Next Article in Journal
Goniopolarimetric Properties of Typical Satellite Material Surfaces: Intercomparison with Semi-Empirical pBRDF Modeled Results
Next Article in Special Issue
Evaluation of an Augmented Reality-Based Visual Aid for People with Peripheral Visual Field Loss
Previous Article in Journal
An Adaptive Denoising Method for Photon-Counting LiDAR Point Clouds: Application in Intertidal Zones
 
 
Font Type:
Arial Georgia Verdana
Font Size:
Aa Aa Aa
Line Spacing:
Column Width:
Background:
Article

Ocular Aberrations and Retinal Thickness Variations After Moderate-Term Reading on Electronic Devices by Age

by
María Arcas-Carbonell
1,2,
Elvira Orduna-Hospital
1,2,*,
María Mechó-García
3,
María Munarriz-Escribano
1 and
Ana Sanchez-Cano
1,2,*
1
Department of Applied Physics, University of Zaragoza, 50009 Zaragoza, Spain
2
Aragon Institute for Health Research (IIS Aragon), 50009 Zaragoza, Spain
3
Clinical & Experimental Optometry Research Lab, Center of Physics (Optometry), School of Sciences, University of Minho, 4710-057 Braga, Portugal
*
Authors to whom correspondence should be addressed.
Photonics 2025, 12(1), 16; https://doi.org/10.3390/photonics12010016
Submission received: 22 October 2024 / Revised: 8 December 2024 / Accepted: 25 December 2024 / Published: 27 December 2024

Abstract

Background: This study aims to evaluate subjective visual fatigue and objective optical and morphological changes in ocular structures after intermediate-duration reading on an iPad and an Ebook across different age groups. Methods: The sample included 108 right eyes from healthy subjects aged 18 to 66 years. The participants read for 20 min on an Ebook and another 20 min on an iPad under controlled illumination conditions. Aberrometry and retinal optical coherence tomography (OCT) measurements were taken before and after each reading session. Parameters such as total aberration, high-order aberration (HOA), low-order aberration (LOA), and retinal thickness in the nine Early Treatment Diabetic Retinopathy Study (ETDRS) areas were measured. The sample was analyzed as a whole and divided into five age groups by decade. Results: This study included 66 women (61.11%) and 42 men (38.89%), with an average age of 36.58 years (±14.83). The aberrometry results revealed significant differences in the total root mean square (RMSTOTAL) after reading on both devices (p = 0.001). Low-order aberrations (RMSLOA) also changed significantly (p = 0.001 for Ebook, p = 0.002 for the iPad), but high-order aberrations (RMSHOA) did not. Central retinal thickness increased significantly after reading on the Ebook (p < 0.001) but not on the iPad. The peripheral retinal thickness did not change significantly. Conclusion: Moderate-duration reading increases LOA and central retinal thickness, with variations by age group and more pronounced effects from the Ebook, whereas HOA remains unaffected.

1. Introduction

Accommodation in the human visual system refers to the ability of the eyes to adjust and focus on objects at varying distances quickly, ensuring that the object is sharply focused on the retina [1]. The accommodation triad, which consists of accommodative response, miosis, and convergence [2], is a crucial set of visual functions involved in this process. These elements include adjusting the lens’s radii via the ciliary body and zonules, pupil contraction and dilation through the iris muscles, and the action of extraocular muscles, all of which contribute to accommodation [3]. However, this capacity of the eyeball decreases with age, leading to the development of presbyopia around the age of 45 [4].
One of the most widely used instruments for objectively measuring aberrometric changes in the anterior pole during accommodation is the Hartmann-Shack aberrometer, which is known for its high repeatability in assessing optical aberrations of the human eye [5]. As previously described, this instrument was used to measure both high- and low-order aberrations (HOA and LOA, respectively), as well as Zernike coefficients during the accommodation process [6,7,8,9,10,11,12].
There are two main categories of electronic reading devices: Ebook readers, which mimic printed books, and liquid crystal display (LCD) screens, such as those on iPads or tablets. LCD screens may cause more visual fatigue (VF) or eye strain than paper or electronic ink screens, which can lead to pupil constriction and a reduced blink rate [13]. Despite these drawbacks, a key advantage of these technologies is the ability to customize font type and size, screen brightness, and background color [13].
Several studies have analyzed how factors, such as ambient lighting, contrast, and luminance differences between background and text, affect visual comfort when reading on electronic devices [14,15,16]. Other studies have specifically examined optimal ambient lighting conditions, establishing that a minimum illumination of 200 lux is necessary for a comfortable and enjoyable reading experience [17,18]. Conversely, electronic ink devices, which lack backlighting, require higher ambient lighting (ideally above 700 lux) for effective readability [19]. Recently, optical coherence tomography (OCT) has revealed changes in retinal structure associated with age-related accommodation [20]. These changes may also manifest during moderate-duration reading on various devices, influenced by both lighting conditions and induced accommodation while reading [21].
The literature indicates that reading speed generally increases with age but can be affected by visual discomfort from factors related to aging, such as extended reading periods, poor lighting conditions, or challenging text [22,23]. Therefore, it is important to emphasize reading at an early age to achieve high reading fluency and comprehension [24]. Previous research using eye trackers and aberrometers to assess reading speed and visual discomfort on electronic devices has mainly focused on young subjects during moderate-duration reading [25]. However, there is a notable gap in research on the inclusion of diverse age groups.
Most previous studies on digital reading have focused on young populations and short-term tasks, leaving a gap in the understanding of age-related effects. This study addresses this gap by including participants aged 18 to 66 years and examining both VF and changes in ocular structures, such as aberrations and retinal thickness, providing novel insights into the impact of moderate-duration reading on ocular health. This study hypothesized that age-related differences in accommodative capacity and retinal changes may lead to varied ocular responses, with younger participants showing more transient fluctuations and older individuals experiencing more persistent alterations. By stratifying the analysis across five age groups, this study aims to provide a comprehensive understanding of how digital reading affects ocular health across the lifespan.
Therefore, this study aims to evaluate subjective VF and objective optical and structural changes in the eyes after moderate-duration reading on iPads and Ebook devices. It analyzes aberrometric changes in LOAs, HOAs, Zernike coefficients, and retinal thickness in the ETDRS grid across different age groups. Moreover, the study investigated whether prolonged reading under controlled conditions causes temporary changes in ocular aberrations and retinal thickness. Although the eye is expected to return to its baseline state after accommodation, prolonged reading may result in VF or lingering accommodation, leading to subtle but significant changes in aberrations. These effects could impact long-term visual comfort and ocular health, especially for frequent electronic device users. The study also hypothesized that sustained reading might induce micro-changes in retinal thickness due to prolonged accommodative effort.

