Pheochromocytoma–Paraganglioma Syndrome: A Multiform Disease with Different Genotype and Phenotype Features
Abstract
1. Introduction
2. Clinical Presentation
3. Biochemical Diagnosis
4. Genetics and Molecular Biology
5. Inherited PPGL
5.1. NF1, VHL, and RET Genes
5.2. SDHx and SDHAF2 Genes
5.3. TMEM and MAX Genes
5.4. FH Gene
5.5. Other Genes
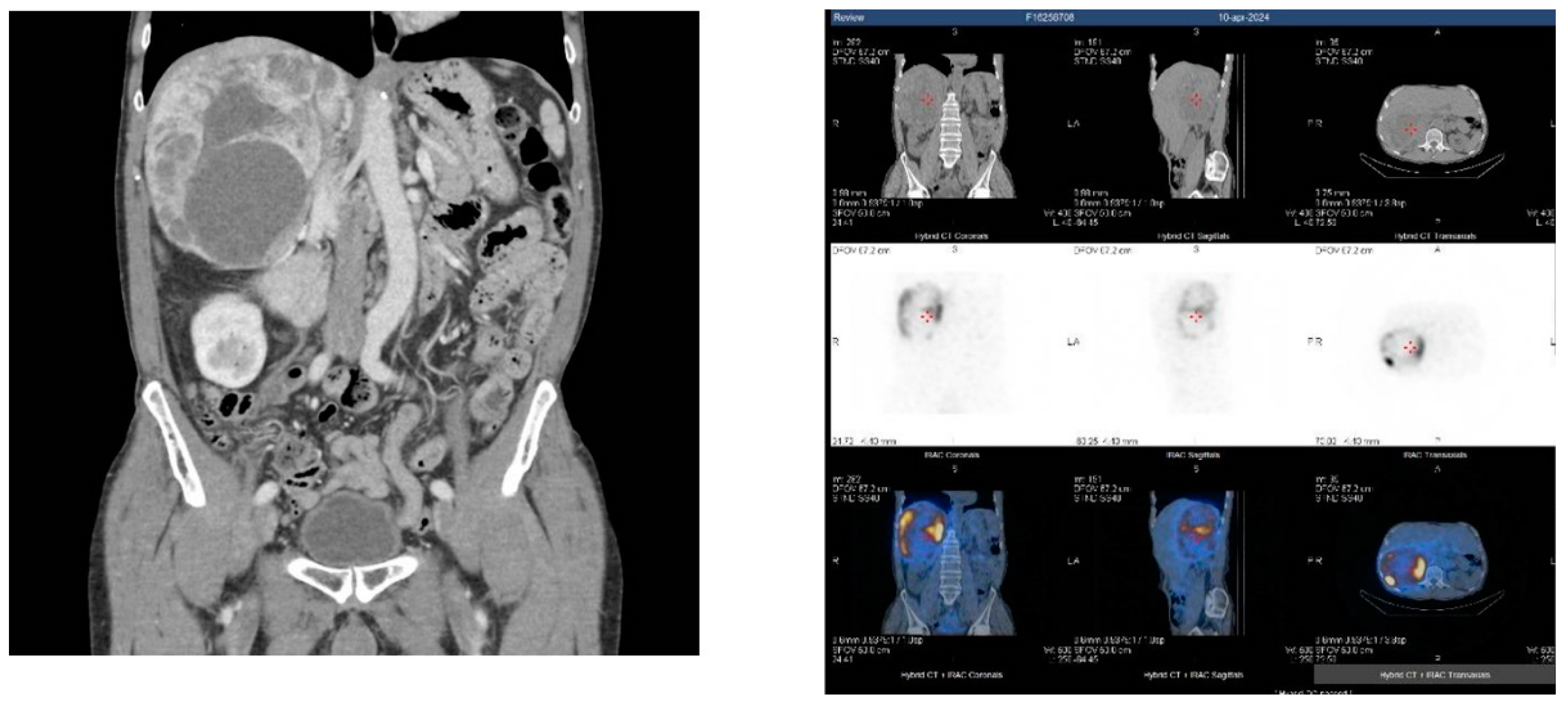
6. Imaging Study
7. Prognostic Factors
8. Follow-Up
8.1. Neurofibromatosis Type 1
8.2. Multiple Endocrine Neoplasia Syndrome 2 (MEN2)
8.3. Von Hippel Lindau Syndrome (VHL)
8.4. Familial PPGL Syndrome (SDHx-Associated Syndromes)
8.5. TMEM- and MAX-Associated PPGL
8.6. FH-Associated PPGL
9. Conclusions
- -
- Extra-adrenal localization is most often genetically determined, so in the pre-surgery management, we need to be sure that we are not dealing with a disease with multiple localizations, considering also the thorax and head and neck compartment.
