Clinical Examination Findings Can Accurately Diagnose Developmental Dysplasia of The Hip—A Large, Single-Center Cohort
Abstract
:1. Introduction
2. Materials and Methods
2.1. Patient Selection
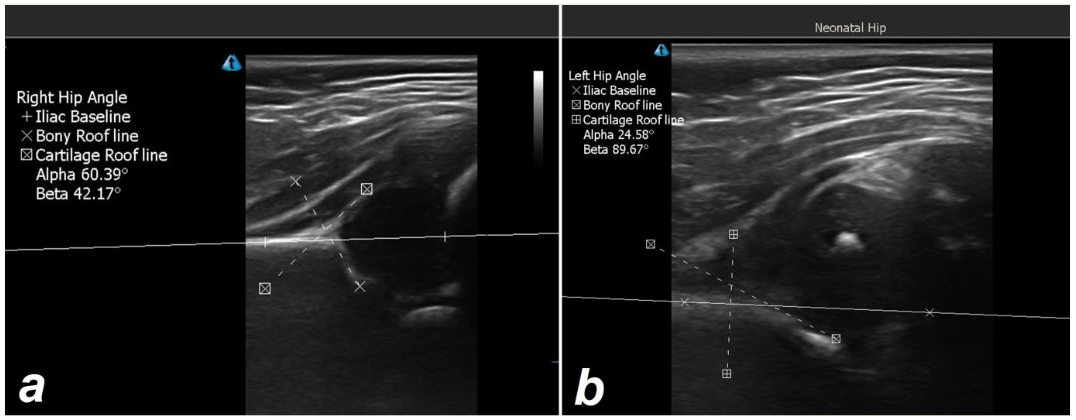
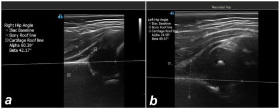
2.2. Data Gathering
2.3. Statistical Analysis
3. Results
4. Discussion
5. Conclusions
Author Contributions
Funding
Institutional Review Board Statement
Informed Consent Statement
Conflicts of Interest
References
- Young, J.R.; Anderson, M.J.; O’Connor, C.M.; Kazley, J.M.; Mantica, A.L.; Dutt, V. Team Approach: Developmental Dysplasia of the Hip. JBJS Rev. 2020, 8, e20. [Google Scholar] [CrossRef] [PubMed]
- Vaquero-Picado, A.; González-Morán, G.; Garay, E.G.; Moraleda, L. Developmental dysplasia of the hip: Update of management. EFORT Open Rev. 2019, 4, 548–556. [Google Scholar] [CrossRef] [PubMed]
- Canavese, F.; Castañeda, P.; Hui, J.; Li, L.; Li, Y.; Roposch, A. Developmental dysplasia of the hip: Promoting global exchanges to enable understanding the disease and improve patient care. Orthop. Traumatol. Surg. Res. 2020, 106, 1243–1244. [Google Scholar] [CrossRef] [PubMed]
- Ömeroğlu, H.; Akceylan, A.; Köse, N. Associations between risk factors and developmental dysplasia of the hip and ultrasonographic hip type: A retrospective case control study. J. Child. Orthop. 2019, 13, 161–166. [Google Scholar] [CrossRef] [PubMed]
- Agarwal, A.; Gupta, N. Risk factors and diagnosis of developmental dysplasia of hip in children. J. Clin. Orthop. Trauma 2012, 3, 10–14. [Google Scholar] [CrossRef]
- Terjesen, T.; Horn, J. Prognostic value of severity of dislocation in late-detected developmental dysplasia of the hip. J. Child. Orthop. 2020, 14, 266–272. [Google Scholar] [CrossRef]
- Merchant, R.M.; Tolk, J.J.; Ayub, A.A.; Eastwood, D.M.; Hashemi-Nejad, A. The Importance of Monitoring and Factors That May Influence Leg Length Difference in Developmental Dysplasia of the Hip. Children 2022, 9, 1945. [Google Scholar] [CrossRef]
- Harsanyi, S.; Zamborsky, R.; Kokavec, M.; Danisovic, L. Genetics of developmental dysplasia of the hip. Eur. J. Med. Genet. 2020, 63, 103990. [Google Scholar] [CrossRef]
- Andersson, J.E.; Vogel, I.; Uldbjerg, N. Serum 17 beta-estradiol in newborn and neonatal hip instability. J. Pediatr. Orthop. 2002, 22, 88–91. [Google Scholar] [CrossRef]
- Vaquero-Picado, A.; Moraleda, L.; Forriol Campos, F. Validation of an experimental model of developmental dysplasia of the hip. In Proceedings of the 35th EPOS Annual Meeting, Rome, Italy, 6–9 April 2016; pp. 9–80. [Google Scholar]
- Vasilcova, V.; AlHarthi, M.; AlAmri, N.; Sagat, P.; Bartik, P.; Jawadi, A.H.; Zvonar, M. Developmental Dysplasia of the Hip: Prevalence and Correlation with Other Diagnoses in Physiotherapy Practice-A 5-Year Retrospective Review. Children 2022, 9, 247. [Google Scholar] [CrossRef]
