Rapamycin Improves Adipose-Derived Mesenchymal Stem Cells (ADMSCs) Renoprotective Effect against Cisplatin-Induced Acute Nephrotoxicity in Rats by Inhibiting the mTOR/AKT Signaling Pathway
Abstract
:1. Introduction
2. Materials and Methods
2.1. In Vitro Study of Pretreatment of ADMSCs with RAPAMYCIN
2.1.1. Isolation, Culture and Characterization of ADMSCs
2.1.2. In Vitro Pretreatment of ADMSCs with Rapamycin
2.1.3. Cytotoxicity Assay
2.1.4. Gene Expression of Autophagy and Pro-Inflammatory Genes
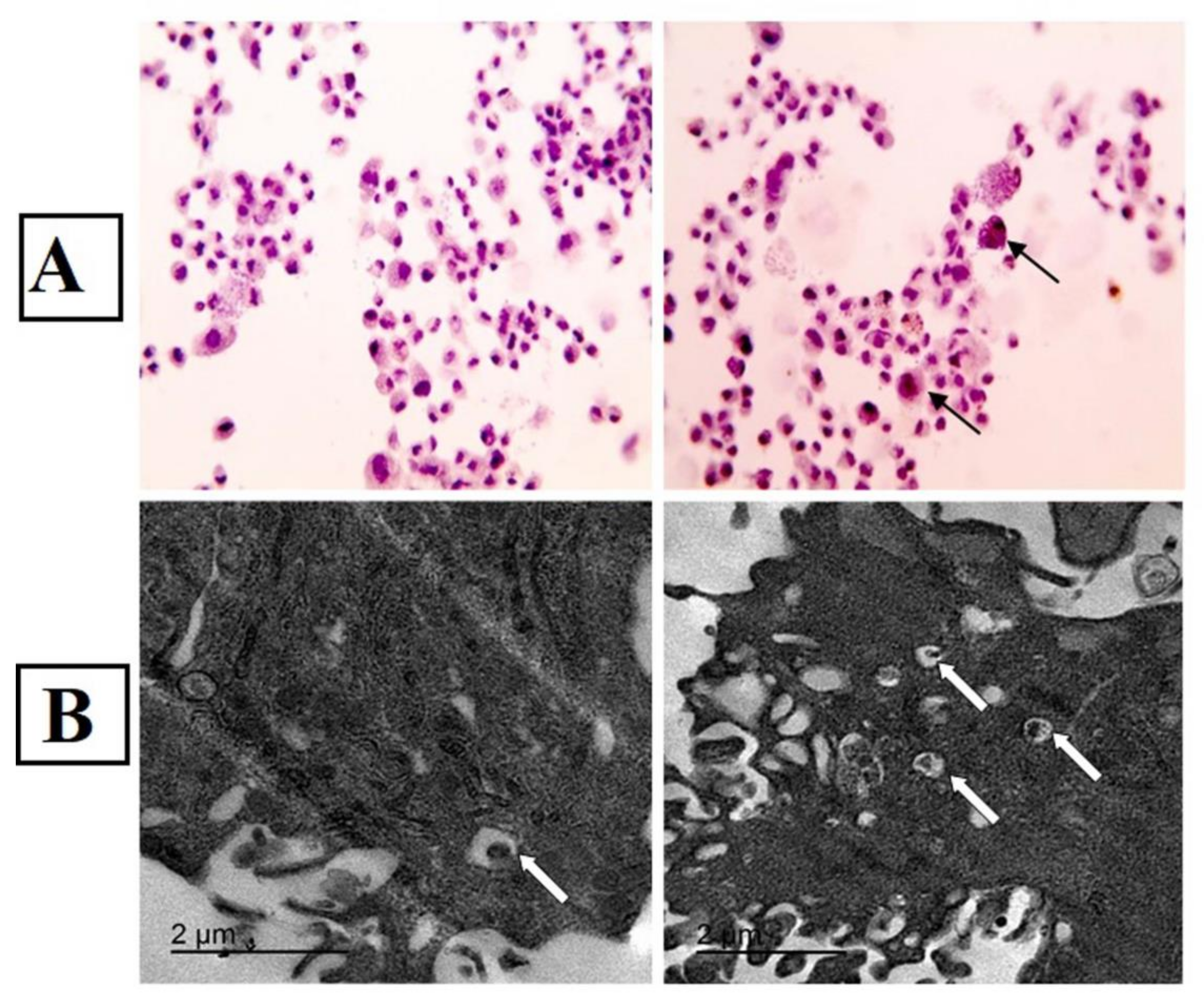
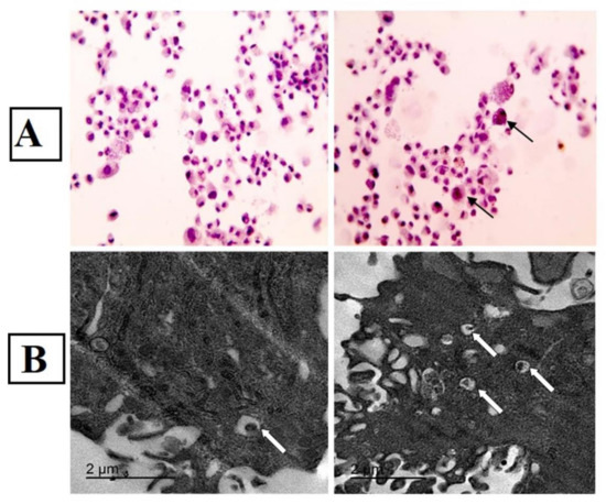
2.1.5. Immunohistochemical Staining of LC3 for Autophagic Structures
2.1.6. Transmission Electron Microscopy
2.2. In Vivo Study of the Effect of ADMSCs Pretreated with Rapa on Renal I/R Injury
2.2.1. Experimental Animals
2.2.2. Animal Groups
2.2.3. Collection of Urine Blood and Tissue Samples
2.2.4. Measurement of Serum and Urine Creatinine and Serum Blood Urea Nitrogen (BUN) and Calculation of Creatinine Clearance
2.2.5. Evaluation of the Renal Tissues Oxidative Stress State SOD, CAT, MDA and NO
2.2.6. Gene Expression
2.2.7. Histopathological Examination
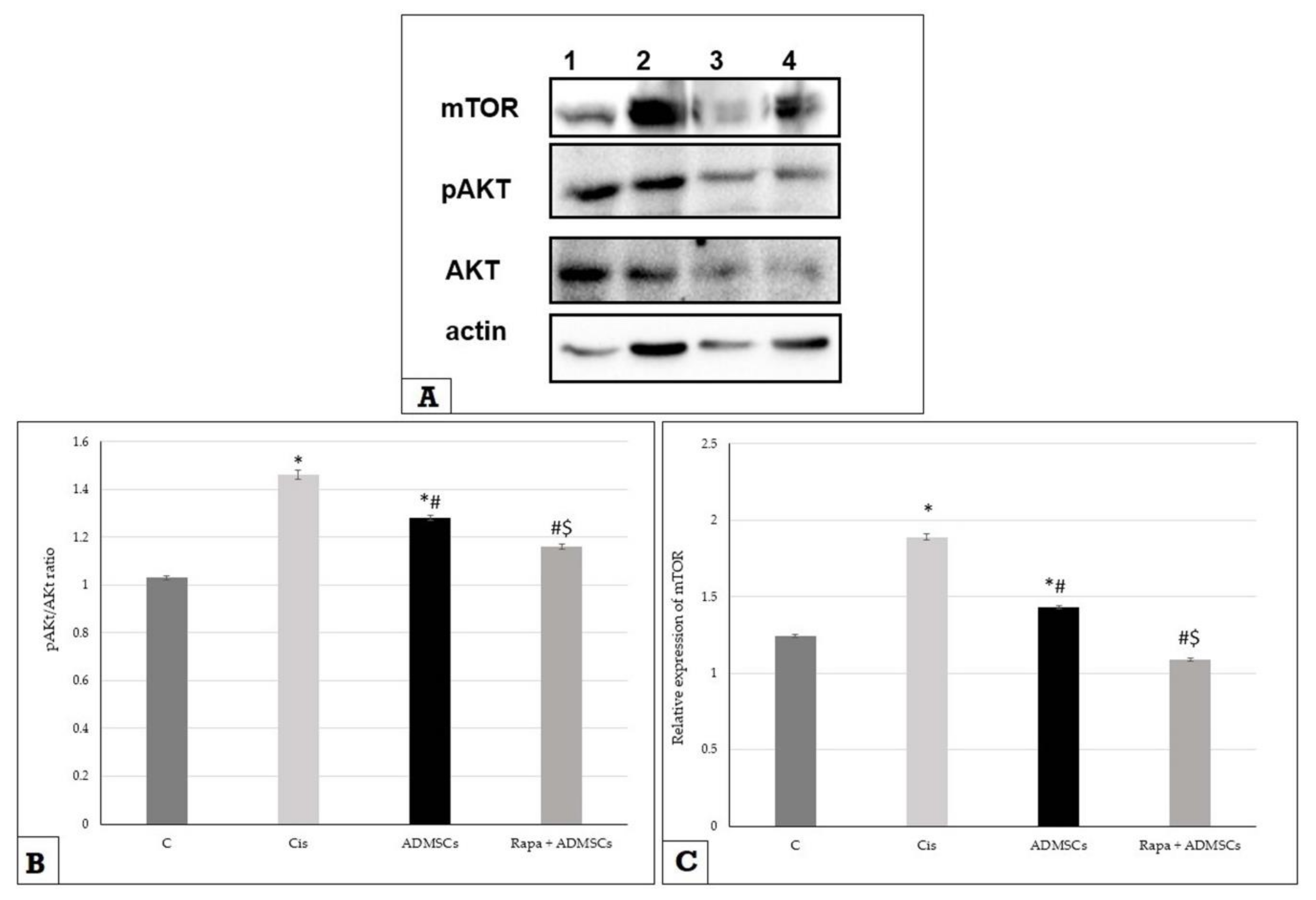
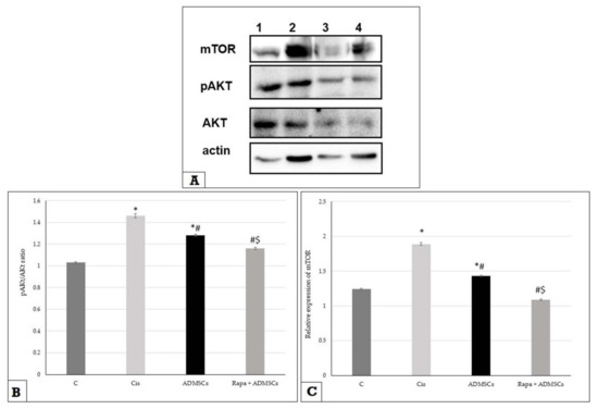
2.2.8. Western Blot Analysis
2.2.9. Immunohistochemical Examination of TGF-β1, SDF-1 and LC3
2.2.10. Statistical Analysis
3. Results
3.1. Effect of Rapa Pretreatment on ADMSC Viability
3.2. Effect of Rapa Pretreatment on Autophagic, Inflammatory and Migratory Markers In Vitro
3.3. Effect of Rapa-Treated ADMSCs on Kidney Functions
3.4. Effect of Rapa-Treated ADMSCs on Oxidative Stress Markers (NO, MDA, CAT and SOD) in Kidney Tissues
3.5. Effect of Rapa-Treated ADMSCs on the Expression of Pro-Inflammatory, Angiogenesis and Migration Markers
3.6. Effect of Rapa-Treated ADMSCs on the Expression of mTOR and AKT
3.7. Effect of Rapa-Treated ADMSCs on Renal Histopathological Changes
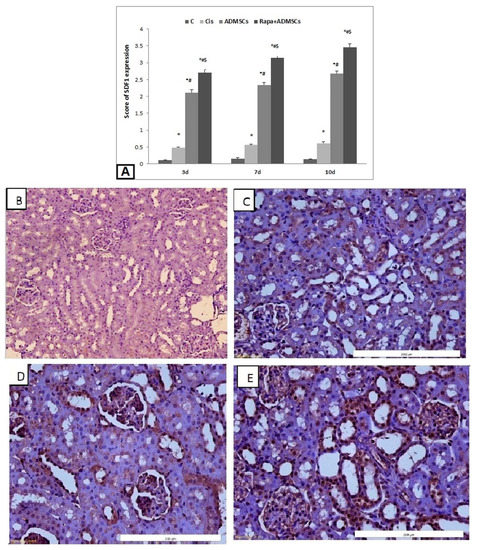
