Modern Treatment of Supracondylar Humeral Fractures in Children
Abstract
1. Introduction
2. Methods
2.1. Search Strategy
2.2. Risk of Bias Evaluation
3. Results and Discussion
3.1. Anatomical Considerations in Pediatric Elbow Fractures
3.2. Evaluation of Supracondylar Humeral Fractures
3.2.1. Fracture Classification
3.2.2. Clinical Evaluation
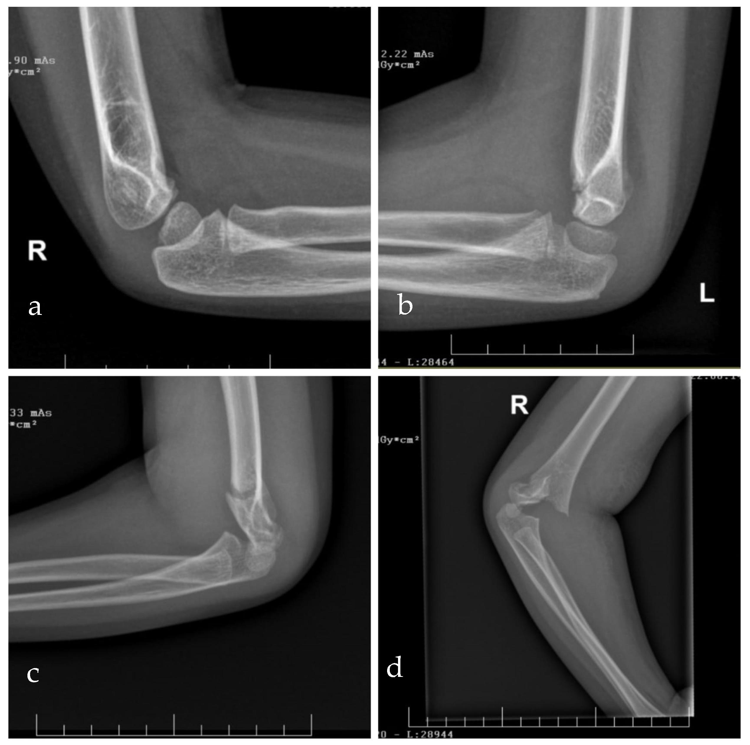
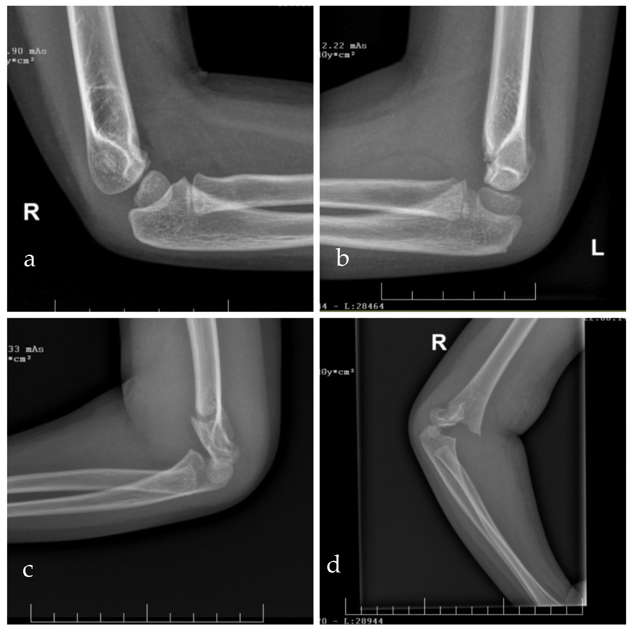
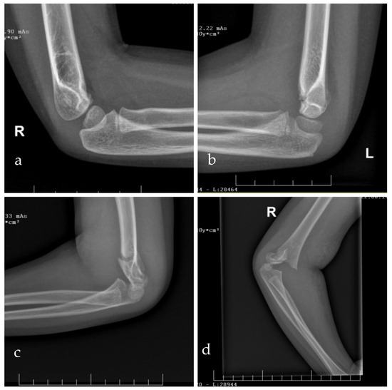
3.2.3. Radiological Evaluation
- Baumann angle (BA): the angle between the axis of the humeral diaphysis and the line parallel to the fossa of the lateral condyle, standard value 64–81—it is representative of the coronal plane dislocation.
