Postprandial Abdominal Pain Caused by Gastroptosis—A Case Report
Abstract
1. Introduction
2. Case Presentation
2.1. Family History
2.2. Medical History
2.3. Symptoms
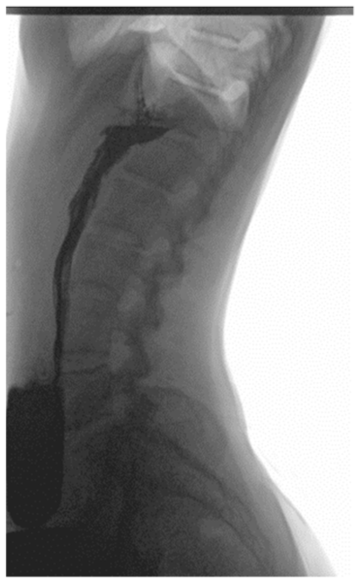
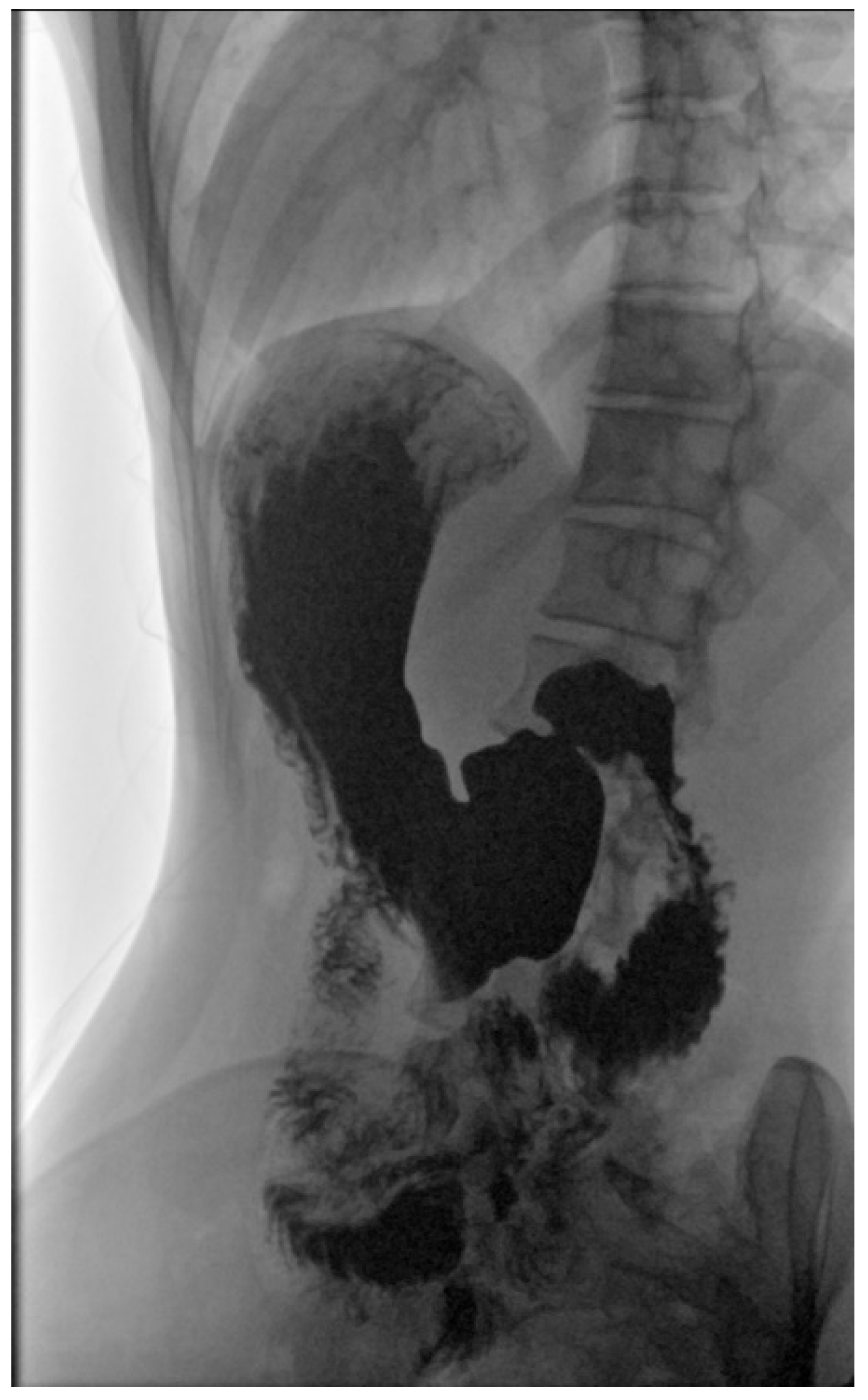
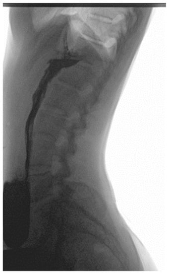
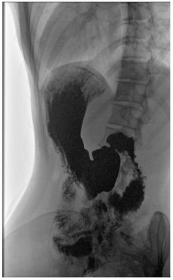
2.4. Physical Examination, Laboratory Tests’ Results and Imaging Studies
2.5. Diagnosis and Treatment
2.6. Follow-Up
3. Discussion
4. Summary and Conclusions
Author Contributions
Funding
Institutional Review Board Statement
Informed Consent Statement
Data Availability Statement
Acknowledgments
Conflicts of Interest
References
- Beilin, D.S. When has visceroptosis clinical significance? Radiology 1930, 15, 223–226. [Google Scholar] [CrossRef]
- Sarangapani, A.; Rasane, S.; Kohli, V.D.; Chandy, G.M. Glenard’s disease. Arch. Med. Health Sci. 2016, 4, 153–154. [Google Scholar] [CrossRef]
- American Gastroenterological Association. American Gastroenterological Association Medical Position Statement: Nausea and Vomiting. Gastroenterology 2001, 120, 261–286. [Google Scholar] [CrossRef] [PubMed]
- Van Welie, A.J.M.; Klein, W.M.; Draaisma, J.M.T. The clinical or radiographic diagnosis of gastroptosis: Still relevant? Gastro Open J. 2017, 2, 14–19. [Google Scholar] [CrossRef]
- Aaron, C.D. Gastroptosis. JAMA 1897, XXIX, 224. [Google Scholar] [CrossRef][Green Version]
- Bestari, M.B.; Chandra, M.; Joewono, I.R.; Girawan, D.; Andhika, R.; Wahyudi, Y.; Abdurachman, S.A. Gastroptosis due to Gastric Outlet Obstruction Secondary to Duodenal Tumor: Glenard’s Disease Revisited. Karger. Case Rep. Gastroenterol. 2022, 16, 89–93. [Google Scholar] [CrossRef] [PubMed]
- Rezaie, A.; Raphael, Y.; Sukov, R.; Liu, X. Ehlers-Danlos syndrome type III (EDS) and visceroptosis: Getting to the bottom of this diagnosis: 469. Off. J. Am. Coll. Gastroenterol. 2018, 113, S270–S271. [Google Scholar] [CrossRef]
- Kusano, M.; Moki, F.; Hosaka, H.; Shimoyama, Y.; Kawamura, O.; Nagoshi, A.; Maeda, M.; Kuribayashi, S.; Zai, H.; Mizuide, M.; et al. Gastroptosis is associated with less dyspepsia, rather than a cause of dyspepsia, in Japanese persons. Intern. Med. 2011, 50, 667–671. [Google Scholar] [CrossRef] [PubMed]
- Christianakis, E.; Bouchra, K.; Koliatou, A.; Paschalidis, N.; Filippou, D. Gastroparesis associated with gastroptosis presenting as a lower abdominal bulking mass in a child: A case report. Cases J. 2009, 2, 184. [Google Scholar] [CrossRef] [PubMed]
- Sullivan, S.N. Gastroptosis: A cause of postprandial abdominal bloating. Can. J. Gastroenterol. Hepatol. 1991, 5, 3. [Google Scholar] [CrossRef]
