Musculoskeletal Pathology in Cerebral Palsy: A Classification System and Reliability Study
Abstract
1. Introduction
“Cerebral palsy describes a group of permanent disorders of the development of movement and posture, causing activity limitation, that are attributed to non-progressive disturbances that occurred in the developing fetal or infant brain. The motor disorders of cerebral palsy are often accompanied by disturbances of sensation, perception, cognition, communication and behaviour, by epilepsy and by secondary musculoskeletal problems.”[1]
2. Materials and Methods
2.1. Development of a Classification System
2.2. Stage I: Hypertonia: From Birth to Age 4–6 Years
2.3. Stage 2: Contractures: Age 4–12
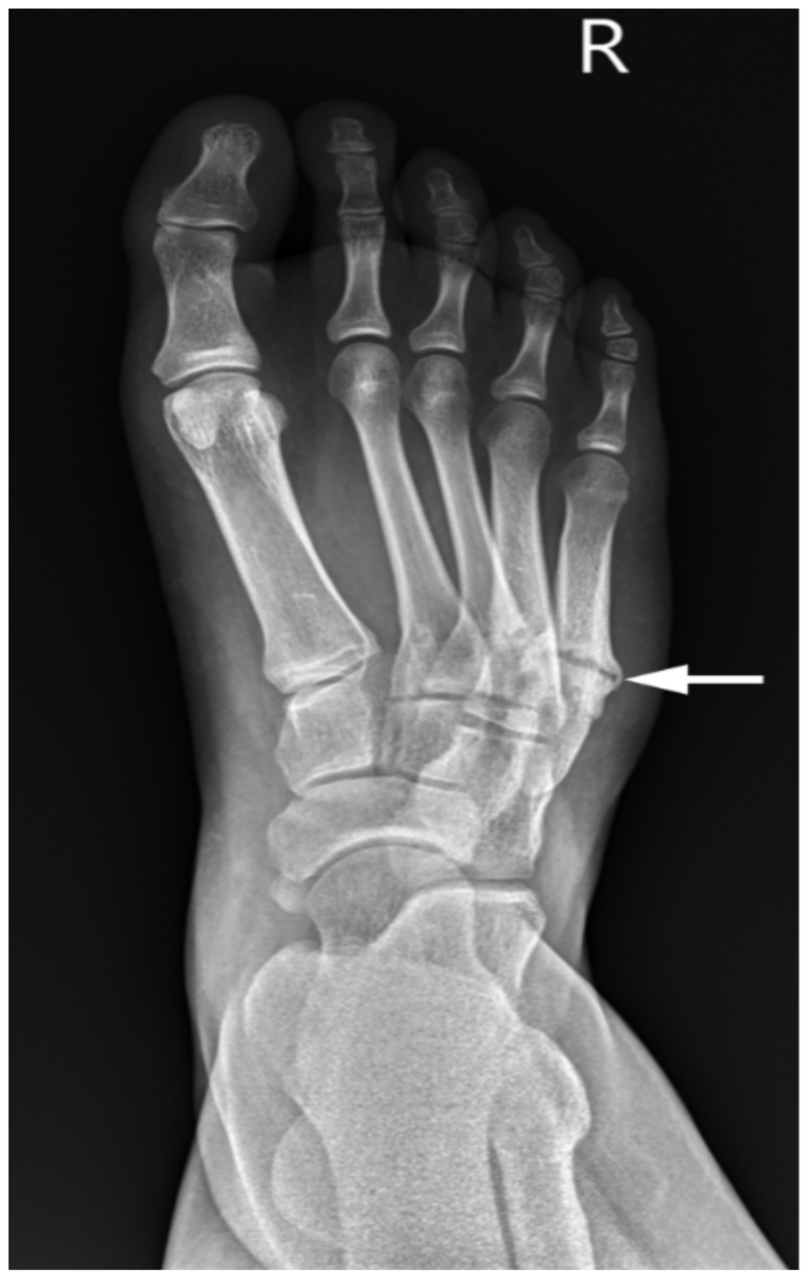
2.4. Stage 3: Bony Deformity: Age 4–12
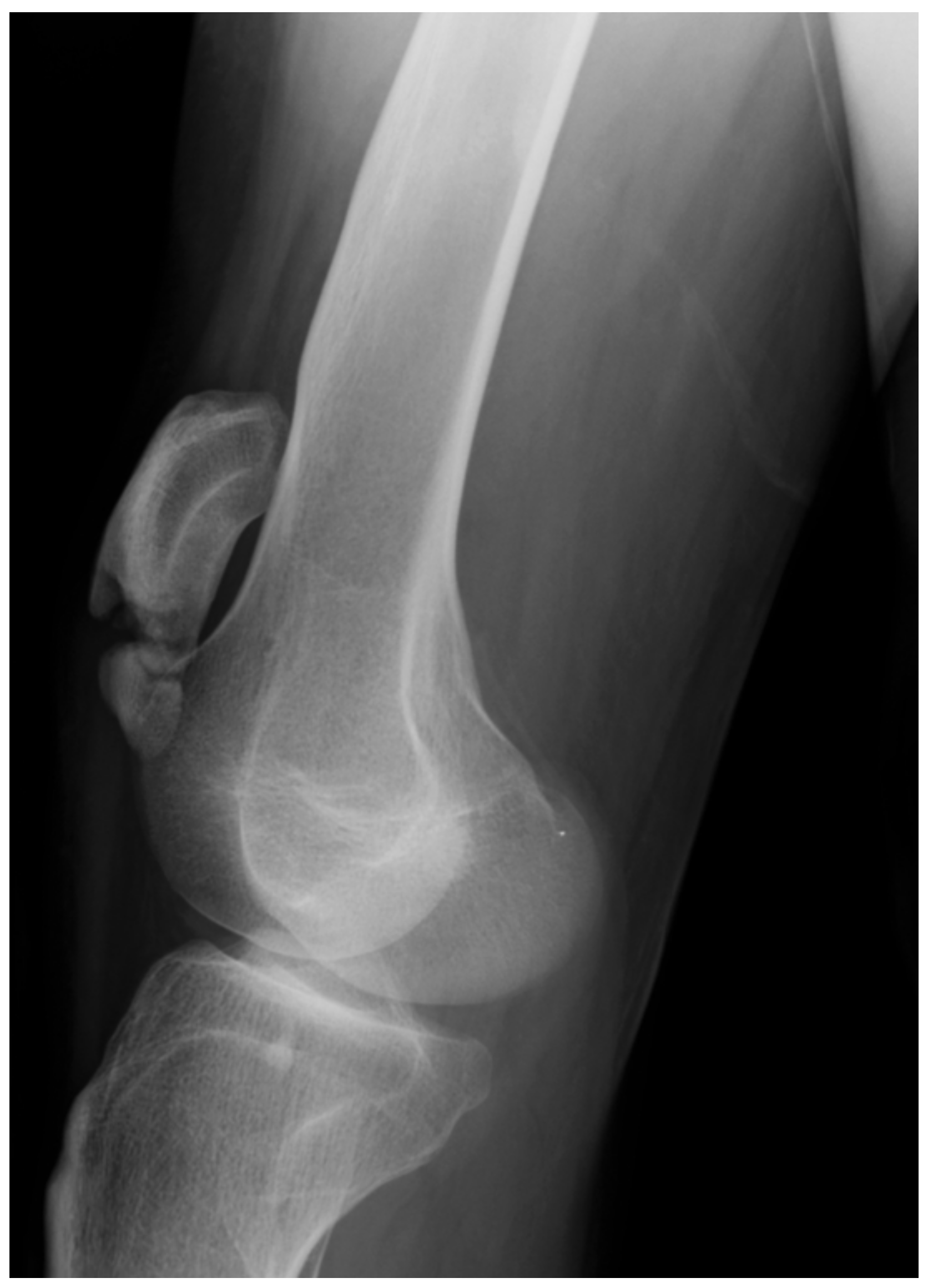
2.5. Stage 4: Decompensation: Age 10 to Adulthood
2.6. Reliability Testing
3. Results
4. Discussion
5. Conclusions
Author Contributions
Funding
Institutional Review Board Statement
Informed Consent Statement
Data Availability Statement
Acknowledgments
Conflicts of Interest
References
- Rang, M. Cerebral palsy. In Lovell and Winter’s Pediatric Orthopaedics, 4th ed.; Morrissy, R.T., Ed.; J.B. Lippincott Company: Philadelphia, PA, USA, 1990; pp. 465–506. [Google Scholar]
- Rosenbaum, P.; Paneth, N.; Leviton, A.; Goldstein, M.; Bax, M.; Damiano, D.; Dan, B.; Jacobsson, B. A report: The definition and classification of cerebral palsy April 2006. Dev. Med. Child Neurol. Suppl. 2007, 109, 8–14. [Google Scholar] [PubMed]
