Comparison of Titanium versus Resorbable Intramedullary Nailing in Pediatric Forearm Fractures
Abstract
1. Background
2. Patients and Methods
2.1. Study Design
2.2. Participants
2.3. Evaluated Endpoints
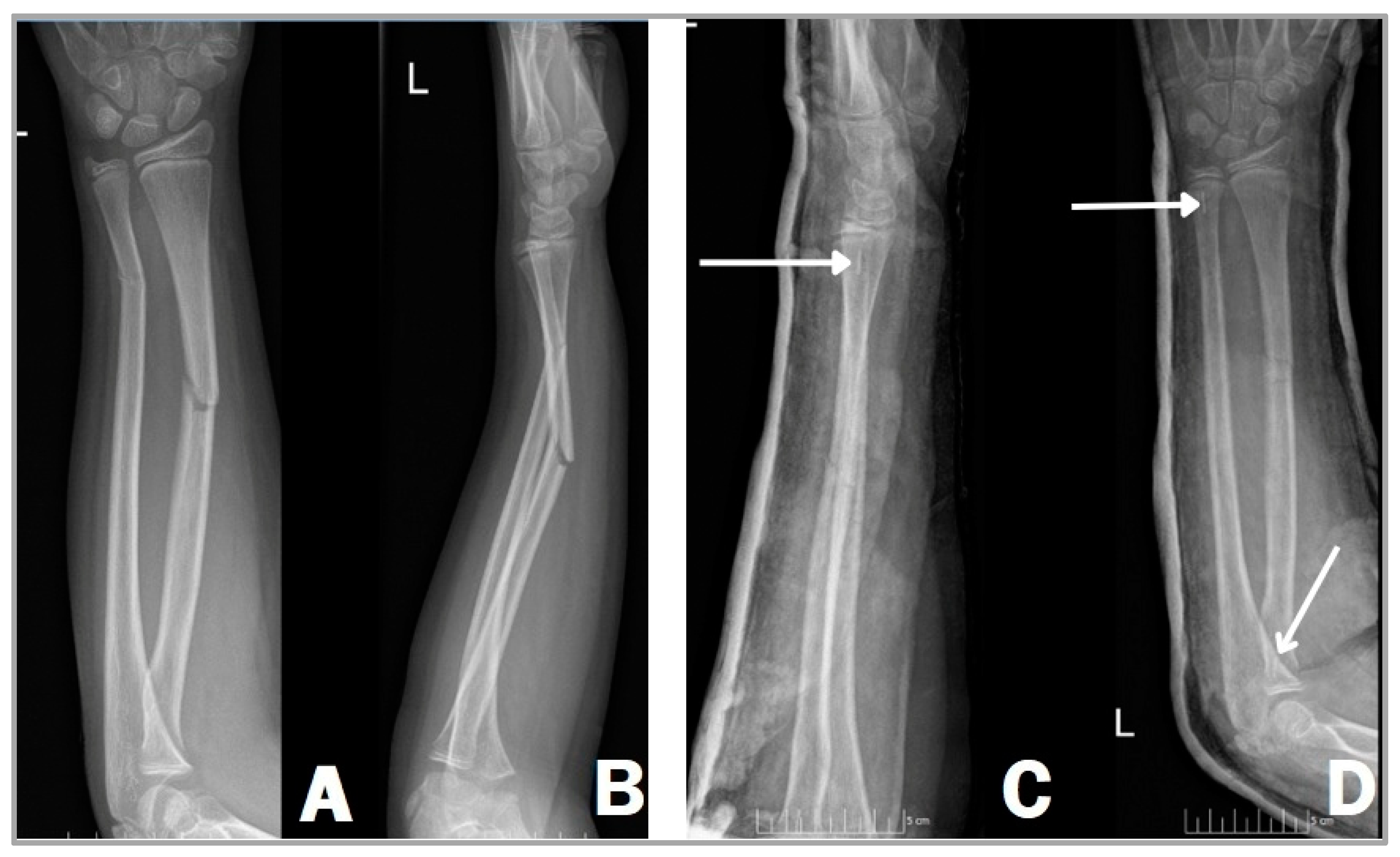
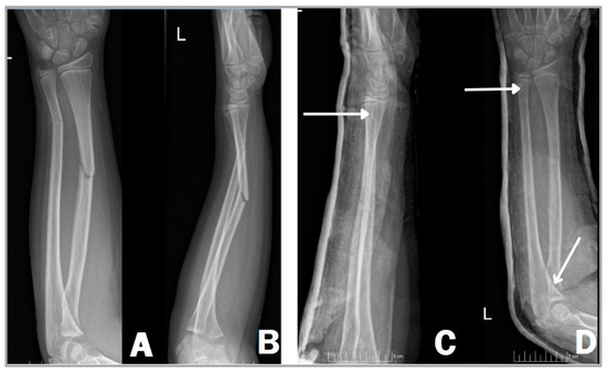
2.4. Operative Technique with Elastic Stable Intramedullary Nail (ESIN)
2.5. Operative Method with Resorbable Intramedullary Nail (RESIN)
2.6. Statistical Analysis
3. Results
Complications
4. Discussion
Limitations
5. Conclusions
Author Contributions
Funding
Institutional Review Board Statement
Informed Consent Statement
Data Availability Statement
Conflicts of Interest
References
- Landin, L.A. Epidemiology of children’s fractures. J. Pediatr. Orthop. B 1997, 6, 79–83. [Google Scholar] [CrossRef] [PubMed]
- Joeris, A.; Lutz, N.; Wicki, B.; Slongo, T.; Audigé, L. An epidemiological evaluation of pediatric long bone fractures—A retrospective cohort study of 2716 patients from two Swiss tertiary pediatric hospitals. BMC Pediatr. 2014, 14, 314. [Google Scholar] [CrossRef] [PubMed]
- Waters, P.M.; Skaggs, D.L.; Flynn, J.M. Rockwood and Wilkins’ Fractures in Children, 8th ed.; Wolters Kluwer Health: Philadelphia, PA, USA, 2015; pp. 413–473. [Google Scholar]
- Lyons, R.A.; Delahunty, A.M.; Kraus, D.; Heaven, M.; McCabe, M.; Allen, H.; Nash, P. Children’s fractures: A population based study. Inj. Prev. 1999, 5, 129–132. [Google Scholar] [CrossRef] [PubMed]
- Alzen, G.; Benz-Bohm, G. Radiation protection in pediatric radiology. Dtsch. Arztebl. Int. 2011, 108, 407–414. [Google Scholar] [CrossRef] [PubMed]
- Noonan, K.J.; Price, C.T. Forearm and distal radius fractures in children. J. Am. Acad. Orthop. Surg. 1998, 6, 146–156. [Google Scholar] [CrossRef] [PubMed]
- Caruso, G.; Caldari, E.; Sturla, F.D.; Caldaria, A.; Re, D.L.; Pagetti, P.; Palummieri, F.; Massari, L. Management of pediatric forearm fractures: What is the best therapeutic choice? A narrative review of the literature. Musculoskelet. Surg. 2021, 105, 225–234. [Google Scholar] [CrossRef] [PubMed]
