Evaluation of Cartilage Integrity Following Administration of Oral and Intraarticular Nifedipine in a Murine Model of Osteoarthritis
Abstract
1. Introduction
2. Materials and Methods
2.1. Animals and Model Induction
2.2. Animal Treatment Groups
- Healthy (healthy animals without treatment);
- Nifedipine per os (20 mg/kg, 5 times per week, excluding weekends);
- Nifedipine i.a. (20 mg/kg, 1 time per week);
- NMD (OA model group without treatment);
- MMD+nifedipine per os (20 mg/kg, 5 times per week, excluding weekends);
- MMD+nifedipine intraarticularly (i.a.) (20 mg/kg (1 time per week).
2.3. Histological and Immunohistochemical Assessment
2.4. Magnetic Luminex Assay
2.5. Statistical Analysis
3. Results
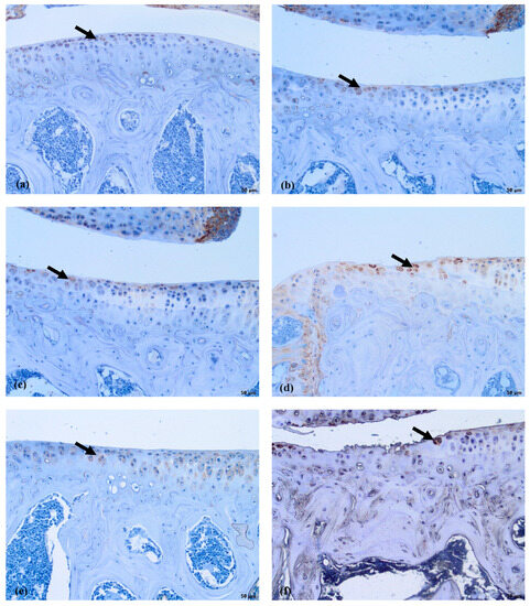
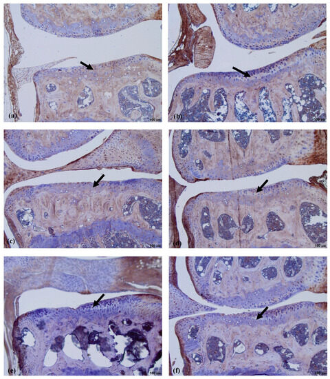
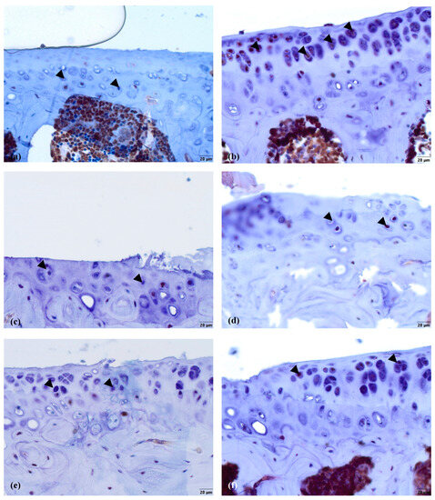
3.1. Effect of Nifedipine Treatment on Cartilage Tissues of Healthy and Osteoarthritis Model Mice
3.2. Nifedipine Effects on Cartilage Tissue Biomarkers
3.3. Systemic Response of the Biomarkers in Healthy and OA Mice Models after Treatment
4. Discussion
5. Conclusions
6. Study Limitation
Author Contributions
Funding
Institutional Review Board Statement
Data Availability Statement
Acknowledgments
Conflicts of Interest
Abbreviations
| CILP | cartilage intermediate layer protein. |
| COLVI | collagen type VI. |
| DMSO | dimethyl sulfoxide. |
| ECM | extracellular matrix. |
| i.a. | intraarticular. |
| i.e., | id est—that is. |
| LFC | lateral femoral condyle. |
| LTP | lateral tibial plateau. |
| MFC | medial femoral condyle. |
| MMD | medial meniscus destabilization. |
| MMP | matrix metalloproteinase. |
| MTP | medial tibial plateau. |
| NIF | nifedipine (this abbreviation was used only in figures). |
| OA | osteoarthritis. |
| OARSI | OsteoArthritis Research Society International. |
| TSP-4 | thrombospondin-4. |
| VGCC | voltage-gated calcium channel. |
References
- Long, H.; Liu, Q.; Yin, H.; Wang, K.; Diao, N.; Zhang, Y.; Lin, J.; Guo, A. Prevalence Trends of Site-Specific Osteoarthritis From 1990 to 2019: Findings from the Global Burden of Disease Study 2019. Arthritis Rheumatol. 2022, 74, 1172–1183. [Google Scholar] [CrossRef] [PubMed]
- Kennedy, S.; Tambiah, J.R.S.; Lane, N.E. Osteoarthritis today: Lost in translation? Best. Pract. Res. Clin. Rheumatol. 2022, 36, 101810. [Google Scholar] [CrossRef] [PubMed]
- Tocci, G.; Battistoni, A.; Passerini, J.; Musumeci, M.B.; Francia, P.; Ferrucci, A.; Volpe, M. Calcium channel blockers and hypertension. J. Cardiovasc. Pharmacol. Ther. 2015, 20, 121–130. [Google Scholar] [CrossRef] [PubMed]
- Rampe, D.; Triggle, D.J. New ligands for L-type Ca2+ channels. Trends Pharmacol. Sci. 1990, 11, 112–115. [Google Scholar] [CrossRef] [PubMed]
- Pettenuzzo, S.; Arduino, A.; Belluzzi, E.; Pozzuoli, A.; Fontanella, C.G.; Ruggieri, P.; Salomoni, V.; Majorana, C.; Berardo, A. Biomechanics of Chondrocytes and Chondrons in Healthy Conditions and Osteoarthritis: A Review of the Mechanical Characterisations at the Microscale. Biomedicines 2023, 11, 1942. [Google Scholar] [CrossRef]
