Next Issue
Volume 13, 12
Previous Issue
Volume 13, 06
 
 
Germs is published by MDPI from Volume 15 Issue 4 (2025). Previous articles were published by another publisher in Open Access under a CC-BY (or CC-BY-NC-ND) licence, and they are hosted by MDPI on mdpi.com as a courtesy and upon agreement with the former publisher Infection Science Forum.

Germs, Volume 13, Issue 3 (09 2023) – 13 articles , Pages 207-296

  • Issues are regarded as officially published after their release is announced to the table of contents alert mailing list.
  • You may sign up for e-mail alerts to receive table of contents of newly released issues.
  • PDF is the official format for papers published in both, html and pdf forms. To view the papers in pdf format, click on the "PDF Full-text" link, and use the free Adobe Reader to open them.
Order results
Result details
Select all
Export citation of selected articles as:
5 pages, 252 KB  
Case Report
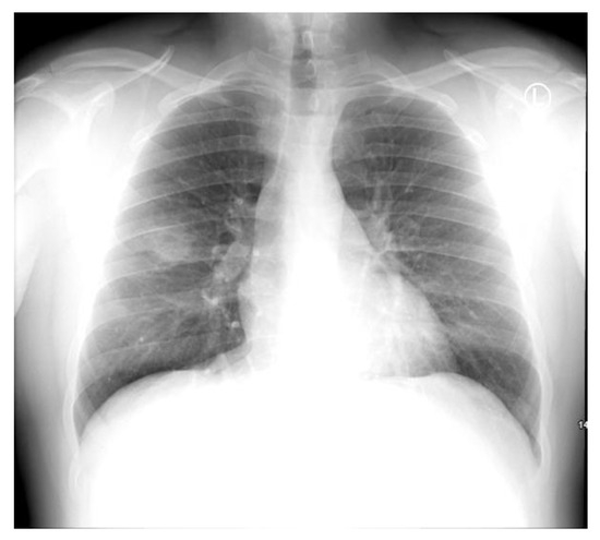
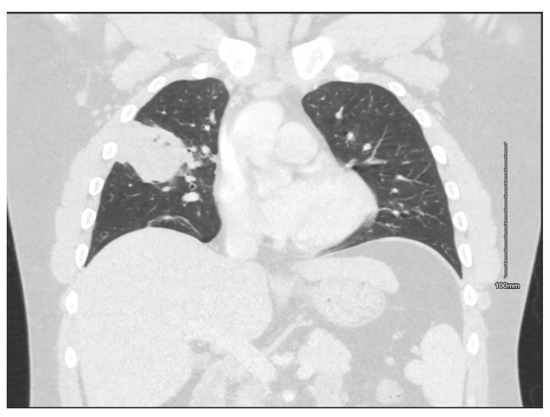
Isolation of Hafnia alvei from Bronchoalveolar Lavage of an Immunocompetent Host Presenting with Cavitating Pneumonia: Contaminant or Causative?
by Jayleigh Lim, Kenneth Bolger and Brian Canavan
Germs 2023, 13(3), 292-296; https://doi.org/10.18683/germs.2023.1398 - 30 Sep 2023
Cited by 1 | Viewed by 288
Abstract
Introduction: Hafnia alvei is a Gram-negative, facultative anaerobic bacillus that is most often found as an enteric commensal. It is seldom considered to be pathogenic in immunocompetent individuals. Case report: We describe a case of a 23-year-old, previously healthy male, who presented to [...] Read more.
Introduction: Hafnia alvei is a Gram-negative, facultative anaerobic bacillus that is most often found as an enteric commensal. It is seldom considered to be pathogenic in immunocompetent individuals. Case report: We describe a case of a 23-year-old, previously healthy male, who presented to the emergency department with a two-day history of hemoptysis, mild dyspnea, pleuritic chest pain, fevers, and chills. Bloods revealed leukocytosis and elevated C-reactive protein. Chest X-ray and CT of the thorax revealed a cavitating lesion in the right upper lobe. He was commenced on empiric antibiotic treatment with amoxicillin/clavulanate and clarithromycin for community-acquired pneumonia in accordance with local guidelines. He subsequently underwent a bronchoscopy, and the bronchoalveolar lavage sample revealed a heavy growth of H. alvei. Despite the widely documented natural resistance of H. alvei to penicillin, the patient demonstrated complete resolution of his symptoms and initial raised inflammatory markers. Conclusions: We present a case of community-acquired cavitary pneumonia in a previously healthy young adult with H. alvei isolated from bronchoalveolar lavage samples. Parallels are drawn between our case and other cases of H. alvei respiratory isolates in our discussion of its clinical significance. Full article
Show Figures

