Cloning and Expression of Levansucrase Gene of Bacillus velezensis BM-2 and Enzymatic Synthesis of Levan
Abstract
1. Introduction
2. Materials and Methods
2.1. Microorganisms and Culture Conditions
2.2. Plasmid Construction
2.3. Expression of Levansucrase-Acma
2.4. Preparation of BEM Particles and Purification of Levansucrase-Acma by BEM Particles
2.5. Enzyme Assay
2.6. Effects of Temperature, pH, and Metal Ions on Enzyme Activity
2.7. NaCl Tolerance of the Enzyme
2.8. Determination of Kinetic Parameters of Levansucrase-Acma
2.9. Optimization of Levan Synthesis
2.9.1. Levan Synthesis and Detection
2.9.2. Optimization of Enzyme Dose, Sucrose Concentration, and Reaction Time for Levan Synthesis
2.10. Statistical Analysis
2.11. 3D Prediction and Molecular Docking Investigations
3. Results and Discussion
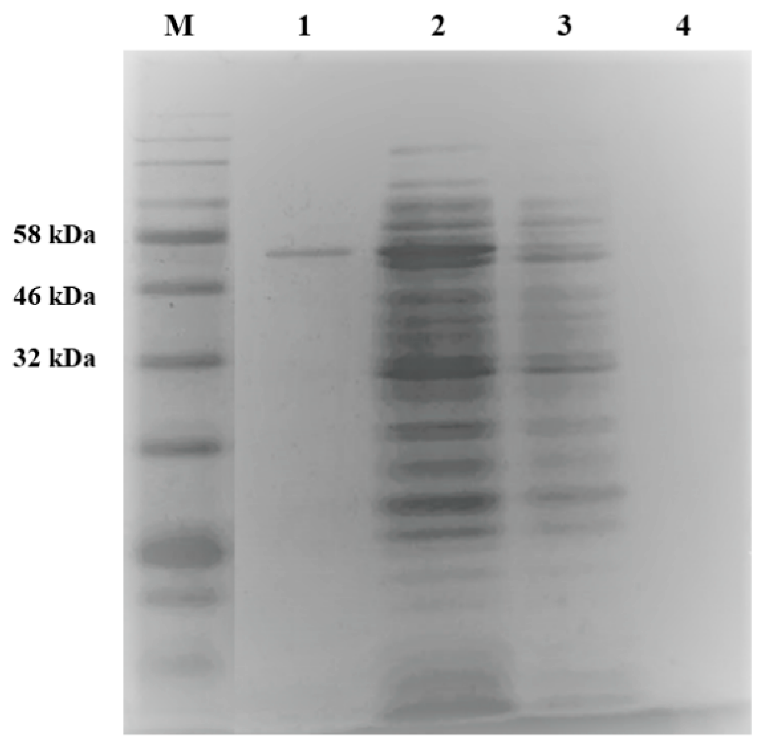
3.1. Expression, Purification, and Sequence Analysis of Levansucrase-Acma
3.2. Effects of Temperature, pH, Metal Ions and NaCl Concentration on Enzyme Activity
3.3. Kinetic Parameters
3.4. Optimization of Enzyme Dose, Sucrose Concentration, and Reaction Time on Levan Synthesis
3.5. Molecular Docking Investigations
4. Conclusions
Author Contributions
Funding
Data Availability Statement
Acknowledgments
Conflicts of Interest
References
- Cerning, J. Exocellular polysaccharides produced by lactic acid bacteria. FEMS Microbiol. Rev. 1990, 7, 113–130. [Google Scholar] [CrossRef] [PubMed]
- Öner, E.T. Microbial Production of Extracellular Polysaccharides from Biomass. In Pretreatment Techniques for Biofuels and Biorefineries; Fang, Z., Ed.; Springer: Berlin/Heidelberg, Germany, 2013; pp. 35–56. [Google Scholar] [CrossRef]
- Dong, C.X.; Zhang, L.J.; Xu, R.; Zhang, G.; Zhou, Y.B.; Han, X.Q.; Zhang, Y.; Sun, Y.X. Structural characterization and immunostimulating activity of a levan-type fructan from Curcuma kwangsiensis. Int. J. Biol. Macromol. 2015, 77, 99–104. [Google Scholar] [CrossRef] [PubMed]
- Versluys, M.; Kirtel, O.; Oner, E.T.; Van den Ende, W. The fructan syndrome: Evolutionary aspects and common themes among plants and microbes. Plant. Cell Environ. 2018, 41, 16–38. [Google Scholar] [CrossRef]
- Matsuhira, H.; Tamura, K.-i.; Tamagake, H.; Sato, Y.; Anzai, H.; Yoshida, M. High production of plant type levan in sugar beet transformed with timothy (Phleum pratense) 6-SFT genes. J. Biotechnol. 2014, 192, 215–222. [Google Scholar] [CrossRef] [PubMed]
- Jakob, F.; Pfaff, A.; Novoa-Carballal, R.; Rubsam, H.; Becker, T.; Vogel, R.F. Structural analysis of fructans produced by acetic acid bacteria reveals a relation to hydrocolloid function. Carbohydr. Polym. 2013, 92, 1234–1242. [Google Scholar] [CrossRef]
- Ragab, T.I.M.; Shalaby, A.S.G.; Awdan, S.A.E.; El-Bassyouni, G.T.; Salama, B.M.; Helmy, W.A.; Esawy, M.A. Role of levan extracted from bacterial honey isolates in curing peptic ulcer: In vivo. Int. J. Biol. Macromol. 2020, 142, 564–573. [Google Scholar] [CrossRef]