- Antero-humeral line (AHL): the parallel line drawn to the humerus that intersects the middle third of the capitulum nucleus—it is representative of the sagittal plane dislocation.
- The carrying angle.
- Humeroulnar angle.
- Metaphyseal–diaphyseal angle [14].
3.3. Management Strategies
3.3.1. Non-Surgical Treatment
3.3.2. Surgical Treatment
Closed Reduction with Percutaneous Kirschner-Wire Pinning
Open Reduction with Percutaneous Kirschner-Wire Pinning
3.4. Complications and Post-Treatment Evaluation
3.5. Study Limitations
4. Conclusions
Funding
Institutional Review Board Statement
Informed Consent Statement
Data Availability Statement
Conflicts of Interest
Abbreviations
| MDPI | Multidisciplinary Digital Publishing Institute |
| BA | Baumann angle |
| AHL | Antero-humeral line |
| K-wire | Kirschner wire |
References
- Holcomb, G.W.; Murphy, J.P. Holcomb and Ashcraft’s Pediatric Surgery; Elsevier: Amsterdam, The Netherlands, 2020. [Google Scholar]
- Barr, L.V. Paediatric supracondylar humeral fractures: Epidemiology, mechanisms and incidence during school holidays. J. Child. Orthop. 2014, 8, 167–170. [Google Scholar] [CrossRef]
- Pilla, N.I.; Rinaldi, J.; Hatch, M.; Hennrikus, W. Epidemiological analysis of displaced supracondylar fractures. Cureus 2020, 12, e7734. [Google Scholar] [CrossRef] [PubMed]
- Marquis, C.P.; Cheung, G.; Dwyer, J.S.M.; Emery, D.F.G. Supracondylar fractures of the humerus. Curr. Orthop. 2008, 22, 62–69. [Google Scholar] [CrossRef]
- Farnsworth, C.L.; Silva, P.D.; Mubarak, S.J. Etiology of supracondylar humerus fractures. J. Pediatr. Orthop. 1998, 18, 38–42. [Google Scholar] [CrossRef]
- Houshian, S.; Mehdi, B.; Larsen, M.S. The epidemiology of elbow fracture in children: Analysis of 355 fractures, with special reference to supracondylar humerus fractures. J. Orthop. Sci. 2001, 6, 312–315. [Google Scholar] [CrossRef]
- Holt, J.B.; Glass, N.A.; Shah, A.S. Understanding the epidemiology of pediatric supracondylar humeral fractures in the United States: Identifying opportunities for intervention. J. Pediatr. Orthop. 2018, 38, e245–e251. [Google Scholar] [CrossRef] [PubMed]
- Kuoppala, E.; Parviainen, R.; Pokka, T.; Sirviö, M.; Serlo, W.; Sinikumpu, J. Low incidence of flexion-type supracondylar humerus fractures but high rate of complications: A population-based study during 2000–2009. Acta Orthop. 2016, 87, 406–411. [Google Scholar] [CrossRef]
- Nork, S.E.; Hennrikus, W.L.; Loncarich, D.P.; Gillingham, B.L.; Lapinsky, A.S. Relationship between ligamentous laxity and the site of upper extremity fractures in children: Extension supracondylar fracture versus distal forearm fracture. J. Pediatr. Orthop. B 1999, 8, 90–92. [Google Scholar]
- Herdea, A.; Ulici, A.; Toma, A.; Voicu, B.; Charkaoui, A. The relationship between the dominant hand and the occurrence of the supracondylar humerus fracture in pediatric orthopedics. Children 2021, 8, 51. [Google Scholar] [CrossRef]
- Hope, N.; Varacallo, M.A. Supracondylar Humerus Fractures. 2023 Aug 4. In StatPearls [Internet]; StatPearls Publishing: Treasure Island, FL, USA, 2025. [Google Scholar] [PubMed]