- -
- The noradrenergic phenotype is more commonly associated with an increased cardiovascular risk in terms of atherosclerotic damage, while in the adrenergic phenotype, we can more easily expect hypertensive crises, so we can intervene less empirically in preparing patients for intervention.
- -
- Extra-adrenal localization is more typical for cluster-1 PGLs, while adrenal tumors belong mostly to cluster-2, so in the choice of functional imaging, there is no doubt in preferring [68Ga]-DOTA-SSA PET/CT for extra-adrenal tumors and [18F] FDOPA PET/CT for adrenal tumors.
- -
- Extra-adrenal localization, a noradrenergic phenotype, and definite genetic alterations are associated with aggressive behavior and poor outcomes, knowing that we can, at least in part, predict the clinical course and adapt follow-up timing and inform treatment strategies.
- -
- Although the treatment of malignant PPGL is outside the topic of this article, molecular characterization reveals specific pathways and mutations that may be targeted by therapies, offering more personalized treatment options for patients.
- -
- Identifying hereditary PPGLs can assess the risk for family members and guide surveillance strategies.
Author Contributions
Funding
Conflicts of Interest
References
- Gruber, L.M.; Hartman, R.P.; Thompson, G.B.; McKenzie, T.J.; Lyden, M.L.; Dy, B.M.; Young, W.F.; Bancos, I. Pheochromocytoma Characteristics and Behavior Differ Depending on Method of Discovery. J. Clin. Endocrinol. Metab. 2019, 104, 1386–1393. [Google Scholar] [CrossRef] [PubMed]
- Geroula, A.; Deutschbein, T.; Langton, K.; Masjkur, J.; Pamporaki, C.; Peitzsch, M.; Fliedner, S.; Timmers, H.J.L.M.; Bornstein, S.R.; Beuschlein, F.; et al. Pheochromocytoma and paraganglioma: Clinical feature-based disease probability in relation to catecholamine biochemistry and reason for disease suspicion. Eur. J. Endocrinol. 2019, 181, 409–420. [Google Scholar] [CrossRef] [PubMed]
- Lenders, J.W.M.; Kerstens, M.N.; Amar, L.; Prejbisz, A.; Robledo, M.; Taieb, D.; Pacak, K.; Crona, J.; Zelinka, T.; Mannelli, M.; et al. Genetics, diagnosis, management and future directions of research of phaeochromocytoma and paraganglioma: A position statement and consensus of the Working Group on Endocrine Hypertension of the European Society of Hypertension. J. Hypertens. 2020, 38, 1443–1456. [Google Scholar] [CrossRef] [PubMed]
- Soltani, A.; Pourian, M.; Davani, B.M. Does this patient have Pheochromocytoma? a systematic review of clinical signs and symptoms. J. Diabetes Metab. Disord. 2015, 15, 6. [Google Scholar] [CrossRef] [PubMed]
- Zelinka, T.; Petrák, O.; Turková, H.; Holaj, R.; Štrauch, B.; Kršek, M.; Vránková, A.; Musil, Z.; Dušková, J.; Kubinyi, J.; et al. High Incidence of Cardiovascular Complications in Pheochromocytoma. Horm. Metab. Res. 2012, 44, 379–384. [Google Scholar] [CrossRef]
- Petrák, O.; Krátká, Z.; Holaj, R.; Zítek, M.; Nguyen Nikrýnová, T.; Klímová, J.; Kološová, B.; Waldauf, P.; Michalský, D.; Novák, K.; et al. Cardiovascular Complications in Pheochromocytoma and Paraganglioma: Does Phenotype Matter? Hypertension 2024, 81, 595–603. [Google Scholar] [CrossRef]
- Cuspidi, C.; Gherbesi, E.; Faggiano, A.; Sala, C.; Carugo, S.; Grassi, G.; Tadic, M. Targeting Left Ventricular Mechanics In Patients With Pheochromocytoma/Paraganglioma: An Updated Meta-analysis. Am. J. Hypertens. 2023, 36, 333–340. [Google Scholar] [CrossRef]
