Dupilumab Improves Pruritus in Netherton Syndrome: A Case Study
Abstract
:1. Introduction
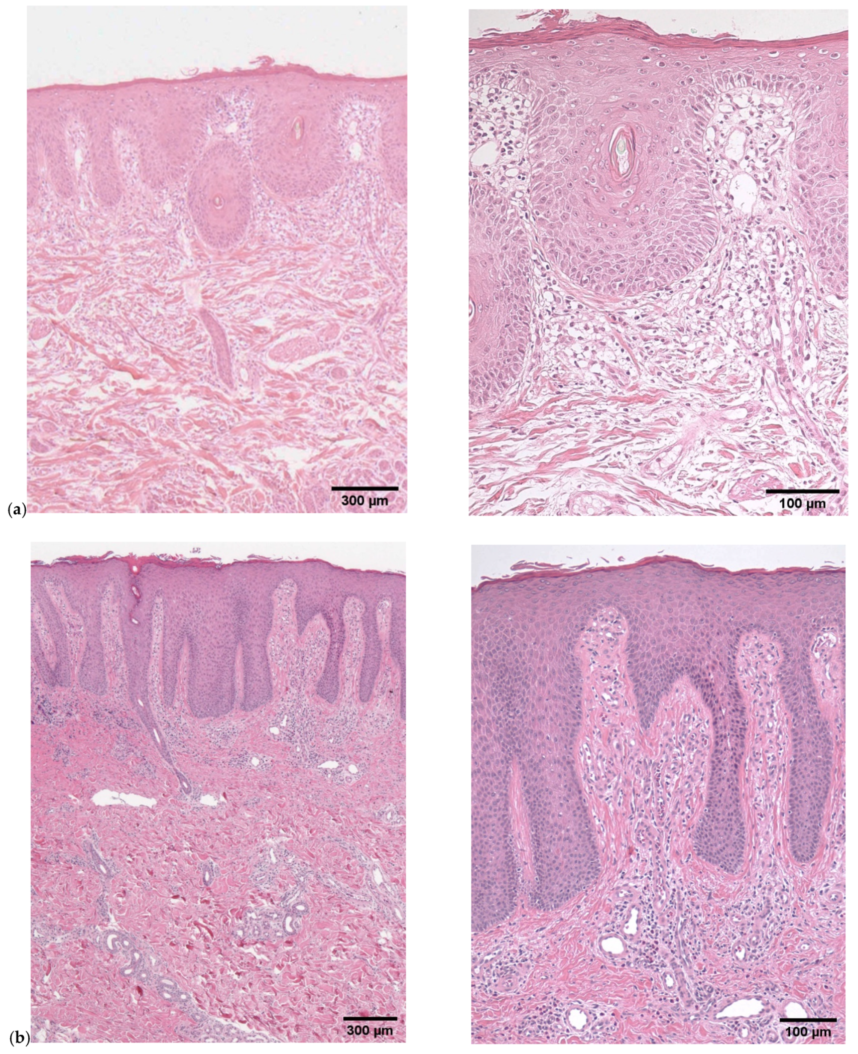
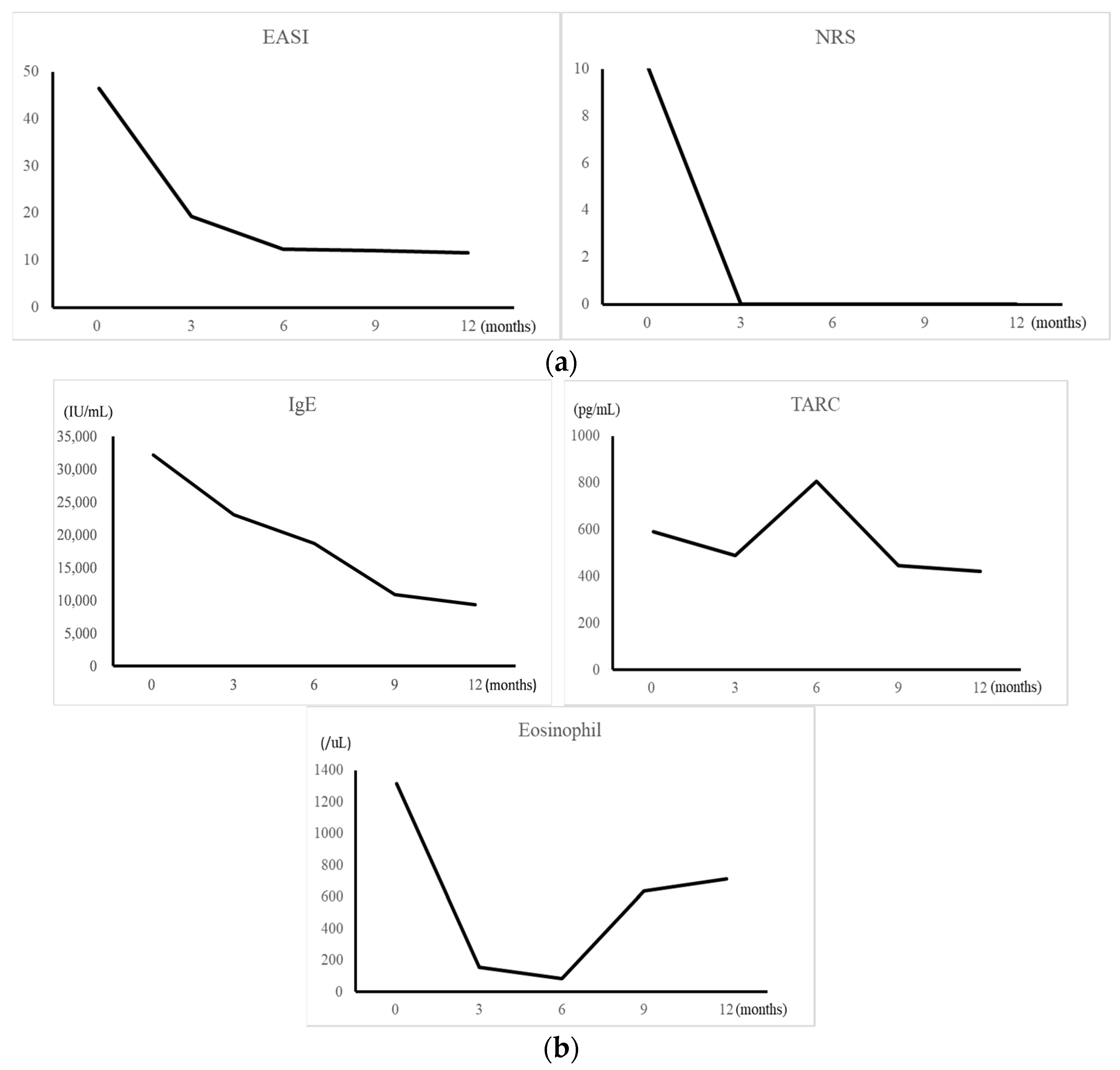
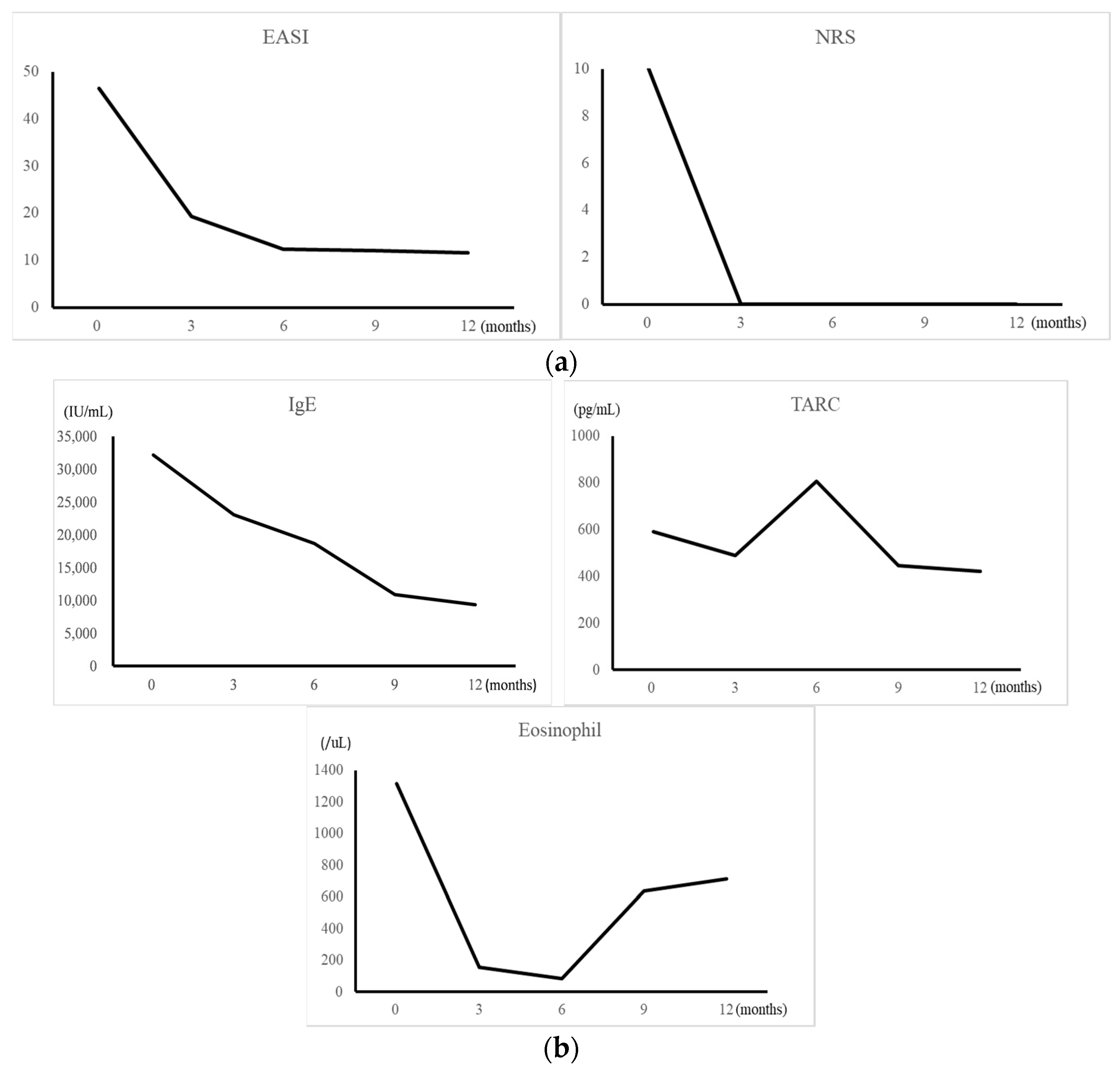
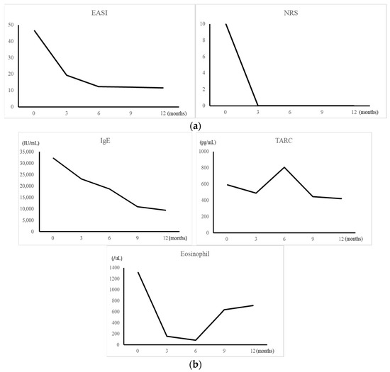
2. Case Presentation
3. Discussion
Author Contributions
Funding
Institutional Review Board Statement
Informed Consent Statement
Data Availability Statement
Acknowledgments
Conflicts of Interest
References
- Steuer, A.B.; Cohen, D.E. Treatment of Netherton Syndrome with Dupilumab. JAMA Dermatol. 2020, 156, 350–351. [Google Scholar] [CrossRef] [PubMed]
- Andreasen, T.H.; Karstensen, H.G.; Duno, M.; Lei, U.; Zachariae, C.; Thyssen, J.P. Successful treatment with dupilumab of an adult with Netherton syndrome. Clin. Exp. Dermatol. 2020, 45, 915–917. [Google Scholar] [CrossRef] [PubMed]
- Süßmuth, K.; Traupe, H.; Loser, K.; Ständer, S.; Kessel, C.; Wittkowski, H.; Oji, V. Response to dupilumab in two children with Netherton syndrome: Improvement of pruritus and scaling. J. Eur. Acad. Dermatol. Venereol. 2021, 35, e152–e155. [Google Scholar] [PubMed]
- Aktas, M.; Salman, A.; Apti, S.O.; Comert, O.E.; Hosgoren, T.S.; Akin, C.O.; Demir, G.; Ergun, T. Netherton syndrome: Temporary response to dupilumab. Pediatr. Dermatol. 2020, 37, 1210–1211. [Google Scholar] [CrossRef] [PubMed]
