Beyond the Brain: Perinatal Exposure of Rats to Serotonin Enhancers Induces Long-Term Changes in the Jejunum and Liver
Abstract
1. Introduction
2. Materials and Methods
2.1. Housing and Breeding of Animals
2.2. Pharmacological Treatments
2.3. Collection and Processing of Tissue Samples
2.4. qRT-PCR
2.5. Quantitative Histomorphometric Analysis
2.6. Statistical Analysis
3. Results
3.1. Blood 5HT Concentrations
3.2. Histomorphological and Gene Expression Changes in Jejunum
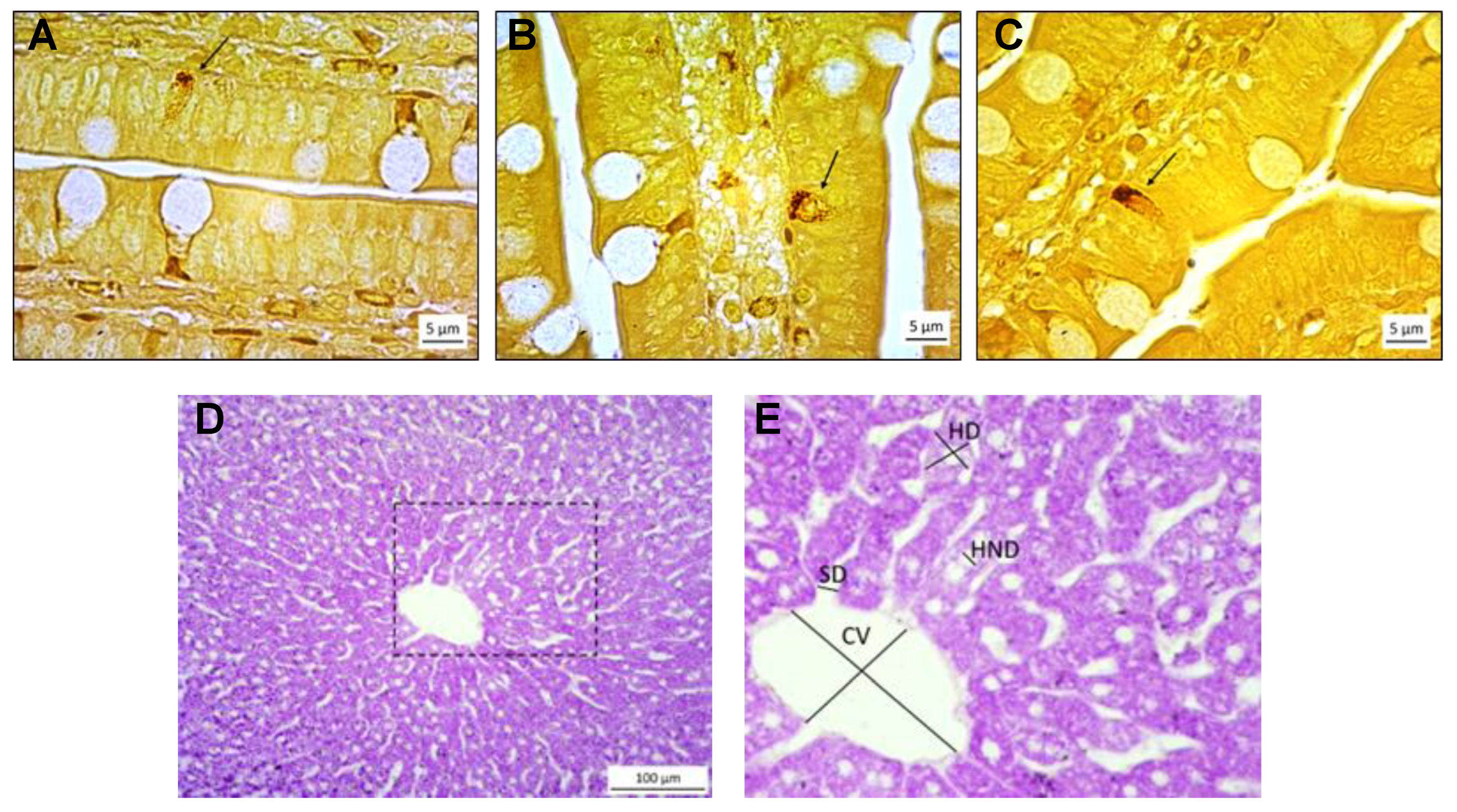
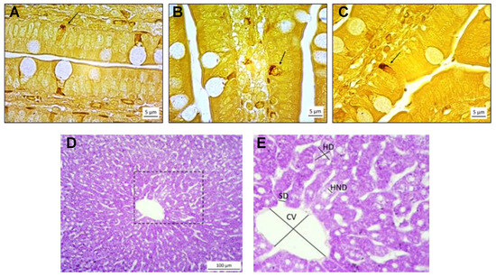
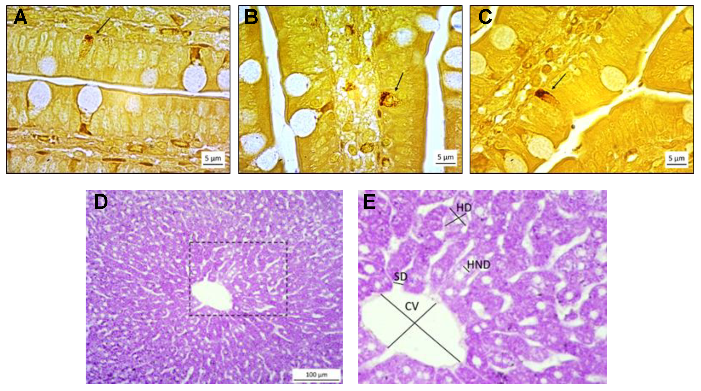
3.3. Histomorphological and Gene Expression Changes in Liver
4. Discussion
5. Conclusions
Supplementary Materials
Author Contributions
Funding
Institutional Review Board Statement
Informed Consent Statement
Data Availability Statement
Acknowledgments
Conflicts of Interest
References
- Berger, M.; Gray, J.A.; Roth, B.L. The Expanded Biology of Serotonin. Annu. Rev. Med. 2009, 60, 355–366. [Google Scholar] [CrossRef]
- Pawlak, D.; Oksztulska-Kolanek, E.; Znorko, B.; Domaniewski, T.; Rogalska, J.; Roszczenko, A.; Michalina Brzó Ska, M.; Pryczynicz, A.; Kemona, A.; Pawlak, K.; et al. The Association between Elevated Levels of Peripheral Serotonin and Its Metabolite—5-Hydroxyindoleacetic Acid and Bone Strength and Metabolism in Growing Rats with Mild Experimental Chronic Kidney Disease. PLoS ONE 2016, 11, e0163526. [Google Scholar] [CrossRef] [PubMed]
- Deutch, A.Y.; Roth, R.H. Pharmacology and Biochemistry of Synaptic Transmission: Classic Transmitters. In From Molecules to Networks. An Introduction to Cellular and Molecular Neuroscience; Byrne, J.H., Roberts, J.L., Eds.; Academic Press: Burlington, MA, USA, 2004; pp. 245–278. ISBN 978-0-12-148660-0. [Google Scholar]
- Keszthelyi, D.; Troost, F.J.; Masclee, A.A.M. Understanding the Role of Tryptophan and Serotonin Metabolism in Gastrointestinal Function. Neurogastroenterol. Motil. 2009, 21, 1239–1249. [Google Scholar] [CrossRef] [PubMed]
- Weihe, E.; Schäfer, M.K.H.; Erickson, J.D.; Eiden, L.E. Localization of Vesicular Monoamine Transporter Isoforms (VMAT1 and VMAT2) to Endocrine Cells and Neurons in Rat. J. Mol. Neurosci. 1994, 5, 149–164. [Google Scholar] [CrossRef] [PubMed]
- Watanabe, H.; Rose, M.; Kanayama, Y.; Shirakawa, H.; Aso, H. Energy Homeostasis by the Peripheral Serotonergic System. In Serotonin—A Chemical Messenger Between All Types of Living Cells; InTech: Berlin, Germany, 2017; pp. 185–201. ISBN 978-953-51-3361-2. [Google Scholar]
- Watts, S.W.; Morrison, S.F.; Davis, R.P.; Barman, S.M. Serotonin and Blood Pressure Regulation. Pharmacol. Rev. 2012, 64, 359–388. [Google Scholar] [CrossRef] [PubMed]