- Kumar, A.; Pappachan, J.M.; Fernandez, C.J. Catecholamine-induced cardiomyopathy: An endocrinologist’s perspective. Rev. Cardiovasc. Med. 2021, 22, 1215. [Google Scholar] [CrossRef]
- Januszewicz, A.; Mulatero, P.; Dobrowolski, P.; Monticone, S.; Van der Niepen, P.; Sarafidis, P.; Reincke, M.; Rexhaj, E.; Eisenhofer, G.; Januszewicz, M.; et al. Cardiac Phenotypes in Secondary Hypertension: JACC State-of-the-Art Review. J. Am. Coll. Cardiol. 2022, 80, 1480–1497. [Google Scholar] [CrossRef]
- Eisenhofer, G.; Prejbisz, A.; Peitzsch, M.; Pamporaki, C.; Masjkur, J.; Rogowski-Lehmann, N.; Langton, K.; Tsourdi, E.; Pęczkowska, M.; Fliedner, S.; et al. Biochemical Diagnosis of Chromaffin Cell Tumors in Patients at High and Low Risk of Disease: Plasma versus Urinary Free or Deconjugated O-Methylated Catecholamine Metabolites. Clin. Chem. 2018, 64, 1646–1656. [Google Scholar] [CrossRef]
- Eisenhofer, G.; Goldstein, D.S.; Walther, M.M.; Friberg, P.; Lenders, J.W.M.; Keiser, H.R.; Pacak, K. Biochemical diagnosis of pheochromocytoma: How to distinguish true- from false-positive test results. J. Clin. Endocrinol. Metab. 2003, 88, 2656–2666. [Google Scholar] [CrossRef] [PubMed]
- Nölting, S.; Bechmann, N.; Taieb, D.; Beuschlein, F.; Fassnacht, M.; Kroiss, M.; Eisenhofer, G.; Grossman, A.; Pacak, K. Personalized Management of Pheochromocytoma and Paraganglioma. Endocr. Rev. 2022, 43, 199–239. [Google Scholar] [CrossRef] [PubMed]
- Eisenhofer, G.; Huynh, T.-T.; Pacak, K.; Brouwers, F.M.; Walther, M.M.; Linehan, W.M.; Munson, P.J.; Mannelli, M.; Goldstein, D.S.; Elkahloun, A.G. Distinct gene expression profiles in norepinephrine- and epinephrine-producing hereditary and sporadic pheochromocytomas: Activation of hypoxia-driven angiogenic pathways in von Hippel-Lindau syndrome. Endocr. Relat. Cancer 2004, 11, 897–911. [Google Scholar] [CrossRef] [PubMed]
- Timmers, H.J.L.M.; Kozupa, A.; Eisenhofer, G.; Raygada, M.; Adams, K.T.; Solis, D.; Lenders, J.W.M.; Pacak, K. Clinical presentations, biochemical phenotypes, and genotype-phenotype correlations in patients with succinate dehydrogenase subunit B-associated pheochromocytomas and paragangliomas. J. Clin. Endocrinol. Metab. 2007, 92, 779–786. [Google Scholar] [CrossRef]
- Crona, J.; Lamarca, A.; Ghosal, S.; Welin, S.; Skogseid, B.; Pacak, K. Genotype-phenotype correlations in pheochromocytoma and paraganglioma: A systematic review and individual patient meta-analysis. Endocr. Relat. Cancer 2019, 26, 539–550. [Google Scholar] [CrossRef]
- Fassnacht, M.; Assie, G.; Baudin, E.; Eisenhofer, G.; de la Fouchardiere, C.; Haak, H.R.; de Krijger, R.; Porpiglia, F.; Terzolo, M.; Berruti, A. Adrenocortical carcinomas and malignant phaeochromocytomas: ESMO–EURACAN Clinical Practice Guidelines for diagnosis, treatment and follow-up. Ann. Oncol. 2020, 31, 1476–1490. [Google Scholar] [CrossRef]
- Plouin, P.F.; Amar, L.; Dekkers, O.M.; Fassnacht, M.; Gimenez-Roqueplo, A.P.; Lenders, J.W.M.; Lussey-Lepoutre, C.; Steichen, O. Guideline Working Group European Society of Endocrinology Clinical Practice Guideline for long-term follow-up of patients operated on for a phaeochromocytoma or a paraganglioma. Eur. J. Endocrinol. 2016, 174, G1–G10. [Google Scholar] [CrossRef]
