A Scoping Review on Melasma Treatments and Their Histopathologic Correlates
Abstract
1. Introduction
2. Materials and Methods
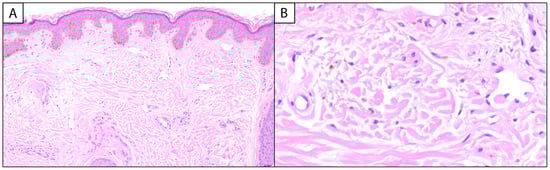
3. Results
3.1. Demographic Data of the Studies
3.2. Topical Treatments of Melasma
3.3. Laser Treatments of Melasma
3.4. Microneedling, Injections, and Chemical Peel Treatments of Melasma
3.5. Oral Agent Treatments of Melasma
4. Discussion
5. Conclusions
Author Contributions
Funding
Conflicts of Interest
Abbreviations
| FST | Fitzpatrick skin type |
| UV | Ultraviolet |
| MASI | Melasma Severity Index |
| mMASI | Modified Melasma Area and Severity Index |
| MELASQoL | Melasma Quality of Life scale |
| RCM | In vivo reflectance confocal microscopy |
| Nd:YAG | Neodymium-doped yttrium aluminum garnet |
| PIH | Post-inflammatory hyperpigmentation |
References
- Kwon, S.H.; Park, K.C. Melasma and common pigmentary dermatoses in Asian individuals and an overview of their treatment. J. Clin. Investig. Dermatol. 2014, 2, e8. [Google Scholar]
- Handel, A.C.; Miot, L.D.; Miot, H.A. Melasma: A clinical and epidemiological review. An. Bras. Dermatol. 2014, 89, 771–782. [Google Scholar] [CrossRef] [PubMed]
- Pathak, M.A.; Riley, F.C.; Fitzpatrick, T.B. Melanogenesis in human skin following exposure to long-wave ultraviolet and visible light. J. Investig. Dermatol. 1962, 39, 435–443. [Google Scholar] [CrossRef]
- Ortonne, J.P.; Arellano, I.; Berneburg, M.; Cestari, T.; Chan, H.; Grimes, P.; Hexsel, D.; Im, S.; Lim, J.; Lui, H.; et al. A global survey of the role of ultraviolet radiation and hormonal influences in the development of melasma. J. Eur. Acad. Dermatol. Venereol. 2009, 23, 1254–1262. [Google Scholar] [CrossRef]
- Zheng, H.; Pei, Q.; Yao, M. Understanding Melasma: From pathogenesis to innovative treatments. Dermatol. Ther. 2024, 2024, 2206130. [Google Scholar] [CrossRef]
- Phansuk, K.; Vachiramon, V.; Jurairattanaporn, N.; Chanprapaph, K.; Rattananukrom, T. Dermal Pathology in Melasma: An Update Review. Clin. Cosmet. Investig. Dermatol. 2022, 15, 11–19. [Google Scholar] [CrossRef] [PubMed] [PubMed Central]
- de Tamega, A.A.; Miot, L.D.B.; Bonfietti, C.; Gige, T.C.; Marques, M.E.A.; Miot, H.A. Clinical patterns and epidemiological characteristics of Facial Melasma in Brazilian women. J. Eur. Acad. Dermatol. Venereol. 2012, 27, 151–156. [Google Scholar] [CrossRef]
- Honigman, A.; Rodrigues, M. Differential diagnosis of melasma and hyperpigmentation. Dermatol. Rev. 2023, 4, 30–37. [Google Scholar] [CrossRef]
- Kang, H.Y.; Ortonne, J.P. What should be considered in treatment of melasma. Ann. Dermatol. 2010, 22, 373–378. [Google Scholar] [CrossRef] [PubMed] [PubMed Central]
- Shin, J.H.; Kang, W.H. Two cases of melasma with unusual histopathologic findings. J. Korean Med. Sci. 2006, 21, 368–370. [Google Scholar] [CrossRef] [PubMed] [PubMed Central]
- Na, J.I.; Choi, S.Y.; Yang, S.H.; Choi, H.R.; Kang, H.Y.; Park, K.C. Effect of tranexamic acid on melasma: A clinical trial with histological evaluation. J. Eur. Acad. Dermatol. Venereol. 2013, 27, 1035–1039. [Google Scholar] [CrossRef] [PubMed]
- Kwon, S.H.; Hwang, Y.J.; Lee, S.K.; Park, K.C. Heterogeneous Pathology of Melasma and Its Clinical Implications. Int. J. Mol. Sci. 2016, 17, 824. [Google Scholar] [CrossRef] [PubMed] [PubMed Central]
- Lawrence, E.; Syed, H.A.; Al Aboud, K.M. Postinflammatory Hyperpigmentation. In StatPearls [Internet]; StatPearls Publishing: Treasure Island, FL, USA, 2025. Available online: https://www.ncbi.nlm.nih.gov/books/NBK559150/ (accessed on 20 December 2024).