- Davids, J.R. The foot and ankle in cerebral palsy. Orthop. Clin. N. Am. 2010, 41, 579–593. [Google Scholar] [CrossRef]
- Rosenbaum, P.L.; Walter, S.D.; Hanna, S.E.; Palisano, R.J.; Russell, D.J.; Raina, P.; Wood, E.; Barlett, D.J.; Galuppi, B.E. Prognosis for Gross Motor Function in cerebral palsy: Gross motor curves. JAMA 2002, 288, 1357–1363. [Google Scholar] [CrossRef] [PubMed]
- Hanna, S.E.; Bartlett, D.J.; Rivard, L.M.; Russell, D.J. Reference Curves for the Gross Motor Function Measure: Percentiles for Clinical Description and Tracking Over Time Among Children with Cerebral Palsy. Phys. Ther. 2008, 88, 596–607. [Google Scholar] [CrossRef] [PubMed]
- Mudge, A.J.; Bau, K.V.; Purcell, L.N.; Wu, J.C.; Axt, M.W.; Selber, P.; Burns, J. Normative reference values for lower limb joint range, bone torsion, and alignment in children aged 4–16 years. J. Pediatr. Orthop. B 2014, 23, 15–25. [Google Scholar] [CrossRef]
- Nordmark, E.; Hägglund, G.; Lauge-Pedersen, H.; Wagner, P.; Westbom, L. Development of lower limb range of motion from early childhood to adolescence in cerebral palsy: A population-based study. BMC Med. 2009, 7, 65. [Google Scholar] [CrossRef]
- Cloodt, E.; Rosenblad, A.; Rodby-Bousquet, E. Demographic and modifiable factors associated with knee contracture in children with cerebral palsy. Dev. Med. Child Neurol. 2018, 60, 391–396. [Google Scholar] [CrossRef] [PubMed]
- Hägglund, G.; Wagner, P. Development of spasticity with age in a total population of children with cerebral palsy. BMC Musculoskelet. Disord. 2008, 9, 150. [Google Scholar] [CrossRef]