- Murase, C.; Takeichi, T.; Taki, T.; Yoshikawa, T.; Suzuki, A.; Ogi, T.; Suga, Y.; Akiyama, M. Successful dupilumab treatment for ichthyotic and atopic features of Netherton syndrome. J. Dermatol. Sci. 2021, 102, 126–129. [Google Scholar] [PubMed]
- De Palma, A.M.; Mazereeuw-Hautier, J.; Giehl, K.; Hernández-Martin, A.; Merlos, M.; Moons, P.; Morren, M.A. Burden of itch in ichthyosis: A multicentre study in 94 patients. J. Eur. Acad. Dermatol. Venereol. 2019, 33, 2095–2100. [Google Scholar] [PubMed]
- Alain, H. Netherton syndrome: Skin inflammation and allergy by loss of protease inhibition. Cell Tissue Res. 2013, 351, 289–300. [Google Scholar]
- van Gysel, D.; Koning, H.; Baert, M.R.M.; Savelkoul, H.F.J.; Neijens, H.J.; Oranje, A.P. Clinico-Immunological Heterogeneity in Comèl-Netherton Syndrome. Dermatology 2001, 202, 99–107. [Google Scholar] [CrossRef] [PubMed]
- Landon, K.O.; Madison, R.M.; Jing, F.; Timothy, M.W.; Haixia, N.; Changxiong, J.G.; Sisi, C.; Anna, M.T.; Amy, Z.X.; Shivani, V.T.; et al. Sensory Neurons Co-opt Classical Immune Signaling Pathways to Mediate Chronic Itch. Cell 2017, 171, 217–228. [Google Scholar]
