Abstract
Background: The silkworm (Bombyx mori L.) and its cocoon are rich in bioactive proteins like sericin and fibroin, as well as enzymes such as serrapeptase, which possess anti-inflammatory and skin-healing properties. This study aimed to evaluate the in vivo effects of various silkworm products, including cocoon patches and extracts from the silkworm body and glands, on the healing of second-degree burns. Methods: Hairless, female SKH-2 mice were used to model second-degree burns. The study tested formulations containing 1%, 10%, or 20% silkworm body or gland extracts, as well as cocoon-derived patches. In addition to histopathological and clinical assessments, the study measured parameters including burn size, hydration, transepidermal water loss and thickness. Results: The results of this study demonstrated that, in terms of primary outcomes (complete healing), both the silkworm cocoon and the 20% body extract significantly promoted wound healing, with similar efficacy. All body extracts showed statistical significance in wound area reduction, while the gland extracts had no significant effect. Histopathological evaluation confirmed the superior healing potential of the body extracts increasing by increased concentration and cocoon. This novel insight into the therapeutic properties of silkworm body extracts opens new opportunities for the development of cost-effective, renewable second-degree burn healing treatments.
1. Introduction
The silkworm, scientifically known as Bombyx mori L, holds significance in sericulture, an agricultural practice dedicated to its breeding and cocoon production. This insect, belonging to the Bombycidae family within the Lepidoptera order, undergoes complete metamorphosis during its life cycle [1]. Bombyx mori L. is renowned for its bioactive compounds, including sericin, fibroin, serrapeptase, seroin, and protease inhibitors, which offer various therapeutic effects and potential applications in medical and health-related fields [2].
Serrapeptase, for instance, has been utilized for decades in Japan and Europe due to its anti-inflammatory, analgesic, and fibrinolytic properties [3]. Sericins and fibroins play crucial roles in wound healing, skin hydration, and anti-aging by promoting tissue regeneration, stimulating cellular proliferation, and exhibiting antioxidant and antimicrobial properties [4,5,6,7,8,9]. Additionally, seroin and protease inhibitors contribute to antimicrobial and antifungal protection, suggesting potential health benefits [10,11]. These bioactive compounds highlight Bombyx mori’s versatility in medical, cosmetic, and nutritional applications [12].
Second-degree burns are among the most common types of burn injuries encountered in clinical practice, presenting significant challenges in their management. These burns, particularly when covering large areas or when timely treatment is delayed, have a high risk of resulting in severe infections [13]. Treatment often requires a multifaceted approach, including the use of antibiotics to prevent or treat infections, with more severe cases necessitating intravenous antibiotic therapy or even skin grafting to facilitate wound healing [14].
The wound healing process is a complex physiological response involving four phases—hemostasis, inflammation, proliferation, and remodeling—each of which plays a crucial role in tissue restoration. Any disruption in the proper sequence or intensity of these phases can lead to incomplete healing, ultimately affecting the functional recovery of the wound. This complexity emphasizes the need for innovative approaches to improve burn wound care, particularly for second-degree burns, which remain a significant clinical challenge [15].
The silkworm and its primary derivatives, silk and cocoons, contain proteins like sericin and fibroin, as well as enzymes such as serrapeptase, which have shown anti-inflammatory and wound healing efficacy [16,17,18]. While there has been extensive research on silk fibroin scaffolds and sericin for wound healing, exploration of extracts directly from Bombyx mori itself is absent in academic literature.
This pilot study aims to comparatively examine the wound healing efficacy of Bombyx mori L. body and gland extracts, as well as its cocoon, specifically in the treatment of second-degree thermal burns.
2. Materials and Methods
2.1. Animals
A total of 45 female SKH–hr2 hairless mice (mean age 13.5 ± 6.5) were utilized. SKH-hr2 mice were chosen for their hairless phenotype, which simplifies the application and monitoring of treatments without the interference of hair, and their well-documented skin healing processes that closely resemble human wound healing mechanisms [19]. These mice were procured from the breeding facilities of the Small Animal Laboratory at the School of Pharmacy, which holds certification under the European License Code: EL 25 BIO 06. The handling and care of the animals strictly adhered to the regulations outlined in the European Council Directive 2010/63/EU, with ethical approval granted by the National Peripheral Veterinary Authority’s Animal Ethics Committee under License Number 2003/5-4-2019. All procedures were conducted in accordance with ARRIVE guidelines [20].
Environmental conditions for the mice were maintained at a controlled temperature of 24 ± 1 °C, humidity of 40 ± 5%, and a 12-h light/dark cycle with low UV radiation emitting lamps. The mice had ad libitum access to solid food pellets (Nuevo SA, N. Artaki, Greece) and tap water.
2.2. Topical Preparations
In this study, different topical preparations were evaluated for their burn healing efficacy, including extracts from the silkworm’s body, silk glands, as well as from the cocoons.
Fifth instar silkworm larvae obtained from the Sericulture Department of the Agricultural University of Athens were acquired just before they entered the cocoon-spinning stage. These larvae were maintained at room temperature and provided with fresh mulberry leaves as their food source for approximately four days. When considered fully mature silkworms, they were collected immediately after they ceased feeding on the mulberry leaves, indicating the emptying of their gut and rectum, just before beginning to weave their silk cocoons. At this stage, the body weight and the wet weight of the silk glands of the larvae had increased exponentially, correlating with the rise in DNA, RNA, lipids, and proteins (such as fibroin) content [18]. Adequate larvae were then selected for the extraction of their bodies and glands. The remaining larvae were allowed to undergo cocoon spinning for about five days. The cocoons were harvested once the larvae had entered the pupal stage.
