Two-Step Purification and Partial Characterization of Keratinolytic Proteases from Feather Meal Bioconversion by Bacillus sp. P45
Abstract
1. Introduction
2. Materials and Methods
2.1. Materials
2.2. Microbial Enzyme Production
2.3. Enzyme Purification by Integrated Strategies in Large Volume Systems
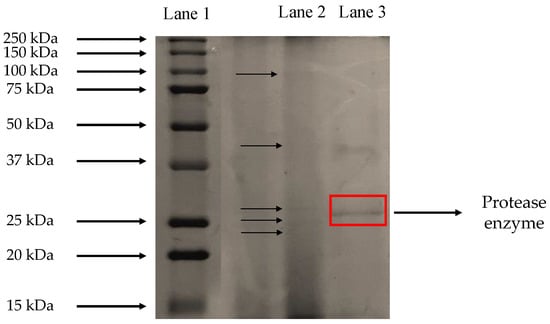
2.4. SDS-PAGE
2.5. Characterization of Purified Protease Extract
2.5.1. Optimum pH and Temperature for Purified Protease Activity
2.5.2. Thermal Stability of Purified Protease and Deactivation Kinetics
2.5.3. Effects of Salts and Solvents on Proteolytic Activity
2.5.4. Enzyme Assay and Protein Quantification
2.6. Statistical Analysis
3. Results
3.1. Protease Purification through Integrated Strategies in Large Volume Systems
3.2. Optimum Temperature and pH
| Source | Temperature | pH | Specific Activity (U/mg) | Molecular Weight (kDa) | Reference | |
|---|---|---|---|---|---|---|
| Bacterium | Bacillus sp. P45 | 55 °C | 7.5 | 25,795.00 | 28.0 | This study |
| Bacillus safensis RH12 | 60 °C | 9.0 | 37,000.00 | 28.0 | [34] | |
| Bacillus sp. CL33A | 55 °C | 8.0 | 13.40 | N.D. | [6] | |
| Bacillus licheniformis K7A | 70 °C | 10.0 | 1923.00 | 30.3 | [35] | |
| Bacillus luteus H11 | 45 °C | 10.5 | 115.20 | 37.0 | [36] | |
| Bacillus stearothermophilus | 65 °C | 10.0 | 59,022.00 | 28.0 | [37] | |
| Geobacillus SBS-4S | 60 °C | 9.0 | 14,910.25 | 30.0 | [38] | |
| Streptomyces sp. GS-1 | 40 °C | 8.5 | N.D. | 30.0 | [39] | |
| Chryseobacterium sp. | 37 °C | 8.0 | 100.00 | 22.2 | [40] | |
| Fungus | Aspergillus ochraceus BT21 | 50 °C | 8.0 | 111,379.50 | 59.0 | [41] |
| Aspergillus oryzae | 40 °C | 9.0 | 632.60 | 29.0 | [42] | |
| Aspergillus niger WA 2017 | 60 °C | 10.0 | 715.20 | N.D. | [43] | |
| Neurospora crassa | 55 °C | 9.0 | 5518.37 | 36.0 | [44] | |
| Penicillium chrysogenium | 80 °C | 10.0 | 78,500.00 | 43.0 | [45] |
3.3. Kinetic Parameters for Thermal Deactivation of Keratinolytic Protease
3.4. Effects of Salts and Solvents on Proteolytic Activity
4. Conclusions
Supplementary Materials
Author Contributions
Funding
Data Availability Statement
Acknowledgments
Conflicts of Interest
References
- Sharma, M.; Gat, Y.; Arya, S.; Kumar, V.; Panghal, A.; Kumar, A. A Review on Microbial Alkaline Protease: An Essential Tool for Various Industrial Approaches. Ind. Biotechnol. 2019, 15, 69–78. [Google Scholar] [CrossRef]
- Matkawala, F.; Nighojkar, S.; Kumar, A.; Nighojkar, A. Microbial alkaline serine proteases: Production, properties and applications. World J. Microbiol. Biotechnol. 2021, 37, 63. [Google Scholar] [CrossRef] [PubMed]
- Razzaq, A.; Shamsi, S.; Ali, A.; Ali, Q.; Sajjad, M.; Malik, A.; Ashraf, M. Microbial Proteases Applications. Front. Bioeng. Biotechnol. 2019, 7, 110. [Google Scholar] [CrossRef] [PubMed]
- Aguilar, J.G.S.; Castro, R.J.S.; Sato, H.H. Alkaline protease production by Bacillus licheniformis LBA 46 in a bench reactor: Effect of temperature and agitation. Braz. J. Chem. Eng. 2019, 36, 615–625. [Google Scholar] [CrossRef]
- Lemes, A.C.; Álvares, G.T.; Egea, M.B.; Brandelli, A.; Kalil, S.J. Simultaneous production of proteases and antioxidant compounds from agro-industrial by-products. Bioresour. Technol. 2016, 222, 210–216. [Google Scholar] [CrossRef]
