Preclinical Studies on the Safety and Toxicity of Photoditazine in the Antibacterial Photodynamic Therapy of Uropathogenic Bacteria
Abstract
1. Introduction
2. Materials and Methods
2.1. Animal Care and Surgical Procedures
2.2. Photosensitizer Accumulation and Delivery of PDT
2.3. Blood Chemistry Tests
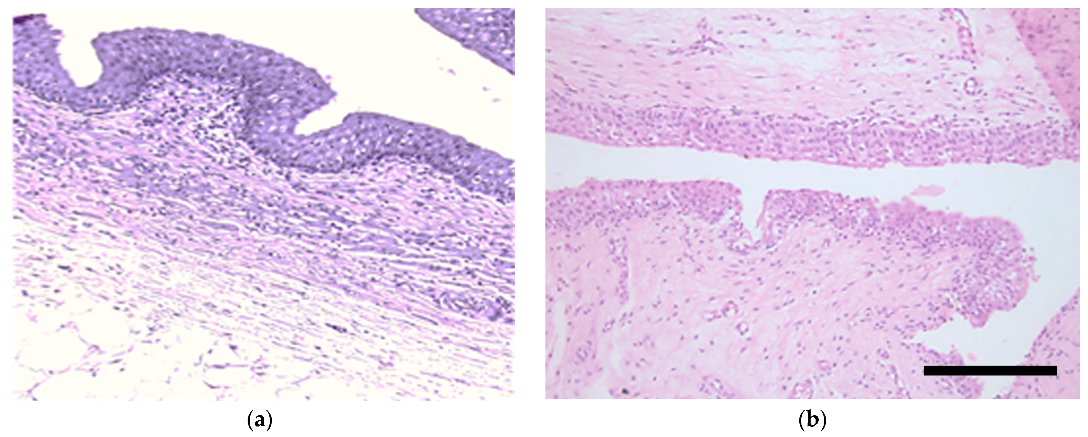
2.4. Histological Examination
3. Results
4. Discussion
5. Conclusions
Author Contributions
Funding
Institutional Review Board Statement
Data Availability Statement
Conflicts of Interest
References
- Cicerello, E.; Mangano, M.; Cova, G.D.; Merlo, F.; Maccatrozzo, L. Metabolic evaluation in patients with infected nephrolithiasis: Is it necessary? Arch. Ital. Urol. Androl. 2016, 88, 208–211. [Google Scholar] [CrossRef][Green Version]
- Romanova, Y.M.; Mulabaev, N.S.; Tolordava, E.R.; Seregin, A.V.; Seregin, I.V.; Alexeeva, N.V.; Stepanova, T.V.; Levina, G.A.; Barkhatova, O.I.; Gamova, N.A.; et al. Microbial communities on kidney stones. Mol. Genet. Microbiol. Virol. 2015, 30, 78–84. [Google Scholar] [CrossRef]
- Degirmenci, T.; Bozkurt, I.H.; Celik, S.; Yarimoglu, S.; Basmaci, I.; Sefik, E. Does leaving residual fragments after percutaneous nephrolithotomy in patients with positive stone culture and/or renal pelvic urine culture increase the risk of infectious complications? Urolithiasis 2019, 47, 371–375. [Google Scholar] [CrossRef] [PubMed]
- Liu, J.; Yang, Q.; Lan, J.; Hong, Y.; Huang, X.; Yang, B. Risk factors and prediction model of urosepsis in patients with diabetes after percutaneous nephrolithotomy. BMC Urol. 2021, 21, 74. [Google Scholar] [CrossRef] [PubMed]
- Koras, O.; Bozkurt, I.H.; Yonguc, T.; Degirmenci, T.; Arslan, B.; Gunlusoy, B.; Aydogdu, O.; Minareci, S. Risk factors for postoperative infectious complications following percutaneous nephrolithotomy: A prospective clinical study. Urolithiasis 2015, 43, 55–60. [Google Scholar] [CrossRef] [PubMed]
- Yang, T.; Liu, S.; Hu, J.; Wang, L.; Jiang, H. The Evaluation of Risk Factors for Postoperative Infectious Complications after Percutaneous Nephrolithotomy. Biomed. Res. Int. 2017, 2017, 4832051. [Google Scholar] [CrossRef]
- Ahmed, A.E.; Abol-Enein, H.; Awadalla, A.; El Degla, H.; El-Shehaby, O.A. Investigation of Virulence Genes of the Predominant Bacteria Associated with Renal Stones and their Correlation with Postoperative Septic Complications. Infect. Drug Resist. 2022, 15, 3643–3655. [Google Scholar] [CrossRef]
- Turk, C.; Petrik, A.; Sarica, K.; Seitz, C.; Skolarikos, A.; Straub, M.; Knoll, T. EAU Guidelines on Interventional Treatment for Urolithiasis. Eur. Urol. 2016, 69, 475–482. [Google Scholar] [CrossRef]
- Gonen, M.; Turan, H.; Ozturk, B.; Ozkardes, H. Factors affecting fever following percutaneous nephrolithotomy: A prospective clinical study. J. Endourol. 2008, 22, 2135–2138. [Google Scholar] [CrossRef]
- Menz, B.D.; Charani, E.; Gordon, D.L.; Leather, A.J.M.; Moonesinghe, S.R.; Phillips, C.J. Surgical Antibiotic Prophylaxis in an Era of Antibiotic Resistance: Common Resistant Bacteria and Wider Considerations for Practice. Infect. Drug Resist. 2021, 14, 5235–5252. [Google Scholar] [CrossRef]
