Orthodontic Treatment of Palatally Impacted Maxillary Canines with the Use of a Digitally Designed and 3D-Printed Metal Device
Abstract
1. Introduction
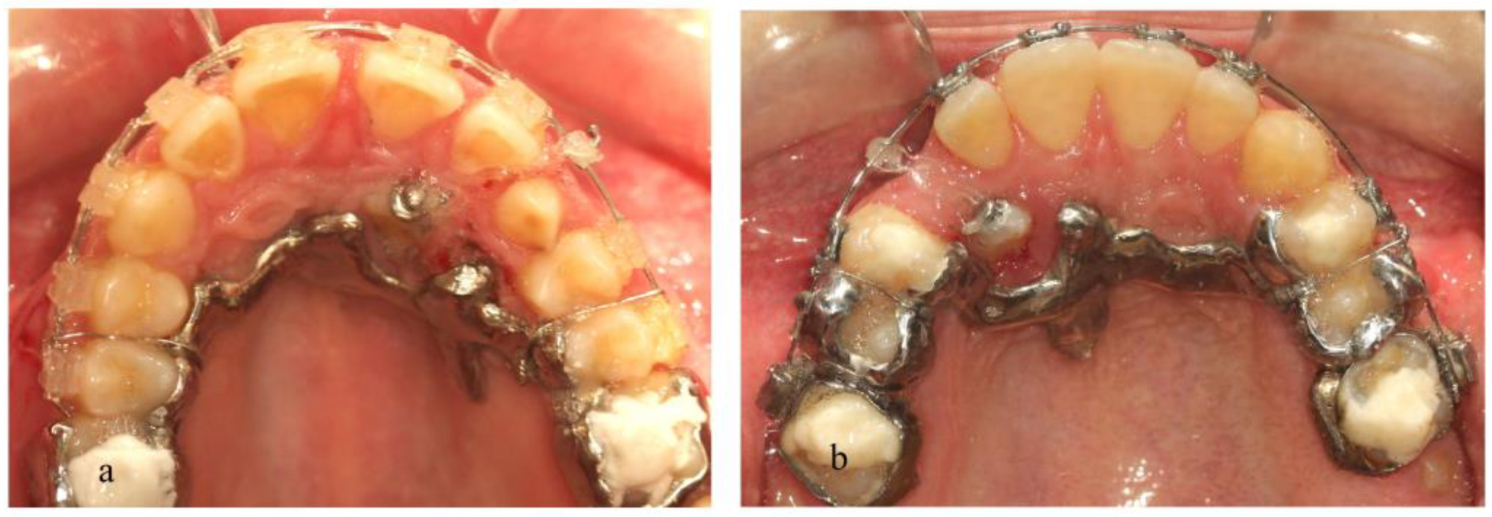
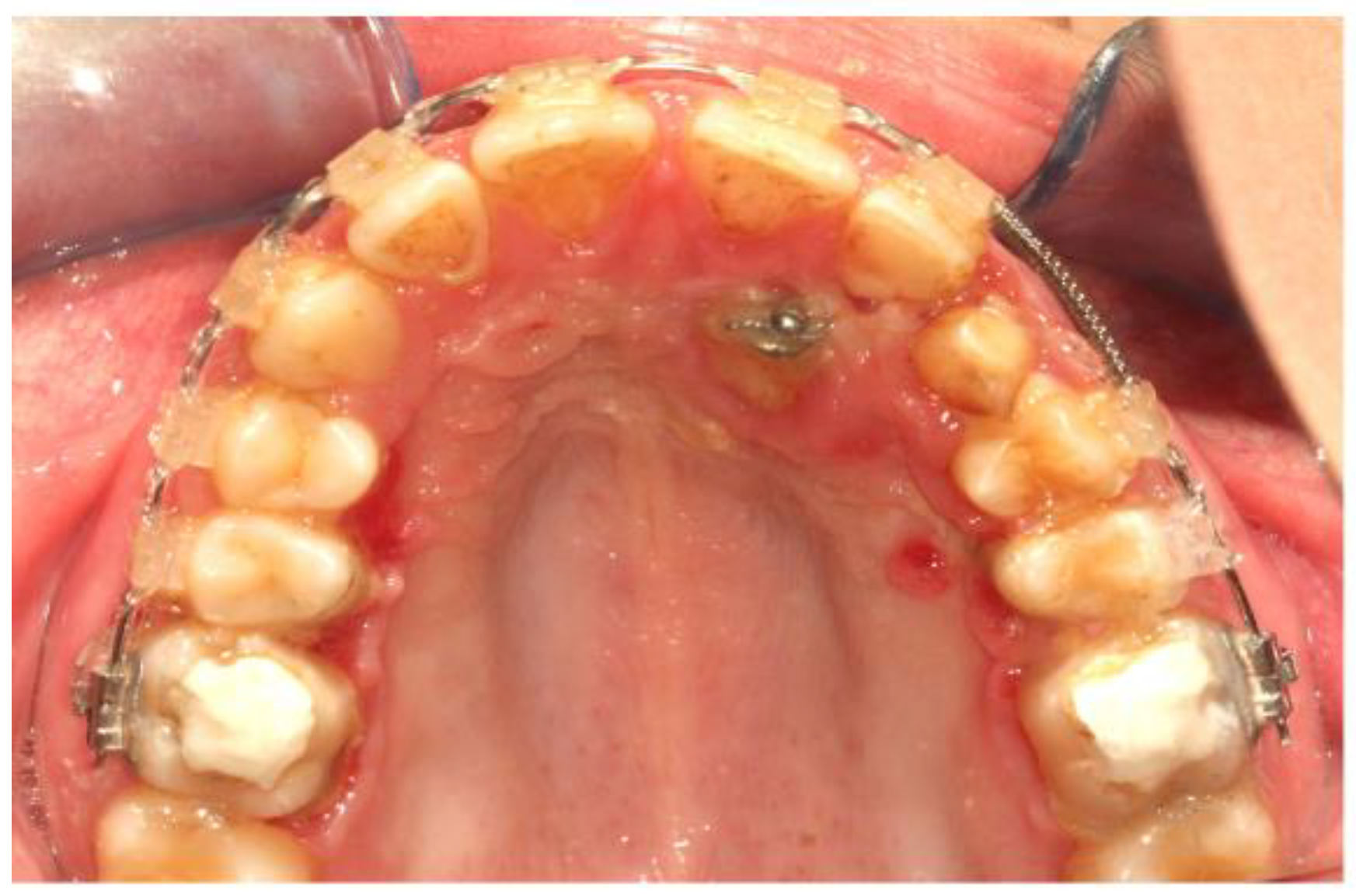
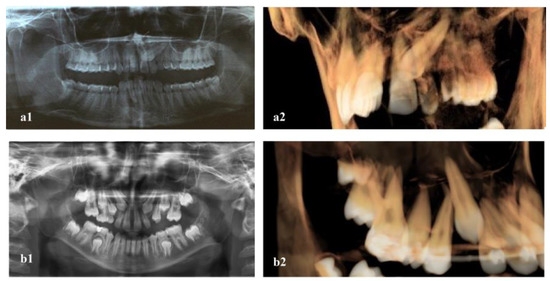
2. Materials and Methods
3. Results
4. Discussion
5. Conclusions
Author Contributions
Funding
Institutional Review Board Statement
Informed Consent Statement
Data Availability Statement
Acknowledgments
Conflicts of Interest
References
- Peck, S.; Peck, L.; Kataja, M. The palatally displaced canine as a dental anomaly of genetic origin. Angle Orthod. 1994, 64, 249–256. [Google Scholar] [PubMed]
- Ericson, S.; Kurol, J. Early treatment of palatally erupting maxillary canines by extraction of the primary canines. Eur. J. Orthod. 1988, 10, 283–295. [Google Scholar] [CrossRef] [PubMed]
- Becker, A.; Chaushu, S. Etiology of maxillary canine impaction: A review. Am J Orthod Dentofacial Orthop. 2015, 148, 557–567. [Google Scholar] [CrossRef] [PubMed]
- Galluccio, G.; Impellizzeri, A.; De Stefano, A.A.; Serritella, E.; Guercio Monaco, E. Multiple Dental Inclusion in Monozygotic Twins with Congenital Visual Impairment. Case Rep. Dent. 2020, 6, 8856206. [Google Scholar] [CrossRef]
- Camilleri, S.; Lewis, C.M.; McDonald, F. Ectopic maxillary canines: Segregation analysis and a twin study. J. Dent. Res. 2008, 87, 580–583. [Google Scholar] [CrossRef]
- Leonardi, R.; Barbato, E.; Vichi, M.; Caltabiano, M. Skeletal anomalies and normal variants in patients with palatally displaced canines. Angle Orthod. 2009, 79, 727–732. [Google Scholar] [CrossRef]
- Pasini, M.; Giuca, M.R.; Ligori, S.; Mummolo, S.; Fiasca, F.; Marzo, G.; Quinzi, V. Association between Anatomical Variations and Maxillary Canine Impaction: A Retrospective Study in Orthodontics. Appl. Sci. 2020, 10, 5638. [Google Scholar] [CrossRef]
- Becker, A.; Zogakis, I.; Luchian, I.; Chaushu, S. Surgical exposure of impacted canines: Open or closed surgery? Semin. Orthod. 2016, 22, 27–33. [Google Scholar] [CrossRef]
- Wisth, P.J.; Norderval, K.; Boe, O.E. Periodontal status of orthodontically treated impacted maxillary canines. Angle Orthod. 1976, 46, 69–76. [Google Scholar]
- Parkin, N.; Benson, P.E.; Thind, B.; Shah, A.; Khalil, I.; Ghafoor, S. Open versus closed surgical exposure of canine teeth that are displaced in the roof of the mouth. Cochrane Database Syst. Rev. 2017, 2017, CD006966. [Google Scholar] [CrossRef]
