Treatment of Pediatric Displaced Intraarticular Olecranon Fractures with Resorbable Poly-L-Lactic-Co-Glycolic Acid (PLGA) Pins and Polydioxanone (PDS) Loops
Abstract
1. Introduction
2. Patients and Methods
2.1. Study Design and Patient Selection
2.2. Operative Algorithm
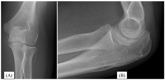
3. Results
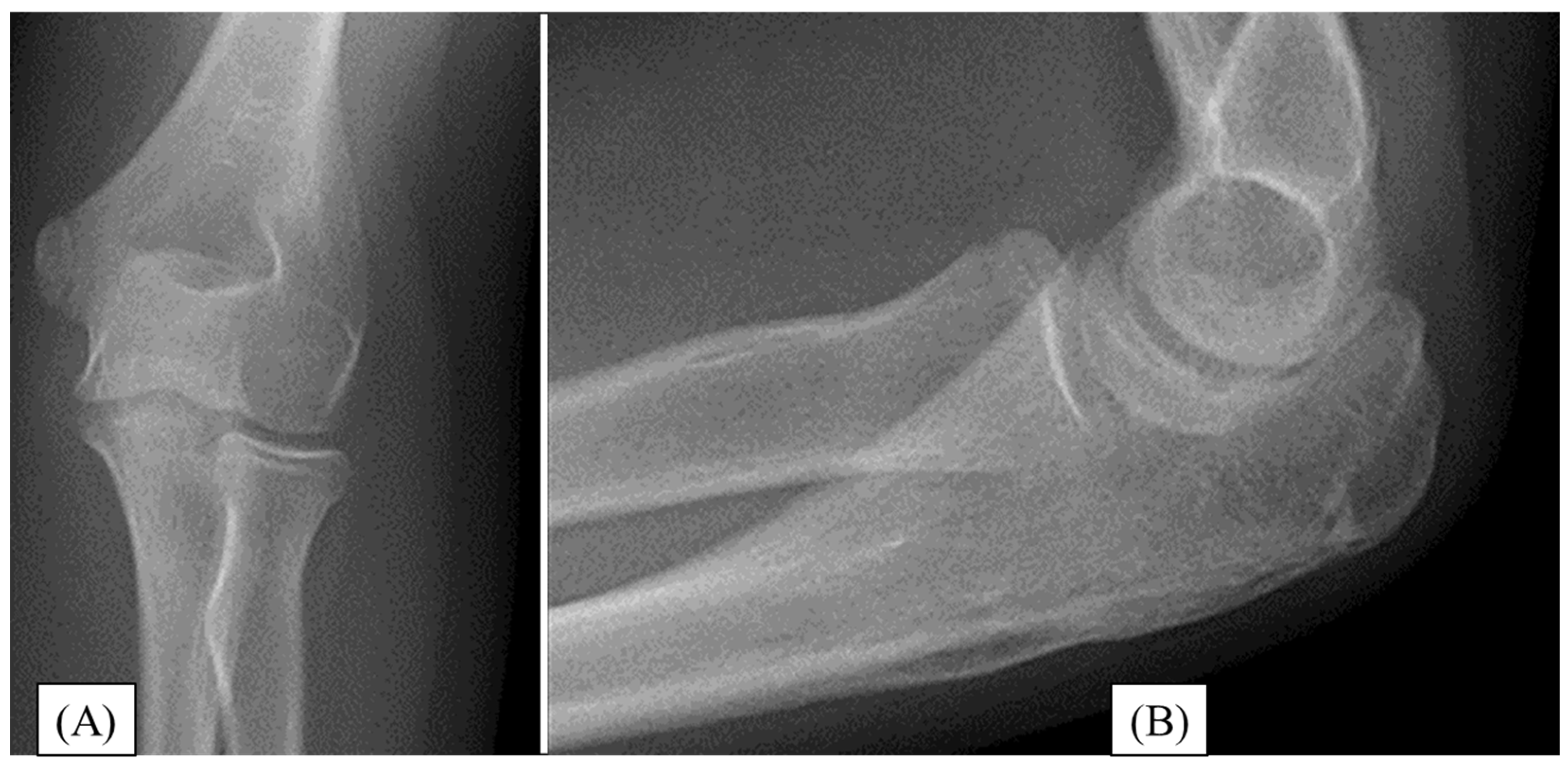
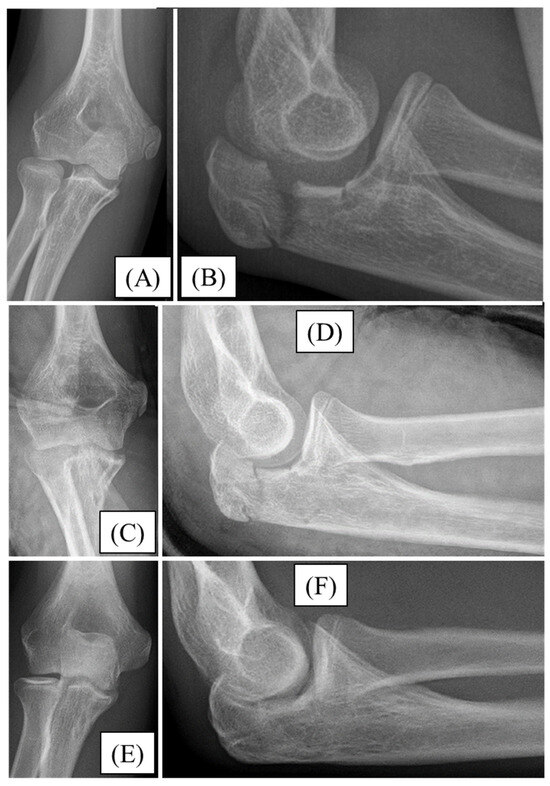
3.1. Case 1
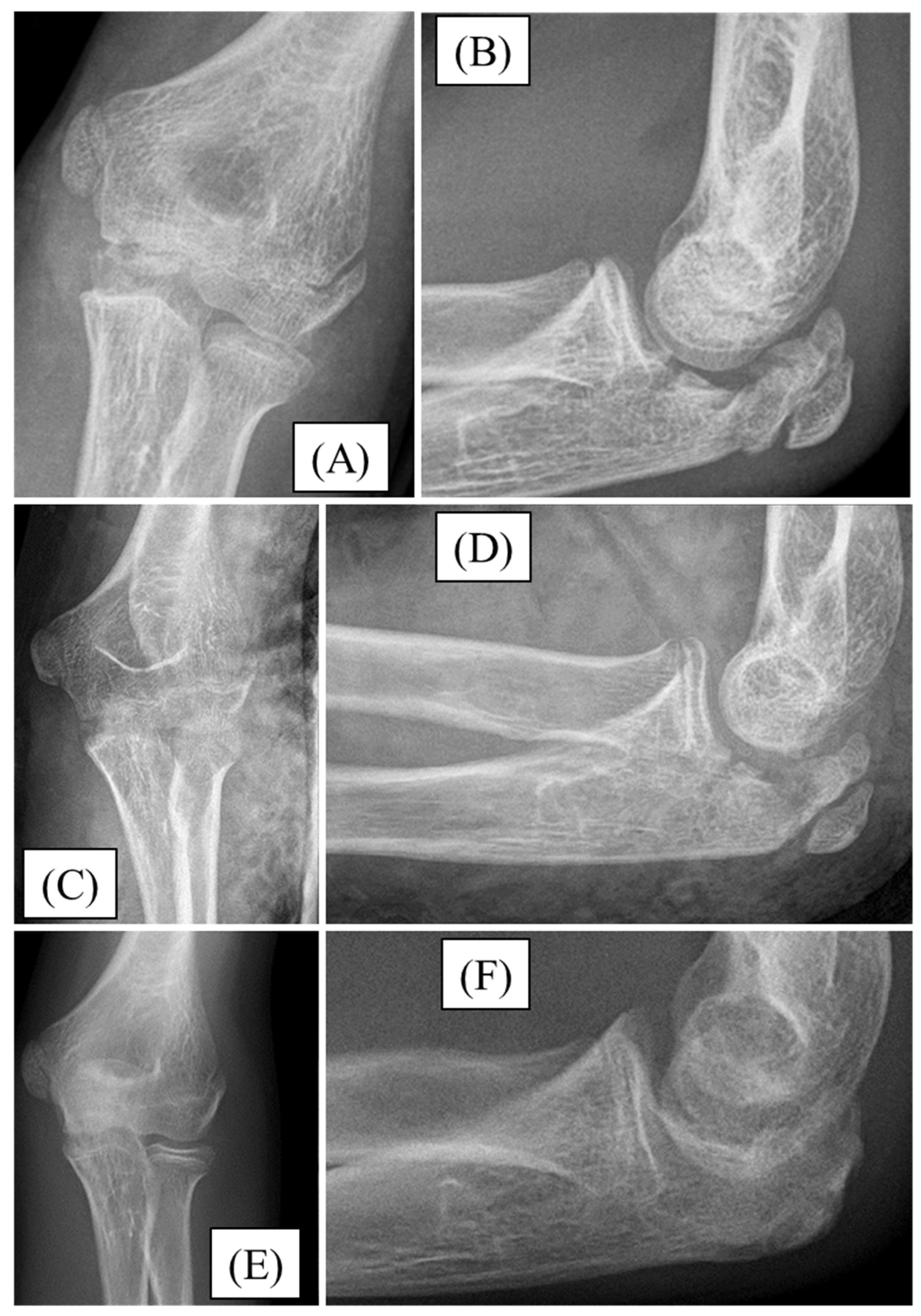
3.2. Case 2
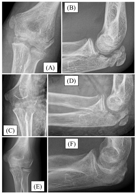
3.3. Case 3
4. Discussion
5. Conclusions
Author Contributions
Funding
Institutional Review Board Statement
Informed Consent Statement
Data Availability Statement
Acknowledgments
Conflicts of Interest
References
- Perkins, C.A.; Busch, M.T.; Christino, M.A.; Axelrod, J.; Devito, D.P.; Fabregas, J.A.; Flanagan, J.C.; Murphy, J.; Olszewski, D.; Schmitz, M.L.; et al. Olecranon Fractures in Children and Adolescents: Outcomes Based on Fracture Fixation. J. Child. Orthop. 2018, 12, 497–501. [Google Scholar] [CrossRef]
- Caterini, R.; Farsetti, P.; D’Arrigo, C.; Ippolito, E. Fractures of the Olecranon in Children. Long-Term Follow-up of 39 Cases. J. Pediatr. Orthop. Part B 2002, 11, 320–328. [Google Scholar] [CrossRef]
- Holme, T.J.; Karbowiak, M.; Arnander, M.; Gelfer, Y. Paediatric Olecranon Fractures: A Systematic Review. EFORT Open Rev. 2020, 5, 280–288. [Google Scholar] [CrossRef] [PubMed]
- De Maio, F.; Gorgolini, G.; Caterini, A.; Luciano, C.; Covino, D.; Farsetti, P. Treatment of Olecranon Fractures in Childhood: A Systematic Review. Front. Pediatr. 2022, 10, 1046243. [Google Scholar] [CrossRef]
- Horne, J.G.; Tanzer, T.L. Olecranon Fractures: A Review of 100 Cases. J. Trauma 1981, 21, 469–472. [Google Scholar]
- Morrey, B.F. Current Concepts in the Treatment of Fractures of the Radial Head, the Olecranon, and the Coronoid. JBJS 1995, 77, 316. [Google Scholar] [CrossRef]
- Joeris, A.; Lutz, N.; Blumenthal, A.; Slongo, T.; Audigé, L. The AO Pediatric Comprehensive Classification of Long Bone Fractures (PCCF). Acta Orthop. 2017, 88, 129–132. [Google Scholar] [CrossRef] [PubMed]