2.3. Extraction of Silkworm Bodies and Glands
The silkworm bodies were dissected using surgical scissors to remove the glands and intestines. Afterwards, both the bodies and glands were cut into smaller pieces. Water-based extracts were then prepared by immersing 10% w/w of these fragments in injectable water, ensuring protection from light exposure, and subjecting them to continuous stirring for 24 h. Following this, the extracts were obtained through decantation and filtration.
2.4. Preparation of Silkworm Body Gels
A vehicle gel (Excipients only gel) was prepared according to the formula: injectable water, 0.5% potassium sorbate (Fagron Hellas SA, Trikala, Greece), and 3% Sepigel 305 (Fagron Hellas SA, Trikala, Greece), and then homogenized using the VirTis TEMPEST VirTishear (Tamil Nadu, India). Gels containing either 1%, 10%, or 20% of body extract, and 1%, 10%, or 20% of gland extract were subsequently prepared by mixing the vehicle gel with the corresponding amount of each extract.
2.5. Preparation of Cocoon Dressings
Using surgical scissors, the cocoons were cut longitudinally on one side, and the pupae inside were removed. The inner layer was then cut into pieces measuring 2 cm × 2 cm for use as wound dressing after impregnation with vehicle gel (Figure 1).
Figure 1.
Photographic capture of the inner part of the cocoon implemented as dressing.
2.6. Burn Infliction and Study Design
Prior to burn infliction, mice were anesthetized via intraperitoneal injection of 100 mg/kg ketamine (Narketan 10, 100 mg/mL, Vetoquinol SA, Lure, France) combined with 7 mg/kg xylazine (Xylapan, 20 mg/mL, Vetoquinol SA, Lure, France). Burn wounds were created on the upper dorsal area of the mice, approximately 2 cm below the ears, using a metal stamp with a surface area of 2 cm2. The stamp, pre-heated in a water bath at 69 ± 2 °C for 2 s, was immediately applied to the skin and held for 10 s. Based on previous histopathological evaluations, this method reliably induces second-degree burns [21].
The mice were allocated into 9 groups, each consisting of 5 mice. The first (control) group received no treatment. Τhe second group was treated with a gel containing only the vehicle. The third, fourth, and fifth groups were treated with gels containing 1%, 10%, and 20% w/w of silkworm body extract, respectively. Similarly, the sixth, seventh, and eighth groups received gels containing 1%, 10%, and 20% w/w of silkworm gland extract. The ninth group received treatment using silkworm cocoons that were soaked in vehicle gel. These gels and cocoon were applied to the burn area, followed by specialized bandaging to prevent disturbance. In brief, wound dressing was applied using Fixomull adhesive hypoallergenic tape (3.5 cm × 5 cm cuts, BSN medical, Inc., Charlotte, NC, USA) and sterile non-woven gauze (2.5 cm × 2.5 cm cuts, Karabinis Medical, Athens, Greece) after cleaning the area. The gel was either applied directly to the burn area with a spatula for gels or on the inner side of the cocoon, which was then placed on the burn. Treatment application was conducted daily.
2.7. Evaluation and Photodocumentation
The status of the mice, including the intensity of skin inflammation and the extent of burnt surface area, was documented daily. The mice were weighed weekly and on the first and last days of the experimental period. Skin images were captured using a Nikon D5100 digital camera (Nikon Corp., Tokyo, Japan) equipped with an AF-5 Micro Nikkor 60 mm f/2.8 GED SWMED IF aspherical lens positioned at a fixed distance of 30 cm from the subject. The experiment was set to conclude once complete healing was achieved in all members of at least one group of mice.
2.8. Histopathological Analysis
Upon completion of the experiment, the mice were euthanized, and skin tissue samples were collected and embedded in paraffin cubes. Serial sections of 5 μm from all specimens were prepared using a paraffin microtome and stained with a haematoxylin/eosin stain. Parameters such as inflammation, hyperkeratosis, and skin structure were evaluated.
2.9. Evaluation of Skin Parameters
Non-invasive biophysical methods were employed to evaluate skin parameters, including hydration, transepidermal water loss (TEWL), sebum production, and skinfold thickness. Measurements were taken before inducing burns and on the final day of the experimental period. Skin hydration was assessed using a Corneometer CM 820 (Courage-Khazaka, Köln, Germany), TEWL was measured with a Tewameter TM 210 (Courage-Khazaka, Köln, Germany), and sebum production was evaluated using a Sebumeter SM 810 (Courage-Khazaka, Köln, Germany). Prior to each measurement, the treated area was cleaned with sterile gauze. Skin thickness was assessed with a digital caliper (Powerfix Prof, Milomex Ltd., Bedfordshire, UK), specifically measuring the fold of skin at the trauma site. The device provided measurements in millimeters (mm).