- Konishi, T.; Tsuda, T.; Sakaguchi, Y.; Imai, Y.; Ito, T.; Hirota, S.; Yamanishi, K. Upregulation of interleukin-33 in the epidermis of two Japanese patients with Netherton syndrome. J. Dermatol. 2014, 41, 258–261. [Google Scholar] [CrossRef] [PubMed] [Green Version]
- Olesen, C.M.; Holm, J.G.; Nørreslet, L.B.; Serup, J.V.; Thomsen, S.F.; Agner, T. Treatment of atopic dermatitis with dupilumab: Experience from a tertiary referral centre. J. Eur. Acad. Dermatol. Venereol. 2019, 33, 1562–1568. [Google Scholar] [CrossRef] [PubMed]
- Dong, H.J.; Seok, J.H.; Hyung, D.K.; Dong, H.L.; Hye, J.J.; Mi, Y.P.; Jiyoung, A. A 52 weeks dupilumab treatment for moderate to severe atopic dermatitis in Korea: Long-term efficacy and safety in real world. Sci. Rep. 2021, 7, 23539. [Google Scholar]
- Claire, B.; Mathilde, B.C.; Matthias, F.; Evgeniya, P.; Lam, C.T.; Olivier, G.; Florent, L.; Pascale, N.R.; Christine, B.; Vivien, B.; et al. Netherton syndrome subtypes share IL-17/IL-36 signature with distinct IFN-α and allergic responses. J. Allergy Clin. Immunol. 2020, 145, 1406–1415. [Google Scholar]