3.8. Effect of Rapa-Treated ADMSCs on the Protein Expression of TGF-β1, SDF-1α and LC3
4. Discussion
5. Conclusions
Author Contributions
Funding
Institutional Review Board Statement
Informed Consent Statement
Data Availability Statement
Conflicts of Interest
References
- Inoue, K.; Kuwana, H.; Shimamura, Y.; Ogata, K.; Taniguchi, Y.; Kagawa, T.; Horino, T.; Takao, T.; Morita, T.; Sasaki, S.; et al. Cisplatin-induced macroautophagy occurs prior to apoptosis in proximal tubules in vivo. Clin. Exp. Nephrol. 2010, 14, 112–122. [Google Scholar] [CrossRef] [PubMed] [Green Version]
- Peres, L.A.; da Cunha, A.D., Jr. Acute nephrotoxicity of cisplatin: Molecular mechanisms. J. Bras. Nefrol. 2013, 35, 332–340. [Google Scholar] [CrossRef] [PubMed]
- Perše, M.; Večerić-Haler, Ž. Cisplatin-Induced Rodent Model of Kidney Injury: Characteristics and Challenges. BioMed Res. Int. 2018, 2018, 1462802. [Google Scholar] [CrossRef] [PubMed]
- Uccelli, A.; Moretta, L.; Pistoia, V. Mesenchymal stem cells in health and disease. Nat. Rev. Immunol. 2008, 8, 726–736. [Google Scholar] [CrossRef] [PubMed]
- Panés, J.; García-Olmo, D.; Van Assche, G.; Colombel, J.F.; Reinisch, W.; Baumgart, D.C.; Dignass, A.; Nachury, M.; Ferrante, M.; Kazemi-Shirazi, L.; et al. Expanded allogeneic adipose-derived mesenchymal stem cells (Cx601) for complex perianal fistulas in Crohn’s disease: A phase 3 randomised, double-blind controlled trial. Lancet 2016, 388, 1281–1290. [Google Scholar] [CrossRef]
- Gentile, P.; Garcovich, S. Systematic Review: Adipose-Derived Mesenchymal Stem Cells, Platelet-Rich Plasma and Biomaterials as New Regenerative Strategies in Chronic Skin Wounds and Soft Tissue Defects. Int. J. Mol. Sci. 2021, 22, 1538. [Google Scholar] [CrossRef]
- Zhou, P.; Yang, X.-L.; Wang, X.-G.; Hu, B.; Zhang, L.; Zhang, W.; Si, H.-R.; Zhu, Y.; Li, B.; Huang, C.-L.; et al. A pneumonia outbreak associated with a new coronavirus of probable bat origin. Nature 2020, 579, 270–273. [Google Scholar] [CrossRef] [Green Version]