- Oliveira, C.T.; Rieger, T.J.; Daroit, D.J. Catalytic properties and thermal stability of a crude protease from the keratinolytic Bacillus sp. CL33A. Biocatal. Agric. Biotechnol. 2017, 10, 270–277. [Google Scholar] [CrossRef]
- Contesini, F.J.; Melo, R.R.; Sato, H.H. An overview of Bacillus proteases: From production to application. Crit. Rev. Biotechnol. 2018, 38, 321–334. [Google Scholar] [CrossRef]
- Daroit, D.J.; Corrêa, A.P.F.; Brandelli, A. Keratinolytic potential of a novel Bacillus sp. P45 isolated from the Amazon basin fish Piaractus mesopotamicus. Int. Biodeterior. Biodegrad. 2009, 63, 358–363. [Google Scholar] [CrossRef]
- Daroit, D.J.; Corrêa, A.P.F.; Brandelli, A. Production of keratinolytic proteases through bioconversion of feather meal by the Amazonian bacterium Bacillus sp. P45. Int. Biodeterior. Biodegrad. 2011, 65, 45–51. [Google Scholar] [CrossRef]
- Cunha, I.C.; Brandelli, A.; Braga, A.R.C.; Sala, L.; Kalil, S.J. Feather Meal as a Source of Peptides with Antioxidant Activity from Enzymatic Hydrolysis. Waste Biomass Valorization 2022, 1, 421–430. [Google Scholar] [CrossRef]
- Daroit, D.J.; Corrêa, A.P.F.; Canales, M.M.; Coelho, J.G.; Hidalgo, M.E.; Tichota, D.M.; Risso, P.H.; Brandelli, A. Physicochemical properties and biological activities of ovine caseinate hydrolysates. Dairy Sci. Technol. 2012, 92, 335–351. [Google Scholar] [CrossRef]
- Lemes, A.C.; Pavón, Y.; Lazzaroni, S.; Rozycki, S.; Brandelli, A.; Kalil, S.J. A new milk-clotting enzyme produced by Bacillus sp. P45 applied in cream cheese development. LWT Food Sci. Technol. 2016, 66, 217–224. [Google Scholar] [CrossRef]
- Sala, L.; Gautério, G.V.; Younan, F.F.; Brandelli, A.; Moraes, C.C.; Kalil, S.J. Integration of ultrafiltration into an aqueous two-phase system in the keratinase purification. Process Biochem. 2014, 49, 2016–2024. [Google Scholar] [CrossRef]
- Phong, W.N.; Show, P.L.; Chow, Y.H.; Ling, T.C. Recovery of biotechnological products using aqueous two phase systems. J. Biosci. Bioeng. 2018, 126, 273–281. [Google Scholar] [CrossRef]
- Ferrareze, P.A.G.; Correa, A.P.F.; Brandelli, A. Purification and characterization of a keratinolytic protease produced by probiotic Bacillus subtilis. Biocatal. Agric. Biotechnol. 2016, 7, 102–109. [Google Scholar] [CrossRef]
- Lermen, A.M.; Clerici, N.J.; Daroit, D.J. Biochemical Properties of a Partially Purified Protease from Bacillus sp. CL18 and Its Use to Obtain Bioactive Soy Protein Hydrolysates. Appl. Biochem. Biotechnol. 2020, 192, 643–664. [Google Scholar] [CrossRef]
- Thakur, N.; Kumar, A.; Sharma, A.; Bhalla, T.C.; Kumar, D. Purification and characterization of alkaline, thermostable and organic solvent stable protease from a mutant of Bacillus sp. Biocatal. Agric. Biotechnol. 2018, 16, 217–224. [Google Scholar] [CrossRef]
- Laemmli, U.K. Cleavage of Structural Proteins during the Assembly of the Head of Bacteriophage T4. Nature 1970, 227, 680–685. [Google Scholar] [CrossRef]
- Bach, E.; Daroit, D.J.; Corrêa, A.P.F.; Brandelli, A. Production and properties of keratinolytic proteases from three novel Gram-negative feather-degrading bacteria isolated from Brazilian soils. Biodegradation 2011, 22, 1191–1201. [Google Scholar] [CrossRef]