- Gershon, M.D.; Tack, J.A.N. The Serotonin Signaling System: From Basic Understanding to Drug Development for Functional GI Disorders. Gastroenterology 2007, 132, 397–414. [Google Scholar] [CrossRef] [PubMed]
- Gershon, M.D. 5-Hydroxytryptamine (Serotonin) in the Gastrointestinal Tract. Curr. Opin. Endocrinol. Diabetes. Obes. 2013, 20, 14–21. [Google Scholar] [CrossRef] [PubMed]
- Choi, W.; Namkung, J.; Hwang, I.; Kim, H.H.H.H.; Lim, A.; Park, H.J.; Lee, H.W.; Han, K.-H.H.; Park, S.S.; Jeong, J.-S.S.; et al. Serotonin Signals through a Gut-Liver Axis to Regulate Hepatic Steatosis. Nat. Commun. 2018, 9, 4824. [Google Scholar] [CrossRef] [PubMed]
- Ruddell, R.; Mann, D.; Ramm, G. The Function of Serotonin within the Liver. J. Hepatol. 2008, 48, 666–675. [Google Scholar] [CrossRef]
- Davies, K.R.; Richardson, G.; Akmentin, W.; Acuff, V.; Fenstermacher, J.D. The Microarchitecture of Cerebral Vessels. In Biology and Physiology of the Blood-Brain Barrier: Transport, Cellular Interactions, and Brain Pathologies; Couraud, P.-O., Scherman, D., Eds.; Springer: Boston, MA, USA, 1996; pp. 83–91. ISBN 978-1-4757-9489-2. [Google Scholar]
- Kepser, L.-J.J.; Homberg, J.R. The Neurodevelopmental Effects of Serotonin: A Behavioural Perspective. Behav. Brain Res. 2015, 277, 3–13. [Google Scholar] [CrossRef]
- Hanswijk, S.I.; Spoelder, M.; Shan, L.; Verheij, M.M.M.; Muilwijk, O.G.; Li, W.; Liu, C.; Kolk, S.M.; Homberg, J.R. Gestational Factors throughout Fetal Neurodevelopment: The Serotonin Link. Int. J. Mol. Sci. 2020, 21, 5850. [Google Scholar] [CrossRef] [PubMed]
- Booij, L.; Richard, T.; Szyf, M.; Benkelfat, C. Genetic and Early Environmental Influences on the Serotonin System: Consequences for Brain Development and Risk for Psychopathology. J. Psychiatry Neurosci. 2015, 40, 5–18. [Google Scholar] [CrossRef] [PubMed]
- Cai, Y.; Li, X.; Zhou, H.; Zhou, J. The Serotonergic System Dysfunction in Diabetes Mellitus. Front. Cell. Neurosci. 2022, 16, 899069. [Google Scholar] [CrossRef] [PubMed]
- Asarian, L.; Geary, N.; Ahima, R.; Kelly, J.; Elmquist, J.J.; Flier, J.; Ainslie, D.; Morris, M.; Wittert, G.; Turnbull, H.; et al. Sex Differences in the Physiology of Eating. Am. J. Physiol. Regul. Integr. Comp. Physiol. 2013, 305, R1215–R1267. [Google Scholar] [CrossRef]
- Roth, B.L. Multiple Serotonin Receptors: Clinical and Experimental Aspects. Ann. Clin. Psychiatry 1994, 6, 67–78. [Google Scholar] [CrossRef]
- Terry, N.; Margolis, K.G. Serotonergic Mechanisms Regulating the GI Tract: Experimental Evidence and Therapeutic Relevance. Handb. Exp. Pharmacol. 2017, 239, 319–342. [Google Scholar] [CrossRef]
