Localization and Laparoscopic Excision of Gastric Heterotopic Pancreas in a Child by Endoscopic SPOT® Tattooing
Abstract
1. Introduction
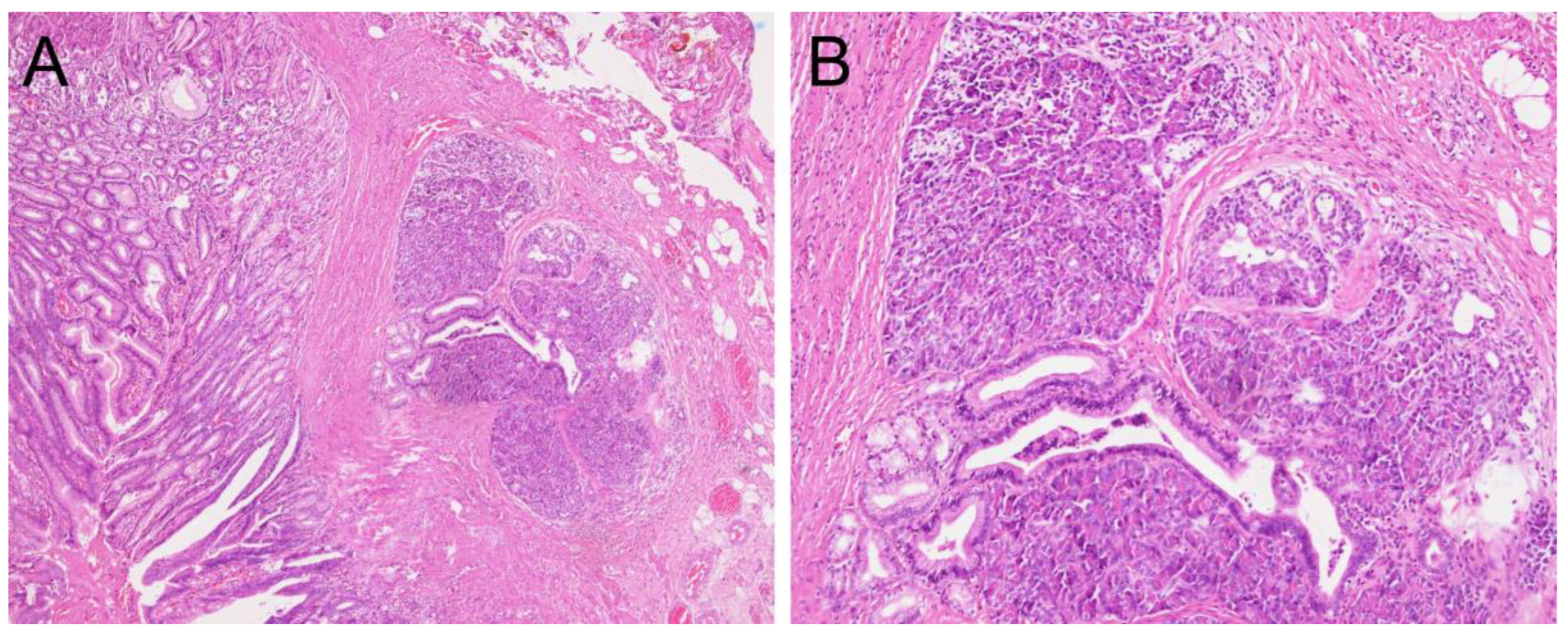
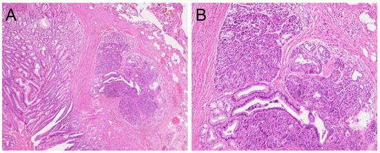
2. Case Presentation
3. Discussion
4. Conclusions
Author Contributions
Funding
Institutional Review Board Statement
Informed Consent Statement
Data Availability Statement
Conflicts of Interest
References
- Seddon, K.; Stringer, M.D. Gastric heterotopic pancreas in children: A prospective endoscopic study. J. Pediatr. Surg. 2020, 55, 2154–2158. [Google Scholar] [CrossRef]
- LeCompte, M.T.; Mason, B.; Robbins, K.J.; Yano, M.; Chatterjee, D.; Fields, R.C.; Strasberg, S.M.; Hawkins, W.G. Clinical classification of symptomatic heterotopic pancreas of the stomach and duodenum: A case series and systematic literature review. World J. Gastroenterol. 2022, 28, 1455–1478. [Google Scholar] [CrossRef] [PubMed]
- Farah, A.; Mansour, S.; Khuri, S. Gastrointestinal Tract Heterotopic Pancreas: Asymptomatic Pathology? Gastroenterol. Res. 2021, 14, 45–47. [Google Scholar] [CrossRef] [PubMed]
- Ohashi, S. Laparoscopic intraluminal (intragastric) surgery for early gastric cancer. A new concept in laparoscopic surgery. Surg. Endosc. 1995, 9, 169–171. [Google Scholar] [CrossRef]
- Christodoulidis, G.; Zacharoulis, D.; Barbanis, S.; Katsogridakis, E.; Hatzitheofilou, K. Heterotopic pancreas in the stomach: A case report and literature review. World J. Gastroenterol. 2007, 13, 6098–6100. [Google Scholar] [CrossRef] [PubMed]
- Dolan, R.V.; ReMine, W.H.; Dockerty, M.B. The fate of heterotopic pancreatic tissue. A study of 212 cases. Arch. Surg. 1974, 109, 762–765. [Google Scholar] [CrossRef]
- Wei, R.; Wang, Q.B.; Chen, Q.H.; Liu, J.S.; Zhang, B. Upper gastrointestinal tract heterotopic pancreas: Findings from CT and endoscopic imaging with histopathologic correlation. Clin. Imaging 2011, 35, 353–359. [Google Scholar] [CrossRef]
- Gokhale, U.A.; Nanda, A.; Pillai, R.; Al-Layla, D. Heterotopic pancreas in the stomach: A case report and a brief review of the literature. JOP 2010, 11, 255–257. [Google Scholar]
- De Castro Barbosa, J.J.; Dockerty, M.B.; Waugh, J.M. Pancreatic heterotopia; review of the literature and report of 41 authenticated surgical cases, of which 25 were clinically significant. Surg. Gynecol. Obstet. 1946, 82, 527–542. [Google Scholar]
- Ogata, H.; Oshio, T.; Ishibashi, H.; Takano, S.; Yagi, M. Heterotopic pancreas in children: Review of the literature and report of 12 cases. Pediatr. Surg. Int. 2008, 24, 271–275. [Google Scholar] [CrossRef]
