Understanding Osteochondritis Dissecans: A Narrative Review of the Disease Commonly Affecting Children and Adolescents
Abstract
1. Introduction
2. Methods
3. Epidemiology
4. Etiology
5. Manifestation Picture and Diagnosis
5.1. Manifestation
5.2. Physical Examination
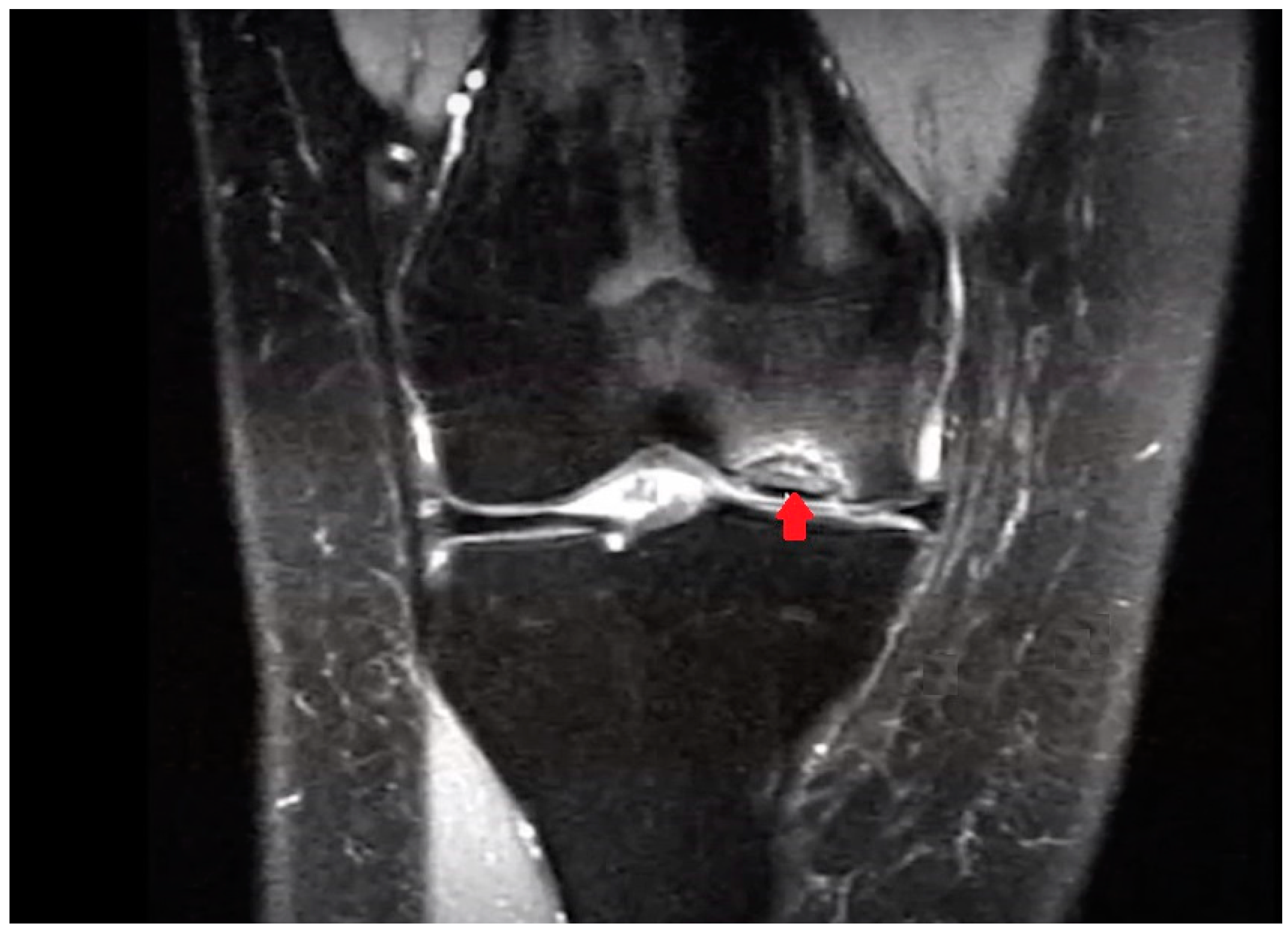
5.3. Imaging
5.3.1. Radiography
5.3.2. Magnetic Resonance Imaging
5.3.3. Computed Tomography
5.3.4. Other Techniques
5.4. Differential Diagnosis
5.5. Classifications
6. Treatment
6.1. Conservative Treatment
6.2. Surgical Treatment
6.2.1. Knee OCD
6.2.2. Elbow OCD
6.2.3. Ankle OCD
7. Clinical Applications
8. Conclusions
Author Contributions
Funding
Institutional Review Board Statement
Informed Consent Statement
Data Availability Statement
Conflicts of Interest
References
- Edmonds, E.W.; Polousky, J. A review of knowledge in osteochondritis dissecans: 123 years of minimal evolution from König to the ROCK study group. Clin. Orthop. Relat. Res. 2013, 471, 1118–1126. [Google Scholar] [CrossRef] [PubMed]
- Tudisco, C.; Bernardi, G.; Manisera, M.T.; De Maio, F.; Gorgolini, G.; Farsetti, P. An update on osteochondritis dissecans of the knee. Orthop. Rev. 2022, 14, 38829. [Google Scholar] [CrossRef] [PubMed]
- Edmonds, E.W.; Shea, K.G. Osteochondritis dissecans: Editorial comment. Clin. Orthop. Relat. Res. 2013, 471, 1105–1106. [Google Scholar] [CrossRef] [PubMed]
- Masquijo, J.; Kothari, A. Juvenile osteochondritis dissecans (JOCD) of the knee: Current concepts review. EFORT Open Rev. 2019, 4, 201–212. [Google Scholar] [CrossRef] [PubMed]
- Federico, D.J.; Lynch, J.K.; Jokl, P. Osteochondritis dissecans of the knee: A historical review of etiology and treatment. Arthroscopy 1990, 6, 190–197. [Google Scholar] [CrossRef] [PubMed]
- Chambers, H.G.; Shea, K.G.; Anderson, A.F.; Jojo Brunelle, T.J.; Carey, J.L.; Ganley, T.J.; Paterno, M.; Weiss, J.M.; Sanders, J.O.; Watters, W.C., 3rd; et al. American Academy of Orthopaedic Surgeons clinical practice guideline on: The diagnosis and treatment of osteochondritis dissecans. J. Bone Jt. Surg. Am. 2012, 94, 1322–1324. [Google Scholar] [CrossRef]
- De Smet, A.A.; Ilahi, O.A.; Graf, B.K. Untreated osteochondritis dissecans of the femoral condyles: Prediction of patient outcome using radiographic and MR findings. Skelet. Radiol. 1997, 26, 463–467. [Google Scholar] [CrossRef]
- Nissen, C.W.; Albright, J.C.; Anderson, C.N.; Busch, M.T.; Carlson, C.; Carsen, S.; Chambers, H.G.; Edmonds, E.W.; Ellermann, J.M.; Ellis, H.B., Jr.; et al. Descriptive Epidemiology From the Research in Osteochondritis Dissecans of the Knee (ROCK) Prospective Cohort. Am. J. Sports Med. 2022, 50, 118–127. [Google Scholar] [CrossRef]
- Kessler, J.I.; Weiss, J.M.; Nikizad, H.; Gyurdzhyan, S.; Jacobs, J.C., Jr.; Bebchuk, J.D.; Shea, K.G. Osteochondritis dissecans of the ankle in children and adolescents: Demographics and epidemiology. Am. J. Sports Med. 2014, 42, 2165–2171. [Google Scholar] [CrossRef]
- Kocher, M.S.; Tucker, R.; Ganley, T.J.; Flynn, J.M. Management of osteochondritis dissecans of the knee: Current concepts review. Am. J. Sports Med. 2006, 34, 1181–1191. [Google Scholar] [CrossRef]
- Kessler, J.I.; Nikizad, H.; Shea, K.G.; Jacobs, J.C., Jr.; Bebchuk, J.D.; Weiss, J.M. The demographics and epidemiology of osteochondritis dissecans of the knee in children and adolescents. Am. J. Sports Med. 2014, 42, 320–326. [Google Scholar] [CrossRef] [PubMed]
