Recurrence of a Cellular Blue Nevus with Satellitosis—A Diagnostic Pitfall with Clinical Consequences
Abstract
1. Introduction
2. Materials and Methods
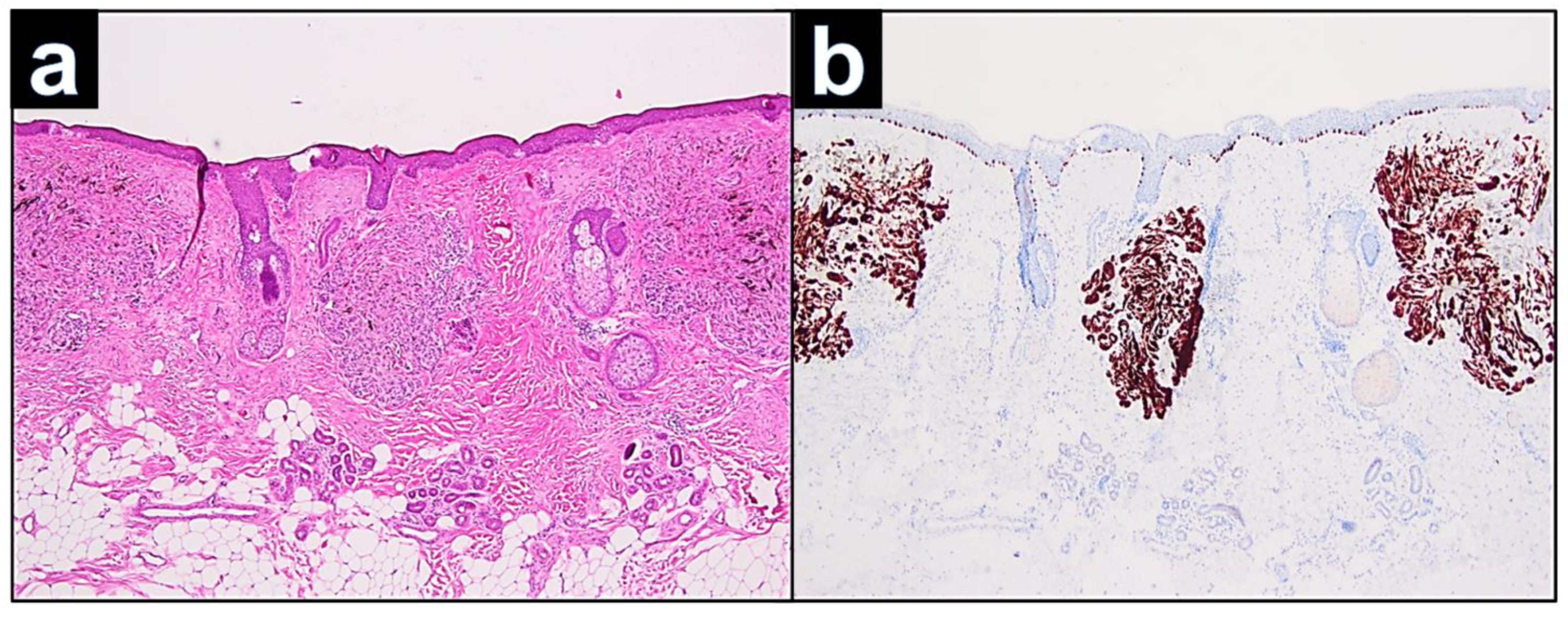
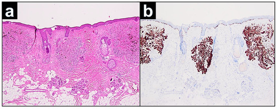
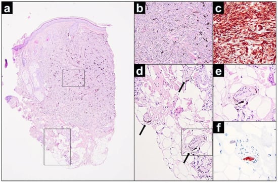
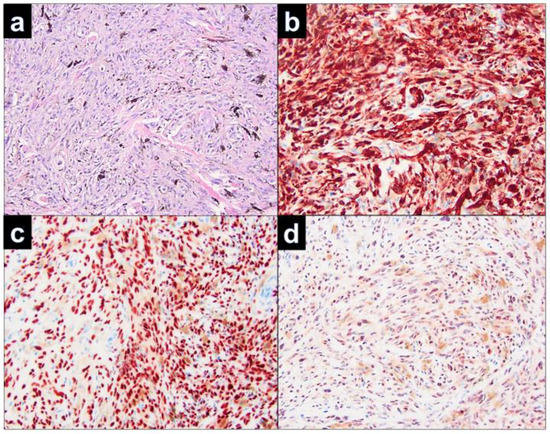
3. Results
4. Discussion
Author Contributions
Funding
Institutional Review Board Statement
Informed Consent Statement
Data Availability Statement
Conflicts of Interest
References
- Kang, D.; Chung, K.-Y. Common blue naevus with satellite lesions: Possible perivascular dissemination resulting in a clinical resemblance to malignant melanoma. Br. J. Dermatol. 1999, 141, 922–925. [Google Scholar] [CrossRef] [PubMed]
- del Río, E.; Vázquez Veiga, H.A.; Suárez Peñaranda, J.M. Blue nevus with satellitosis mimicking malignant melanoma. Cutis 2000, 65, 301–302. [Google Scholar] [PubMed]
- Sahin, M.; Demir, M.; Yoleri, L.; Can, M.; Ozturkcan, S. Blue naevus with satellitosis mimicking malignant melanoma. J. Eur. Acad. Dermatol. Venereol. 2001, 15, 570–573. [Google Scholar] [CrossRef] [PubMed]
- Pina, S.; Grenzi, L.; Albertini, G. Cellular Blue Nevus with Satellitosis: A Possible Diagnostic Pitfall. Am. J. Dermatopathol. 2009, 31, 401–402. [Google Scholar] [CrossRef]
- Knopp, E.; Diette, K.; Ko, C.; Lazova, R. Multiple Blue Macules and Papules on the Scalp—Quiz Case. Arch. Dermatol. 2009, 145, 1183–1188. [Google Scholar] [CrossRef]
- Lourari, S.; Lamant, L.; Viraben, R.; Paul, C.; Meyer, N. Photoletter to the editor: Blue nevus with satellitosis mimicking melanoma. Contribution of dermoscopy and reflectance confocal microscopy. J. Dermatol. Case Rep. 2012, 6, 54–56. [Google Scholar] [CrossRef][Green Version]
- Yonei, N.; Kimura, A.; Furukawa, F. Common Blue Nevus with Satellite Lesions Needs aDifferential Diagnosis from Malignant Melanoma. Case Rep. Dermatol. 2013, 5, 244–247. [Google Scholar] [CrossRef]
- Oliveira, A.H.K.; Sotero, P.D.C.; Shiraishi, A.F.D.M.C.; Stelini, R.F.; Kadunc, B.V.; Mendes, C. Blue nevus with satellitosis: Case report and literature review. An. Bras. Dermatol. 2017, 92 (Suppl. S1), 30–33. [Google Scholar] [CrossRef]
- Sardoy, A.; Bidabehere, M.; Gubiani, M.; Pinardi, B. Blue Nevus with Satellite Lesions Mimicking Malignant Melanoma. Actas Dermosifiliogr. 2018, 109, 377–378. [Google Scholar] [CrossRef]
- Matsuki, Y.; Uetake, Y.; Yamashita, H.; Yokoyama, M.; Suyama, T.; Katagiri, K.; Ono, Y.; Ito, K. Case of a cellular blue nevus with multiple satellite lesions showing radial blue-white lesion: Unique dermoscopy-histopathology correlation in blue nevus with satellitosis [published online ahead of print, 2022 May 16]. J. Dermatol. 2022, 49, e386–e388. [Google Scholar] [CrossRef]
