Abstract
Introduction: Hafnia alvei is a Gram-negative, facultative anaerobic bacillus that is most often found as an enteric commensal. It is seldom considered to be pathogenic in immunocompetent individuals. Case report: We describe a case of a 23-year-old, previously healthy male, who presented to the emergency department with a two-day history of hemoptysis, mild dyspnea, pleuritic chest pain, fevers, and chills. Bloods revealed leukocytosis and elevated C-reactive protein. Chest X-ray and CT of the thorax revealed a cavitating lesion in the right upper lobe. He was commenced on empiric antibiotic treatment with amoxicillin/clavulanate and clarithromycin for community-acquired pneumonia in accordance with local guidelines. He subsequently underwent a bronchoscopy, and the bronchoalveolar lavage sample revealed a heavy growth of H. alvei. Despite the widely documented natural resistance of H. alvei to penicillin, the patient demonstrated complete resolution of his symptoms and initial raised inflammatory markers. Conclusions: We present a case of community-acquired cavitary pneumonia in a previously healthy young adult with H. alvei isolated from bronchoalveolar lavage samples. Parallels are drawn between our case and other cases of H. alvei respiratory isolates in our discussion of its clinical significance.
Introduction
Hafnia alvei is a Gram-negative, facultative anaerobic bacillus of the Enterobacteriaceae family [1]. The role of H. alvei in human infection remains poorly studied, with most of the few studies investigating this bacterium being published more than two decades ago. It is most often found as an enteric and oropharyngeal commensal, and is rarely considered to be pathogenic in immunocompetent individuals [1]. It is, however, known on occasion to be an opportunistic pathogen capable of causing invasive extraintestinal infections in patients with severe underlying illnesses or immunosuppression [2]. A recent review of existing literature on H. alvei infections in humans found that the most frequently reported H. alvei infections are urinary tract infections, followed by intra-abdominal, bloodstream, and to a lesser extent respiratory tract, and bone or soft tissue infections [3]. H. alvei is rarely associated with community-acquired pneumonia in immunocompetent adults. However, due to its wide resistance to various first line antibiotics, H. alvei pneumonia, when it does occur, often requires treatment with carbapenems or cephalosporins. Herein we present a case of community-acquired cavitary pneumonia in a previously healthy young adult with H. alvei isolated from bronchoalveolar lavage samples, with onward discussion of its clinical significance.
Case report
A 23-year-old previously healthy ex-military serviceman presented to the emergency department on 22/12/22 with a two-day history of hemoptysis, mild dyspnea, pleuritic chest pain, an episode of fever and chills, and a ten-kilogram weight loss over the preceding weeks. He denied any night sweats. He had no significant past medical history other than gastro-esophageal reflux, for which he was on a proton pump inhibitor. Socially, he reported previous cocaine and marijuana use, and regular use of an e-cigarette. He denied any intravenous drug use. He had served in the British army and had toured in Afghanistan for eight to nine weeks in 2019 but denied any contact with tuberculosis cases. He denied any high-risk sexual activity or any history of sexually transmitted diseases. He reported being a bagpipe player.
On examination, he was tachycardic, afebrile, and vitally stable. Auscultation of the chest was unremarkable. Review of the cardiovascular and gastrointestinal systems was normal. No peripheral stigmata of any autoimmune disease were identified.
Blood tests showed neutrophil-predominant (9.31 × 109/L) leukocytosis (11.8 × 109/L), and an elevated C-reactive protein (185 mg/dL). Hemoglobin, electrolytes, renal function tests and liver function tests were within normal range.