- Gruber, L.M.; Erickson, D.; Babovic-Vuksanovic, D.; Thompson, G.B.; Young, W.F.; Bancos, I. Pheochromocytoma and paraganglioma in patients with neurofibromatosis type 1. Clin. Endocrinol. 2017, 86, 141–149. [Google Scholar] [CrossRef]
- Dupuis, H.; Chevalier, B.; Cardot-Bauters, C.; Jannin, A.; Do Cao, C.; Ladsous, M.; Cortet, C.; Merlen, E.; Drouard, M.; Aubert, S.; et al. Prevalence of Endocrine Manifestations and GIST in 108 Systematically Screened Patients With Neurofibromatosis Type 1. J. Endocr. Soc. 2023, 7, bvad083. [Google Scholar] [CrossRef]
- Bausch, B.; Schiavi, F.; Ni, Y.; Welander, J.; Patocs, A.; Ngeow, J.; Wellner, U.; Malinoc, A.; Taschin, E.; Barbon, G.; et al. Clinical Characterization of the Pheochromocytoma and Paraganglioma Susceptibility Genes SDHA, TMEM127, MAX, and SDHAF2 for Gene-Informed Prevention. JAMA Oncol. 2017, 3, 1204–1212. [Google Scholar] [CrossRef]
- American Thyroid Association Guidelines Task Force; Kloos, R.T.; Eng, C.; Evans, D.B.; Francis, G.L.; Gagel, R.F.; Gharib, H.; Moley, J.F.; Pacini, F.; Ringel, M.D.; et al. Medullary thyroid cancer: Management guidelines of the American Thyroid Association. Thyroid 2009, 19, 565–612. [Google Scholar] [CrossRef] [PubMed]
- Welander, J.; Söderkvist, P.; Gimm, O. Genetics and clinical characteristics of hereditary pheochromocytomas and paragangliomas. Endocr.-Relat. Cancer 2011, 18, R253–R276. [Google Scholar] [CrossRef] [PubMed]
- Neumann, H.P.H.; Bausch, B.; McWhinney, S.R.; Bender, B.U.; Gimm, O.; Franke, G.; Schipper, J.; Klisch, J.; Altehoefer, C.; Zerres, K.; et al. Germ-line mutations in nonsyndromic pheochromocytoma. N. Engl. J. Med. 2002, 346, 1459–1466. [Google Scholar] [CrossRef] [PubMed]
- Burnichon, N.; Rohmer, V.; Amar, L.; Herman, P.; Leboulleux, S.; Darrouzet, V.; Niccoli, P.; Gaillard, D.; Chabrier, G.; Chabolle, F.; et al. The succinate dehydrogenase genetic testing in a large prospective series of patients with paragangliomas. J. Clin. Endocrinol. Metab. 2009, 94, 2817–2827. [Google Scholar] [CrossRef]
- Burnichon, N.; Mazzella, J.-M.; Drui, D.; Amar, L.; Bertherat, J.; Coupier, I.; Delemer, B.; Guilhem, I.; Herman, P.; Kerlan, V.; et al. Risk assessment of maternally inherited SDHD paraganglioma and phaeochromocytoma. J. Med. Genet. 2017, 54, 125–133. [Google Scholar] [CrossRef]
- Burnichon, N.; Cascón, A.; Schiavi, F.; Morales, N.P.; Comino-Méndez, I.; Abermil, N.; Inglada-Pérez, L.; de Cubas, A.A.; Amar, L.; Barontini, M.; et al. MAX mutations cause hereditary and sporadic pheochromocytoma and paraganglioma. Clin. Cancer Res. 2012, 18, 2828–2837. [Google Scholar] [CrossRef]
- Castro-Vega, L.J.; Buffet, A.; De Cubas, A.A.; Cascón, A.; Menara, M.; Khalifa, E.; Amar, L.; Azriel, S.; Bourdeau, I.; Chabre, O.; et al. Germline mutations in FH confer predisposition to malignant pheochromocytomas and paragangliomas. Hum. Mol. Genet. 2014, 23, 2440–2446. [Google Scholar] [CrossRef]
- Taïeb, D.; Hicks, R.J.; Hindié, E.; Guillet, B.A.; Avram, A.; Ghedini, P.; Timmers, H.J.; Scott, A.T.; Elojeimy, S.; Rubello, D.; et al. European Association of Nuclear Medicine Practice Guideline/Society of Nuclear Medicine and Molecular Imaging Procedure Standard 2019 for radionuclide imaging of phaeochromocytoma and paraganglioma. Eur. J. Nucl. Med. Mol. Imaging 2019, 46, 2112–2137. [Google Scholar] [CrossRef]
