Protective Effect of Annona muricata Linn Fruit Pulp Lyophilized Powder against Paracetamol-Induced Redox Imbalance and Hepatotoxicity in Rats
Abstract
1. Introduction
2. Materials and Methods
2.1. Chemicals
2.2. Collection, Extraction, and Lyophilization of Fruit Pulp
2.3. Quantitative Phytochemical Content Analysis
2.4. In Vitro Antioxidant Activity
2.5. Animal Use and Experimentation
2.6. Biochemical Parameters of Hepatotoxicity and Histological Analysis
2.7. Statistical Analysis
3. Results
3.1. Estimation of Total Flavonoids and Total Phenols
3.2. In Vitro Radical Quenching Properties
3.3. Aspartate Transaminase Activity
3.4. Alanine Transaminase Activity
3.5. Alkaline Phosphatase Activity
3.6. Serum Total Protein
3.7. Serum Bilirubin
3.8. Serum Albumin
3.9. Effect of Annona Muricata Lyophilized Fruit Pulp Powder on Tissue Antioxidant Profile
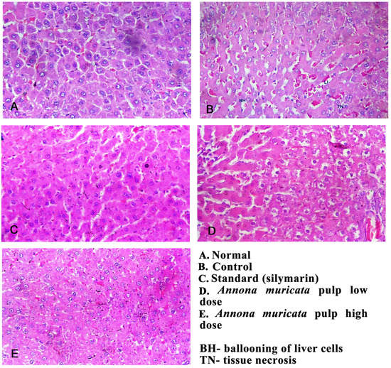
3.10. Histopathology
4. Discussion
5. Conclusions
Supplementary Materials
Author Contributions
Funding
Institutional Review Board Statement
Informed Consent Statement
Data Availability Statement
Acknowledgments
Conflicts of Interest
References
- Delli Bovi, A.P.; Marciano, F.; Mandato, C.; Siano, M.A.; Savoia, M.; Vajro, P. Oxidative Stress in Non-alcoholic Fatty Liver Disease. An Updated Mini Review. Front. Med. 2021, 8, 595371. [Google Scholar] [CrossRef]
- Arroyave-Ospina, J.C.; Wu, Z.; Geng, Y.; Moshage, H. Role of Oxidative Stress in the Pathogenesis of Non-Alcoholic Fatty Liver Disease: Implications for Prevention and Therapy. Antioxidants 2021, 10, 174. [Google Scholar] [CrossRef]
- Mohammadi, A.; Kazemi, S.; Hosseini, M.; Najafzadeh Varzi, H.; Feyzi, F.; Morakabati, P.; Moghadamnia, A.A. Chrysin Effect in Prevention of Acetaminophen-Induced Hepatotoxicity in Rat. Chem. Res. Toxicol. 2019, 32, 2329–2337. [Google Scholar] [CrossRef]
- Islam, M.T.; Quispe, C.; Islam, M.A.; Ali, E.S.; Saha, S.; Asha, U.H.; Mondal, M.; Razis, A.F.A.; Sunusi, U.; Kamal, R.M.; et al. Effects of nerol on paracetamol-induced liver damage in Wistar albino rats. Biomed. Pharmacother. 2021, 140, 111732. [Google Scholar] [CrossRef]
- Salman, A.A.; El-Aleem, I.M.A.; El-Rahman, A.A.A.; El-Husseiny, T.S.; El-Hadary, A.E. Assessment of antioxidant traits and protective action of Egyptian acacia pods extracts against paracetamol-induced liver toxicity in rats. J. Food Biochem. 2020, 44, 21. [Google Scholar] [CrossRef]
- Ayoub, S.S. Paracetamol (acetaminophen): A familiar drug with an unexplained mechanism of action. Temperature 2021, 8, 351–371. [Google Scholar] [CrossRef]
- Mazaleuskaya, L.L.; Sangkuhl, K.; Thorn, C.F.; FitzGerald, G.A.; Altman, R.B.; Klein, T.E. PharmGKB summary: Pathways of acetaminophen metabolism at the therapeutic versus toxic doses. Pharm. Genom. 2015, 25, 416–426. [Google Scholar] [CrossRef]