Figure 1

4 pages, 223 KB  
Case Report
Minimally-Invasive Definitive Treatment of Recurrent Sialadenitis Due to Obstructive Sialolithiasis—A Case Report
by Iulian Filipov, Corina Marilena Cristache and Mihai Săndulescu
Germs 2023, 13(3), 288-291; https://doi.org/10.18683/germs.2023.1397 - 30 Sep 2023
Cited by 3 | Viewed by 600
Abstract
Introduction: Salivary gland lithiasis is one of the most frequent causes of sialadenitis. We report the case of a patient who presented multiple episodes of subangulomandibular tumefaction, until salivary lithiasis was finally identified as the underlying condition and resolved through a minimally invasive [...] Read more.
Introduction: Salivary gland lithiasis is one of the most frequent causes of sialadenitis. We report the case of a patient who presented multiple episodes of subangulomandibular tumefaction, until salivary lithiasis was finally identified as the underlying condition and resolved through a minimally invasive approach. Case report: A 43-year-old male patient presented with a history of 12 episodes of recurring one-sided subangulomandibular tumefaction over the course of the past 3 years. A computed tomography of the head and neck revealed a large calculus on Wharton's duct and right lithiasic submaxillitis. Non-steroidal anti-inflammatory treatment and antibiotic treatment was administered, and after the complete resolution of the acute process, we performed a sialendoscopically-assisted sialolithotomy with complete removal of the calculus. Following the procedure, the patient was discharged on the same day, clinically well, and displayed no further recurrences over a follow-up duration of 12 months. Conclusions: The case we have reported highlights the importance of performing a correct differential diagnosis and of determining the underlying cause of recurrent sialadenitis, in order to ensure the most adequate therapeutic and, when warranted, minimally-invasive surgical management for definitive treatment. Full article
Show Figures

Figure 1

6 pages, 297 KB  
Case Report
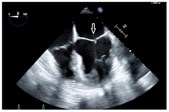
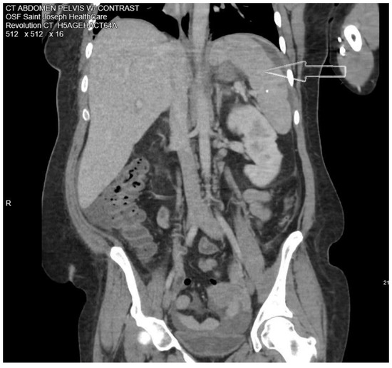
Finding of Anaerococcus hydrogenalis in Blood Using Cell-Free DNA Technique in a Patient with Infective Endocarditis
by Tulika Chatterjee, Moni Roy, Yeshaswini Panathur Sreenivasa Reddy and Sharjeel Ahmad
Germs 2023, 13(3), 282-287; https://doi.org/10.18683/germs.2023.1396 - 30 Sep 2023
Cited by 5 | Viewed by 272
Abstract
Introduction: The annual incidence of infective endocarditis (IE) is 3–9 cases per 100,000 in developed countries and most cases are due to staphylococci and streptococci. IE due to Gram-positive anaerobic cocci (GPAC) is very rare. Case report: We present a case of a [...] Read more.
Introduction: The annual incidence of infective endocarditis (IE) is 3–9 cases per 100,000 in developed countries and most cases are due to staphylococci and streptococci. IE due to Gram-positive anaerobic cocci (GPAC) is very rare. Case report: We present a case of a 38-year-old female with Anaerococcus hydrogenalis bacteremia and infective endocarditis of the native mitral valve. She presented with fever, chills, and abdominal pain. A computed tomographic scan of the abdomen showed splenic abscesses. Blood cultures and broad-range PCR from the splenic abscess sample were negative. Transthoracic echocardiography showed a mobile filamentous structure on the atrial side of the anterior mitral leaflet which was suggestive for infective endocarditis. Karius test (cell-free microbial DNA testing) showed Gram-positive anaerobic cocci Anaerococcus hydrogenalis. She was successfully treated with antibiotics. Conclusions: In cases of infection with fastidious organisms like GPACs, the use of next-generation sequencing (NGS) can allow the correct identification of culprit pathogens and streamlined treatment. Full article
Show Figures