- Chen, D.; Shen, J.; Zhao, W.; Wang, T.; Han, L.; Hamilton, J.L.; Im, H.J. Osteoarthritis: Toward a comprehensive understanding of pathological mechanism. Bone Res. 2017, 5, 16044. [Google Scholar] [CrossRef]
- Vaiciuleviciute, R.; Uzieliene, I.; Bernotas, P.; Novickij, V.; Alaburda, A.; Bernotiene, E. Electrical Stimulation in Cartilage Tissue Engineering. Bioengineering 2023, 10, 454. [Google Scholar] [CrossRef]
- Uzieliene, I.; Bironaite, D.; Bernotas, P.; Sobolev, A.; Bernotiene, E. Mechanotransducive Biomimetic Systems for Chondrogenic Differentiation In Vitro. Int. J. Mol. Sci. 2021, 22, 9690. [Google Scholar] [CrossRef]
- Lo, K.; Au, M.; Ni, J.; Wen, C. Association between hypertension and osteoarthritis: A systematic review and meta-analysis of observational studies. J. Orthop. Translat. 2022, 32, 12–20. [Google Scholar] [CrossRef]
- Ching, K.; Houard, X.; Berenbaum, F.; Wen, C. Hypertension meets osteoarthritis—revisiting the vascular aetiology hypothesis. Nat. Rev. Rheumatol. 2021, 17, 533–549. [Google Scholar] [CrossRef]
- Zhang, Y.M.; Wang, J.; Liu, X.G. Association between hypertension and risk of knee osteoarthritis: A meta-analysis of observational studies. Medicine 2017, 96, e7584. [Google Scholar] [CrossRef]
- Matta, C.; Zakany, R.; Mobasheri, A. Voltage-dependent calcium channels in chondrocytes: Roles in health and disease. Curr. Rheumatol. Rep. 2015, 17, 43. [Google Scholar] [CrossRef] [PubMed]
- Bernotiene, E.; Bagdonas, E.; Kirdaite, G.; Bernotas, P.; Kalvaityte, U.; Uzieliene, I.; Thudium, C.S.; Hannula, H.; Lorite, G.S.; Dvir-Ginzberg, M.; et al. Emerging Technologies and Platforms for the Immunodetection of Multiple Biochemical Markers in Osteoarthritis Research and Therapy. Front. Med. 2020, 7, 572977. [Google Scholar] [CrossRef] [PubMed]
- Zelenski, N.A.; Leddy, H.A.; Sanchez-Adams, J.; Zhang, J.; Bonaldo, P.; Liedtke, W.; Guilak, F. Type VI Collagen Regulates Pericellular Matrix Properties, Chondrocyte Swelling, and Mechanotransduction in Mouse Articular Cartilage. Arthritis Rheumatol. 2015, 67, 1286–1294. [Google Scholar] [CrossRef] [PubMed]
- Braza-Boils, A.; Ferrandiz, M.L.; Terencio, M.C.; Alcaraz, M.J. Analysis of early biochemical markers and regulation by tin protoporphyrin IX in a model of spontaneous osteoarthritis. Exp. Gerontol. 2012, 47, 406–409. [Google Scholar] [CrossRef]
- Zimmermann, B.; Lange, K.; Mertens, P.; Bernimoulin, J.P. Inhibition of chondrogenesis and endochondral mineralization in vitro by different calcium channel blockers. Eur. J. Cell Biol. 1994, 63, 114–121. [Google Scholar]
- Oca, P.; Zaka, R.; Dion, A.S.; Freeman, T.A.; Williams, C.J. Phosphate and calcium are required for TGFbeta-mediated stimulation of ANK expression and function during chondrogenesis. J. Cell Physiol. 2010, 224, 540–548. [Google Scholar] [CrossRef]
- Takamatsu, A.; Ohkawara, B.; Ito, M.; Masuda, A.; Sakai, T.; Ishiguro, N.; Ohno, K. Verapamil protects against cartilage degradation in osteoarthritis by inhibiting Wnt/beta-catenin signaling. PLoS ONE 2014, 9, e92699. [Google Scholar] [CrossRef]
