Stabilisation of Pathologic Proximal Femoral Fracture near the Growth Plate with Use of a Locking Plate and Transphyseal Screws
Abstract
1. Introduction
2. Materials and Methods
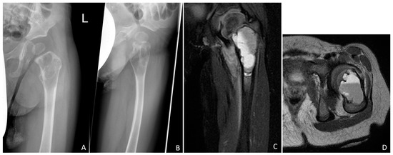
2.1. Case Report
2.2. Conducted Survey
3. Results
3.1. Survey Results
3.1.1. Entity Assessment
3.1.2. Assessment of the Need for Biopsy
3.1.3. Entity-Specific Local Therapy
3.1.4. Defect Filling
3.1.5. Stabilisation/Osteosynthesis
4. Discussion
5. Conclusions
Author Contributions
Funding
Institutional Review Board Statement
Informed Consent Statement
Data Availability Statement
Conflicts of Interest
References
- Freiberg, A.A.; Loder, R.T.; Heidelberger, K.P.; Hensinger, R.N. Aneurysmal bone cysts in young children. J. Pediatr. Orthop. 1994, 14, 86–91. [Google Scholar] [CrossRef] [PubMed]
- Ozaki, T.; Hillmann, A.; Lindner, N.; Winkelmann, W. Aneurysmal bone cysts in children. J. Cancer Res. Clin. Oncol. 1996, 122, 767–769. [Google Scholar] [CrossRef]
- Dorfman, H.; Czerniak, B. Bone Tumors. Mosby: St. Louis, MI, USA, 1998; pp. 855–879. [Google Scholar]
- Campanacci, M.; Bertoni, F.; Bacchini, P. Bone and Soft Tissue Tumors; Springer: Berlin, Germany, 1990; pp. 725–751. [Google Scholar]
- Mankin, H.J.; Hornicek, F.J.; Ortiz-Cruz, E.; Villafuerte, J.; Gebhardt, M.C. Aneurysmal bone cyst: A review of 150 patients. J. Clin. Oncol. 2005, 23, 6756–6762. [Google Scholar] [CrossRef]
- Basarr, K.; Piskin, A.; Güçlü, B.; Yldz, Y.; Sagglk, Y. Aneurysmal bone cyst recurrence in children: A review of 56 patients. J. Pediatr. Orthop. 2007, 27, 938–943. [Google Scholar] [CrossRef]
- Puthoor, D.; Francis, L.; Ismail, R. Is sclerotherapy with polidocanol a better treatment option for aneurysmal bone cyst compared to conventional curettage and bone grafting? J. Orthop. 2021, 25, 265–270. [Google Scholar] [CrossRef]
- Campanacci, M.; Capanna, R.; Picci, P. Unicameral and aneurysmal bone cysts. Clin. Orthop. Relat. Res. 1986, 204, 25–36. [Google Scholar] [CrossRef]
- Dormans, J.P.; Hanna, B.G.; Johnston, D.R.; Khurana, J.S. Surgical treatment and recurrence rate of aneurysmal bone cysts in children. Clin. Orthop. Relat. Res. 2004, 421, 205–211. [Google Scholar] [CrossRef]
- Oliveira, A.M.; Perez-Atayde, A.R.; Inwards, C.Y.; Medeiros, F.; Derr, V.; Hsi, B.L.; Gebhardt, M.C.; Rosenberg, A.E.; Fletcher, J.A. USP6 and CDH11 oncogenes identify the neoplastic cell in primary aneurysmal bone cysts and are absent in so-called secondary aneurysmal bone cysts. Am. J. Pathol. 2004, 165, 1773–1780. [Google Scholar] [CrossRef] [PubMed]
- Mahnken, A.; Nolte-Ernsting, C.; Wildberger, J.; Heussen, N.; Adam, G.; Wirtz, D.; Piroth, W.; Bücker, A.; Biesterfeld, S.; Haage, P. Aneurysmal bone cyst: Value of MR imaging and conventional radiography. Eur. Radiol. 2003, 13, 1118–1124. [Google Scholar] [CrossRef]
- Miwa, S.; Yamamoto, N.; Hayashi, K.; Takeuchi, A.; Igarashi, K.; Tada, K.; Higuchi, T.; Yonezawa, H.; Morinaga, S.; Araki, Y.; et al. Diagnostic accuracies of intraoperative frozen section and permanent section examinations for histological grades during open biopsy of bone tumors. Int. J. Clin. Oncol. 2021, 26, 613–619. [Google Scholar] [CrossRef]
- Mohaidat, Z.M.; Al-gharaibeh, S.R.; Aljararhih, O.N.; Nusairat, M.T.; Al-omari, A.A. Challenges in the diagnosis and treatment of aneurysmal bone cyst in patients with unusual features. Adv. Orthop. 2019, 2019, 2905671. [Google Scholar] [CrossRef]
- Deventer, N.; Schulze, M.; Gosheger, G.; de Vaal, M.; Deventer, N. Primary aneurysmal bone cyst and its recent treatment options: A comparative review of 74 cases. Cancers 2021, 13, 2362. [Google Scholar] [CrossRef]
- Kaiser, M.M. (Coordinator), S1-Leitlinie AWMF: Knochenzysten 006-029. Available online: https://register.awmf.org/de/leitlinien/detail/006-029 (accessed on 1 December 2022).