2. Materials and Methods

2.1. Sample Description and Selection

The sample included 108 right eyes (REs) from healthy subjects aged 18 to 66 years. The study, conducted at the University of Zaragoza (Spain), was approved by the Clinical Research Ethics Committee of Aragon (CEICA; PI23-479) and followed the principles of the Declaration of Helsinki. All participants received detailed study information and signed informed consent forms.
The inclusion criteria for participants were no binocular dysfunctions, visual acuity (VA) greater than 0.8 decimal in each eye with the best refractive correction, no pathologies affecting vision or media opacification, and no refractive correction with a multifocal intraocular lens (IOL) following cataract or refractive surgery. The participants also needed to avoid the use of electronic devices one hour before measurements, recent coffee consumption, smoking, high-intensity sports, and attend tests with their optical correction for distance vision (DV). Presbyopes were not allowed to use reading glasses, ensuring that VF analysis was consistent within their age group, and achieved maximum accommodative stimulation to obtain the most reliable optical and morphological measurements via aberrometry and OCT.
The 108 participants were categorized into five age groups: Group 1 (G1) aged 18–29 years (n = 50); Group 2 (G2), 30–39 years (n = 16); Group 3 (G3), 40–49 years (n = 16); Group 4 (G4), 50–59 years (n = 16); and Group 5 (G5), 60 and above (n = 10).

2.2. Devices Used, Setup and Lighting

Readings on electronic devices were conducted using an 8th generation iPad (Model A2270, Apple Inc., Cupertino, CA, USA) with a screen size of 250.6 × 174 × 7.5 mm and a resolution of 2160 × 1620 pixels and an Ebook E-ink reader (Model InkPad 3, PocketBook International SA, China, model PB740) with dimensions of 195 × 136.5 × 8 mm and a resolution of 1404 × 1872 pixels. Times New Roman font was used, sized at 9 pixels for the iPad and 10 pixels for the Ebook, adjusted for screen resolution. A VA of approximately 0.8 decimal was achieved on both devices at a reading distance of 50 cm. Both devices were placed in a controlled lighting box with a chinrest and stand for proper positioning (Figure 1A).
The readings were performed under illumination provided by a controlled lighting box. The illumination on the corneal plane and the luminance of the reading device were measured using a luminance meter (Model Mavo-Spot 2, Gossen-Kainos, Barcelona, Spain) and a spectroradiometer (Model StellarNet Black Cornet, StellarNet, Inc., Tampa, FL, USA, calibrated with C20080502 and NIST traceability).
Measurements of irradiance (W/m2) and illuminance (lx) were taken on the corneal plane, and screen luminance (cd/m2) was recorded. The iPad emitted 59.57 cd/m2, whereas the Ebook emitted 58.01 cd/m2. The illuminance at the corneal plane was 257 lx for both devices, and the mean irradiance on the corneal plane was 0.90 W/m2 (Figure 1B).
An IRX3 Hartmann-Shack device (Image Eyes, Orsay, France) was used to assess optical changes objectively after reading on both devices. It emits 780 nm near-IR light onto the retina and uses a microlens matrix with detectors to measure the wavefront direction. The participants observed the Snellen E for refractive error measurement. The device aligns with the pupil, ensuring axial conjugation with a fixed 4 mm pupil on the corneal plane. Each subject underwent three measurements: baseline, post-iPad reading, and post-Ebook reading, with randomized session order and no refractive error correction.
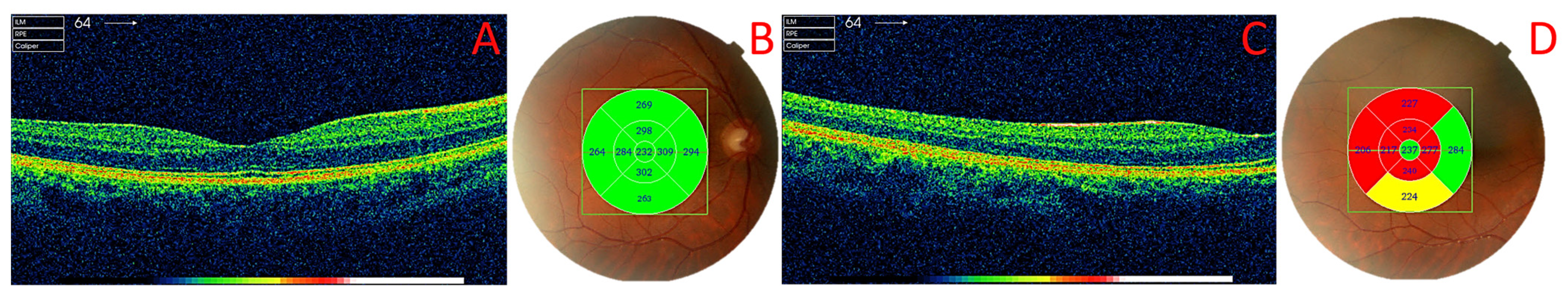
For retinal thickness measurements, a 3D OCT-1000 (Topcon Corporation, Tokyo, Japan) was used. Each subject’s eye was scanned six times to capture retinal images. Baseline measurements were taken with the participant fixating on a central target for central retina evaluation or peripheral retina images, and for REs, fixation was shifted 15° temporally to the right, with participants focusing on the end of the device’s central line (Figure 2).
Three scans of the central retina were taken: one at baseline, one after reading on the iPad, and one after reading on the Ebook. The same procedure was followed for the peripheral retina scans. The macular cube protocol with 128 B-scans was employed to analyze macular thickness in nine ETDRS grid areas: central (1 mm, C), parafoveal (3 mm) with temporal (In_T), superior (In_S), nasal (In_N), and inferior (In_I) regions and perifoveal (6 mm) with temporal (Out_T), superior (Out_S), nasal (Out_N), and inferior (Out_I) regions. The total retinal thickness from the internal limiting membrane (ILM) to Bruch’s membrane (BM) was measured via these subdivisions. Quality control ensures accurate segmentation, with scans of insufficient quality or errors being rejected and repeated.