- Birdsall, T.C. 5-Hydroxytryptophan: A Clinically-Effective Serotonin Precursor. Altern. Med. Rev. 1998, 3, 271–280. [Google Scholar]
- De Ponti, F.; Ponti, D. Pharmacology of Serotonin: What a Clinician Should Know. Gut 2004, 53, 1520–1535. [Google Scholar] [CrossRef]
- Roth, B.L. Drugs and Valvular Heart Disease. N. Engl. J. Med. 2007, 356, 6–9. [Google Scholar] [CrossRef]
- Hinz, M.; Stein, A.; Uncini, T. 5-HTP Efficacy and Contraindications. Neuropsychiatr. Dis. Treat. 2012, 8, 323–328. [Google Scholar] [CrossRef]
- Blazevic, S.; Dolenec, P.; Hranilovic, D. Physiological Consequences of Perinatal Treatment of Rats with 5-Hydroxytryptophan. Period. Biol. 2011, 113, 81–86. [Google Scholar]
- Blazevic, S.A.; Jurcic, Z.; Hranilovic, D. Perinatal Treatment of Rats with MAO Inhibitor Tranylcypromine. Transl. Neurosci. 2010, 1, 49–54. [Google Scholar] [CrossRef]
- Hranilovic, D.; Blazevic, S.; Ivica, N.; Cicin-Sain, L.; Oreskovic, D. The Effects of the Perinatal Treatment with 5-Hydroxytryptophan or Tranylcypromine on the Peripheral and Central Serotonin Homeostasis in Adult Rats. Neurochem. Int. 2011, 59, 202–207. [Google Scholar] [CrossRef]
- Blazevic, S.A.; Merkler, M.; Persic, D.; Hranilovic, D. Chronic Postnatal Monoamine Oxidase Inhibition Affects Affiliative Behavior in Rat Pups. Pharmacol. Biochem. Behav. 2017, 153, 60–68. [Google Scholar] [CrossRef]
- Blazevic, S.; Hranilovic, D. Expression of 5HT-Related Genes after Perinatal Treatment with 5HT Agonists. Transl. Neurosci. 2013, 4, 165–171. [Google Scholar] [CrossRef]
- Blazevic, S.; Colic, L.; Culig, L.; Hranilovic, D. Anxiety-like Behavior and Cognitive Flexibility in Adult Rats Perinatally Exposed to Increased Serotonin Concentrations. Behav. Brain Res. 2012, 230, 175–181. [Google Scholar] [CrossRef]
- Blazevic, S.; Erjavec, I.; Brizic, M.; Vukicevic, S.; Hranilović, D. Molecular Background and Physiological Consequences of Altered Peripheral Serotonin Homeostasis in Adult Rats Perinatally Treated with Tranylcypromine. J. Physiol. Pharmacol. 2015, 66, 529–537. [Google Scholar]
- Krinke, G.J. The Laboratory Rat, 1st ed.; Academic Press: London, UK, 2000; ISBN 012426400X. [Google Scholar]
- Hubrecht, R.C.; Carter, E. The 3Rs and Humane Experimental Technique: Implementing Change. Animals 2019, 9, 754. [Google Scholar] [CrossRef]
- Franklin, T.B.; Linder, N.; Russig, H.; Thöny, B.; Mansuy, I.M. Influence of Early Stress on Social Abilities and Serotonergic Functions across Generations in Mice. PLoS ONE 2011, 6, e21842. [Google Scholar] [CrossRef] [PubMed]