- Iyer, R.S.; Thapa, M.M.; Khanna, P.C.; Chew, F.S. Pediatric Bone Imaging: Imaging Elbow Trauma in Children???A Review of Acute and Chronic Injuries. Am. J. Roentgenol. 2012, 198, 1053–1068. [Google Scholar] [CrossRef]
- DeFroda, S.F.; Hansen, H.; Gil, J.A.; Hawari, A.H.; Cruz, A.I. Radiographic Evaluation of Common Pediatric Elbow Injuries. Orthop. Rev. 2017, 9, 7030. [Google Scholar] [CrossRef]
- Fujihara, Y.; Tatebe, M.; Fujihara, N.; Tanaka, H.; Hirata, H. Useful Plain Radiographic Findings in Diagnosis of Pediatric Olecranon Fracture Complicated With Proximal Radial Fracture. Pediatr. Emerg. Care 2017, 33, e105. [Google Scholar] [CrossRef]
- Cheng, J.C.; Wing-Man, K.; Shen, W.Y.; Yurianto, H.; Xia, G.; Lau, J.T.; Cheung, A.Y. A New Look at the Sequential Development of Elbow-Ossification Centers in Children. J. Pediatr. Orthop. 1998, 18, 161–167. [Google Scholar] [CrossRef]
- ICRP; Khong, P.-L.; Ringertz, H.; Donoghue, V.; Frush, D.; Rehani, M.; Appelgate, K.; Sanchez, R. ICRP Publication 121: Radiological Protection in Paediatric Diagnostic and Interventional Radiology. Ann. ICRP 2013, 42, 1–63. [Google Scholar] [CrossRef] [PubMed]
- Chalidis, B.E.; Sachinis, N.C.; Samoladas, E.P.; Dimitriou, C.G.; Pournaras, J.D. Is Tension Band Wiring Technique the “Gold Standard” for the Treatment of Olecranon Fractures? A Long Term Functional Outcome Study. J. Orthop. Surg. 2008, 3, 9. [Google Scholar] [CrossRef] [PubMed]
- Müller, M.E.; Allgöwer, M.; Schneider, R.; Willenegger, H. Manual der Osteosynthese: AO-Technik; Springer: Berlin, Germany, 2013; ISBN 978-3-642-87407-9. [Google Scholar]
- Weber, B.G.; Vasey, H. Osteosynthesis in olecranon fractures. Z. Unfallmedizin Berufskrankh. Rev. Med. Accid. Mal. Prof. 1963, 56, 90–96. [Google Scholar]
- Rowland, S.A.; Burkhart, S.S. Tension Band Wiring of Olecranon Fractures. A Modification of the AO Technique. Clin. Orthop. 1992, 277, 238–242. [Google Scholar] [CrossRef]