- Miyakawa, K.; Albee, R.; Letzig, L.G.; Lehner, A.F.; Scott, M.A.; Buchweitz, J.P.; James, L.P.; Ganey, P.E.; Roth, R.A. A Cytochrome P450-Independent Mechanism of Acetaminophen-Induced Injury in Cultured Mouse Hepatocytes. J. Pharmacol. Exp. Ther. 2015, 354, 230–237. [Google Scholar] [CrossRef]
- Song, H.; Chen, T.S. p-Aminophenol-induced liver toxicity: Tentative evidence of a role for acetaminophen. J. Biochem. Mol. Toxicol. 2001, 15, 34–40. [Google Scholar] [CrossRef]
- Yan, M.; Huo, Y.; Yin, S.; Hu, H. Mechanisms of acetaminophen-induced liver injury and its implications for therapeutic interventions. Redox Biol. 2018, 17, 274–283. [Google Scholar] [CrossRef]
- Coelho, A.M.; Queiroz, I.F.; Perucci, L.O.; Souza, M.O.; Lima, W.G.; Talvani, A.; Costa, D.C. Piperine as Therapeutic Agent in Paracetamol-Induced Hepatotoxicity in Mice. Pharmaceutics 2022, 14, 1800. [Google Scholar] [CrossRef]
- Masutani, H. Oxidative stress and redox imbalance in acetaminophen toxicity. Pharm. J. 2001, 1, 165–166. [Google Scholar] [CrossRef]
- Kolaric, T.O.; Nincevic, V.; Kuna, L.; Duspara, K.; Bojanic, K.; Vukadin, S.; Raguz-Lucic, N.; Wu, G.Y.; Smolic, M. Drug-induced Fatty Liver Disease: Pathogenesis and Treatment. J. Clin. Transl. Hepatol. 2021, 9, 731–737. [Google Scholar] [CrossRef]
- Di Pasqua, L.G.; Cagna, M.; Berardo, C.; Vairetti, M.; Ferrigno, A. Detailed Molecular Mechanisms Involved in Drug-Induced Non-Alcoholic Fatty Liver Disease and Non-Alcoholic Steatohepatitis: An Update. Biomedicines 2022, 10, 194. [Google Scholar] [CrossRef]
- Grgurevic, I.; Bozin, T.; Mikus, M.; Kukla, M.; O’Beirne, J. Hepatocellular Carcinoma in Non-Alcoholic Fatty Liver Disease: From Epidemiology to Diagnostic Approach. Cancers 2021, 13, 5844. [Google Scholar] [CrossRef]
- Minnady, M.; Jayapal, G.; Poochi, S.; Nethaji, P.; Mathalaimuthu, B. Hepatoprotective Effect of Indigenous Medicinal Plants-A Review. Indian J. Pharm. Sci. 2022, 84, 1116–1132. [Google Scholar] [CrossRef]
- Jiménez-Arellanes, M.A.; Gutiérrez-Rebolledo, G.A.; Meckes-Fischer, M.; León-Díaz, R. Medical plant extracts and natural compounds with a hepatoprotective effect against damage caused by antitubercular drugs: A review. Asian Pac. J. Trop. Med. 2016, 9, 1141–1149. [Google Scholar] [CrossRef]
- Freitag, A.F.; Cardia, G.F.; da Rocha, B.A.; Aguiar, R.P.; Silva-Comar, F.M.; Spironello, R.A.; Grespan, R.; Caparroz-Assef, S.M.; Bersani-Amado, C.A.; Cuman, R.K. Hepatoprotective Effect of Silymarin (Silybum marianum) on Hepatotoxicity Induced by Acetaminophen in Spontaneously Hypertensive Rats. Evid.-Based Complement. Altern. Med. eCAM 2015, 2015, 538317. [Google Scholar] [CrossRef]
- Tundis, R.; Xiao, J.; Loizzo, M.R. Annona species (Annonaceae): A rich source of potential antitumor agents? Ann. N. Y. Acad. Sci. 2017, 1398, 30–36. [Google Scholar] [CrossRef]