- Uvodich, M.E.; Braig, Z.V.; Reinholz, A.K.; Till, S.E.; O‘Driscoll, S.W.; Morrey, M.E.; Sanchez-Sotelo, J.; Camp, C.L. Incidence and Epidemiology of Symptomatic Capitellar Osteochondritis Dissecans of the Elbow: A United States Population-Based Study Over a 25-Year Period. Orthop. J. Sports Med. 2022, 10, 23259671221135933. [Google Scholar] [CrossRef] [PubMed]
- Edmonds, E.W.; Heyworth, B.E. Osteochondritis dissecans of the shoulder and hip. Clin. Sports Med. 2014, 33, 285–294. [Google Scholar] [CrossRef] [PubMed]
- Yellin, J.L.; Tysklind, R.G.; Hussain, Z.B.; Zheng, E.T.; Heyworth, B.E.; Kocher, M.S. Bilateral osteochondritis dissecans of the knee in pediatric and adolescent patients presenting with unilateral symptoms: An epidemiological and radiographic analysis. J. Child. Orthop. 2023, 17, 481–488. [Google Scholar] [CrossRef] [PubMed]
- Uozumi, H.; Sugita, T.; Aizawa, T.; Takahashi, A.; Ohnuma, M.; Itoi, E. Histologic findings and possible causes of osteochondritis dissecans of the knee. Am. J. Sports Med. 2009, 37, 2003–2008. [Google Scholar] [CrossRef] [PubMed]
- Shea, K.G.; Jacobs, J.C., Jr.; Carey, J.L.; Anderson, A.F.; Oxford, J.T. Osteochondritis dissecans knee histology studies have variable findings and theories of etiology. Clin. Orthop. Relat. Res. 2013, 471, 1127–1136. [Google Scholar] [CrossRef] [PubMed]
- Chau, M.M.; Klimstra, M.A.; Wise, K.L.; Ellermann, J.M.; Tóth, F.; Carlson, C.S.; Nelson, B.J.; Tompkins, M.A. Osteochondritis Dissecans: Current Understanding of Epidemiology, Etiology, Management, and Outcomes. J. Bone Jt. Surg. Am. 2021, 103, 1132–1151. [Google Scholar] [CrossRef]
- Kobayashi, K.; Burton, K.J.; Rodner, C.; Smith, B.; Caputo, A.E. Lateral compression injuries in the pediatric elbow: Panner’s disease and osteochondritis dissecans of the capitellum. J. Am. Acad. Orthop. Surg. 2004, 12, 246–254. [Google Scholar] [CrossRef]
- Wall, E.J.; Heyworth, B.E.; Shea, K.G.; Edmonds, E.W.; Wright, R.W.; Anderson, A.F.; Eismann, E.A.; Myer, G.D. Trochlear groove osteochondritis dissecans of the knee patellofemoral joint. J. Pediatr. Orthop. 2014, 34, 625–630. [Google Scholar] [CrossRef]
- Price, M.J.; Tuca, M.; Nguyen, J.; Silberman, J.; Luderowski, E.; Uppstrom, T.J.; Green, D.W. Juvenile Osteochondritis Dissecans of the Trochlea: A Cohort Study of 34 Trochlear Lesions Associated With Sporting Activities That Load the Patellofemoral Joint. J. Pediatr. Orthop. 2020, 40, 103–109. [Google Scholar] [CrossRef]
- Stanitski, C.L.; Bee, J. Juvenile osteochondritis dissecans of the lateral femoral condyle after lateral discoid meniscal surgery. Am. J. Sports Med. 2004, 32, 797–801. [Google Scholar] [CrossRef]
- Bruns, J.; Werner, M.; Habermann, C. Osteochondritis Dissecans: Etiology, Pathology, and Imaging with a Special Focus on the Knee Joint. Cartilage 2018, 9, 346–362. [Google Scholar] [CrossRef] [PubMed]
- Martel, G.; Kiss, S.; Gilbert, G.; Anne-Archard, N.; Richard, H.; Moser, T.; Laverty, S. Differences in the vascular tree of the femoral trochlear growth cartilage at osteochondrosis-susceptible sites in foals revealed by SWI 3T MRI. J. Orthop. Res. 2016, 34, 1539–1546. [Google Scholar] [CrossRef]
- Kessler, J.I.; Jacobs, J.C., Jr.; Cannamela, P.C.; Shea, K.G.; Weiss, J.M. Childhood Obesity is Associated With Osteochondritis Dissecans of the Knee, Ankle, and Elbow in Children and Adolescents. J. Pediatr. Orthop. 2018, 38, e296–e299. [Google Scholar] [CrossRef] [PubMed]