- Braga, A.; Manera, A.P.; Ores, J.; Sala, L.; Maugeri, F.; Kalil, S. Kinetics and Thermal Properties of Crude and Purified β-Galactosidase with Potential for the Production of Galactooligosaccharides. Food Technol. Biotechnol. 2013, 51, 45–52. [Google Scholar]
- Jellouli, K.; Ghorbel-Bellaaj, O.; Ayed, H.B.; Manni, L.; Agrebi, R.; Nasri, M. Alkaline-protease from Bacillus licheniformis MP1: Purification, characterization and potential application as a detergent additive and for shrimp waste deproteinization. Process Biochem. 2011, 46, 1248–1256. [Google Scholar] [CrossRef]
- Foukis, A.; Stergiou, P.-Y.; Theodorou, L.G.; Papagianni, M.; Papamichael, E.M. Purification, kinetic characterization and properties of a novel thermo-tolerant extracellular protease from Kluyveromyces marxianus IFO 0288 with potential biotechnological interest. Bioresour. Technol. 2012, 123, 214–220. [Google Scholar] [CrossRef] [PubMed]
- Maruthiah, T.; Esakkiraj, P.; Prabakaran, G.; Palavesam, A.; Immanuel, G. Purification and characterization of moderately halophilic alkaline serine protease from marine Bacillus subtilis AP-MSU 6. Biocatal. Agric. Biotechnol. 2013, 2, 116–119. [Google Scholar] [CrossRef]
- Bradford, M.M. A rapid and sensitive method for the quantitation of microgram quantities of protein utilizing the principle of protein-dye binding. Anal. Biochem. 1976, 72, 248–254. [Google Scholar] [CrossRef]
- Phong, W.N.; Le, C.F.; Show, P.L.; Chang, J.-S.; Ling, T.C. Extractive disruption process integration using ultrasonication and an aqueous two-phase system for protein recovery from Chlorella sorokiniana. Eng. Life Sci. 2017, 17, 357–369. [Google Scholar] [CrossRef]
- Rossouw, S.; Bendou, H.; Bell, L.; Rigby, J.; Christoffels, A. Effect of polyethylene glycol 20,000 on protein extraction efficiency of formalin-fixed paraffin-embedded tissues in South Africa. Afr. J. Lab. Med. 2021, 10, 1–10. [Google Scholar] [CrossRef]
- Golunski, S.M.; Sala, L.; Silva, M.F.; Dallago, R.M.; Mulinari, J.; Mossi, A.J.; Brandelli, A.; Kalil, S.J.; Di Luccio, M.; Treichel, H. Interference of salts used on aqueous two-phase systems on the quantification of total proteins. Int. J. Biol. Macromol. 2016, 83, 30–33. [Google Scholar] [CrossRef]
- Lemes, A.C.; Machado, J.R.; Brites, M.L.; Luccio, M.D.; Kalil, S.J. Design Strategies for Integrated β-Galactosidase Purification Processes. Chem. Eng. Technol. 2014, 37, 1805–1812. [Google Scholar] [CrossRef]
- Daroit, D.J.; Corrêa, A.P.F.; Segalin, J.; Brandelli, A. Characterization of a keratinolytic protease produced by the feather-degrading Amazonian bacterium Bacillus sp. P45. Biocatal. Biotransf. 2010, 28, 370–379. [Google Scholar] [CrossRef]
- Lemes, A.C.; Braga, A.R.C.; Gautério, G.V.; Fernandes, K.F.; Egea, M.B. Application of Membrane Technology for Production of Bioactive Peptides. In Bioactive Peptides; John Oloche Onuh, M., Selvamuthukumaran Pathak, Y.V., Eds.; CRC Press: Boca Raton, FL, USA, 2021; p. 27. [Google Scholar]
- Lemes, A.C.; Molon, F.d.O.; Fagundes, A.d.S.; Egea, M.B.; Di Luccio, M.; Kalil, S.J. Membrane Technology as a Strategy for Improving β-Galactosidase Concentration Processes: The Influence of the pH, Membrane Molecular Weight, Pressure, and Ionic Strength in the Process. Appl. Sci. 2023, 13, 1626. [Google Scholar]