- Praetorius, C.; Sturm, R.A.; Steingrimsson, E. Sun-induced freckling: Ephelides and solar lentigines. Pigment Cell Melanoma Res. 2014, 27, 339–350. [Google Scholar] [CrossRef] [PubMed]
- Navya, A.; Pai, V. Comparison of Dermoscope and Woods Lamp as A Tool to Study Melanin Depth in Melasma. Indian Dermatol. Online J. 2022, 13, 366–369. [Google Scholar] [CrossRef] [PubMed] [PubMed Central]
- Gilchrest, B.A.; Fitzpatrick, T.B.; Anderson, R.R.; Parrish, J.A. Localization of melanin pigmentation in the skin with Wood’s lamp. Br. J. Dermatol. 1977, 96, 245–248. [Google Scholar] [CrossRef]
- Chuah, S.Y.; Thng, T.G.S. Diagnosis of Melasma in Brown Skin: Wood’s Lamp, Dermoscopy, and Confocal Microscopy. In Melasma and Vitiligo in Brown Skin; Handog, E., Enriquez-Macarayo, M., Eds.; Springer: New Delhi, India, 2017. [Google Scholar] [CrossRef]
- Sarkar, R.; Bansal, A.; Gold, M. Evolution of Pathogenesis and Trends in the Treatment of Melasma in Last Two Decades. J. Cosmet. Dermatol. 2025, 24, e16758. [Google Scholar] [CrossRef]
- Kimbrough-Green, C.K.; Griffiths, C.E.M.; Finkel, L.J.; Hamilton, T.A.; Bulengo-Ransby, S.M.; Ellis, C.N.; Voorhees, J.J. Topical retinoic acid (tretinoin) for melasma in black patients. A vehicle-controlled clinical trial. Arch. Dermatol. 1994, 130, 727–733. [Google Scholar] [CrossRef]
- Majid, I.; Haq, I.; Imran, S.; Keen, A.; Aziz, K.; Arif, T. Proposing Melasma Severity Index: A New, More Practical, Office-based Scoring System for Assessing the Severity of Melasma. Indian J. Dermatol. 2016, 61, 39–44. [Google Scholar] [CrossRef]
- Balkrishnan, R.; Mcmichael, A.; Camacho, F.; Saltzberg, F.; Housman, T.; Grummer, S.; Feldman, S.; Chren, M.-M. Development and validation of a health-related quality of life instrument for women with melasma. Br. J. Dermatol. 2003, 149, 572–577. [Google Scholar] [CrossRef]
- Page, M.J.; McKenzie, J.E.; Bossuyt, P.M.; Boutron, I.; Hoffmann, T.C.; Mulrow, C.D.; Shamseer, L.; Tetzlaff, J.M.; Akl, E.A.; Brennan, S.E.; et al. The PRISMA 2020 statement: An updated guideline for reporting systematic reviews. BMJ 2021, 372, n71. [Google Scholar] [CrossRef]
- Rajaratnam, R.; Halpern, J.; Salim, A.; Emmett, C. Interventions for melasma. Cochrane Database Syst. Rev. 2010, CD003583. [Google Scholar] [CrossRef] [PubMed]
- Kang, W.H.; Chun, S.C.; Lee, S. Intermittent therapy for melasma in Asian patients with combined topical agents (retinoic acid, hydroquinone and hydrocortisone): Clinical and histological studies. J. Dermatol. 1998, 25, 587–596. [Google Scholar] [CrossRef] [PubMed]
- Kauh, Y.C.; Zachian, T.F. Melasma. Adv. Exp. Med. Biol. 1999, 455, 491–499. [Google Scholar] [CrossRef]
- Goldberg, D.J.; Berlin, A.L.; Phelps, R. Histologic and ultrastructural analysis of melasma after fractional resurfacing. Lasers Surg. Med. 2008, 40, 134–138. [Google Scholar] [CrossRef]
- Thirion, L.; Piérard-Franchimont, C.; Piérard, G.E. Whitening effect of a dermocosmetic formulation: A randomized double-blind controlled study on melasma. Int. J. Cosmet. Sci. 2006, 28, 263–267. [Google Scholar] [CrossRef]