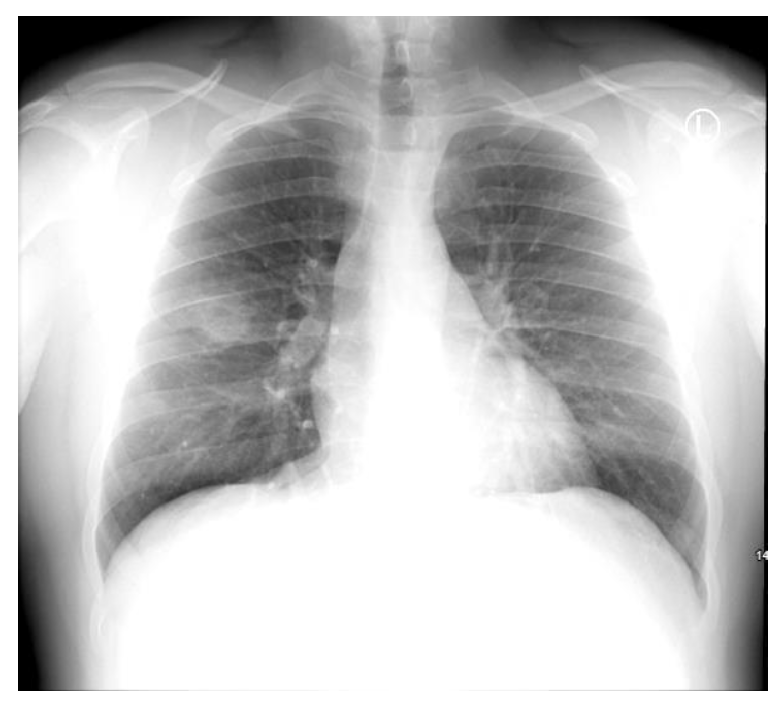
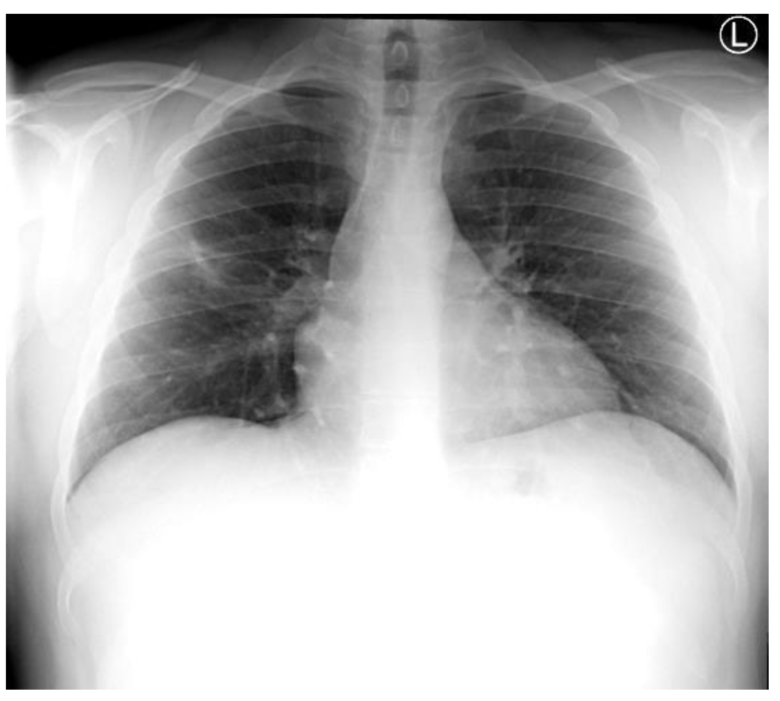
Chest X-ray showed a cavitating lesion in the right upper lobe (RUL), consistent with a cavitating pneumonia (Figure 1). He was empirically commenced on IV amoxicillin/clavulanate 1.2 g TDS and PO clarithromycin 500 mg BD for community-acquired pneumonia in accordance with local antibiotic guidelines.
Figure 1.
Admission chest X-ray demonstrating a right upper lobe cavitating pneumonia.
A CT of the thorax was performed three days into admission as no slots were available sooner. This showed a cavitating mass measuring 80 × 65 × 40 mm in the upper lobe of the right lung, with appearances suggestive of an inflammatory mass (Figure 2).
Figure 2.
CT of the thorax on day three demonstrating a 80×65×40 mm right upper lobe cavitating mass.
As sputum samples failed to isolate any organisms to guide management, he subsequently underwent a bronchoscopy and bronchoalveolar lavage (BAL) on day seven of admission. This revealed an architecturally normal airway, with no significant secretions or endobronchial mucosal lesions. BAL samples taken from the RUL and right middle lobe were sent for bacterial and fungal culture and sensitivity, as well as testing for acid and alcohol fast bacilli (AAFB) and tuberculosis culture.
The following investigations were also sent, which came back negative or were non-contributory: COVID-19 and influenza PCR performed on nose and throat swabs taken on admission; blood cultures taken on admission; AAFB stain, Mycobacterium tuberculosis culture and respiratory culture performed on multiple sputum samples obtained throughout admission; pneumococcal urinary antigen and urine culture performed on mid-stream urine samples obtained on day three of admission; angiotensin-converting enzyme, lactate dehydrogenase, galactomannan and Beta-d-glucan antigens, immunoglobulins and immunology screen performed on day eight of admission, and CT of the abdomen and pelvis performed on day seven of admission. Dipstick urinalysis on admission revealed no evidence of blood to suggest a vasculitis.