- Henao-Murillo, L.; Pastrama, M.I.; Ito, K.; van Donkelaar, C.C. The Relationship Between Proteoglycan Loss, Overloading-Induced Collagen Damage, and Cyclic Loading in Articular Cartilage. Cartilage 2021, 13, 1501S–1512S. [Google Scholar] [CrossRef]
- Daniilidis, K.; Georges, P.; Tibesku, C.O.; Prehm, P. Positive side effects of Ca antagonists for osteoarthritic joints-results of an in vivo pilot study. J. Orthop. Surg. Res. 2015, 10, 1. [Google Scholar] [CrossRef]
- Ansari, M.Y.; Ahmad, N.; Haqqi, T.M. Oxidative stress and inflammation in osteoarthritis pathogenesis: Role of polyphenols. Biomed. Pharmacother. 2020, 129, 110452. [Google Scholar] [CrossRef] [PubMed]
- Yao, J.; Long, H.; Zhao, J.; Zhong, G.; Li, J. Nifedipine inhibits oxidative stress and ameliorates osteoarthritis by activating the nuclear factor erythroid-2-related factor 2 pathway. Life Sci. 2020, 253, 117292. [Google Scholar] [CrossRef] [PubMed]
- He, T.; Wu, D.; He, L.; Wang, X.; Yang, B.; Li, S.; Chen, Y.; Wang, K.; Chen, R.; Liu, B.; et al. Casein kinase 1 epsilon facilitates cartilage destruction in osteoarthritis through JNK pathway. FASEB J. 2020, 34, 6466–6478. [Google Scholar] [CrossRef]
- Vaiciuleviciute, R.; Bironaite, D.; Uzieliene, I.; Mobasheri, A.; Bernotiene, E. Cardiovascular Drugs and Osteoarthritis: Effects of Targeting Ion Channels. Cells 2021, 10, 2572. [Google Scholar] [CrossRef] [PubMed]
- Aune, T.M.H. Inhibition of Arthritis by L-Type Calcium Channel Antagonists Nimodipine, Nisoldipine and Nifedipine. U.S. Patent 5,478,848, 26 December 1995. [Google Scholar]
- Kaspiris, A.; Chronopoulos, E.; Vasiliadis, E.; Khaldi, L.; Melissaridou, D.; Iliopoulos, I.D.; Savvidou, O.D. Sex, but not age and bone mass index positively impact on the development of osteochondral micro-defects and the accompanying cellular alterations during osteoarthritis progression. Chronic Dis. Transl. Med. 2022, 8, 41–50. [Google Scholar] [CrossRef] [PubMed]
- Wan, J.; Zhang, G.; Li, X.; Qiu, X.; Ouyang, J.; Dai, J.; Min, S. Matrix Metalloproteinase 3: A Promoting and Destabilizing Factor in the Pathogenesis of Disease and Cell Differentiation. Front. Physiol. 2021, 12, 663978. [Google Scholar] [CrossRef]
- Ozeki, N.; Koga, H.; Sekiya, I. Degenerative Meniscus in Knee Osteoarthritis: From Pathology to Treatment. Life 2022, 12, 603. [Google Scholar] [CrossRef]
- Murphy, C.A.; Garg, A.K.; Silva-Correia, J.; Reis, R.L.; Oliveira, J.M.; Collins, M.N. The Meniscus in Normal and Osteoarthritic Tissues: Facing the Structure Property Challenges and Current Treatment Trends. Annu. Rev. Biomed. Eng. 2019, 21, 495–521. [Google Scholar] [CrossRef]
- Ardatov, O.; Aleksiuk, V.; Maknickas, A.; Stonkus, R.; Uzieliene, I.; Vaiciuleviciute, R.; Pachaleva, J.; Kvederas, G.; Bernotiene, E. Modeling the Impact of Meniscal Tears on von Mises Stress of Knee Cartilage Tissue. Bioengineering 2023, 1, 314. [Google Scholar] [CrossRef]
- Uzieliene, I.; Bernotiene, E.; Rakauskiene, G.; Denkovskij, J.; Bagdonas, E.; Mackiewicz, Z.; Porvaneckas, N.; Kvederas, G.; Mobasheri, A. The Antihypertensive Drug Nifedipine Modulates the Metabolism of Chondrocytes and Human Bone Marrow-Derived Mesenchymal Stem Cells. Front. Endocrinol. 2019, 10, 756. [Google Scholar] [CrossRef]