- Duffy, S.; Flannery, O.; Gelfer, Y.; Monsell, F. Overview of the contemporary management of supracondylar humeral fractures in children. Eur. J. Orthop. Surg. Traumatol. 2021, 31, 871–883. [Google Scholar] [CrossRef]
- Calogero, V.; Aulisa, A.G.; Careri, S.; Masci, G.; Mastantuoni, G.; Falciglia, F.; Toniolo, R.M. Evaluation of Gartland Classification, Baumann Angle and Anterior Humeral Line in Paediatrics Supracondylar Fractures: An Inter and Intra-Observer Reliability Study. J. Clin. Med. 2023, 13, 167. [Google Scholar] [CrossRef] [PubMed]
- Carità, E.; Donadelli, A.; Cugola, L.; Perazzini, P. Radial head prosthesis: Results overview. Musculoskelet. Surg. 2017, 101, 197–204. [Google Scholar] [CrossRef] [PubMed]
- Ho, C.A. Cubitus varus—It’s more than just a crooked Arm! J. Pediatr. Orthop. 2017, 37, S37–S41. [Google Scholar] [CrossRef]
- Kodde, I.F.; Kaas, L.; Flipsen, M.; van den Bekerom, M.P.; Eygendaal, D. Current concepts in the management of radial head fractures. World J. Orthop. 2015, 6, 954. [Google Scholar] [CrossRef]
- Wilkins, K.E. Changing patterns in the management of fractures in children. Clin. Orthop. Relat. Res. 1991, 264, 136–155. [Google Scholar] [CrossRef]
- Tarallo, L.; Novi, M.; Porcellini, G.; Schenetti, C.; Micheloni, G.M.; Maniscalco, P.; Catani, F. Gartland type III supracondylar fracture in children: Is open reduction really a dangerous choice? Injury 2021, 53, S13–S18. [Google Scholar] [CrossRef]
- Ma, H.-L.; Sun, X.-W.; Liu, F.; Hua, Z.T.; Sun, J.; Zhang, S.-C. Kirschner wire reconstruction of medial and lateral column periosteal hinge in the treatment of multidirectionally unstable supracondylar fracture of the humerus in children. Eur. J. Med. Res. 2023, 28, 585. [Google Scholar] [CrossRef]
- Gaihre, S.K.; Uprety, S.; Thapa, S.S. The Prognostic Value of the Fracture Level in the Treatment of Displaced Supracondylar Humeral Fractures in Children. Kathmandu Univ. Med. J. 2020, 18, 391–395. [Google Scholar] [CrossRef]
- Shah, M.; Agashe, M.V. Supracondylar humerus fractures: Classification based treatment algorithms. Indian J. Orthop. 2021, 55, 68–80. [Google Scholar] [CrossRef]
- Sabharwal, S.; Margalit, A.; Swarup, I.; Sabharwal, S. The Pulseless Supracondylar Elbow Fracture: A Rational Approach. Indian J. Orthop. 2020, 55, 47–54. [Google Scholar] [CrossRef]
- Micheloni, G.M.; Novi, M.; Leigheb, M.; Giorgini, A.; Porcellini, G.; Tarallo, L. Supracondylar fractures in children: Management and treat-ment. Medicine 2021, 102, e36775. [Google Scholar] [CrossRef]
- Sato, K.; Mimata, Y.; Takahashi, G.; Murakami, K.; Ouchi, S.; Shiraishi, H.; Numata, N.; Doita, M. Validity of the distance between the anterior humeral line and capitellum as a quantitative measure of supracondylar humeral fracture in children. Injury 2020, 51, 1321–1325. [Google Scholar] [CrossRef] [PubMed]
- Wang, Q.; Wang, Y.; He, M.; Cao, H.; Zhao, J. Construction and validation of elbow function prediction model after supracondylar humerus fracture in children. Medicine 2023, 102, e36775. [Google Scholar] [CrossRef]