The patient remained apyrexial and responded well to treatment with antibiotics, with no further hemoptysis and fevers reported, alongside a reduction in CRP. His CRP was down to 63 mg/dL from 185 mg/dL following seven days of amoxicillin/clavulanate (intravenously for five days and orally for two days), and five days of oral clarithromycin. Consequently, the patient was discharged from the hospital on 30/12/22 pending results of his BAL, on a prescription for oral amoxicillin/clavulanate to complete a 14-day course. He was advised to return for a review in two weeks.
Culture from the bronchoalveolar lavage samples subsequently revealed heavy growth of H. alvei and a light growth of Candida albicans. The isolated H. alvei was noted to be resistant to amoxicillin and amoxicillin/clavulanate, and sensitive to piperacillin/tazobactam, ceftriaxone, cefotaxime, ciprofloxacin, gentamicin and meropenem. Sensitivity to clarithromycin was not tested. The AAFB stain came back negative.
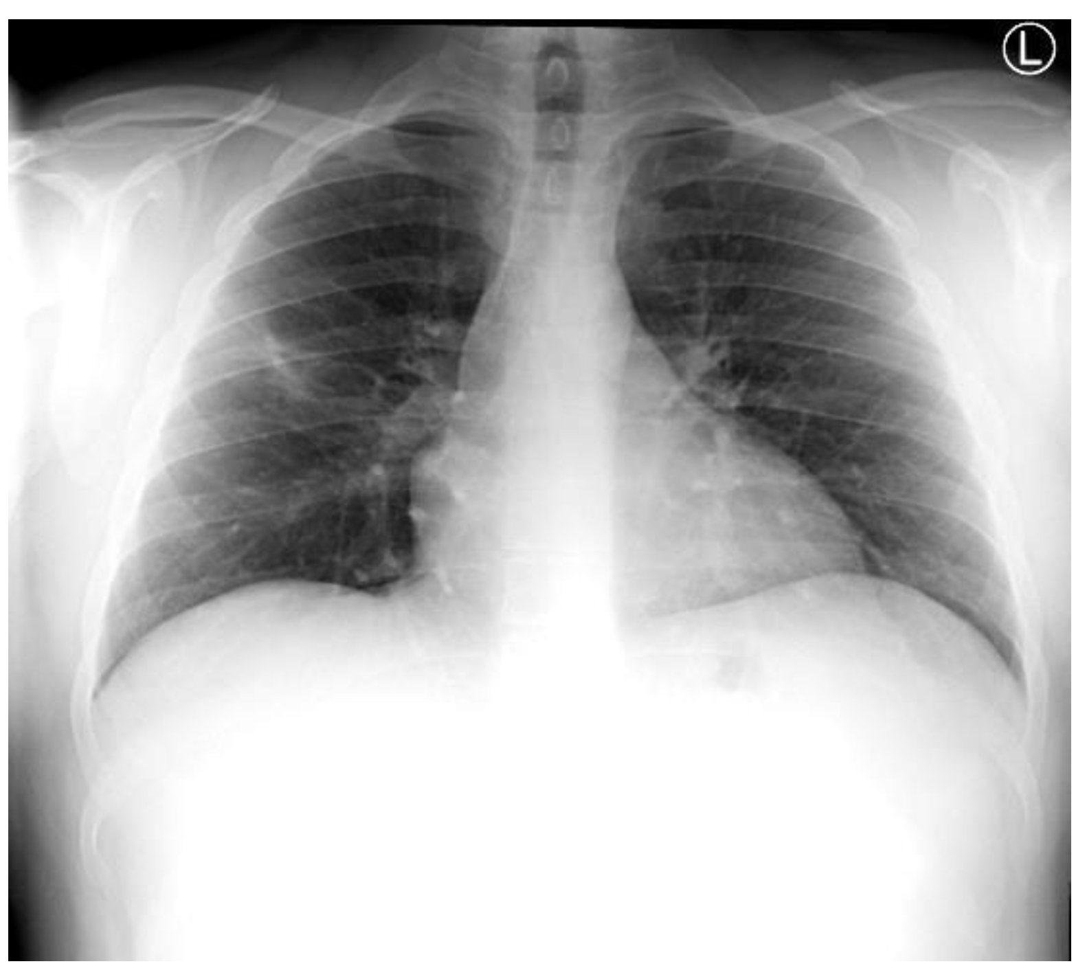
Noting that the patient had been discharged on amoxicillin/clavulanate, an antibiotic to which the isolated H. alvei was noted to be resistant, the patient was recalled for a follow-up review, repeat chest X-ray, and repeat blood tests 11 days after discharge. Remarkably, the repeat chest X-ray revealed significant interval improvement in the cavitating consolidation compared to the index X-ray performed 19 days previously (Figure 3), and repeat blood tests showed resolution of his previously raised inflammatory markers with a leukocyte count of 5.5 × 109/L, and CRP of 3 mg/dL. The patient also reported being symptom free. Following the reassuring review, he was discharged, with a further follow-up chest X-ray organized in six to eight weeks’ time, in accordance with international guidelines. This was performed ten weeks later, and reported almost complete resolution of the previously cavitating lesion in the RUL with only a very small residual lucency. A further follow-up X-ray will be performed in 6-8 weeks to ensure complete resolution.
