You are currently viewing a new version of our website. To view the old version click .
Germs
  • Germs is published by MDPI from Volume 15 Issue 4 (2025). Previous articles were published by another publisher in Open Access under a CC-BY (or CC-BY-NC-ND) licence, and they are hosted by MDPI on mdpi.com as a courtesy and upon agreement with the former publisher Infection Science Forum.
  • Case Report
  • Open Access

31 March 2024

Tuberculosis Prostate Abscess: Molecular Diagnostic Testing

,
,
and
1
Department of Internal Medicine, Universidad Del Norte, Barranquilla 081001, Colombia
2
Department of Medicine, Universidad Del Bosque, Bogotá 110111, Colombia
3
Department of Infectious Diseases, Universidad del Norte and Hospital Universidad del Norte, Barranquilla 081001, Colombia
*
Author to whom correspondence should be addressed.

Abstract

Introduction: Urogenital tuberculosis (UGTB) is a frequent presentation of extrapulmonary tuberculosis. Recognizing this condition is paramount for healthcare providers, especially in patients living with human immunodeficiency virus (HIV), as it significantly influences both mortality and quality of life. Case report: This report presents the case of a 57-year-old male patient diagnosed with de novo HIV infection who presented with respiratory and urinary symptoms, and prostate abscess in a computed tomography. He was ultimately diagnosed with a tuberculous prostate abscess through real-time polymerase chain reaction. Conclusions: This case underscores the importance of utilizing molecular diagnostic tools in identifying UGTB, shedding light on their invaluable role in timely diagnosis.

Introduction

Tuberculosis (TB), which is an infection caused by Mycobacterium tuberculosis, can affect different organs in the human body. Urogenital tuberculosis (UGTB) accounts for approximately 30% to 40% of extrapulmonary tuberculosis [1]. Importantly, UGTB is frequently underdiagnosed due to its nonspecific clinical manifestations and the challenge of differentiating it from other conditions [2,3]. Molecular tests have emerged as rapid and accessible techniques with immense potential for extrapulmonary tuberculosis diagnosis. In this case report, we focus on the unique presentation of a prostate abscess in a patient living with human immunodeficiency virus (HIV), underscoring the importance of molecular diagnostic testing in the timely and accurate diagnosis of this condition.

Case report

A 57-year-old man, who worked as a waste picker, presented to the emergency department with a 1-month history of progressive hypogastric pain, dysuria, and urgency. He had previously received antibiotic treatment on two occasions at another healthcare facility (the specific names of antibiotics used were not known). The patient denied any known comorbidities, allergies, or vaccinations. Notably, he reported a history of weekly alcohol, cigarette, and cocaine consumption. Additionally, he had experienced adynamia, weight loss, intermittent fever, and cough with sputum for the past 3 months. On physical examination, the patient appeared malnourished, with a body mass index of 17.2 kg/m2. He exhibited normal vital signs. On auscultation, there were bilateral lung crackles. Abdominal palpation revealed generalized tenderness. Additionally, in the rectal digital exam, the prostate was noted to be nodular and painful.
Laboratory tests revealed elevation of Creactive protein levels (121.4 mg/dL) and altered kidney function (blood urea nitrogen 25.5 mg/dL, creatinine 1.55 mg/dL and an estimated glomerular filtration rate of 52 mL/min/1.73m2). The white blood cell and platelet counts showed no abnormalities (leukocytes 9550 x 103/µL and platelets 451,000/µL). The patient had moderate anemia (hemoglobin 9.1 g/dL, mean corpuscular volume 86.6 fL). Additional investigations included a positive result for fourth-generation HIV test. He had a CD4 cell count of 111/mm3 and an HIV viral load of 1,715,225 copies/mm3. Testing for hepatitis B and C, and cryptococcosis yielded negative results. Non-treponemal test was positive with a titer of 1:32 dilutions, with negative testing on cerebrospinal fluid. Initially, considering a urinary tract infection in an immunocompromised patient, treatment with piperacillin-tazobactam was prescribed.
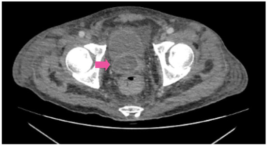
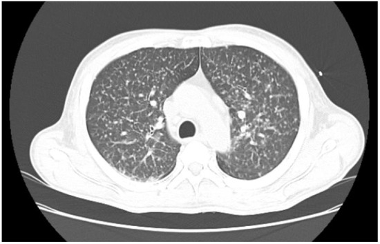
A lung computed tomography (CT) scan revealed a miliary pattern (Figure 1). M. tuberculosis was confirmed via real-time polymerase chain reaction (RT-PCR) GeneXpert® and Mycobacterial Growth Indicator Tube (MGIT) culture testing on sputum. Abdominal CT scans revealed an 18-cc abscess affecting the prostate and the right seminal vesicle (Figure 2). Urine culture and RTPCR for Chlamydia trachomatis and Neisseria gonorrhoeae were negative. Transurethral drainage of the prostatic abscess was performed, and RTPCR of the sample identified M. tuberculosis confirming the diagnosis of a tuberculosis prostate abscess. Susceptibility of M. tuberculosis to rifampin by RT-PCR was documented.
Figure 1. Axial thorax CT-scan: Miliary tuberculosis pattern of the lungs.
Figure 2. Axial pelvis CT-scan: Prostatic abscess of 18 cc, with compromise of the right seminal vesicle.
The antituberculosis treatment regimen was initiated, consisting of rifampicin, isoniazid, pyrazinamide, and ethambutol, in accordance with Colombia Health Ministry recommendations. Additionally, antiretroviral therapy with emtricitabine/tenofovir and dolutegravir was started 14 days later to prevent immune reconstitution inflammatory syndrome, according to the national recommendations. The patient's condition and symptoms improved, leading to his eventual discharge. Information related to outpatient follow-up was not available.

