Next Article in Journal
Comparison of Surgical Outcomes of Laparoscopic Glue and Laparoscopic Suture Hernioplasty in Pediatric Female Inguinal Hernia
Next Article in Special Issue
Vitamin D and Parathyroid Hormone during Growth Hormone Treatment
Previous Article in Journal
Early and Innovative Rehabilitation in Warkany Syndrome 2 Associated with Agenesis of the Corpus Callosum: A Case Report
Previous Article in Special Issue
Perimenstrual Asthma in Adolescents: A Shared Condition in Pediatric and Gynecological Endocrinology
 
 
Font Type:
Arial Georgia Verdana
Font Size:
Aa Aa Aa
Line Spacing:
Column Width:
Background:
Case Report

Early Diagnosis of Pseudohypoparathyroidism before the Development of Hypocalcemia in a Young Infant

1
Department of Pediatrics, School of Medicine, Kyungpook National University, Daegu 37224, Korea
2
Department of Pediatrics, Keimyung University School of Medicine, Keimyung University Dongsan Hospital, Daegu 37224, Korea
3
Department of Laboratory Medicine, Pusan National University School of Medicine, Pusan National University Yangsan Hospital, Yangsan 50612, Korea
4
Department of Pediatrics, Yeungnam University School of Medicine, Yeungnam University Hospital, Daegu 42415, Korea
*
Author to whom correspondence should be addressed.
Children 2022, 9(5), 723; https://doi.org/10.3390/children9050723
Submission received: 30 March 2022 / Revised: 10 May 2022 / Accepted: 11 May 2022 / Published: 15 May 2022

Abstract

Pseudohypoparathyroidism (PHP) is a rare, heterogeneous disorder characterized by end-organ resistance to parathyroid hormone (PTH). PTH resistance causes elevated PTH levels, hypocalcemia, and hyperphosphatemia. Since hypocalcemia causes life-threatening events, early diagnosis is crucial. However, the diagnosis of PHP is elusive during infancy because PHP is usually diagnosed with hypocalcemia-induced symptoms, which develop later in childhood when calcium requirements increase. A 1-month-old girl was referred to our clinic for elevated thyroid-stimulating hormone (TSH) levels on newborn screening. When measured 1 month after levothyroxine treatment, her TSH level normalized. At 4-months-old, multiple hard nodules were noted on her trunk. A punch skin biopsy revealed osteoma cutis associated with Albright’s hereditary osteodystrophy, a major characteristic of PHP. We performed targeted sanger sequencing of the GNAS gene and detected a heterozygous variant c.150dupA (p.Ser51Ilefs*3) in both the proband and her mother, causing frameshift and premature termination mutations. The patient was diagnosed with PHP Ia when she had normal calcium, phosphorous, and PTH levels. We report the early diagnosis of PHP Ia without hypocalcemia. It emphasizes the importance of meticulous physical examination in patients with congenital hypothyroidism.