2.3. Experimental Protocol

Measurements were conducted between 11:00 a.m. and 1:00 p.m. by the same observer to reduce variations in retinal thickness. Aberrometry and OCT scans (central and peripheral) were performed under scotopic lighting conditions, following the prescribed sequence. The participants were instructed to rest their chin and forehead on the chinrest of the devices.
The measurement session lasted approximately 1 h and 10 min. It started with baseline measurements of the RE, including aberrometry and central and peripheral OCT scans. The participant was then positioned 50 cm from either an Ebook or iPad, with the device order varying among participants. They read for 20 min on each device, followed by repeating the baseline tests (aberrometry and OCT) under the same conditions. A 15-min break was taken between readings to ensure that the conditions matched those of the initial tests. The procedure was then repeated using the other device.
Lighting conditions were carefully controlled to ensure uniformity across all participants. Potential confounding variables, such as screen contrast and participant fatigue, were also considered; screen contrast was standardized based on previous studies, and participant fatigue was minimized by randomizing the order of device use and assessing VF through a subjective survey.
Finally, the participants completed a Google Forms questionnaire to gather their subjective experiences before, during, and after reading with each device. The survey covered general and ocular health issues, such as headaches and tearing, and sought feedback on visual quality, comparing the two devices.

2.4. Data Export and Statistical Analysis

The collected data were analyzed via the Statistical Package for the Social Sciences (SPSS) version 24.0 (IBM Corp., Armonk, NY, USA). Descriptive statistics were computed for quantitative variables, including the mean, standard deviation (±SD), maximum, and minimum values. The Kolmogorov–Smirnov test was used to assess the normality of variable distributions, revealing that the sample did not follow a normal distribution. Consequently, nonparametric tests for two related samples, specifically the Wilcoxon signed-rank test, were used to examine differences between variables when the two reading conditions were compared with baseline aberrometry and OCT measurements. A p-value of < 0.05 was considered to indicate statistical significance.

3. Results

One hundred and eight healthy subjects participated in this study, of whom 66 were women (61.11%), and 42 were men (38.89%), with a mean age of 36.58 years (±14.83) (range, 18 to 66 years).

3.1. Aberrometric Measurements of the Root Mean Square (RMS)

The aberrometer values for the baseline measurements and those after each continuous reading session with each device are presented without age division. As shown in Figure 3A, significant differences were found in the total root mean square (RMSTOTAL) between baseline and readings with each device (p = 0.001 for the Ebook and p = 0.002 for the iPad), indicating an increase after reading. The analysis then focused on HOAs and LOAs separately. Significant differences were observed in the RMSLOA (p = 0.001 for both devices), whereas the RMSHOA was not significantly different from the baseline value for either device. Comparing the RMSTOTAL, RMSLOA, and RMSHOA between the Ebook and iPad reading conditions revealed no significant differences (p > 0.05).
A comparison of the spherical equivalent (M) in diopters (D) for all subjects (Figure 3B) revealed significant differences between baseline and continuous reading on both the Ebook (p = 0.026) and the iPad (p = 0.011). However, no significant differences were found between the Ebook and iPad conditions, which is consistent with the RMS findings.
By dividing the sample into five age groups, significant differences in RMSTOTAL were observed between baseline and post-reading with the Ebook in G1 (p = 0.004) and G2 (p = 0.002) and with the iPad in G1 (p = 0.001), G2 (p = 0.001), and G4 (p = 0.024). Differences between the Ebook and iPad readings were noted in G3 (p = 0.049) (Figure 3C).
For the RMSLOA, significant differences were found between baseline and readings after using the Ebook in G1 (p = 0.002) and G2 (p = 0.002) and after using the iPad in G1 (p = 0.007), G2 (p = 0.001), and G4 (p = 0.034). Differences between the Ebook and iPad readings were noted in G3 (p = 0.02). No significant differences were found in the RMSHOA, indicating that the changes were confined to LOA.
A comparison of the M values (Figure 3D) revealed significant differences between the baseline values and the readings on the Ebook in G1 (p = 0.012) and between the baseline values and the readings on the iPad in G2 (p = 0.026). No significant differences were found between the Ebook and iPad (p > 0.05).

3.2. Aberrometric Measurements of the Zernike Coefficients

The Zernike coefficient values, obtained from the aberrometer for baseline measurements and those recorded after reading with both devices, are presented without stratification by age group. Significant differences were observed only in the 2nd-order Zernike polynomial C(2,0). Specifically, differences were noted between the mean baseline measurement (0.588 ± 1.318 µm) and readings from each device: the mean Ebook (0.656 ± 1.321 µm) with p = 0.001 and the mean iPad (0.666 ± 1.293 µm) with p < 0.001. No significant differences were found between the Ebook and iPad readings.
From the 3rd to the 6th-order, no significant differences (p > 0.05) were observed in any of the cases.
Among the five age groups, Figure 4A shows significant differences in the 2nd-order Zernike polynomial C(2,0), with increases observed after reading on the Ebook in G1 (p = 0.001) and G5 (p = 0.028) and after reading on the iPad in G1 (p < 0.001), G2 (p = 0.02), G3 (p = 0.039), and G4 (p = 0.036). C(2,0) increased in all groups except G5, which decreased after reading on the Ebook. No significant differences were found between the Ebook and iPad assessments (p > 0.05). Additionally, no significant differences were detected in C(2,−2) or C(2,2) between the baseline and post-reading measurements (p > 0.05).
Figure 4B presents Zernike polynomials from the 3rd to the 6th-order, showing distinct trends compared with those of the 2nd-order polynomials, partly because of the smaller y-axis scale. Significant differences were found for C(4,−2) (p = 0.044) and C(4,4) (p = 0.008) in G2; C(5,1) (p = 0.034) in G4; C(5,3) (p = 0.014) in G3; and C(5,5) (p = 0.031) in G2, with coefficients generally trending toward positive values after Ebook reading.
Significant differences were also observed for C(4,4) (p = 0.027) and C(6,−4) (p = 0.038) in G2 after reading on the iPad, with similar trends toward positive values. No significant differences were found between the Ebook and iPad readings (p > 0.05).