- Ryan, L.M.; Teach, S.J.; Searcy, K.; Singer, S.A.; Wood, R.; Wright, J.L.; Chamberlain, J.M. Epidemiology of pediatric forearm fractures in Washington, DC. J. Trauma 2010, 69 (Suppl. S4), S200–S205. [Google Scholar] [CrossRef] [PubMed]
- Grabala, P. Epidemiology of Forearm Fractures in the Population of Children and Adolescents: Current Data from the Typical Polish City. Orthop. Muscular Syst. 2016, 5, 100203. [Google Scholar] [CrossRef]
- Landin, L.A. Fracture patterns in children. Analysis of 8682 fractures with special reference to incidence, etiology and secular changes in a Swedish urban population 1950–1979. Acta Orthop. Scand. Suppl. 1983, 202, 3–109. [Google Scholar] [CrossRef]
- Bašković, M. Acceptable angulation of forearm fractures in children. Rev. Española Cirugía Ortopédica Y Traumatol. 2023, 67, 253–254. [Google Scholar] [CrossRef]
- Perhomaa, M.; Pokka, T.; Korhonen, L.; Kyrö, A.; Niinimäki, J.; Serlo, W.; Sinikumpu, J.J. Randomized Controlled Trial of the Clinical Recovery and Biodegradation of Polylactide-co-glycolide Implants Used in the Intramedullary Nailing of Children’s Forearm Shaft Fractures with at Least Four Years of Follow-Up. J. Clin. Med. 2021, 10, 995. [Google Scholar] [CrossRef] [PubMed]
- Lascombes, P.; Prevot, J.; Ligier, J.N.; Metaizeau, J.P.; Poncelet, T. Elastic stable intramedullary nailing in forearm shaft fractures in children: 85 cases. J. Pediatr. Orthop. 1990, 10, 167–171. [Google Scholar] [CrossRef] [PubMed]
- Navarro, M.; Michiardi, A.; Castaño, O.; Planell, J.A. Biomaterials in orthopaedics. J. R. Soc. Interface. 2008, 5, 1137–1158. [Google Scholar] [CrossRef] [PubMed]
- Heye, P.; Matissek, C.; Seidl, C.; Varga, M.; Kassai, T.; Jozsa, G.; Krebs, T. Making Hardware Removal Unnecessary by Using Resorbable Implants for Osteosynthesis in Children. Children 2022, 9, 471. [Google Scholar] [CrossRef]