- Attiq, A.; Jalil, J.; Husain, K. Annonaceae: Breaking the Wall of Inflammation. Front. Pharmacol. 2017, 8, 752. [Google Scholar] [CrossRef]
- Coria-Téllez, A.V.; Montalvo-Gónzalez, E.; Yahia, E.M.; Obledo-Vázquez, E.N. Annona muricata: A comprehensive review on its traditional medicinal uses, phytochemicals, pharmacological activities, mechanisms of action and toxicity. Arab. J. Chem. 2018, 11, 662–691. [Google Scholar] [CrossRef]
- Padma, P.; Pramod, N.P.; Thyagarajan, S.P.; Khosa, R.L. Effect of the extract of Annona muricata and Petunia nyctaginiflora on Herpes simplex virus. J. Ethnopharmacol. 1998, 61, 81–83. [Google Scholar] [CrossRef]
- Kedari, T.S.; Khan, A.A. Guyabano (Annona Muricata): A review of its Traditional uses Phytochemistry and Pharmacology. Am. J. Res. Commun. 2014, 2, 247–268. [Google Scholar]
- Arthur, F.; Woode, E.; Terlabi, E.; Larbie, C. Evaluation of hepatoprotective effect of aqueous extract of Annona muricata (Linn.) leaf against carbon tetrachloride and acetaminophen-induced liver damage. J. Nat. Pharm. 2012, 3, 25. [Google Scholar]
- Padma, P.; Chansouria, J.P.; Khosa, R.L. Hepatoprotective activity of Annona muricata Linn. and Polyalthia cerasoides bedd. Anc. Sci. Life 1999, 19, 7–10. [Google Scholar]
- Al-Medhtiy, M.H.; Jabbar, A.A.; Shareef, S.H.; Ibrahim, I.A.; Alzahrani, A.R.; Abdulla, M.A. Histopathological Evaluation of Annona muricata in TAA-Induced Liver Injury in Rats. Processes 2022, 10, 1613. [Google Scholar] [CrossRef]
- Shukry, M.; El-Shehawi, A.M.; El-Kholy, W.M.; Elsisy, R.A.; Hamoda, H.S.; Tohamy, H.G.; Abumandour, M.M.; Farrag, F.A. Ameliorative Effect of Graviola (Annona muricata) on Mono Sodium Glutamate-Induced Hepatic Injury in Rats: Antioxidant, Apoptotic, Anti-inflammatory, Lipogenesis Markers, and Histopathological Studies. Animals 2020, 10, 1996. [Google Scholar] [CrossRef]
- Son, Y.; Lee, H.; Son, S.-Y.; Lee, C.-H.; Kim, S.-Y.; Lim, Y. Ameliorative Effect of Annona muricata (Graviola) Extract on Hyperglycemia Induced Hepatic Damage in Type 2 Diabetic Mice. Antioxidants 2021, 10, 1546. [Google Scholar] [CrossRef]
- Rahman, S.S.; Yasmin, N.; Kamruzzaman, M.; Islam, M.R.; Karim, M.R.; Rouf, S.M. Anti-hyperglycemic effect of the immature endosperm of sugar palm (Borassus flabellifer) fruit on type 2 diabetes mellitus patients-a case study. Diabetes Metab. Syndr. 2020, 14, 1317–1322. [Google Scholar] [CrossRef]
- Prasad, S.K.; Veeresh, P.M.; Ramesh, P.S.; Natraj, S.M.; Madhunapantula, S.V.; Devegowda, D. Phytochemical fractions from Annona muricata seeds and fruit pulp inhibited the growth of breast cancer cells through cell cycle arrest at G(0)/G(1) phase. J. Cancer Res. Ther. 2020, 16, 1235–1249. [Google Scholar] [CrossRef]