- Walker, S.C.; McGlone, F.P. The Social Brain: Neurobiological Basis of Affiliative Behaviours and Psychological Well-Being. Neuropeptides 2013, 47, 379–393. [Google Scholar] [CrossRef] [PubMed]
- Goel, N.; Bale, T.L. Sex Differences in the Serotonergic Influence on the Hypothalamic- Pituitary-Adrenal Stress Axis. Endocrinology 2010, 151, 1784–1794. [Google Scholar] [CrossRef] [PubMed]
- Pfaffl, M.W. Relative Quantification. In Real-Time PCR; Taylor & Francis: Oxfordshire, UK, 2007; pp. 64–82. ISBN 9780203967317. [Google Scholar]
- Bustin, S.A.; Benes, V.; Garson, J.A.; Hellemans, J.; Huggett, J.; Kubista, M.; Mueller, R.; Nolan, T.; Pfaffl, M.W.; Shipley, G.L.; et al. The MIQE Guidelines: Minimum Information for Publication of Quantitative Real-Time PCR Experiments. Clin. Chem. 2009, 55, 611–622. [Google Scholar] [CrossRef] [PubMed]
- Di Pino, G.; Moessner, R.; Lesch, K.-P.; Lauder, J.M.; Persico, A.M. Roles for Serotonin in Neurodevelopment: More than Just Neural Transmission. Curr. Neuropharmacol. 2004, 2, 403–417. [Google Scholar] [CrossRef]
- Herlenius, E.; Lagercrantz, H. Neurotransmitters and Neuromodulators during Early Human Development. Early Hum. Dev. 2001, 65, 21–37. [Google Scholar] [CrossRef] [PubMed]
- Gustafsson, B.I.; Bakke, I.; Tømmerås, K.; Waldum, H.L. A New Method for Visualization of Gut Mucosal Cells, Describing the Enterochromaffin Cell in the Rat Gastrointestinal Tract. Scand. J. Gastroenterol. 2006, 41, 390–395. [Google Scholar] [CrossRef]
- Rezzani, R.; Franco, C.; Franceschetti, L.; Gianò, M.; Favero, G. A Focus on Enterochromaffin Cells among the Enteroendocrine Cells: Localization, Morphology, and Role. Int. J. Mol. Sci. 2022, 23, 3758. [Google Scholar] [CrossRef]
- Takahashi, N.; Miner, L.L.; Sora, I.; Ujike, H.; Revay, R.S.; Kostic, V.; Jackson-Lewis, V.; Przedborski, S.; Uhl, G.R. VMAT2 Knockout Mice: Heterozygotes Display Reduced Amphetamine-Conditioned Reward, Enhanced Amphetamine Locomotion, and Enhanced MPTP Toxicity. Proc. Natl. Acad. Sci. USA 1997, 94, 9938–9943. [Google Scholar] [CrossRef]
- Musumeci, G.; Loreto, C.; Trovato, F.M.; Giunta, S.; Imbesi, R.; Castrogiovanni, P. Serotonin (5HT) Expression in Rat Pups Treated with High-Tryptophan Diet during Fetal and Early Postnatal Development. Acta Histochem. 2014, 116, 335–343. [Google Scholar] [CrossRef]
- Lesurtel, M.; Graf, R.; Aleil, B.; Walther, D.J.; Tian, Y.; Jochum, W.; Gachet, C.; Bader, M.; Clavien, P.-A.A. Platelet-Derived Serotonin Mediates Liver Regeneration. Science 2006, 312, 104–107. [Google Scholar] [CrossRef] [PubMed]