- Yellin, J.L.; Trocle, A.; Grant, S.F.; Hakonarson, H.; Shea, K.G.; Ganley, T.J. Candidate Loci are Revealed by an Initial Genome-wide Association Study of Juvenile Osteochondritis Dissecans. J. Pediatr. Orthop. 2017, 37, e32–e36. [Google Scholar] [CrossRef] [PubMed]
- Gornitzky, A.L.; Mistovich, R.J.; Atuahuene, B.; Storey, E.P.; Ganley, T.J. Osteochondritis Dissecans Lesions in Family Members: Does a Positive Family History Impact Phenotypic Potency? Clin. Orthop. Relat. Res. 2017, 475, 1573–1580. [Google Scholar] [CrossRef]
- Lefebvre, V.; Li, P.; de Crombrugghe, B. A new long form of Sox5 (L-Sox5), Sox6 and Sox9 are coexpressed in chondrogenesis and cooperatively activate the type II collagen gene. Embo J. 1998, 17, 5718–5733. [Google Scholar] [CrossRef] [PubMed]
- Zanon, G.; DI Vico, G.; Marullo, M. Osteochondritis dissecans of the talus. Joints 2014, 2, 115–123. [Google Scholar] [CrossRef]
- Kemmeren, L.A.M.; van Bergen, C.J.A.; Reijman, M.; Piscaer, T.M. Physician preferences in diagnostics and treatment of juvenile osteochondritis dissecans are diverse across the knee, ankle and elbow: An ESSKA survey. Knee Surg. Sports Traumatol. Arthrosc. 2023, 31, 5228–5237. [Google Scholar] [CrossRef]
- Flynn, J.M.; Kocher, M.S.; Ganley, T.J. Osteochondritis dissecans of the knee. J. Pediatr. Orthop. 2004, 24, 434–443. [Google Scholar] [CrossRef]
- Robertson, W.; Kelly, B.T.; Green, D.W. Osteochondritis dissecans of the knee in children. Curr. Opin. Pediatr. 2003, 15, 38–44. [Google Scholar] [CrossRef]
- Takahara, M.; Shundo, M.; Kondo, M.; Suzuki, K.; Nambu, T.; Ogino, T. Early detection of osteochondritis dissecans of the capitellum in young baseball players. Report of three cases. J. Bone Jt. Surg. Am. 1998, 80, 892–897. [Google Scholar] [CrossRef]
- Eygendaal, D.; Bain, G.; Pederzini, L.; Poehling, G. Osteochondritis dissecans of the elbow: State of the art. J. ISAKOS 2017, 2, 47–57. [Google Scholar] [CrossRef]
- Bruns, J.; Habermann, C.; Werner, M. Osteochondral Lesions of the Talus: A Review on Talus Osteochondral Injuries, Including Osteochondritis Dissecans. Cartilage 2021, 13, 1380s–1401s. [Google Scholar] [CrossRef]
- Conrad, J.M.; Stanitski, C.L. Osteochondritis dissecans: Wilson’s sign revisited. Am. J. Sports Med. 2003, 31, 777–778. [Google Scholar] [CrossRef]
- Wilson, J.N. A diagnostic sign in osteochondritis DISSECANS OF THE KNEE. J. Bone Jt. Surg. Am. 1967, 49, 477–480. [Google Scholar] [CrossRef]
- Baker, C.L., 3rd; Romeo, A.A.; Baker, C.L., Jr. Osteochondritis dissecans of the capitellum. Am. J. Sports Med. 2010, 38, 1917–1928. [Google Scholar] [CrossRef] [PubMed]
- Mubarak, S.J.; Carroll, N.C. Juvenile osteochondritis dissecans of the knee: Etiology. Clin. Orthop. Relat. Res. 1981, 157, 200–211. [Google Scholar] [CrossRef]
- Cooper, T.; Boyles, A.; Samora, W.P.; Klingele, K.E. Prevalence of Bilateral JOCD of the Knee and Associated Risk Factors. J. Pediatr. Orthop. 2015, 35, 507–510. [Google Scholar] [CrossRef]
- Accadbled, F.; Turati, M.; Kocher, M.S. Osteochondritis dissecans of the knee: Imaging, instability concept, and criteria. J. Child. Orthop. 2023, 17, 47–53. [Google Scholar] [CrossRef]