- Ardigo, M.; Cameli, N.; Berardesca, E.; Gonzalez, S. Characterization and evaluation of pigment distribution and response to therapy in melasma using in vivo reflectance confocal microscopy: A preliminary study. J. Eur. Acad. Dermatol. Venereol. 2010, 24, 1296–1303. [Google Scholar] [CrossRef]
- Lee, H.I.; Lim, Y.Y.; Kim, B.J.; Kim, M.N.; Min, H.J.; Hwang, J.H.; Song, K.Y. Clinicopathologic efficacy of copper bromide plus/yellow laser (578 nm with 511 nm) for treatment of melasma in Asian patients. Dermatol. Surg. 2010, 36, 885–893. [Google Scholar] [CrossRef]
- Zhou, X.; Gold, M.H.; Lu, Z.; Li, Y. Efficacy and safety of Q-switched 1,064-nm neodymium-doped yttrium aluminum garnet laser treatment of melasma. Dermatol. Surg. 2011, 37, 962–970. [Google Scholar] [CrossRef]
- Tsilika, K.; Levy, J.L.; Kang, H.Y.; Duteil, L.; Khemis, A.; Hughes, R.; Passeron, T.; Ortonne, J.P.; Bahadoran, P. A pilot study using reflectance confocal microscopy (RCM) in the assessment of a novel formulation for the treatment of melasma. J. Drugs Dermatol. 2011, 10, 1260–1264. [Google Scholar]
- Sim, J.H.; Park, Y.L.; Lee, J.S.; Lee, S.Y.; Choi, W.B.; Kim, H.J.; Lee, J.H. Treatment of melasma by low-fluence 1064 nm Q-switched Nd:YAG laser. J. Dermatol. Treat. 2014, 25, 212–217. [Google Scholar] [CrossRef]
- Castanedo-Cazares, J.P.; Hernandez-Blanco, D.; Carlos-Ortega, B.; Fuentes-Ahumada, C.; Torres-Álvarez, B. Near-visible light and UV photoprotection in the treatment of melasma: A double-blind randomized trial. Photodermatol. Photoimmunol. Photomed. 2014, 30, 35–42. [Google Scholar] [CrossRef] [PubMed]
- Omi, T.; Yamashita, R.; Kawana, S.; Sato, S.; Naito, Z. Low Fluence Q-Switched Nd: YAG Laser Toning and Q-Switched Ruby Laser in the Treatment of Melasma: A Comparative Split-Face Ultrastructural Study. Laser Ther. 2012, 21, 15–21. [Google Scholar] [CrossRef] [PubMed]
- Ghorbel, H.H.; Boukari, F.; Fontas, E.; Montaudié, H.; Bahadoran, P.; Lacour, J.-P.; Passeron, T. Copper Bromide Laser vs. Triple-Combination Cream for the Treatment of Melasma: A Randomized Clinical Trial. JAMA Dermatol. 2015, 151, 791–792. [Google Scholar] [CrossRef] [PubMed]
- Yun, W.J.; Han, J.S.; Lee, S.H.; Chang, S.Y.; Haw, S.; Lee, J.B.; Won, C.H.; Lee, M.W.; Choi, J.H.; Chang, S.E. A prospective, split-face, randomized study of the efficacy and safety of a novel fractionated intense pulsed light treatment for melasma in Asians. J. Cosmet. Laser Ther. 2015, 17, 259–266. [Google Scholar] [CrossRef]
- Crocco, E.I.; Veasey, J.V.; Boin, M.F.; Lellis, R.F.; Alves, R.O. A novel cream formulation containing nicotinamide 4%, arbutin 3%, bisabolol 1%, and retinaldehyde 0.05% for treatment of epidermal melasma. Cutis 2015, 96, 337–342. [Google Scholar]
- Abdel-Raouf Mohamed, H.; Ali Nasif, G.; Saad Abdel-Azim, E.; Abd El-Fatah Ahmed, M. Comparative study of fractional Erbium: YAG laser vs combined therapy with topical steroid as an adjuvant treatment in melasma. J. Cosmet. Dermatol. 2019, 18, 517–523. [Google Scholar] [CrossRef]