2.10. Data Analysis
All statistical analyses were performed using Jamovi Solid (v2.3.28), and graphical representations were generated using GraphPad Prism (v8). Descriptive measures were first assessed for normality using the Shapiro–Wilk test and for homogeneity of variances using Levene’s test. When the data met the assumptions of normality and equal variances, a one-way ANOVA was conducted to compare group differences. When these assumptions were violated, the non-parametric Kruskal–Wallis test was applied. Post hoc analyses for group comparisons were performed using the Tukey correction for multiple comparisons.
The wound closure data were analyzed using Cox regression to determine hazard ratios across the different treatment groups. For wound area measurements, a linear regression analysis was carried out to evaluate the relationship between treatment and wound area progression over time.
Biophysical measurements, including sebum levels, hydration, transepidermal water loss (TEWL), and skinfold thickness, were subjected to both the Shapiro–Wilk test for normality and Levene’s test for homogeneity of variances. While all datasets met the assumptions, a repeated measures ANOVA was conducted to examine the effects of time and treatment groups on these parameters.
A significance level of p < 0.05 was used for all statistical tests.
3. Results
3.1. Descriptive Statistics
The Table 1 summarizes the descriptive data from the experiment. The burn wound size at the start was 1.79 cm2 (SD = 0.273 cm2), non-differing across any group (p = 0.213). The animals had an initial average weight of 26.0 g, with a standard deviation of 3.17 g, reflecting the homogeneity of the sample. The lack of significant weight differences between the initial and final measurements indicates that the animals remained in good health throughout the experiment.
Table 1.
Descriptive statistics for wound area at Day 0 and weight measurements at Day 0 and Day 20. The table presents the mean values and standard deviations for each parameter. Mean wound area at Day 0 was 1.79 cm2 (SD = 0.273), mean weight at Day 0 was 26.0 g (SD = 3.17), and mean weight at Day 20 was 26.7 g (SD = 2.78).
3.2. Primary Endpoint (Complete Healing Achievement)
The results of the healed animals are found in Figure 2. As seen in the Cox regression analysis of burn healing times (Table 2), significant healing rates were observed in the Body Extract 20% and Cocoon groups, with hazard ratios of 4.06 (p = 0.017) and 5.33 (p = 0.003), respectively, compared to the Control group. It is worth noting that in both of these groups, all experimental animals achieved full wound healing by day 20. No significant differences were found in the other treatment groups, while the 1 and 10% body extracts seem to perform better than the other groups.
Figure 2.
Curves representing the percentage of completely healed animals over time (days) for each treatment group. The x-axis shows the number of days, and the y-axis indicates the percentage of animals fully healed in each group. Treatment groups include Control, Excipients, Body Extract (1%, 10%, 20%), Glands Extract (1%, 10%, 20%), and Cocoon, (n = 5 animals per group).
Table 2.
Treatment Modalities. The table below outlines the treatment modalities for the nine experimental groups, each consisting of 5 SKH-hr2 mice. Group 1 served as the Control and received no treatment. Group 2 was treated with a vehicle gel containing only the Excipient. Groups 3, 4, and 5 were treated with gels containing 1%, 10%, and 20% w/w silkworm body extract, respectively. Groups 6, 7, and 8 were treated with gels containing 1%, 10%, and 20% w/w silkworm gland extract, respectively. Finally, Group 9 was treated using silkworm cocoons that were soaked in vehicle gel.
3.3. Wound Area
The progression of burn wound areas at various time points is illustrated in Figure 3, showing a similar pattern across all cases. In the first three days, the wound diameter either remains stable or slightly increases.
Figure 3.
Illustration of the wound area over time (days) for each treatment group. The x-axis represents the time in days, while the y-axis shows the wound area. Linear regression lines are included for each group. The treatment groups are Control, Excipients, Body Extract (1%, 10%, 20%), Glands Extract (1%, 10%, 20%), and Cocoon (n = 5 animals per group).
A linear regression analysis was conducted to evaluate the effect of different treatment groups on wound area over time. The analysis revealed that, compared to the Control group, several treatment groups exhibited significant reductions in wound area. Specifically, the Body Extract 1% group showed a significant reduction in wound area (Estimate = −0.322, p < 0.001), as did the Body Extract 10% group (Estimate = −0.273, p = 0.002), and the Body Extract 20% group (Estimate = −0.274, p = 0.001). The Cocoon group also demonstrated a significant reduction in wound area compared to the Control group (Estimate = −0.259, p = 0.003) (Table 3).
Table 3.
Cox regression analysis of the treatment groups. Hazard ratios (HR) are presented for each treatment group compared to the Control group. The groups include Control, Excipients, Body Extract (1%, 10%, and 20%), Glands Extract (1%, 10%, and 20%), and Cocoon, with 5 animals per group. The hazard ratios (HR) are presented with 95% confidence intervals and p-values. Significant results were observed for Body Extract 20% (HR = 4.06, p = 0.017) and Cocoon (HR = 5.33, p = 0.003).
Although the Glands Extract 1%, 10%, and 20% groups did not reach statistical significance (p = 0.077, p = 0.177, and p = 0.082, respectively), these groups showed trends toward reduced wound areas. The Excipients group did not show a significant difference compared to the Control group (Estimate = −0.131, p = 0.127) (Table 3).
