Next Issue
Volume 9, 09
Previous Issue
Volume 9, 03
 
 
Germs is published by MDPI from Volume 15 Issue 4 (2025). Previous articles were published by another publisher in Open Access under a CC-BY (or CC-BY-NC-ND) licence, and they are hosted by MDPI on mdpi.com as a courtesy and upon agreement with the former publisher Infection Science Forum.

Germs, Volume 9, Issue 2 (06 2019) – 8 articles

  • Issues are regarded as officially published after their release is announced to the table of contents alert mailing list.
  • You may sign up for e-mail alerts to receive table of contents of newly released issues.
  • PDF is the official format for papers published in both, html and pdf forms. To view the papers in pdf format, click on the "PDF Full-text" link, and use the free Adobe Reader to open them.
Order results
Result details
Select all
Export citation of selected articles as:
320 KB  
Communication
Use of a Clinical Decision Support System (CDSS) to Improve Antimicrobial Stewardship Efforts at a Single Academic Medical Center
by Fritzie S. Albarillo, Laurie Labuszewski, Jenna Lopez, Maressa Santarossa and Nitin K. Bhatia
Germs 2019, 9(2), 106-109; https://doi.org/10.18683/germs.2019.1165 - 3 Jun 2019
Cited by 6 | Viewed by 70
Abstract
Antimicrobial resistance remains one of the greatest global health threats. [...] Full article
Show Figures

Figure 1

280 KB  
Case Report
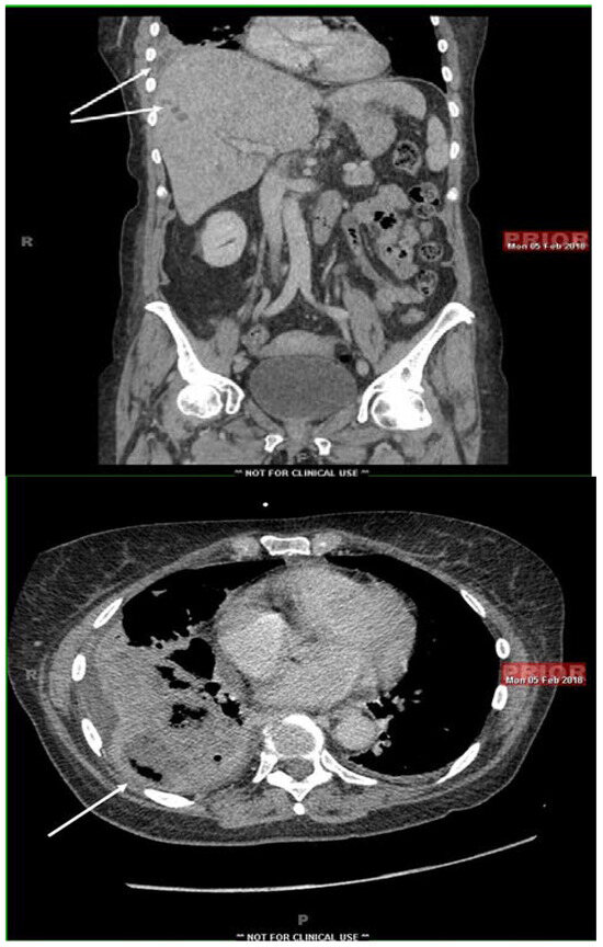
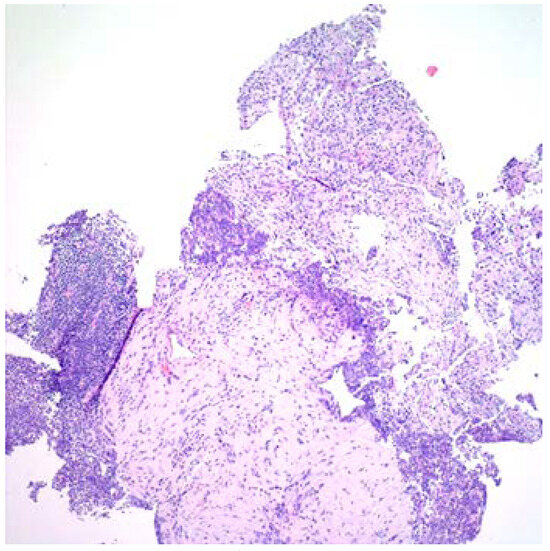
Fusobacterium nucleatum: A Cause of Subacute Liver Abscesses with Extensive Fibrosis Crossing the Diaphragm, Mimicking Actinomycosis
by Babak Hooshmand, Riad Khatib, Ameer Hamza, Daniel Snower and Anthony L Alcantara
Germs 2019, 9(2), 102-105; https://doi.org/10.18683/germs.2019.1164 - 3 Jun 2019
Cited by 4 | Viewed by 87
Abstract
Introduction: Fusobacterium nucleatum is a Gram-negative, obligate anaerobic bacterium which predominantly resides within the oral cavity and causes acute abscesses and venous thrombosis, primarily in the head and neck region, but could have unique clinical presentations in different anatomical regions of the body. [...] Read more.
Introduction: Fusobacterium nucleatum is a Gram-negative, obligate anaerobic bacterium which predominantly resides within the oral cavity and causes acute abscesses and venous thrombosis, primarily in the head and neck region, but could have unique clinical presentations in different anatomical regions of the body. Case report: We present a case of subacute liver abscesses extending to the lung. The histopathological examination showed extensive necrosis and fibrosis. The chronic course, extensive fibrosis and extension across the anatomic barriers were suggestive of actinomycosis. two sets of blood cultures grew Fusobacterium nucleatum, only 16s rRNA analysis of the liver tissue and pleural fluid revealed F. nucleatum DNA without other organisms. The clinical and pathological features of our case illustrate that F. nucleatum may mimic actinomycosis. Conclusions: This case illustrates that F. nucleatum should be considered in patients with subacute infections with extensive fibrosis that crosses anatomic barriers, mimicking actinomycosis. Full article
Show Figures