- Kulkarni, R.K.; Pani, K.C.; Neuman, C.; Leonard, F. Polylactic acid for surgical implants. Arch. Surg. 1966, 93, 839–843. [Google Scholar] [CrossRef]
- Pogorelić, Z.; Gulin, M.; Jukić, M.; Biliškov, A.N.; Furlan, D. Elastic stable intramedullary nailing for treatment of pediatric forearm fractures: A 15-year single centre retrospective study of 173 cases. Acta Orthop. Traumatol. Turc. 2020, 54, 378–384. [Google Scholar] [CrossRef]
- Sercan, Ç.; Mahmut, A.; Fatih, G.; Serkan, S.; Doğan, A. Elastic Stable Intramedullary Nailing for Pediatric Forearm Fractures: A Retrospective Analysis of Thirty Four Cases. Med. Bull. Haseki. 2018, 56, 104–108. [Google Scholar] [CrossRef]
- Kruppa, C.; Bunge, P.; Schildhauer, T.A.; Dudda, M. Low complication rate of elastic stable intramedullary nailing (ESIN) of pediatric forearm fractures: A retrospective study of 202 cases. Medicine 2017, 96, e6669. [Google Scholar] [CrossRef]
- Bioabsorbable Intramedullary Nail—Fixation of Forearm Fractures in Children. (n.d.). Available online: https://bioretec.com/files/whitepapers/WP47%20Bioretec%20Research%20and%20Development%20-%20Bioabsorbable%20intramedullary%20nail%20(ID%20384081).pdf (accessed on 12 March 2024).
- Surgical Technique for Pediatric Forearm Fixation Using Activa IM-Nail. (n.d.). Available online: https://bioretec.com/files/Surgical%20Techniques/Surgical%20technique%20for%20Pediatric%20Forearm%20Fixation%20Using%20Activa%20IM-Nail%20(ID%20380643).pdf (accessed on 12 March 2024).
- Varga, M. Surgical Treatment of 22 Pediatric Forearm Fractures with Biodegradable Activa IM-Nail™. 2021. Available online: https://bioretec.com/files/whitepapers/WP48%20Surgical%20treatment%20of%2022%20pediatric%20forearm%20fractures%20with%20biodegradable%20Activa%20IM-Nail%E2%84%A2.pdf (accessed on 13 March 2024).