- Fauci, A.S.; Lane, H.C.; Redfield, R.R. Covid-19—Navigating the Uncharted. New Engl. J. Med. 2020, 382, 1268–1269. [Google Scholar] [CrossRef]
- Gentile, P.; Sterodimas, A. Adipose stem cells (ASCs) and stromal vascular fraction (SVF) as a potential therapy in combating (COVID-19)-disease. Aging Dis. 2020, 11, 465. [Google Scholar] [CrossRef]
- Sávio-Silva, C.; Soinski-Sousa, P.E. Mesenchymal stem cell therapy in acute kidney injury (AKI): Review and perspectives. Rev. Assoc. Med. Bras. 2020, 66 (Suppl. S1), S45–S54. [Google Scholar] [CrossRef] [Green Version]
- Hajinejad, M.; Pasbakhsh, P.; Omidi, A.; Mortezaee, K. Resveratrol pretreatment enhanced homing of SDF-1α-preconditioned bone marrow-derived mesenchymal stem cells in a rat model of liver cirrhosis. J. Cell Biochem. 2018, 119, 2939–2950. [Google Scholar] [CrossRef] [PubMed]
- Liu, N.; Tian, J.; Cheng, J.; Zhang, J. Migration of CXCR4 gene-modified bone marrow-derived mesenchymal stem cells to the acute injured kidney. J. Cell Biochem. 2013, 114, 2677–2689. [Google Scholar] [CrossRef] [PubMed]
- Wang, Y.; Deng, Y.; Zhou, G.Q. SDF-1alpha/CXCR4-mediated migration of systemically transplanted bone marrow stromal cells towards ischemic brain lesion in a rat model. Brain Res. 2008, 1195, 104–112. [Google Scholar] [CrossRef] [PubMed]
- Barbash, I.M.; Chouraqui, P.; Baron, J.; Feinberg, M.S.; Etzion, S.; Tessone, A.; Miller, L.; Guetta, E.; Zipori, D.; Kedes, L.H.; et al. Systemic delivery of bone marrow-derived mesenchymal stem cells to the infarcted myocardium: Feasibility, cell migration, and body distribution. Circulation 2003, 108, 863–868. [Google Scholar] [CrossRef]
- Zhao, L.; Hu, C.; Zhang, P.; Jiang, H.; Chen, J. Novel preconditioning strategies for enhancing the migratory ability of mesenchymal stem cells in acute kidney injury. Stem Cell Res. Ther. 2018, 9, 225. [Google Scholar] [CrossRef]