- Davids, J.R.; Ounpuu, S.; DeLuca, P.A.; Davis, R.B. Optimization of walking ability of children with cerebral palsy. JBJS 2003, 85, 2224–2234. [Google Scholar] [CrossRef]
- Graham, H.K.; Selber, P. Musculoskeletal aspects of cerebral palsy. J. Bone Jt. Surg. Br. Vol. 2003, 85, 157–166. [Google Scholar] [CrossRef]
- Lofterod, B.; Terjesen, T.; Skaaret, I.; Huse, A.B.; Jahnsen, R. Preoperative gait analysis has a substantial effect on orthopaedic decision making in children with cerebral palsy: Comparison between clinical evaluation and gait analysis in 60 patients. Acta Orthop. 2007, 78, 74–80. [Google Scholar] [CrossRef] [PubMed]
- Graham, H.K.; Rosenbaum, P.; Paneth, N. Cerebral palsy. Nat. Rev. Dis. Primers 2016, 2, 15082. [Google Scholar] [CrossRef]
- Borton, D.C.; Walker, K.; Pirpiris, M.; Nattrass, G.R.; Graham, H.K. Isolated calf lengthening in cerebral palsy. J. Bone Jt. Surg. Br. Vol. 2001, 83, 364–370. [Google Scholar] [CrossRef]
- Willerslev-Olsen, M.; Lund, M.C.; Lorentzen, J.; Barber, L.; Kofoed-Hansen, M.; Nielsen, J.B. Impaired muscle growth precedes development of increased stiffness of the triceps surae musculotendinous unit in children with cerebral palsy. Dev. Med. Child Neurol. 2018, 60, 672–679. [Google Scholar] [CrossRef] [PubMed]
- Thomason, P.; Selber, P.; Graham, H.K. Single Event Multilevel Surgery in children with bilateral spastic cerebral palsy: A 5 year prospective cohort study. Gait Posture 2013, 37, 23–28. [Google Scholar] [CrossRef] [PubMed]
- Dreher, T.; Thomas, D.; Švehlík, M.; Döderlein, L.; Wolf, S.I.; Putz, C.; Uehlein, O.; Chia, K.; Steinwender, G.; Sangeux, M.; et al. Long-term development of gait after multilevel surgery in children with cerebral palsy: A multicentre cohort study. Dev. Med. Child Neurol. 2018, 60, 88–93. [Google Scholar] [CrossRef]
