Neuroimaging of Vermiform Giant Arachnoid Granulations in Children
Abstract
1. Introduction
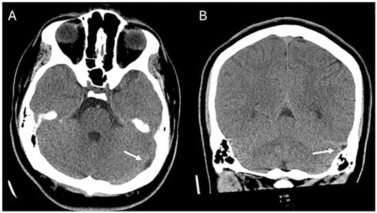
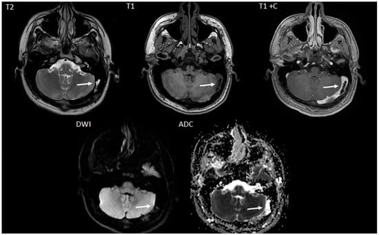
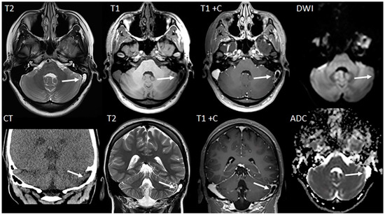
2. Cases
3. Discussion
3.1. Symptomatology
3.2. Imaging
3.3. AGs & GAGs
3.4. Tumors
3.5. Thrombi
3.6. Other
3.7. Limitations & Importance
4. Conclusions
Author Contributions
Funding
Institutional Review Board Statement
Informed Consent Statement
Data Availability Statement
Conflicts of Interest
References
- Mamaliga, T.; Hadi, M. An unusual vermiform giant arachnoid granulation. Radiol. Case Rep. 2019, 14, 1525–1528. [Google Scholar] [CrossRef] [PubMed]
- Mehta, R.I.; Mehta, R.I. Giant Arachnoid Granulations: A Systematic Literature Review. Int. J. Mol. Sci. 2023, 24, 13014. [Google Scholar] [CrossRef] [PubMed]
- Ayaz, E.; Atalay, B.; Baysal, B.; Senturk, S.; Aslan, A. Giant arachnoid granulation mimicking dural sinus thrombosis. North. Clin. Istanb. 2017, 4, 185–187. [Google Scholar] [CrossRef] [PubMed][Green Version]
- Karegowda, L.H.; Rajagopal, K.; Krishnamurthy, S.K.; Lakshmana, S. Giant arachnoid granulation with a thrombosed dural arteriovenous fistula. BMJ Case Rep. 2018, 2018, bcr2018224851. [Google Scholar] [CrossRef] [PubMed]
- Kan, P.; Stevens, E.; Couldwell, W. Incidental giant arachnoid granulation. Am. J. Neuroradiol. 2006, 27, 1491–1492. [Google Scholar] [PubMed]
- Radoš, M.; Živko, M.; Periša, A.; Orešković, D.; Klarica, M. No Arachnoid Granulations-No Problems: Number, Size, and Distribution of Arachnoid Granulations from Birth to 80 Years of Age. Front. Aging Neurosci. 2021, 13, 698865. [Google Scholar] [CrossRef] [PubMed]
- De Keyzer, B.; Bamps, S.; Van Calenbergh, F.; Demaerel, P.; Wilms, G. Giant arachnoid granulations mimicking pathology. A report of three cases. Neuroradiol. J. 2014, 27, 316–321. [Google Scholar] [CrossRef] [PubMed]
- Leach, J.; Meyer, K.; Jones, B.; Tomsick, T. Large arachnoid granulations involving the dorsal superior sagittal sinus: Findings on MR imaging and MR venography. Am. J. Neuroradiol. 2008, 29, 1335–1339. [Google Scholar] [CrossRef] [PubMed]
- Okamoto, K.; Ito, J.; Tokiguchi, S.; Furusawa, T.; Nishihara, M. Arachnoid granulations of the posterior fossa: CT and MR findings. Clin. Imaging 1997, 21, 1–5. [Google Scholar] [CrossRef] [PubMed]
- Villanueva-Meyer, J.E.; Mabray, M.C.; Cha, S. Current Clinical Brain Tumor Imaging. Neurosurgery 2017, 81, 397–415. [Google Scholar] [CrossRef] [PubMed]
- Chen, S.S.; Shao, K.N.; Chiang, J.H.; Chang, C.Y.; Lao, C.B.; Lirng, J.F.; Teng, M.M. Arachnoid granulations--computerized tomography and magnetic resonance imaging features: A case report. Zhonghua Yi Xue Za Zhi 1999, 62, 46–50. [Google Scholar] [PubMed]