Graphical Abstract

1. Introduction

Pseudohypoparathyroidism (PHP) is a rare, heterogeneous disorder characterized by end-organ resistance to parathyroid hormone (PTH). It is caused by defects in the α-subunit of the stimulatory G protein (Gsα), which is coupled to the PTH receptor [1,2]. Because of its rarity, its exact prevalence is unknown, and only two large studies exist on this condition. Its prevalence was estimated to be 0.34 in 100,000 and 1.1 in 100,000 according to reports from Japan [3] and Denmark [4], respectively. PHP is classified into types Ia, Ib, Ic, and II, which share biochemical features resulting from PTH resistance. PHP type I is further differentiated into types Ia, Ib, and Ic by the presence or absence of Albright’s hereditary osteodystrophy (AHO). The disorder is characterized by heterogeneous features (e.g., brachydactyly, a rounded face, central obesity, subcutaneous ossifications, short stature, and mental retardation), making it challenging to diagnose PHP through AHO [5,6,7].
PHP and hypoparathyroidism have similar treatments and clinical manifestations caused by hypocalcemia. However, PTH resistance causes elevated PTH levels, hypocalcemia, and hyperphosphatemia. These clinical symptoms of PHP are highly diverse, even when patients have the same genetic alterations. Many PHP patients experience hypocalcemia-induced life-threatening events such as syncope, seizure, paresthesia, and tetany [8,9]. Therefore, it is crucial to diagnose PHP early to avoid complications. However, PHP is difficult to diagnose during infancy because it is usually diagnosed with hypocalcemia-induced symptoms and hypocalcemia often develops later in childhood when calcium requirements increase.
Among the different types of PHP, type Ia involves multiple endocrine organs, such as the thyroid gland, ovaries, and pituitary gland, via Gsα coupled receptors [10,11]. Hypothyroidism, a component of PHP type Ia, is often overlooked because it is mild and may be interpreted as congenital hypothyroidism, which is common in newborn screening [12]. There have been several attempts to diagnose PHP early and prevent complications; nevertheless, delayed diagnosis still occurs often [13,14]. Only a few cases of PHP have been diagnosed before the development of hypocalcemia and related symptoms [15,16,17,18]. Here, we report early diagnosis of PHP type Ia in a young infant before the development of hypocalcemia and elevated PTH levels owing to osteoma cutis. We emphasize the importance of meticulous physical examination in patients with congenital hypothyroidism.

2. Case Report

A 1-month-old girl was referred to our clinic for elevated thyroid-stimulating hormone (TSH) levels on newborn screening. She was delivered by cesarean section at full term, with a birth weight of 2.8 kg. Laboratory tests revealed elevated TSH (25 µU/mL, normal range 0.5–4.8) and normal free T4 (0.9 ng/dL, normal range 0.8–1.6) levels. The patient had no family history of thyroid disease, and the patient’s mother had no thyroid disease during the perinatal period. The patient had no goiter and thyroid antibodies. Thyroid ultrasonography showed unremarkable findings. Therefore, the patient was considered to have congenital hypothyroidism. Levothyroxine treatment was commenced (10 μg/kg/d), and a month later, her TSH level normalized. Although the patient was assumed to have congenital hypothyroidism, thyroid function tests were performed every 3 months. The patient was also carefully examined to rule out other causes of hypothyroidism. At 4 months old, multiple hard nodules were noted on her trunk with normal thyroid function. A punch skin biopsy revealed osteoma cutis associated with AHO, which is a major characteristic of PHP (Figure 1). The patient’s weight was 6.8 kg (50–75th percentile), and her height was 60.3 cm (15–25th percentile). There was no obvious obesity observed, which is an important indicator for early diagnosis of PHP. It was difficult to assess the patient’s exact developmental status owing to her young age. However, the patient seemed to follow normal developmental progress.
PHP type Ia was suspected owing to osteoma cutis combined with congenital hypothyroidism. Therefore, we performed targeted sanger sequencing of the GNAS gene (NM_000516.5), which is associated with PHP. We detected the heterozygous variant c.150dupA (p.Ser51Ilefs*3) in both the proband and her mother. It caused frameshift and premature termination mutations (Figure 2) and was classified as “pathogenic” according to the American College of Medical Genetics and Genomics/Association for Molecular Pathology guidelines, with evidence based on the following criteria: PVS1, PM2, and PP3. There is no reported allele frequency in the general population (Genome Aggregation Database) (=0%). Further laboratory tests revealed normocalcemia (9.7 mg/dL, normal range 8.8–10.8), normophosphatemia (5.7 mg/dL, normal range 3.8–6.5) and a normal serum PTH level (44 pg/mL, normal range 10–65).
GNAS is an imprinted gene. Maternally transmitted mutations cause PHP type Ia, while paternal transmission results in pseudopseudoparathyroidism (PPHP). Thus, the patient was diagnosed with PHP type Ia. Conversely, the patient’s mother was assumed to have PPHP; she had normocalcemia, normophosphatemia, normal thyroid function, and a normal serum PTH level.
The mother’s height and weight were 150 cm and 50 kg, respectively. She had short stature and a rounded face. Although these were clinical manifestations of AHO, they were mild and not accompanied by other AHO features, such as mental retardation, hard nodules, obesity, and brachydactyly. To avoid the onset of severe hypocalcemic symptoms, serum calcium, phosphorus, and PTH levels were measured every 3 months, and meticulous physical examination was done. At 1-year-old, the patient’s serum PTH level had markedly increased to 550 pg/mL, while calcium and phosphorous concentrations remained within normal ranges at 8.7 and 6.5 mg/dL, respectively.
Since elevated PTH precedes elevated serum phosphorous levels and hypocalcemia, regular laboratory tests were performed every 2 months. Two months later, elevated PTH (699 pg/mL) accompanied by hypocalcemia (6.9 mg/dL) and hyperphosphatemia (7.2 mg/dL) were noted. However, there were no hypocalcemia-induced symptoms. Calcitriol (30 ng/kg/d), and calcium carbonate (50 mg/elemental calcium/kg/d) were promptly administered. Both the hypocalcemia and elevated PTH level improved to 7.5 mg/dL and 580 pg/mL, respectively, 2 months later. The patient’s calcium level gradually improved as a result. Currently, she is 3 years and 7 months old, her height at the time was 97.3 cm (25–50th percentile) and her weight was 19.9 kg (99th percentile), and shows developmental milestones. However, she has not shown any hypocalcemia-induced symptoms.

