.; Souto, A.A.; Burnett, L.H., Jr. The influence of the Nd:YAG laser bleaching on physical and mechanical properties of the dental enamel. J. Biomed. Mater. Res. B Appl. Biomater. 2009, 90, 388–395. [Google Scholar] [CrossRef]
- Moghadam, F.V.; Majidinia, S.; Chasteen, J.; Ghavamnasiri, M. The degree of color change, rebound effect and sensitivity of bleached teeth associated with at-home and power bleaching techniques: A randomized clinical trial. Eur. J. Dent. 2013, 7, 405–411. [Google Scholar] [CrossRef]
- Joiner, A.; Luo, W. Tooth colour and whiteness: A review. J. Dent. 2017, 67S, S3–S10. [Google Scholar] [CrossRef] [PubMed]
- Fradeani, M.; Redemagni, M. An 11-year clinical evaluation of leucite-reinforced glass-ceramic crowns: A retrospective study. Quintessence Int. 2002, 33, 503–510. [Google Scholar] [PubMed]
- Olley, R.C.; Andiappan, M.; Frost, P. An up to 50-year follow-up of crown and veneer survival in a dental practice. J. Prosthet. Dent. 2018, 119, 935–941. [Google Scholar] [CrossRef] [PubMed]
- Bagis, B.; Turgut, S. Optical properties of current ceramics systems for laminate veneers. J. Dent. 2013, 41 (Suppl. S3), e24–e30. [Google Scholar] [CrossRef]
- Beier, U.S.; Dhima, M.; Koka, S.; Salinas, T.J.; Dumfahrt, H. Comparison of two different veneer preparation designs in vital teeth. Quintessence Int. 2012, 43, 835–839. [Google Scholar] [PubMed]
- Beier, U.S.; Kapferer, I.; Burtscher, D.; Dumfahrt, H. Clinical performance of porcelain laminate veneers for up to 20 years. Int. J. Prosthodont. 2012, 25, 79–85. [Google Scholar]
- Gresnigt, M.M.; Cune, M.S.; Schuitemaker, J.; van der Made, S.A.; Meisberger, E.W.; Magne, P.; Özcan, M. Performance of ceramic laminate veneers with immediate dentine sealing: An 11 year prospective clinical trial. Dent. Mater. 2019, 35, 1042–1052. [Google Scholar] [CrossRef]
- Alencar, M.S.; Araújo, D.F.; Maenosono, R.M.; Ishikiriama, B.L.; Francischone, C.E.; Ishikiriama, S.K. Reestablishment of esthetics with minimum thickness veneers: A one-year follow-up case report. Quintessence Int. 2014, 45, 593–597. [Google Scholar]
- Gresnigt, M.M.; Kalk, W.; Ozcan, M. Randomized clinical trial of indirect resin composite and ceramic veneers: Up to 3-year follow-up. J. Adhes. Dent. 2013, 15, 181–190. [Google Scholar]
- Çömlekoğlu, M.E.; Paken, G.; Tan, F.; Dündar-Çömlekoğlu, M.; Özcan, M.; Akan, E.; Aladağ, A. Evaluation of different thickness, die color, and resin cement shade for veneers of multilayered CAD/CAM blocks. J. Prosthodont. 2016, 25, 563–569. [Google Scholar] [CrossRef]
- Karagözoğlu, İ.; Toksavul, S.; Toman, M. 3D quantification of clinical marginal and internal gap of porcelain laminate veneers with minimal and without tooth preparation and 2-year clinical evaluation. Quintessence Int. 2016, 47, 461–471. [Google Scholar] [PubMed]
- Morita, R.K.; Hayashida, M.F.; Pupo, Y.M.; Berger, G.; Reggiani, R.D.; Betiol, E.A. Minimally Invasive laminate veneers: Clinical aspects in treatment planning and cementation procedures. Case Rep. Dent. 2016, 2016, 1839793. [Google Scholar] [CrossRef] [PubMed]
- Signore, A.; Kaitsas, V.; Tonoli, A.; Angiero, F.; Silvestrini-Biavati, A.; Benedicenti, S. Sectional porcelain veneers for a maxillary midline diastema closure: A case report. Quintessence Int. 2013, 44, 201–206. [Google Scholar] [PubMed]