- Smith, D.M. Protein Separation and Characterization Procedures. In Food Analysis; Nielsen, S.S., Ed.; Springer International Publishing: Cham, Switzerland, 2017; pp. 431–453. [Google Scholar]
- Nelson, D.L.; Lehninger, A.L.; Cox, M.M. Lehninger Principles of Biochemistry; W.H. Freeman & Company: New York, NY, USA, 2008; Volume 5. [Google Scholar]
- Rekik, H.; Zaraî Jaouadi, N.; Gargouri, F.; Bejar, W.; Frikha, F.; Jmal, N.; Bejar, S.; Jaouadi, B. Production, purification and biochemical characterization of a novel detergent-stable serine alkaline protease from Bacillus safensis strain RH12. Int. J. Biol. Macromol. 2019, 121, 1227–1239. [Google Scholar] [CrossRef] [PubMed]
- Hadjidj, R.; Badis, A.; Mechri, S.; Eddouaouda, K.; Khelouia, L.; Annane, R.; El Hattab, M.; Jaouadi, B. Purification, biochemical, and molecular characterization of novel protease from Bacillus licheniformis strain K7A. Int. J. Biol. Macromol. 2018, 114, 1033–1048. [Google Scholar] [CrossRef] [PubMed]
- Kalwasińska, A.; Jankiewicz, U.; Felföldi, T.; Burkowska-But, A.; Brzezinska, M.S. Alkaline and Halophilic Protease Production by Bacillus luteus H11 and Its Potential Industrial Applications. Food Technol. Biotechnol. 2018, 56, 553–561. [Google Scholar] [CrossRef]
- Karray, A.; Alonazi, M.; Horchani, H.; Ben Bacha, A. A Novel Thermostable and Alkaline Protease Produced from Bacillus stearothermophilus Isolated from Olive Oil Mill Sols Suitable to Industrial Biotechnology. Molecules 2021, 26, 1139. [Google Scholar] [CrossRef]
- Ahmad, W.; Tayyab, M.; Aftab, M.N.; Hashmi, A.S.; Ahmad, M.D.; Firyal, S.; Wasim, M.; Awan, A.R. Optimization of Conditions for the Higher Level Production of Protease: Characterization of Protease from Geobacillus SBS-4S. Waste Biomass Valorization 2020, 11, 6613–6623. [Google Scholar] [CrossRef]
- Sarkar, G.; Suthindhiran, K. Extraction and characterization of alkaline protease from Streptomyces sp. GS-1 and its application as dehairing agent. Biocatal. Agric. Biotechnol. 2020, 25, 101590. [Google Scholar] [CrossRef]
- Mukhia, S.; Kumar, A.; Kumar, R. Generation of antioxidant peptides from soy protein isolate through psychrotrophic Chryseobacterium sp. derived alkaline broad temperature active protease. LWT 2021, 143, 111152. [Google Scholar] [CrossRef]
- El-Khonezy, M.I.; Elgammal, E.W.; Ahmed, E.F.; Abd-Elaziz, A.M. Detergent stable thiol-dependant alkaline protease produced from the endophytic fungus Aspergillus ochraceus BT21: Purification and kinetics. Biocatal. Agric. Biotechnol. 2021, 35, 102046. [Google Scholar] [CrossRef]
- Gao, X.; Yin, Y.; Yan, J.; Zhang, J.; Ma, H.; Zhou, C. Separation, biochemical characterization and salt-tolerant mechanisms of alkaline protease from Aspergillus oryzae. J. Sci. Food Agric. 2019, 99, 3359–3366. [Google Scholar] [CrossRef]
- Abdel Wahab, W.A.; Ahmed, S.A. Response surface methodology for production, characterization and application of solvent, salt and alkali-tolerant alkaline protease from isolated fungal strain Aspergillus niger WA 2017. Int. J. Biol. Macromol. 2018, 115, 447–458. [Google Scholar] [CrossRef]
- Zheng, L.; Yu, X.; Wei, C.; Qiu, L.; Yu, C.; Xing, Q.; Fan, Y.; Deng, Z. Production and characterization of a novel alkaline protease from a newly isolated Neurospora crassa through solid-state fermentation. LWT 2020, 122, 108990. [Google Scholar] [CrossRef]
