Fractures in the Setting of Constriction Band Syndrome: A Case Series of Three Patients with Extremity Fractures at the Site of a Constriction Band
Abstract
:1. Introduction
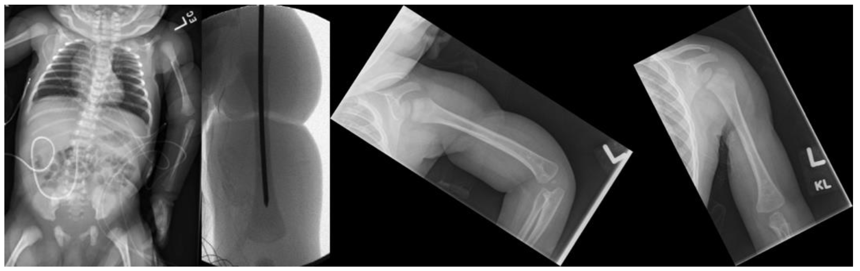
2. Case Presentation
3. Discussion
Author Contributions
Funding
Institutional Review Board Statement
Informed Consent Statement
Data Availability Statement
Conflicts of Interest
References
- Garza, A.; Cordero, J.F.; Mulinare, J. Epidemiology of the early amnion rupture spectrum of defects. Am. J. Dis. Child. 1988, 142, 541–544. [Google Scholar] [CrossRef]
- Lowry, R.B.; Bedard, T.; Sibbald, B. The prevalence of amnion rupture sequence, limb body wall defects and body wall defects in Alberta 1980–2012 with a review of risk factors and familial cases. Am. J. Med. Genet. A. 2017, 173, 299–308. [Google Scholar] [CrossRef]
- Streeter, G.L.; Carnegie Institution of Washington. Focal deficiencies in fetal tissues and their relation to intra-uterine amputation. Contrib. Embryol. 1930, 22, 1–44. [Google Scholar]
- Torpin, R. Amniochorionic Mesoblastic Fibrous Strings and Amnionic Bands: Associated Constricting Fetal Malformations or Fetal Death. Am. J. Obstet. Gynecol. 1965, 91, 65–75. [Google Scholar] [CrossRef]
- Daya, M.; Makakole, M. Congenital vascular anomalies in amniotic band syndrome of the limbs. J. Pediatr. Surg. 2011, 46, 507–513. [Google Scholar] [CrossRef]
- Robin, N.H. Amniotic Constriction Band: A Multidisciplinary Assessment of Etiology and Clinical Presentation. Available online: https://core.ac.uk/reader/70383008?utm_source=linkout (accessed on 19 September 2021).
- Weinzweig, N.; Barr, A. Radial, ulnar, and median nerve palsies caused by a congenital constriction band of the arm: Single-stage correction. Plast. Reconstr. Surg. 1994, 94, 872–876. [Google Scholar] [CrossRef]
- Agashe, M.V.; Rathod, C.M.; Dhamele, J.A. Congenital pseudoarthrosis of the tibia with localised gigantism in a case of congenital constriction band syndrome. Indian J. Plast. Surg. Off Publ. Assoc. 2011, 44, 139–141. [Google Scholar] [CrossRef]
- Bourne, M.H.; Klassen, R.A. Congenital annular constricting bands: Review of the literature and a case report. J. Pediatr. Orthop. 1987, 7, 218–221. [Google Scholar] [CrossRef]
- Ho, C.A. Congenital Band Syndrome with Pseudarthrosis of the Radius and Ulna and Impending Vascular Compromise: A Case Report. J. Pediatr. Orthop. 2014, 34, 5. [Google Scholar] [CrossRef]
- Magee, T.; Mackay, D.; Segal, L. Congenital constriction band with pseudoarthrosis of the tibia: A case report and literature review. Acta Orthop. Belg. 2007, 73, 275–278. [Google Scholar]
- Martinot-Duquennoy, V.; Bonnevalle, M.; Herbaux, B.; Pellerin, P.; Debeugny, P. Congenital Annular Constricting Band: A Case Report with Pseudarthrosis and Review of the Literature. Eur. J. Pediatr. Surg. 1995, 5, 380–384. [Google Scholar] [CrossRef]
- Rajoo, R.D.; Mennen, U. Congenital constriction band associated with pseudarthrosis and impending gangrene. A case report. S. Afr. J. Surg. Suid.-Afr. Tydskr. Vir. Chir. 1991, 29, 27–29. [Google Scholar]
- Sarnat, B.G.; Kagan, B.M. Prenatal Constricting Band and Pseudoarthrosis of the Lower. Leg. Plast. Reconstr. Surg. 1971, 47, 547–551. [Google Scholar] [CrossRef]
- Tanguy, A.F.; Dalens, B.J.; Boisgard, S. Congenital constricting band with pseudarthrosis of the tibia and fibula. A case report. JBJS 1995, 77, 1251–1254. [Google Scholar] [CrossRef]
- Zionts, L.E.; Osterkamp, J.A.; Crawford, T.O.; Harvey, J.P.J. Congenital annular bands in identical twins. A case report. JBJS 1984, 66, 450–453. [Google Scholar] [CrossRef]