3.3. OCT Measurements of Central and Peripheral Retinal Thicknesses

The total retinal thickness and volume in the nine ETDRS areas were assessed at baseline and after reading with both the iPad and the Ebook (Figure 5A–C) without dividing the sample. Significant differences were found only in the central area, with an increase in retinal thickness after reading the Ebook (p < 0.001). No significant differences were noted between baseline and post-reading measurements on the iPad or between the iPad and Ebook readings, which is consistent with findings for total volume and average thickness.
The average total retinal thickness values were 270.18 ± 13.84 µm at baseline (233.91–309.42 µm), 270.31 ± 13.77 µm after reading on an iPad (233.33–303.78 µm), and 269.96± 14.52 µm after reading on an Ebook (219.41–305.13 µm). The average total volume values were 7.64 ± 0.39 mm3 at baseline (6.61–8.75 mm3), 7.65 ± 0.39 mm3 after reading on an iPad (6.60–8.59 mm3), and 7.62 ± 0.41 mm3 after reading on an Ebook (6.20–8.63 mm3).
For the peripheral retina of all the subjects, comparisons were performed that were similar to those for the central retina. No significant differences were observed in retinal thickness across any of the 9 ETDRS regions, nor in total retinal volume, or average thickness.
When the sample was stratified by age group, significant differences were noted in the central area. In G1, retinal thickness increased significantly after reading on both the Ebook (p = 0.008) and the iPad (p = 0.036) (Figure 5D). In G2, a significant decrease in retinal thickness was observed in the Out_T area after reading on the Ebook (p = 0.01) (Figure 5D). No significant differences were found in total average thickness or total volume; thus, p-values are not shown (p > 0.05) (Figure 5E,F).
Significant differences were observed in the central peripheral area between the baseline value (226.12 ± 16.40 µm) and after reading on the Ebook (225.88 ± 14.87 µm) in G1, with a p-value of 0.058, indicating a trend toward decreased retinal thickness. In G5, the total average thickness increased from baseline (223.35 ± 6.79 µm) to after reading on the Ebook (228.12 ± 7.65 µm), with a p-value of 0.050. No significant differences were found in total volume; thus, p-values are not reported (p > 0.05).

3.4. Subjective Survey Results

The comparison of visual quality between the two reading devices focused on perceived ocular effort and clarity is represented in Figure 6. The participants rated their ocular effort on a scale from 0 (none) to 5 (a lot) (Figure 6A). They also assessed visual clarity on a scale from 0 (completely clear) to 2 (blurry), with reference images showing different blurriness levels (Figure 6B).
The results revealed that the Ebook was preferred over the iPad, with participants reporting less ocular effort (Figure 6A) and better visual clarity (Figure 6B) while using the Ebook.
Additionally, a more detailed analysis of the survey results revealed that subjects who rated their visual experience with scores of 3 or higher on the scales of blurriness and ocular effort presented differences in the mean age between the devices. For the Ebook, the mean age of these participants was 49.5 years, with a total of 5 subjects, whereas for the iPad, the mean age was 51.9 years, with 9 participants.

4. Discussion

This study investigated the effect of 20 min of reading on an iPad and Ebook on subjective VF and objective optical and morphological changes in ocular structures, specifically in the lens and retina, respectively. Participants aged 18 to 66 read under controlled lighting, and measurements revealed changes, particularly in lLOA, with variations across different ages. These findings provide insights into the influence of digital device use on visual health, emphasizing age-related effects.
The aberrometry results revealed significant differences in RMSTOTAL values, attributed solely to LOAs and not HOAs. This finding is expected because LOAs are associated with refractive errors, which can vary and cause significant differences due to visual accommodation during 20 min of continuous reading. This finding aligns with studies indicating that LOAs change with accommodation [26]. For example, He et al. investigated how the accommodation process affects wavefront aberrations in a crystalline lens, including LOAs [27]. Similarly, He et al. focused on how chromatic aberrations in the eye, including LOAs, change with accommodation [28]. Additionally, Llorente et al. [29] compared optical aberrations in myopic and hyperopic eyes and examined how these aberrations change with accommodation. They also investigated the relationships between M and ametropia across different age groups and reported significant differences at the age of 30 years [29]. In our study, significant differences in M were observed, leading to division into age groups. Significant results were found only in G1 and G2 (18–39 years), where accommodative capacity remained unchanged. These differences between younger and older groups are likely due to age-related decreases in accommodative capacity, with older individuals experiencing reduced flexibility in focusing on near objects, which may limit the eye’s ability to produce significant aberrations.
The variations in LOAs could be due to changes in tear film regularity. The literature suggests that continuous reading can alter tear quality, potentially affecting the study participants’ results [30]. Another study revealed that in participants with varying tear film breakup times, the number of spherical aberrations increased steadily over time [31]. In our case, the participants were instructed to blink frequently, avoiding these types of side effects, and focus exclusively on accommodative variations.
According to the OCT results, no significant differences were detected in any region except in the central area of the ETDRS when baseline measurements were compared with continuous reading using an Ebook device. Although a significant increase in central retinal thickness was observed after reading on the Ebook, no changes were noted after reading on the iPad. This difference may be due to the distinct display technologies used: Ebook with e-ink displays cause less VF than the backlit LCD screens of iPads do, the latter of which may contribute to more visual strain. These findings suggest that the type of screen technology may influence ocular health and that devices with e-ink displays may be better suited for extended reading sessions. Few papers other than the study by Orduna-Hospital et al. [25], which motivated our investigation, have examined retinal behavior during continuous near tasks. No significant changes in average retinal thickness, quadrant thickness, or volume were detected across different devices, regardless of age group, for either the central or peripheral retina. Although previous studies have covered a broad population range, enlarging the sample size in each age group and increasing the digital reading time could yield more consistent results. Notably, total retinal thickness, including that of various layers, decreases with age [32]. The study by A. Leon et al. revealed a significant increase in accommodative lag between the ages of 40 and 60, supporting the findings of age-dependent variations in accommodative capacity [33].
Lighting conditions were controlled in all the experiments. Low screen luminance and ambient light increase eye movements (mainly saccades) and blinks, indicating greater visual discomfort [22,25,34]. The subjective survey revealed greater discomfort when reading on the iPad, which seemed to be brighter, despite both devices having consistent brightness levels. Other studies have reported similar findings [35], and in a previous study by our research group, young people were more comfortable when reading with an Ebook [25].
The widespread use of digital devices for learning, work, and leisure, driven by modern lifestyles, has raised concerns about their impact on general and visual health from early childhood to old age [36,37]. Increased screen time and prolonged digital device use can worsen visual issues or cause new ones, leading to symptoms such as eyestrain and dry eyes and conditions such as convergence insufficiency and myopia progression [38,39,40]. A previous study revealed that exposure to blue light from digital devices affects ocular structures such as the cornea, lens, and retina. This finding led to the recognition of potentially harmful effects while emphasizing the need for more research to establish definitive causal relationships and contextualize the impact of prolonged use of digital devices under real-life exposure conditions [41]. Another study revealed that blue light-blocking filters did not significantly alter muscular activity or visual symptoms during a 30-min reading task in asymptomatic subjects, suggesting that blue light filters are ineffective [42].
Understanding how the visual system reacts to digital environments across different ages is essential for developing targeted interventions to improve visual health. Research on the effects of electronic devices on reading and long-term visual health can help create age-specific strategies for better visual well-being. Future studies should include larger samples, longer reading durations, additional retinal parameters, and broader age ranges to clarify the long-term impact of digital device use on visual health. Addressing these factors is essential for minimizing risks and improving visual comfort in our increasingly digital world. This study focuses on the effects of reading on an Ebook and an iPad, and the findings may not extend to other devices with different screen technologies and usage patterns. Future research should include a wider range of devices to understand their impact on ocular health better.
Practitioners should recommend regular breaks and proper ergonomics to reduce VF, especially in older users. Researchers are also encouraged to investigate other reasons, such as retinal microcirculation and the cumulative effects of various screen technologies on refractive and retinal changes across diverse age groups, to understand the long-term implications of digital reading in depth.