Figure 1

518 KB  
Case Report
Toxoplasma Papillitis Without Vitritis. A Case Report in an Immunocompetent Congolese Patient
by Deogratias Basedeke Ngoma, Michele Detry-Morel and David Lubeji Kayembe
Germs 2019, 9(2), 95-101; https://doi.org/10.18683/germs.2019.1163 - 3 Jun 2019
Cited by 3 | Viewed by 58
Abstract
Introduction: Unilateral papillitis and neuroretinitis are uncommon manifestations of ocular Toxoplasma gondii infection and pose particularly challenging diagnosis problems. Due to the limited accessibility of healthcare and poor socioeconomic status of a significant proportion of the population in Democratic Republic of the Congo, [...] Read more.
Introduction: Unilateral papillitis and neuroretinitis are uncommon manifestations of ocular Toxoplasma gondii infection and pose particularly challenging diagnosis problems. Due to the limited accessibility of healthcare and poor socioeconomic status of a significant proportion of the population in Democratic Republic of the Congo, knowledge of seroprevalence rates for toxoplasmosis remains key to the health system. When Toxoplasma papillitis or neuroretinitis is suspected, vitreous inflammatory reaction is usually present at various degrees on the initial examination as a diagnosis clue. Case report: We report the case of a 37-year-old Congolese man who was managed in the University Hospital of Kinshasa, DR Congo, between October 2017 and April 2019 (18 months). The patient’s informed consent was obtained for publication of his data. The patient developed presumed Toxoplasma papillitis with complete absence of vitritis at presentation. He was in good general health and had a known contact with a cat. Ophthalmoscopic examination revealed unilateral inflammation in the left optic disc and peripapillary area coexisting with active juxtapapillary retinochoroiditis that could be confirmed in ocular coherence tomography. A retinochoroiditis scar was present in the right eye. Left visual field was severely altered in automated perimetry. Toxoplasma titer was positive. Anti-HIV (ELISA) antibodies were negative. Rapid and favorable response to appropriate antiparasitic agents was observed without recurrence. Absence of vitritis and retinochoroiditis scar were confirmed during all the follow-up period. Conclusions: Papillary toxoplasmosis is rare and potentially serious. Its diagnosis must be sought, even in the absence of vitritis, before taking into account any unilateral papillary edema. Our case report highlights the importance of detailed history and clinical examination to improve diagnostic decision making such as the need for complementary investigations, especially serologic testing, in a country with relatively limited financial resources in public health. Full article
Show Figures