Figure 3.
Follow-up chest X-ray on day 19 showing significant interval improvement in cavitating consolidation.
Discussion
We report a case of community-acquired cavitary pneumonia in a previously healthy young adult with H. alvei isolated from bronchoalveolar lavage samples. Parallels are drawn between our case and other cases of H. alvei respiratory isolates in the subsequent paragraphs in our discussion of its clinical significance.
How the findings relate to other literature
Unusual presentation of H. alvei as a cavitary pneumonia
Cavitary lung lesions can be of non-infectious or infectious origin. Several groups of microorganisms have been associated with causing cavitary lesions, including common bacteria such as S. pneumoniae, S. aureus, Klebsiella pneumoniae and H. influenzae; typical and atypical mycobacteria; fungi such as aspergillus and pneumocystis jirovecii; as well as parasites. Lung cavitation due to H. alvei pneumonia is uncommon, with only one other case study, to our knowledge, reporting the finding of a cavitating lesion [4].
Resolution of infection despite resistance to prescribed antibiotics
H. alvei was isolated from our patient’s BAL sample and was found to be resistant to penicillin and amoxicillin/clavulanate, and sensitive to piperacillin/tazobactam, ceftriaxone, cefotaxime, ciprofloxacin, gentamicin and meropenem. This is consistent with existing literature which documents H. alvei’s resistance to penicillin, amoxicillin/clavulanate, and macrolides [1]. However, our patient surprisingly showed remarkable clinical, biochemical, and radiological improvement following empiric treatment with amoxicillin/clavulanate and clarithromycin.
Clinical course of H. alvei pneumonia in an immunocompetent host
While H. alvei has been reported to be responsible for invasive extraintestinal infections in patients with severe comorbidities or immunosuppression, it is not commonly implicated as a pathogen in respiratory tract infections, particularly in immunocompetent adults. A review of current literature reveals a small number of case reports of H. alvei pneumonia, mostly occurring in immunocompromised patients with multiple comorbidities [5,6].
We note only one case of H. alvei pneumonia in a previously healthy adult reported by Severiche-Bueno and colleagues [4]. Their case involved a previously healthy 57-year-old woman who presented with cough, chills, fever, malaise, and right-sided pleuritic chest pain. Her blood tests on admission showed leukocytosis, neutrophilia, and a raised C-reactive protein. Her chest X-ray demonstrated a radio-opaque image in the RUL, and subsequent CT of the thorax revealed an extensive area of consolidation with diffuse cavitation in the RUL. Empiric therapy in this case included IV amoxicillin-sulbactam and IV clarithromycin, but required escalation to IV piperacillin-tazobactam after two days of treatment as first line therapy failure was evident. She went on to undergo a bronchoscopy, and BAL resulted in growth of H. alvei resistant to cefoxitin, ampicillin-sulbactam, and piperacillin-tazobactam. Consequently, IV piperacillin-tazobactam was switched to IV cefepime, and clinical, biochemical and radiographical improvement were noted thereafter.
Parallels can be drawn between our case and that of Severiche-Bueno and colleagues, as both patients were previously healthy, had similar clinical presentations, as well as laboratory and radiological findings. However, they differed significantly in terms of their clinical course – while our patient showed good improvement on empiric antibiotic therapy with a penicillin-beta-lactamase inhibitor combination and clarithromycin, and was discharged after a week in hospital, the patient in Severiche-Bueno and colleagues’ case showed no improvement, required escalation of antibiotics, and was discharged after 4 weeks of treatment.