- Porras-Domínguez, J.R.; Ávila-Fernández, Á.; Rodríguez-Alegría, M.E.; Miranda-Molina, A.; Escalante, A.; González-Cervantes, R.; Olvera, C.; López Munguía, A. Levan-type FOS production using a Bacillus licheniformis endolevanase. Process. Biochem. 2014, 49, 783–790. [Google Scholar] [CrossRef]
- Adamberg, K.; Adamberg, S.; Ernits, K.; Larionova, A.; Voor, T.; Jaagura, M.; Visnapuu, T.; Alamae, T. Composition and metabolism of fecal microbiota from normal and overweight children are differentially affected by melibiose, raffinose and raffinose-derived fructans. Anaerobe 2018, 52, 100–110. [Google Scholar] [CrossRef]
- Dahech, I.; Harrabi, B.; Hamden, K.; Feki, A.; Mejdoub, H.; Belghith, H.; Belghith, K.S. Antioxidant effect of nondigestible levan and its impact on cardiovascular disease and atherosclerosis. Int. J. Biol. Macromol. 2013, 58, 281–286. [Google Scholar] [CrossRef]
- Oh, J.; Lee, S.R.; Hwang, K.T.; Ji, G.E. The anti-obesity effects of the dietary combination of fermented red ginseng with levan in high fat diet mouse model. Phytother. Res. 2014, 28, 617–622. [Google Scholar] [CrossRef] [PubMed]
- Song, B.; Zhu, W.; Song, R.; Yan, F.; Wang, Y. Exopolysaccharide from Bacillus vallismortis WF4 as an emulsifier for antifungal and antipruritic peppermint oil emulsion. Int. J. Biol. Macromol. 2019, 125, 436–444. [Google Scholar] [CrossRef]
- Dahech, I.; Belghith, K.S.; Hamden, K.; Feki, A.; Belghith, H.; Mejdoub, H. Antidiabetic activity of levan polysaccharide in alloxan-induced diabetic rats. Int. J. Biol Macromol. 2011, 49, 742–746. [Google Scholar] [CrossRef]
- Yoo, S.H.; Yoon, E.J.; Cha, J.H.; Lee, H.G. Antitumor activity of levan polysaccharides from selected microorganisms. Int. J. Biol. Macromol. 2004, 34, 37–41. [Google Scholar] [CrossRef] [PubMed]
- Ni, D.; Xu, W.; Bai, Y.; Zhang, W.; Zhang, T.; Mu, W. Biosynthesis of levan from sucrose using a thermostable levansucrase from Lactobacillus reuteri LTH5448. Int. J. Biol. Macromol. 2018, 113, 29–37. [Google Scholar] [CrossRef] [PubMed]
- Liu, Q.; Yu, S.; Zhang, T.; Jiang, B.; Mu, W. Efficient biosynthesis of levan from sucrose by a novel levansucrase from Brenneria goodwinii. Carbohydr. Polym. 2017, 157, 1732–1740. [Google Scholar] [CrossRef]
- Mostafa, F.A.; Abdel Wahab, W.A.; Salah, H.A.; Nawwar, G.A.M.; Esawy, M.A. Kinetic and thermodynamic characteristic of Aspergillus awamori EM66 levansucrase. Int. J. Biol. Macromol. 2018, 119, 232–239. [Google Scholar] [CrossRef] [PubMed]
- Nakapong, S.; Pichyangkura, R.; Ito, K.; Iizuka, M.; Pongsawasdi, P. High expression level of levansucrase from Bacillus licheniformis RN-01 and synthesis of levan nanoparticles. Int. J. Biol. Macromol. 2013, 54, 30–36. [Google Scholar] [CrossRef] [PubMed]
- Wang, Y.; Chen, S.; Zhao, X.; Zhang, Y.; Wang, X.; Nie, Y.; Xu, Y. Enhancement of the production of Bacillus naganoensis pullulanase in recombinant Bacillus subtilis by integrative expression. Protein Expr. Purif. 2019, 159, 42–48. [Google Scholar] [CrossRef]