- Paremain, G.P.; Novak, V.P.; Jinnah, R.H.; Belkoff, S.M. Biomechanical Evaluation of Tension Band Placement for the Repair of Olecranon Fractures. Clin. Orthop. 1997, 335, 325–330. [Google Scholar] [CrossRef]
- Gaddy, B.C.; Strecker, W.B.; Schoenecker, P.L. Surgical Treatment of Displaced Olecranon Fractures in Children. J. Pediatr. Orthop. 1997, 17, 321–324. [Google Scholar] [CrossRef]
- Romero, J.M.; Miran, A.; Jensen, C.H. Complications and Re-Operation Rate after Tension-Band Wiring of Olecranon Fractures. J. Orthop. Sci. 2000, 5, 318–320. [Google Scholar] [CrossRef]
- Suganuma, S.; Tada, K.; Takagawa, S.; Yasutake, H.; Shimanuki, K.; Shinmura, K.; Fujita, K.; Tsuchiya, H. Comparing Exposed and Buried Kirschner Wires in Fixation for Pediatric Supracondylar Humerus Fractures: A Propensity Score-Matched Study. J. Orthop. Surg. Hong Kong 2022, 30, 10225536221125949. [Google Scholar] [CrossRef]
- Gortzak, Y.; Mercado, E.; Atar, D.; Weisel, Y. Pediatric Olecranon Fractures: Open Reduction and Internal Fixation with Removable Kirschner Wires and Absorbable Sutures. J. Pediatr. Orthop. 2006, 26, 39–42. [Google Scholar] [CrossRef]
- Mun, F.; Suresh, K.V.; Hayashi, B.; Margalit, A.; Sponseller, P.D.; Lee, R.J. Compression Screw Fixation for Pediatric Olecranon Fractures. J. Pediatr. Orthop. 2023, 43, e151. [Google Scholar] [CrossRef] [PubMed]
- Yang, W.; Zhang, X.; Sun, D.; Jin, S.; Chen, J.; Li, Y. Outcomes of Olecranon Fractures in Adolescents: Comparison of Tension Band Wiring and Herbert Screw Fixations. Front. Pediatr. 2024, 11, 1269628. [Google Scholar] [CrossRef]
- Crozier-Shaw, G.; Mahon, J.; Bayer, T.C. The Use of Bioabsorbable Compression Screws & Polyethylene Tension Band for Fixation of Displaced Olecranon Fractures. J. Orthop. 2020, 22, 525–529. [Google Scholar] [CrossRef]
- Inui, A.; Kuroda, T.; Kurosawa, T.; Kokubu, T.; Mifune, Y.; Nishimoto, H.; Kuroda, R. Case Series of Comminuted Olecranon Fracture Treated by Plate Fixation; Do We Have to Remove the Plate? Kobe J. Med. Sci. 2018, 64, E115–E118. [Google Scholar]