- Jakovljevic, J.; Harrell, C.R.; Fellabaum, C.; Arsenijevic, A.; Jovicic, N.; Volarevic, V. Modulation of autophagy as new approach in mesenchymal stem cell-based therapy. Biomed. Pharmacother. 2018, 104, 404–410. [Google Scholar] [CrossRef]
- Zheng, J.; Li, H.; He, L.; Huang, Y.; Cai, J.; Chen, L.; Zhou, C.; Fu, H.; Lu, T.; Zhang, Y.; et al. Preconditioning of umbilical cord-derived mesenchymal stem cells by rapamycin increases cell migration and ameliorates liver ischaemia/reperfusion injury in mice via the CXCR4/CXCL12 axis. Cell Prolif. 2019, 52, e12546. [Google Scholar] [CrossRef]
- Kimura, T.; Takabatake, Y.; Takahashi, A.; Kaimori, J.-Y.; Matsui, I.; Namba, T.; Kitamura, H.; Niimura, F.; Matsusaka, T.; Soga, T.; et al. Autophagy protects the proximal tubule from degeneration and acute ischemic injury. J. Am. Soc. Nephrol. 2011, 22, 902–913. [Google Scholar] [CrossRef]
- Denton, D.; Xu, T.; Kumar, S. Autophagy as a pro-death pathway. Immunol. Cell Biol. 2015, 93, 35–42. [Google Scholar] [CrossRef]
- Srinivas, V.; Bohensky, J.; Shapiro, I.M. Autophagy: A new phase in the maturation of growth plate chondrocytes is regulated by HIF, mTOR and AMP kinase. Cells Tissues Organs 2009, 189, 88–92. [Google Scholar] [CrossRef]
- Yoo, Y.M.; Park, Y.C. Streptozotocin-Induced Autophagy Reduces Intracellular Insulin in Insulinoma INS-1E Cells. DNA Cell Biol. 2018, 37, 160–167. [Google Scholar] [CrossRef] [PubMed]
- Zhang, Z.; Yang, C.; Shen, M.; Yang, M.; Jin, Z.; Ding, L.; Jiang, W.; Yang, J.; Chen, H.; Cao, F.; et al. Autophagy mediates the beneficial effect of hypoxic preconditioning on bone marrow mesenchymal stem cells for the therapy of myocardial infarction. Stem Cell Res. Ther. 2017, 8, 89. [Google Scholar] [CrossRef] [PubMed]
- Alshaman, R.; Truong, L.; Oyekan, A. Role of mechanistic target of rapamycin (mTOR) in renal function and ischaemia-reperfusion induced kidney injury. Clin. Exp. Pharmacol. Physiol. 2016, 43, 1087–1096. [Google Scholar] [CrossRef] [PubMed]