- Zych, G.A.; Ballard, A. Congenital band causing pseudarthrosis and impending gangrene of the leg. A case report with successful treatment. JBJS 1983, 65, 410–412. [Google Scholar] [CrossRef]
- Angelis, S.; Vynichakis, G.; Trellopoulos, A.; Mirtsios, H.; Michelarakis, J.Ν. Strangling Congenital Constriction Ring Band of the Forearm with Fracture: A Rare Case Report. Cureus 2019, 11. Available online: https://www.cureus.com/articles/18274-strangling-congenital-constriction-ring-band-of-the-forearm-with-fracture-a-rare-case-report (accessed on 18 September 2021). [CrossRef] [Green Version]
- Masmoudi, K.; Mtaoumi, M.; Bouattour, K.; Ben Ayeche, M.L. Neonatal leg fracture and constriction ring syndrome: A case report and literature review. Orthop. Traumatol. Surg. Res. 2016, 102, 955–958. [Google Scholar] [CrossRef]
- Jensen, K.K.; Oh, K.Y.; Kennedy, A.M.; Sohaey, R. Intrauterine Linear Echogenicities in the Gravid Uterus: What Radiologists Should Know. Radiogr. Rev. Publ. Radiol. Soc. N. Am. Inc. 2018, 38, 642–657. [Google Scholar] [CrossRef] [Green Version]
- Moses, J.M.; Flatt, A.E.; Cooper, R.R. Annular constricting bands. J. Bone Jt. Surg. Am. 1979, 61, 562–565. [Google Scholar] [CrossRef]
- Moran, S.L.; Jensen, M.; Bravo, C. Amniotic Band Syndrome of the Upper Extremity: Diagnosis and Management. JAAOS J. Am. Acad. Orthop. Surg. 2007, 15, 397–407. [Google Scholar] [CrossRef]
- Choulakian, M.Y.; Williams, H.B. Surgical correction of congenital constriction band syndrome in children: Replacing Z-plasty with direct closure. Can J. Plast. Surg. 2008, 16, 221–223. [Google Scholar] [CrossRef]
- Naik, P.; Shah, H.; Gupta, P. The spectrum of tibial pseudarthrosis with constriction band syndrome in children. J. Pediatr. Orthop. B 2021, 31, 150–159. Available online: https://journals.lww.com/10.1097/BPB.0000000000000856 (accessed on 18 September 2021). [CrossRef]





Publisher’s Note: MDPI stays neutral with regard to jurisdictional claims in published maps and institutional affiliations. |
© 2022 by the authors. Licensee MDPI, Basel, Switzerland. This article is an open access article distributed under the terms and conditions of the Creative Commons Attribution (CC BY) license (https://creativecommons.org/licenses/by/4.0/).
Share and Cite
Cho, Y.; Qubain, L.; Esparza, M.; Karlen, J.; Schaub, T.; Belthur, M.V. Fractures in the Setting of Constriction Band Syndrome: A Case Series of Three Patients with Extremity Fractures at the Site of a Constriction Band. Children 2022, 9, 876. https://doi.org/10.3390/children9060876
Cho Y, Qubain L, Esparza M, Karlen J, Schaub T, Belthur MV. Fractures in the Setting of Constriction Band Syndrome: A Case Series of Three Patients with Extremity Fractures at the Site of a Constriction Band. Children. 2022; 9(6):876. https://doi.org/10.3390/children9060876
Chicago/Turabian StyleCho, Yerin, Leeann Qubain, Melissa Esparza, Judson Karlen, Timothy Schaub, and Mohan V Belthur. 2022. "Fractures in the Setting of Constriction Band Syndrome: A Case Series of Three Patients with Extremity Fractures at the Site of a Constriction Band" Children 9, no. 6: 876. https://doi.org/10.3390/children9060876
APA StyleCho, Y., Qubain, L., Esparza, M., Karlen, J., Schaub, T., & Belthur, M. V. (2022). Fractures in the Setting of Constriction Band Syndrome: A Case Series of Three Patients with Extremity Fractures at the Site of a Constriction Band. Children, 9(6), 876. https://doi.org/10.3390/children9060876