Figure 1

5 pages, 239 KB  
Case Report
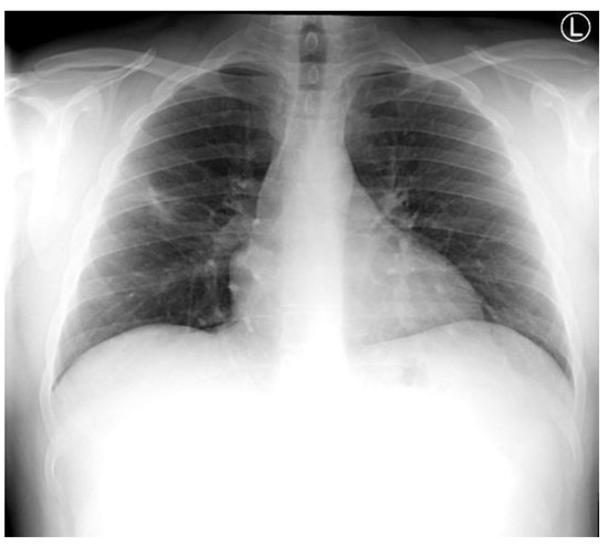
Disseminated Bacillus Calmette-Guérin (BCG) Infection Presenting as Severe Respiratory Failure and Septic Shock
by Diamantina Marouli, Charalampos Pappas, Maria Raissaki, Athanasia Proklou, Eleftherios Papadakis and Eumorfia Kondili
Germs 2023, 13(3), 277-281; https://doi.org/10.18683/germs.2023.1395 - 30 Sep 2023
Cited by 5 | Viewed by 650
Abstract
Introduction: Intravesical Bacillus Calmette-Guérin (BCG) instillation is the most effective adjuvant therapy for superficial urinary bladder carcinoma, prolonging disease-free survival. Although it is usually well tolerated, moderate to severe local or systemic infectious complications, including sepsis involving multiple organs, may occur. Case report: [...] Read more.
Introduction: Intravesical Bacillus Calmette-Guérin (BCG) instillation is the most effective adjuvant therapy for superficial urinary bladder carcinoma, prolonging disease-free survival. Although it is usually well tolerated, moderate to severe local or systemic infectious complications, including sepsis involving multiple organs, may occur. Case report: We report the unusual case of a man in his mid ‘70s who presented with septic shock and severe acute respiratory failure requiring intubation. Lack of response to antibiotics, history of intravesical BCG instillation and consistent imaging findings led to further investigations, with bronchoalveolar lavage (BAL) fluid polymerase chain reaction (PCR) results indicating pneumonitis due to Mycobacterium bovis dissemination. Prompt anti-tuberculosis treatment combined with corticosteroids resulted in significant clinical and radiological improvement, supporting the diagnosis of disseminated BCG infection. Conclusions: Due to its non-specific clinical presentation and the relatively low diagnostic yield of conventional microbiological tests, a high index of suspicion is required for prompt diagnosis and treatment of systemic BCG infection. PCR-based assays for mycobacterial DNA identification may represent a valuable tool facilitating timely diagnosis of this uncommon, yet potentially life-threatening infection. Full article
Show Figures