- Taïeb, D.; Jha, A.; Treglia, G.; Pacak, K. Molecular imaging and radionuclide therapy of pheochromocytoma and paraganglioma in the era of genomic characterization of disease subgroups. Endocr. Relat. Cancer 2019, 26, R627–R652. [Google Scholar] [CrossRef]
- Fiebrich, H.-B.; Brouwers, A.H.; Kerstens, M.N.; Pijl, M.E.J.; Kema, I.P.; de Jong, J.R.; Jager, P.L.; Elsinga, P.H.; Dierckx, R.A.J.O.; van der Wal, J.E.; et al. 6-[F-18]Fluoro-L-dihydroxyphenylalanine positron emission tomography is superior to conventional imaging with (123)I-metaiodobenzylguanidine scintigraphy, computer tomography, and magnetic resonance imaging in localizing tumors causing catecholamine excess. J. Clin. Endocrinol. Metab. 2009, 94, 3922–3930. [Google Scholar] [CrossRef]
- Fonte, J.S.; Robles, J.F.; Chen, C.C.; Reynolds, J.; Whatley, M.; Ling, A.; Mercado-Asis, L.B.; Adams, K.T.; Martucci, V.; Fojo, T.; et al. False-negative 123I-MIBG SPECT is most commonly found in SDHB-related pheochromocytoma or paraganglioma with high frequency to develop metastatic disease. Endocr. Relat. Cancer 2012, 19, 83–93. [Google Scholar] [CrossRef] [PubMed]
- Wachtel, H.; Hutchens, T.; Baraban, E.; Schwartz, L.E.; Montone, K.; Baloch, Z.; LiVolsi, V.; Krumeich, L.; Fraker, D.L.; Nathanson, K.L.; et al. Predicting Metastatic Potential in Pheochromocytoma and Paraganglioma: A Comparison of PASS and GAPP Scoring Systems. J. Clin. Endocrinol. Metab. 2020, 105, e4661–e4670. [Google Scholar] [CrossRef] [PubMed]
- Tiberio, G.A.M. (Ed.) Primary Adrenal Malignancies; Updates in Surgery; Springer Nature: Cham, Switzerland, 2025; ISBN 978-3-031-62300-4. [Google Scholar]
- Koh, J.-M.; Ahn, S.H.; Kim, H.; Kim, B.-J.; Sung, T.-Y.; Kim, Y.H.; Hong, S.J.; Song, D.E.; Lee, S.H. Validation of pathological grading systems for predicting metastatic potential in pheochromocytoma and paraganglioma. PLoS ONE 2017, 12, e0187398. [Google Scholar] [CrossRef] [PubMed]
- Wells, S.A.; Asa, S.L.; Dralle, H.; Elisei, R.; Evans, D.B.; Gagel, R.F.; Lee, N.; Machens, A.; Moley, J.F.; Pacini, F.; et al. Revised American Thyroid Association guidelines for the management of medullary thyroid carcinoma. Thyroid 2015, 25, 567–610. [Google Scholar] [CrossRef]
- Castro-Vega, L.J.; Letouzé, E.; Burnichon, N.; Buffet, A.; Disderot, P.-H.; Khalifa, E.; Loriot, C.; Elarouci, N.; Morin, A.; Menara, M.; et al. Multi-omics analysis defines core genomic alterations in pheochromocytomas and paragangliomas. Nat. Commun. 2015, 6, 6044. [Google Scholar] [CrossRef]
- Schultz, K.A.P.; Rednam, S.P.; Kamihara, J.; Doros, L.; Achatz, M.I.; Wasserman, J.D.; Diller, L.R.; Brugières, L.; Druker, H.; Schneider, K.A.; et al. PTEN, DICER1, FH, and Their Associated Tumor Susceptibility Syndromes: Clinical Features, Genetics, and Surveillance Recommendations in Childhood. Clin. Cancer Res. 2017, 23, e76–e82. [Google Scholar] [CrossRef]
- Nölting, S.; Ullrich, M.; Pietzsch, J.; Ziegler, C.G.; Eisenhofer, G.; Grossman, A.; Pacak, K. Current Management of Pheochromocytoma/Paraganglioma: A Guide for the Practicing Clinician in the Era of Precision Medicine. Cancers 2019, 11, 1505. [Google Scholar] [CrossRef]