- Gyesi, J.N.; Opoku, R.; Borquaye, L.S. Chemical Composition, Total Phenolic Content, and Antioxidant Activities of the Essential Oils of the Leaves and Fruit Pulp of Annona muricata L. (Soursop) from Ghana. Biochem. Res. Int. 2019, 2019, 4164576. [Google Scholar] [CrossRef] [PubMed]
- Adefegha, S.A.; Oyeleye, S.I.; Oboh, G. Distribution of Phenolic Contents, Antidiabetic Potentials, Antihypertensive Properties, and Antioxidative Effects of Soursop (Annona muricata L.) Fruit Parts In Vitro. Biochem. Res. Int. 2015, 2015, 347673. [Google Scholar] [CrossRef] [PubMed]
- Nayak, S.; Rao, G.M.; Marathe, A.; Vyshnavi, M. Protective potentials of Annona muricata fruit pulp on etoposide-induced gastrointestinal toxicity in Wistar rats. J. Carcinog. 2019, 18, 4. [Google Scholar] [CrossRef]
- Nolasco-González, Y.; Chacón-López, M.A.; Ortiz-Basurto, R.I.; Aguilera-Aguirre, S.; González-Aguilar, G.A.; Rodríguez-Aguayo, C.; Navarro-Cortez, M.C.; García-Galindo, H.S.; García-Magaña, M.D.; Meza-Espinoza, L.; et al. Annona muricata Leaves as a Source of Bioactive Compounds: Extraction and Quantification Using Ultrasound. Horticulturae 2022, 8, 560. [Google Scholar] [CrossRef]
- Justino, A.B.; Miranda, N.C.; Franco, R.R.; Martins, M.M.; Silva, N.M.D.; Espindola, F.S. Annona muricata Linn. leaf as a source of antioxidant compounds with in vitro antidiabetic and inhibitory potential against α-amylase, α-glucosidase, lipase, non-enzymatic glycation and lipid peroxidation. Biomed. Pharmacother. 2018, 100, 83–92. [Google Scholar] [CrossRef] [PubMed]
- House, N.C.; Puthenparambil, D.; Malayil, D.; Narayanankutty, A. Variation in the polyphenol composition, antioxidant and anticancer activity among different Amaranthus species. S. Afr. J. Bot. 2020; in press. [Google Scholar] [CrossRef]
- Kirkova, D.; Stremski, Y.; Statkova-Abeghe, S.; Docheva, M. Quercetin Hybrids & mdash; Synthesis, Spectral Characterization and Radical Scavenging Potential. Molbank 2022, 2022, 23845–23859. [Google Scholar]
- Cao, X.; Zhang, Y.; Xun, H.; Wang, J.; Tang, F. High-Yield Recovery of Antioxidant Compounds from Bambusa chungii Culms Using Pressurized Hot Water Extraction. Antioxidants 2022, 11, 2231. [Google Scholar] [CrossRef]
- Okokon, J.E.; Simeon, J.O.; Umoh, E.E. Hepatoprotective activity of the extract of Homalium letestui stem against paracetamol-induced liver injury. Avicenna J. Phytomed. 2017, 7, 27–36. [Google Scholar]
- Saidurrahman, M.; Mujahid, M.; Siddiqui, M.A.; Alsuwayt, B.; Rahman, M.A. Evaluation of hepatoprotective activity of ethanolic extract of Pterocarpus marsupium Roxb. leaves against paracetamol-induced liver damage via reduction of oxidative stress. Phytomedicine Plus 2022, 2, 100311. [Google Scholar] [CrossRef]
- Abdelrazek, F.; Salama, D.A.; Alharthi, A.; Asiri, S.A.; Khodeer, D.M.; Qarmush, M.M.; Mobasher, M.A.; Ibrahim, M. Glycine Betaine Relieves Lead-Induced Hepatic and Renal Toxicity in Albino Rats. Toxics 2022, 10, 271. [Google Scholar] [CrossRef]