- Robin, J.; Graham, H.K.; Selber, P.; Dobson, F.; Smith, K.; Baker, R. Proximal femoral geometry in cerebral palsy. J. Bone Jt. Surg. Br. Vol. 2008, 90, 1372–1379. [Google Scholar] [CrossRef]
- Rutz, E.; Vavken, P.; Camathias, C.; Haase, C.; Jünemann, S.; Brunner, R. Long-term results and outcome predictors in one-stage hip reconstruction in children with cerebral palsy long term results and outcome predictors. One stage hip reconstruction. J. Bone Jt. Surg. Am. Vol. 2015, 97, 500–506. [Google Scholar] [CrossRef]
- Boyer, E.R.; Stout, J.L.; Laine, J.C.; Gutknecht, S.M.; De Oliveira, L.H.A.; Munger, M.E.; Schwartz, M.H.; Novacheck, T.F. Long-Term Outcomes of Distal Femoral Extension Osteotomy and Patellar Tendon Advancement in Individuals with Cerebral Palsy. J. Bone Jt. Surg. Am. Vol. 2018, 100, 31–41. [Google Scholar] [CrossRef]
- Sossai, R.; Vavken, P.; Brunner, R.; Camathias, C.; Graham, H.K.; Rutz, E. Patellar tendon shortening for flexed knee gait in spastic diplegia. Gait Posture 2015, 41, 658–665. [Google Scholar] [CrossRef]
- Validity and Inter-Rater Reliability Testing of Quality Assessment Instruments. (Prepared by the University of Alberta Evidence-Based Practice Center under Contract No. 290-2007-10021-I.) AHRQ Publication No. 12-EHC039-EF. [Internet] Rockville, MD: Agency for Healthcare Research and Quality. Available online: https://effectivehealthcare.ahrq.gov/products/quality-tools-testing/research (accessed on 1 March 2021).