- Natsis, K.; Apostolidis, S.; Papadopoulou, A.L.; Vlasis, K.; Totlis, T.; Skandalakis, P. Gastric femoral hernia in a male cadaver with gastroptosis: Case report and review of the literature. Hernia 2008, 12, 205–208. [Google Scholar] [CrossRef] [PubMed]
- Narayanan, V.; Sood Manu, R. Motility disorders of the gastrointestinal tract. Indian J. Pediatr. 2006, 73, 927–930. [Google Scholar]
- Vandenplas, Y.; Hauser, B.; Salvatore, S. Current pharmacological treatment of gastroparesis. Expert Opin. Pharmacother. 2004, 5, 2251–2254. [Google Scholar] [CrossRef] [PubMed]
- Sigurdsson, L.; Flores, A.; Putnam, P.E.; Hyman, P.E.; Di Lorenzo, C. Postviral gastroparesis: Presentation, treatment, and outcome. J. Pediatr. 1997, 131, 751–754. [Google Scholar] [CrossRef] [PubMed]
- Nakayama, K.; Nakamura, T.; Tucker, H.E. Segmental resection for gastroptosis. J. Am. Osteopath Assoc. 1959, 58, 412–414. [Google Scholar] [PubMed]
- Perez, M.E.; Youssef, N.N. Dyspepsia in childhood and adolescence: Insights and treatment considerations. Curr. Gastroenterol. Rep. 2007, 9, 447–455. [Google Scholar] [CrossRef] [PubMed]
- Hall-Edwards, J.F. The diagnosis and treatment of gastroptosis. Br. Med. J. 1921, 1, 698–700. [Google Scholar] [CrossRef] [PubMed]



Disclaimer/Publisher’s Note: The statements, opinions and data contained in all publications are solely those of the individual author(s) and contributor(s) and not of MDPI and/or the editor(s). MDPI and/or the editor(s) disclaim responsibility for any injury to people or property resulting from any ideas, methods, instructions or products referred to in the content. |
© 2023 by the authors. Licensee MDPI, Basel, Switzerland. This article is an open access article distributed under the terms and conditions of the Creative Commons Attribution (CC BY) license (https://creativecommons.org/licenses/by/4.0/).
Share and Cite
Staszewska, A.; Jarzumbek, A.; Saran, A.; Gierak-Firszt, S.; Kwiecien, J. Postprandial Abdominal Pain Caused by Gastroptosis—A Case Report. Children 2023, 10, 116. https://doi.org/10.3390/children10010116
Staszewska A, Jarzumbek A, Saran A, Gierak-Firszt S, Kwiecien J. Postprandial Abdominal Pain Caused by Gastroptosis—A Case Report. Children. 2023; 10(1):116. https://doi.org/10.3390/children10010116
Chicago/Turabian StyleStaszewska, Anna, Anna Jarzumbek, Anna Saran, Sylwia Gierak-Firszt, and Jaroslaw Kwiecien. 2023. "Postprandial Abdominal Pain Caused by Gastroptosis—A Case Report" Children 10, no. 1: 116. https://doi.org/10.3390/children10010116
APA StyleStaszewska, A., Jarzumbek, A., Saran, A., Gierak-Firszt, S., & Kwiecien, J. (2023). Postprandial Abdominal Pain Caused by Gastroptosis—A Case Report. Children, 10(1), 116. https://doi.org/10.3390/children10010116