- Tomaszewski, R.; Rutz, E.; Mayr, J.; Dajka, J. Surgical treatment of benign lesions and pathologic fractures of the proximal femur in children. Arch. Orthop. Trauma Surg. 2022, 142, 615–624. [Google Scholar] [CrossRef] [PubMed]
- Li, J.; Rai, S.; Ze, R.; Tang, X.; Liu, R.; Hong, P. Injectable calcium sulfate vs mixed bone graft of autologous iliac bone and allogeneic bone: Which is the better bone graft material for unicameral bone cyst in humerus? Medicine 2020, 99, e20563. [Google Scholar] [CrossRef] [PubMed]
- Vergel De Dios, A.M.; Bond, J.R.; Shives, T.C.; McLeod, R.A.; Unni, K.K. Aneurysmal bone cyst. A clinicopathologic study of 238 cases. Cancer 1992, 69, 2921–2931. [Google Scholar] [CrossRef] [PubMed]
- van Geloven, T.P.G.; van der Heijden, L.; Laitinen, M.K.; Campanacci, D.A.; Döring, K.; Dammerer, D.; Badr, I.T.; Haara, M.; Beltrami, G.; Kraus, T.; et al. Do’s and don’ts in primary aneurysmal bone cysts of the proximal femur in children and adolescents: Retrospective multicenter EPOS study of 79 patients. J. Pediatr. Orthop. 2022, in press. [CrossRef] [PubMed]
- Bagatur, A.E.; Zorer, G. Complications associated with surgically treated hip fractures in children. J. Pediatr. Orthop. B 2002, 11, 219–228. [Google Scholar] [CrossRef] [PubMed]
- Togrul, E.; Bayram, H.; Gulsen, M.; Kalaci, A.; Ozbarlas, S. Fractures of the femoral neck in children: Long-term follow-up in 62 hip fractures. Injury 2005, 36, 123–130. [Google Scholar] [CrossRef] [PubMed]





Publisher’s Note: MDPI stays neutral with regard to jurisdictional claims in published maps and institutional affiliations. |
© 2022 by the authors. Licensee MDPI, Basel, Switzerland. This article is an open access article distributed under the terms and conditions of the Creative Commons Attribution (CC BY) license (https://creativecommons.org/licenses/by/4.0/).
Share and Cite
Michalik, R.; Hildebrand, F.; Delbrück, H. Stabilisation of Pathologic Proximal Femoral Fracture near the Growth Plate with Use of a Locking Plate and Transphyseal Screws. Children 2022, 9, 1932. https://doi.org/10.3390/children9121932
Michalik R, Hildebrand F, Delbrück H. Stabilisation of Pathologic Proximal Femoral Fracture near the Growth Plate with Use of a Locking Plate and Transphyseal Screws. Children. 2022; 9(12):1932. https://doi.org/10.3390/children9121932
Chicago/Turabian StyleMichalik, Roman, Frank Hildebrand, and Heide Delbrück. 2022. "Stabilisation of Pathologic Proximal Femoral Fracture near the Growth Plate with Use of a Locking Plate and Transphyseal Screws" Children 9, no. 12: 1932. https://doi.org/10.3390/children9121932
APA StyleMichalik, R., Hildebrand, F., & Delbrück, H. (2022). Stabilisation of Pathologic Proximal Femoral Fracture near the Growth Plate with Use of a Locking Plate and Transphyseal Screws. Children, 9(12), 1932. https://doi.org/10.3390/children9121932