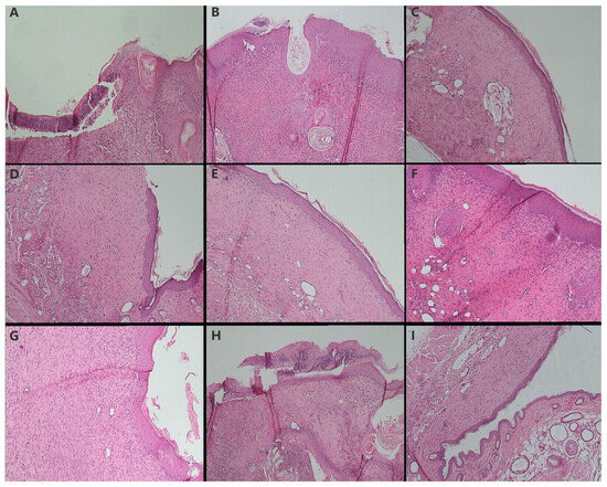
3.4. Histopathological Evaluation
Representative microsections from the histopathological evaluation are presented in Figure 4. The histopathological analysis of the Control and Excipients groups revealed significant inflammation and tissue damage. In the Control group, the tissue exhibited substantial inflammation, ulceration, and a complete absence of skin appendages. The presence of a pronounced inflammatory exudate, consisting of serum and large numbers of polymorphonuclear cells, indicated active and ongoing inflammation. Similarly, the Excipients group showed intense inflammation, characterized by large numbers of polymorphonuclear cells. A superficial micro-ulceration was noted, with a very thin epidermis beneath it, and the overall tissue condition appeared worse compared to the Control group.




Figure 4.
Photographic documentation of the experiment over the entire duration across all treatment groups. Images illustrate burn healing from all the groups, namely Control, Excipients, Body Extract (1%, 10%, and 20%), Glands Extract (1%, 10%, and 20%), and Cocoon. Each group consisted of 5 animals.
The groups treated with Body Extracts showed a progressive improvement in histological appearance with increasing concentration. The Body Extract 1% group displayed reduced inflammation in the healing area, along with the initial formation of skin appendages, marking a clear improvement over the Control and Excipients groups. In the Body Extract 10% group, inflammation was minimal, and the healing process had advanced significantly. The most notable improvement was observed in the Body Extract 20% group, where no inflammation was present, healing was in an advanced stage, and the formation of skin appendages had clearly begun.
In the Gland Extract groups, the histological findings varied with concentration. The Gland Extract 1% group exhibited some inflammation, though the tissue showed a slightly better condition than the Control group. In the Gland Extract 10% group, inflammation was reduced, and the healing process had started. However, in the Gland Extract 20% group, there was a substantially worse picture, with visible ulceration and a generally negative histological appearance. Despite the presence of numerous polymorphonuclear cells in the detached inflammatory exudate, epidermal regeneration had begun beneath the ulceration.
Finally, the Cocoon group presented a markedly improved histological profile. The tissue in this group showed clear signs of healing, with the formation of scar tissue and very few inflammatory elements. Additionally, the beginning of skin appendage formation was evident. Notably, in the lower part of the image, some normal, unburned skin was also visible, highlighting the effectiveness of this treatment.
3.5. Hydration
Figure 5 presents the results from the hydration measurements. According to the repeated measures ANOVA in Table 4, there was a significant decrease in hydration levels between the initial measurement and the final measurement obtained at the end of the experiment (F(1, 36) = 17.856, p < 0.001), indicating a consistent reduction in skin hydration over time. Moreover, the interaction between time and treatment groups (Days × Group) was not significant (F(8, 36) = 0.458, p = 0.877), suggesting that the rate of decrease in hydration was similar across the different groups.
Figure 5.
100× photographic capture of hematoxylin-eosin-stained sections from the histopathological evaluation of all groups: Control (A), Excipients (B), Body Extract 1% (C), Body Extract 10% (D), Body Extract 20% (E), Glands Extract 1% (F), Glands Extract 10% (G), Glands Extract 20% (H), and Cocoon (I). The Control and Excipients groups exhibited significant inflammation, tissue damage, and absence of skin appendages. Progressive improvements in tissue healing and reduced inflammation were observed with increasing concentrations of Body Extract, with the Body Extract 20% group showing the most advanced healing and skin appendage formation. Gland Extract groups showed varying levels of healing and inflammation, with the Gland Extract 20% group displaying a worsened histological profile. The Cocoon group demonstrated notable tissue healing, scar formation, and early signs of skin appendage regeneration.
Table 4.
Linear regression analysis for wound area over time. The model estimates the effects of various treatment groups compared to the Control group, with adjustments for time (days). Coefficients are presented along with standard errors (SE), 95% confidence intervals, t-values, and p-values. Significant reductions in wound area were observed in the Body Extract 1% (p < 0.001), Body Extract 10% (p = 0.002), Body Extract 20% (p = 0.001), and Cocoon (p = 0.003) groups compared to the control. The analysis includes 5 animals per group.
Additionally, the analysis of between-subjects effects showed no significant differences in hydration levels between the treatment groups (F(8, 36) = 0.449, p = 0.883). This indicates that none of the treatments led to a significantly different impact on skin hydration when compared to each other or to the Control group.