- D’Arcangelo, C.; De Angelis, F.; Vadini, M.; D’Amario, M. Clinical evaluation on porcelain laminate veneers bonded with light-cured composite: Results up to 7 years. Clin. Oral. Investig. 2012, 16, 1071–1079. [Google Scholar] [CrossRef]
- Calamia, J.R.; Calamia, C.S. Porcelain laminate veneers: Reasons for 25 years of success. Dent. Clin. N. Am. 2007, 51, 399–417. [Google Scholar] [CrossRef]
- Gresnigt, M.; Ozcan, M. Esthetic rehabilitation of anterior teeth with porcelain laminates and sectional veneers. J. Can. Dent. Assoc. 2011, 77, b143. [Google Scholar]
- Gresnigt, M.M.; Kalk, W.; Özcan, M. Clinical longevity of ceramic laminate veneers bonded to teeth with and without existing composite restorations up to 40 months. Clin. Oral. Investig. 2013, 17, 823–832. [Google Scholar] [CrossRef]
- Kürklü, D.; Azer, S.S.; Yilmaz, B.; Johnston, W.M. Porcelain thickness and cement shade effects on the colour and translucency of porcelain veneering materials. J. Dent. 2013, 41, 1043–1050. [Google Scholar] [CrossRef]
- Albanesi, R.B.; Pigozzo, M.N.; Sesma, N.; Laganá, D.C.; Morimoto, S. Incisal coverage or not in ceramic laminate veneers: A systematic review and meta-analysis. J. Dent. 2016, 52, 1–7. [Google Scholar] [CrossRef]
- Coachman, C.; Calamita, M.A.; Sesma, N. Dynamic documentation of the smile and the 2D/3D digital smile design process. Int. J. Periodontics Restor. Dent. 2017, 37, 183–193. [Google Scholar] [CrossRef]
- Rodríguez-Martínez, J.; Valiente, M.; Sánchez-Martín, M.J. Tooth whitening: From the established treatments to novel approaches to prevent side effects. J. Esthet. Rest. Dent. 2019, 31, 431–440. [Google Scholar] [CrossRef]
- Dietschi, D.; Rossier, S.; Krejci, I. In vitro colorimetric evaluation of the efficacy of various bleaching methods and products. Quintessence Int. 2006, 37, 515–526. [Google Scholar] [CrossRef]
- Kwon, S.R.; Wertz, P.W. Review of the mechanism of toothwhitening. J. Esthet. Restor. Dent. 2015, 27, 240–257. [Google Scholar] [CrossRef] [PubMed]
- de Geus, J.L.; Wambier, L.M.; Kossatz, S.; Loguercio, A.D.; Reis, A. At-home vs in-office bleaching: A Systematic Review and Meta-analysis. Oper. Dent. 2016, 41, 341–356. [Google Scholar] [CrossRef] [PubMed]
- Magno, M.B.; Neves, A.B.; Ferreira, D.M.; Pithon, M.M.; Maia, L.C. The relationship of previous dental trauma with new cases of dental trauma. A systematic review and meta-analysis. Dent. Traumatol. 2019, 35, 3–14. [Google Scholar] [CrossRef] [PubMed]
- Magne, P.; Kwon, K.R.; Belser, U.C.; Hodges, J.S.; Douglas, W.H. Crack propensity of porcelain laminate veneers: A simulated operatory evaluation. J. Prosthet. Dent. 1999, 81, 327–334. [Google Scholar] [CrossRef] [PubMed]
- Pereira, A.G.; Teixeira, D.N.; Soares, M.P.; Gonzaga, R.C.; Fernandes-Neto, A.J.; Soares, P.V. Periodontal and restorative treatment of gingival recession associated with non-carious cervical lesions: Case Study. J. Int. Acad. Periodontol. 2016, 18, 16–22. [Google Scholar] [PubMed]
- Soares, P.V.; Spini, P.H.; Carvalho, V.F.; Souza, P.G.; Gonzaga, R.C.; Tolentino, A.B.; Machado, A.C. Esthetic rehabilitation with laminated ceramic veneers reinforced by lithium disilicate. Quintessence Int. 2014, 45, 129–133. [Google Scholar]