- Gao, Y.-L.; Jia, X.-X.; Wang, M.; Hua, Y.; Zheng, H.; Xiang, W.-Z.; Song, X.-Z. Melanocyte activation and skin barrier disruption induced in melasma patients after 1064 nm Nd:YAG laser treatment. Lasers Med. Sci. 2019, 34, 767–771. [Google Scholar] [CrossRef]
- Zhang, Q.; Tu, Y.; Gu, H.; Sun, D.; Wu, W.; Man, M.; Chen, H.; Liu, H.; Ma, X.; He, L. A cream of herbal mixture to improve melasma. J. Cosmet. Dermatol. 2019, 18, 1721–1728. [Google Scholar] [CrossRef]
- Campuzano-García, A.E.; Torres-Alvarez, B.; Hernández-Blanco, D.; Fuentes-Ahumada, C.; Cortés-García, J.D.; Castanedo-Cázares, J.P. DNA Methyltransferases in Malar Melasma and Their Modification by Sunscreen in Combination with 4% Niacinamide, 0.05% Retinoic Acid, or Placebo. Biomed. Res. Int. 2019, 2019, 9068314. [Google Scholar] [CrossRef]
- Cantelli, M.; Ferrillo, M.; Donnarumma, M.; Emanuele, E.; Fabbrocini, G. A new proprietary gel containing glabridin, andrographolide, and apolactoferrin improves the appearance of epidermal melasma in adult women: A 6-month pilot, uncontrolled open-label study. J. Cosmet. Dermatol. 2020, 19, 1395–1398. [Google Scholar] [CrossRef]
- El-Sinbawy, Z.G.; Abdelnabi, N.M.; Sarhan, N.E.; Elgarhy, L.H. Clinical & ultrastructural evaluation of the effect of fractional CO2 laser on facial melasma. Ultrastruct. Pathol. 2019, 43, 135–144. [Google Scholar] [CrossRef] [PubMed]
- Cassiano, D.P.; Espósito, A.C.C.; Hassun, K.M.; Lima, E.V.A.; Bagatin, E.; Miot, H.A. Early clinical and histological changes induced by microneedling in facial melasma: A pilot study. Indian. J. Dermatol. Venereol. Leprol. 2019, 85, 638–641. [Google Scholar] [CrossRef] [PubMed]
- El-Husseiny, R.; Rakha, N.; Sallam, M. Efficacy and safety of tranexamic acid 5% cream vs hydroquinone 4% cream in treating melasma: A split-face comparative clinical, histopathological, and antera 3D camera study. Dermatol. Ther. 2020, 33, e14240. [Google Scholar] [CrossRef]
- Qu, Y.; Wang, F.; Liu, J.; Xia, X. Clinical observation and dermoscopy evaluation of fractional CO2 laser combined with topical tranexamic acid in melasma treatments. J. Cosmet. Dermatol. 2021, 20, 1110–1116. [Google Scholar] [CrossRef]
- Elkamshoushi, A.M.; Romisy, D.; Omar, S.S. Oral tranexamic acid, hydroquinone 4% and low-fluence 1064 nm Q-switched Nd:YAG laser for mixed melasma: Clinical and dermoscopic evaluation. J. Cosmet Dermatol. 2022, 21, 657–668. [Google Scholar] [CrossRef]
- Cantelli, M.; Ferrillo, M.; Granger, C.; Fabbrocini, G. An open-label, investigator-initiated, single-center, prospective, pilot clinical study to evaluate the efficacy of a skin whitening serum applied twice daily combined with a spot-preventing SPF50+ sunscreen in healthy female subjects with melasma hyperpigmentation. J. Cosmet. Dermatol. 2022, 21, 1523–1532. [Google Scholar] [CrossRef]
- Ibrahim, S.M.A.; Farag, A.S.; Ali, M.S.; El-Gendy, W.M.A.F. Efficacy and Safety of Topical Silymarin Versus Low Fluence 1064-nm Q Switched Nd:YAG Laser in the Treatment of Melasma: A Comparative Randomized Trial. Lasers Surg. Med. 2021, 53, 1341–1347. [Google Scholar] [CrossRef]