3. Discussion

PHP is caused by de novo or autosomal dominant inheritance of inactivating mutations in the GNAS locus on 20q13.22 [14]. GNAS is an imprinted gene encoding Gsα, which is coupled to the PTH receptor, thereby activating adenylyl cyclase. PHP is classified into PHP type I and PHP type II according to the response to bovine PTH. Among the types, PHP type Ia is caused by inactivating mutations in the maternal allele of the GNAS exons 1–13 [11,14,19,20]. Predominantly maternal GNAS expression has been detected in the thyroid gland, ovaries, proximal tubules of kidneys, and pituitary gland [2]. Therefore, patients with PHP type Ia also develop resistance to other hormones, such as TSH, growth hormone-releasing hormone, and gonadotropin, via Gs-coupled receptors.
AHO is associated with heterogeneous manifestations, including a round face, brachydactyly, short stature, and various degrees of mental retardation [21,22]. However, it is challenging to diagnose PHP early based on only AHO features because of its vague and nonspecific manifestations, which typically develop during late childhood [1,23]. In this case, the patient’s mother had only AHO without PTH resistance; she was assumed to have PPHP, as PPHP is caused by paternal inactivating mutations. 50% reduction of Gsα caused by GNAS mutation leads to haploinsufficiency in tissues related the AHO phenotype such as the growth plate [24]. The variable expression of AHO with the same GNAS mutation suggest epigenetic modifications, other genetic loci, or environmental factors [22,25]. Moreover, recent studies related to obesity and cognition suggest that GNAS imprinting is also involved in other parts of the central nervous system [26,27]
There has been no report of PTH resistance at birth that develops over time from 0.1 to 22 years [20,28,29]. In general, PTH elevation is followed by hypocalcemia, and PHP type Ia is mainly diagnosed based on severe hypocalcemic symptoms such as seizures, paresthesia, and tetany, when calcium requirements increase during childhood. Therefore, it is difficult to identify at a young age. Moreover, its symptoms are often overlooked and treated as epilepsy, which further delays diagnosis.
There have been some attempts to diagnose PHP early using reported characteristics such as small for gestational age, early-onset obesity, cognitive impairment, developmental delay, and transient hypothyroidism [2]. However, such symptoms are difficult to notice in a very young infant, and cognitive development is normal in 30% of PHP type Ia cases. As such, there have only been five cases, including the present report, of genetically confirmed PHP Ia in young infancy before the development of hypocalcemia, providing detailed information [16,17,18,29] (Table 1).
Among the five cases of early diagnosis, four patients exhibited hypothyroidism. Although TSH resistance being reported as an early manifestation of PHP type Ia, this condition is often misdiagnosed as primary hypothyroidism and physical examination is skipped in patients with congenital hypothyroidism because of the rarity of PHP [30]. TSH resistance may be milder than PTH resistance due to partial Gsα activity in the thyroid tissue [31]. There is a potential for higher prevalence of PHP type Ia among patients with elevated TSH and eutopic thyroid gland [32]. Therefore, meticulous physical examinations and checking calcium, phosphorous and PTH levels are needed especially in patients that are observed to have a mild increase in TSH concentration and presence of eutopic thyroid gland at first visit.
Osteoma cutis is one of the most common manifestations of AHO. Ectopic ossifications are caused by Gsα deficiency in mesenchymal stem cells, resulting from de novo extraskeletal osteoblast formation in the dermis [2,33]. Consequently, osteoma cutis can develop in patients with PHP who have normal serum calcium, phosphate, and PTH levels [33,34]. Fortunately, in patients with PHP, osteoma cutis presents at birth or in early life, usually involving a single plaque or an isolated nodule [34]. Among the literature review cases, three cases showed AHO, however, ectopic ossification was pivotal in early diagnosing PHP type Ia during infancy in our patient and the literature cases.
Although PTH levels increase over time, elevated TSH may be present at birth. Therefore, patients are often diagnosed during newborn screening [2,29]. One large study of PHP showed that all of the young infant patients showed resistance to TSH [29]. Moreover, up to 30% of patients with PHP1A can be diagnosed at birth through elevated TSH newborn screening [32]. If the hypothyroidism was assumed to be primary hypothyroidism in this case and the nodules were overlooked, neuromuscular symptoms or even life-threatening hypocalcemic complications may have occurred. This report and literature review emphasize the significance of thorough physical examination in congenital hypothyroidism. If necessary, active biopsy for lesions, sequencing for GNAS and checking serial calcium and PTH levels are required in patients receiving treatment for congenital hypothyroidism in the hopes of reducing the instance of missing a PHP diagnosis.