- Koshikawa, T.; Naganawa, S.; Fukatsu, H.; Ishiguchi, T.; Ishigaki, T. Arachnoid granulations on high-resolution MR images and diffusion-weighted MR images: Normal appearance and frequency. Radiat Med. 2000, 18, 187–191. [Google Scholar] [PubMed]
- Leach, J.L.; Jones, B.V.; Tomsick, T.A.; Stewart, C.A.; Balko, M.G. Normal appearance of arachnoid granulations on contrast-enhanced CT and MR of the brain: Differentiation from dural sinus disease. Am. J. Neuroradiol. 1996, 17, 1523–1532. [Google Scholar] [PubMed]
- Sunbulli, M.; Zak, I.; Chaturvedi, S. Giant arachnoid granulations. Neurology 2005, 64, 2150. [Google Scholar] [CrossRef] [PubMed]
- Baliyan, V.; Das, C.J.; Sharma, R.; Gupta, A.K. Diffusion weighted imaging: Technique and applications. World J. Radiol. 2016, 8, 785–798. [Google Scholar] [CrossRef] [PubMed]
- Wagner, M.W.; Bosemani, T.; Oshmyansky, A.; Poretti, A.; Huisman, T.A. Neuroimaging findings in pediatric cerebral sinovenous thrombosis. Child’s Nerv. Syst. 2015, 31, 705–712. [Google Scholar] [CrossRef] [PubMed]
- Provenzale, J.M.; Kranz, P.G. Dural sinus thrombosis: Sources of error in image interpretation. Am. J. Roentgenol. 2011, 196, 23–31. [Google Scholar] [CrossRef] [PubMed]




Disclaimer/Publisher’s Note: The statements, opinions and data contained in all publications are solely those of the individual author(s) and contributor(s) and not of MDPI and/or the editor(s). MDPI and/or the editor(s) disclaim responsibility for any injury to people or property resulting from any ideas, methods, instructions or products referred to in the content. |
© 2024 by the authors. Licensee MDPI, Basel, Switzerland. This article is an open access article distributed under the terms and conditions of the Creative Commons Attribution (CC BY) license (https://creativecommons.org/licenses/by/4.0/).
Share and Cite
Guevara Tirado, O.A.; Mertiri, L.; Kralik, S.F.; Desai, N.K.; Huisman, T.A.G.M.; Lequin, M.H.; Tran, H.D. Neuroimaging of Vermiform Giant Arachnoid Granulations in Children. Children 2024, 11, 763. https://doi.org/10.3390/children11070763
Guevara Tirado OA, Mertiri L, Kralik SF, Desai NK, Huisman TAGM, Lequin MH, Tran HD. Neuroimaging of Vermiform Giant Arachnoid Granulations in Children. Children. 2024; 11(7):763. https://doi.org/10.3390/children11070763
Chicago/Turabian StyleGuevara Tirado, Oswaldo A., Livja Mertiri, Stephen F. Kralik, Nilesh K. Desai, Thierry A. G. M. Huisman, Maarten H. Lequin, and Huy (Brandon) D. Tran. 2024. "Neuroimaging of Vermiform Giant Arachnoid Granulations in Children" Children 11, no. 7: 763. https://doi.org/10.3390/children11070763
APA StyleGuevara Tirado, O. A., Mertiri, L., Kralik, S. F., Desai, N. K., Huisman, T. A. G. M., Lequin, M. H., & Tran, H. D. (2024). Neuroimaging of Vermiform Giant Arachnoid Granulations in Children. Children, 11(7), 763. https://doi.org/10.3390/children11070763