- Rosenbaum, P.L.; Palisano, R.J.; Bartlett, D.J.; Galuppi, B.E.; Russell, D.J. Development of the Gross Motor Function Classification System for cerebral palsy. Dev. Med. Child Neurol. 2008, 50, 249–253. [Google Scholar] [CrossRef] [PubMed]
- Vuillermin, C.; Rodda, J.; Rutz, E.; Shore, B.J.; Smith, K.; Graham, H.K. Severe crouch gait in spastic diplegia can be prevented: A population-based study. J. Bone Jt. Surg. 2011, 93, 1670–1675. [Google Scholar] [CrossRef] [PubMed]
- Hägglund, G.; Alriksson-Schmidt, A.; Lauge-Pederson, H.; Rodby-Bousquet, E.; Wagner, P.; Westbom, L. Prevention of dislocation of the hip in children with cerebral palsy: 20-year results of a population-based prevention programme. Bone Jt. J. 2014, 96-B, 1546–1552. [Google Scholar] [CrossRef] [PubMed]
- Tosi, L.L.; Maher, N.; Moore, D.W.; Goldstein, M.; Aisen, M.L. Adults with cerebral palsy: A workshop to define the challenges of treating and preventing secondary musculoskeletal and neuromuscular complications in this rapidly growing population. Dev. Med. Child Neurol. 2009, 51, 2–11. [Google Scholar] [CrossRef] [PubMed]







| Level | Stage 1 Hypertonia Birth to Age 4 to 6 Years | Stage 2 Contractures Age 4 to 12 Years | Stage 3 Bony Deformity Age 4 to 12 Years | Stage 4 Decompensation Age 10 Years to Adulthood |
|---|---|---|---|---|
| Hip | Flexion/adduction, posturing. Clinically: scissoring. | Flexion/adduction contractures. | Increased FNA (>25°, hip IR > 2SDs internal 3DGA). Increased MP. Acetabular dysplasia. | Femoral head deformity. Acetabular deformity. Loss of articular cartilage. Arthrosis. |
| Knee | Spastic knee flexion. Hamstring spasticity. Full knee extension and occasionally recurvatum. | Hamstring contracture. Increased popliteal angle. Full knee extension or knee FDD <10°. | Knee joint contracture. Knee FFD: <20°. Mal-alignment: FNA + ETT. Genu valgum, genu varum. | Patella alta. Knee FFD > 20°. Patella fracture/avulsion. Arthrosis. |
| Ankle | Dynamic equinus. Ankle corrects to DF > 0° with knee extended. | Fixed equinus. Ankle dorsiflexion <0° with knee extended. If in doubt EUA is helpful. | Tibial torsion: External tibial torsion (ETT) > 20°. Internal tibial torsion (ITT) < 10° external. | Gross calcaneus, over-lengthened heel-cord. Deformity of talus. Arthrosis. LLD > 2.0 cms after skeletal maturity. |
| Foot | Flexible varus or valgus postures. | Partially fixed/flexible varus with muscle imbalance and/or contracture. | Fixed/stiff equino-varus, equinocavovarus. Pes valgus with LAD. Confirmed on radiographs and pedobarography. | Skin callosities and skin breakdown. Stress fractures, metatarsals. Deformed tarsal bones. Arthrosis. |
| Management | Tone management: Oral medications. Botulinum Toxin A (BoNT-A). Selective Dorsal Rhizotomy. Intrathecal Baclofen. AFOs and Physiotherapy. | Contracture surgery: Soft tissue surgery. Muscle recession. Tendon lengthening. Tendon transfers. AFOs and Physiotherapy. | Bony surgery: Osteotomies & stabilize joints. Usually includes soft tissue surgery: SEMLS/MLS. Guided growth FFD and LLD. AFOs and Physiotherapy. | Salvage surgery: Complex reconstruction (DFEO, PTS, PAO). Arthrodesis and arthroplasty. Assistive devices, wheeled mobility. Modify environment. Physiotherapy, Occupational Therapy. |