Author Contributions

Conceptualization, S.K.H. and S.H.O.; methodology S.H.O.; formal analysis, S.H.O. and K.M.J.; investigation, K.M.J.; resources, S.K.H.; data curation, Y.J.S.; writing—original draft preparation, S.K.H.; writing—review and editing, K.M.J.; visualization, S.H.O.; supervision, S.K.H.; project administration, K.M.J.; funding acquisition, K.M.J. All authors have read and agreed to the published version of the manuscript.

Funding

This work was funded by a 2019 Yeungnam University Research Grant (219A580048).

Institutional Review Board Statement

This research was conducted according to the guidelines of the Declaration of Helsinki and approved by the Institutional Review Board of Yeungnam University Hospital (approval no. 2021-12-037).

Informed Consent Statement

Informed consent was obtained from the patient’s legal guardian. Due to the patient’s age, assent was not required.

Data Availability Statement

The data presented in this study are available on request from the corresponding author. The data are not publicly available due to privacy.

Conflicts of Interest

The authors declare no conflict of interest.

References

  1. Mantovani, G. Clinical review: Pseudohypoparathyroidism: Diagnosis and treatment. J. Clin. Endocrinol. Metab. 2011, 96, 3020–3030. [Google Scholar] [CrossRef] [PubMed]
  2. Mantovani, G.; Bastepe, M.; Monk, D.; de Sanctis, L.; Thiele, S.; Usardi, A.; Ahmed, S.F.; Bufo, R.; Choplin, T.; De Filippo, G.; et al. Diagnosis and management of pseudohypoparathyroidism and related disorders: First international consensus statement. Nat. Rev. Endocrinol. 2018, 14, 476–500. [Google Scholar] [CrossRef] [PubMed]
  3. Nakamura, Y.; Matsumoto, T.; Tamakoshi, A.; Kawamura, T.; Seino, Y.; Kasuga, M.; Yanagawa, H.; Ohno, Y. Prevalence of idiopathic hypoparathyroidism and pseudohypoparathyroidism in Japan. J. Epidemiol. 2000, 10, 29–33. [Google Scholar] [CrossRef] [PubMed]
  4. Underbjerg, L.; Sikjaer, T.; Mosekilde, L.; Rejnmark, L. Pseudohypoparathyroidism—Epidemiology, mortality and risk of complications. Clin. Endocrinol. 2016, 84, 904–911. [Google Scholar] [CrossRef] [PubMed]
  5. Wilson, L.C. Albright’s hereditary osteodystrophy. J. Pediatr. Endocrinol. Metab. 2006, 19, 671–673. [Google Scholar] [CrossRef] [PubMed]
  6. Rolla, A.R.; Rodriguez-Gutierrez, R. Images in clinical medicine. Albright’s hereditary osteodystrophy. N. Engl. J. Med. 2012, 367, 2527. [Google Scholar] [CrossRef] [PubMed]
  7. De Nanclares, G.P.; Fernández-Rebollo, E.; Santin, I.; García-Cuartero, B.; Gaztambide, S.; Menéndez, E.; Morales, M.J.; Pombo, M.; Bilbao, J.R.; Barros, F.; et al. Epigenetic defects of GNAS in patients with pseudohypoparathyroidism and mild features of Albright’s hereditary osteodystrophy. J. Clin. Endocrinol. Metab. 2007, 92, 2370–2373. [Google Scholar] [CrossRef]
  8. Donghi, V.; Mora, S.; Zamproni, I.; Chiumello, G.; Weber, G.J.C.J. Pseudohypoparathyroidism, an often delayed diagnosis: A case series. Cases J. 2009, 2, 6734–6738. [Google Scholar] [CrossRef]