- Selz, C.F.; Vuck, A.; Guess, P.C. Full-mouth rehabilitation with monolithic CAD/CAM-fabricated hybrid and all-ceramic materials: A case report and 3-year follow up. Quintessence Int. 2016, 47, 115–121. [Google Scholar]
- Rauch, A.; Reich, S.; Dalchau, L.; Schierz, O. Clinical survival of chair-side generated monolithic lithium disilicate crowns:10-year results. Clin. Oral. Investig. 2018, 22, 1763–1769. [Google Scholar] [CrossRef]
- McLaren, E.A.; LeSage, B. Feldspathic veneers: What are their indications? Compend. Contin. Educ. Dent. 2011, 32, 44–49. [Google Scholar] [PubMed]
- Sari, T.; Ural, C.; Yüzbasioglu, E.; Duran, I.; Cengiz, S.; Kavut, I. Color match of a feldspathic ceramic CAD-CAM material for ultrathin laminate veneers as a function of substrate shade, restoration color, and thickness. J. Prosthet. Dent. 2018, 119, 455–460. [Google Scholar] [CrossRef] [PubMed]
- Gurel, G.; Sesma, N.; Calamita, M.A.; Coachman, C.; Morimoto, S. Influence of enamel preservation on failure rates of porcelain laminate veneers. Int. J. Periodontics Restor. Dent. 2013, 33, 31–39. [Google Scholar] [CrossRef] [PubMed]
- Lippert, V.; Andrade, J.; Spohr, A.M.; Kunrath, M.F. Complete oral rehabilitation with direct and indirect composite resins: A minimally invasive approach on severely compromised teeth. Quintessence Int. 2022, 53, 2–9. [Google Scholar]
- Nordbø, H.; Rygh-Thoresen, N.; Henaug, T. Clinical performance of porcelain laminate veneers without incisal overlapping: 3-year results. J. Dent. 1994, 22, 342–345. [Google Scholar] [CrossRef]







Disclaimer/Publisher’s Note: The statements, opinions and data contained in all publications are solely those of the individual author(s) and contributor(s) and not of MDPI and/or the editor(s). MDPI and/or the editor(s) disclaim responsibility for any injury to people or property resulting from any ideas, methods, instructions or products referred to in the content. |
© 2023 by the authors. Licensee MDPI, Basel, Switzerland. This article is an open access article distributed under the terms and conditions of the Creative Commons Attribution (CC BY) license (https://creativecommons.org/licenses/by/4.0/).
Share and Cite
Caetano, G.M.; Slomp, C.; Andrade, J.P.; Spohr, A.M.; Kunrath, M.F. Partial Ceramic Veneer Technique for Challenging Esthetic Frontal Restorative Procedures. Dent. J. 2023, 11, 101. https://doi.org/10.3390/dj11040101
Caetano GM, Slomp C, Andrade JP, Spohr AM, Kunrath MF. Partial Ceramic Veneer Technique for Challenging Esthetic Frontal Restorative Procedures. Dentistry Journal. 2023; 11(4):101. https://doi.org/10.3390/dj11040101
Chicago/Turabian StyleCaetano, Gustavo Marotto, Cilea Slomp, Jonas Pereira Andrade, Ana Maria Spohr, and Marcel Ferreira Kunrath. 2023. "Partial Ceramic Veneer Technique for Challenging Esthetic Frontal Restorative Procedures" Dentistry Journal 11, no. 4: 101. https://doi.org/10.3390/dj11040101
APA StyleCaetano, G. M., Slomp, C., Andrade, J. P., Spohr, A. M., & Kunrath, M. F. (2023). Partial Ceramic Veneer Technique for Challenging Esthetic Frontal Restorative Procedures. Dentistry Journal, 11(4), 101. https://doi.org/10.3390/dj11040101