Role of E-cigarettes and wind instruments in lung disease
Of note, the patient in our case regularly used e-cigarettes and played the bagpipe. While the significance of these is to be ascertained, they could be contributory to his presentation. There is growing evidence linking the use of e-cigarettes with lung disease, with e-cigarette or vaping-associated lung injury (EVALI) being extensively reported within the United States in recent years, and an increasing number of reports on EVALI worldwide. There has also been a case report linking vaping to the development of cavitary pneumonias in previously healthy, young adults [7], although a causative organism was not identified. On the other hand, the playing of wind instruments such as bagpipes has been posited to be a trigger for developing hypersensitivity pneumonitis secondary to instrument contamination [8], as well as to increase the risk of bacterial and viral chest infections [9,10]. Organisms implicated include fungi, Candida, and Pseudomonas [8,9,10].
Clinical significance of H. alvei: Contaminant or Causative?
In consideration of the above factors, we propose several reasons behind our patient’s remarkable improvement. First, H. alvei could have been a contaminant that was introduced into the BAL sample from the oropharynx by the bronchoscope, rather than the causative pathogen, with the latter being susceptible to and hence eradicated by amoxicillin/clavulanate and clarithromycin. Second, as H. alvei is known to be an opportunistic pathogen, with infections mostly occurring in immunocompromised hosts, our patient’s apparent improvement could be driven by the immune response his body mounted to the infection, rather than the antibiotic treatment itself.
Conclusions
We present a case of community-acquired cavitary pneumonia in a previously healthy young adult with H. alvei isolated from bronchoalveolar lavage samples. Parallels are drawn between our case and other reported cases of H. alvei respiratory isolates in our discussion of its clinical significance.
Author Contributions
All authors contributed to study conception and design, data acquisition and analysis, drafting of manuscript, critical revision. All authors read and approved the final version of the manuscript.
Funding
None to declare.
Conflicts of Interest
All authors – none to declare.
Consent
Written consent was obtained from the patient for the publication of this case report and the accompanying images. Ethics approval is not required for case reports at our institution.
References
- Klapholz, A.; Lessnau, K.D.; Huang, B.; Talavera, W.; Boyle, J.F. Hafnia alvei. Respiratory tract isolates in a community hospital over a three-year period and a literature review. Chest. 1994, 105, 1098–1100. [Google Scholar] [CrossRef] [PubMed]
- Rodríguez-Guardado, A.; Boga, J.A.; Diego, I.D.; Ordás, J.; Alvarez, M.E.; Pérez, F. Clinical characteristics of nosocomial and community-acquired extraintestinal infections caused by Hafnia alvei. Scand J Infect Dis. 2005, 37, 870–872. [Google Scholar] [CrossRef] [PubMed]
- Ionescu, M.I.; Neagoe, D.Ș.; Crăciun, A.M.; Moldovan, O.T. The Gram-negative bacilli isolated from cavesSphingomonas paucimobilis and Hafnia alvei and a review of their involvement in human infections. Int J Environ Res Public Health. 2022, 19, 2324. [Google Scholar] [CrossRef] [PubMed]
- Severiche-Bueno, D.F.; Vargas-Cuervo, M.T.; Medina-Lee, L.; et al. Hafnia alvei pneumonia: from bees to human beings. Germs. 2021, 11, 306–309. [Google Scholar] [CrossRef] [PubMed]
- Loya, M.K.; Walsh, J. A case of community acquired pneumonia caused by Hafnia alvei developing into an empyema. Chest. 2015, 148, 101A. [Google Scholar] [CrossRef]
- Begbey, A.; Guppy, J.H.; Mohan, C.; Webster, S. Hafnia alvei pneumonia: a rare cause of infection in the multimorbid or immunocompromised. BMJ Case Rep. 2020, 13, e237061. [Google Scholar] [CrossRef] [PubMed]
- Abeles, M.; Chen, L.M.; Pirzada, M.; Halaby, C. Cavitary lung lesion in a vaping teenager. Am J Respir Crit Care Med 2020, 201, A6039. [Google Scholar] [CrossRef]
- King, J.; Richardson, M.; Quinn, A.M.; Holme, J.; Chaudhuri, N. Bagpipe lung; a new type of interstitial lung disease? Thorax. 2017, 72, 380–382. [Google Scholar] [CrossRef] [PubMed][Green Version]
- Drover, H.; Douglas, E.; Harvey-Dunstan, T.C.; Gates, S.; Hyndes, K. P139 Are wind instrument musicians at a greater risk of developing a chest infection when compared to the general UK population? Thorax. 2019, 74 (Suppl. 2). [Google Scholar] [CrossRef]
- Stephens, C.M.; Chroinin, M.N. Protracted bacterial bronchitis related to bagpipe playing in a teenager. Ir Med J. 2021, 114, 278. [Google Scholar]
© GERMS 2023.