  9. Lee, Y.S.; Kim, H.K.; Kim, H.R.; Lee, J.Y.; Choi, J.W.; Bae, E.J.; Oh, P.S.; Park, W.I.; Ki, C.S.; Lee, H.J. Identification of a novel mutation in a patient with pseudohypoparathyroidism type Ia. Korean J. Pediatr. 2014, 57, 240–244. [Google Scholar] [CrossRef][Green Version]
  10. Liu, J.; Erlichman, B.; Weinstein, L.S. The stimulatory G protein alpha-subunit Gs alpha is imprinted in human thyroid glands: Implications for thyroid function in pseudohypoparathyroidism types 1A and 1B. J. Clin. Endocrinol. Metab. 2003, 88, 4336–4341. [Google Scholar] [CrossRef]
  11. Mantovani, G.; Ballare, E.; Giammona, E.; Beck-Peccoz, P.; Spada, A. The Gsα gene: Predominant maternal origin of transcription in human thyroid gland and gonads. J. Clin. Endocrinol. Metab. 2002, 87, 4736–4740. [Google Scholar] [CrossRef] [PubMed]
  12. Li, Y.L.; Han, T.; Hong, F. Cutaneous nodules and a novel GNAS mutation in a Chinese boy with pseudohypoparathyroidism type Ia: A case report and review of literature. World J. Clin. Cases 2020, 8, 587–593. [Google Scholar] [CrossRef] [PubMed]
  13. Trejo, M.C.; Román-González, A.; Ruíz, S.; Tobón, C.; Castaño, P.; Arango, C.; Prieto, C. Late diagnosis of pseudohypoparathyroidism in adulthood. Case series. Rev. Fac. Med. Univ. Nac. Colomb. 2018, 66, 643–649. [Google Scholar] [CrossRef]
  14. Mantovani, G.; Bastepe, M.; Monk, D.; de Sanctis, L.; Thiele, S.; Ahmed, S.F.; Bufo, R.; Choplin, T.; De Filippo, G.; Devernois, G.; et al. Recommendations for diagnosis and treatment of pseudohypoparathyroidism and related disorders: An updated practical tool for physicians and patients. Horm. Res. Paediatr. 2020, 93, 182–196. [Google Scholar] [CrossRef] [PubMed]
  15. Adachi, M.; Muroya, K.; Asakura, Y.; Kondoh, Y.; Ishihara, J.; Hasegawa, T. Ectopic calcification as discernible manifestation in neonates with pseudohypoparathyroidism type 1a. Int. J. Endocrinol. 2009, 2009, 931057. [Google Scholar] [CrossRef] [PubMed]
  16. Kodo, K.; Maeda, H.; Morimoto, H.; Wada, M.; Imura, T.; Nakajima, H. A case of pseudohypoparathyroidism type Ia with a novel frameshift mutation in the GNAS gene: Early diagnosis of osteoma cutis by skin biopsy. Clin. Pediatr. Endocrinol. 2019, 28, 15–18. [Google Scholar] [CrossRef] [PubMed]
  17. Lubell, T.; Garzon, M.; Anyane-Yeboa, K.; Shah, B. A novel mutation causing pseudohypoparathyroidism 1A with congenital hypothyroidism and osteoma cutis. J. Clin. Res. Pediatr. Endocrinol. 2009, 1, 244–247. [Google Scholar] [CrossRef]
  18. Riepe, F.G.; Ahrens, W.; Krone, N.; Fölster-Holst, R.; Brasch, J.; Sippell, W.G.; Hiort, O.; Partsch, C.J. Early manifestation of calcinosis cutis in pseudohypoparathyroidism type Ia associated with a novel mutation in the GNAS gene. Eur. J. Endocrinol. 2005, 152, 515–519. [Google Scholar] [CrossRef]
  19. Mantovani, G.; Spada, A. Mutations in the Gs alpha gene causing hormone resistance. Best Pract. Res. Clin. Endocrinol. Metab. 2006, 20, 501–513. [Google Scholar] [CrossRef]