- Han, Y.; Liu, E.; Liu, L.; Zhang, B.; Wang, Y.; Gui, M.; Wu, R.; Li, P. Rheological, emulsifying and thermostability properties of two exopolysaccharides produced by Bacillus amyloliquefaciens LPL061. Carbohydr. Polym. 2015, 115, 230–237. [Google Scholar] [CrossRef]
- Shi, Q.; Hou, Y.; Xu, Y.; Morkeberg Krogh, K.B.R.; Tenkanen, M. Enzymatic analysis of levan produced by lactic acid bacteria in fermented doughs. Carbohydr. Polym. 2019, 208, 285–293. [Google Scholar] [CrossRef]
- Gao, S.; Qi, X.; Hart, D.J.; Gao, H.; An, Y. Expression and Characterization of Levansucrase from Clostridium acetobutylicum. J. Agric. Food Chem. 2017, 65, 867–871. [Google Scholar] [CrossRef]
- Ortiz-Soto, M.E.; Porras-Dominguez, J.R.; Seibel, J.; Lopez-Munguia, A. A close look at the structural features and reaction conditions that modulate the synthesis of low and high molecular weight fructans by levansucrases. Carbohydr. Polym. 2019, 219, 130–142. [Google Scholar] [CrossRef] [PubMed]
- Hill, A.; Chen, L.; Mariage, A.; Petit, J.-L.; de Berardinis, V.; Karboune, S. Discovery of new levansucrase enzymes with interesting properties and improved catalytic activity to produce levan and fructooligosaccharides. Catal. Sci. Technol. 2019, 9, 2931–2944. [Google Scholar] [CrossRef]
- Kanjanatanin, P.; Pichyangkura, R.; Sitthiyotha, T.; Charoenwongpaiboon, T.; Wangpaiboon, K.; Chunsrivirot, S. Computational design of Bacillus licheniformis RN-01 levansucrase for control of the chain length of levan-type fructooligosaccharides. Int. J. Biol. Macromol. 2019, 140, 1239–1248. [Google Scholar] [CrossRef]
- Zhao, F.; Song, Q.; Wang, B.; Han, Y.; Zhou, Z. Purification and immobilization of the soluble and insoluble portions of recombinant lipase by gram-positive enhancer matrix (GEM) particles. Int. J. Biol. Macromol. 2019. [Google Scholar] [CrossRef]
- Xu, W.; Ni, D.; Yu, S.; Zhang, T.; Mu, W. Insights into hydrolysis versus transfructosylation: Mutagenesis studies of a novel levansucrase from Brenneria sp. EniD312. Int. J. Biol. Macromol. 2018, 116, 335–345. [Google Scholar] [CrossRef]
- Kirtel, O.; Menendez, C.; Versluys, M.; Van den Ende, W.; Hernandez, L.; Toksoy Oner, E. Levansucrase from Halomonas smyrnensis AAD6(T): First halophilic GH-J clan enzyme recombinantly expressed, purified, and characterized. Appl. Microbiol. Biotechnol. 2018, 102, 9207–9220. [Google Scholar] [CrossRef] [PubMed]
- Dubois, M.; Gilles, K.A.; Hamilton, J.K.; Rebers, P.A.; Smith, F. Colorimetric method for determination of sugars and related substances. Anal. Chem. 1956, 28, 350–356. [Google Scholar] [CrossRef]
- Juan, L.U.; Min, X.; Lili, L.U. Optimization of Fermentation Conditions for Production of Levan by Bacillus licheniformis 8-37-0-1. Food Sci. 2011, 32, 183–187. [Google Scholar]
- Lu, L.; Fu, F.; Zhao, R.; Jin, L.; He, C.; Xu, L.; Xiao, M. A recombinant levansucrase from Bacillus licheniformis 8-37-0-1 catalyzes versatile transfructosylation reactions. Process. Biochem. 2014, 49, 1503–1510. [Google Scholar] [CrossRef]