| Pt No | Age in Years | Sex | TD | GMFCS | SGP | Spasticity | Contractures | Torsion | Decomp. | MSP | Rx |
|---|---|---|---|---|---|---|---|---|---|---|---|
| 1 | 5 + 2 | F | R Hemi | II | TE | R. GS, TP | R GS | None | None | 2 | BoNT-A |
| 2 | 10 + 4 | M | Diplegia | I | Jump | Bil GS, HS | Bil GS | Bil FNA | None | 3 | SEMLS |
| 3 | 14 + 9 | M | L Hemi | II | AE | L GS | 3 levels | L FNA | L Hip OA | 4 | Salvage |
| 4 | 1 + 8 | F | L Hemi | I | TE | L GS | None | None | None | 1 | BoNT-A |
| 5 | 7 + 4 | F | Diplegia | II | AE | Bil GS, HS | GS/HS | None | None | 2 | SEMLS |
| 6 | 1 + 10 | F | Diplegia | I | TE | Bil GS | None | None | None | 1 | BoNT-A |
| 7 | 12 + 3 | M | Diplegia | III | Crouch | Bil HS | 3 levels | FNA | Patellar # | 4 | Salvage |
| 8 | 9 + 1 | M | Diplegia | II | TE | Bil TP | Bil GS | Bil FNA | None | 3 | SEMLS |
| 9 | 3 + 2 | M | Quad | III | TE | 3 levels | None | None | None | 1 | BoNT-A |
| 10 | 8 + 3 | F | Diplegia | II | Jump | GS | 3 levels | None | None | 3 | SEMLS |
| 11 | 7 + 6 | F | R Hemi | II | TE | GS | GS, TP | None | None | 2 | SEMLS |
| 12 | 11 + 9 | M | Diplegia | II | Crouch | GS | 3 levels | FNA, ETT | Knee FFD | 4 | Salvage |
| 13 | 7 + 11 | F | Diplegia | III | Jump | GS | 3 levels | FNA | None | 3 | SEMLS |
| 14 | 15 + 9 | M | Diplegia | III | Crouch | GS, HS | 3 levels | FNA | Knee FFD | 4 | Salvage |
| 15 | 12 + 8 | M | Diplegia | II | Crouch | HS | 3 levels | None | Patellar # | 4 | Salvage |
| 16 | 7 + 1 | M | Diplegia | II | TE | GS | 3 levels | Bil FNA | None | 3 | SEMLS |
Publisher’s Note: MDPI stays neutral with regard to jurisdictional claims in published maps and institutional affiliations. |
© 2021 by the authors. Licensee MDPI, Basel, Switzerland. This article is an open access article distributed under the terms and conditions of the Creative Commons Attribution (CC BY) license (http://creativecommons.org/licenses/by/4.0/).
Share and Cite
Graham, H.K.; Thomason, P.; Willoughby, K.; Hastings-Ison, T.; Stralen, R.V.; Dala-Ali, B.; Wong, P.; Rutz, E. Musculoskeletal Pathology in Cerebral Palsy: A Classification System and Reliability Study. Children 2021, 8, 252. https://doi.org/10.3390/children8030252
Graham HK, Thomason P, Willoughby K, Hastings-Ison T, Stralen RV, Dala-Ali B, Wong P, Rutz E. Musculoskeletal Pathology in Cerebral Palsy: A Classification System and Reliability Study. Children. 2021; 8(3):252. https://doi.org/10.3390/children8030252
Chicago/Turabian StyleGraham, H. Kerr, Pam Thomason, Kate Willoughby, Tandy Hastings-Ison, Renee Van Stralen, Benan Dala-Ali, Peter Wong, and Erich Rutz. 2021. "Musculoskeletal Pathology in Cerebral Palsy: A Classification System and Reliability Study" Children 8, no. 3: 252. https://doi.org/10.3390/children8030252
APA StyleGraham, H. K., Thomason, P., Willoughby, K., Hastings-Ison, T., Stralen, R. V., Dala-Ali, B., Wong, P., & Rutz, E. (2021). Musculoskeletal Pathology in Cerebral Palsy: A Classification System and Reliability Study. Children, 8(3), 252. https://doi.org/10.3390/children8030252