- Pavone, V.; de Cristo, C.; Vescio, A.; Lucenti, L.; Sapienza, M.; Sessa, G.; Pavone, P.; Testa, G. Dynamic and Static Splinting for Treatment of Developmental Dysplasia of the Hip: A Systematic Review. Children 2021, 8, 104. [Google Scholar] [CrossRef] [PubMed]
- Stein-Zamir, C.; Volovik, I.; Rishpon, S.; Sabi, R. Developmental dysplasia of the hip: Risk markers, clinical screening and outcome. Pediatr. Int. 2008, 50, 341–345. [Google Scholar] [CrossRef]
- Lim, C.; Cho, T.-J.; Shin, C.H.; Choi, I.H.; Yoo, W.J. Functional outcomes of hip arthroscopy for pediatric and adolescent hip disorders. Clin. Orthop. Surg. 2020, 12, 94–99. [Google Scholar] [CrossRef]
- Sevencan, A.; Ucpunar, H.; Ozyalvac, O.N.; Akpinar, E.; Bayhan, A.I.; Yildirim, T. Multivariate analysis of the predictive value of asymmetric skin creases in diagnosis of decentralized developmental dysplasia of the hip. J. Pediatr. Orthop. B 2022, 31, 517–523. [Google Scholar] [CrossRef] [PubMed]
- Groarke, P.J.; McLoughlin, L.; Whitla, L.; Lennon, P.; Curtin, W.; Kelly, P.M. Retrospective multicenter analysis of the accuracy of clinical examination by community physicians in diagnosing developmental dysplasia of the hip. J. Pediatr. 2017, 181, 163–166. [Google Scholar] [CrossRef] [PubMed]
- Ömeroglu, H.; Tatlici, E.; Köse, N. Significance of asymmetry of groin and thigh skin creases in developmental dysplasia of the hip revisited: Results of a comparative study. J. Pediatr. Orthop. 2020, 40, e761–e765. [Google Scholar] [CrossRef]
- Kyung, B.S.; Lee, S.H.; Jeong, W.K.; Park, S.Y. Disparity between clinical and ultrasound examinations in neonatal hip screening. Clin. Orthop. Surg. 2016, 8, 203–209. [Google Scholar] [CrossRef]
- Cunningham, K.; Beningfield, S.; Moulton, A.; Maddock, C. A clicking hip in a newborn baby should never be ignored. Lancet 1984, 323, 668–670. [Google Scholar] [CrossRef]
- Li, Y.; Canavese, F.; Liu, Y.; Wu, J.; Li, J.; Yuan, Z.; Zhou, Q.; Liu, Y.; Chen, W.; Xu, H. Does a Graf Type-I Hip Justify the Discontinuation of Pavlik Harness Treatment in Patients with Developmental Dislocation of the Hip? Children 2022, 9, 752. [Google Scholar] [CrossRef] [PubMed]
- De Pellegrin, M.; Damia, C.M.; Marcucci, L.; Moharamzadeh, D. Double Diapering Ineffectiveness in Avoiding Adduction and Extension in Newborns Hips. Children 2021, 8, 179. [Google Scholar] [CrossRef]
- Graf, R. Hip sonography: 20 years experience and results. Hip Int. 2007, 17, 8–14. [Google Scholar] [CrossRef]
- Õmeroğlu, H. Use of ultrasonography in developmental dysplasia of the hip. J. Child. Orthop. 2014, 8, 105–113. [Google Scholar] [CrossRef] [PubMed]