- Sampaziotis, D.; Ioannis, A. Tsolakis I, Elias Bitsanis E and Tsolakis A. Open versus closed surgical exposure of palatally impacted maxillary canines: Comparison of the different treatment outcomes—A systematic review. Eur. J. Orthod. 2018, 40, 11–22. [Google Scholar] [CrossRef] [PubMed]
- Cassina, C.; Spyridon, N. Papageorgiou SN and Theodore Eliades T. Open versus closed surgical exposure for permanent impacted canines: A systematic review and meta-analyses. Eur. J. Orthod. 2018, 40, 1–10. [Google Scholar] [CrossRef]
- Quinzi, V.; Scibetta, E.T.; Marchetti, E.; Mummolo, S.; Gianni, A.B.; Romano, M.; Beltramini, G.; Marzo, G. Analyze my face. J. Biol. Regul. Homeost. Agents 2018, 32, 149–158. [Google Scholar] [PubMed]
- Walker, L.; Enciso, R.; Mah, J. Three-dimensional localization of maxillary canines with cone-beam computed tomography. Am. J. Orthod. Dentofac. Orthop. 2005, 128, 418–423. [Google Scholar] [CrossRef] [PubMed]
- Alqerban, A.; Jacobs, R.; Fieuws, S.; Willems, G. Comparison of two cone beam computed tomographic systems versus panor amic imaging for localization of impacted maxillary canines and detection of root resorption. Eur. J. Orthod. 2011, 33, 93–102. [Google Scholar] [CrossRef] [PubMed]
- Follin, M.E.; Lindvall, A.M. Detection of lingual root resorptions in the intraoral radiographs. An experimental study. Swed. Dent. J. 2005, 29, 35–42. [Google Scholar]
- Alqerban, A.; Jacobs, R.; Souza, P.C.; Willems, G. In-vitro comparison of 2 cone-beam computed tomography systems and panoramic imaging for detecting simulated canine impaction-induced external root resorption in maxillary lateral incisors. Am J. Orthod. Dentofac. Orthop. 2009, 136, e1–e11. [Google Scholar] [CrossRef]
- Wriedt, S.; Jaklin, J.; Al-Nawas, B.; Wehrbein, H. Impacted upper canines: Examination and treatment proposal based on 3D versus 2D diagnosis. J. Orofac. Orthop. 2012, 73, 28–40. [Google Scholar] [CrossRef]
- Alqerban, A.; Hedesiu, M.; Baciut, M.; Nackaerts, O.; Jacobs, R.; Fieuws, S.; Sedentex CTConsortium GWillems, G. Pre-surgical treatment planning of maxillary canine impactions using panoramic vs cone beam CT imaging. Dentomaxillofacial Radiol. 2013, 42, 20130157. [Google Scholar] [CrossRef]
- Abdelkarim, A. Cone-Beam Computed Tomography in Orthodontics. Dent. J. 2019, 7, 89. [Google Scholar] [CrossRef]