- Kijowski, R.; De Smet, A.A. Radiography of the elbow for evaluation of patients with osteochondritis dissecans of the capitellum. Skelet. Radiol. 2005, 34, 266–271. [Google Scholar] [CrossRef] [PubMed]
- Takahara, M.; Mura, N.; Sasaki, J.; Harada, M.; Ogino, T. Classification, treatment, and outcome of osteochondritis dissecans of the humeral capitellum. JBJS 2007, 89, 1205–1214. [Google Scholar] [CrossRef]
- Konarski, W.; Poboży, T.; Konarska, K.; Śliwczyński, A.; Kotela, I.; Krakowiak, J. A Comparative Analysis of Osteochondritis Dissecans and Avascular Necrosis: A Comprehensive Review. J. Clin. Med. 2024, 13, 287. [Google Scholar] [CrossRef]
- De Smet, A.A.; Fisher, D.; Burnstein, M.; Graf, B.; Lange, R. Value of MR imaging in staging osteochondral lesions of the talus (osteochondritis dissecans): Results in 14 patients. AJR Am. J. Roentgenol. 1990, 154, 555–558. [Google Scholar] [CrossRef] [PubMed]
- Moktassi, A.; Popkin, C.A.; White, L.M.; Murnaghan, M.L. Imaging of osteochondritis dissecans. Orthop. Clin. N. Am. 2012, 43, 201–211, v–vi. [Google Scholar] [CrossRef]
- Cahill, B.R.; Phillips, M.R.; Navarro, R. The results of conservative management of juvenile osteochondritis dissecans using joint scintigraphy. A prospective study. Am. J. Sports Med. 1989, 17, 601–605; discussion 605–606. [Google Scholar] [CrossRef]
- Paletta, G.A., Jr.; Bednarz, P.A.; Stanitski, C.L.; Sandman, G.A.; Stanitski, D.F.; Kottamasu, S. The prognostic value of quantitative bone scan in knee osteochondritis dissecans. A preliminary experience. Am. J. Sports Med. 1998, 26, 7–14. [Google Scholar] [CrossRef] [PubMed]
- Harada, M.; Takahara, M.; Sasaki, J.; Mura, N.; Ito, T.; Ogino, T. Using sonography for the early detection of elbow injuries among young baseball players. Am. J. Roentgenol. 2006, 187, 1436–1441. [Google Scholar] [CrossRef]
- Takenaga, T.; Goto, H.; Nozaki, M.; Yoshida, M.; Nishiyama, T.; Otsuka, T. Ultrasound imaging of the humeral capitellum: A cadaveric study. J. Orthop. Sci. 2014, 19, 907–912. [Google Scholar] [CrossRef]
- Dipaola, J.D.; Nelson, D.W.; Colville, M.R. Characterizing osteochondral lesions by magnetic resonance imaging. Arthrosc. J. Arthrosc. Relat. Surg. 1991, 7, 101–104. [Google Scholar] [CrossRef]
- Lefort, G.; Moyen, B.; Beaufils, P.; de Billy, B.; Breda, R.; Cadilhac, C.; Clavert, J.M.; Djian, P.; Fenoll, B.; Giacomelli, M.C.; et al. Osteochondritis dissecans of the femoral condyles: Report of 892 cases. Rev. Chir. Orthop. Reparatrice Appar. Mot. 2006, 92, 2S97–2S141. [Google Scholar] [PubMed]
- Minami, M.; Nakashita, K.; Ishii, S.; Usui, M.; Muramatsu, I.; Ogino, T.; Fukuda, K.; Sugawara, M. Twenty-five cases of osteochondritis dissecans of the elbow. Rinsho Seikei Geka 1979, 14, 805–810. [Google Scholar]
- Berndt, A.L.; Harty, M. Transchondral fractures (osteochondritis dissecans) of the talus. JBJS 1959, 41, 988–1020. [Google Scholar] [CrossRef]
- Hepple, S.; Winson, I.G.; Glew, D. Osteochondral lesions of the talus: A revised classification. Foot Ankle Int. 1999, 20, 789–793. [Google Scholar] [CrossRef] [PubMed]
- Mihara, K.; Tsutsui, H.; Nishinaka, N.; Yamaguchi, K. Nonoperative treatment for osteochondritis dissecans of the capitellum. Am. J. Sports Med. 2009, 37, 298–304. [Google Scholar] [CrossRef] [PubMed]
- Thiele, S.; Thiele, R.; Gerdesmeyer, L. Adult osteochondritis dissecans and focussed ESWT: A successful treatment option. Int. J. Surg. 2015, 24, 191–194. [Google Scholar] [CrossRef] [PubMed]