5. Conclusions

Moderate-duration reading on both the iPad and Ebook induces significant changes in LOAs, as evidenced by increased RMSLOA values post-reading, whereas HOAs remain unaffected. Central retinal thickness increases significantly after reading on the Ebook but not on the iPad, suggesting device-specific effects on ocular morphology. No significant differences were observed between devices for overall RMS or M. These findings indicate that although both devices impact VF and ocular parameters, the effects vary by device and are more pronounced in specific age groups.

Author Contributions

Conceptualization, M.A.-C., A.S.-C. and E.O.-H.; methodology, M.A.-C., M.M.-E. and M.M.-G.; software, A.S.-C. and E.O.-H.; validation, M.A.-C., A.S.-C., M.M.-E., M.M.-G. and E.O.-H.; formal analysis, A.S.-C. and E.O.-H.; investigation, M.A.-C., A.S.-C., M.M.-E., M.M.-G. and E.O.-H.; resources, M.A.-C., A.S.-C. and E.O.-H.; data curation, A.S.-C. and E.O.-H.; writing—original draft preparation, M.A.-C., A.S.-C. and E.O.-H.; writing—review and editing, M.A.-C., A.S.-C. and E.O.-H.; visualization, M.A.-C., A.S.-C., M.M.-E., M.M.-G. and E.O.-H.; supervision, A.S.-C. and E.O.-H.; project administration, A.S.-C. and E.O.-H.; funding acquisition, A.S.-C. and E.O.-H. All authors have read and agreed to the published version of the manuscript.

Funding

This research was funded by the European Union’s Horizon 2020 research agreement No. 956720.

Institutional Review Board Statement

This study was conducted in accordance with the Declaration of Helsinki and approved by the Comité de Ética de la Investigación de la Comunidad de Aragón (CEICA) with reference PI23-479.

Informed Consent Statement

Written informed consent was obtained from the subjects to publish this paper.

Data Availability Statement

The data presented in this study are available upon request from the corresponding author.

Conflicts of Interest

The authors declare no conflicts of interest. The funders had no role in the study’s design, data collection, analysis, interpretation, writing manuscript, or decision to publish the results.