- Hussein, A.M.; Barakat, N.; Awadalla, A.; Gabr, M.M.; Khater, S.; Harraz, A.M.; Shokeir, A.A. Modulation of renal ischemia/reperfusion in rats by a combination of ischemic preconditioning and adipose-derived mesenchymal stem cells (ADMSCs). Can. J. Physiol. Pharmacol. 2016, 94, 936–946. [Google Scholar] [CrossRef] [PubMed]
- Karpinski, J.; Lajoie, G.; Cattran, D.; Fenton, S.; Zaltzman, J.; Cardella, C.; Cole, E. Outcome of kidney transplantation from high-risk donors is determined by both structure and function. Transplantation 1999, 67, 1162–1167. [Google Scholar] [CrossRef]
- Bray, K.; Mathew, R.; Lau, A.; Kamphorst, J.; Fan, J.; Chen, J.; Chen, H.-Y.; Ghavami, A.; Stein, M.; DiPaola, R.S.; et al. Autophagy suppresses RIP kinase-dependent necrosis enabling survival to mTOR inhibition. PLoS ONE 2012, 7, e41831. [Google Scholar] [CrossRef] [Green Version]
- Periyasamy-Thandavan, S.; Jiang, M.; Wei, Q.; Smith, R.; Yin, X.-M.; Dong, Z. Autophagy is cytoprotective during cisplatin injury of renal proximal tubular cells. Kidney Int. 2008, 74, 631–640. [Google Scholar] [CrossRef] [Green Version]
- Shin, J.Y.; Park, H.J.; Na Kim, H.; Oh, S.H.; Bae, J.-S.; Ha, H.-J.; Lee, P.H. Mesenchymal stem cells enhance autophagy and increase β-amyloid clearance in Alzheimer disease models. Autophagy 2014, 10, 32–44. [Google Scholar] [CrossRef] [Green Version]
- Ravikumar, B.; Sarkar, S.; Davies, J.E.; Futter, M.; Garcia-Arencibia, M.; Green-Thompson, Z.W.; Jimenez-Sanchez, M.; Korolchuk, V.I.; Lichtenberg, M.; Luo, S.; et al. Regulation of mammalian autophagy in physiology and pathophysiology. Physiol. Rev. 2010, 90, 1383–1435. [Google Scholar] [CrossRef] [Green Version]
- Chuang, C.-K.; Lin, H.C.A.; Tasi, H.-Y.; Lee, K.-H.; Kao, Y.; Chuang, F.L.; Chang, Y.-H.; Lin, P.-H.; Liu, C.-Y.; Pang, S.-T. Clinical presentations and molecular studies of invasive renal epithelioid angiomyolipoma. Int. Urol. Nephrol. 2017, 49, 1527–1536. [Google Scholar] [CrossRef]