- Luchsinger, I.; Knöpfel, N.; Theiler, M.; Bonnet des Claustres, M.; Barbieux, C.; Schwieger-Briel, A.; Brunner, C.; Donghi, D.; Buettcher, M.; Meier-Schiesser, B.; et al. Secukinumab Therapy for Netherton Syndrome. JAMA Dermatol. 2020, 156, 907–911. [Google Scholar] [CrossRef] [PubMed]
- Blanchard, S.K.; Prose, N.S. Successful use of secukinumab in Netherton syndrome. JAAD Case Rep. 2020, 6, 577–578. [Google Scholar] [CrossRef] [PubMed]




| Author | Sex | Age | Treatment Duration (Months) | Response | Adverse Effects |
|---|---|---|---|---|---|
| Steuer [1] | female | 32 | 18 M | Sustained | None |
| Andreasen [2] | male | 43 | 6 M | Sustained | Not reported |
| Süßmuth [3] | female | 12 | 12 M | Sustained | Bacterial infection |
| Süßmuth [3] | male | 8 | 10 M | Sustained | Not reported |
| Aktas [4] | female | 40 | 3 M | Temporary | Conjunctivitis |
| Murase [5] | female | 32 | 6 M | Temporary | None |
| Murase [5] | female | 17 | 6 M | Temporary | None |
| Present case | male | 26 | 12 M | Sustained | None |
Publisher’s Note: MDPI stays neutral with regard to jurisdictional claims in published maps and institutional affiliations. |
© 2022 by the authors. Licensee MDPI, Basel, Switzerland. This article is an open access article distributed under the terms and conditions of the Creative Commons Attribution (CC BY) license (https://creativecommons.org/licenses/by/4.0/).