- Rezvani, M.; Menias, C.; Sandrasegaran, K.; Olpin, J.D.; Elsayes, K.M.; Shaaban, A.M. Heterotopic Pancreas: Histopathologic Features, Imaging Findings, and Complications. Radiographics 2017, 37, 484–499. [Google Scholar] [CrossRef] [PubMed]
- Yang, C.W.; Che, F.; Liu, X.J.; Yin, Y.; Zhang, B.; Song, B. Insight into gastrointestinal heterotopic pancreas: Imaging evaluation and differential diagnosis. Insights Imaging 2021, 12, 144. [Google Scholar] [CrossRef] [PubMed]
- Straatman, J.; Meester, R.J.; Grieken, N.C.; Jacobs, M.J.; Graaf, P.D.; Kazemier, G.; Cuesta, M.A. Clinical picture: Multiple sites of ectopic pancreatic tissue. Springerplus 2015, 4, 293. [Google Scholar] [CrossRef]
- Makhlouf, H.R.; Almeida, J.L.; Sobin, L.H. Carcinoma in jejunal pancreatic heterotopia. Arch. Pathol. Lab. Med. 1999, 123, 707–711. [Google Scholar] [CrossRef] [PubMed]
- Visentin, M.; Vaysse, P.; Guitard, J.; Fedacou, F.; Juskiewenski, S. Pyloric obstruction with complicated pancreatic heterotopia. Eur. J. Pediatr. Surg. 1991, 1, 247–248. [Google Scholar] [CrossRef] [PubMed]
- Karakus, S.C.; Sarsu, S.B.; Celtık, C.; Gokce, S.; Koku, N. Rare causes of gastrointestinal hemorrhage in infancy. Pediatr. Int. 2015, 57, 304–307. [Google Scholar] [CrossRef] [PubMed]
- Henderson, L.; Nour, S.; Dagash, H. Heterotopic Pancreas: A Rare Cause of Gastrointestinal Bleeding in Children. Dig. Dis. Sci. 2018, 63, 1363–1365. [Google Scholar] [CrossRef]
- Uğur Kantar, F.; Akarsu, M.; Atılla, K.; Sağol, O.; Soytürk, M.; Akpinar, H. Ectopic pancreas presenting with intractable diarrhea: Case report. Turk. J. Gastroenterol. 2011, 22, 426–429. [Google Scholar] [CrossRef]
- Ormarsson, O.T.; Gudmundsdottir, I.; Mårvik, R. Diagnosis and treatment of gastric heterotopic pancreas. World J. Surg. 2006, 30, 1682–1689. [Google Scholar] [CrossRef]
- Park, S.H.; Han, J.K.; Choi, B.I.; Kim, M.; Kim, Y.I.; Yeon, K.M.; Han, M.C. Heterotopic pancreas of the stomach: CT findings correlated with pathologic findings in six patients. Abdom. Imaging 2000, 25, 119–123. [Google Scholar] [CrossRef]
- Kilman, W.J.; Berk, R.N. The spectrum of radiographic features of aberrant pancreatic rests involving the stomach. Radiology 1977, 123, 291–296. [Google Scholar] [CrossRef]
- Kung, J.W.; Brown, A.; Kruskal, J.B.; Goldsmith, J.D.; Pedrosa, I. Heterotopic pancreas: Typical and atypical imaging findings. Clin. Radiol. 2010, 65, 403–407. [Google Scholar] [CrossRef] [PubMed]
- Shanbhogue, A.K.; Fasih, N.; Surabhi, V.R.; Doherty, G.P.; Shanbhogue, D.K.; Sethi, S.K. A clinical and radiologic review of uncommon types and causes of pancreatitis. Radiographics 2009, 29, 1003–1026. [Google Scholar] [CrossRef] [PubMed]