3.6. Transepidermal Water Loss (TEWL)
The results, highlighted in Figure 6, present the findings from a repeated measures ANOVA comparing the values of transepidermal water loss (TEWL) between the initial measurement (at the start of the experiment, prior to burn induction) and the final measurement on day 20.
Figure 6.
Bar diagram illustrating the hydration measurements at the start and end of the experiment for all treatment groups: Control, Excipients, Body Extract (1%, 10%, 20%), Glands Extract (1%, 10%, 20%), and Cocoon. The bars represent the mean values, and error bars indicate the standard deviation (SD) for each group. The number of animals was n = 5 per group. Statistically significant differences were observed across all treatment modalities.
The analysis (Table 5) revealed a significant effect of time (Days) on TEWL values, with a notable increase from the initial to the final measurement (F(1, 36) = 24.30, p < 0.001). Additionally, the between-subjects analysis indicated a trend toward significance for differences in TEWL across the different treatment groups (F(8, 36) = 2.14, p = 0.057), though this did not reach statistical significance. These findings suggest that TEWL increased significantly over time across all groups, highlighting the fact that none of the groups appeared to fully restore barrier function by the 20th day, despite the healing process being complete in several cases.
Table 5.
Repeated measures ANOVA results for hydration level measurements. The Within-Subjects Effects analysis shows a significant effect of Days (F = 17.856, p < 0.001), indicating significant changes in hydration levels over time. The interaction between Days and Group was not significant (F = 0.458, p = 0.877). The Between-Subjects Effects analysis showed no significant differences between the treatment groups (F = 0.449, p = 0.883). Residual sums of squares and Type 3 sums of squares are reported.
3.7. Skinfold Thickness
The results of skinfold thickness are visualized in Figure 7. The repeated measures ANOVA was conducted, revealed a statistically significant main effect of time, F(1, 36) = 208.47, p < 0.001, indicating that skinfold thickness significantly increased over time (Table 6).
Figure 7.
Bar diagram illustrating the Transepidermal Water Loss (TEWL) measurements at the start and end of the experiment for all treatment groups: Control, Excipients, Body Extract (1%, 10%, 20%), Glands Extract (1%, 10%, 20%), and Cocoon. The bars represent the mean values, with error bars showing the standard deviation (SD) for each group. The number of animals was n = 5 per group. Statistically significant differences were observed across all treatment modalities.
Table 6.
Repeated measures ANOVA results for Transepidermal Water Loss (TEWL) measurements. The Within-Subjects Effects analysis shows a significant effect of Days (F = 24.30, p < 0.001), indicating significant changes in TEWL over time. The interaction between Days and Group was not statistically significant (F = 2.08, p = 0.064). The Between-Subjects Effects analysis showed a marginally non-significant difference between treatment groups (F = 2.14, p = 0.057). Residual sums of squares and Type 3 sums of squares are reported.
However, there was no significant interaction effect between time and group, F(8, 36) = 1.04, p = 0.428, suggesting that the changes in skinfold thickness over time did not differ significantly across the groups. The between-subjects analysis showed no significant differences in skinfold thickness between groups, F(8, 36) = 1.59, p = 0.162, indicating that the groups did not differ in overall skinfold thickness when averaged across time (Table 6).
The post hoc comparisons using Tukey’s HSD test revealed statistically significant differences, by Day 20, between the Control group and all other treatment groups. Specifically, skinfold thickness was significantly reduced in all treatment groups (Body Extract, Glands Extract, Cocoon) compared to the Control group. The reductions were statistically significant, with p < 0.001 for most comparisons between the Control and the other groups. Similarly, the Excipient group showed significant reductions in skinfold thickness compared to the Control group by Day 20 (p < 0.001) (Figure 8).
Figure 8.
Bar diagram showing skinfold thickness measurements at the start and end of the experiment for all treatment groups: Control, Excipients, Body Extract (1%, 10%, 20%), Glands Extract (1%, 10%, 20%), and Cocoon. The bars represent the mean values, and error bars display the standard deviation (SD) for each group. The number of animals was n = 5 per group.
4. Discussion
The present study focused on evaluating various parts of the silkworm and its cocoon as potential sources of bioactive substances that could be used in future formulations for burn wound healing. As discussed in detail in the introduction, silkworm products represent a highly promising area of research, with promising results achieved to date [16,17,18]. However, from the perspective of the production process, utilizing the silkworm cocoon and silk involves a different approach compared to the methods commonly employed in the pharmaceutical industry today. Specifically, utilizing silk as a fabric for wounds requires specialized silk production techniques, including specific machinery and facilities designed for processing and weaving silk into usable materials. This approach is less common in standard pharmaceutical manufacturing. In contrast, the process of creating a pharmaceutical preparation, such as a gel containing an extract, is a more common and widely used practice. This method of incorporating bioactive extracts into topical formulations is routinely performed in pharmaceutical production facilities, requiring less specialized equipment and infrastructure compared to the production of silk-based fabrics for wound healing. The initial idea of this study was to explore whether extracts from various parts of the silkworm could be used, thereby producing versatile extracts, aligning more closely with the techniques already applied in the production of raw materials for the pharmaceutical industry.