  20. Turan, S.; Fernandez-Rebollo, E.; Aydin, C.; Zoto, T.; Reyes, M.; Bounoutas, G.; Chen, M.; Weinstein, L.S.; Erben, R.G.; Marshansky, V.; et al. Postnatal establishment of allelic Gαs silencing as a plausible explanation for delayed onset of parathyroid hormone resistance owing to heterozygous Gαs disruption. J. Bone Miner. Res. 2014, 29, 749–760. [Google Scholar] [CrossRef]
  21. Albright, F.; Burnett, C.; Smith, P.J.P. An example of Sebright-bantam syndrome. Endocrinology 1942, 30, 922. [Google Scholar]
  22. Nagasaki, K.; Shimomura, Y.; Suyama, T.; Magara, S.; Ogawa, Y.; Hiura, M.; Kikuchi, T.; Uchiyama, M. Two cases of pseudohypoparathyroidism type Ia in duozygotic twins with different phenotypes. Clin. Pediatr. Endocrinol. 2005, 14, 39–44. [Google Scholar] [CrossRef] [PubMed]
  23. Wilson, L.C.; Hall, C.M. Albright’s hereditary osteodystrophy and pseudohypoparathyroidism. Semin. Musculoskelet. Rad. 2002, 6, 273–283. [Google Scholar] [CrossRef] [PubMed]
  24. Bastepe, M.; Weinstein, L.S.; Ogata, N.; Kawaguchi, H.; Jüppner, H.; Kronenberg, H.M.; Chung, U.I. Stimulatory G protein directly regulates hypertrophic differentiation of growth plate cartilage in vivo. Proc. Natl. Acad. Sci. USA 2004, 101, 14794–14799. [Google Scholar] [CrossRef]
  25. Lemos, M.C.; Thakker, R.V. GNAS mutations in pseudohypoparathyroidism type 1a and related disorders. Hum. Mutat. 2015, 36, 11–19. [Google Scholar] [CrossRef]
  26. Germain-Lee, E.L. Management of pseudohypoparathyroidism. Curr. Opin. Pediatr. 2019, 31, 537–549. [Google Scholar] [CrossRef]
  27. Mouallem, M.; Shaharabany, M.; Weintrob, N.; Shalitin, S.; Nagelberg, N.; Shapira, H.; Zadik, Z.; Farfel, Z. Cognitive impairment is prevalent in pseudohypoparathyroidism type Ia, but not in pseudopseudohypoparathyroidism: Possible cerebral imprinting of Gsalpha. Clin. Endocrinol. 2008, 68, 233–239. [Google Scholar] [CrossRef]
  28. Rezwan, F.I.; Poole, R.L.; Prescott, T.; Walker, J.M.; Karen Temple, I.; Mackay, D.J. Very small deletions within the NESP55 gene in pseudohypoparathyroidism type 1b. Eur. J. Hum. Genet. 2015, 23, 494–499. [Google Scholar] [CrossRef]
  29. Sano, S.; Nakamura, A.; Matsubara, K.; Nagasaki, K.; Fukami, M.; Kagami, M.; Ogata, T. (Epi)Genotype-Phenotype analysis in 69 Japanese patients with pseudohypoparathyroidism type I. J. Endocr. Soc. 2018, 2, 9–23. [Google Scholar] [CrossRef]
  30. Pinsker, J.E.; Rogers, W.; McLean, S.; Schaefer, F.V.; Fenton, C. Pseudohypoparathyroidism type 1a with congenital hypothyroidism. J. Pediatr. Endocrinol. Metab. 2006, 19, 1049–1052. [Google Scholar] [CrossRef]
  31. Germain-Lee, E.L.; Ding, C.L.; Deng, Z.; Crane, J.L.; Saji, M.; Ringel, M.D.; Levine, M.A. Paternal imprinting of Galpha(s) in the human thyroid as the basis of TSH resistance in pseudohypoparathyroidism type 1a. Biochem. Biophys. Res. Commun. 2002, 296, 67–72. [Google Scholar] [CrossRef]
  32. Picard, C.; Decrequy, A.; Guenet, D.; Bursztejn, A.C.; Toledano, D.; Richard, N.; Kottler, M.L. Diagnosis and management of congenital hypothyroidism associated with pseudohypoparathyroidism. Horm. Res. Paediatr. 2015, 83, 111–117. [Google Scholar] [CrossRef] [PubMed]