- Nocito, A.; Dahm, F.; Jochum, W.; Jang, J.H.; Georgiev, P.; Bader, M.; Renner, E.L.; Clavien, P.A. Serotonin Mediates Oxidative Stress and Mitochondrial Toxicity in a Murine Model of Nonalcoholic Steatohepatitis. Gastroenterology 2007, 133, 608–618. [Google Scholar] [CrossRef] [PubMed]
- Myöhänen, T.T.; Schendzielorz, N.; Männistö, P.T. Distribution of Catechol-O-Methyltransferase (COMT) Proteins and Enzymatic Activities in Wild-Type and Soluble COMT Deficient Mice. J. Neurochem. 2010, 113, 1632–1643. [Google Scholar] [CrossRef]
- Balasubramanian, S.; Paulose, C.S. Induction of DNA Synthesis in Primary Cultures of Rat Hepatocytes by Serotonin: Possible Involvement of Serotonin S2 Receptor. Hepatology 1998, 27, 62–66. [Google Scholar] [CrossRef]
- Padickakudy, R.; Pereyra, D.; Offensperger, F.; Jonas, P.; Oehlberger, L.; Schwarz, C.; Haegele, S.; Assinger, A.; Brostjan, C.; Gruenberger, T.; et al. Bivalent Role of Intra-Platelet Serotonin in Liver Regeneration and Tumor Recurrence in Humans. J. Hepatol. 2017, 67, 1243–1252. [Google Scholar] [CrossRef] [PubMed]
- Linden, D.R.; Chen, J.X.; Gershon, M.D.; Sharkey, K.A.; Mawe, G.M. Serotonin Availability Is Increased in Mucosa of Guinea Pigs with TNBS-Induced Colitis. Am. J. Physiol. Gastrointest. Liver Physiol. 2003, 285, G207–G216. [Google Scholar] [CrossRef] [PubMed]
- Khan, W.I.; Motomura, Y.; Wang, H.; El-Sharkawy, R.T.; Verdu, E.F.; Verma-Gandhu, M.; Rollins, B.J.; Collins, S.M. Critical Role of MCP-1 in the Pathogenesis of Experimental Colitis in the Context of Immune and Enterochromaffin Cells. Am. J. Physiol. Gastrointest. Liver Physiol. 2006, 291, G803–G811. [Google Scholar] [CrossRef] [PubMed]
- Xu, X.; Chen, R.; Zhan, G.; Wang, D.; Tan, X.; Xu, H. Enterochromaffin Cells: Sentinels to Gut Microbiota in Hyperalgesia? Front. Cell. Infect. Microbiol. 2021, 11, 760076. [Google Scholar] [CrossRef] [PubMed]
- Koopman, N.; Katsavelis, D.; Ten Hove, A.S.; Brul, S.; de Jonge, W.J.; Seppen, J. The Multifaceted Role of Serotonin in Intestinal Homeostasis. Int. J. Mol. Sci. 2021, 22, 9487. [Google Scholar] [CrossRef] [PubMed]
- Banskota, S.; Khan, W.I. Gut-Derived Serotonin and Its Emerging Roles in Immune Function, Inflammation, Metabolism and the Gut-Brain Axis. Curr. Opin. Endocrinol. Diabetes Obes. 2022, 29, 177–182. [Google Scholar] [CrossRef] [PubMed]
- Wu, H.; Denna, T.H.; Storkersen, J.N.; Gerriets, V.A. Beyond a Neurotransmitter: The Role of Serotonin in Inflammation and Immunity. Pharmacol. Res. 2019, 140, 100–114. [Google Scholar] [CrossRef]
- Pergolizzi, S.; Alesci, A.; Centofanti, A.; Aragona, M.; Pallio, S.; Magaudda, L.; Cutroneo, G.; Lauriano, E.R. Role of Serotonin in the Maintenance of Inflammatory State in Crohn’s Disease. Biomedicines 2022, 10, 765. [Google Scholar] [CrossRef]