Evaluating the primary outcome, which in wound healing studies is typically the complete closure of the wound, we can observe that both the cocoon and the 20% extract from the silkworm body showed statistically significant results. The cocoon’s effectiveness was already known from previous literature [22], and the present study confirmed these prior findings [Table 3, Figure 2 and Figure 4]. What is new, however, is that the 20% extract from the silkworm body appears to be equally as effective as the cocoon [Table 3, Figure 2 and Figure 4]. Additionally, in terms of wound area measurements, the silkworm body extracts yielded very positive results while statistical significance was observed across all body extract’s concentrations [Table 4, Figure 3]. On the other hand, the extracts obtained from the silkworm glands appeared to have no activity in promoting wound healing at any concentration [Table 4, Figure 3 and Figure 4]. Moreover, the cocoon treatment also demonstrated statistically significant results in the wound area measurements [Table 4, Figure 3 and Figure 4].
The comparative histopathological evaluation (Figure 5) revealed that the Body Extracts and Cocoon treatments performed significantly better than the Gland Extracts and Control groups. The Body Extracts showed a progressive improvement in tissue healing with increasing concentration. The Body Extract 20% group demonstrated advanced healing with no inflammation and the clear formation of skin appendages. Similarly, the Cocoon group exhibited remarkable healing, with minimal inflammation and scar tissue formation, indicating its strong efficacy. In contrast, the Gland Extracts presented less consistent results, with the 20% concentration even showing ulceration and a generally negative histological outcome.
Regarding biophysical measurements, which primarily represent the functionality of the post-injury tissue, no statistically significant differences were observed among the groups and comparing different groups and the controls. The results for hydration were significantly lower (Figure 6, Table 5) than initial ones, and those of transepidermal water loss were significantly higher (Figure 7, Table 6) measurements, equally across all groups. These observations reflect the fact that no group experienced restoration of barrier function, and none of the interventions demonstrated a statistically significant impact on the parameters used to assess barrier function.
Statistical significance was observed in the measurement of skinfold thickness between the Control group and all other treatment groups on the 20th day of the experiment (Table 7). Specifically, skinfold thickness was significantly reduced in all treatment groups (Body Extract, Gland Extract, Cocoon). However, this difference must be attributed, at least partially, to the Excipients used in the gel formulation, as the Excipient group also showed significant reductions in skinfold thickness compared to the Control group and did not present statistically significant differences from the other treatments. During the healing process, the newly formed tissue often contains randomly arranged collagen fibers, which lead to skin thickening, a phenomenon known as fibrosis [23]. In this case, the use of the gel formulation appears to have significantly reduced this effect, likely due to its continuous moisturizing properties, knowing that reduced skin hydration may lead to fibrosis [24]. This observation suggests that gel formulations may be particularly suitable for use in burn wound healing formulations, especially for second-degree burns.
Table 7.
Repeated measures ANOVA results for skinfold thickness measurements. The Within-Subjects Effects analysis shows a significant effect of Days (F = 208.47, p < 0.001), indicating substantial changes in skinfold thickness over time. The interaction between Days and Group was not significant (F = 1.04, p = 0.428). The Between-Subjects Effects analysis showed no significant differences between the treatment groups (F = 1.59, p = 0.162). Residual sums of squares and Type 3 sums of squares are reported.
This study has several limitations that should be acknowledged. First, the small sample size, inherent to its pilot nature, limits the generalizability of the findings. Larger studies are needed to validate these results and assess the consistency of the therapeutic effects observed. Second, while the body extracts demonstrated promising potential, their chemical composition was not thoroughly analyzed in this study. Future investigations should focus on characterizing the specific bioactive compounds within the extracts, which may contribute to their wound healing properties. Finally, although this study demonstrated the efficacy of the extracts in promoting wound healing, the underlying mechanisms of action were not explored. Further research is necessary to elucidate the molecular and cellular pathways involved in the healing process, which will help refine and optimize the therapeutic use of silkworm-derived products.
Nevertheless, the findings of this study demonstrate the promising potential of silkworm body-derived extracts in promoting burn wound healing. The statistically significant results observed with the 20% body extract, which matched the effectiveness of the cocoon, already known as effective, provide a new avenue for research and development. This is, to the best of our knowledge, the first time such effectiveness of the body extract has been reported, suggesting that it could be a valuable addition to existing wound healing treatments. The silkworm is highlighted in this study, as well as in numerous other studies, as a source of bioactive compounds with potential therapeutic applications. Furthermore, given that sericulture is a well-developed industry, and the global prices of silk and related materials have significantly decreased, these materials represent an interesting and renewable source of raw materials for future therapeutic use [25]. Another perspective is that the cocoon can be used as a dressing, incorporating medicinal substances with anti-inflammatory and antimicrobial properties, while also exhibiting its own therapeutic effects. Additionally, the use of gel formulation as an Excipient contributed to a reduction in fibrosis, likely due to its moisturizing properties, further enhancing the healing process. The increasing efficacy of the body extracts with higher concentrations serves as a guide for our future experiments. This dose-dependent activity highlights the importance of optimizing concentrations in further studies to maximize the therapeutic potential of silkworm-derived extracts for burn wound healing applications. While the gland extracts showed less promise, the overall results support the potential of silkworm-based treatments in second-degree burn healing, warranting further investigation in larger-scale studies.