- Omrane Benmrad, M.; Moujehed, E.; Ben Elhoul, M.; Mechri, S.; Bejar, S.; Zouari, R.; Baffoun, A.; Jaouadi, B. Production, purification, and biochemical characterization of serine alkaline protease from Penicillium chrysogenium strain X5 used as excellent bio-additive for textile processing. Int. J. Biol. Macromol. 2018, 119, 1002–1016. [Google Scholar] [CrossRef] [PubMed]
- Ricca, E.; Calabrò, V.; Curcio, S.; Iorio, G. Optimization of inulin hydrolysis by inulinase accounting for enzyme time- and temperature-dependent deactivation. Biochem. Eng. J. 2009, 48, 81–86. [Google Scholar] [CrossRef]
- Sant’Anna, V.; Cladera-Olivera, F.; Brandelli, A. Kinetic and thermodynamic study of thermal inactivation of the antimicrobial peptide P34 in milk. Food Chem. 2012, 130, 84–89. [Google Scholar] [CrossRef]
- Emran, M.A.; Ismail, S.A.; Hashem, A.M. Production of detergent stable thermophilic alkaline protease by Bacillus licheniformis ALW1. Biocatal. Agric. Biotechnol. 2020, 26, 101631. [Google Scholar] [CrossRef]
- Narwal, R.K.; Bhushan, B.; Pal, A.; Panwar, A.; Malhotra, S. Purification, physico-chemico-kinetic characterization and thermal inactivation thermodynamics of milk clotting enzyme from Bacillus subtilis MTCC 10422. LWT Food Sci. Technol. 2016, 65, 652–660. [Google Scholar] [CrossRef]
- Sinha, R.; Khare, S.K. Characterization of detergent compatible protease of a halophilic Bacillus sp. EMB9: Differential role of metal ions in stability and activity. Bioresour. Technol. 2013, 145, 357–361. [Google Scholar] [CrossRef]
- Daroit, D.J.; Sant’Anna, V.; Brandelli, A. Kinetic Stability Modelling of Keratinolytic Protease P45: Influence of Temperature and Metal Ions. Appl. Biochem. Biotechnol. 2011, 165, 1740–1753. [Google Scholar] [CrossRef]
- Kshetri, P.; Roy, S.S.; Chanu, S.B.; Singh, T.S.; Tamreihao, K.; Sharma, S.K.; Ansari, M.A.; Prakash, N. Valorization of chicken feather waste into bioactive keratin hydrolysate by a newly purified keratinase from Bacillus sp. RCM-SSR-102. J. Environ. Manag. 2020, 273, 111195. [Google Scholar] [CrossRef]
- Si, J.-B.; Jang, E.-J.; Charalampopoulos, D.; Wee, Y.-J. Purification and Characterization of Microbial Protease Produced Extracellularly from Bacillus subtilis FBL-1. Biotechnol. Bioprocess Eng. 2018, 23, 176–182. [Google Scholar] [CrossRef]
- Yu, P.; Huang, X.; Ren, Q.; Wang, X. Purification and characterization of a H2O2-tolerant alkaline protease from Bacillus sp. ZJ1502, a newly isolated strain from fermented bean curd. Food Chem. 2019, 274, 510–517. [Google Scholar] [CrossRef] [PubMed]
- Bose, A.; Chawdhary, V.; Keharia, H.; Subramanian, R.B. Production and characterization of a solvent-tolerant protease from a novel marine isolate Bacillus tequilensis P15. Ann. Microbiol. 2014, 64, 343–354. [Google Scholar] [CrossRef]
- Fakhfakh, N.; Kanoun, S.; Manni, L.; Nasri, M. Production and biochemical and molecular characterization of a keratinolytic serine protease from chicken feather-degrading Bacillus licheniformis RPk. Can. J. Microbiol. 2009, 55, 427–436. [Google Scholar] [CrossRef] [PubMed]
- Farag, A.M.; Hassan, M.A. Purification, characterization and immobilization of a keratinase from Aspergillus oryzae. Enzym. Microb. Technol. 2004, 34, 85–93. [Google Scholar] [CrossRef]