- Razygraev, A.V.; Yushina, A.D.; Titovich, I.A. A Method of Measuring Glutathione Peroxidase Activity in Murine Brain in Pharmacological Experiments. Bull. Exp. Biol. Med. 2018, 165, 292–295. [Google Scholar] [CrossRef] [PubMed]
- Górny, M.; Bilska-Wilkosz, A.; Iciek, M.; Hereta, M.; Kamińska, K.; Kamińska, A.; Chwatko, G.; Rogóż, Z.; Lorenc-Koci, E. Alterations in the Antioxidant Enzyme Activities in the Neurodevelopmental Rat Model of Schizophrenia Induced by Glutathione Deficiency during Early Postnatal Life. Antioxidants 2020, 9, 538. [Google Scholar] [CrossRef] [PubMed]
- Bak, M.-J.; Jun, M.; Jeong, W.-S. Antioxidant and Hepatoprotective Effects of the Red Ginseng Essential Oil in H2O2-Treated HepG2 Cells and CCl4-Treated Mice. Int. J. Mol. Sci. 2012, 13, 2314–2330. [Google Scholar] [CrossRef]
- Buchner, I.; Medeiros, N.; Lacerda, D.D.; Normann, C.A.B.M.; Gemelli, T.; Rigon, P.; Wannmacher, C.M.; Henriques, J.A.; Dani, C.; Funchal, C. Hepatoprotective and Antioxidant Potential of Organic and Conventional Grape Juices in Rats Fed a High-Fat Diet. Antioxidants 2014, 3, 323–338. [Google Scholar] [CrossRef] [PubMed]
- Kleiner, D.E.; Brunt, E.M.; Van Natta, M.; Behling, C.; Contos, M.J.; Cummings, O.W.; Ferrell, L.D.; Liu, Y.-C.; Torbenson, M.S.; Unalp-Arida, A.; et al. Nonalcoholic Steatohepatitis Clinical Research, N. Design and validation of a histological scoring system for nonalcoholic fatty liver disease. Hepatology 2005, 41, 1313–1321. [Google Scholar] [CrossRef] [PubMed]
- Liang, W.; Menke, A.L.; Driessen, A.; Koek, G.H.; Lindeman, J.H.; Stoop, R.; Havekes, L.M.; Kleemann, R.; van den Hoek, A.M. Establishment of a General NAFLD Scoring System for Rodent Models and Comparison to Human Liver Pathology. PLoS ONE 2014, 9, e115922. [Google Scholar] [CrossRef] [PubMed]
- Satapathy, S.K.; Kuwajima, V.; Nadelson, J.; Atiq, O.; Sanyal, A.J. Drug-induced fatty liver disease: An overview of pathogenesis and management. Ann. Hepatol. 2015, 14, 789–806. [Google Scholar] [CrossRef]
- Walubo, A.; Barr, S.; Abraham, A.M.; Coetsee, C. The role of cytochrome–P450 inhibitors in the prevention of hepatotoxicity after paracetamol overdose in rats. Hum. Exp. Toxicol. 2004, 23, 49–54. [Google Scholar] [CrossRef]
- Ben-Shachar, R.; Chen, Y.; Luo, S.; Hartman, C.; Reed, M.; Nijhout, H.F. The biochemistry of acetaminophen hepatotoxicity and rescue: A mathematical model. Theor. Biol. Med. Model. 2012, 9, 55. [Google Scholar] [CrossRef]
- Slattery, W.T.; Klegeris, A. Acetaminophen metabolites p-aminophenol and AM404 inhibit microglial activation. Neuroimmunol. Neuroinflammation 2018, 5, 11. [Google Scholar] [CrossRef]