5. Conclusions
The present study explored the potential of various parts of the silkworm and its cocoon as sources of bioactive substances for burn wound healing. The results demonstrated the promising potential of silkworm body-derived extracts, particularly at a 20% concentration, which showed comparable effectiveness to the well-established cocoon treatment. This is the first study, to our knowledge, reporting the efficacy of silkworm body extracts in this context, suggesting it could be a valuable addition to existing wound healing treatments.
The silkworm as an abundant and renewable resource, is a promising candidate for future therapeutic applications, benefiting from the well-established sericulture industry. Future research should focus on optimizing the concentration of silkworm-derived extracts, as the dose-dependent effectiveness observed in this study suggests the potential for further therapeutic enhancement. Larger-scale studies are warranted to validate the findings and assess the efficacy of these extracts in more extensive wound healing models.
Author Contributions
Conceptualization, P.H. and M.C.R.; methodology, P.H., M.C.R., E.S., A.T. and I.S.; software, A.V.; validation, A.V., C.B. and M.C.R.; formal analysis, A.V.; investigation, A.K. and M.V.; resources, A.V., M.C.R. and P.H.; data curation, A.K., M.V., E.S. and A.T.; writing—original draft preparation, A.V. and C.B.; writing—review and editing, A.V., A.K. and M.C.R.; visualization, A.V.; supervision, P.H. and M.C.R.; project administration, A.V. and M.V. All authors have read and agreed to the published version of the manuscript.
Funding
This research received no external funding.
Institutional Review Board Statement
The handling and care of the animals strictly adhered to the regulations outlined in the European Council Directive 2010/63/EU, with ethical approval granted by the National Peripheral Veterinary Authority’s Animal Ethics Committee under License Number 2003/5-4-2019.
Data Availability Statement
The data presented in this study are available upon reasonable request from the corresponding author.
Conflicts of Interest
The authors declare no conflicts of interest.
References
- Song, J.; Liu, L.; Hao, K.; Mao, S.; Tang, Y.; Tong, X.; Dai, F. Resveratrol elongates the lifespan and improves antioxidant activity in the silkworm Bombyx mori. J. Pharm. Anal. 2021, 11, 374–382. [Google Scholar] [CrossRef] [PubMed]
- Bitar, L.; Isella, B.; Bertella, F.; Bettker Vasconcelos, C.; Harings, J.; Kopp, A.; van der Meer, Y.; Vaughan, T.J.; Bortesi, L. Sustainable Bombyx mori’s silk fibroin for bio-medical applications as a molecular biotechnology challenge: A review. Int. J. Biol. Macromol. 2024, 264 Pt 1, 130374. [Google Scholar] [CrossRef]
- Jadhav, S.B.; Shah, N.; Rathi, A.; Rathi, V.; Rathi, A. Serratiopeptidase: Insights into the therapeutic applications. Biotechnol. Rep. 2020, 28, e00544. [Google Scholar] [CrossRef]
- Dong, Z.; Xia, Q.; Zhao, P. Antimicrobial components in the cocoon silk of silk-worm. Bombyx mori. Int. J. Biol. Macromol. 2023, 224, 68–78. [Google Scholar] [CrossRef]
- Mazurek, Ł.; Rybka, M.; Jurak, J.; Frankowski, J.; Konop, M. Silk Sericin and Its Effect on Skin Wound Healing: A State of the Art. Macromol Biosci. 2024, 24, e2400145. [Google Scholar] [CrossRef]
- Suryawanshi, R.; Kanoujia, J.; Parashar, P.; Saraf, S.A. Sericin: A Versatile Protein Biopolymer with Therapeutic Significance. Curr. Pharm. Des. 2020, 26, 5414–5429. [Google Scholar] [CrossRef] [PubMed]
- Wani, S.U.D.; Zargar, M.I.; Masoodi, M.H.; Alshehri, S.; Alam, P.; Ghoneim, M.M.; Alshlowi, A.; Shivakumar, H.G.; Ali, M.; Shakeel, F. Silk Fibroin as an Efficient Biomaterial for Drug Delivery, Gene Therapy, and Wound Healing. Int. J. Mol. Sci. 2022, 23, 14421. [Google Scholar] [CrossRef] [PubMed]
- Wei, Y.; Li, Y.; Li, Y.; Xu, G.; Wu, T.; Li, X.; Ye, R.; Xi, M.; Li, X.; Zhang, G.; et al. Transparent injectable sericin-honey hydrogel with antioxidant and antibacterial activities combined with feeding sericin accelerates diabetic wound healing. Biomed. Mater. 2024, 19, 035008. [Google Scholar] [CrossRef]
- Kundu, B.; Rajkhowa, R.; Kundu, S.C.; Wang, X. Silk fibroin biomaterials for tissue re-generations. Adv. Drug Deliv. Rev. 2013, 65, 457–470. [Google Scholar] [CrossRef]