Figure 1

920 KB  
Case Report
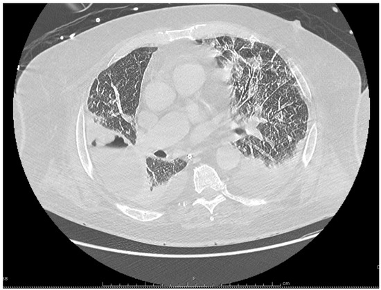
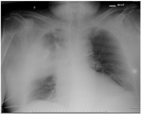
Pneumonia and Pulmonary Abscess Due to Legionella micdadei in an Immunocompromised Patient
by Maud Foissac, Ludovic Bergon, Johanna Vidal, Paul Cauquil, Albin Mainar and Morgane Mourguet
Germs 2019, 9(2), 89-94; https://doi.org/10.18683/germs.2019.1162 - 3 Jun 2019
Cited by 7 | Viewed by 57
Abstract
Introduction: Legionella micdadei are gram-negative bacilli living in soil and aquatic habitats. They are responsible for less than 10% of legionellosis, but have a propensity to affect people suffering from immunodeficiency. Lung cavitations may also occur in this population. Isolation of L. micdadei [...] Read more.
Introduction: Legionella micdadei are gram-negative bacilli living in soil and aquatic habitats. They are responsible for less than 10% of legionellosis, but have a propensity to affect people suffering from immunodeficiency. Lung cavitations may also occur in this population. Isolation of L. micdadei on clinical samples requires specific culture media that are not routinely used. Moreover, serologic methods and urinary assays are specific for Legionella pneumophila serogroup 1 (the most frequent serogroup isolated from clinical specimens), and lack sensitivity for diagnosing L. micdadei infection. As a consequence, this diagnosis is difficult to confirm. Case report: We report here a severe case of community-acquired legionellosis due to L. micdadei, in a patient under immunosuppressive medications and high-dose corticosteroids for rheumatoid arthritis. The source of his infection was hypothesized to be his continuous positive airway pressure device, which was regularly cleaned with tap water instead of sterile water, thus potentially resulting in Legionella contamination. Conclusions: L. micdadei must be considered as a possible cause of community-acquired severe pneumonia in case of immunodeficiency. For outpatients, advice concerning the cleaning of aerosols-generating devices at home must be emphasized. Full article
Show Figures

Figure 1

440 KB  
Article
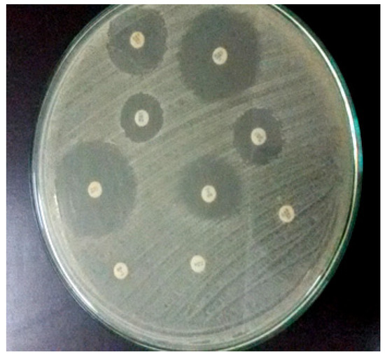
Molecular Typing, Antibiotic Resistance Profiles and Biocide Susceptibility in Salmonella enterica Serotypes Isolated from Raw Chicken Meat Marketed in Venezuela
by Fanny González and María Araque
Germs 2019, 9(2), 81-88; https://doi.org/10.18683/germs.2019.1161 - 3 Jun 2019
Cited by 2 | Viewed by 57
Abstract
Introduction: Salmonella is a common bacterial cause of foodborne diarrhea worldwide. The purpose of this study was to characterize antimicrobial resistance and susceptibility to biocides in Salmonella enterica serotypes isolated from raw chicken meat, as well as to study the genetic relationship between [...] Read more.
Introduction: Salmonella is a common bacterial cause of foodborne diarrhea worldwide. The purpose of this study was to characterize antimicrobial resistance and susceptibility to biocides in Salmonella enterica serotypes isolated from raw chicken meat, as well as to study the genetic relationship between strains and virulence profiles. Methods: Nine Salmonella enterica strains (5 S. Heidelberg; 2 S. Enteritidis; 1 S. Typhimurium and 1 S. Meleagridis) recovered from raw chicken meat marketed in the urban area of Mérida, Venezuela, were studied. Phenotypic characterization was based on antimicrobial susceptibility testing as well as detection of extended-spectrum β-lactamases (ESBLs) by double-disc synergy. The susceptibility to biocides was determined using the dilution-neutralization methods. The detection of quinolone resistance-determining regions of gyrA, gyrB, and parC genes, blaESBLs genes, plasmid-mediated quinolone resistance determinants and virulence genes (invA and spvC) was carried out by PCR. All strains were typed using PFGE. Results: Multidrug-resistance was evident in 6 of 9 strains studied. However, all Salmonella serotypes were susceptible to the tested biocides. Genotypic characterization determined that 5 strains harbored the blaCTXM-2, 4 blaTEM-1 and 3 qnrB19 genes. All strains were positive for the invA gene. The spvC gene was detected in 4 of them. PFGE grouped Salmonella strains into 4 different patterns that represented individual serotypes. Conclusions: This study provides valuable information on antibiotic resistance, biocide susceptibility profiles, virulence gene content and genetic diversity of Salmonella enterica serotypes isolated from raw chicken meat marketed in Venezuela, and evidenced a health risk for consumers. Full article
Show Figures