- Ghorbel, B.; Sellami-Kamoun, A.; Nasri, M. Stability studies of protease from Bacillus cereus BG1. Enzym. Microb. Technol. 2003, 32, 513–518. [Google Scholar] [CrossRef]
- Pantoliano, M.W.; Whitlow, M.; Wood, J.F.; Rollence, M.L.; Finzel, B.C.; Gilliland, G.L.; Poulos, T.L.; Bryan, P.N. The engineering of binding affinity at metal ion binding sites for the stabilization of proteins: Subtilisin as a test case. Biochemistry 1988, 27, 8311–8317. [Google Scholar] [CrossRef]
- Anitha, T.S.; Palanivelu, P. Purification and characterization of an extracellular keratinolytic protease from a new isolate of Aspergillus parasiticus. Protein Expr. Purif. 2013, 88, 214–220. [Google Scholar] [CrossRef]
- Dodia, M.S.; Bhimani, H.G.; Rawal, C.M.; Joshi, R.H.; Singh, S.P. Salt dependent resistance against chemical denaturation of alkaline protease from a newly isolated haloalkaliphilic Bacillus sp. Bioresour. Technol. 2008, 99, 6223–6227. [Google Scholar] [CrossRef]
- Eijsink, V.G.; Matthews, B.W.; Vriend, G. The role of calcium ions in the stability and instability of a thermolysin-like protease. Protein Sci. A Publ. Protein Soc. 2011, 20, 1346–1355. [Google Scholar] [CrossRef]
- Thys, R.C.; Brandelli, A. Purification and properties of a keratinolytic metalloprotease from Microbacterium sp. J. Appl. Microbiol. 2006, 101, 1259–1268. [Google Scholar] [CrossRef]
- Cavello, I.A.; Hours, R.A.; Rojas, N.L.; Cavalitto, S.F. Purification and characterization of a keratinolytic serine protease from Purpureocillium lilacinum LPS # 876. Process Biochem. 2013, 48, 972–978. [Google Scholar] [CrossRef]
- Mateo, C.; Palomo, J.M.; Fernandez-Lorente, G.; Guisan, J.M.; Fernandez-Lafuente, R. Improvement of enzyme activity, stability and selectivity via immobilization techniques. Enzym. Microb. Technol. 2007, 40, 1451–1463. [Google Scholar] [CrossRef]
- López-Gallego, F.; Betancor, L.; Mateo, C.; Hidalgo, A.; Alonso-Morales, N.; Dellamora-Ortiz, G.; Guisán, J.M.; Fernández-Lafuente, R. Enzyme stabilization by glutaraldehyde crosslinking of adsorbed proteins on aminated supports. J. Biotechnol. 2005, 119, 70–75. [Google Scholar] [CrossRef]
- Raut, G.; Vetal, S.; Biao, R.; Liu, X.-Y.; Zhang, L.; Kokare, C. Purification and characterization of organic solvent and detergent stable protease isolated from marine Saccharopolyspora sp. A9: Application of protease for wound healing. Biochem. Eng. J. 2012, 69, 196–203. [Google Scholar] [CrossRef]
- Yadav, R.P.; Patel, A.K.; Jagannadham, M.V. Neriifolin S, a dimeric serine protease from Euphorbia neriifolia Linn.: Purification and biochemical characterisation. Food Chem. 2012, 132, 1296–1304. [Google Scholar] [CrossRef]
- Schiffer, C.A.; Dötsch, V. The role of protein-solvent interactions in protein unfolding. Curr. Opin. Biotechnol. 1996, 7, 428–432. [Google Scholar] [CrossRef]
- Jain, D.; Pancha, I.; Mishra, S.K.; Shrivastav, A.; Mishra, S. Purification and characterization of haloalkaline thermoactive, solvent stable and SDS-induced protease from Bacillus sp.: A potential additive for laundry detergents. Bioresour. Technol. 2012, 115, 228–236. [Google Scholar] [CrossRef]
- Gupta, M.N. Enzyme function in organic solvents. Eur. J. Biochem. 1992, 203, 25–32. [Google Scholar] [CrossRef]