- Kamekura, S.; Hoshi, K.; Shimoaka, T.; Chung, U.; Chikuda, H.; Yamada, T.; Uchida, M.; Ogata, N.; Seichi, A.; Nakamura, K.; et al. Osteoarthritis development in novel experimental mouse models induced by knee joint instability. Osteoarthr. Cartil. 2005, 13, 632–641. [Google Scholar] [CrossRef] [PubMed]
- Glasson, S.S.; Chambers, M.G.; Van Den Berg, W.B.; Little, C.B. The OARSI histopathology initiative—recommendations for histological assessments of osteoarthritis in the mouse. Osteoarthr. Cartil. 2010, 18 (Suppl. S3), S17–S23. [Google Scholar] [CrossRef]
- Lorenzo, P.; Bayliss, M.T.; Heinegard, D. A novel cartilage protein (CILP) present in the mid-zone of human articular cartilage increases with age. J. Biol. Chem. 1998, 273, 23463–23468. [Google Scholar] [CrossRef]
- Soder, S.; Hambach, L.; Lissner, R.; Kirchner, T.; Aigner, T. Ultrastructural localization of type VI collagen in normal adult and osteoarthritic human articular cartilage. Osteoarthr. Cartil. 2002, 10, 464–470. [Google Scholar] [CrossRef]
- Pullig, O.; Weseloh, G.; Swoboda, B. Expression of type VI collagen in normal and osteoarthritic human cartilage. Osteoarthr. Cartil. 1999, 7, 191–202. [Google Scholar] [CrossRef] [PubMed]
- Jay, G.D.; Waller, K.A. The biology of lubricin: Near frictionless joint motion. Matrix Biol. 2014, 39, 17–24. [Google Scholar] [CrossRef]
- Waller, K.A.; Zhang, L.X.; Elsaid, K.A.; Fleming, B.C.; Warman, M.L.; Jay, G.D. Role of lubricin and boundary lubrication in the prevention of chondrocyte apoptosis. Proc. Natl. Acad. Sci. USA 2013, 110, 5852–5857. [Google Scholar] [CrossRef]
- Chau, M.; Dou, Z.; Baroncelli, M.; Landman, E.B.; Bendre, A.; Kanekiyo, M.; Gkourogianni, A.; Barnes, K.; Ottosson, L.; Nilsson, O. The synovial microenvironment suppresses chondrocyte hypertrophy and promotes articular chondrocyte differentiation. NPJ Regen. Med. 2022, 7, 51. [Google Scholar] [CrossRef]
- Zhang, D.; Johnson, L.J.; Hsu, H.P.; Spector, M. Cartilaginous deposits in subchondral bone in regions of exposed bone in osteoarthritis of the human knee: Histomorphometric study of PRG4 distribution in osteoarthritic cartilage. J. Orthop. Res. 2007, 25, 873–883. [Google Scholar] [CrossRef] [PubMed]
- Li, L.T.; Jiang, G.; Chen, Q.; Zheng, J.N. Ki67 is a promising molecular target in the diagnosis of cancer (review). Mol. Med. Rep. 2015, 11, 1566–1572. [Google Scholar] [CrossRef]
- Bernotiene, E.; Palmer, G.; Gabay, C. The role of leptin in innate and adaptive immune responses. Arthritis Res. Ther. 2006, 8, 217. [Google Scholar] [CrossRef] [PubMed][Green Version]
- Francisco, V.; Perez, T.; Pino, J.; Lopez, V.; Franco, E.; Alonso, A.; Gonzalez-Gay, M.A.; Mera, A.; Lago, F.; Gomez, R.; et al. Biomechanics, obesity, and osteoarthritis. The role of adipokines: When the levee breaks. J. Orthop. Res. 2018, 36, 594–604. [Google Scholar] [CrossRef]
- Yusuf, E.; Nelissen, R.G.; Ioan-Facsinay, A.; Stojanovic-Susulic, V.; DeGroot, J.; van Osch, G.; Middeldorp, S.; Huizinga, T.W.; Kloppenburg, M. Association between weight or body mass index and hand osteoarthritis: A systematic review. Ann. Rheum. Dis. 2010, 69, 761–765. [Google Scholar] [CrossRef]