  33. Adegbite, N.S.; Xu, M.; Kaplan, F.S.; Shore, E.M.; Pignolo, R.J. Diagnostic and mutational spectrum of progressive osseous heteroplasia (POH) and other forms of GNAS-based heterotopic ossification. Am. J. Med. Genet. A 2008, 146A, 1788–1796. [Google Scholar] [CrossRef] [PubMed]
  34. Prendiville, J.S.; Lucky, A.W.; Mallory, S.B.; Mughal, Z.; Mimouni, F.; Langman, C.B. Osteoma cutis as a presenting sign of pseudohypoparathyroidism. Pediatr. Dermatol. 1992, 9, 11–18. [Google Scholar] [CrossRef]
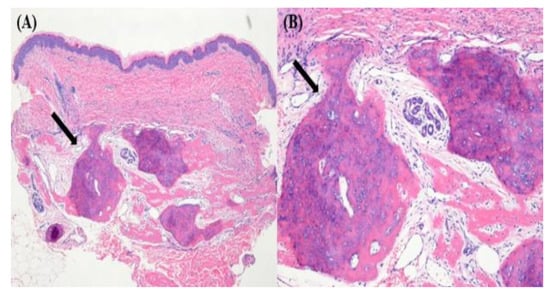
Figure 1. Histology slide showing a well-demarcated nodule, composed of mature lamellar bone within the dermis (black arrow). (A) 40× hematoxylin and eosin staining, (B) 100× hematoxylin and eosin staining.
Figure 1. Histology slide showing a well-demarcated nodule, composed of mature lamellar bone within the dermis (black arrow). (A) 40× hematoxylin and eosin staining, (B) 100× hematoxylin and eosin staining.
Children 09 00723 g001
Figure 2. Genetic testing of the family. The patient harbored a c.150dupA (p.Ser51Ilefs*3) mutation (red arrow) inherited from her mother.
Figure 2. Genetic testing of the family. The patient harbored a c.150dupA (p.Ser51Ilefs*3) mutation (red arrow) inherited from her mother.
Children 09 00723 g002
Table 1. Literature review of early diagnosed, genetically confirmed pseudohypoparathyroidism Ia before the development of hypocalcemia and related symptoms owing to osteoma cutis in young infants.
Table 1. Literature review of early diagnosed, genetically confirmed pseudohypoparathyroidism Ia before the development of hypocalcemia and related symptoms owing to osteoma cutis in young infants.
Riepe, et al. [18]Lubell, et al. [17]Kodo, et al. [16]Sano, et al. [29]In Present Case
Age at diagnosis (months)10261114
SexMaleMaleMaleNAFemale
Cause of referralHypothyroidismSubcutaneous nodulesDevelopmental milestoneSubcutaneous nodulesHypothyroidism
Site of osteoma cutisExtremities and abdominal wallLeft thumbBoth of arms and legs, abdominal wallNAAbdominal wall
Family historyNAYesYesNAYes
HGVS nucleotide
(NM_000516.5)
c.317T>Gc.1100_1101insAc.862dupANAc.150dupA
HGVS amino acidp.Ile106Serp.Asp368Glyfs*3p.Ile288Asnfs*12NAp.Ser51Ilefs*3
Serum Calcium level (mg/dL)8.989.310.010.429.7
Serum phosphorous level (mg/dL)5.916.35.06.935.7
Serum PTH level
(pg/mL)
202237429344
Free T4 level before medication (ng/dL)0.71.00.870.70.9
TSH level before medication (µIU/mL)50.612.83.0127.925
HGVS, Human Genome Variation Society; NA, not applicable; PTH, parathyroid hormone; TSH, thyroid-stimulating hormone. Calcium normal range: 8.8–10.8 mg/dL; Phosphorous normal range: 3.8–6.5 mg/dL; PTH normal range: 10–65 pg/mL; Free T4 normal range: 0.8–1.6 ng/dL; TSH normal range: 0.5–4.8 µIU/mL.
Publisher’s Note: MDPI stays neutral with regard to jurisdictional claims in published maps and institutional affiliations.