Figure 1

4 pages, 229 KB  
Case Report
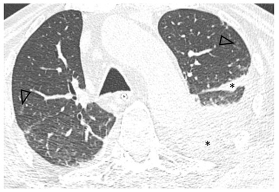
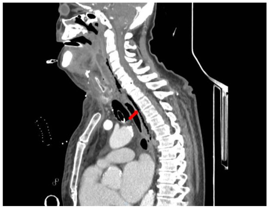
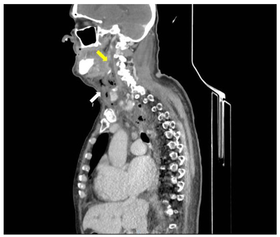
Descending Necrotizing Mediastinitis Caused by Retro-Pharyngeal Eggerthia catenaformis Infection
by Alessandro Graziani, Maria Vittoria Tamburini, Francesco Congestrì, Ludovico Graziani, Maria Giulia Sama, Guido Caroli and Riccardo Spaggiari
Germs 2023, 13(3), 273-276; https://doi.org/10.18683/germs.2023.1394 - 30 Sep 2023
Cited by 1 | Viewed by 495
Abstract
Introduction: Eggerthia catenaformis, a non-spore-forming anaerobic Gram-positive bacillus component of the human fecal microbiota has rarely been reported in human diseases. In almost every case described in current literature to date, dental diseases (abscesses, periodontitis, or caries), are the most common source [...] Read more.
Introduction: Eggerthia catenaformis, a non-spore-forming anaerobic Gram-positive bacillus component of the human fecal microbiota has rarely been reported in human diseases. In almost every case described in current literature to date, dental diseases (abscesses, periodontitis, or caries), are the most common source of the infection which extends to the brain, cervical spaces, pulmonary parenchyma, the pleural cavity, the abdominal wall, and the abdominal cavity. Case report: An 82-year-old male Caucasian patient was admitted to our Emergency Department (ED) with a painless, right submandibular mass, dyspnea, and inspiratory stridor. A CT scan of the head, neck, and chest with intravenous contrast material revealed a retrotonsillar fluid collection. Air bubbles and minimal fluid were present from the right sub-mandibular area to the lower mediastinum between the spine, the descending thoracic aorta, and the trachea. The patient underwent surgical treatment and a broad-spectrum antibiotic. The retropharyngeal fluid collection culture showed the presence of Eggerthia catenaformis. After a first period in the Intensive Care Unit, he was admitted to a Step-Down Unit (SDU) where he underwent respiratory weaning, motor rehabilitation, and gradual oral feeding resumption. At discharge, the patient maintained the tracheal cannula as he still had impaired swallowing of solid foods. Conclusions: Here we report the first case of descending necrotizing mediastinitis in a patient with a retropharyngeal abscess, in the absence of dental diseases. Full article
Show Figures

Figure 1

7 pages, 302 KB  
Case Report
Development of Neutropenic Sepsis During the Eradication Phase with Co-Trimoxazole in Patients with Melioidosis: Two Case Reports
by Jayaweera Arachchige Asela Sampath Jayaweera and Gerard Ranasinghe
Germs 2023, 13(3), 266-272; https://doi.org/10.18683/germs.2023.1393 - 30 Sep 2023
Cited by 1 | Viewed by 300
Abstract
Introduction: Burkholderia pseudomallei is the bacterium that causes melioidosis. It is mostly a tropical disease, and particularly common in Southeast Asia and northern Australia. The intensive intravenous phase and the oral prolonged eradication phase are the two phases of melioidosis treatment. The current [...] Read more.
Introduction: Burkholderia pseudomallei is the bacterium that causes melioidosis. It is mostly a tropical disease, and particularly common in Southeast Asia and northern Australia. The intensive intravenous phase and the oral prolonged eradication phase are the two phases of melioidosis treatment. The current recommended treatment for melioidosis eradication is oral co-trimoxazole (TMP/SMX). Case report: Two patients were diagnosed with B. pseudomallei bacteremia without a focus and were treated with oral TMP/SMX with folic acid during the eradication phase. Both presented with neutropenic sepsis with pneumonia and pyelonephritis at days 48 and 45 following TMP/SMX 320/1600 mg q12h (4 tablets) and in both of them, the folic acid compliance was poor. One patient died and the other survived following intensive treatment for neutropenia. At the presentation following neutropenic sepsis among both patients, the red blood cells and platelets were within normal limits. Both patients were on a high dose of TMP/SMX, as both were within 40–60 kg of body weight the ideal TMP/SMX dose would be 240/1200 mg q12h (3 tablets). Pancytopenia caused by TMP/SMX can frequently develop gradually over time. Alternately, it can develop rapidly and swiftly escalate to fulminant sepsis, disseminated intravascular coagulation, and fast hemolysis. However, the development of isolated neutropenia is rarely described in the literature. Conclusions: Prolonged use of TMP/SMX is important to eradicate B. pseudomallei and always the possibility of rare adverse effects has to be considered. Always weight-based TMP-SMX dosing has to be encouraged with need to ensure the compliance of folic acid. During the eradication phase, continuous monitoring of blood cell lines with weekly full blood count would be essential to identify neutropenia in advance. Full article
Show Figures