- Kato, H.; Komagoe, K.; Inoue, T.; Masuda, K.; Katsu, T. Structure—Activity relationship of porphyrin-induced photoinactivation with membrane function in bacteria and erythrocytes. Photochem. Photobiol. Sci. 2018, 17, 954–963. [Google Scholar] [CrossRef]
- Luke-Marshall, N.R.; Hansen, L.A.; Shafirstein, G.; Campagnari, A.A. Antimicrobial Photodynamic Therapy with Chlorin e6 Is Bactericidal against Biofilms of the Primary Human Otopathogens. mSphere 2020, 5, 10–1128. [Google Scholar] [CrossRef] [PubMed]
- Biel, M.A.; Pedigo, L.; Gibbs, A.; Loebel, N. Photodynamic therapy of antibiotic-resistant biofilms in a maxillary sinus model. Int. Forum Allergy Rhinol. 2013, 3, 468–473. [Google Scholar] [CrossRef] [PubMed]
- Munteanu, I.R.; Luca, R.E.; Mateas, M.; Darawsha, L.D.; Boia, S.; Boia, E.R.; Todea, C.D. The Efficiency of Photodynamic Therapy in the Bacterial Decontamination of Periodontal Pockets and Its Impact on the Patient. Diagnostics 2022, 12, 3026. [Google Scholar] [CrossRef] [PubMed]
- Tabenski, L.; Moder, D.; Cieplik, F.; Schenke, F.; Hiller, K.A.; Buchalla, W.; Schmalz, G.; Christgau, M. Antimicrobial photodynamic therapy vs. local minocycline in addition to non-surgical therapy of deep periodontal pockets: A controlled randomized clinical trial. Clin. Oral Investig. 2017, 21, 2253–2264. [Google Scholar] [CrossRef] [PubMed]
- Maisch, T.; Eichner, A.; Späth, A.; Gollmer, A.; König, B.; Regensburger, J.; Bäumler, W. Fast and effective photodynamic inactivation of multiresistant bacteria by cationic riboflavin derivatives. PLoS ONE 2014, 9, e111792. [Google Scholar] [CrossRef]
- Wozniak, A.; Grinholc, M. Combined Antimicrobial Activity of Photodynamic Inactivation and Antimicrobials-State of the Art. Front. Microbiol. 2018, 9, 930. [Google Scholar] [CrossRef]
- Rapacka-Zdonczyk, A.; Wozniak, A.; Michalska, K.; Pieranski, M.; Ogonowska, P.; Grinholc, M.; Nakonieczna, J. Factors Determining the Susceptibility of Bacteria to Antibacterial Photodynamic Inactivation. Front. Med. 2021, 8, 642609. [Google Scholar] [CrossRef]
- Ignatova, N.; Ivanova, T.; Antonyan, A.; Budruev, I.; Streltsova, O.; Elagin, V.; Kamensky, V. Efficacy of Photodynamic Inactivation against the Major Human Antibiotic-Resistant Uropathogens. Photonics 2021, 8, 495. [Google Scholar] [CrossRef]
- Otieno, W.; Liu, C.; Deng, H.; Li, J.; Zeng, X.; Ji, Y. Hypocrellin B-Mediated Photodynamic Inactivation of Gram-Positive Antibiotic-Resistant Bacteria: An In Vitro Study. Photobiomodul. Photomed. Laser Surg. 2020, 38, 36–42. [Google Scholar] [CrossRef]
- Azzouzi, A.R.; Barret, E.; Moore, C.M.; Villers, A.; Allen, C.; Scherz, A.; Muir, G.; de Wildt, M.; Barber, N.J.; Lebdai, S.; et al. TOOKAD® Soluble vascular-targeted photodynamic (VTP) therapy: Determination of optimal treatment conditions and assessment of effects in patients with localised prostate cancer. BJU Int. 2013, 112, 766–774. [Google Scholar] [CrossRef]
- Matin, S.F.; Tinkey, P.T.; Borne, A.T.; Stephens, L.C.; Sherz, A.; Swanson, D.A. A pilot trial of vascular targeted photodynamic therapy for renal tissue. J. Urol. 2008, 180, 338–342. [Google Scholar] [CrossRef] [PubMed][Green Version]