- Kim, D.W.; Kim, J.H.; Park, S.H.; Lee, J.S.; Hong, S.M.; Kim, M.; Ha, H.K. Heterotopic pancreas of the jejunum: Associations between CT and pathology features. Abdom. Imaging 2015, 40, 38–45. [Google Scholar] [CrossRef] [PubMed]
- Ulrych, J.; Fryba, V.; Skalova, H.; Krska, Z.; Krechler, T.; Zogala, D. Premalignant and malignant lesions of the heterotopic pancreas in the esophagus: A case report and review of the literature. J. Gastrointest. Liver Dis. 2015, 24, 235–239. [Google Scholar] [CrossRef]
- Jeong, S.H.; Seo, K.W.; Min, J.S. Intraoperative Tumor Localization of Early Gastric Cancers. J. Gastric Cancer 2021, 21, 4–15. [Google Scholar] [CrossRef] [PubMed]
- Hachisu, T.; Miyazaki, S.; Hamaguchi, K. Endoscopic clip-marking of lesions using the newly developed HX-3L clip. Surg. Endosc. 1989, 3, 142–147. [Google Scholar] [CrossRef] [PubMed]
- Kojima, F.; Sato, T.; Tsunoda, S.; Takahata, H.; Hamaji, M.; Komatsu, T.; Okada, M.; Sugiura, T.; Oshiro, O.; Sakai, Y.; et al. Development of a novel marking system for laparoscopic gastrectomy using endoclips with radio frequency identification tags: Feasibility study in a canine model. Surg. Endosc. 2014, 28, 2752–2759. [Google Scholar] [CrossRef]
- Matsui, H.; Okamoto, Y.; Nabeshima, K.; Kondoh, Y.; Ogoshi, K.; Makuuchi, H. Endoscopy-assisted gastric resection: A safe and reliable procedure for tumor clearance during laparoscopic high distal or proximal gastrectomy. Surg. Endosc. 2009, 23, 1146–1149. [Google Scholar] [CrossRef]
- Kethu, S.R.; Banerjee, S.; Desilets, D.; Diehl, D.L.; Farraye, F.A.; Kaul, V.; Kwon, R.S.; Mamula, P.; Pedrosa, M.C.; Rodriguez, S.A.; et al. Endoscopic tattooing. Gastrointest. Endosc. 2010, 72, 681–685. [Google Scholar] [CrossRef]
- Askin, M.P.; Waye, J.D.; Fiedler, L.; Harpaz, N. Tattoo of colonic neoplasms in 113 patients with a new sterile carbon compound. Gastrointest. Endosc. 2002, 56, 339–342. [Google Scholar] [CrossRef] [PubMed]
- Luigiano, C.; Ferrara, F.; Morace, C.; Mangiavillano, B.; Fabbri, C.; Cennamo, V.; Bassi, M.; Virgilio, C.; Consolo, P. Endoscopic tattooing of gastrointestinal and pancreatic lesions. Adv. Ther. 2012, 29, 864–873. [Google Scholar] [CrossRef] [PubMed]
- Wang, S.F.; Cheng, H.T.; Hsu, J.T.; Wu, C.H.; Chen, C.W.; Lin, C.J.; Sung, K.F. Simple and Reliable Method for Gastric Subepithelial Tumor Localization Using Endoscopic Tattooing before Totally Laparoscopic Resection. J. Pers. Med. 2021, 11, 855. [Google Scholar] [CrossRef]
- Hyman, N.; Waye, J.D. Endoscopic four quadrant tattoo for the identification of colonic lesions at surgery. Gastrointest. Endosc. 1991, 37, 56–58. [Google Scholar] [CrossRef] [PubMed]