- Meng, G.Y.; Futterer, K. Structural framework of fructosyl transfer in Bacillus subtilis levansucrase. Nat. Struct. Biol. 2003, 10, 935–941. [Google Scholar] [CrossRef]
- Xu, W.; Peng, J.; Zhang, W.; Zhang, T.; Guang, C.; Mu, W. Enhancement of the Brenneria sp. levansucrase thermostability by site-directed mutagenesis at Glu(404) located at the "-TEAP-" residue motif. J. Biotechnol. 2019, 290, 1–9. [Google Scholar] [CrossRef] [PubMed]
- Zhao, F.; Song, Q.; Wang, B.; Du, R.; Han, Y.; Zhou, Z. Secretion of the recombination alpha-amylase in Escherichia coli and purification by the gram-positive enhancer matrix (GEM) particles. Int. J. Biol. Macromol. 2019, 123, 91–96. [Google Scholar] [CrossRef]
- Choi, H.J.; Kim, C.S.; Kim, P.; Jung, H.C.; Oh, D.K. Lactosucrose bioconversion from lactose and sucrose by whole cells of Paenibacillus polymyxa harboring levansucrase activity. Biotechnol. Prog. 2004, 20, 1876–1879. [Google Scholar] [CrossRef] [PubMed]
- Li, R.; Zhang, T.; Jiang, B.; Mu, W.; Miao, M. Purification and characterization of an intracellular levansucrase derived from Bacillus methylotrophicus SK 21.002. Biotechnol. Appl. Biochem. 2015, 62, 815–822. [Google Scholar] [CrossRef]
- Peng, J.; Xu, W.; Ni, D.; Zhang, W.; Zhang, T.; Guang, C.; Mu, W. Preparation of a novel water-soluble gel from Erwinia amylovora levan. Int. J. Biol. Macromol. 2019, 122, 469–478. [Google Scholar] [CrossRef]
- Petit-Glatron, M.F.; Grajcar, L.; Munz, A.; Chambert, R. The contribution of the cell wall to a transmembrane calcium gradient could play a key role in Bacillus subtilis protein secretion. Mol. Microbiol. 1993, 9, 1097–1106. [Google Scholar] [CrossRef]
- Li, J.; Xie, Y.; Wang, R.; Fang, Z.; Fang, W.; Zhang, X.; Xiao, Y. Mechanism of salt-induced activity enhancement of a marine-derived laccase, Lac15. Eur. Biophys. J. 2018, 47, 225–236. [Google Scholar] [CrossRef]
- Visnapuu, T.; Mardo, K.; Alamaee, T. Levansucrases of a Pseudomonas syringae pathovar as catalysts for the synthesis of potentially prebiotic oligo- and polysaccharides. New Biotechnol. 2015, 32, 597–605. [Google Scholar] [CrossRef]
- Polsinelli, I.; Caliandro, R.; Salomone-Stagni, M.; Demitri, N.; Rejzek, M.; Field, R.A.; Benini, S. Comparison of the Levansucrase from the epiphyte Erwinia tasmaniensis vs its homologue from the phytopathogen Erwinia amylovora. Int. J. Biol. Macromol. 2019, 127, 496–501. [Google Scholar] [CrossRef] [PubMed]
- Hamilton, L.M.; Kelly, C.T.; Fogarty, W.M. Purification and properties of the raw starch-degrading alpha-amylase of Bacillus sp. IMD 434. Biotechnol. Lett. 1999, 21, 111–115. [Google Scholar] [CrossRef]
- He, C.; Yang, Y.; Zhao, R.; Qu, J.; Jin, L.; Lu, L.; Xu, L.; Xiao, M. Rational designed mutagenesis of levansucrase from Bacillus licheniformis 8-37-0-1 for product specificity study. Appl. Microbiol. Biotechnol. 2018, 102, 3217–3228. [Google Scholar] [CrossRef]