- Andriolo, L.; Candrian, C.; Papio, T.; Cavicchioli, A.; Perdisa, F.; Filardo, G. Osteochondritis Dissecans of the Knee—Conservative Treatment Strategies: A Systematic Review. Cartilage 2019, 10, 267–277. [Google Scholar] [CrossRef] [PubMed]
- Badekas, T.; Takvorian, M.; Souras, N. Treatment principles for osteochondral lesions in foot and ankle. Int. Orthop. 2013, 37, 1697–1706. [Google Scholar] [CrossRef] [PubMed]
- Bauer, K.L.; Polousky, J.D. Management of Osteochondritis Dissecans Lesions of the Knee, Elbow and Ankle. Clin. Sports Med. 2017, 36, 469–487. [Google Scholar] [CrossRef]
- Heyworth, B.E.; Edmonds, E.W.; Murnaghan, M.L.; Kocher, M.S. Drilling techniques for osteochondritis dissecans. Clin. Sports Med. 2014, 33, 305–312. [Google Scholar] [CrossRef]
- Adachi, N.; Deie, M.; Nakamae, A.; Ishikawa, M.; Motoyama, M.; Ochi, M. Functional and radiographic outcome of stable juvenile osteochondritis dissecans of the knee treated with retroarticular drilling without bone grafting. Arthroscopy 2009, 25, 145–152. [Google Scholar] [CrossRef] [PubMed]
- Lee, C.K.; Mercurio, C. Operative treatment of osteochondritis dissecans in situ by retrograde drilling and cancellous bone graft: A preliminary report. Clin. Orthop. Relat. Res. 1981, 158, 129–136. [Google Scholar] [CrossRef]
- Louisia, S.; Beaufils, P.; Katabi, M.; Robert, H. Transchondral drilling for osteochondritis dissecans of the medial condyle of the knee. Knee Surg. Sports Traumatol. Arthrosc. 2003, 11, 33–39. [Google Scholar] [CrossRef] [PubMed]
- Anderson, A.F.; Richards, D.B.; Pagnani, M.J.; Hovis, W.D. Antegrade drilling for osteochondritis dissecans of the knee. Arthroscopy 1997, 13, 319–324. [Google Scholar] [CrossRef] [PubMed]
- Donaldson, L.D.; Wojtys, E.M. Extraarticular drilling for stable osteochondritis dissecans in the skeletally immature knee. J. Pediatr. Orthop. 2008, 28, 831–835. [Google Scholar] [CrossRef] [PubMed]
- Gunton, M.J.; Carey, J.L.; Shaw, C.R.; Murnaghan, M.L. Drilling juvenile osteochondritis dissecans: Retro- or transarticular? Clin. Orthop. Relat. Res. 2013, 471, 1144–1151. [Google Scholar] [CrossRef]
- Bradley, J.; Dandy, D.J. Results of drilling osteochondritis dissecans before skeletal maturity. J. Bone Jt. Surg. Br. 1989, 71, 642–644. [Google Scholar] [CrossRef]
- Unal, P.; Samargandi, R.; Olejnik, R.; Lakhal, W.; Odent, T. Efficacy of the pridie drilling technique in knee osteochondritis dissecans among children and young adults: Follow-up of 41 cases. Eur. J. Orthop. Surg. Traumatol. 2023, 34, 1065–1071. [Google Scholar] [CrossRef]
- Heyworth, B.E.; Ganley, T.J.; Liotta, E.S.; Hergott, K.A.; Miller, P.E.; Wall, E.J.; Myer, G.D.; Nissen, C.W.; Edmonds, E.W.; Lyon, R.M.; et al. Transarticular Versus Retroarticular Drilling of Stable Osteochondritis Dissecans of the Knee: A Prospective Multicenter Randomized Controlled Trial by the ROCK Group. Am. J. Sports Med. 2023, 51, 1392–1402. [Google Scholar] [CrossRef]
- Baghdadi, S.; Isaacs, D.; Chan, C.T.; Wells, L.; Ganley, T.J.; Lawrence, J.T.R. Arthroscopic Drilling for Stable Juvenile Osteochondritis Dissecans of the Knee Is Safe and Patients Reliably Return to Daily Activities by 3 Months. Arthrosc. Sports Med. Rehabil. 2022, 4, e645–e651. [Google Scholar] [CrossRef]