- Eppley, B.L.; Reilly, M. Degradation Characteristics of PLLA-PGA Bone Fixation Devices. J. Craniofac. Surg. 1997, 8, 116. [Google Scholar] [CrossRef]
- Perhomaa, M.; Pokka, T.; Korhonen, L.; Kyrö, A.; Niinimäki, J.; Serlo, W.; Sinikumpu, J.-J. Randomized Controlled Trial of the Clinical Recovery and Biodegradation of Polylactide-Co-Glycolide Implants Used in the Intramedullary Nailing of Children’s Forearm Shaft Fractures with at Least Four Years of Follow-Up. J. Clin. Med. 2021, 10, 995. [Google Scholar] [CrossRef] [PubMed]
- van Apeldoorn, A.A.; van Manen, H.-J.; Bezemer, J.M.; de Bruijn, J.D.; van Blitterswijk, C.A.; Otto, C. Raman Imaging of PLGA Microsphere Degradation inside Macrophages. J. Am. Chem. Soc. 2004, 126, 13226–13227. [Google Scholar] [CrossRef]
- Kassai, T.; Varga, M.; Józsa, G. Pediatric Medial Humeral Epicondyle Fracture in Children: Are Biodegradable Pins with Tension Band Absorbable Sutures Efficient? Medicine 2022, 101, e29817. [Google Scholar] [CrossRef] [PubMed]
- Matthews, J.G. Fractures of the Olecranon in Children. Injury 1980, 12, 207–212. [Google Scholar] [CrossRef]
- Newell, R.L. Olecranon Fractures in Children. Injury 1975, 7, 33–36. [Google Scholar] [CrossRef]
- Baldini, M.; Coppa, V.; Falcioni, D.; Senigagliesi, E.; Marinelli, M.; Gigante, A.P. Use of Resorbable Magnesium Screws in Children: Systematic Review of the Literature and Short-Term Follow-up from Our Series. J. Child. Orthop. 2021, 15, 194–203. [Google Scholar] [CrossRef] [PubMed]
- Gay, J.F.; King, L.S.; Lysen, A.T. Use of Magnesium Alloys in Tension Band Wiring of Olecranon Fractures; Worcester Polytechnic Institute: Worcester, MA, USA, 2014. [Google Scholar]
- Melo, L.; Salmoria, G.; Fancello, E.; Roesler, C. Influence of Processing Conditions on the Mechanical Behavior and Morphology of Injection Molded Poly (Lactic-Co-Glycolic Acid) 85:15. Int. J. Biomater. 2017, 2017, 1–7. [Google Scholar] [CrossRef]
- Losertova, M.; Štamborská, M.; Lapin, J.; Mareš, V. Comparison of Deformation Behavior of 316L Stainless Steel and Ti6Al4V Alloy Applied in Traumatology. Metal.-Sisak Then Zagreb. 2016, 55, 667–670. [Google Scholar]