- Elagin, V.; Budruev, I.; Antonyan, A.; Bureev, P.; Ignatova, N.; Streltsova, O.; Kamensky, V. Enhancement of the Efficacy of Photodynamic Therapy against Uropathogenic Gram-Negative Bacteria Species. Photonics 2023, 10, 310. [Google Scholar] [CrossRef]
- Senocak, C.; Ozcan, C.; Sahin, T.; Yilmaz, G.; Ozyuvali, E.; Sarikaya, S.; Resorlu, B.; Oguz, U.; Bozkurt, O.F.; Unsal, A.; et al. Risk Factors of Infectious Complications after Flexible Uretero-renoscopy with Laser Lithotripsy. Urol. J. 2018, 15, 158–163. [Google Scholar] [CrossRef] [PubMed]
- Dai, T.; Huang, Y.Y.; Hamblin, M.R. Photodynamic therapy for localized infections—State of the art. Photodiagn. Photodyn. Ther. 2009, 6, 170–188. [Google Scholar] [CrossRef] [PubMed]
- Kimura, M.; Miyajima, K.; Kojika, M.; Kono, T.; Kato, H. Photodynamic Therapy (PDT) with Chemotherapy for Advanced Lung Cancer with Airway Stenosis. Int. J. Mol. Sci. 2015, 16, 25466–25475. [Google Scholar] [CrossRef]
- Shafirstein, G.; Rigual, N.R.; Arshad, H.; Cooper, M.T.; Bellnier, D.A.; Wilding, G.; Tan, W.; Merzianu, M.; Henderson, B.W. Photodynamic therapy with 3-(1’-hexyloxyethyl) pyropheophorbide-a for early-stage cancer of the larynx: Phase Ib study. Head Neck 2016, 38 (Suppl. S1), E377–E383. [Google Scholar] [CrossRef]
- Castano, A.P.; Demidova, T.N.; Hamblin, M.R. Mechanisms in photodynamic therapy: Part three-Photosensitizer pharmacokinetics, biodistribution, tumor localization and modes of tumor destruction. Photodiagn. Photodyn. Ther. 2005, 2, 91–106. [Google Scholar] [CrossRef]
- Rosenzweig, B.; Corradi, R.B.; Budhu, S.; Alvim, R.; Recabal, P.; La Rosa, S.; Somma, A.; Monette, S.; Scherz, A.; Kim, K.; et al. Neoadjuvant vascular-targeted photodynamic therapy improves survival and reduces recurrence and progression in a mouse model of urothelial cancer. Sci. Rep. 2021, 11, 4842. [Google Scholar] [CrossRef]
- Mroz, P.; Yaroslavsky, A.; Kharkwal, G.B.; Hamblin, M.R. Cell death pathways in photodynamic therapy of cancer. Cancers 2011, 3, 2516–2539. [Google Scholar] [CrossRef]
- Menilli, L.; Milani, C.; Reddi, E.; Moret, F. Overview of Nanoparticle-Based Approaches for the Combination of Photodynamic Therapy (PDT) and Chemotherapy at the Preclinical Stage. Cancers 2022, 14, 4462. [Google Scholar] [CrossRef] [PubMed]
- Dalghi, M.G.; Montalbetti, N.; Carattino, M.D.; Apodaca, G. The Urothelium: Life in a Liquid Environment. Physiol. Rev. 2020, 100, 1621–1705. [Google Scholar] [CrossRef] [PubMed]
- Lee, L.S.; Thong, P.S.; Olivo, M.; Chin, W.W.; Ramaswamy, B.; Kho, K.W.; Lim, P.L.; Lau, W.K. Chlorin e6-polyvinylpyrrolidone mediated photodynamic therapy—A potential bladder sparing option for high risk non-muscle invasive bladder cancer. Photodiagn. Photodyn. Ther. 2010, 7, 213–220. [Google Scholar] [CrossRef]
- Murray, K.S.; Winter, A.G.; Corradi, R.B.; LaRosa, S.; Jebiwott, S.; Somma, A.; Takaki, H.; Srimathveeravalli, G.; Lepherd, M.; Monette, S.; et al. Treatment Effects of WST11 Vascular Targeted Photodynamic Therapy for Urothelial Cell Carcinoma in Swine. J. Urol. 2016, 196, 236–243. [Google Scholar] [CrossRef] [PubMed]