- Husen, M.; Van der Weiden, G.S.; Custers, R.J.H.; Poudel, K.; Stuart, M.J.; Krych, A.J.; Saris, D.B.F. Internal Fixation of Unstable Osteochondritis Dissecans of the Knee: Long-term Outcomes in Skeletally Immature and Mature Patients. Am. J. Sports Med. 2023, 51, 1403–1413. [Google Scholar] [CrossRef] [PubMed]
- Gudas, R.; Kalesinskas, R.J.; Kimtys, V.; Stankevicius, E.; Toliusis, V.; Bernotavicius, G.; Smailys, A. A prospective randomized clinical study of mosaic osteochondral autologous transplantation versus microfracture for the treatment of osteochondral defects in the knee joint in young athletes. Arthroscopy 2005, 21, 1066–1075. [Google Scholar] [CrossRef] [PubMed]
- Ogura, T.; Sakai, H.; Asai, S.; Fukuda, H.; Takahashi, T.; Kanisawa, I.; Yamaura, I.; Tsuchiya, A.; Forney, M.; Winalski, C.S.; et al. Clinical and Radiographic Outcomes After Fixation of Chondral Fragments of the Knee in 6 Adolescents Using Autologous Bone Pegs. Orthop. J. Sports Med. 2020, 8, 2325967120963050. [Google Scholar] [CrossRef] [PubMed]
- Komnos, G.; Iosifidis, M.; Papageorgiou, F.; Melas, I.; Metaxiotis, D.; Hantes, M. Juvenile Osteochondritis Dissecans of the Knee Joint: Midterm Clinical and MRI Outcomes of Arthroscopic Retrograde Drilling and Internal Fixation with Bioabsorbable Pins. Cartilage 2021, 13, 1228s–1236s. [Google Scholar] [CrossRef] [PubMed]
- Baldassarri, M.; Buda, R.; Perazzo, L.; Ghinelli, D.; Sarino, R.; Grigolo, B.; Faldini, C. Osteocondritis dissecans lesions of the knee restored by bone marrow aspirate concentrate. Clinical and imaging results in 18 patients. Eur. J. Orthop. Surg. Traumatol. 2023, 33, 857–867. [Google Scholar] [CrossRef] [PubMed]
- Peterson, L.; Minas, T.; Brittberg, M.; Lindahl, A. Treatment of osteochondritis dissecans of the knee with autologous chondrocyte transplantation: Results at two to ten years. J. Bone Jt. Surg. Am. 2003, 85-A (Suppl. S2), 17–24. [Google Scholar] [CrossRef] [PubMed]
- Gudas, R.; Simonaityte, R.; Cekanauskas, E.; Tamosiūnas, R. A prospective, randomized clinical study of osteochondral autologous transplantation versus microfracture for the treatment of osteochondritis dissecans in the knee joint in children. J. Pediatr. Orthop. 2009, 29, 741–748. [Google Scholar] [CrossRef]
- Smith, M.V.; Bedi, A.; Chen, N.C. Surgical treatment for osteochondritis dissecans of the capitellum. Sports Health 2012, 4, 425–432. [Google Scholar] [CrossRef]
- Braig, Z.V.; Uvodich, M.E.; Till, S.E.; Reinholz, A.K.; Morrey, M.E.; Sanchez-Sotelo, J.; O‘Driscoll, S.W.; Camp, C.L. Osteochondritis Dissecans of the Capitellum of the Elbow: Improved Outcomes in Surgically Treated Versus Nonoperatively Treated Patients at Long-Term Follow-up. Arthrosc. Sports Med. Rehabil. 2023, 5, e435–e444. [Google Scholar] [CrossRef]
- Nobuta, S.; Ogawa, K.; Sato, K.; Nakagawa, T.; Hatori, M.; Itoi, E. Clinical outcome of fragment fixation for osteochondritis dissecans of the elbow. Upsala J. Med. Sci. 2008, 113, 201–208. [Google Scholar] [CrossRef]
- Kuwahata, Y.; Inoue, G. Osteochondritis dissecans of the elbow managed by Herbert screw fixation. Orthopedics 1998, 21, 449–451. [Google Scholar] [CrossRef] [PubMed]
- Takeda, H.; Watarai, K.; Matsushita, T.; Saito, T.; Terashima, Y. A surgical treatment for unstable osteochondritis dissecans lesions of the humeral capitellum in adolescent baseball players. Am. J. Sports Med. 2002, 30, 713–717. [Google Scholar] [CrossRef] [PubMed]