- Yang, J.; Zhao, X.; Patel, A.; Potru, R.; Azizi-Ghannad, S.; Dolinger, M.; Cao, J.; Bartholomew, C.; Mazurkiewicz, J.; Conti, D.; et al. Rapamycin inhibition of mTOR reduces levels of the Na+/H+ exchanger 3 in intestines of mice and humans, leading to diarrhea. Gastroenterology 2015, 149, 151–162. [Google Scholar] [CrossRef] [PubMed] [Green Version]
- Karim, R.; Kanazawa, T.; Daigaku, Y.; Fujimura, S.; Miotto, G.; Kadowaki, M. Cytosolic LC3 ratio as a sensitive index of macroautophagy in isolated rat hepatocytes and H4-II-E cells. Autophagy 2007, 3, 553–560. [Google Scholar] [CrossRef] [PubMed] [Green Version]
- Barakat, L.A.; Barakat, N.; Zakaria, M.M.; Khirallah, S.M. Protective role of zinc oxide nanoparticles in kidney injury induced by cisplatin in rats. Life Sci. 2020, 262, 118503. [Google Scholar] [CrossRef] [PubMed]
- Wang, B.; Jia, H.; Zhang, B.; Wang, J.; Ji, C.; Zhu, X.; Yan, Y.; Yin, L.; Yu, J.; Qian, H.; et al. Pre-incubation with hucMSC-exosomes prevents cisplatin-induced nephrotoxicity by activating autophagy. Stem Cell Res. Ther. 2017, 8, 1–14. [Google Scholar] [CrossRef] [Green Version]
- Dekel, B.; Shezen, E.; Even-Tov-Friedman, S.; Katchman, H.; Margalit, R.; Nagler, A.; Reisner, Y. Transplantation of human hematopoietic stem cells into ischemic and growing kidneys suggests a role in vasculogenesis but not tubulogenesis. Stem Cells 2006, 24, 1185–1193. [Google Scholar] [CrossRef] [PubMed]
- Da Silva, L.B.L.; Palma, P.V.B.; Cury, P.; Mand Bueno, V. Evaluation of stem cell administration in a model of kidney ischemia-reperfusion injury. Int. Immunopharmacol. 2007, 7, 1609–1616. [Google Scholar] [CrossRef]
- Li, B.; Cohen, A.; Hudson, T.E.; Motlagh, D.; Amrani, D.L.; Duffield, J.S. Mobilized human hematopoietic stem/progenitor cells promote kidney repair following ischemia reperfusion injury. Circulation 2010, 121, 2211. [Google Scholar] [CrossRef] [Green Version]