| Signs and Symptoms | Frequency | Significant Differences in Patients with PHEO/PGL vs Controls * | Pooled Sensitivity (Median%; 95% CI) ** |
|---|---|---|---|
| Hypertension (all) | ++++ | No | 80.7 (74.7–85) |
| Hypertension (sustained) | ++++ | 36.3 (20.5–53.9) | |
| Hypertension (paroxysmal) | ++++ | 36.5(24.6–49.3) | |
| Hypertension (sustained or paroxysmal) | ++++ | 29.4 (17.3–43.1) | |
| Postural hypotension | ++++ | 23–50 *** | |
| Tachycardia or reflex bradycardia | ++++ | Yes | |
| Palpitations | ++++ | Yes | 59.3 (51.9–66.6) |
| Headaches | ++++ | No | 60.4 (53.2–67.4) |
| Weakness, fatigue | ++++ | Yes | 23.8 (15.7–33.9) |
| Tremor | ++++ | Yes | 20.2 (14.5–26.6) |
| Diaphoresis | ++++ | Yes | 52.4 (0.46–59.1) |
| Classic triad (headache, diaphoresis, tachycardia) | ++++ | 58 (28.6–84.7) | |
| Anxiety | ++++ | No | 28.6 (22.9–34.7) |
| Pallor | +++ | Yes | 31.6 (17.3–47.9) |
| Fasting hyperglycemia | ++ | ||
| Nausea/vomiting | ++ | Yes | 21.2 (16–26.7) |
| Weight loss | ++ | Yes | |
| Flushing | ++ | No | 15 (9.3–21.7) |
| Chest pain | + | 17.3 (11.4–24.2) | |
| Abdominal pain | + | 16.5 (11.9–21.6) | |
| Paresthesia | + | 13.6 (10–17.8) | |
| Dyspnea | + | 23.4 (16.2–31.5) | |
| Dizziness | + | No | 17.7 (13.5–22.3) |
| Decreased gastrointestinal motility | + | ||
| Constipation | + | Yes | 13.8 (32.2–29.9) |
| Diarrhea | + | 4 (0.8–9.4) | |
| Visual disturbances | + | 9.6 (5.6–14.6) |
| Clinical Contexts Requiring Screening for Pheochromocytoma and Sympathetic Paraganglioma |
|---|
| Patients with signs and symptoms of PPGL: spontaneous or provoked |
| Patients with cardiovascular events and signs/symptoms indicative for PPGL; |
| Finding of adrenal incidentaloma (with or without hypertension), if density is more than 10HU |
| Young (≤50 years), lean individuals (BMI < 25 kg/m2) with type 2 diabetes, with or without signs/symptoms of catecholamine excess |
| Carriers of a germline mutation in one of the PPGL susceptibility genes |
| Patients with syndromic features suggesting genetically determined or syndromic PPG |
| Patients with previous history or family history of PPGL |
| Plasma | Urine | |||
|---|---|---|---|---|
| NMN | MN | NMN | MN | |
| Acetaminophen | ++ | − | ++ | − |
| Labetalol | − | − | ++ | ++ |
| Sotalol | − | − | ++ | ++ |
| α-Methyldopa | ++ | − | ++ | − |
| Tricyclic antidepressants | ++ | − | ++ | − |
| Buspirone | − | ++ | − | ++ |
| Phenoxybenzamine | ++ | − | ++ | − |
| MAO-inhibitors | ++ | ++ | ++ | ++ |
| Sympathomimetics | + | + | + | + |
| Cocaine | ++ | + | ++ | + |
| Sulphasalazine | ++ | − | ++ | − |
| Levodopa | + | + | ++ | + |
| GENE (Syndrome) | CLINICAL MANIFESTATIONS | |||||||||
|---|---|---|---|---|---|---|---|---|---|---|
| PPGLS | OTHER MALIGNANCIES | |||||||||
| Penetrance in Carriers | Metastatic Risk | Tumor Location | Surveillance | Tumor Location | Survelliance | |||||
| Clinical Evaluation | Biochemistry | Imaging | Age of Beginning | Best Functional Imaging | ||||||
| NF1 (Neurofibromatosis type 1) | 3% | 10–12% | Adrenal (bilateral 15%) >>TA | Every 1 year | Every 2 years | Only if abnormal biochemistry | From 14 years | 18F-DOPA PET/CT | MPNST | Local MRI and/or 18FDG-PET if clinical suspicion |
| GIST | Abdominal ultrasound every 2 year | |||||||||