- Zhu, H.; Zhang, X.; Lu, M.; Chen, H.; Chen, S.; Han, J.; Zhang, Y.; Zhao, P.; Dong, Z. Antibacterial Mechanism of Silkworm Seroins. Polymers 2020, 12, 2985. [Google Scholar] [CrossRef]
- Li, Y.; Wei, M.; Zhang, J.; Zhu, R.; Wang, Y.; Zhang, Z.; Chen, C.; Zhao, P. Amino Acid Substi-tutions at P1 Position Change the Inhibitory Activity and Specificity of Protease Inhibitors BmSPI38 and BmSPI39 from Bombyx mori. Molecules 2023, 28, 2073. [Google Scholar] [CrossRef]
- Biganeh, H.; Kabiri, M.; Zeynalpourfattahi, Y.; Costa Brancalhão, R.M.; Karimi, M.; Shams Ardekani, M.R.; Rahimi, R. Bombyx mori cocoon as a promising pharmacological agent: A review of ethnopharmacology, chemistry, and biological activities. Heliyon 2022, 8, e10496. [Google Scholar] [CrossRef] [PubMed]
- Demling, R.H. Burns: What are the pharmacological treatment options? Expert Opin. Pharmacother. 2008, 9, 1895–1908. [Google Scholar] [CrossRef] [PubMed]
- Markiewicz-Gospodarek, A.; Kozioł, M.; Tobiasz, M.; Baj, J.; Radzikowska-Büchner, E.; Przekora, A. Burn wound healing: Clinical complications, medical care, treatment, and dressing types: The current state of knowledge for clinical practice. Int. J. Environ. Res. Public Health 2022, 19, 1338. [Google Scholar] [CrossRef]
- Abazari, M.; Ghaffari, A.; Rashidzadeh, H.; Badeleh, S.M.; Maleki, Y. A systematic review on classification, identification, and healing process of burn wound healing. Int. J. Low. Extrem. Wounds 2022, 21, 18–30. [Google Scholar] [CrossRef] [PubMed]
- Chouhan, D.; Mandal, B.B. Silk biomaterials in wound healing and skin regeneration therapeutics: From bench to bedside. Acta Biomater. 2020, 103, 24–51. [Google Scholar] [CrossRef]
- Wang, S.L.; Li, X.W.; Xu, W.; Yu, Q.Y.; Fang, S.M. Advances of regenerated and function-alized silk biomaterials and application in skin wound healing. Int. J. Biol. Macromol. 2024, 254 Pt 3, 128024. [Google Scholar] [CrossRef]
- Rath, G.; Johal, E.S.; Goyal, A.K. Development of serratiopeptidase and metronida-zole based alginate microspheres for wound healing. Artif. Cells Blood Substit. Immobil. Biotechnol. 2011, 39, 44–50. [Google Scholar] [CrossRef]
- Benavides, F.; Oberyszyn, T.M.; VanBuskirk, A.M.; Reeve, V.E.; Kusewitt, D.F. The hair-less mouse in skin research. J. Dermatol. Sci. 2009, 53, 10–18. [Google Scholar] [CrossRef]
- Percie du Sert, N.; Hurst, V.; Ahluwalia, A.; Alam, S.; Avey, M.T.; Baker, M.; Browne, W.J.; Clark, A.; Cuthill, I.C.; Dirnagl, U.; et al. The ARRIVE guidelines 2.0: Updated guidelines for reporting animal research. PLoS Biol. 2020, 18, e3000410. [Google Scholar] [CrossRef]
- Terezaki, A.; Kikionis, S.; Ioannou, E.; Sfiniadakis, I.; Tziveleka, L.-A.; Vitsos, A.; Roussis, V.; Rallis, M. Ulvan/gelatin-based nanofibrous patches as a promising treatment for burn wounds. J. Drug Deliv. Sci. Technol. 2022, 74, 103535. [Google Scholar] [CrossRef]
- Yu, K.; Lu, F.; Li, Q.; Zou, Y.; Xiao, Y.; Lu, B.; Liu, J.; Dai, F.; Wu, D.; Lan, G. Accelerated wound-healing capabilities of a dressing fabricated from silkworm cocoon. Int. J. Biol. Macromol. 2017, 102, 901–913. [Google Scholar] [CrossRef] [PubMed]
- Talbott, H.E.; Mascharak, S.; Griffin, M.; Wan, D.C.; Longaker, M.T. Wound healing, fibroblast heterogeneity, and fibrosis. Cell Stem Cell 2022, 29, 1161–1180. [Google Scholar] [CrossRef] [PubMed]
- Dolivo, D.M.; Sun, L.S.; Rodrigues, A.E.; Galiano, R.D.; Mustoe, T.A.; Hong, S.J. Epidermal Potentiation of Dermal Fibrosis: Lessons from Occlusion and Mucosal Healing. Am. J. Pathol. 2023, 193, 510–519. [Google Scholar] [CrossRef]
- Hăbeanu, M.; Gheorghe, A.; Mihalcea, T. Silkworm Bombyx mori—Sustainability and Economic Opportunity, Particularly for Romania. Agriculture 2023, 13, 1209. [Google Scholar] [CrossRef]
Disclaimer/Publisher’s Note: The statements, opinions and data contained in all publications are solely those of the individual author(s) and contributor(s) and not of MDPI and/or the editor(s). MDPI and/or the editor(s) disclaim responsibility for any injury to people or property resulting from any ideas, methods, instructions or products referred to in the content. |
© 2024 by the authors. Licensee MDPI, Basel, Switzerland. This article is an open access article distributed under the terms and conditions of the Creative Commons Attribution (CC BY) license (https://creativecommons.org/licenses/by/4.0/).