- El Attar, Y.; Doghaim, N.; El Far, N.; El Hedody, S.; Hawwam, S.A. Efficacy and Safety of tranexamic acid versus vitamin c after microneedling in treatment of melasma: Clinical and Dermoscopic study. J. Cosmet. Dermatol. 2022, 21, 2817–2825. [Google Scholar] [CrossRef]
- Hawwam, S.A.; Ismail, M.; El-Attar, Y.A. Split-face comparative study between intradermal tranexamic acid injection alone versus intradermal tranexamic acid injection combined with Q-switched Nd:YAG laser in melasma treatment: Dermoscopic and clinical evaluation. Lasers Med. Sci. 2022, 37, 2193–2201. [Google Scholar] [CrossRef]
- AboAlsoud, E.S.; Eldahshan, R.M.; AbouKhodair Mohammed, H.; Elsaie, M.L. Safety and efficacy of topical metformin 30% cream versus triple combination cream (Kligman’s formula) in treating melasma: A randomized controlled study. J. Cosmet. Dermatol. 2022, 21, 2508–2515. [Google Scholar] [CrossRef]
- Cassiano, D.P.; Espósito, A.C.C.; Hassun, K.M.; Lima, M.M.D.d.A.; Lima, E.V.d.A.; Miot, L.D.B.; Miot, H.A.; Bagatin, E. Histological changes in facial melasma after treatment with triple combination cream with or without oral tranexamic acid and/or microneedling: A randomised clinical trial. Indian J. Dermatol. Venereol. Leprol. 2022, 88, 761–770. [Google Scholar] [CrossRef] [PubMed]
- González-Ojeda, A.; Cervantes-Guevara, G.; Chejfec-Ciociano, J.M.; Cervantes-Cardona, G.A.; Acevedo-Guzman, D.; Puebla-Mora, A.G.; Cortés-Lares, J.A.; Chávez-Tostado, M.; Álvarez-Villaseñor, A.S.; Cervantes-Pérez, E.; et al. Treatment of melasma with platelet-rich plasma: A self-controlled clinical trial. Dermatol. Ther. 2022, 35, e15703. [Google Scholar] [CrossRef] [PubMed]
- Lai, D.; Cheng, S.; Zhou, S.; Hao, J.; Chen, H.; Jia, K.; Liu, H.; Cui, Y. 755-nm picosecond laser plus topical 20% azelaic acid compared to topical 20% azelaic acid alone for the treatment of melasma: A randomized, split-face and controlled trial. Lasers Med. Sci. 2024, 39, 113. [Google Scholar] [CrossRef] [PubMed]
- Bosseila, M.; Ghonim, N.; Mostafa, P. Efficacy and safety of different low fluences of Q-switched Nd:YAG laser in treatment of melasma: A split-face clinical and dermoscopic comparative study. Lasers Med. Sci. 2022, 37, 675–680. [Google Scholar] [CrossRef]
- Griffiths, C.E.; Finkel, L.J.; Ditre, C.M.; Hamilton, T.A.; Ellis, C.N.; Voorhees, J.J. Topical tretinoin (retinoic acid) improves melasma. A vehicle-controlled, clinical trial. Br. J. Dermatol. 1993, 129, 415–421. [Google Scholar] [CrossRef]
- Saleh, F.Y.; Abdel-Azim, E.S.; Ragaie, M.H.; Guendy, M.G. Topical tranexamic acid with microneedling versus microneedling alone in the treatment of melasma: Clinical, histopathologic, and immunohistochemical study. J. Egypt. Women’s Dermatol. Soc. 2019, 16, 89–96. [Google Scholar] [CrossRef]
- Anvery, N.; Christensen, R.E.; Dirr, M.A. Management of post-inflammatory hyperpigmentation in skin of color: A short review. J. Cosmet. Dermatol. 2022, 21, 1837–1840. [Google Scholar] [CrossRef]
- McKesey, J.; Tovar-Garza, A.; Pandya, A.G. Melasma Treatment: An Evidence-Based Review. Am. J. Clin. Dermatol. 2020, 21, 173–225. [Google Scholar] [CrossRef]