- González Delgado, S.; Garza-Veloz, I.; Trejo-Vazquez, F.; Martinez-Fierro, M.L. Interplay between Serotonin, Immune Response, and Intestinal Dysbiosis in Inflammatory Bowel Disease. Int. J. Mol. Sci. 2022, 23, 5632. [Google Scholar] [CrossRef] [PubMed]
- Ghia, J.E.; Li, N.; Wang, H.; Collins, M.; Deng, Y.; El-Sharkawy, R.T.; Côté, F.; Mallet, J.; Khan, W.I. Serotonin Has a Key Role in Pathogenesis of Experimental Colitis. Gastroenterology 2009, 137, 1649–1660. [Google Scholar] [CrossRef]
- Bischoff, S.C.; Mailer, R.; Pabst, O.; Weier, G.; Sedlik, W.; Li, Z.; Chen, J.J.; Murphy, D.L.; Gershon, M.D. Role of Serotonin in Intestinal Inflammation: Knockout of Serotonin Reuptake Transporter Exacerbates 2,4,6-Trinitrobenzene Sulfonic Acid Colitis in Mice. Am. J. Physiol. Gastrointest. Liver Physiol. 2009, 296, 685–695. [Google Scholar] [CrossRef]
- Jørandli, J.W.; Thorsvik, S.; Skovdahl, H.K.; Kornfeld, B.; Sæterstad, S.; Gustafsson, B.I.; Sandvik, A.K.; Van Beelen Granlund, A. The Serotonin Reuptake Transporter Is Reduced in the Epithelium of Active Crohn’s Disease and Ulcerative Colitis. Am. J. Physiol. Gastrointest. Liver Physiol. 2020, 319, G761–G768. [Google Scholar] [CrossRef] [PubMed]
- Alwan, S.; Friedman, J.M. Safety of Selective Serotonin Reuptake Inhibitors in Pregnancy. CNS Drugs 2009, 23, 493–509. [Google Scholar] [CrossRef]
- Homberg, J.R.; Schubert, D.; Gaspar, P. New Perspectives on the Neurodevelopmental Effects of SSRIs. Trends Pharmacol. Sci. 2010, 31, 60–65. [Google Scholar] [CrossRef]
- Udechuku, A.; Nguyen, T.; Hill, R.; Szego, K. Antidepressants in Pregnancy: A Systematic Review. Aust. N. Z. J. Psychiatry 2010, 44, 978–996. [Google Scholar] [CrossRef]
- Glover, M.E.; Clinton, S.M. Of Rodents and Humans: A Comparative Review of the Neurobehavioral Effects of Early Life SSRI Exposure in Preclinical and Clinical Research. Int. J. Dev. Neurosci. 2016, 51, 50–72. [Google Scholar] [CrossRef]
- Whitaker-Azmitia, P.M. Behavioral and Cellular Consequences of Increasing Serotonergic Activity during Brain Development: A Role in Autism? Int. J. Dev. Neurosci. 2005, 23, 75–83. [Google Scholar] [CrossRef]
- Cannizzaro, C.; Plescia, F.; Gagliano, M.; Cannizzaro, G.; Provenzano, G.; Mantia, G.; Cannizzaro, E. Effects of Pre- and Postnatal Exposure to 5-Methoxytryptamine and Early Handling on an Object-Place Association Learning Task in Adolescent Rat Offspring. Neurosci. Res. 2007, 59, 74–80. [Google Scholar] [CrossRef]