- Brownlow, H.C.; O’Connor-Read, L.M.; Perko, M. Arthroscopic treatment of osteochondritis dissecans of the capitellum. Knee Surg. Sports Traumatol. Arthrosc. 2006, 14, 198–202. [Google Scholar] [CrossRef] [PubMed]
- Miyake, J.; Masatomi, T. Arthroscopic debridement of the humeral capitellum for osteochondritis dissecans: Radiographic and clinical outcomes. J. Hand Surg. 2011, 36, 1333–1338. [Google Scholar] [CrossRef] [PubMed]
- Ruch, D.S. The arthroscopic management of osteochondritis dissecans of the adolescent elbow. Arthrosc. J. Arthrosc. Relat. Surg. 1998, 14, 797–803. [Google Scholar] [CrossRef] [PubMed]
- Iwasaki, N.; Kato, H.; Ishikawa, J.; Masuko, T.; Funakoshi, T.; Minami, A. Autologous osteochondral mosaicplasty for osteochondritis dissecans of the elbow in teenage athletes. J. Bone Jt. Surg. Am. 2009, 91, 2359–2366. [Google Scholar] [CrossRef] [PubMed]
- Guerra, E.; Fabbri, D.; Cavallo, M.; Marinelli, A.; Rotini, R. Treatment of Capitellar Osteochondritis Dissecans With a Novel Regenerative Technique: Case Report of 3 Patients After 4 Years. Orthop. J. Sports Med. 2018, 6, 2325967118795831. [Google Scholar] [CrossRef] [PubMed]
- Farr, S.; Pallamar, M.; Eder, T.; Ganger, R. Treatment of advanced stage osteochondrosis dissecans in the adolescent elbow using a hyaloronic acid-based scaffold: A case series of 5 patients. Arch. Orthop. Trauma. Surg. 2021, 141, 1541–1549. [Google Scholar] [CrossRef] [PubMed]
- Bauer, M.; Jonsson, K.; Lindén, B. Osteochondritis dissecans of the ankle. A 20-year follow-up study. J. Bone Jt. Surg. Br. 1987, 69, 93–96. [Google Scholar] [CrossRef]
- Lam, K.Y.; Siow, H.M. Conservative treatment for juvenile osteochondritis dissecans of the talus. J. Orthop. Surg. 2012, 20, 176–180. [Google Scholar] [CrossRef]
- Choi, S.W.; Lee, G.W.; Lee, K.B. Arthroscopic Microfracture for Osteochondral Lesions of the Talus: Functional Outcomes at a Mean of 6.7 Years in 165 Consecutive Ankles. Am. J. Sports Med. 2020, 48, 153–158. [Google Scholar] [CrossRef] [PubMed]
- Kumai, T.; Takakura, Y.; Higashiyama, I.; Tamai, S. Arthroscopic drilling for the treatment of osteochondral lesions of the talus. JBJS 1999, 81, 1229–1235. [Google Scholar] [CrossRef] [PubMed]
- Kono, M.; Takao, M.; Naito, K.; Uchio, Y.; Ochi, M. Retrograde drilling for osteochondral lesions of the talar dome. Am. J. Sports Med. 2006, 34, 1450–1456. [Google Scholar] [CrossRef] [PubMed]
- Erickson, B.; Fillingham, Y.; Hellman, M.; Parekh, S.G.; Gross, C.E. Surgical management of large talar osteochondral defects using autologous chondrocyte implantation. Foot Ankle Surg. 2018, 24, 131–136. [Google Scholar] [CrossRef] [PubMed]
- Wood, D.; Davis, D.D.; Carter, K.R. Osteochondritis Dissecans. In StatPearls; StatPearls Publishing: Treasure Island, FL, USA, 2024. [Google Scholar]
- Yamagami, N.; Yamamoto, S.; Aoki, A.; Ito, S.; Uchio, Y. Outcomes of surgical treatment for osteochondritis dissecans of the elbow: Evaluation by lesion location. J. Shoulder Elb. Surg. 2018, 27, 2262–2270. [Google Scholar] [CrossRef]
- Poboży, T.; Konarski, W.; Piotrowska-Lis, K.; Domańska, J.; Poboży, K.; Kielar, M. Basic Differences and Most Common Findings in Ultrasound Examinations of Musculoskeletal System in Children: A Narrative Literature Review. Healthcare 2022, 10, 2010. [Google Scholar] [CrossRef]


| Pediatric Population | Adult Population |
|---|---|