- Harvell, J.D.; White, W.L. Persistent and Recurrent Blue Nevi. Am. J. Dermatopathol. 1999, 21, 506–517. [Google Scholar] [CrossRef] [PubMed]
- Kelly, J.; Shen, S.; Pan, Y.; Dowling, J.; McLean, C. Postexcisional melanocytic regrowth extending beyond the initial scar: A novel clinical sign of melanoma. Br. J. Dermatol. 2014, 170, 961–964. [Google Scholar] [CrossRef] [PubMed]
- Tieche, M. Über benigne Melanome (“Chromatophorome”) der Haut-“blaue Naevi”. Virchows Arch. F. Path. Anat. 1906, 186, 212–229. [Google Scholar]
- Brambullo, T.; Toninello, P.; Sonda, R.; Salmaso, R.; Sacchi, D.; Piaserico, S.; Bassetto, F. A Misdiagnosed Desmoplastic Neurotropic Melanoma of the Scalp: A Challenging Case for the Pathologist and Surgeon. Acta Dermatovenerol Croat. 2021, 29, 154–158. [Google Scholar]
- Lee, C.H.; Min, H.S.; Park, E.S.; Song, K.Y. A Case of Epithelioid Blue Nevus. Korean J. Pathol. 2014, 48, 434–437. [Google Scholar] [CrossRef]
- Murali, R.; McCarthy, S.W.; Scolyer, R.A. Blue nevi and related lesions: A review highlighting atypical and newly described variants, distinguishing features and diagnostic pitfalls. Adv. Anat. Pathol. 2009, 16, 365–382. [Google Scholar] [CrossRef]
- Andrei, R.; Zurac, S.; Socoliu, C.; Mandisodza, P.; Stăniceanu, F. Problems of Differential Diagnosis in Melanoma Arising from Blue Naevus. Romanian J. Intern. Med. 2015, 53, 95–101. [Google Scholar] [CrossRef][Green Version]
- Cazzato, G.; Arezzo, F.; Colagrande, A.; Cimmino, A.; Lettini, T.; Sablone, S.; Resta, L.; Ingravallo, G. “Animal-Type Melanoma/Pigmented Epithelioid Melanocytoma”: History and Features of a Controversial Entity. Dermatopathology 2021, 8, 33. [Google Scholar] [CrossRef]
- Gershenwald, J.E.; Scolyer, R.A.; Hess, K.R.; Sondak, V.K.; Long, G.V.; Ross, M.I.; Lazar, A.J.; Faries, M.B.; Kirkwood, J.M.; McArthur, G.A.; et al. Melanoma staging: Evidence-based changes in the American Joint Committee on Cancer eighth edition cancer staging manual. CA Cancer J. Clin. 2017, 67, 472–492. [Google Scholar] [CrossRef] [PubMed]
- Paolino, G.; Didona, D.; Lopez, T.; Alesini, F.; Cantisani, C.; Richetta, A.G.; Soda, G.; Calvieri, S. Agminated Blue Nevus: Two Case Reports and a Mini-review of the Literature. Acta Dermatovenerol. Croat. 2016, 24, 37–41. [Google Scholar]
- Lisboa, A.P.; Silvestre, K.J.; Pedreira, R.L.; Alves, N.R.D.M.; Obadia, D.L.; Azulay-Abulafia, L. Agminated blue nevus-Case report. An. Bras. Dermatol. 2016, 91, 658–660. [Google Scholar] [CrossRef] [PubMed]
- Misago, N. The relationship between melanocytes and peripheral nerve sheath cells (Part II): Blue nevus with peripheral nerve sheath differentiation. Am. J. Dermatopathol. 2000, 22, 230–236. [Google Scholar] [CrossRef] [PubMed]