- Hou, Y.; Li, J.; Ying, S. Tryptophan Metabolism and Gut Microbiota: A Novel Regulatory Axis Integrating the Microbiome, Immunity, and Cancer. Metabolites 2023, 13, 1166. [Google Scholar] [CrossRef] [PubMed]
- Tanaka, M.; Szabó, Á.; Spekker, E.; Polyák, H.; Tóth, F.; Vécsei, L. Mitochondrial Impairment: A Common Motif in Neuropsychiatric Presentation? The Link to the Tryptophan–Kynurenine Metabolic System. Cells 2022, 11, 2607. [Google Scholar] [CrossRef] [PubMed]
- Mannisto, P.T.; Kaakkola, S. Catechol-O-Methyltransferase (COMT): Biochemistry, Molecular Biology, Pharmacology, and Clinical Efficacy of the New Selective COMT Inhibitors. Pharmacol. Rev. 1999, 51, 593–628. [Google Scholar] [PubMed]




| Saline | 5-Hydroxytryptophan | Tranilcypromine | |||||||||||
|---|---|---|---|---|---|---|---|---|---|---|---|---|---|
| Female | Male | Female | Male | Female | Male | ||||||||
| 5HT Conc. | Median (Q1,Q3) | N | Median (Q1,Q3) | N | Median (Q1,Q3) | N | Median (Q1,Q3) | N | Median (Q1,Q3) | N | Median (Q1,Q3) | N | |
| (ng 5-HT/mL PRP) | 349 (1069,176) | 5 | 711 (1005,242) | 5 | 827 (1277,600) | 5 | 484 (794,188) | 5 | 927 (1478,558) | 4 | 959 (1238,718) | 6 | |
| Gene expression (arbitrary units) | |||||||||||||
| Jejunum | TPH1 | 1.00 (1.27,0.72) | 5 | 1.06 (1.56,0.80) | 4 | 0.80 (0.93,0.67) | 5 | 0.85 (1.15,0.60) | 3 | 0.64 (0.80,0.59) | 5 | 0.81 (1.00,0.63) | 5 |
| VMAT | 0.82 (1.33,0.67) | 1.17 (1.34,0.95) | 0.67 (0.73,0.65) | 0.89 (1.11,0.81) | 4 | 0.64 (1.11,0.57) | 0.87 (1.26,0.79) | ||||||
| Liver | 5HTt | 1.06 (1.13,0.74) | 3 | 1.13 (1.53,0.67) | 4 | 1.56 (1.75,1.10) | 5 | 0.98 (1.22,0.93) | 5 | 1.73 (1.85,1.50) | 5 | 1.41 (1.76,0.97) | 5 |
| MAOA | 1.42 (1.90,1.15) | 0.75 (0.93,0.63) | 1.50 (1.81,0.97) | 0.77 (0.97,0.64) | 1.35 (1.62,1.11) | 0.64 (0.66,0.60) | |||||||
| Histology | |||||||||||||
| Jejunum | Mucosal layer width (µm) | 685.9 (741.5,644.3) | 5 | 688.8 (706.8,566.4) | 6 | 756.6 (766.5,725.4) | 5 | 653.4 (776.0,589.6) | 7 | 624.2 (697.8,525.3) | 6 | 739.3 (779.4,637.9) | 6 |
| Muscle layer width (µm) | 67.5 (111.4,60.0) | 82.6 (96.3,70.8) | 71.0 (82.0,67.2) | 90.9 (95.2,74,4) | 71.9 (104.7,66.9) | 92.8 (105.8,67.7) | |||||||
| Epithelial layer width (µm) | 33.1 (36.0,31.6) | 31.1 (35.0,28.4) | 34.3 (36.0,32.7) | 33.7 (38.4,31.6) | 31.8 (33.7,29.5) | 31.2 (34.7,28.6) | |||||||
| Total number of argentaffin-positive cells/mm2 | 11.2 (12.2,8.9) | 12.1 (14.6,7.0) | 8.8 (10.9,7.0) | 8.9 (10.4,8.0) | 6.3 (6.9,5.0) | 5.8 (6.7,4.5) | |||||||
| Number of cells in villi/1 mm2 | 5.66 (8.37,4.84) | 7.63 (9.17,4.86) | 5.38 (6.41,4.76) | 5.70 (7.03,4.99) | 4.38 (5.07,3.39) | 3.70 (4.21,2.95) | |||||||