Share and Cite

MDPI and ACS Style

Hwang, S.K.; Shim, Y.J.; Oh, S.H.; Jang, K.M. Early Diagnosis of Pseudohypoparathyroidism before the Development of Hypocalcemia in a Young Infant. Children 2022, 9, 723. https://doi.org/10.3390/children9050723

AMA Style

Hwang SK, Shim YJ, Oh SH, Jang KM. Early Diagnosis of Pseudohypoparathyroidism before the Development of Hypocalcemia in a Young Infant. Children. 2022; 9(5):723. https://doi.org/10.3390/children9050723

Chicago/Turabian Style

Hwang, Su Kyeong, Ye Jee Shim, Seung Hwan Oh, and Kyung Mi Jang. 2022. "Early Diagnosis of Pseudohypoparathyroidism before the Development of Hypocalcemia in a Young Infant" Children 9, no. 5: 723. https://doi.org/10.3390/children9050723

APA Style

Hwang, S. K., Shim, Y. J., Oh, S. H., & Jang, K. M. (2022). Early Diagnosis of Pseudohypoparathyroidism before the Development of Hypocalcemia in a Young Infant. Children, 9(5), 723. https://doi.org/10.3390/children9050723

Note that from the first issue of 2016, this journal uses article numbers instead of page numbers. See further details here.

Article Metrics

Back to TopTop