Share and Cite
Inaba, Y.; Kanazawa, N.; Muraoka, K.; Yariyama, A.; Kawaguchi, A.; Kunimoto, K.; Kaminaka, C.; Yamamoto, Y.; Tsujioka, K.; Yoshida, A.; et al. Dupilumab Improves Pruritus in Netherton Syndrome: A Case Study. Children 2022, 9, 310. https://doi.org/10.3390/children9030310
Inaba Y, Kanazawa N, Muraoka K, Yariyama A, Kawaguchi A, Kunimoto K, Kaminaka C, Yamamoto Y, Tsujioka K, Yoshida A, et al. Dupilumab Improves Pruritus in Netherton Syndrome: A Case Study. Children. 2022; 9(3):310. https://doi.org/10.3390/children9030310
Chicago/Turabian StyleInaba, Yutaka, Nobuo Kanazawa, Kyoko Muraoka, Azusa Yariyama, Ami Kawaguchi, Kayo Kunimoto, Chikako Kaminaka, Yuki Yamamoto, Kaoru Tsujioka, Akira Yoshida, and et al. 2022. "Dupilumab Improves Pruritus in Netherton Syndrome: A Case Study" Children 9, no. 3: 310. https://doi.org/10.3390/children9030310
APA StyleInaba, Y., Kanazawa, N., Muraoka, K., Yariyama, A., Kawaguchi, A., Kunimoto, K., Kaminaka, C., Yamamoto, Y., Tsujioka, K., Yoshida, A., Yanagi, T., & Jinnin, M. (2022). Dupilumab Improves Pruritus in Netherton Syndrome: A Case Study. Children, 9(3), 310. https://doi.org/10.3390/children9030310