| Breast cancer | Mammography every 1 year from age of 25 | |||||||||
| RET (MEN 2) | 20–50% | <5% | Adrenal (bilateral 50–70%) >>>TA/HN | Every 1 year | Every 1 year | Only if abnormal biochemistry | From 8–10 years | 18F-DOPA PET/CT | Medullary thyroid cancer | Prophylactic thyroidectomy according to MTC ATA risk |
| Primary Hyperparathyrodism | Calcium metabolism every 1 year | |||||||||
| VHL (Von Hippel Lindau Syndrome) | 20–24% | 5–8% | Adrenal (bilateral 50%) >>>TA/HN | Every 1 year | Every 1 year | Total body MRI every 2 years (also for other abdominal tumors) | From 4 years | 18F-DOPA PET/CT | Central nervous system hemangiomas | MRI brain and full spine every 1–2 years from age of 16 |
| Retinal hemangiomas | Ophthalmic examination every year from the age of 1 | |||||||||
| Renal cell cancer and neuroendocrine tumors | Abdominal US every 1 from the age of 12 | |||||||||
| Endolymphatic sac tumors | Audiogram every 2–3 years from the age of 16 | |||||||||
| SDHB (PGL4) | 25–40% | 35–75% | TA > HN > Adrenal | Every 1 year | Every 1 year | Total body MRI every 2–3 years | From 6–10 years | 68Ga-DOTA-SSA PET/CT | Renal cancer | Abdomen MRI every 2–3 years |
| GIST | Abdomen MRI every 2–3 years | |||||||||
| SDHD (PGL1) | 40–80% | 15–29% | HN > TA > Adrenal | Every 1 year | Every 1 year | Total body MRI every 2–3 years | From 10–15 years | 68Ga-DOTA-SSA PET/CT | Renal cancer | Abdomen MRI every 2–3 years |
| GIST | Abdomen MRI every 2–3 years | |||||||||
| SDHC (PGL3) | 25% | low | HN > TA > Adrenal | Every 1 year | Every 1 year | Total body MRI every 2–3 years | From 10–15 years | 68Ga-DOTA-SSA PET/CT | Renal cancer | Abdomen MRI every 2–3 years |
| GIST | Abdomen MRI every 2–3 years | |||||||||
| SDHA (PGL6) | 10% | 30–66% | TA >>> Adrenal | Every 1 year | Every 1 year | Total body MRI every 2–3 years | From 10–15 years | 68Ga-DOTA-SSA PET/CT | ||
| SDHAF2 (PGL2) | Probably high (>50%) | low | HN >> Adrenal | Every 1 year | Every 1 year | Total body MRI every 2–3 years | From 10–15 years | 68Ga-DOTA-SSA PET/CT | ||
| TMEM127 (PGL5) | Unknown | low | Adrenal (bilateral 40%)>TA/HN | Every 1 year | Every 1 year | Abdomianl MRI every 2–3 years | 18F-DOPA PET/CT | |||
| MAX (PGL7) | Probably high | <10% | Adrenal (bilateral 50–60%) > TA/HN | Every 1 year | Every 1 year | Abdomianl MRI every 2–3 years | 18F-DOPA PET/TCT | |||
| FH (HLRCC) | Probably low | 30% | Adrenal +TA > HN | Every 1 year | Every 1 year | Abdominal MRI | From 18 years | 68Ga-DOTA-SSA PET/CT | Leiomyomatosis | Gynaecologic evaluation every year from age of 20 |
| Renal cancer | Abdominal MRI every year from age of 8 | |||||||||
| SPORADIC PPGL | PASS and/or GAPP score | TA > Adrenal | Every year for 10 years (life long if high risk * PPGL) | Every year for 10 years (life long if high risk * PPGL) | Abominal CT/US every 1 or 2 years in Adrenal location - Neck US o MRI in HN PGL | 18F-DOPA PET/CT or 123I MIBG scintigraphy (in Adrenal location) | ||||
| CLUSTER | SIGNALING PATHWAYS | GERMLINE MUTATIONS | BIOCHEMICAL PHENOTYPE | BEST FUNCTIONAL IMAGING | |
|---|---|---|---|---|---|
| GENE | Frequency | ||||
| Cluster 1 A | Pseudohypoxic Krebs cycle | SDHA | 5–7% | Normetanephrine and 3methoxythyramine | 68Ga-DOTA-SSA PET |
| SDHB | 10% | ||||
| SDHC | 1% | ||||
| SDHD | 9% | ||||
| SDHAF2 | <1% | ||||