- Du, T.; Cheng, J.; Zhong, L.; Zhao, X.-F.; Zhu, J.; Zhu, Y.-J.; Liu, G.-H. The alleviation of acute and chronic kidney injury by human Wharton’s jelly-derived mesenchymal stromal cells triggered by ischemia-reperfusion injury via an endocrine mechanism. Cytotherapy 2012, 14, 1215–1227. [Google Scholar] [CrossRef]
- Du, T.; Ju, G.; Wu, S.; Cheng, Z.; Cheng, J.; Zou, X.; Zhang, G.; Miao, S.; Liu, G.; Zhu, Y. Microvesicles derived from human Wharton’s jelly mesenchymal stem cells promote human renal cancer cell growth and aggressiveness through induction of hepatocyte growth factor. PLoS ONE 2014, 9, e96836. [Google Scholar] [CrossRef] [Green Version]
- Du, T.; Zou, X.; Cheng, J.; Wu, S.; Zhong, L.; Ju, G.; Zhu, J.; Liu, G.; Zhu, Y.; Xia, S. Human Wharton’s jelly-derived mesenchymal stromal cells reduce renal fibrosis through induction of native and foreign hepatocyte growth factor synthesis in injured tubular epithelial cells. Stem Cell Res. Ther. 2013, 4, 59. [Google Scholar] [CrossRef] [Green Version]
- Cóndor, J.M.; Rodrigues, C.E.; de Sousa Moreira, R.; Canale, D.; Volpini, R.A.; Shimizu, M.H.; Camara, N.O.S.; de Noroha, I.L.; Andrade, L. Treatment with human Wharton’s jelly-derived mesenchymal stem cells attenuates sepsis-induced kidney injury, liver injury, and endothelial dysfunction. Stem Cells Transl. Med. 2016, 5, 1048–1057. [Google Scholar] [CrossRef] [Green Version]
- Moustafa, F.E.; Sobh, M.-A.; Abouelkheir, M.; Khater, Y.; Mahmoud, K.; Saad, M.-A.; Sobh, M.A. Study of the effect of route of administration of mesenchymal stem cells on cisplatin-induced acute kidney injury in Sprague Dawley rats. Int. J. Stem Cells 2016, 9, 79. [Google Scholar] [CrossRef] [PubMed] [Green Version]
- Wang, Y.; Zhang, H.; Pang, T.; Zuo, Z.; Ren, K. Rapamycin improves renal injury induced by Iodixanol in diabetic rats by deactivating the mTOR/p70S6K signaling pathway. Life Sci. 2020, 259, 118284. [Google Scholar] [CrossRef] [PubMed]