- Subramanya, S.B.; Venkataraman, B.; Meeran, M.F.; Goyal, S.N.; Patil, C.R.; Ojha, S. Therapeutic Potential of Plants and Plant Derived Phytochemicals against Acetaminophen-Induced Liver Injury. Int. J. Mol. Sci. 2018, 19, 3776. [Google Scholar] [CrossRef] [PubMed]
- Abdel-Daim, M.; Abushouk, A.I.; Reggi, R.; Yarla, N.S.; Palmery, M.; Peluso, I. Association of antioxidant nutraceuticals and acetaminophen (paracetamol): Friend or foe? J. Food Drug Anal. 2018, 26 (Suppl. S2), S78–S87. [Google Scholar] [CrossRef]
- Anaya Esparza, L.M.; Montalvo-González, E. Bioactive Compounds of Soursop (Annona muricata L.) Fruit. In Bioactive Compounds in Underutilized Fruits and Nuts; Murthy, H.N., Bapat, V.A., Eds.; Springer International Publishing: Cham, Switzerland, 2019; pp. 1–15. [Google Scholar]
- Agu, K.C.; Okolie, P.N. Proximate composition, phytochemical analysis, and in vitro antioxidant potentials of extracts of Annona muricata (Soursop). Food Sci. Nutr. 2017, 5, 1029–1036. [Google Scholar] [CrossRef] [PubMed]
- Kim, W.R.; Flamm, S.L.; Di Bisceglie, A.M.; Bodenheimer, H.C. Serum activity of alanine aminotransferase (ALT) as an indicator of health and disease. Hepatology 2008, 47, 1363–1370. [Google Scholar] [CrossRef] [PubMed]
- Åberg, F.; Danford, C.J.; Thiele, M.; Talbäck, M.; Rasmussen, D.N.; Jiang, Z.G.; Hammar, N.; Nasr, P.; Ekstedt, M.; But, A.; et al. A Dynamic Aspartate-to-Alanine Aminotransferase Ratio Provides Valid Predictions of Incident Severe Liver Disease. Hepatol. Commun. 2021, 5, 1021–1035. [Google Scholar] [CrossRef]
- Yasmin, A.; Rukunuzzaman, M.; Karim, A.S.M.B.; Alam, R.; Hossen, K.; Sonia, Z.F. Ratio of aspartate aminotransferase to alanine aminotransferase and alkaline phosphatase to total bilirubin in Wilsonian acute liver failure in children. Indian J. Gastroenterol. 2022, 41, 224–230. [Google Scholar] [CrossRef]
- Yokoyama, Y.; Ono, A.; Yoshida, M.; Matsumoto, K.; Saito, M. Toxicological significance of increased serum alkaline phosphatase activity in dog studies of pesticides: Analysis of toxicological data evaluated in Japan. Regul. Toxicol. Pharmacol. RTP 2019, 109, 104482. [Google Scholar] [CrossRef]
- Wang, K. Molecular mechanisms of hepatic apoptosis. Cell Death Dis. 2014, 5, e996. [Google Scholar] [CrossRef] [PubMed]
- Contreras-Zentella, M.L.; Hernández-Muñoz, R. Is Liver Enzyme Release Really Associated with Cell Necrosis Induced by Oxidant Stress? Oxidative Med. Cell. Longev. 2016, 3529149, 20. [Google Scholar] [CrossRef]
- Zakaria, Z.A.; Kamisan, F.H.; Kek, T.L.; Salleh, M.Z. Hepatoprotective and antioxidant activities of Dicranopteris linearis leaf extract against paracetamol-induced liver intoxication in rats. Pharm. Biol. 2020, 58, 478–489. [Google Scholar] [CrossRef]
- Hota, R.N.; Nanda, B.K.; Behera, B.R.; Bose, A. Ameliorative effect of ethanolic extract of Limnophila rugosa (Scrophulariaceae) in paracetamol- and carbon tetrachloride-induced hepatotoxicity in rats. Future J. Pharm. Sci. 2022, 8, 6. [Google Scholar] [CrossRef]