Figure 1

7 pages, 305 KB  
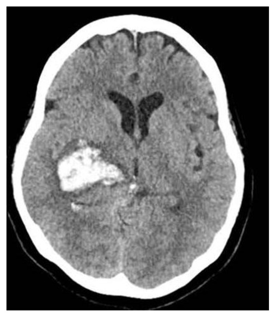
Case Report
Acquired Thrombotic Thrombocytopenic Purpura as a Clinical Manifestation of Pulmonary Tuberculosis: A Case Report
by Kateir Contreras, Oscar Miguel Contreras Amorocho and Julian Serrano Giraldo
Germs 2023, 13(3), 259-265; https://doi.org/10.18683/germs.2023.1392 - 30 Sep 2023
Cited by 3 | Viewed by 353
Abstract
Introduction: Thrombotic thrombocytopenic purpura (TTP) is a thrombotic microangiopathy associated with severe ADAMTS13 deficiency that can be potentially fatal if not treated in a timely manner. Case report: A 49-year-old previously healthy woman was admitted with a 3-month history of thoracoabdominal pain and [...] Read more.
Introduction: Thrombotic thrombocytopenic purpura (TTP) is a thrombotic microangiopathy associated with severe ADAMTS13 deficiency that can be potentially fatal if not treated in a timely manner. Case report: A 49-year-old previously healthy woman was admitted with a 3-month history of thoracoabdominal pain and headache associated with loss of appetite, emesis, nocturnal diaphoresis, and unintentional loss of 10 kg. On admission she presented anemia, thrombocytopenia, schistocytes in peripheral blood smear, and ADAMTS13 in 1.4%. Due to laboratory findings a diagnosis of TTP was established, and plasma exchange therapy and steroid pulses were started, with resolution of hematological alterations. Within the studies to determine etiology of TTP, pulmonary tuberculosis (TB) was found, neoplastic and autoimmune pathologies were excluded. The tetraconjugated treatment was initiated with optimal tolerance. Conclusions: Upon clinical suspicion of TTP, plasma exchange therapy should be initiated urgently; infectious, neoplastic, or autoimmune pathologies can be triggers; in this case, pulmonary TB was confirmed. Full article
Show Figures