| Number of cells in the crypts/1 mm2 | 3.40 (6.24,2.79) | 4.47 (5.20,2.31) | 3.47 (4.41,2.19) | 3.05 (3.22,2.42) | 1.91 (2.15,1.62) | 2.10 (2.53,1.58) | |||||||
| Argentaffin cell intensity | 1.80 (2.20,1.30) | 2.10 (2.40,1.75) | 1.80 (1.85,1.60) | 1.60 (2.00,1.40) | 2.20 (2.60,1.95) | 1.00 (1.20,1.00) | |||||||
| Liver | Central vein diameter (µm) | 109.6 (121.6,99.9) | 5 | 98.7 (115.3,84.4) | 3 | 145.4 (164.5,112.5) | 5 | 114.7 (154.0,97.0) | 6 | 81.4 (116.2,62.5) | 6 | 109.1 (147.9,59.7) | 6 |
| Hepatocyte nuclei diameter (µm) | 6.30 (6.60,6.27) | 6.55 (6.79,6.50) | 6.72 (7.07,6.14) | 7.09 (7.32,6.69) | 6.79 (7.67,6.56) | 7.26 (7.68,7.02) | |||||||
| Hepatocyte diameter (µm) | 20.0 (20.9,19.6) | 21.2 (21.3,20.7) | 20.0 (21.0,19.0) | 21.5 (22.3,19.9) | 18.9 (20.1,17.8) | 21.1 (21.7,20.4) | |||||||
| Sinusoid diameter (µm) | 4.44 (5.36,3.81) | 4.30 (5.87,4.05) | 4.15 (4.63,4.00) | 5.03 (5.27,4.48) | 5.31 (6.08,4.93) | 4.93 (6.72,4.22) | |||||||
Disclaimer/Publisher’s Note: The statements, opinions and data contained in all publications are solely those of the individual author(s) and contributor(s) and not of MDPI and/or the editor(s). MDPI and/or the editor(s) disclaim responsibility for any injury to people or property resulting from any ideas, methods, instructions or products referred to in the content. |
© 2024 by the authors. Licensee MDPI, Basel, Switzerland. This article is an open access article distributed under the terms and conditions of the Creative Commons Attribution (CC BY) license (https://creativecommons.org/licenses/by/4.0/).
Share and Cite
Gračan, R.; Blažević, S.A.; Brižić, M.; Hranilovic, D. Beyond the Brain: Perinatal Exposure of Rats to Serotonin Enhancers Induces Long-Term Changes in the Jejunum and Liver. Biomedicines 2024, 12, 357. https://doi.org/10.3390/biomedicines12020357
Gračan R, Blažević SA, Brižić M, Hranilovic D. Beyond the Brain: Perinatal Exposure of Rats to Serotonin Enhancers Induces Long-Term Changes in the Jejunum and Liver. Biomedicines. 2024; 12(2):357. https://doi.org/10.3390/biomedicines12020357
Chicago/Turabian StyleGračan, Romana, Sofia Ana Blažević, Matea Brižić, and Dubravka Hranilovic. 2024. "Beyond the Brain: Perinatal Exposure of Rats to Serotonin Enhancers Induces Long-Term Changes in the Jejunum and Liver" Biomedicines 12, no. 2: 357. https://doi.org/10.3390/biomedicines12020357
APA StyleGračan, R., Blažević, S. A., Brižić, M., & Hranilovic, D. (2024). Beyond the Brain: Perinatal Exposure of Rats to Serotonin Enhancers Induces Long-Term Changes in the Jejunum and Liver. Biomedicines, 12(2), 357. https://doi.org/10.3390/biomedicines12020357