- de Boer, T.N.; van Spil, W.E.; Huisman, A.M.; Polak, A.A.; Bijlsma, J.W.; Lafeber, F.P.; Mastbergen, S.C. Serum adipokines in osteoarthritis; comparison with controls and relationship with local parameters of synovial inflammation and cartilage damage. Osteoarthr. Cartil. 2012, 20, 846–853. [Google Scholar] [CrossRef] [PubMed]
- Andres Sastre, E.; Maly, K.; Zhu, M.; Witte-Bouma, J.; Trompet, D.; Bohm, A.M.; Brachvogel, B.; van Nieuwenhoven, C.A.; Maes, C.; van Osch, G.; et al. Spatiotemporal distribution of thrombospondin-4 and -5 in cartilage during endochondral bone formation and repair. Bone 2021, 150, 115999. [Google Scholar] [CrossRef]
- Assi, L.; Whitley, G.; Howe, F.; Sofat, N. Novel biomarkers for osteoarthritis are linked to pain sensitization, bone marrow lesions and cartilage damage. Osteoarthr. Cartil. 2018, 26, S190–S191. [Google Scholar] [CrossRef]
- Maly, K.; Schaible, I.; Riegger, J.; Brenner, R.E.; Meurer, A.; Zaucke, F. The Expression of Thrombospondin-4 Correlates with Disease Severity in Osteoarthritic Knee Cartilage. Int. J. Mol. Sci. 2019, 20, 447. [Google Scholar] [CrossRef] [PubMed]
- Dreiner, M.; Munk, T.; Zaucke, F.; Liphardt, A.M.; Niehoff, A. Relationship between different serum cartilage biomarkers in the acute response to running and jumping in healthy male individuals. Sci. Rep. 2022, 12, 6434. [Google Scholar] [CrossRef] [PubMed]
- Miao, X.N.; Siu, K.L.; Cai, H. Nifedipine attenuation of abdominal aortic aneurysm in hypertensive and non-hypertensive mice: Mechanisms and implications. J. Mol. Cell Cardiol. 2015, 87, 152–159. [Google Scholar] [CrossRef]
- Huang, K.; Wu, Y.; Zhang, Y.; Youn, J.Y.; Cai, H. Combination of folic acid with nifedipine is completely effective in attenuating aortic aneurysm formation as a novel oral medication. Redox Biol. 2022, 58, 102521. [Google Scholar] [CrossRef]
- Zhang, Q.Y.; Fang, C.; Zhang, J.; Dunbar, D.; Kaminsky, L.; Ding, X. An intestinal epithelium-specific cytochrome P450 (P450) reductase-knockout mouse model: Direct evidence for a role of intestinal p450s in first-pass clearance of oral nifedipine. Drug Metab. Dispos. 2009, 37, 651–657. [Google Scholar] [CrossRef] [PubMed]
- Li, H.; Zhang, L.K.; Li, S.F.; Zhang, S.F.; Wan, W.W.; Zhang, Y.L.; Xin, Q.L.; Dai, K.; Hu, Y.Y.; Wang, Z.B.; et al. Calcium channel blockers reduce severe fever with thrombocytopenia syndrome virus (SFTSV) related fatality. Cell Res. 2019, 29, 739–753. [Google Scholar] [CrossRef] [PubMed]
- Armstrong, A.R.; Carlson, C.S.; Rendahl, A.K.; Loeser, R.F. Optimization of histologic grading schemes in spontaneous and surgically-induced murine models of osteoarthritis. Osteoarthr. Cartil. 2021, 29, 536–546. [Google Scholar] [CrossRef] [PubMed]
- Muinos-Lopez, E.; Rendal-Vazquez, M.E.; Hermida-Gomez, T.; Fuentes-Boquete, I.; Diaz-Prado, S.; Blanco, F.J. Cryopreservation effect on proliferative and chondrogenic potential of human chondrocytes isolated from superficial and deep cartilage. Open Orthop. J. 2012, 6, 150–159. [Google Scholar] [CrossRef] [PubMed]