Figure 1

5 pages, 241 KB  
Case Report
A Rare Case of Sphingomonas paucimobilis Ventriculitis
by James B. Doub and Joel V. Chua
Germs 2023, 13(3), 254-258; https://doi.org/10.18683/germs.2023.1391 - 30 Sep 2023
Cited by 2 | Viewed by 482
Abstract
Introduction: Nosocomial ventriculitis is a severe infection that habitually plagues neurological intensive care units. It is usually associated with external ventricular drains. Unfortunately, classic cerebral spinal fluid parameters are less specific and sensitive compared to community acquired meningitis. This is in part secondary [...] Read more.
Introduction: Nosocomial ventriculitis is a severe infection that habitually plagues neurological intensive care units. It is usually associated with external ventricular drains. Unfortunately, classic cerebral spinal fluid parameters are less specific and sensitive compared to community acquired meningitis. This is in part secondary to indolent bacteria commonly infecting external ventricular drains leading to ventriculitis. Case report: Herein, a rare case of Sphingomonas paucimobilis ventriculitis in an immunocompetent host is reported. The patient had classic symptoms of ventriculitis, but her cerebral spinal fluid parameters were benign and initial cultures were negative. Consequently, treatment was tailored to an assumed respiratory infection only to have recurrence of her symptoms. Repeat analysis of her cerebral spinal fluid was again benign, but her cerebral spinal fluid culture grew S. paucimobilis. Subsequently, the patient was treated with cefepime, which resolved her symptoms. She completed a two-week course and has had no recurrence of her infection. Conclusions: This case reinforces the need for clinicians to have heightened awareness of this emerging pathogen, its antibiotic resistance patterns, and the unique composition of this bacterium’s cell wall which has ramifications on disease presentation. Full article
Show Figures

Figure 1

16 pages, 719 KB  
Article
Microbiome Analysis of Bile Samples in Patients with Choledocholithiasis and Hepatobiliary Disorders
by Masoumeh Azimirad, Amir Sadeghi, Nazanin Hosseinkhan, Seyedeh Zohre Mirbagheri and Masoud Alebouyeh
Germs 2023, 13(3), 238-253; https://doi.org/10.18683/germs.2023.1390 - 30 Sep 2023
Cited by 6 | Viewed by 388
Abstract
Introduction: The involvement of bacteria in the pathogenesis of biliary tract disease is largely unknown. In this study, we investigated the microbiota of the biliary tissue among adult patients with choledocholithiasis during endoscopic retrograde cholangiography (ERCP). Methods: 16S rDNA sequencing of bile samples, [...] Read more.
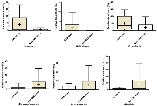
Introduction: The involvement of bacteria in the pathogenesis of biliary tract disease is largely unknown. In this study, we investigated the microbiota of the biliary tissue among adult patients with choledocholithiasis during endoscopic retrograde cholangiography (ERCP). Methods: 16S rDNA sequencing of bile samples, culture, and data of the medication history, underlying diseases, and liver function tests were used for the interpretation of differences in the composition of detected bacterial taxa. Results: The four most common phyla in the bile samples included Proteobacteria, Firmicutes, Actinobacteria, and Bacteroidetes. Infection with anaerobic and microaerophilic bacteria showed host specificity, where Fusobacterium, Prevotella, Veillonella, Propionibacterium, Gemella, and Helicobacter coexist in the same patients. Clostridium and Peptoclostridium spp. were detected in 80% and 86% of the patients, where the highest relative abundance rates were detected in patients with elevated alkaline phosphatase (ALP) levels and leukocytosis, respectively. Higher diversity in the bacterial population was detected in patients with common bile duct (CBD) stone, in which the richness of an unclassified member of Alphaproteobacteria plus Helicobacter, Enterobacter/Cronobacter spp., Sphingomonas, Prevotella, Fusobacterium and Aeromonas were detected. Conclusions: Our findings suggested correlations between the presence and relative abundance of several bacterial taxa and CBD stone formation and the effect of medication and underlying diseases on the bile microbial communities. A study on a higher number of bile samples from patients compared with the control group could reveal the role of these bacteria in the pathogenesis of biliary tract disease. Full article
Show Figures