- Korhonen, L.; Perhomaa, M.; Kyrö, A.; Pokka, T.; Serlo, W.; Merikanto, J.; Sinikumpu, J.J. Intramedullary nailing of forearm shaft fractures by biodegradable compared with titanium nails: Results of a prospective randomized trial in children with at least two years of follow-up. Biomaterials 2018, 185, 383–392. [Google Scholar] [CrossRef]
- Sinikumpu, J.J.; Serlo, W. Biodegradable poly-L-lactide-co-glycolide copolymer pin fixation of a traumatic patellar osteochondral fragment in an 11-year-old child: A novel surgical approach. Exp. Ther. Med. 2017, 13, 242–246. [Google Scholar] [CrossRef][Green Version]
- Varga, M.; Józsa, G.; Hanna, D.; Tóth, M.; Hajnal, B.; Krupa, Z.; Kassai, T. Bioresorbable implants vs. Kirschner-wires in the treatment of severely displaced distal paediatric radius and forearm fractures—A retrospective multicentre study. BMC Musculoskelet. Disord. 2022, 23, 362. [Google Scholar] [CrossRef]




| Characteristics | Titanium Elastic Nailing Group (n = 45) | Bioresorbable Group (n = 41) | p-Values |
|---|---|---|---|
| Average age; years | 10.422 | 8.439 | 0.0085 1 |
| Sex ratio (Number of patients) (male–female) | 1.8125 (29:16) | 3.1 (31:10) | 0.430 2 |
| Injured upper limb side (No., %) | |||
| Right | 14 (31) | 17 (41) | 0.716 2 |
| Left | 31 (69) | 24 (59) | |
| Affected bone (No., %) | 0.123 2 | ||
| Radius (isolated) | 9 (20) | 2 (5) | |
| Ulna (isolated) | 0 (0) | 1 (2) | |
| Both bones | 36 (80) | 38 (93) |
Disclaimer/Publisher’s Note: The statements, opinions and data contained in all publications are solely those of the individual author(s) and contributor(s) and not of MDPI and/or the editor(s). MDPI and/or the editor(s) disclaim responsibility for any injury to people or property resulting from any ideas, methods, instructions or products referred to in the content. |
© 2024 by the authors. Licensee MDPI, Basel, Switzerland. This article is an open access article distributed under the terms and conditions of the Creative Commons Attribution (CC BY) license (https://creativecommons.org/licenses/by/4.0/).
Share and Cite
Dávid, Á.L.; Mucsina, F.; Antal, E.; Lamberti, A.G.; Lőrincz, A.; Józsa, G. Comparison of Titanium versus Resorbable Intramedullary Nailing in Pediatric Forearm Fractures. Children 2024, 11, 942. https://doi.org/10.3390/children11080942
Dávid ÁL, Mucsina F, Antal E, Lamberti AG, Lőrincz A, Józsa G. Comparison of Titanium versus Resorbable Intramedullary Nailing in Pediatric Forearm Fractures. Children. 2024; 11(8):942. https://doi.org/10.3390/children11080942
Chicago/Turabian StyleDávid, Ádám László, Flóra Mucsina, Eszter Antal, Anna Gabriella Lamberti, Aba Lőrincz, and Gergő Józsa. 2024. "Comparison of Titanium versus Resorbable Intramedullary Nailing in Pediatric Forearm Fractures" Children 11, no. 8: 942. https://doi.org/10.3390/children11080942
APA StyleDávid, Á. L., Mucsina, F., Antal, E., Lamberti, A. G., Lőrincz, A., & Józsa, G. (2024). Comparison of Titanium versus Resorbable Intramedullary Nailing in Pediatric Forearm Fractures. Children, 11(8), 942. https://doi.org/10.3390/children11080942