- Bernardo, B.C.; Belluoccio, D.; Rowley, L.; Little, C.B.; Hansen, U.; Bateman, J.F. Cartilage intermediate layer protein 2 (CILP-2) is expressed in articular and meniscal cartilage and down-regulated in experimental osteoarthritis. J. Biol. Chem. 2011, 286, 37758–37767. [Google Scholar] [CrossRef]
- Kiernan, K.; MacIver, N.J. The Role of the Adipokine Leptin in Immune Cell Function in Health and Disease. Front. Immunol. 2020, 11, 622468. [Google Scholar] [CrossRef]
- Gowler, P.R.W.; Mapp, P.I.; Burston, J.J.; Shahtaheri, M.; Walsh, D.A.; Chapman, V. Refining surgical models of osteoarthritis in mice and rats alters pain phenotype but not joint pathology. PLoS ONE 2020, 15, e0239663. [Google Scholar] [CrossRef]
- Park, J.; Luo, Z.D. Calcium channel functions in pain processing. Channels 2010, 4, 510–517. [Google Scholar] [CrossRef]
- Antunes, F.T.T.; Campos, M.M.; Carvalho, V.P.R.; da Silva Junior, C.A.; Magno, L.A.V.; de Souza, A.H.; Gomez, M.V. Current Drug Development Overview: Targeting Voltage-Gated Calcium Channels for the Treatment of Pain. Int. J. Mol. Sci. 2023, 24, 9223. [Google Scholar] [CrossRef]












Disclaimer/Publisher’s Note: The statements, opinions and data contained in all publications are solely those of the individual author(s) and contributor(s) and not of MDPI and/or the editor(s). MDPI and/or the editor(s) disclaim responsibility for any injury to people or property resulting from any ideas, methods, instructions or products referred to in the content. |
© 2023 by the authors. Licensee MDPI, Basel, Switzerland. This article is an open access article distributed under the terms and conditions of the Creative Commons Attribution (CC BY) license (https://creativecommons.org/licenses/by/4.0/).
Share and Cite
Aleksiuk, V.; Baleisis, J.; Kirdaite, G.; Uzieliene, I.; Denkovskij, J.; Bernotas, P.; Ivaskiene, T.; Mobasheri, A.; Bernotiene, E. Evaluation of Cartilage Integrity Following Administration of Oral and Intraarticular Nifedipine in a Murine Model of Osteoarthritis. Biomedicines 2023, 11, 2443. https://doi.org/10.3390/biomedicines11092443
Aleksiuk V, Baleisis J, Kirdaite G, Uzieliene I, Denkovskij J, Bernotas P, Ivaskiene T, Mobasheri A, Bernotiene E. Evaluation of Cartilage Integrity Following Administration of Oral and Intraarticular Nifedipine in a Murine Model of Osteoarthritis. Biomedicines. 2023; 11(9):2443. https://doi.org/10.3390/biomedicines11092443
Chicago/Turabian StyleAleksiuk, Viktorija, Justinas Baleisis, Gailute Kirdaite, Ilona Uzieliene, Jaroslav Denkovskij, Paulius Bernotas, Tatjana Ivaskiene, Ali Mobasheri, and Eiva Bernotiene. 2023. "Evaluation of Cartilage Integrity Following Administration of Oral and Intraarticular Nifedipine in a Murine Model of Osteoarthritis" Biomedicines 11, no. 9: 2443. https://doi.org/10.3390/biomedicines11092443
APA StyleAleksiuk, V., Baleisis, J., Kirdaite, G., Uzieliene, I., Denkovskij, J., Bernotas, P., Ivaskiene, T., Mobasheri, A., & Bernotiene, E. (2023). Evaluation of Cartilage Integrity Following Administration of Oral and Intraarticular Nifedipine in a Murine Model of Osteoarthritis. Biomedicines, 11(9), 2443. https://doi.org/10.3390/biomedicines11092443