Figure 1

9 pages, 380 KB  
Article
The Emergence of Multidrug-Resistant Gram-Positive Bloodstream Infections in India—A Single Center Prospective Cohort Study
by Nakka Vihari, Gopal Krishana Bohra, Ram Ratan Yadev, Deepak Kumar, Durga Shankar Meena, Vibhor Tak, Ankur Sharma, Vijaylaxmi Nag and Mahendra Kumar Garg
Germs 2023, 13(3), 229-237; https://doi.org/10.18683/germs.2023.1389 - 30 Sep 2023
Cited by 4 | Viewed by 364
Abstract
Introduction: Gram-positive bloodstream infections (BSIs) are an emerging health concern, especially in resource-limited settings. There is a paucity of data regarding the antimicrobial resistance (AMR) pattern of Gram-positive BSIs. The rise in multidrug-resistant infections further convoluted antibiotic selection. We aimed to assess the [...] Read more.
Introduction: Gram-positive bloodstream infections (BSIs) are an emerging health concern, especially in resource-limited settings. There is a paucity of data regarding the antimicrobial resistance (AMR) pattern of Gram-positive BSIs. The rise in multidrug-resistant infections further convoluted antibiotic selection. We aimed to assess the incidence, clinical and microbiological profile, antimicrobial resistance (AMR) and outcome in Gram-positive BSIs. Methods: This was a single-center prospective study conducted at a tertiary care hospital in Western India. All patients (age ≥ 18 years) with culture-proven Gram-positive BSIs were included. Data were collected on all patients’ demography, risk factors, AMR and clinical outcome. Results: A total of 210 clinically significant isolates were grown from July 2020 to December 2021. The incidence of Gram-positive BSIs was 29% (n = 61); 55.9% of cases were healthcare-associated, while 44.1% were community-acquired. Coagulase-negative staphylococci (CoNS) were the major isolates (36.1%), followed by Enterococcus spp. (27.9%), methicillin-susceptible Staphylococcus aureus (MSSA) (18%) and methicillin-resistant Staphylococcus aureus (MRSA) (14.7%). The proportion of vancomycin and teicoplanin-resistant CoNS isolates was 13.6% and 19%. Among Enterococcus isolates, the proportion of vancomycin-resistant enterococci (VRE) and linezolid-resistant enterococci (LRE) were 11.8% and 5.9%. The overall mortality in Gram-positive BSIs was 42.6%. Older age, MRSA infection, septic shock, and high NLR were significantly associated with mortality. On the Cox regression model, age ≥ 65 years (HR: 2.5; 95%CI: 1.1–5.8; p = 0.024) and MRSA infection (HR: 3.6; 95%CI: 1.5–8.5; p = 0.021) were found as independent predictors of 30-day mortality. Conclusions: This study found substantial mortality with Gram-positive BSIs, especially MRSA infections. Moreover, the emergence of VRE and LRE is also alarming. Active surveillance of AMR and evaluation of mortality predictors may help overcome the therapeutic challenges in managing BSIs. Full article
Show Figures

Figure 1

8 pages, 249 KB  
Article
Effect of Antibiotic De-Escalation on Clinical Outcomes in Patients with Carbapenem-Resistant Enterobacteriaceae Bacteremia (CRE) in the Hematology-Oncology Setting
by Nitin Bansal, Neelam Sachdeva, Dinesh Bhurani, Narendra Agarwal, Rayaz Ahmed, Pallavi Mehta and Rohan Halder
Germs 2023, 13(3), 221-228; https://doi.org/10.18683/germs.2023.1388 - 30 Sep 2023
Cited by 3 | Viewed by 486
Abstract
Introduction: Carbapenem-resistant Enterobacteriaceae (CRE) infections are associated with poor outcomes, particularly among hematology-oncology patients. Appropriate use (selection and de-escalation) of antibiotics is a key component of management of febrile neutropenia particularly in high CRE prevalence regions like India. Methods: This was a retrospective [...] Read more.
Introduction: Carbapenem-resistant Enterobacteriaceae (CRE) infections are associated with poor outcomes, particularly among hematology-oncology patients. Appropriate use (selection and de-escalation) of antibiotics is a key component of management of febrile neutropenia particularly in high CRE prevalence regions like India. Methods: This was a retrospective study done (April 2019–December 2021) in a dedicated oncology center in North India, which assessed the case records of the patients undergoing therapy for hematological malignancies who were diagnosed with CRE bacteremia. Demographic, clinical and microbiological data, as well as antibiotic prescription patterns were studied. Inter-group analysis was done between an antibiotic stewardship cohort (avoiding CRE therapy empirically or stopping CRE therapy if cultures negative; as per suggestions of the AMS team) and a non-antibiotic stewardship cohort (continuation of empirical CRE therapy; de-escalation advice was not followed). Results: A total of 139 patients were identified, with median age of 41 years (range 13–74) out of which 82 (58.9%) were males. Acute myeloid leukemia (66.2%) was the most common malignancy, followed by lymphoma (8.6%) and myeloma (8.6%). Nearly 30% of patients were post allogenic stem cell transplant. Klebsiella pneumoniae was the predominant organism (78.4%) and combination of NDM+OXA-48 (46.3%) was the most common carbapenemase gene detected followed by OXA-48 alone (34.7%). Overall, 28-day mortality was 26.6%. On binary logistic regression analysis, lack of compliance with antibiotic stewardship intervention was an independent predictor of mortality (p = 0.005). Conclusions: Prior exposure to empirical CRE therapy or failure to de-escalate was associated with poor outcomes in patients with CRE bacteremia, which gives us a window of antibiotic stewardship in febrile neutropenia. Full article
Show Figures