- Gaucher, C.; Boudier, A.; Bonetti, J.; Clarot, I.; Leroy, P.; Parent, M. Glutathione: Antioxidant Properties Dedicated to Nanotechnologies. Antioxidants 2018, 7, 62. [Google Scholar] [CrossRef]
- Ighodaro, O.M.; Akinloye, O.A. First line defence antioxidants-superoxide dismutase (SOD), catalase (CAT) and glutathione peroxidase (GPX): Their fundamental role in the entire antioxidant defence grid. Alex. J. Med. 2018, 54, 287–293. [Google Scholar] [CrossRef]
- Du, K.; Ramachandran, A.; Jaeschke, H. Oxidative stress during acetaminophen hepatotoxicity: Sources, pathophysiological role and therapeutic potential. Redox Biol. 2016, 10, 148–156. [Google Scholar] [CrossRef]
- Jiang, W.P.; Deng, J.S.; Huang, S.S.; Wu, S.H.; Chen, C.C.; Liao, J.C.; Chen, H.Y.; Lin, H.Y.; Huang, G.J. Sanghuangporus sanghuang Mycelium Prevents Paracetamol-Induced Hepatotoxicity through Regulating the MAPK/NF-κB, Keap1/Nrf2/HO-1, TLR4/PI3K/Akt, and CaMKKβ/LKB1/AMPK Pathways and Suppressing Oxidative Stress and Inflammation. Antioxidants. 2021, 10, 897. [Google Scholar] [CrossRef] [PubMed]
- Kleiner, D.E.; Chalasani, N.P.; Lee, W.M.; Fontana, R.J.; Bonkovsky, H.L.; Watkins, P.B.; Hayashi, P.H.; Davern, T.J.; Navarro, V.; Reddy, R.; et al. Hepatic histological findings in suspected drug-induced liver injury: Systematic evaluation and clinical associations. Hepatology 2014, 59, 661–670. [Google Scholar] [CrossRef] [PubMed]
- Muhammad-Azam, F.; Nur-Fazila, S.H.; Ain-Fatin, R.; Mustapha Noordin, M.; Yimer, N. Histopathological changes of acetaminophen-induced liver injury and subsequent liver regeneration in BALB/C and ICR mice. Vet. World 2019, 12, 1682–1688. [Google Scholar] [CrossRef] [PubMed]
- Portmann, B.; Talbot, I.C.; Day, D.W.; Davidson, A.R.; Murray-Lyon, I.M.; Williams, R. Histopathological changes in the liver following a paracetamol overdose: Correlation with clinical and biochemical parameters. J. Pathol. 1975, 117, 169–181. [Google Scholar] [CrossRef]
- Oyebamiji, A.K.; Tolufashe, G.F.; Oyawoye, O.M.; Oyedepo, T.A.; Semire, B. Biological Activity of Selected Compounds from Annona muricata Seed as Antibreast Cancer Agents: Theoretical Study. J. Chem. 2020, 2020, 6735232. [Google Scholar] [CrossRef]


| Phytochemical | Quantity (mg Equivalent/g Lyophilized Fruit Pulp) |
|---|---|
| Total polyphenol content | 0.837 ± 0.011 |
| Total flavonoid content | 0.179 ± 0.003 |
| Assay | Value (µg/mL) |
|---|---|
| DPPH assay | 19.17 ± 0.34 |
| ABTS assay | 16.64 ± 0.41 |
| FRAP assay | 6.11 ± 0.23 |
| Parameter | Treatment Groups | ||||
|---|---|---|---|---|---|
| Normal | APAP Alone | APAP+ Silymarin | APAP+ AML | APAP+ AMH | |
| AST (IU/L) | 64.74 ± 8.4 | 101.65 ± 9.2 *** | 70.42 ± 4.5 ### | 75.42 ± 3.3 ***, ### | 78.66 ± 5.3 ***, ### |