- Neagu, N.; Conforti, C.; Agozzino, M.; Marangi, G.F.; Morariu, S.H.; Pellacani, G.; Persichetti, P.; Piccolo, D.; Segreto, F.; Zalaudek, I.; et al. Melasma treatment: A systematic review. J. Dermatol. Treat. 2022, 33, 1816–1837. [Google Scholar] [CrossRef]
- Desai, S.R.; Alexis, A.F.; Elbuluk, N.; Grimes, P.E.; Weiss, J.; Hamzavi, I.H.; Taylor, S.C. Best practices in the treatment of melasma with a focus on patients with skin of color. J. Am. Acad. Dermatol. 2024, 90, 269–279. [Google Scholar] [CrossRef]
- Jiryis, B.; Toledano, O.; Avitan-Hersh, E.; Khamaysi, Z. Management of Melasma: Laser and Other Therapies-Review Study. J. Clin. Med. 2024, 13, 1468. [Google Scholar] [CrossRef] [PubMed]
- Mahajan, V.K.; Patil, A.; Blicharz, L.; Kassir, M.; Konnikov, N.; Gold, M.H.; Goldman, M.P.; Galadari, H.; Goldust, M. Medical therapies for melasma. J. Cosmet. Dermatol. 2022, 21, 3707–3728. [Google Scholar] [CrossRef] [PubMed]
- Liu, Y.; Wu, S.; Wu, H.; Liang, X.; Guo, D.; Zhuo, F. Comparison of the Efficacy of Melasma Treatments: A Network Meta-Analysis of Randomized Controlled Trials. Front. Med. 2021, 8, 713554. [Google Scholar] [CrossRef] [PubMed]
- Zasada, M.; Budzisz, E. Retinoids: Active molecules influencing skin structure formation in cosmetic and dermatological treatments. Postepy Dermatol. Alergol. 2019, 36, 392–397. [Google Scholar] [CrossRef]
- Schwartz, C.; Jan, A.; Zito, P.M. Hydroquinone. In StatPearls [Internet]; StatPearls Publishing: Treasure Island, FL, USA, 2025. Available online: https://www.ncbi.nlm.nih.gov/books/NBK539693/ (accessed on 10 January 2025).
- Szabó, G. Tyrosinase in the Epidermal Melanocytes of White Human Skin: The Histochemical Demonstration and the Numerical Relationship of Tyrosine-Positive and Dopa-Positive Cells. AMA Arch. Derm. 1957, 76, 324–329. [Google Scholar] [CrossRef]
- Anderson, R.R.; Margolis, R.J.; Watenabe, S.; Flotte, T.; Hruza, G.J.; Dover, J.S. Selective Photothermolysis of Cutaneous Pigmentation by Q-Switched Nd: YAG Laser Pulses at 1064, 532. And 355nm. J. Investig. Dermatol. 1989, 93, 28–32. [Google Scholar] [CrossRef]
- McCoy, S.; Hanna, M.; Anderson, P.; McLennan, G.; Repacholi, M. An evaluation of the copper-bromide laser for treating telangiectasia. Dermatol. Surg. 1996, 22, 551–557. [Google Scholar] [CrossRef]
- de la Garza, H.; Lazar, M.; Visutjindaporn, P.; Vashi, N.A. Adverse events associated with 1540-nm nonablative fractional resurfacing in darker skin: A retrospective study. JAAD Int. 2023, 14, 84–86. [Google Scholar] [CrossRef]
- Pun, J.; Zancanaro, P.; Widjajahakim, R.; Karch, J.; Vashi, N.A. Assessing the safety of the Q-switched 755-nm alexandrite laser in darker skin: A retrospective study. J. Am. Acad. Dermatol. 2022, 86, 909–911. [Google Scholar] [CrossRef]
- Litchman, G.; Nair, P.A.; Badri, T.; Kelly, S.E. Microneedling. In StatPearls [Internet]; StatPearls Publishing: Treasure Island, FL, USA, 2025. Available online: https://www.ncbi.nlm.nih.gov/books/NBK459344/ (accessed on 10 January 2025).