Discussion

We have presented a case of a patient with de novo HIV infection with a prostate abscess caused by M. tuberculosis. UGTB represents the third most common form of extrapulmonary tuberculosis [1]. The likelihood of developing tuberculous kidney and prostate abscesses is higher in individuals living with HIV compared to those who are not infected [2]. Prostatic tuberculosis typically presents as granulomatous prostatitis, and the formation of a prostatic abscess is an exceedingly rare occurrence [1,3]. Chronic inflammation and caseous necrosis caused during M. tuberculosis infection can produce cavities and abscesses within the prostate [2]. These abscesses can potentially drain into surrounding tissues, leading to the formation of fistulas in regions such as the perineum, urethra, or scrotum [2].
Clinical findings in UGTB often include symptoms such as dysuria, nocturia, polyuria, and prostatic enlargement [3,4]. These symptoms may be accompanied by chronic pain in the flank and inguinal region, as well as sexual dysfunction [4]. It is crucial to consider a broad range of differential diagnoses, including urinary tract infection, urethritis, epididymitis, prostatitis (commonly caused by microorganisms such as Escherichia coli, Proteus mirabilis, Neisseria gonorrhoeae, and Chlamydia trachomatis), spermatocele, and malignancy [3,4]. Furthermore, in cases of chronic epididymitis or prostatitis that do not respond to standard antibiotic treatments, consideration of potential genitourinary involvement should be warranted [2]. In the present clinical case, urine culture and RT-PCR test for N. gonorrhoeae and C. trachomatis were negative. In addition, empiric antibiotic treatment was started to cover the most frequent bacterial pathogens until the final diagnosis of UGTB was reached.
While a combination of symptoms and imaging techniques can raise suspicion of urogenital tuberculosis (UGTB), microbiologic confirmation remains essential for an accurate diagnosis. Historically, diagnosis relied on biopsy histology and mycobacterial cultures [1,3,4]. but modern molecular techniques are changing the diagnostic process, as in this case. In comparison to the current gold standard (MGIT culture), RTPCR exhibits excellent diagnostic performance, particularly for confirming the diagnosis. In urogenital tissues (renal, prostate, epididymis, penile, and soft tissue) samples, RT-PCR demonstrates a sensitivity of 87.5% and specificity of 86.7% [5]. In urine samples, its sensitivity ranges from 94.6% to 100%, while specificity falls between 86.5% and 100% [6,7].
Furthermore, a comprehensive Cochrane metaanalysis incorporated data from 13 studies involving patients with suspected genitourinary tuberculosis. These studies included 1199 specimens from urine or tissue biopsy [8]. Among these studies, 8 did not report HIV status, 1 included HIV-negative patients, and 4 had between 1% and 10% of patients living with HIV. A meta-analysis revealed that RT-PCR demonstrates a sensitivity of 82.7% and a specificity of 98.7% when diagnosing UGTB [8]. These results underscore the reliability, performance and effectiveness of RT-PCR for UGTB diagnosis.
The primary objectives of UGTB treatment encompass eradicating the infection through antituberculous agents, managing complications, and addressing comorbidities and associated risk factors [2]. Pharmacological therapy for UGTB closely mirrors that of pulmonary TB, with a standard 6-month duration of treatment recommended globally [9]. Despite this, there is a notable absence of randomized controlled trials investigating the optimal treatment duration for UGTB. Surgical intervention becomes necessary in approximately 50% of patients during or after pharmacological treatment to achieve cure. The standard management protocol for these patients should invariably involve drainage of the prostatic abscess [10]. as exemplified in our case. Otherwise, antiretroviral therapy is necessary to reduce morbidity and mortality in people living with HIV, and preventive therapy with isoniazid reduces the risk of tuberculosis in populations with both early and advanced HIV disease. It is important to rule out active tuberculosis before preventive treatment with isoniazid can be administered.