| FH | 1% | ||||
| Cluster 1 B | Pseudohypoxia VHL/EPAS | VHL | 5–7% | Normetanephrine | 18F-DOPA PET/TC |
| EPAS/HIF1α | Not known | ||||
| Cluster 2 | Kinase signaling | RET | 6% | Metanephrine | 18F-DOPA PET/TC |
| NF1 | <2–3% | ||||
| TMEM127 | 1–2% | ||||
| MAX | 1% | ||||
| Cluster 3 | Wnt signaling | No germline mutations | Not known | ||
| PASS PARAMETERS | POINTS |
|---|---|
| Nuclear Hyperchromasia | 1 |
| Profound nuclear pleomorphism | 1 |
| Capsular invasion | 1 |
| Valscular invasion | 1 |
| Extension into periadrenal adipose tissue | 2 |
| Atypical mitotic figures | 2 |
| >3 mitotic figures/10 high-power field | 2 |
| Tumour cell spindling | 2 |
| Cellular monotony | 2 |
| High cellularity | 2 |
| Central or confluent tumour necrosis | 2 |
| Large nests or diffuse growth (>105 of tumor volume) | 2 |
| Total maximum score | 20 |
| GAPP PARAMETERS | POINTS |
|---|---|
| Histological pattern | |
| Zellballen | 0 |
| Large and irregular nest | 1 |
| Pseudorosette (even focal) | 1 |
| Comedo-type necrosis | |
| Absence | 0 |
| Presence | 2 |
| Cellularity | |
| Low (<150 cells/U) | 0 |
| Moderate (150–250 cells/U) | 1 |
| High (>250 cells/U) | 2 |
| Ki67 labeling index (%) | |
| <1 | 0 |
| 1–3 | 1 |
| >3 | 2 |
| Vascular or capsular invasion | |
| Absence | 0 |
| Presence | 2 |
| Catecholamine type | |
| Non-functioning | 0 |
| Adrenergic type | 0 |
| Noradrenergic type | 1 |
| Total maximum score | 10 |
Disclaimer/Publisher’s Note: The statements, opinions and data contained in all publications are solely those of the individual author(s) and contributor(s) and not of MDPI and/or the editor(s). MDPI and/or the editor(s) disclaim responsibility for any injury to people or property resulting from any ideas, methods, instructions or products referred to in the content. |
© 2024 by the authors. Licensee MDPI, Basel, Switzerland. This article is an open access article distributed under the terms and conditions of the Creative Commons Attribution (CC BY) license (https://creativecommons.org/licenses/by/4.0/).
Share and Cite
Giacché, M.; Tacchetti, M.C.; Agabiti-Rosei, C.; Torlone, F.; Bandera, F.; Izzi, C.; Agabiti-Rosei, E. Pheochromocytoma–Paraganglioma Syndrome: A Multiform Disease with Different Genotype and Phenotype Features. Biomedicines 2024, 12, 2385. https://doi.org/10.3390/biomedicines12102385
Giacché M, Tacchetti MC, Agabiti-Rosei C, Torlone F, Bandera F, Izzi C, Agabiti-Rosei E. Pheochromocytoma–Paraganglioma Syndrome: A Multiform Disease with Different Genotype and Phenotype Features. Biomedicines. 2024; 12(10):2385. https://doi.org/10.3390/biomedicines12102385
Chicago/Turabian StyleGiacché, Mara, Maria Chiara Tacchetti, Claudia Agabiti-Rosei, Francesco Torlone, Francesco Bandera, Claudia Izzi, and Enrico Agabiti-Rosei. 2024. "Pheochromocytoma–Paraganglioma Syndrome: A Multiform Disease with Different Genotype and Phenotype Features" Biomedicines 12, no. 10: 2385. https://doi.org/10.3390/biomedicines12102385
APA StyleGiacché, M., Tacchetti, M. C., Agabiti-Rosei, C., Torlone, F., Bandera, F., Izzi, C., & Agabiti-Rosei, E. (2024). Pheochromocytoma–Paraganglioma Syndrome: A Multiform Disease with Different Genotype and Phenotype Features. Biomedicines, 12(10), 2385. https://doi.org/10.3390/biomedicines12102385