- Mykoniatis, I.; Sarafidis, P.; Memmos, D.; Anastasiadis, A.; Dimitriadis, G.; Hatzichristou, D. Are endourological procedures for nephrolithiasis treatment associated with renal injury? A review of potential mechanisms and novel diagnostic indexes. Clin. Kidney J. 2020, 13, 531–541. [Google Scholar] [CrossRef]
- Benoit, S.W.; Ciccia, E.A.; Devarajan, P. Cystatin C as a biomarker of chronic kidney disease: Latest developments. Expert Rev. Mol. Diagn. 2020, 20, 1019–1026. [Google Scholar] [CrossRef]



| Blood Parameter | Control Value (Unit) | Animal and Time after PDT | |||
|---|---|---|---|---|---|
| Animal 1 0 Day | Animal 1 1 Day | Animal 2 0 Day | Animal 2 3 Day | ||
| Creatinine | 69.6–207.7 (µM/L) | 138.5 | 139.2 | 115.2 | 221.3 |
| Blood urea | 3.7–6.4 (mM/L) | 4.13 | 3.79 | 2.05 | 7.69 |
| C-reactive protein | - (mg/L) | <0.6 | <0.6 | <0.6 | <0.6 |
| Cystatin C | (mg/L) * | 0.44 | 0.37 | 0.52 | 0.37 |
| Procalcitonin | <0.046 (ng/mL) | <0.02 | <0.02 | <0.02 | <0.02 |
| Hemoglobin | 99.0–165.0 (g/L) | 99.0 | 100.0 | 101.0 | 83.0 |
| Hematocrit | 32.0–50.0 (%) | 32.8 | 32.2 | 33.1 | 27.0 |
| Erythrocyte sedimentation rate | 2.0–9.0 (mm/h) | 8.0 | 3.0 | 2.0 | 34.0 |
Disclaimer/Publisher’s Note: The statements, opinions and data contained in all publications are solely those of the individual author(s) and contributor(s) and not of MDPI and/or the editor(s). MDPI and/or the editor(s) disclaim responsibility for any injury to people or property resulting from any ideas, methods, instructions or products referred to in the content. |
© 2023 by the authors. Licensee MDPI, Basel, Switzerland. This article is an open access article distributed under the terms and conditions of the Creative Commons Attribution (CC BY) license (https://creativecommons.org/licenses/by/4.0/).
Share and Cite
Streltsova, O.; Antonyan, A.; Ignatova, N.; Yunusova, K.; Elagin, V.; Kamensky, V. Preclinical Studies on the Safety and Toxicity of Photoditazine in the Antibacterial Photodynamic Therapy of Uropathogenic Bacteria. Biomedicines 2023, 11, 2283. https://doi.org/10.3390/biomedicines11082283
Streltsova O, Antonyan A, Ignatova N, Yunusova K, Elagin V, Kamensky V. Preclinical Studies on the Safety and Toxicity of Photoditazine in the Antibacterial Photodynamic Therapy of Uropathogenic Bacteria. Biomedicines. 2023; 11(8):2283. https://doi.org/10.3390/biomedicines11082283
Chicago/Turabian StyleStreltsova, Olga, Artem Antonyan, Nadezhda Ignatova, Katerina Yunusova, Vadim Elagin, and Vladislav Kamensky. 2023. "Preclinical Studies on the Safety and Toxicity of Photoditazine in the Antibacterial Photodynamic Therapy of Uropathogenic Bacteria" Biomedicines 11, no. 8: 2283. https://doi.org/10.3390/biomedicines11082283
APA StyleStreltsova, O., Antonyan, A., Ignatova, N., Yunusova, K., Elagin, V., & Kamensky, V. (2023). Preclinical Studies on the Safety and Toxicity of Photoditazine in the Antibacterial Photodynamic Therapy of Uropathogenic Bacteria. Biomedicines, 11(8), 2283. https://doi.org/10.3390/biomedicines11082283