| Fitzpatrick Skin Type (FST) | Number of Studies with FST Enrolled (%) |
|---|---|
| Fitzpatrick Skin Type I | 2 (5.41%) |
| Fitzpatrick Skin Type II | 7 (18.92%) |
| Fitzpatrick Skin Type III | 30 (81.08%) |
| Fitzpatrick Skin Type IV | 30 (81.08%) |
| Fitzpatrick Skin Type V | 12 (32.43%) |
| Fitzpatrick Skin Type VI | 2 (5.41%) |
| Topical Agent | Histological Findings | Side Effects |
|---|---|---|
| 1. Retinoids and/or retinols | 1. Decreased epidermal pigmentation 1. Decreased number of melanocytes by Fontana–Masson staining 1. Significant reduction in 5-methycytosine in epidermis and dermis 1. Significant decrease in the expression of DNA methyltransferases | Erythema and peeling |
| 2. Topical lightening agents | 2. Decreased epidermal pigmentation 2. Reduced number of melanophages and dendritic cells 2. Reduction in pseudo-network pigmentation | Burning, erythema, and pruritus and/or irritation |
| 3. Herbal agents | 3. Decreased density of inflammatory cells 3. Reduction in inflammatory cells in the stratum spinosum 3. Decreased appearance of hyper-refractile cobblestone patterning | Erythema, pruritus, and transient xerosis |
| Type of Laser | Histological Findings | Side Effects |
|---|---|---|
| 1. Nd:YAG | 1. Reduced telangiectasia 1. Decreased pigment density 1. Improved pseudoreticular and globular pattern 1. Reduction in melanin in the stratum spinosum 1. Incorporation of melanin granules into fibroblasts in the dermis | Erythema, burning, and PIH |
| 2. Copper bromide | 2. Reduction in basal pigmentation 2. Reduced melanin in the basal epidermis 2. Reduction in epidermal melanosomes 2. Reduction in number and size of blood vessels in the dermis 2. No change in vascularization | Erythema |
| 3. CO2 | 3. Decrease in pigment network 3. Increased epidermal thickness 3. Decrease in total number and size of melanocytes 3. Decrease in melanin granules in melanocytes and keratinocytes | Erythema and burning |
Disclaimer/Publisher’s Note: The statements, opinions and data contained in all publications are solely those of the individual author(s) and contributor(s) and not of MDPI and/or the editor(s). MDPI and/or the editor(s) disclaim responsibility for any injury to people or property resulting from any ideas, methods, instructions or products referred to in the content. |
© 2025 by the authors. Published by MDPI on behalf of the European Society of Dermatopathology. Licensee MDPI, Basel, Switzerland. This article is an open access article distributed under the terms and conditions of the Creative Commons Attribution (CC BY) license (https://creativecommons.org/licenses/by/4.0/).
Share and Cite
Zhang, A.D.; Lazar, M.; Akhundova, E.; Brem, C.E.; Beltrami, E.J.; Vashi, N.A. A Scoping Review on Melasma Treatments and Their Histopathologic Correlates. Dermatopathology 2025, 12, 13. https://doi.org/10.3390/dermatopathology12020013
Zhang AD, Lazar M, Akhundova E, Brem CE, Beltrami EJ, Vashi NA. A Scoping Review on Melasma Treatments and Their Histopathologic Correlates. Dermatopathology. 2025; 12(2):13. https://doi.org/10.3390/dermatopathology12020013
Chicago/Turabian StyleZhang, Aurore D., Michelle Lazar, Emiliya Akhundova, Candice E. Brem, Eric J. Beltrami, and Neelam A. Vashi. 2025. "A Scoping Review on Melasma Treatments and Their Histopathologic Correlates" Dermatopathology 12, no. 2: 13. https://doi.org/10.3390/dermatopathology12020013
APA StyleZhang, A. D., Lazar, M., Akhundova, E., Brem, C. E., Beltrami, E. J., & Vashi, N. A. (2025). A Scoping Review on Melasma Treatments and Their Histopathologic Correlates. Dermatopathology, 12(2), 13. https://doi.org/10.3390/dermatopathology12020013