- Jacoby, H. The “ballista spring” system for impacted teeth. Am. J. Orthod. 1979, 75, 143–151. [Google Scholar] [CrossRef]
- Oppenhuizen, G. An extrusion spring for palatally impacted cuspids. J. Clin. Orthod. 2003, 37, 434–436. [Google Scholar] [PubMed]
- Bowman, S.J.; Carano, A. The Kilroy spring for impacted teeth. J. Clin. Orthod. 2003, 37, 683–688. [Google Scholar] [PubMed]
- Sivakumar, A.; Valiathan, A.; Gandhi, S.; Mohandas, A.A. Idiopathic failure of eruption of multiple permanent teeth: Report of 2 adults with a highlight on molecular biology. Am. J. Orthod. Dentofac. Orthop. 2007, 132, 687–692. [Google Scholar] [CrossRef] [PubMed]
- Haydar, S.G.; Uckan, S.; Sesen, C. A method for eruption of impacted teeth. J. Clin. Orthod. 2003, 37, 430–433. [Google Scholar] [PubMed]
- Johnson, E. Retrieval mechanics for impacted teeth. J. World Fed. Orthod. 2012, 1, 139–145. [Google Scholar] [CrossRef]
- Vardimon, A.D.; Graber, T.M.; Drescher, D.; Bourauel, C. Rare earth magnets and impaction. Am. J. Orthod. Dentofac. Orthop. 1991, 100, 494–512. [Google Scholar] [CrossRef]
- Nakandakari, C.; Gonçalves, J.R.; Cassano, D.S.; Raveli, T.B.; Bianchi, J.; Raveli, D.B. Orthodontic Traction of Impacted Canine Using Cantilever. Case Rep. Dent. 2016, 2016, 4386464. [Google Scholar] [CrossRef] [PubMed]
- Han, G.; Huang, S.; Von den Hoff, J.W.; Zeng, X.; Kuijpers-Jagtman, A.M. Root resorption after orthodontic intrusion and extrusion: An intraindividual study. Angle Orthod. 2005, 75, 912–918. [Google Scholar]
- Bishara, S.E. Impacted maxillary canines: A review. Am. J. Orthod. Dentofac. Orthop. 1992, 101, 159–171. [Google Scholar] [CrossRef]
- Yadav, S.; Chen, J.; Upadhyay, M.; Jiang, F.; Roberts, W.E. Comparison of the force systems of 3 appliances on palatally impacted canines. Am. J. Orthod. Dentofac. Orthop. 2011, 139, 206–213. [Google Scholar] [CrossRef] [PubMed]
- Tepedino, M.; Chimenti, C.; Masedu, F.; Potrubaczb, M.L. Predictable method to deliver physiologic force for extrusion of palatally impacted maxillary canines. Am. J. Orthod. Dentofac. Orthop. 2018, 153, 195–203. [Google Scholar] [CrossRef] [PubMed]
- Peng, Y.; Zhen, Z.; Qiu, H.; Li, M.; Xiong, H.; Chen, K. The design and clinical application of a new appliance to treat impacted maxillary central incisors. J. Clin. Pediatr. Dent. 2023, 47, 40–49. [Google Scholar] [PubMed]
