Fusobacterium nucleatum: A Cause of Subacute Liver Abscesses with Extensive Fibrosis Crossing the Diaphragm, Mimicking Actinomycosis
Abstract
Introduction
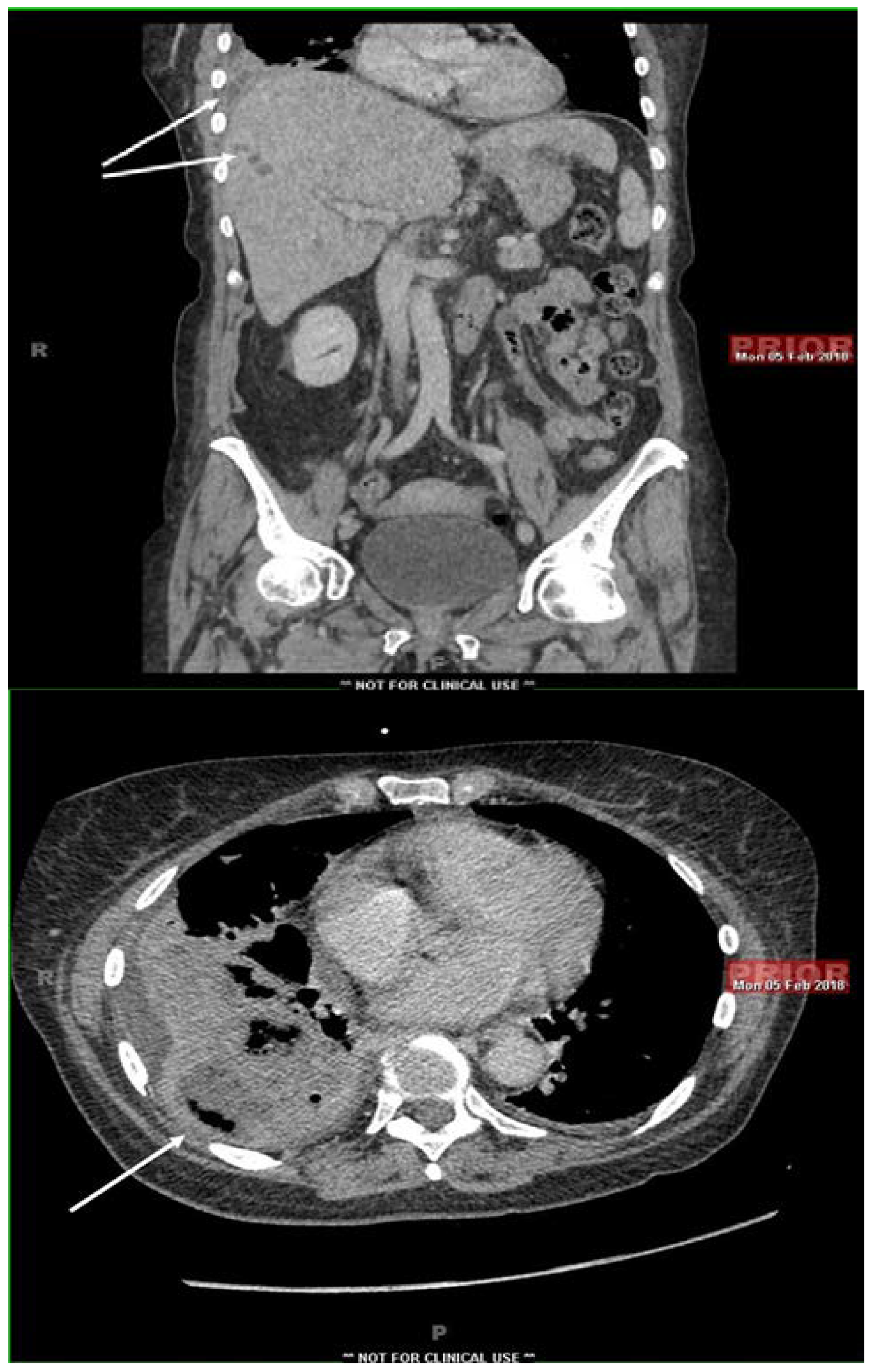
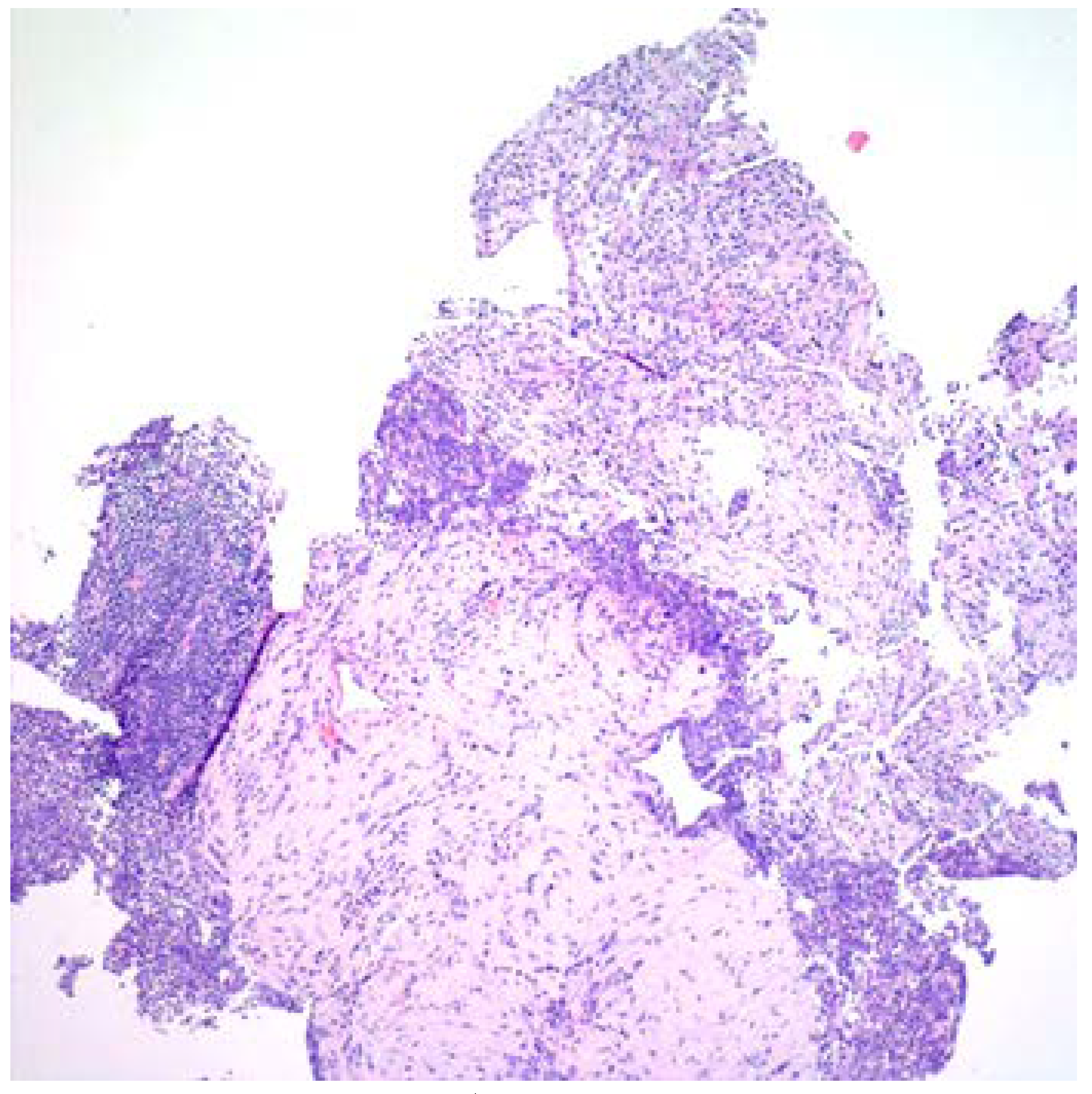
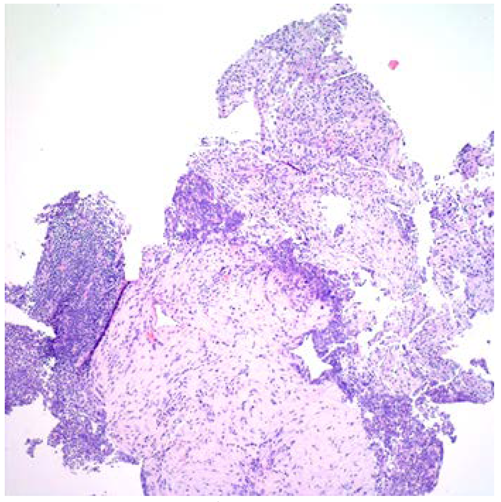
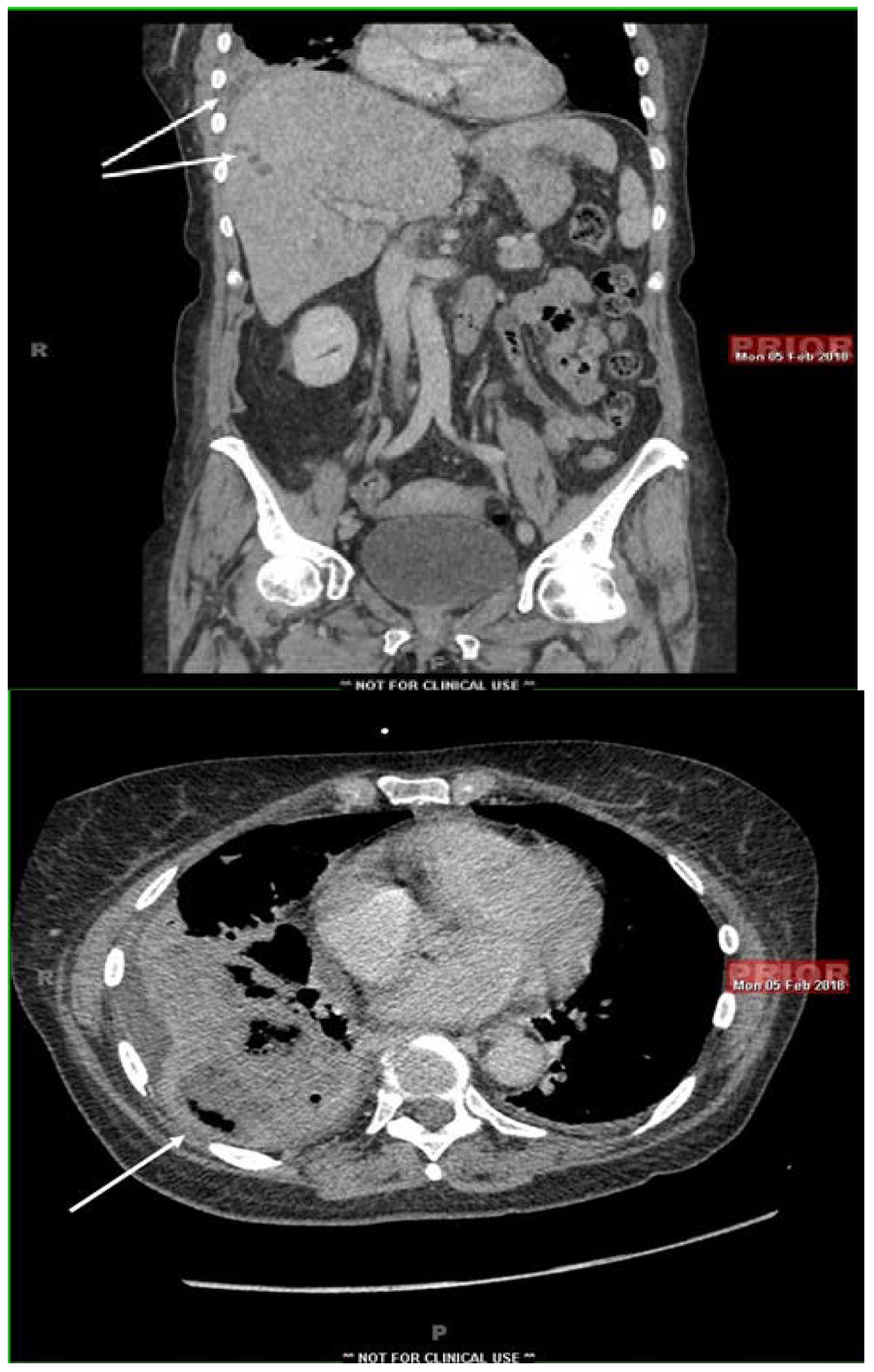
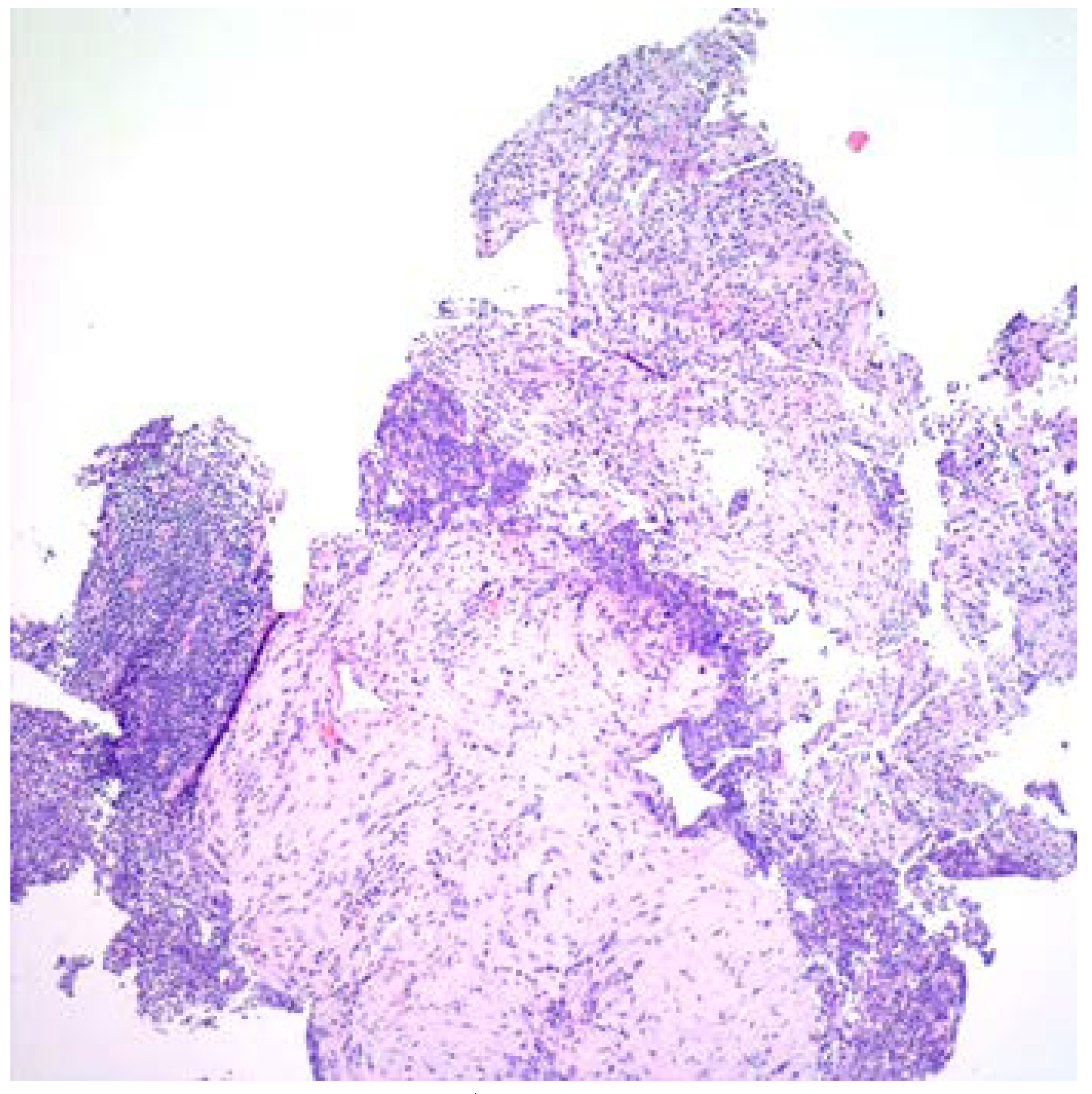
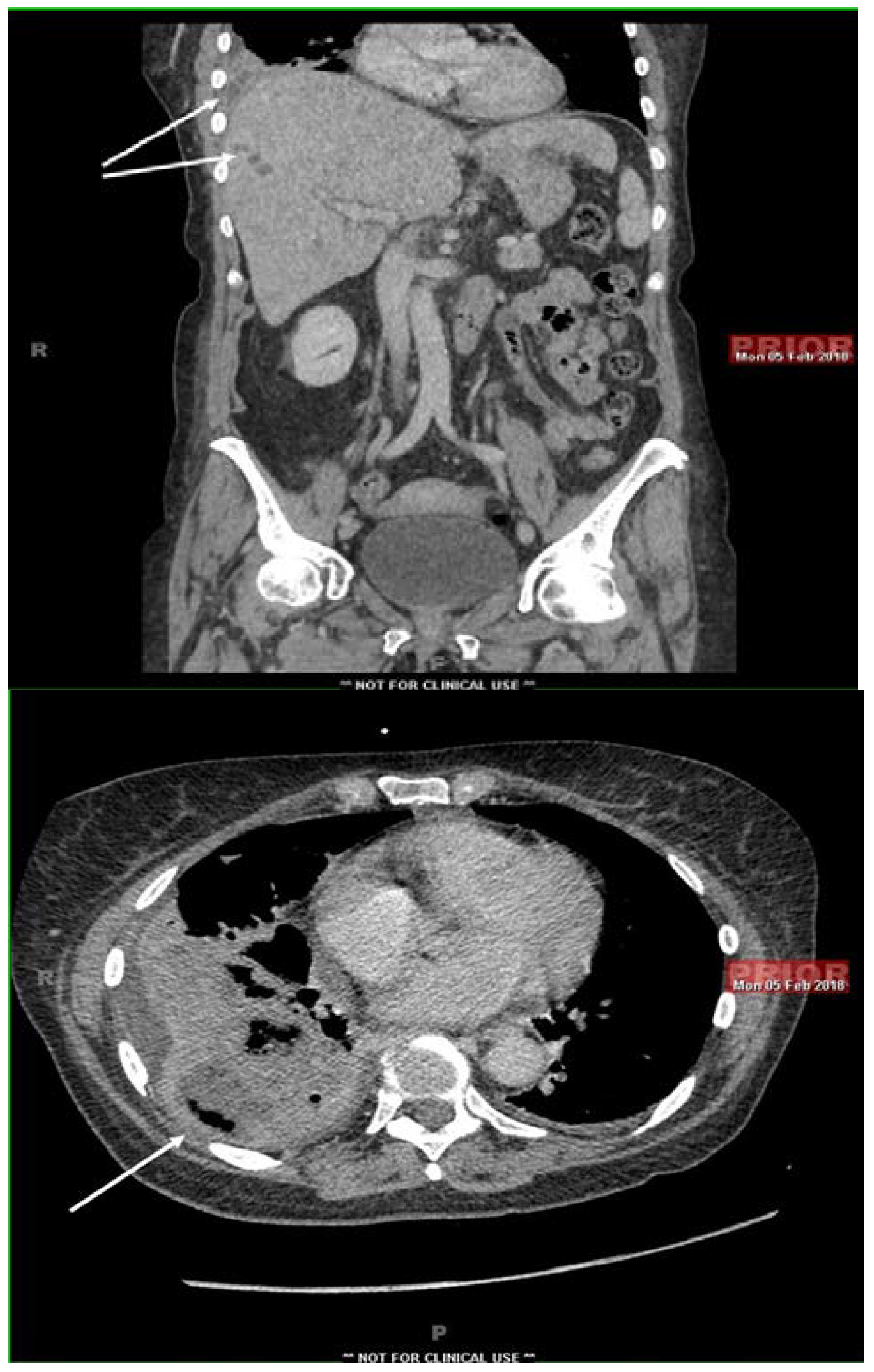
Case report
Discussion
Conclusions
Consent
Author Contributions
Funding
Acknowledgments
Conflicts of interest
References
- Garcia-Carretero, R.; Lopez-Lomba, M.; Carrasco-Fernandez, B.; Duran-Valle, M.T. Clinical features and outcomes of Fusobacterium species infections. J Crit Care Med (Targu Mures) 2017, 3, 141–147. [Google Scholar] [CrossRef] [PubMed]