| ALT (IU/L) | 67.51 ± 4.5 | 113.59 ± 5.9 *** | 91.19 ± 3.9 ***, ### | 80.33 ± 6.2 ***, ### | 73.31 ± 5.0 ### |
| ALP (IU/L) | 48.9 ± 5.1 I | 72.12 ± 6.2 *** | 53.22 ± 1.98 ### | 64.13 ± 3.7 ***, ## | 58.98 ± 5.1 ***, ### |
| Total protein (g/dL) | 7.08 ± 0.42 | 5.84 ± 0.21 ns | 6.98 ± 0.45 ns | 6.72 ± 0.36 ns | 5.48 ± 0.39 ns |
| Total bilirubin (mg/dL) | 0.29 ± 0.08 | 1.34 ± 0.11 ns | 0.68 ± 0.10 ns | 0.77 ± 0.09 ns | 0.71 ± 0.14 ns |
| Albumin (g/dL) | 5.26 ± 0.29 | 1.19 ± 0.12 ns | 5.21 ± 0.13 ns | 5.03 ± 0.24 ns | 5.24 ± 0.23 ns |
| Parameter | Normal | Paracetamol | Silymarin | AML | AMH |
|---|---|---|---|---|---|
| Hepatocellular ballooning | 0 | 2 | 1 | 1 | 1 |
| Macrovesicles | 0 | 3 | 1 | 2 | 1 |
| Microvecicles | 0 | 3 | 2 | 2 | 2 |
| Portal tract inflammation | 0 | 1 | 0 | 0 | 0 |
Disclaimer/Publisher’s Note: The statements, opinions and data contained in all publications are solely those of the individual author(s) and contributor(s) and not of MDPI and/or the editor(s). MDPI and/or the editor(s) disclaim responsibility for any injury to people or property resulting from any ideas, methods, instructions or products referred to in the content. |
© 2023 by the authors. Licensee MDPI, Basel, Switzerland. This article is an open access article distributed under the terms and conditions of the Creative Commons Attribution (CC BY) license (https://creativecommons.org/licenses/by/4.0/).
Share and Cite
Menon, S.; Al-Eisa, R.A.; Hamdi, H.; Lawrence, L.; Syamily, P.S.; Sivaram, V.P.; Padikkala, J.; Mathew, S.E.; Narayanankutty, A. Protective Effect of Annona muricata Linn Fruit Pulp Lyophilized Powder against Paracetamol-Induced Redox Imbalance and Hepatotoxicity in Rats. Processes 2023, 11, 276. https://doi.org/10.3390/pr11010276
Menon S, Al-Eisa RA, Hamdi H, Lawrence L, Syamily PS, Sivaram VP, Padikkala J, Mathew SE, Narayanankutty A. Protective Effect of Annona muricata Linn Fruit Pulp Lyophilized Powder against Paracetamol-Induced Redox Imbalance and Hepatotoxicity in Rats. Processes. 2023; 11(1):276. https://doi.org/10.3390/pr11010276
Chicago/Turabian StyleMenon, Seema, Rasha A. Al-Eisa, Hamida Hamdi, Lincy Lawrence, P. S. Syamily, Vipin P. Sivaram, Jose Padikkala, Shaji E. Mathew, and Arunaksharan Narayanankutty. 2023. "Protective Effect of Annona muricata Linn Fruit Pulp Lyophilized Powder against Paracetamol-Induced Redox Imbalance and Hepatotoxicity in Rats" Processes 11, no. 1: 276. https://doi.org/10.3390/pr11010276
APA StyleMenon, S., Al-Eisa, R. A., Hamdi, H., Lawrence, L., Syamily, P. S., Sivaram, V. P., Padikkala, J., Mathew, S. E., & Narayanankutty, A. (2023). Protective Effect of Annona muricata Linn Fruit Pulp Lyophilized Powder against Paracetamol-Induced Redox Imbalance and Hepatotoxicity in Rats. Processes, 11(1), 276. https://doi.org/10.3390/pr11010276