- Kassai, T.; Krupa, Z.; Józsa, G.; Hanna, D.; Varga, M. Comparison of Biodegradable and Metallic Tension-Band Fixation for Paediatric Lateral Condyle Fracture of the Elbow. Injury 2024, 55, 111403. [Google Scholar] [CrossRef]
- Ma, S.; Feng, X.; Liu, F.; Wang, B.; Zhang, H.; Niu, X. The Pro-Inflammatory Response of Macrophages Regulated by Acid Degradation Products of Poly(Lactide-Co-Glycolide) Nanoparticles. Eng. Life Sci. 2021, 21, 709–720. [Google Scholar] [CrossRef] [PubMed]
- Ceonzo, K.; Gaynor, A.; Shaffer, L.; Kojima, K.; Vacanti, C.A.; Stahl, G.L. Polyglycolic Acid Induced Inflammation. Tissue Eng. 2006, 12, 301–308. [Google Scholar] [CrossRef]
- Benhabbour, S.R.; Kovarova, M.; Jones, C.; Copeland, D.J.; Shrivastava, R.; Swanson, M.D.; Sykes, C.; Ho, P.T.; Cottrell, M.L.; Sridharan, A.; et al. Ultra-Long-Acting Tunable Biodegradable and Removable Controlled Release Implants for Drug Delivery. Nat. Commun. 2019, 10, 4324. [Google Scholar] [CrossRef] [PubMed]
- Warren, J.D. Bio-Printed, Bio-Functionalized PLGA-KGN Scaffolds as an Augmentation to Microfracture. Honor’s Thesis, Mississippi State University, Starkville, MS, USA, 2021. [Google Scholar]
- Gupta, A.K.; Choudhari, A.; Kumar, A.; Gupta, A. Custom Implants and Beyond: The Biomedical Potential of Additive Manufacturing. Arch. Case Rep. 2024, 8, 050–055. [Google Scholar] [CrossRef]
- Pogorielov, M.; Husak, E.; Solodivnik, A.; Zhdanov, S. Magnesium-Based Biodegradable Alloys: Degradation, Application, and Alloying Elements. Interv. Med. Appl. Sci. 2017, 9, 27–38. [Google Scholar] [CrossRef]
- Antoniac, I.; Miculescu, M.; Mănescu (Păltânea), V.; Stere, A.; Quan, P.H.; Păltânea, G.; Robu, A.; Earar, K. Magnesium-Based Alloys Used in Orthopedic Surgery. Materials 2022, 15, 1148. [Google Scholar] [CrossRef]




| Patient | 1 | 2 | 3 |
|---|---|---|---|
| Age | 12 | 12 | 13 |
| Sex | boy | boy | boy |
| Side | left | left | right |
| Mechanism | cycling | stair fall | cycling |
| Mayo severity | II/A | II/B | II/A |