- Valour, F.; Sénéchal, A.; Dupieux, C.; et al. Actinomycosis: Etiology, clinical features, diagnosis, treatment, and management. Infect Drug Resist 2014, 7, 183–197. [Google Scholar] [PubMed]
- Weed, L.A.; Baggenstoss, A.H. Actinomycosis: A pathologic and bacteriologic study of 21 fatal cases. Am J Clin Pathol 1949, 19, 201–216. [Google Scholar] [CrossRef] [PubMed]
- Brown, J.R. Human actinomycosis: A study of 181 subjects. Hum Pathol 1973, 4, 319–330. [Google Scholar] [CrossRef] [PubMed]
- Amrikachi, M.; Krishnan, B.; Finch, C.J.; Shahab, I. Actinomyces and Actinobacillus actinomycetemcomitans-Actinomyces-associated lymphadenopathy mimicking lymphoma. Arch Pathol Lab Med. 2000, 124, 1502–1505. [Google Scholar] [CrossRef] [PubMed]
- Buelow, B.D.; Lambert, J.M.; Gill, R.M. Fusobacterium liver abscess. Case Rep Gastroenterol 2013, 7, 482–486. [Google Scholar] [CrossRef] [PubMed]
- Maroun, E.; Chakrabarti, A.; Baker, M.; Canchi, D.; Oehler, R.; Greene, J. Pyogenic liver abscess due to Fusobacterium mimicking metastatic liver malignancy. Infect Dis Clin Pract 2012, 20, 359–361. [Google Scholar] [CrossRef]
- Ahmed, Z.; Bansal, S.K.; Dhillon, S. Pyogenic liver abscess caused by Fusobacterium in a 21-year-old immunocompetent male. World J Gastroenterol 2015, 21, 3731–3735. [Google Scholar] [CrossRef] [PubMed]
- Rahmati, E.; She, R.C.; Kazmierski, B.; Geiseler, P.J.; Wong, D. A case report of liver abscess and Fusobacterium septicemia. IDCases 2017, 9, 98–100. [Google Scholar] [CrossRef] [PubMed]
- Nagpal, S.J.; Mukhija, D.; Patel, P. Fusobacterium nucleatum: A rare cause of pyogenic liver abscess. Springerplus 2015, 4, 283. [Google Scholar] [CrossRef] [PubMed]