- Ing, C.; Warner, D.O.; Sun, L.S.; Flick, R.P.; Davidson, A.J.; Vutskits, L.; McCann, M.E.; O’Leary, J.; Bellinger, D.C.; Rauh, V.; et al. Anesthesia and Developing Brains: Unanswered Questions and Proposed Paths Forward. Anesthesiology 2022, 136, 500–512. [Google Scholar] [CrossRef]
- Chang, T.K.; Huang, C.W.; Ma, C.J.; Su, W.C.; Tsai, H.L.; Wang, J.Y. Ectopic pancreas mimicking gastric submucosal tumour treated using robotic surgery. J. Minimal Access Surg. 2019, 16, 179–181. [Google Scholar]
- Štor, Z.; Hanžel, J. Gastric ectopic pancreas mimicking a gastrointestinal stromal tumour: A case report. Int. J. Surg. Case Rep. 2018, 53, 348–350. [Google Scholar] [CrossRef]
- Dhruv, S.; Polavarapu, A.; Asuzu, I.; Andrawes, S.; Mukherjee, I. Jejunal Ectopic Pancreas: A Rare Cause of Small Intestinal Mass. Cureus 2021, 13, e15409. [Google Scholar] [CrossRef]



Disclaimer/Publisher’s Note: The statements, opinions and data contained in all publications are solely those of the individual author(s) and contributor(s) and not of MDPI and/or the editor(s). MDPI and/or the editor(s) disclaim responsibility for any injury to people or property resulting from any ideas, methods, instructions or products referred to in the content. |
© 2023 by the authors. Licensee MDPI, Basel, Switzerland. This article is an open access article distributed under the terms and conditions of the Creative Commons Attribution (CC BY) license (https://creativecommons.org/licenses/by/4.0/).
Share and Cite
Liou, Y.-J.; Weng, S.-C.; Chang, P.C.-Y.; Jiang, C.-B.; Lee, H.-C.; Chan, W.-T.; Ho, C.-Y.; Wu, P.-S.; Yeung, C.-Y. Localization and Laparoscopic Excision of Gastric Heterotopic Pancreas in a Child by Endoscopic SPOT® Tattooing. Children 2023, 10, 201. https://doi.org/10.3390/children10020201
Liou Y-J, Weng S-C, Chang PC-Y, Jiang C-B, Lee H-C, Chan W-T, Ho C-Y, Wu P-S, Yeung C-Y. Localization and Laparoscopic Excision of Gastric Heterotopic Pancreas in a Child by Endoscopic SPOT® Tattooing. Children. 2023; 10(2):201. https://doi.org/10.3390/children10020201
Chicago/Turabian StyleLiou, Yu-Jung, Shu-Chao Weng, Paul Chia-Yu Chang, Chuen-Bin Jiang, Hung-Chang Lee, Wai-Tao Chan, Cheng-Yu Ho, Pao-Shu Wu, and Chun-Yan Yeung. 2023. "Localization and Laparoscopic Excision of Gastric Heterotopic Pancreas in a Child by Endoscopic SPOT® Tattooing" Children 10, no. 2: 201. https://doi.org/10.3390/children10020201
APA StyleLiou, Y.-J., Weng, S.-C., Chang, P. C.-Y., Jiang, C.-B., Lee, H.-C., Chan, W.-T., Ho, C.-Y., Wu, P.-S., & Yeung, C.-Y. (2023). Localization and Laparoscopic Excision of Gastric Heterotopic Pancreas in a Child by Endoscopic SPOT® Tattooing. Children, 10(2), 201. https://doi.org/10.3390/children10020201