- Erkorkmaz, B.A.; Kirtel, O.; Duru, O.A.; Oner, E.T. Development of a cost-effective production process for Halomonas levan. Bioprocess. Biosyst. Eng. 2018, 41, 1247–1259. [Google Scholar] [CrossRef] [PubMed]
- Ko, H.; Bae, J.H.; Sung, B.H.; Kim, M.J.; Kim, C.H.; Oh, B.R.; Sohn, J.H. Efficient production of levan using a recombinant yeast Saccharomyces cerevisiae hypersecreting a bacterial levansucrase. J. Ind. Microbiol. Biotechnol. 2019, 46, 1611–1620. [Google Scholar] [CrossRef] [PubMed]
- Jafari, A.; Shareghi, B.; Hosseini-Koupaei, M.; Farhadian, S. Characterization of osmolyte-enzyme interactions using different spectroscopy and molecular dynamic techniques: Binding of sucrose to proteinase K. Int. J. Biol. Macromol. 2019. [Google Scholar] [CrossRef]
- Martinez-Fleites, C.; Ortiz-Lombardia, M.; Pons, T.; Tarbouriech, N.; Taylor, E.J.; Arrieta, J.G.; Hernandez, L.; Davies, G.J. Crystal structure of levansucrase from the Gram-negative bacterium Gluconacetohacter diazotrophicus. Biochem. J. 2005, 390, 19–27. [Google Scholar] [CrossRef] [PubMed]
- Xu, W.; Liu, Q.; Bai, Y.; Yu, S.; Zhang, T.; Jiang, B.; Mu, W. Physicochemical properties of a high molecular weight levan from Brenneria sp. EniD312. Int. J. Biol. Macromol. 2018, 109, 810–818. [Google Scholar] [CrossRef] [PubMed]






| B. velezensis BM-2 Levansucrase-Acma | Erwinia Tasmaniensis Levansucrase | B. Licheniformis RN-01 LsRN | Pseudomonas Syringae lsc-3 | Bacillus Licheniformis 8-37-0-1WT Levansucrase | |
|---|---|---|---|---|---|
| Km (mM) | 17.41 | 50.5 | 7.14 | 18.5 | 33.3 |
| kcat (s−1) | 376.83 | 497.9 | 64.0 | 504.4 | 159.9 |
| kcat/Km (mM−1s−1) | 21.64 | 9.86 | 8.96 | 27.3 | 4.8 |
Publisher’s Note: MDPI stays neutral with regard to jurisdictional claims in published maps and institutional affiliations. |
© 2021 by the authors. Licensee MDPI, Basel, Switzerland. This article is an open access article distributed under the terms and conditions of the Creative Commons Attribution (CC BY) license (http://creativecommons.org/licenses/by/4.0/).
Share and Cite
Xu, M.; Zhang, L.; Zhao, F.; Wang, J.; Zhao, B.; Zhou, Z.; Han, Y. Cloning and Expression of Levansucrase Gene of Bacillus velezensis BM-2 and Enzymatic Synthesis of Levan. Processes 2021, 9, 317. https://doi.org/10.3390/pr9020317
Xu M, Zhang L, Zhao F, Wang J, Zhao B, Zhou Z, Han Y. Cloning and Expression of Levansucrase Gene of Bacillus velezensis BM-2 and Enzymatic Synthesis of Levan. Processes. 2021; 9(2):317. https://doi.org/10.3390/pr9020317
Chicago/Turabian StyleXu, Min, Lixia Zhang, Fangkun Zhao, Jingyue Wang, Bo Zhao, Zhijiang Zhou, and Ye Han. 2021. "Cloning and Expression of Levansucrase Gene of Bacillus velezensis BM-2 and Enzymatic Synthesis of Levan" Processes 9, no. 2: 317. https://doi.org/10.3390/pr9020317
APA StyleXu, M., Zhang, L., Zhao, F., Wang, J., Zhao, B., Zhou, Z., & Han, Y. (2021). Cloning and Expression of Levansucrase Gene of Bacillus velezensis BM-2 and Enzymatic Synthesis of Levan. Processes, 9(2), 317. https://doi.org/10.3390/pr9020317