- Wilson, R.; LeBlanc, R.; Hamour, A.A. Cryptogenic pyogenic liver abscess due to Fusobacterium nucleatum: A case report. BC Med J 2014, 56, 130–134. [Google Scholar]
- Kearney, A.; Knoll, B. Myopericarditis associated with Fusobacterium nucleatum-caused liver abscess. Infect Dis (Lond) 2015, 47, 187–189. [Google Scholar] [CrossRef] [PubMed]
- Houston, H.; Kumar, K.; Sajid, S. Asymptomatic pyogenic liver abscesses secondary to Fusobacterium nucleatum and Streptococcus vestibularis in an immunocompetent patient. BMJ Case Rep 2017, 2017, bcr–2017. [Google Scholar] [CrossRef] [PubMed]
- Wijarnpreecha, K.; Yuklyaeva, N.; Sornprom, S.; Hyman, C. Fusobacterium nucleatum: Atypical organism of pyogenic liver abscess might be related to sigmoid diverticulitis. N Am J Med Sci 2016, 8, 197–199. [Google Scholar] [CrossRef] [PubMed]
- Sinave, C.P.; Hardy, G.J.; Fardy, P.W. The Lemierre syndrome: Suppurative thrombophlebitis of the internal jugular vein secondary to oropharyngeal infection. Medicine (Baltimore) 1989, 68, 85–94. [Google Scholar] [CrossRef] [PubMed]
- Han, Y.W. Fusobacterium nucleatum: A commensal-turned pathogen. Curr Opin Microbiol 2015, 23, 141–147. [Google Scholar] [CrossRef]
- Segata, N.; Haake, S.K.; Mannon, P. Composition of the adult digestive tract bacterial microbiome based on seven mouth surfaces, tonsils, throat and stool samples. Genome Biol 2012, 13, R42. [Google Scholar] [CrossRef] [PubMed]


© GERMS 2019.
Share and Cite
Hooshmand, B.; Khatib, R.; Hamza, A.; Snower, D.; Alcantara, A.L. Fusobacterium nucleatum: A Cause of Subacute Liver Abscesses with Extensive Fibrosis Crossing the Diaphragm, Mimicking Actinomycosis. GERMS 2019, 9, 102-105. https://doi.org/10.18683/germs.2019.1164
Hooshmand B, Khatib R, Hamza A, Snower D, Alcantara AL. Fusobacterium nucleatum: A Cause of Subacute Liver Abscesses with Extensive Fibrosis Crossing the Diaphragm, Mimicking Actinomycosis. GERMS. 2019; 9(2):102-105. https://doi.org/10.18683/germs.2019.1164
Chicago/Turabian StyleHooshmand, Babak, Riad Khatib, Ameer Hamza, Daniel Snower, and Anthony L Alcantara. 2019. "Fusobacterium nucleatum: A Cause of Subacute Liver Abscesses with Extensive Fibrosis Crossing the Diaphragm, Mimicking Actinomycosis" GERMS 9, no. 2: 102-105. https://doi.org/10.18683/germs.2019.1164
APA StyleHooshmand, B., Khatib, R., Hamza, A., Snower, D., & Alcantara, A. L. (2019). Fusobacterium nucleatum: A Cause of Subacute Liver Abscesses with Extensive Fibrosis Crossing the Diaphragm, Mimicking Actinomycosis. GERMS, 9(2), 102-105. https://doi.org/10.18683/germs.2019.1164