- Herdea, A.; Marie, H.; Ionescu, A.; Sandu, D.M.; Pribeagu, S.T.; Ulici, A. Vitamin D Deficiency-A Public Health Issue in Children. Children 2024, 11, 1061. [Google Scholar] [CrossRef]
- Thomas, J.; Rosello, O.; Oborocianu, I.; Solla, F.; Clement, J.L.; Rampal, V. Can Gartland II and III supracondylar humerus fractures be treated using Blount’s method in the emergency room? Orthop. Traumatol. Surg. Res. 2018, 104, 1079–1081. [Google Scholar] [CrossRef]
- Muccioli, C.; ElBatti, S.; Oborocianu, I.; Rosello, O.; Solla, F.; Chau, E.; Clement, J.-L.; Rampal, V. Outcomes of Gartland type III supracondylar fractures treated using Blount’s method. Orthop. Traumatol. Surg. Res. 2017, 103, 1121–1125. [Google Scholar] [CrossRef] [PubMed]
- Zou, C.; Liu, W.; Zhen, Y.; Zhang, F.; Liu, Y.; Guo, Z.; Wang, X. Preliminary fracture reduction in children with type III supracondylar humerus fractures during the COVID-19 pandemic. J. Pediatr. Orthop. B 2023, 33, 160–166. [Google Scholar] [CrossRef]
- Ducic, S.; Bumbasirevic, M.; Radlovic, V.; Nikic, P.; Bukumiric, Z.; Brdar, R.; Radojicic, Z.; Bukva, B.; Abramovic, D.; Jaramaz-Ducic, T. Displaced supracondylar humeral fractures in children: Comparison of three treatment approaches. Srp. Arh. Celok. Lek. 2016, 144, 46–51. [Google Scholar] [CrossRef]
- Banshelkikar, S.; Sheth, B.; Banerjee, S.; Maaz, M. Functional outcome of supracondylar humerus fracture in children with the use of pin configuration as per Bahk classification. J. Clin. Orthop. Trauma 2021, 13, 78–81. [Google Scholar] [CrossRef]
- Pavone, V.; Vescio, A.; Riccioli, M.; Culmone, A.; Cosentino, P.; Caponnetto, M.; Dimartino, S.; Testa, G. Is Supine Position Superior to Prone Position in the Surgical Pinning of Supracondylar Humerus Fracture in Children? J. Funct. Morphol. Kinesiol. 2020, 5, 57. [Google Scholar] [CrossRef]
- Minifee, C.D.; DeFilippo, C.G.; Carmichael, K.D. Incidence of complications among operative pediatric supracondylar humerus fractures using medial and lateral pins: A safe technique for percutaneous medial pin placement. J. Pediatr. Orthop. B 2024, 33, 585–589. [Google Scholar] [CrossRef] [PubMed]
- Queally, J.M.; Paramanathan, N.; Walsh, J.C.; Moran, C.J.; Shannon, F.J.; D’Souza, L.G. Dorgan’s lateral cross-wiring of supracondylar fractures of the humerus in children: A retrospective review. Injury 2010, 41, 568–571. [Google Scholar] [CrossRef]
- Segal, D.; Cobb, L.; Little, K.J. Fracture obliquity is a predictor for loss of reduction in supracondylar humeral fractures in older children. J. Pediatr. Orthop. B 2020, 29, 105–116. [Google Scholar] [CrossRef] [PubMed]
- Ji, X.; Kamara, A.; Wang, E.; Liu, T.; Shi, L.; Li, L. A two-stage retrospective analysis to determine the effect of entry point on higher exit of proximal pins in lateral pinning of supracondylar humerus fracture in children. J. Orthop. Surg. Res. 2019, 14, 351. [Google Scholar] [CrossRef] [PubMed]