Figure 1

436 KB  
Article
Occurrence and Biofilm Forming Ability of Pseudomonas aeruginosa in the Water Output of Dental Unit Waterlines in a Dental Center in Alexandria, Egypt
by Sheref Gawish, Aleya Abbass and Amani Abaza
Germs 2019, 9(2), 71-80; https://doi.org/10.18683/germs.2019.1160 - 3 Jun 2019
Cited by 14 | Viewed by 84
Abstract
Introduction: Dental unit waterlines (DUWLs) are notorious for being contaminated with different bacterial species including the opportunistic pathogen Pseudomonas aeruginosa which poses a risk to patients and professionals. This work aimed at studying the occurrence and biofilm-forming ability (BFA) of P. aeruginosa in [...] Read more.
Introduction: Dental unit waterlines (DUWLs) are notorious for being contaminated with different bacterial species including the opportunistic pathogen Pseudomonas aeruginosa which poses a risk to patients and professionals. This work aimed at studying the occurrence and biofilm-forming ability (BFA) of P. aeruginosa in the output of DUWLs in a dental center in Egypt. Methods: Water samples were collected from the outlets of the high-speed hand piece, the air/water syringe and the cup filler waterlines. Bacteriological analysis included heterotrophic plate count (HPC), isolation and identification of P. aeruginosa and determination of the antimicrobial susceptibility and the BFA of the isolates by tissue culture plate (TCP) method and tube method (TM). Results: The average concentration of HPC bacteria in the output of the 3 DUWLs was 2.9 × 104 CFU/μL where 88.3% of the samples exceeded the Egyptian standards for drinking water (<50 CFU L). P. aeruginosa was isolated from nine cup filler samples (which had a water source different from the other waterlines). The isolates were sensitive to all tested antimicrobials. Of these nine isolates, 6, 5 and 4 were positive for BFA by TCP, modified TCP and TM, respectively. Conclusions: More stringent measures are required to ensure safer dental water; as the majority of studied samples exceeded the required HPC bacterial limit and P. aeruginosa isolates were detected. P. aeruginosa isolates from DUWLs may not be as resistant to antibiotics as what is reported in the literature about clinical isolates. Some P. aeruginosa isolates can colonize DUWLs despite their inability to form biofilms in experimental testing. Full article
Show Figures

Figure 1

565 KB  
Article
Frequency of icaA and icaD Determinants and Biofilm Formation Among Coagulase-Negative Staphylococci Associated with Nasal Carriage in Neonatal Intensive Care Units
by Doaa Mabrouk Ahmed, Mona Abdel Wahab Abel Messih, Nermin Hassan Ibrahim, Mohamed Hussein Meabed and Soha Mahmoud Abdel-Salam
Germs 2019, 9(2), 61-70; https://doi.org/10.18683/germs.2019.1159 - 3 Jun 2019
Cited by 13 | Viewed by 86
Abstract
Introduction: Nasal colonization with coagulase-negative staphylococci (CoNS) may be a preliminary risk factor for systemic infection. The aim of this study was to assess the frequency of ica A and D genes and biofilm formation among hospital-acquired nasal colonizing CoNS strains isolated from [...] Read more.
Introduction: Nasal colonization with coagulase-negative staphylococci (CoNS) may be a preliminary risk factor for systemic infection. The aim of this study was to assess the frequency of ica A and D genes and biofilm formation among hospital-acquired nasal colonizing CoNS strains isolated from neonates in the neonatal intensive care units (NICUs). Antibiotic sensitivity patterns and some relevant risk factors were estimated. Methods: This study assessed nasal colonization with CoNS among neonates at days one and three of admission to NICUs of Beni-Suef University Hospital and Beni-Suef General Hospital from November 2015 to May 2016. The isolates were screened and identified; susceptibility testing was performed. Biofilm formation was examined using the Congo red agar method. Isolates identified as CoNS were tested by polymerase chain reaction (PCR) for the presence of mecA and icaA and icaD genes. Results: A total of 340 nasal swabs were collected from 170 neonates. The incidence of nasal colonization with CoNS was 50%. The species most frequently isolated were S. haemolyticus and S. epidermidis. Multidrug resistance (MDR) was detected in 86% of isolates. It was found that there was a strong association between the presence of mecA gene and phenotypic resistance to methicillin and also the presence of the icaA gene and biofilm formation. Conclusions: Neonates admitted to NICUs can become reservoirs for CoNS strains, leading to potential dissemination of MDR strains into the community. Full article
Show Figures

Figure 1

174 KB  
Editorial
Influenza Redefined—Clinical and Epidemiological Insight
by Oana Săndulescu, Anca Drăgănescu and Daniela Pițigoi
Germs 2019, 9(2), 60; https://doi.org/10.18683/germs.2019.1158 - 3 Jun 2019
Cited by 6 | Viewed by 61
Abstract
With this year’s influenza season officially over, it’s time to pause and reflect on lessons learned. [...] Full article
Previous Issue
Next Issue
Back to TopTop