- Kapila, S.; Nervina, J.M. 3D Image-aided diagnosis and treatment of impacted and transposed teeth. In Cone Beam Computed Tomography in Orthodontics: Indications, Insights and Innovations; Kapila, S., Ed.; Wiley-Blackwell: Hoboken, NJ, USA, 2014; pp. 349–381. [Google Scholar]
- Jacoby, H. The etiology of maxillary canine impactions. Am. J. Orthod. 1983, 84, 125–132. [Google Scholar] [CrossRef]
- Pellizzeri, A.; Horodynski, M.; De Stefano, A.; Palaia, G.; Polimeni, A.; Romeo, U.; Guercio-Monaco, E.; Galluccio, G. CBCT and Intra-Oral Scanner: The Advantages of 3D Technologies in Orthodontic Treatment. Int. J. Environ. Res. Public Health 2020, 17, 9428. [Google Scholar] [CrossRef]
- Wiranto, M.G.; Engelbrecht, W.P.; Tutein Nolthenius, H.E.; Van der Meer, W.J.; Ren, Y. Validity, reliability, and reproducibility of linear measurements on digital models obtained from intraoral and cone-beam computed tomography scans of alginate impressions. J. Orthod. Dentofac. Orthop. 2013, 143, 140–147. [Google Scholar] [CrossRef] [PubMed]
- Bilinska, M.; Kristensen, K.D.; Dalstra, M. Cantilevers: Multi-Tool in Orthodontic Treatment. Dent. J. 2022, 10, 135. [Google Scholar] [CrossRef]
- Paduano, S.; Spagnuolo, G.; Franzese, G.; Pellegrino, G.; Valletta, R.; Cioffi, I. Use of cantilever mechanics for impacted teeth: Case series. Open Dent. J. 2013, 30, 186–197. [Google Scholar] [CrossRef]
- Yadav, S.; Upadhyay, M.; Uribe, F.; Nanda, R. Mechanics for treatment of impacted and ectopically erupted maxillary canines. J. Clin. Orthod. 2013, 47, 305–313. [Google Scholar]
- Scribante, A.; Beccari, S.; Beccari, G.; Pascadopoli, M.; Gandini, P.; Sfondrini, M.F. Orthodontic repositioning of a lingually Positioned transmigrated mandibular canine. Am. J. Orthod. Dentofac. Orthop. 2023, 163, 272–284. [Google Scholar] [CrossRef]
- Tian, Y.; Chen, C.; Xu, X.; Wang, J.; Hou, X.; Li, K.; Lu, X.; Shi, H.; Lee, E.S.; Jiang, H.B. A Review of 3D Printing in Dentistry: Technologies, Affecting Factors, and Applications. Scanning 2021, 2021, 9950131. [Google Scholar] [CrossRef] [PubMed]
- Lee, H.; Chae, Y.K.; Choi, S.; Jih, M.K.; Lee, J.-W.; Choi, S.C.; Nam, O.H. Feasibility of a 3D Surgical Guide Technique for Impacted Supernumerary Tooth Extraction: A Pilot Study with 3D Printed Simulation Models. Appl. Sci. 2019, 9, 3905. [Google Scholar] [CrossRef]
- Øilo, M.; Nesse, H.; Lundberg, O.J.; Gjerdet, N.R. Mechanical properties of cobalt-chromium 3-unit fixed dental prostheses fabricated by casting, milling, and additive manufacturing. J. Prosthet. Dent. 2018, 120, 156.e1–156.e7. [Google Scholar] [CrossRef] [PubMed]