References

  1. Glasser, A. Accommodation: Mechanism and Measurement. Ophthalmol. Clin. N. Am. 2006, 19, 1–12. [Google Scholar] [CrossRef] [PubMed]
  2. Shrestha, P.; Kaiti, R. Non-Strabismic Binocular Vision Dysfunction among the Medical Students of a Teaching Hospital: A Descriptive Cross-Sectional Study. JNMA J. Nepal. Med. Assoc. 2022, 60, 693–696. [Google Scholar] [CrossRef] [PubMed]
  3. Benozzi, G.; Leiro, J.; Facal, S.; Perez, C.; Benozzi, J.; Orman, B. Developmental Changes in Accommodation Evidenced by an Ultrabiomicroscopy Procedure in Patients of Different Ages. Med. Hypothesis Discov. Innov. Ophthalmol. 2013, 2, 8–13. [Google Scholar] [PubMed]
  4. Atchison, D.A. Accommodation and Presbyopia. Ophthalmic Physiol. Opt. 1995, 15, 255–272. [Google Scholar] [CrossRef]
  5. Liang, C.-L.; Juo, S.-H.H.; Chang, C.-J. Comparison of Higher-Order Wavefront Aberrations with 3 Aberrometers. J. Cataract. Refract. Surg. 2005, 31, 2153–2156. [Google Scholar] [CrossRef]
  6. Del Águila-Carrasco, A.J.; Kruger, P.B.; Lara, F.; López-Gil, N. Aberrations and Accommodation. Clin. Exp. Optom. 2020, 103, 95–103. [Google Scholar] [CrossRef]
  7. Hartwig, A.; Atchison, D.A. Analysis of Higher-Order Aberrations in a Large Clinical Population. Investig. Ophthalmol. Vis. Sci. 2012, 53, 7862–7870. [Google Scholar] [CrossRef]
  8. López-Gil, N.; Fernández-Sánchez, V.; Legras, R.; Montés-Micó, R.; Lara, F.; Nguyen-Khoa, J.L. Accommodation-Related Changes in Monochromatic Aberrations of the Human Eye as a Function of Age. Investig. Ophthalmol. Vis. Sci. 2008, 49, 1736–1743. [Google Scholar] [CrossRef]
  9. Cheng, H.; Barnett, J.K.; Vilupuru, A.S.; Marsack, J.D.; Kasthurirangan, S.; Applegate, R.A.; Roorda, A. A Population Study on Changes in Wave Aberrations with Accommodation. J. Vis. 2004, 4, 3. [Google Scholar] [CrossRef]
  10. Radhakrishnan, H.; Charman, W.N. Age-Related Changes in Ocular Aberrations with Accommodation. J. Vis. 2007, 7, 11. [Google Scholar] [CrossRef]
  11. Ninomiya, S.; Fujikado, T.; Kuroda, T.; Maeda, N.; Tano, Y.; Oshika, T.; Hirohara, Y.; Mihashi, T. Changes of Ocular Aberration with Accommodation. Am. J. Ophthalmol. 2002, 134, 924–926. [Google Scholar] [CrossRef] [PubMed]
  12. Brunette, I.; Bueno, J.M.; Parent, M.; Hamam, H.; Simonet, P. Monochromatic Aberrations as a Function of Age, from Childhood to Advanced Age. Investig. Ophthalmol. Vis. Sci. 2003, 44, 5438–5446. [Google Scholar] [CrossRef] [PubMed]
  13. Benedetto, S.; Drai-Zerbib, V.; Pedrotti, M.; Tissier, G.; Baccino, T. E-Readers and Visual Fatigue. PLoS ONE 2013, 8, e83676. [Google Scholar] [CrossRef] [PubMed]
  14. Yu, H.; Akita, T.; Koga, T.; Sano, N. Effect of Character Contrast Ratio of Tablet PC and Ambient Device Luminance Ratio on Readability in Low Ambient Illuminance. Displays 2018, 52, 46–54. [Google Scholar] [CrossRef]
  15. Benedetto, S.; Carbone, A.; Drai-Zerbib, V.; Pedrotti, M.; Baccino, T. Effects of Luminance and Illuminance on Visual Fatigue and Arousal during Digital Reading. Comput. Human. Behav. 2014, 41, 112–119. [Google Scholar] [CrossRef]
  16. Na, N.; Suk, H.-J. Adaptive Luminance Contrast for Enhancing Reading Performance and Visual Comfort on Smartphone Displays. Opt. Eng. 2014, 53, 113102. [Google Scholar] [CrossRef]
  17. Kojima, T.; Sano, S.; Ishio, N.; Koizuka, T.; Miyao, M. Verification of the Minimum Illuminance for Comfortable Reading of an E-Paper. In Proceedings of the Universal Access in Human-Computer Interaction. Applications and Services for Quality of Life: 7th International Conference, UAHCI 2013, Held as Part of HCI International 2013, Las Vegas, NV, USA, 21–26 July 2013; Proceedings, Part III 7. Springer: Berlin/Heidelberg, Germany, 2013; pp. 348–355. [Google Scholar]
  18. Galasiu, A.D.; Veitch, J.A. Occupant Preferences and Satisfaction with the Luminous Environment and Control Systems in Daylit Offices: A Literature Review. Energy Build. 2006, 38, 728–742. [Google Scholar] [CrossRef]
  19. Shen, I.-H.; Shieh, K.-K.; Chao, C.-Y.; Lee, D.-S. Lighting, Font Style, and Polarity on Visual Performance and Visual Fatigue with Electronic Paper Displays. Displays 2009, 30, 53–58. [Google Scholar] [CrossRef]
  20. Arcas-Carbonell, M.; Orduna-Hospital, E.; Fernández-Espinosa, G.; Mechó-García, M.; Castro-Torres, J.J.; Sánchez-Cano, A. Anterior Chamber and Retinal Morphological Changes During Accommodation in Different Age Ranges. Curr. Eye Res. 2024, 49, 671–681. [Google Scholar] [CrossRef]
  21. Orduna-Hospital, E.; Ávila, F.J.; Fernández-Espinosa, G.; Sanchez-Cano, A. Lighting-Induced Changes in Central and Peripheral Retinal Thickness and Shape after Short-Term Reading Tasks in Electronic Devices. Photonics 2022, 9, 990. [Google Scholar] [CrossRef]
  22. Orduna-Hospital, E.; Safarian Baloujeh, E.; Navarro, R.; Sanchez-Cano, A. Optical and Motor Changes Associated with Lighting and near Vision Tasks in Electronic Devices. J. Eye Mov. Res. 2023, 16, 1–15. [Google Scholar] [CrossRef] [PubMed]
  23. Tinker, M.A. Time Relations for Eye-Movement Measures in Reading. J. Educ. Psychol. 1947, 38, 1. [Google Scholar] [CrossRef] [PubMed]
  24. Salceda, J.C.R.; Montesinos, M.M.T.; Alonso, G.A. Velocidad Lectora En Alumnado Hispanohablante: Un Metaanálisis. Rev. Psicodidáctica 2020, 25, 158–165. [Google Scholar] [CrossRef]
  25. Orduna-Hospital, E.; Munarriz-Escribano, M.; Sanchez-Cano, A. Visual Quality, Motility Behavior, and Retinal Changes Associated with Reading Tasks Performed on Electronic Devices. Life 2023, 13, 1777. [Google Scholar] [CrossRef]
  26. Unterhorst, H.A.; Rubin, A. Ocular Aberrations and Wavefront Aberrometry: A Review. Afr. Vis. Eye Health 2015, 74, 6. [Google Scholar] [CrossRef]
  27. He, L.; Applegate, R.A. Predicting Crystalline Lens Fall Caused by Accommodation from Changes in Wavefront Error. J. Cataract. Refract. Surg. 2011, 37, 1313–1322. [Google Scholar] [CrossRef][Green Version]
  28. He, J.C.; Burns, S.A.; Marcos, S. Monochromatic Aberrations in the Accommodated Human Eye. Vision Res. 2000, 40, 41–48. [Google Scholar]
  29. Llorente, L.; Barbero, S.; Cano, D.; Dorronsoro, C.; Marcos, S. Myopic versus Hyperopic Eyes: Axial Length, Corneal Shape and Optical Aberrations. J. Vis. 2004, 4, 5. [Google Scholar] [CrossRef]
  30. Karakus, S.; Agrawal, D.; Hindman, H.B.; Henrich, C.; Ramulu, P.Y.; Akpek, E.K. Effects of Prolonged Reading on Dry Eye. Ophthalmology 2018, 125, 1500–1505. [Google Scholar] [CrossRef]
  31. Montés-Micó, R.; Alió, J.L.; Charman, W.N. Dynamic Changes in the Tear Film in Dry Eyes. Investig. Ophthalmol. Vis. Sci. 2005, 46, 1615–1619. [Google Scholar] [CrossRef]
  32. Demirkaya, N.; van Dijk, H.W.; van Schuppen, S.M.; Abràmoff, M.D.; Garvin, M.K.; Sonka, M.; Schlingemann, R.O.; Verbraak, F.D. Effect of Age on Individual Retinal Layer Thickness in Normal Eyes as Measured with Spectral-Domain Optical Coherence Tomography. Investig. Ophthalmol. Vis. Sci. 2013, 54, 4934–4940. [Google Scholar] [CrossRef] [PubMed]
  33. León, A.; Rosenfield, M.; Estrada, J.M.; Medrano, S.M.; Márquez, M.M. Lag of Accommodation Between 5 and 60 Years of Age. Optom. Vis. Perform. 2017, 5, 103–108. [Google Scholar]
  34. Sheppard, A.L.; Wolffsohn, J.S. Digital Eye Strain: Prevalence, Measurement and Amelioration. BMJ Open Ophthalmol. 2018, 3, e000146. [Google Scholar] [CrossRef]
  35. Pinheiro, H.M.; da Costa, R.M. Pupillary Light Reflex as a Diagnostic Aid from Computational Viewpoint: A Systematic Literature Review. J. Biomed. Inform. 2021, 117, 103757. [Google Scholar] [CrossRef] [PubMed]
  36. Garcia-Queiruga, J.; Pena-Verdeal, H.; Sabucedo-Villamarin, B.; Giraldez, M.J.; Garcia-Resua, C.; Yebra-Pimentel, E. Meibomian Gland Secretion Quality Association with Ocular Parameters in University Students during COVID-19 Restrictions. Int. Ophthalmol. 2023, 43, 2349–2362. [Google Scholar] [CrossRef]
  37. Drossard, S.; Härtl, A. Development and Implementation of Digital Peer Mentoring in Small Groups for First-Year Medical Students. GMS J. Med. Educ. 2024, 41, Doc11. [Google Scholar]
  38. AlQarni, A.M.; AlAbdulKader, A.M.; Alghamdi, A.N.; Altayeb, J.; Jabaan, R.; Assaf, L.; Alanazi, R.A. Prevalence of Digital Eye Strain among University Students and Its Association with Virtual Learning during the COVID-19 Pandemic. Clin. Ophthalmol. 2023, 17, 1755–1768. [Google Scholar] [CrossRef]
  39. Oszczędłowski, P.; Raczkiewicz, P.; Więsyk, P.; Brzuszkiewicz, K.; Rapa, M.; Matysik-Woźniak, A.; Zieliński, G.; Onyszkiewicz, M.; Rękas, K.M.; Makosz, I. The Incidence and Severity of Myopia in the Population of Medical Students and Its Dependence on Various Demographic Factors and Vision Hygiene Habits. Int. J. Environ. Res. Public Health 2023, 20, 4699. [Google Scholar] [CrossRef]
  40. Pena-Verdeal, H.; Noya-Padin, V.; Garcia-Queiruga, J.; Nores-Palmas, N.; Giraldez, M.J.; Yebra-Pimentel, E. Temporal Variations in Convergence Insufficiency Symptomatic Status among University Students before and after COVID-19: A Longitudinal Analysis from 2018 to 2023. Life 2024, 14, 800. [Google Scholar] [CrossRef]
  41. Hipólito, V.; Coelho, J.M.P. Blue Light and Eye Damage: A Review on the Impact of Digital Device Emissions. Photonics 2023, 10, 560. [Google Scholar] [CrossRef]