- Lussier, E.C.; Sun, Y.-T.; Chen, H.-W.; Chang, T.-Y.; Chang, C.-H. Ultrasound screening for developmental dysplasia of the hip after 4 weeks increases exam accuracy and decreases follow-up visits. Pediatr. Neonatol. 2019, 60, 270–277. [Google Scholar] [CrossRef] [PubMed]
- Graf, R. Hip sonography: Background; technique and common mistakes; results; debate and politics; challenges. Hip Int. 2017, 27, 215–219. [Google Scholar] [CrossRef]
- Liu, B.; Hu, X.; Li, L.; Gao, S. The Association of Asymmetric Skinfolds and the Diagnosis of Developmental Dysplasia of the Hip in Infants. Adv. Neonatal Care 2022, 22, 352–356. [Google Scholar] [CrossRef]
- Ando, M.; Gotoh, E. Significance of inguinal folds for diagnosis of congenital dislocation of the hip in infants aged three to four months. J. Pediatr. Orthop. 1990, 10, 331–334. [Google Scholar] [CrossRef]
- Louer, C.R.; Bomar, J.D.; Pring, M.E.; Mubarak, S.J.; Upasani, V.V.; Wenger, D.R. Should paediatricians initiate orthopaedic hip dysplasia referrals for infants with isolated asymmetric skin folds? J. Child. Orthop. 2019, 13, 593–599. [Google Scholar] [CrossRef]
- Şenaran, H.; Özdemir, H.M.; Ögün, T.C.; Kapicioglu, M.S. Value of limited hip abduction in developmental dysplasia of the hip. Pediatr. Int. 2004, 46, 456–458. [Google Scholar] [CrossRef]
- Treiber, M.; Korpar, B.; Sirše, M.; Merc, M. Early neonatal universal ultrasound screening for developmental dysplasia of the hip: A single institution observational study. Int. Orthop. 2021, 45, 991–995. [Google Scholar] [CrossRef]
- Husum, H.C.; Bach Hellfritzsch, M.; Maimburg, R.D.; Henriksen, M.; Lapitskaya, N.; Møller-Madsen, B.; Rahbek, O. Pubo-Femoral Distances Measured Reliably by Midwives in Hip Dysplasia Ultrasound. Children 2022, 9, 1345. [Google Scholar] [CrossRef]
- Para, A.; Batko, B.; Ippolito, J.; Hanna, G.; Edobor-Osula, F. Developmental Dysplasia of the Hip: How Does Social Media Influence Patients and Caregivers Seeking Information? Children 2021, 8, 869. [Google Scholar] [CrossRef] [PubMed]
- Taylor, I.K.; Burlile, J.F.; Schaeffer, E.K.; Geng, X.; Habib, E.; Mulpuri, K.; Shea, K.G. Developmental dysplasia of the hip: An examination of care practices of pediatric orthopaedic surgeons in North America. J. Pediatr. Orthop. 2020, 40, e248–e255. [Google Scholar] [CrossRef] [PubMed]
- Nie, K.; Rymaruk, S.; Paton, R. Clicky hip alone is not a true risk factor for developmental dysplasia of the hip. Bone Joint J. 2017, 99, 1533–1536. [Google Scholar] [CrossRef] [PubMed]
- Jari, S.; Paton, R.; Srinivasan, M. Unilateral limitation of abduction of the hip. A valuable clinical sign for DDH? J. Bone Joint Surg. Br. 2002, 84, 104–107. [Google Scholar] [CrossRef]
- Swarup, I.; Penny, C.L.; Dodwell, E.R. Developmental dysplasia of the hip: An update on diagnosis and management from birth to 6 months. Curr. Opin. Pediatr. 2018, 30, 84–92. [Google Scholar] [CrossRef]