Conclusions

UGTB accounts for a significant proportion of cases of extrapulmonary tuberculosis infection. Nevertheless, the diagnosis is difficult because of its non-specific manifestations. Prostatic abscess formation is a very uncommon presentation among the UGTB. RT-PCR as a diagnostic method has been increasingly becoming available and recommended for its diagnostic performance in patients with UGTB. It is crucial to have a comprehensive understanding of the recent diagnostic techniques and their importance in evaluating patients with suspected UGTB.

Author Contributions

SGJ, SJ and YA contributed to: conceptualization, design, investigation, acquisition of information, original draft preparation, review and editing. DV contributed to: supervision, analysis and interpretation of data, and writing – review & editing. All authors read and approved the final version of the manuscript, and all agree to be accountable for all aspects of the work.

Funding

None to declare.

Institutional Review Board Statement

The present work was approved by the Research Committee of Hospital Universidad del Norte.

Data Availability Statement

Data sharing is not applicable to this article as no new data were created or analyzed in this study.

Data Confidentiality

The project adheres to Resolution 8430 of October 4, 1993, of Colombia. The authors have maintained the confidentiality of the data in accordance with national regulations.

Conflicts of Interest

The authors declare no conflict of interest in the preparation of this document.

Protection of Humans and Animals

The authors declare that the procedures were followed according to the national regulations and the Helsinki Declaration of the World Medical Association updated in 2013.

References

  1. Figueiredo, A.A.; Lucon, A.M.; Srougi, M. Urogenital tuberculosis. Microbiol Spectr. 2017, 5, 1–16. [Google Scholar] [CrossRef] [PubMed]
  2. Muneer, A.; Macrae, B.; Krishnamoorthy, S.; Zumla, A. Urogenital tuberculosis epidemiology, pathogenesis and clinical features. Nat Rev Urol. 2019, 16, 573–598. [Google Scholar] [CrossRef]
  3. Kulchavenya, E.; Kholtobin, D.; Shevchenko, S. Challenges in urogenital tuberculosis. World J Urol. 2020, 38, 89–94. [Google Scholar] [CrossRef] [PubMed]
  4. Jha, S.K.; Rathish, B. Genitourinary tuberculosis. In StatPearls; StatPearls Publishing: Treasure Island, FL, USA, 2023. [Google Scholar]
  5. Chawla, A.; Chawla, K.; Reddy, S.; et al. Can tissue PCR augment the diagnostic accuracy in genitourinary tract tuberculosis? Urol Inter. 2012, 88, 34–38. [Google Scholar] [CrossRef] [PubMed]
  6. Hillemann, D.; Rüsch-Gerdes, S.; Boehme, C.; Richter, E. Rapid molecular detection of extrapulmonary tuberculosis by the automated GeneXpert MTB/RIF system. J Clin Microbiol. 2011, 49, 1202–1205. [Google Scholar] [CrossRef] [PubMed]
  7. Pang, Y.; Shang, Y.; Lu, J.; et al. GeneXpert MTB/RIF assay in the diagnosis of urinary tuberculosis from urine specimens. Sci Rep. 2017, 7, 6181. [Google Scholar] [CrossRef] [PubMed]
  8. Kohli, M.; Schiller, I.; Dendukuri, N.; et al. Xpert® MTB/RIF assay for extrapulmonary tuberculosis and rifampicin resistance. Cochrane Database Syst Rev. 2018, 8, CD012768. [Google Scholar] [CrossRef] [PubMed]
  9. Blumberg, H.M.; Burman, W.J.; Chaisson, R.E.; et al. American Thoracic Society/Centers for Disease Control and Prevention/Infectious Diseases Society of America: Treatment of tuberculosis. Am J Respir Crit Care Med. 2003, 167, 603–662. [Google Scholar] [CrossRef] [PubMed]
  10. Kulchavenya, E. Best practice in the diagnosis and management of urogenital tuberculosis. Ther Adv Urol. 2013, 5, 143–151. [Google Scholar] [CrossRef] [PubMed]

Article Metrics

Citations

Article Access Statistics

Multiple requests from the same IP address are counted as one view.