  42. Vera, J.; Redondo, B.; Ortega-Sanchez, A.; Molina-Molina, A.; Molina, R.; Rosenfield, M.; Jiménez, R. Blue-Blocking Filters Do Not Alleviate Signs and Symptoms of Digital Eye Strain. Clin. Exp. Optom. 2023, 106, 85–90. [Google Scholar] [CrossRef]
Figure 1. (A) Elements for the proper conduct of the study. (1) Controlled lighting box. (2) Chinrest. (3) Stand for placing the electronic device. (4) Dispositive of lecture (in this case, the iPad). (B) Normalized spectral irradiance (W/m2) of the ambient light reaching the corneal plane while reading.
Figure 1. (A) Elements for the proper conduct of the study. (1) Controlled lighting box. (2) Chinrest. (3) Stand for placing the electronic device. (4) Dispositive of lecture (in this case, the iPad). (B) Normalized spectral irradiance (W/m2) of the ambient light reaching the corneal plane while reading.
Photonics 12 00016 g001
Figure 2. (A) Tomographic section of the central retina. (B) Fundus image displaying central retinal thickness in the Early Treatment Diabetic Retinopathy Study (ETDRS) grid. (C) Tomographic section of the peripheral retina. (D) Fundus image displaying peripheral retinal thickness in the ETDRS grid. All the images correspond to the right eye of the same subject.
Figure 2. (A) Tomographic section of the central retina. (B) Fundus image displaying central retinal thickness in the Early Treatment Diabetic Retinopathy Study (ETDRS) grid. (C) Tomographic section of the peripheral retina. (D) Fundus image displaying peripheral retinal thickness in the ETDRS grid. All the images correspond to the right eye of the same subject.
Photonics 12 00016 g002
Figure 3. Comparative graphical representation of the root mean square (RMS) in µm (A) and the spherical equivalent (M) in D (B) before and after reading by devices considering all the subjects. Comparative graphical representation of the RMSs in µm (C) and M in D (D) before and after reading by device stratified by age group from G1 to G5. Low-order aberrations (LOAs), high-order aberrations (HOAs), 3rd-order aberrations (RMSs), 4th-order aberrations (RMSs), and 5th-order aberrations (RMSs). The Wilcoxon signed-rank test for two related samples was assessed, and the p-value is depicted above the graphical bars, marked with an asterisk (*), indicating statistically significant differences when p < 0.05. The potential options are illustrated with a solid line when the baseline measurement is compared with the Ebook reading, and a dashed line is generated when the baseline measurement is compared with the iPad.
Figure 3. Comparative graphical representation of the root mean square (RMS) in µm (A) and the spherical equivalent (M) in D (B) before and after reading by devices considering all the subjects. Comparative graphical representation of the RMSs in µm (C) and M in D (D) before and after reading by device stratified by age group from G1 to G5. Low-order aberrations (LOAs), high-order aberrations (HOAs), 3rd-order aberrations (RMSs), 4th-order aberrations (RMSs), and 5th-order aberrations (RMSs). The Wilcoxon signed-rank test for two related samples was assessed, and the p-value is depicted above the graphical bars, marked with an asterisk (*), indicating statistically significant differences when p < 0.05. The potential options are illustrated with a solid line when the baseline measurement is compared with the Ebook reading, and a dashed line is generated when the baseline measurement is compared with the iPad.
Photonics 12 00016 g003
Figure 4. Comparative graphical representation of the Zernike polynomial values of 2nd-order (A), 3rd, 4th, 5th, and 6th-order (B) polynomials before and after reading, using the two devices employed for this purpose, considering differentiated by age groups from G1 to G5. The Wilcoxon signed-rank test for two related samples was assessed, and the p-value is depicted above the graphical bars, marked with an asterisk (*), indicating statistically significant differences when p < 0.05. The potential options are illustrated with a solid line when the baseline measurement is compared with the Ebook reading. The dashed line compares the baseline with the iPad, and the dotted line compares the Ebook with the iPad.
Figure 4. Comparative graphical representation of the Zernike polynomial values of 2nd-order (A), 3rd, 4th, 5th, and 6th-order (B) polynomials before and after reading, using the two devices employed for this purpose, considering differentiated by age groups from G1 to G5. The Wilcoxon signed-rank test for two related samples was assessed, and the p-value is depicted above the graphical bars, marked with an asterisk (*), indicating statistically significant differences when p < 0.05. The potential options are illustrated with a solid line when the baseline measurement is compared with the Ebook reading. The dashed line compares the baseline with the iPad, and the dotted line compares the Ebook with the iPad.
Photonics 12 00016 g004
Figure 5. Comparison between baseline measurements and measurements taken after continuous reading on the iPad and Ebook (A) in each of the 9 Early Treatment Diabetic Retinopathy Study (ETDRS) areas, the total volume (B) and the average total thickness (C) of the central retina of all subjects. Comparison between baseline measurements and measurements taken after continuous reading on the iPad and Ebook (D) in each of the 9 ETDRS areas, the average total thickness (E) and the total volume (F) of the central retina when differentiated by age groups from G1 to G5. The Wilcoxon signed-rank test for two related samples was assessed, and the p-value is depicted above the graphical bars, marked with an asterisk (*), indicating statistically significant differences when p < 0.05. The potential options are illustrated with a solid line when the baseline measurement is compared with the Ebook reading. The dashed line compares the baseline with the iPad, and the dotted line compares the Ebook with the iPad.
Figure 5. Comparison between baseline measurements and measurements taken after continuous reading on the iPad and Ebook (A) in each of the 9 Early Treatment Diabetic Retinopathy Study (ETDRS) areas, the total volume (B) and the average total thickness (C) of the central retina of all subjects. Comparison between baseline measurements and measurements taken after continuous reading on the iPad and Ebook (D) in each of the 9 ETDRS areas, the average total thickness (E) and the total volume (F) of the central retina when differentiated by age groups from G1 to G5. The Wilcoxon signed-rank test for two related samples was assessed, and the p-value is depicted above the graphical bars, marked with an asterisk (*), indicating statistically significant differences when p < 0.05. The potential options are illustrated with a solid line when the baseline measurement is compared with the Ebook reading. The dashed line compares the baseline with the iPad, and the dotted line compares the Ebook with the iPad.
Photonics 12 00016 g005
Figure 6. (A) The comparison of image quality between the two reading situations, iPad and Ebook, depending on the subjectively perceived effort stated by participants, where 0 represents “none”, and 5 represents “a lot”. The orange bars indicate the number of subjects for each answer choice after reading onthe Ebook, along with the linear trend line for these data in the same color. The blue bars represent the corresponding results for the iPad device. (B) The comparison of visual quality between the two reading conditions, iPad and Ebook, based on the clarity perceived by the participants while reading, where 0 represents “clear”, 1 represents “slightly blurry”, and 2 represents “blurry”. The orange pie portions indicate the number of subjects selecting each response option after reading onthe Ebook, whereas the blue pie segments show the corresponding results for the iPad, as indicated in the legend.
Figure 6. (A) The comparison of image quality between the two reading situations, iPad and Ebook, depending on the subjectively perceived effort stated by participants, where 0 represents “none”, and 5 represents “a lot”. The orange bars indicate the number of subjects for each answer choice after reading onthe Ebook, along with the linear trend line for these data in the same color. The blue bars represent the corresponding results for the iPad device. (B) The comparison of visual quality between the two reading conditions, iPad and Ebook, based on the clarity perceived by the participants while reading, where 0 represents “clear”, 1 represents “slightly blurry”, and 2 represents “blurry”. The orange pie portions indicate the number of subjects selecting each response option after reading onthe Ebook, whereas the blue pie segments show the corresponding results for the iPad, as indicated in the legend.
Photonics 12 00016 g006
Disclaimer/Publisher’s Note: The statements, opinions and data contained in all publications are solely those of the individual author(s) and contributor(s) and not of MDPI and/or the editor(s). MDPI and/or the editor(s) disclaim responsibility for any injury to people or property resulting from any ideas, methods, instructions or products referred to in the content.