| Patellofemoral syndrome Patellar tendonitis Osgood–Schlatter disease Sinding-Larsen–Johannson syndrome Fat pad impingement Symptomatic discoid meniscus Symptomatic synovial plica | Patellofemoral pain Knee osteoarthritis Chondromalacia Avascular necrosis Patellar tendonitis Meniscal tear Fat pad impingement Symptomatic synovial plica |
| Stage/Type | Radiography | MRI |
|---|---|---|
| Knee OCD [17,50,51] | ||
| I | No changes | Thickening of the articular cartilage and low signal changes observed, yet no fractures identified |
| II | Sclerosis | The articular cartilage is compromised, accompanied by a low-signal rim behind the fragment, indicative of a fibrous attachment |
| III | Partial loosening | The articular cartilage is compromised, accompanied by a high-signal rim behind the fragment, which suggests the presence of synovial fluid between the fragment and the underlying subchondral bone |
| IV | Full detachment or loose body | Loose body |
| Elbow OCD [17,50,52] | ||
| I | A clear, cyst-like shadow observed on either the lateral or central part of the capitellum | Similar to knee OCD |
| II | A distinct separation or fissure is visible between the lesion and the adjacent subchondral bone | |
| III | Loose bodies | |
| IV | - | |
| Talus OCD [17,53,54] | ||
| I | Similar to knee OCD | Damage confined solely to the articular cartilage |
| II | IIA—Injury to the cartilage accompanied by an underlying fracture and associated bone edema IIB—Stage IIA lesion without any associated bone edema | |
| III | Detached nondisplaced fragment | |
| IV | A fragment that is both detached and displaced | |
| V | - | Creation of subchondral cyst |
Disclaimer/Publisher’s Note: The statements, opinions and data contained in all publications are solely those of the individual author(s) and contributor(s) and not of MDPI and/or the editor(s). MDPI and/or the editor(s) disclaim responsibility for any injury to people or property resulting from any ideas, methods, instructions or products referred to in the content. |
© 2024 by the authors. Licensee MDPI, Basel, Switzerland. This article is an open access article distributed under the terms and conditions of the Creative Commons Attribution (CC BY) license (https://creativecommons.org/licenses/by/4.0/).
Share and Cite
Konarski, W.; Poboży, T.; Konarska, K.; Derczyński, M.; Kotela, I. Understanding Osteochondritis Dissecans: A Narrative Review of the Disease Commonly Affecting Children and Adolescents. Children 2024, 11, 498. https://doi.org/10.3390/children11040498
Konarski W, Poboży T, Konarska K, Derczyński M, Kotela I. Understanding Osteochondritis Dissecans: A Narrative Review of the Disease Commonly Affecting Children and Adolescents. Children. 2024; 11(4):498. https://doi.org/10.3390/children11040498
Chicago/Turabian StyleKonarski, Wojciech, Tomasz Poboży, Klaudia Konarska, Michał Derczyński, and Ireneusz Kotela. 2024. "Understanding Osteochondritis Dissecans: A Narrative Review of the Disease Commonly Affecting Children and Adolescents" Children 11, no. 4: 498. https://doi.org/10.3390/children11040498
APA StyleKonarski, W., Poboży, T., Konarska, K., Derczyński, M., & Kotela, I. (2024). Understanding Osteochondritis Dissecans: A Narrative Review of the Disease Commonly Affecting Children and Adolescents. Children, 11(4), 498. https://doi.org/10.3390/children11040498