- Presotto, A.G.C.; Cordeiro, J.M.; Presotto, J.G.C.; Rangel, E.C.; da Cruz, N.C.; Landers, R.; Barão, V.A.R.; Mesquita, M.F. Feasibility of 3D printed Co–Cr alloy for dental prostheses applications. J. Alloy. Compd. 2021, 862, 158171. [Google Scholar] [CrossRef]
- Rosa, E.P.; Murakami-Malaquias-Silva, F.; Schalch, T.O.; Teixeira, D.B.; Horliana, R.F.; Tortamano, A.; Tortamano, I.P.; Buscariolo, I.A.; Longo, P.L.; Negreiros, R.M.; et al. Efficacy of photodynamic therapy and periodontal treatment in patients with gingivitis and fixed orthodontic appliances: Protocol of randomized, controlled, double-blind study. Medicine 2020, 99, e19429. [Google Scholar] [CrossRef]











Disclaimer/Publisher’s Note: The statements, opinions and data contained in all publications are solely those of the individual author(s) and contributor(s) and not of MDPI and/or the editor(s). MDPI and/or the editor(s) disclaim responsibility for any injury to people or property resulting from any ideas, methods, instructions or products referred to in the content. |
© 2023 by the authors. Licensee MDPI, Basel, Switzerland. This article is an open access article distributed under the terms and conditions of the Creative Commons Attribution (CC BY) license (https://creativecommons.org/licenses/by/4.0/).
Share and Cite
Vasoglou, G.; Lyros, I.; Patatou, A.; Vasoglou, M. Orthodontic Treatment of Palatally Impacted Maxillary Canines with the Use of a Digitally Designed and 3D-Printed Metal Device. Dent. J. 2023, 11, 102. https://doi.org/10.3390/dj11040102
Vasoglou G, Lyros I, Patatou A, Vasoglou M. Orthodontic Treatment of Palatally Impacted Maxillary Canines with the Use of a Digitally Designed and 3D-Printed Metal Device. Dentistry Journal. 2023; 11(4):102. https://doi.org/10.3390/dj11040102
Chicago/Turabian StyleVasoglou, Georgios, Ioannis Lyros, Athanasia Patatou, and Michail Vasoglou. 2023. "Orthodontic Treatment of Palatally Impacted Maxillary Canines with the Use of a Digitally Designed and 3D-Printed Metal Device" Dentistry Journal 11, no. 4: 102. https://doi.org/10.3390/dj11040102
APA StyleVasoglou, G., Lyros, I., Patatou, A., & Vasoglou, M. (2023). Orthodontic Treatment of Palatally Impacted Maxillary Canines with the Use of a Digitally Designed and 3D-Printed Metal Device. Dentistry Journal, 11(4), 102. https://doi.org/10.3390/dj11040102