Share and Cite

MDPI and ACS Style

Arcas-Carbonell, M.; Orduna-Hospital, E.; Mechó-García, M.; Munarriz-Escribano, M.; Sanchez-Cano, A. Ocular Aberrations and Retinal Thickness Variations After Moderate-Term Reading on Electronic Devices by Age. Photonics 2025, 12, 16. https://doi.org/10.3390/photonics12010016

AMA Style

Arcas-Carbonell M, Orduna-Hospital E, Mechó-García M, Munarriz-Escribano M, Sanchez-Cano A. Ocular Aberrations and Retinal Thickness Variations After Moderate-Term Reading on Electronic Devices by Age. Photonics. 2025; 12(1):16. https://doi.org/10.3390/photonics12010016

Chicago/Turabian Style

Arcas-Carbonell, María, Elvira Orduna-Hospital, María Mechó-García, María Munarriz-Escribano, and Ana Sanchez-Cano. 2025. "Ocular Aberrations and Retinal Thickness Variations After Moderate-Term Reading on Electronic Devices by Age" Photonics 12, no. 1: 16. https://doi.org/10.3390/photonics12010016

APA Style

Arcas-Carbonell, M., Orduna-Hospital, E., Mechó-García, M., Munarriz-Escribano, M., & Sanchez-Cano, A. (2025). Ocular Aberrations and Retinal Thickness Variations After Moderate-Term Reading on Electronic Devices by Age. Photonics, 12(1), 16. https://doi.org/10.3390/photonics12010016

Note that from the first issue of 2016, this journal uses article numbers instead of page numbers. See further details here.

Article Metrics

Back to TopTop