| ATPS | Capacity (g) | Specific Activity (U/mg) | Purification Factor (fold) | Enzymatic Recovery (%) |
|---|---|---|---|---|
| 1st | 10 | 2494.4 ± 96.4 | 2.4 a ± 0.1 | 73.6 a ± 2.6 |
| 50 | 2747.1 ± 300.1 | 2.6 a ± 0.3 | 78.0 a ± 1.3 | |
| 500 | 2477.7 ± 82.8 | 2.6 a ± 0.1 | 75.3 a ± 1.1 | |
| 2nd | 10 | 7820.0± 84.2 | 6.2 A ± 1.4 | 72.9 A ± 1.8 |
| 50 | 7534.5 ± 137.4 | 6.4 A ± 2.1 | 73.1 A ± 2.1 | |
| 500 | 7668.2 ± 102.4 | 6.7 A ± 1.1 | 75.1 A ± 1.5 | |
| Diafiltration | 25,795.00 | 4.0 | 84.3 |
| pH | Temperature (°C) | D (min) | z (°C) | kd (min) | Half-Life (t1/2) min |
|---|---|---|---|---|---|
| 7.0 | 40 | 232.3 | 15.3 | 0.0099 | 70.0 |
| 45 | 89.8 | 0.0256 | 27.1 | ||
| 50 | 30.9 | 0.0744 | 9.3 | ||
| 55 | 23.9 | 0.0959 | 7.2 | ||
| 60 | 11.5 | 0.1999 | 3.5 | ||
| 7.5 | 40 | 237.1 | 16.7 | 0.0097 | 71.4 |
| 45 | 60.7 | 0.0379 | 18.3 | ||
| 50 | 24.5 | 0.0937 | 7.4 | ||
| 55 | 17.0 | 0.1351 | 5.1 | ||
| 60 | 15.1 | 0.1518 | 4.6 | ||
| 8.0 | 40 | 196.6 | 13.6 | 0.0117 | 59.2 |
| 45 | 45.2 | 0.0509 | 13.6 | ||
| 50 | 31.8 | 0.0722 | 9.6 | ||
| 55 | 17.8 | 0.2289 | 3.0 | ||
| 60 | 6.7 | 0.3449 | 2.0 | ||
| 8.5 | 40 | 145.5 | 17.5 | 0.0158 | 43.9 |
| 45 | 43.2 | 0.0532 | 13.0 | ||
| 50 | 34.0 | 0.0676 | 10.2 | ||
| 55 | 17.3 | 0.1324 | 5.2 | ||
| 60 | 10.4 | 0.2192 | 3.2 | ||
| 9.0 | 40 | 132.9 | 18.8 | 0.0173 | 40.1 |
| 45 | 86.14 | 0.0267 | 25.9 | ||
| 50 | 31.6 | 0.0728 | 9.5 | ||
| 55 | 23.8 | 0.0968 | 7.2 | ||
| 60 | 11.5 | 0.1999 | 3.5 |
Disclaimer/Publisher’s Note: The statements, opinions and data contained in all publications are solely those of the individual author(s) and contributor(s) and not of MDPI and/or the editor(s). MDPI and/or the editor(s) disclaim responsibility for any injury to people or property resulting from any ideas, methods, instructions or products referred to in the content. |
© 2023 by the authors. Licensee MDPI, Basel, Switzerland. This article is an open access article distributed under the terms and conditions of the Creative Commons Attribution (CC BY) license (https://creativecommons.org/licenses/by/4.0/).
Share and Cite
Lemes, A.C.; Gautério, G.V.; Rosa, C.A.d.; Brandelli, A.; Kalil, S.J. Two-Step Purification and Partial Characterization of Keratinolytic Proteases from Feather Meal Bioconversion by Bacillus sp. P45. Processes 2023, 11, 803. https://doi.org/10.3390/pr11030803
Lemes AC, Gautério GV, Rosa CAd, Brandelli A, Kalil SJ. Two-Step Purification and Partial Characterization of Keratinolytic Proteases from Feather Meal Bioconversion by Bacillus sp. P45. Processes. 2023; 11(3):803. https://doi.org/10.3390/pr11030803
Chicago/Turabian StyleLemes, Ailton Cesar, Gabrielle Victoria Gautério, Cezar Augusto da Rosa, Adriano Brandelli, and Susana Juliano Kalil. 2023. "Two-Step Purification and Partial Characterization of Keratinolytic Proteases from Feather Meal Bioconversion by Bacillus sp. P45" Processes 11, no. 3: 803. https://doi.org/10.3390/pr11030803
APA StyleLemes, A. C., Gautério, G. V., Rosa, C. A. d., Brandelli, A., & Kalil, S. J. (2023). Two-Step Purification and Partial Characterization of Keratinolytic Proteases from Feather Meal Bioconversion by Bacillus sp. P45. Processes, 11(3), 803. https://doi.org/10.3390/pr11030803