| Case (Reference) | Histological Diagnosis | Year of Report | Age | Sex | Localization | Size | Initial Clinical Diagnosis |
|---|---|---|---|---|---|---|---|
| 1 [1] | Common blue nevus with satellitosis | 1999 | 31 | Female | Forearm | 8 mm | Malignant melanoma with peripheral spread |
| 2 [2] | Benign blue nevus with satellitosis | 2000 | 66 | Male | Scalp | 18 mm | Malignant melanoma; common blue nevus |
| 3 [3] | Benign blue nevus with satellitosis | 2001 | 70 | Male | Scalp | 8 mm | Malignant melanoma; malignant blue nevus |
| 4 [4] | Common blue nevus with satellitosis | 2009 | 33 | Female | Scalp | 10 mm | Malignant melanoma; |
| 5 [5] | Cellular blue nevus with satellitosis | 2009 | 71 | Female | Scalp | 6 mm | Malignant melanoma with metastasis |
| 6 [6] | Benign blue nevus with satellitosis | 2012 | 70 | Male | Scalp | 8 mm | Not mentioned |
| 7 [7] | Common blue nevus with satellitosis | 2013 | 24 | Male | Scalp | 10 mm | Malignant melanoma; common blue nevus |
| 8 [8] | Common blue nevus with satellitosis | 2017 | 15 | Female | Forearm | 8 mm | melanoma |
| 9 [9] | Common blue nevus with satellitosis | 2018 | 57 | Male | Forehead | 16 mm | melanoma |
| 10 [10] | Cellular blue nevus with satellitosis | 2022 | 25 | Male | Chest | 22 mm | Malignant blue nevus |
| 11 | Recurrent cellular blue nevus with satellitosis | Present case | 64 | Female | Forehead | 10 mm | Malignant melanoma with satellite metastases |
Publisher’s Note: MDPI stays neutral with regard to jurisdictional claims in published maps and institutional affiliations. |
© 2022 by the authors. Licensee MDPI, Basel, Switzerland. This article is an open access article distributed under the terms and conditions of the Creative Commons Attribution (CC BY) license (https://creativecommons.org/licenses/by/4.0/).
Share and Cite
Kneitz, H.; Rose, C.; Glutsch, V.; Goebeler, M. Recurrence of a Cellular Blue Nevus with Satellitosis—A Diagnostic Pitfall with Clinical Consequences. Dermatopathology 2022, 9, 361-367. https://doi.org/10.3390/dermatopathology9040042
Kneitz H, Rose C, Glutsch V, Goebeler M. Recurrence of a Cellular Blue Nevus with Satellitosis—A Diagnostic Pitfall with Clinical Consequences. Dermatopathology. 2022; 9(4):361-367. https://doi.org/10.3390/dermatopathology9040042
Chicago/Turabian StyleKneitz, Hermann, Christian Rose, Valerie Glutsch, and Matthias Goebeler. 2022. "Recurrence of a Cellular Blue Nevus with Satellitosis—A Diagnostic Pitfall with Clinical Consequences" Dermatopathology 9, no. 4: 361-367. https://doi.org/10.3390/dermatopathology9040042
APA StyleKneitz, H., Rose, C., Glutsch, V., & Goebeler, M. (2022). Recurrence of a Cellular Blue Nevus with Satellitosis—A Diagnostic Pitfall with Clinical Consequences. Dermatopathology, 9(4), 361-367. https://doi.org/10.3390/dermatopathology9040042