- Hannonen, J.; Pokka, T.; Serlo, W.; Sinikumpu, J.-J. Lateral-only kirschner-wire fixation of type-3 supracondylar humerus fractures in children with a special attention to technical issues. Scand. J. Surg. 2020, 110, 258–264. [Google Scholar] [CrossRef]
- Li, Y.; Feng, Y.; Chu, X.; Yuan, Y.; Yuan, Y.; Sun, J. Minimally invasive techniques utilizing the ‘ Joy Stick ’ method for managing irreducible flexion-type supracondylar fractures of the humerus in older children. J. Orthop. Surg. Res. 2024, 19, 441. [Google Scholar] [CrossRef]
- Pei, X.; Mo, Y.; Huang, P. Leverage application on Gartland type IV supracondylar humeral fracture in children. Int. Orthop. 2016, 40, 2417–2422. [Google Scholar] [CrossRef]
- Badawy, M.; Amin, H.E.-D.; Abdel-Ghani, H.; Abdelaal, A.H.; Yasin, E. Technique for facilitating closed reduction of difficult flexion type supracondylar humeral fracture in children. J. Pediatr. Orthop. B 2023, 32, 565–568. [Google Scholar] [CrossRef]
- Lin, Y.; Hua, Z.; Zhou, C.; Chen, S.; Sun, X.; Liu, F.; Meng, G.; Zhang, S.; Sun, J. A new technique of intramedullary elastic reduction of the “de-sharpened”. Kirschner wire for the treatment of Gartland type III posterolateral displaced supracondylar fracture of the humerus in children. Eur. J. Med. Res. 2024, 29, 87. [Google Scholar] [CrossRef]
- Liebs, T.R.; Burgard, M.; Kaiser, N.; Slongo, T.; Berger, S.; Ryser, B.; Ziebarth, K. Health-related quality of life after paediatric supracondylar humeral fractures. Bone Jt. J. 2020, 102, 755–765. [Google Scholar] [CrossRef]
- Hussein Al-Algawy, A.A.; Aliakbar, A.H.; Witwit, I.H.N. Open versus closed reduction and K-Wire fixation for displaced supracondylar fracture of the humerus in children. Eur. J. Orthop. Surg. Traumatol. 2019, 29, 397–403. [Google Scholar] [CrossRef] [PubMed]
- Pesenti, S.; Ecalle, A.; Gaubert, L.; Peltier, E.; Choufani, E.; Viehweger, E.; Jouve, J.-L.; Launay, F. Operative management of supracondylar humeral fractures in children: Comparison of five fixation methods. Orthop. Traumatol. Surg. Res. 2017, 103, 771–775. [Google Scholar] [CrossRef] [PubMed]
- Sun, J.; Shan, J.; Meng, L.; Liu, T.; Wang, E.; Jia, G. Predictive factors for open reduction of flexion-type supracondylar fracture of humerus in children. BMC Musculoskelet. Disord. 2022, 23, 859. [Google Scholar] [CrossRef] [PubMed]
- Fraisse, B.; Marleix, S.; Lucas, G.; Violas, P. Open fractures of the limbs in children and adolescents. Orthop. Traumatol. Surg. Res. 2024, 110, 103771. [Google Scholar] [CrossRef] [PubMed]
- Armstrong, D.G.; MacNeille, R.; Lehman, E.B.; Hennrikus, W.L. Compartment Syndrome in Children with a Supracondylar Fracture: Not Everyone has Risk Factors. J. Orthop. Trauma 2021, 35, e298–e303. [Google Scholar] [CrossRef]
- Raux, S.; Madelaine, A. Sequelae of childhood elbow fracture. Orthop. Traumatol. Surg. Res. 2023, 109, 103454. [Google Scholar] [CrossRef]
- Flynn, J.C.; Matthews, J.G.; Benoit, R.L. Blind pinning of displaced supracondylar fractures of the humerus in children: Sixteen Years’ Experience with long-term follow-up. J. Bone Jt. Surg. 1974, 56, 263–272. [Google Scholar] [CrossRef]



| Gartland Classification Modified by Wilkins | |