- Atalar, H.; Günay, C.; Atik, O.Ş. Is treatment termination safe in developmental dysplasia of the hip following ultrasonographic normalization? Jt. Dis. Relat. Surg. 2021, 32, 521–522. [Google Scholar] [CrossRef]



| Group 1 (n = 117) | Group 2 (n = 851) | p * | |
|---|---|---|---|
| Barlow | 3 (2.5%) | - | <0.05 |
| Ortolani | 6 (5.1%) | - | <0.001 |
| Thigh ASCs | 43 (37.3%) | 129 (15.2%) | <0.001 |
| Groin ASCs | 31 (26.5%) | 64(7.6%) | <0.001 |
| LHA | 24 (20.6%) | 61 (7.2%) | <0.001 |
| Sensitivity | Specificity | PPV | NPV | |
|---|---|---|---|---|
| Barlow | 2.6% | 100% | 100% | 88.2% |
| Ortolani | 5.1% | 100% | 100% | 88.5% |
| Thigh ASC | 36.8% | 84.8% | 25% | 90.7% |
| Groin ASC | 26.5% | 92.5% | 32.6% | 90.2% |
| LHA | 20.5% | 92.8% | 28.2% | 89.5% |
| Sensitivity | Specificity | PPV | NPV | |
|---|---|---|---|---|
| Thigh ASCs + Groin ASCs | 63.3% | 77.3% | 27.7% | 93.9% |
| Thigh ASCs + LHA | 57.3% | 77.7% | 26.1% | 93% |
| Groin ASCs + LHA | 47% | 85.3% | 30.6% | 92.1% |
| Thigh ASCs + Groin ASCs + LHA | 83.8% | 70.2% | 27.8% | 96.9% |
Disclaimer/Publisher’s Note: The statements, opinions and data contained in all publications are solely those of the individual author(s) and contributor(s) and not of MDPI and/or the editor(s). MDPI and/or the editor(s) disclaim responsibility for any injury to people or property resulting from any ideas, methods, instructions or products referred to in the content. |
© 2023 by the authors. Licensee MDPI, Basel, Switzerland. This article is an open access article distributed under the terms and conditions of the Creative Commons Attribution (CC BY) license (https://creativecommons.org/licenses/by/4.0/).
Share and Cite
Subaşı, İ.Ö.; Veizi, E.; Çepni, Ş.; Alkan, H.; Oğuz, T.; Fırat, A. Clinical Examination Findings Can Accurately Diagnose Developmental Dysplasia of The Hip—A Large, Single-Center Cohort. Children 2023, 10, 304. https://doi.org/10.3390/children10020304
Subaşı İÖ, Veizi E, Çepni Ş, Alkan H, Oğuz T, Fırat A. Clinical Examination Findings Can Accurately Diagnose Developmental Dysplasia of The Hip—A Large, Single-Center Cohort. Children. 2023; 10(2):304. https://doi.org/10.3390/children10020304
Chicago/Turabian StyleSubaşı, İzzet Özay, Enejd Veizi, Şahin Çepni, Hilmi Alkan, Temel Oğuz, and Ahmet Fırat. 2023. "Clinical Examination Findings Can Accurately Diagnose Developmental Dysplasia of The Hip—A Large, Single-Center Cohort" Children 10, no. 2: 304. https://doi.org/10.3390/children10020304
APA StyleSubaşı, İ. Ö., Veizi, E., Çepni, Ş., Alkan, H., Oğuz, T., & Fırat, A. (2023). Clinical Examination Findings Can Accurately Diagnose Developmental Dysplasia of The Hip—A Large, Single-Center Cohort. Children, 10(2), 304. https://doi.org/10.3390/children10020304