Figure 1

11 pages, 638 KB  
Article
Bacteremia and Antimicrobial Resistance Pattern of Uropathogens Causing Febrile Urinary Tract Infection in a Pediatric University Hospital
by Hassan Heshmat, Marwa Meheissen, Ahmed Farid and Eman Hamza
Germs 2023, 13(3), 210-220; https://doi.org/10.18683/germs.2023.1387 - 30 Sep 2023
Cited by 2 | Viewed by 332
Abstract
Introduction: Febrile urinary tract infections (UTIs) in children are among the most serious bacterial infections. Inadequate treatment can lead to kidney scarring and permanent kidney damage. Eight to ten percent of children with UTIs could have concomitant bacteremia. The study aimed to estimate [...] Read more.
Introduction: Febrile urinary tract infections (UTIs) in children are among the most serious bacterial infections. Inadequate treatment can lead to kidney scarring and permanent kidney damage. Eight to ten percent of children with UTIs could have concomitant bacteremia. The study aimed to estimate the prevalence of UTI-associated bacteremia and identify common organisms causing UTIs and their antimicrobial susceptibility patterns to help guide empiric antimicrobial therapy. Methods: The current study was conducted over a 6-month period on children admitted with febrile UTIs at Alexandria University Children’s Hospital. Blood and urine samples were collected for culture and antimicrobial susceptibility. Results: A total of 103 children with a median age of 12 months (IQR 6.0–24.0) were included in the study. Concomitant bacteremia was present in 63.1% (n = 65). The median temperature of 38.40 °C (IQR 38.15–38.60) and the median creatinine level of 0.18 mg/dL (IQR 0.14–0.25) were significantly higher in the bacteremic group compared to the non-bacteremic group (p = 0.005, p = 0.034, respectively). E. coli (n = 51; 49.5%) and Klebsiella pneumoniae (n = 30; 29.1%) were the most common isolated organisms. Most (n = 68; 66%) of the isolated organisms were multidrug-resistant (MDR), followed by extensively drug-resistant (XDR) (n = 16; 15.5%), and pan-drug-resistant (PDR) organisms (n = 1; 1%). E. coli showed lower resistance to gentamicin and ceftriaxone (9.8 % and 13.7%, respectively). Conclusions: E. coli remains the most important UTI pathogen. Ceftriaxone and gentamicin are good empiric options for febrile UTIs in our hospital. Full article
Show Figures

Figure 1

3 pages, 206 KB  
Perspective
The 5Ds of Optimized Antimicrobial Prescription in Dental Medicine
by Oana Săndulescu and Mihai Săndulescu
Germs 2023, 13(3), 207-209; https://doi.org/10.18683/germs.2023.1386 - 30 Sep 2023
Cited by 3 | Viewed by 188
Abstract
Antimicrobials are among the main breakthroughs of contemporary medicine [...] Full article
Show Figures

Figure 1

Previous Issue
Next Issue
Back to TopTop