|---|---|
| Type I | Non-displaced |
| Type II | IIA—Minimally displaced; posterior cortex is intact IIB—Rotational or non-rotational displacement, but in contact |
| Type III | Totally displaced with posterolateral or anteromedial fragment; no contact |
| Type IV | Most are flexion-type fractures; multidirectionally unstable supracondylar humeral fractures |
| Study | Number of Subjects | Closed Lateral Pin Configuration | Closed Medial Pin Configuration | Open Reduction | Conservative Treatment | Complications —Number of Subjects | Functional Outcome by Flynn Criteria |
|---|---|---|---|---|---|---|---|
| Dučić et al. [31] | 93 | 0 | 37 | 34 | 22 | Neurological complications—4 Cubitus varus—3 Elbow stiffness—2 | Excellent—69 Good—20 Fair + poor—9 |
| Banshelkikar et al. [32] | 100 | 47 | 53 | 3 | 0 | Pin tract infection | Excellent—93 Good—5 Fair—2 |
| Pavone et al. [33] | 59 | 59 | 0 | 0 | 0 | Ulnar nerve paresthesia—2 Asymmetry—1 Varus deviation—1 Mild hyperextension—1 Local infection—1 Spontaneous removal of K-wires—1 | Excellent—57 Good—2 |
| Hannonen et al. [38] | 195 | 19 | 141 | 5 | 30 | Loss of reduction—7 | - |
| Hussein Al-Algawy et al. [44] | 66 | 33 | 0 | 33 | 0 | Second trial reduction—6 Pin tract infection—3 Varus deviation—1 Ulnar nerve neurapraxia—1 Cubitus varus (20 degrees)—1 | Excellent—21 Good—7 Fair—3 Poor—1 |
Disclaimer/Publisher’s Note: The statements, opinions and data contained in all publications are solely those of the individual author(s) and contributor(s) and not of MDPI and/or the editor(s). MDPI and/or the editor(s) disclaim responsibility for any injury to people or property resulting from any ideas, methods, instructions or products referred to in the content. |
© 2025 by the authors. Licensee MDPI, Basel, Switzerland. This article is an open access article distributed under the terms and conditions of the Creative Commons Attribution (CC BY) license (https://creativecommons.org/licenses/by/4.0/).
Share and Cite
Surd, A.; Muresan, R.; Ciongradi, C.I.; Sur, L.M.; Ardelean, L.R.; Usatiuc, L.O.; Snakovszki, K.; Munteanu, C.; Sârbu, I. Modern Treatment of Supracondylar Humeral Fractures in Children. Children 2025, 12, 556. https://doi.org/10.3390/children12050556
Surd A, Muresan R, Ciongradi CI, Sur LM, Ardelean LR, Usatiuc LO, Snakovszki K, Munteanu C, Sârbu I. Modern Treatment of Supracondylar Humeral Fractures in Children. Children. 2025; 12(5):556. https://doi.org/10.3390/children12050556
Chicago/Turabian StyleSurd, Adrian, Rodica Muresan, Carmen Iulia Ciongradi, Lucia Maria Sur, Lucia Raluca Ardelean, Lia Oxana Usatiuc, Kriszta Snakovszki, Camelia Munteanu, and Ioan Sârbu. 2025. "Modern Treatment of Supracondylar Humeral Fractures in Children" Children 12, no. 5: 556. https://doi.org/10.3390/children12050556
APA StyleSurd, A., Muresan, R., Ciongradi, C. I., Sur, L. M., Ardelean, L. R., Usatiuc, L. O., Snakovszki, K., Munteanu, C., & Sârbu, I. (2025). Modern Treatment of Supracondylar Humeral Fractures in Children. Children, 12(5), 556. https://doi.org/10.3390/children12050556