| Complications | no | no | no |
Disclaimer/Publisher’s Note: The statements, opinions and data contained in all publications are solely those of the individual author(s) and contributor(s) and not of MDPI and/or the editor(s). MDPI and/or the editor(s) disclaim responsibility for any injury to people or property resulting from any ideas, methods, instructions or products referred to in the content. |
© 2025 by the authors. Licensee MDPI, Basel, Switzerland. This article is an open access article distributed under the terms and conditions of the Creative Commons Attribution (CC BY) license (https://creativecommons.org/licenses/by/4.0/).
Share and Cite
Tóth, Z.; Kassai, T.; Varga, M.; Molnár, T.; Antal, E.; Lamberti, A.G.; Nudelman, H.; Lőrincz, A.; Józsa, G. Treatment of Pediatric Displaced Intraarticular Olecranon Fractures with Resorbable Poly-L-Lactic-Co-Glycolic Acid (PLGA) Pins and Polydioxanone (PDS) Loops. Children 2025, 12, 316. https://doi.org/10.3390/children12030316
Tóth Z, Kassai T, Varga M, Molnár T, Antal E, Lamberti AG, Nudelman H, Lőrincz A, Józsa G. Treatment of Pediatric Displaced Intraarticular Olecranon Fractures with Resorbable Poly-L-Lactic-Co-Glycolic Acid (PLGA) Pins and Polydioxanone (PDS) Loops. Children. 2025; 12(3):316. https://doi.org/10.3390/children12030316
Chicago/Turabian StyleTóth, Zoltán, Tamás Kassai, Marcell Varga, Tibor Molnár, Eszter Antal, Anna Gabriella Lamberti, Hermann Nudelman, Aba Lőrincz, and Gergő Józsa. 2025. "Treatment of Pediatric Displaced Intraarticular Olecranon Fractures with Resorbable Poly-L-Lactic-Co-Glycolic Acid (PLGA) Pins and Polydioxanone (PDS) Loops" Children 12, no. 3: 316. https://doi.org/10.3390/children12030316
APA StyleTóth, Z., Kassai, T., Varga, M., Molnár, T., Antal, E., Lamberti, A. G., Nudelman, H., Lőrincz, A., & Józsa, G. (2025). Treatment of Pediatric Displaced Intraarticular Olecranon Fractures with Resorbable Poly-L-Lactic-Co-Glycolic Acid (PLGA) Pins and Polydioxanone (PDS) Loops. Children, 12(3), 316. https://doi.org/10.3390/children12030316