- Li, Z.-H.; Wang, Y.-L.; Wang, H.-J.; Wu, J.-H.; Tan, Y.-Z. Rapamycin-Preactivated Autophagy Enhances Survival and Differentiation of Mesenchymal Stem Cells After Transplantation into Infarcted Myocardium. Stem Cell Rev. Rep. 2020, 16, 344–356. [Google Scholar] [CrossRef] [PubMed] [Green Version]
- Ozkok, A.; Edelstein, C.L. Pathophysiology of cisplatin-induced acute kidney injury. BioMed Res. Int. 2014, 2014, 967826. [Google Scholar] [CrossRef]
- Chang, H.-H.; Hsu, S.-P.; Chien, C.-T. Intrarenal Transplantation of Hypoxic Preconditioned Mesenchymal Stem Cells Improves Glomerulonephritis through Anti-Oxidation, Anti-ER Stress, Anti-Inflammation, Anti-Apoptosis, and Anti-Autophagy. Antioxidants 2020, 9, 2. [Google Scholar] [CrossRef] [Green Version]
- Humanes, B.; Camaño, S.; Lara, J.M.; Sabbisetti, V.; González-Nicolás, M.Á.; Bonventre, J.V.; Tejedor, A.; Lázaro, A. Cisplatin-induced renal inflammation is ameliorated by cilastatin nephroprotection. Nephrol. Dial. Transplant. 2017, 32, 1645–1655. [Google Scholar] [CrossRef] [Green Version]
- Chen, Y.-T.; Sun, C.-K.; Lin, Y.-C.; Chang, L.-T.; Chen, Y.-L.; Tsai, T.-H.; Chung, S.-Y.; Chua, S.; Kao, Y.-H.; Yen, C.-H.; et al. Adipose-derived mesenchymal stem cell protects kidneys against ischemia-reperfusion injury through suppressing oxidative stress and inflammatory reaction. J. Transl. Med. 2011, 9, 51. [Google Scholar] [CrossRef] [Green Version]
- Song, I.-H.; Jung, K.-J.; Lee, T.-J.; Kim, J.-Y.; Sung, E.-G.; Bae, Y.C.; Park, Y.H. Mesenchymal stem cells attenuate adriamycin-induced nephropathy by diminishing oxidative stress and inflammation via downregulation of the NF-kB. Nephrology 2018, 23, 483–492. [Google Scholar] [CrossRef]
- Yang, J.-W.; Zhang, Y.; Wan, C.-Y.; Sun, Z.-Y.; Nie, S.; Jian, S.-J.; Zhang, L.; Song, G.-T.; Chen, Z. Autophagy in SDF-1α-mediated DPSC migration and pulp regeneration. Biomaterials 2015, 44, 11–23. [Google Scholar] [CrossRef]








| Genes | Sequence (5′–3′) | Accession Number |
|---|---|---|
| LC3 | F:CCAGGAGGAAGAAGGCTTGG R:GAGTGGAAGATGTCCGGCTC | NM_022867.2 |
| P62 | F:TGCTCCATCAGAGGATCCCA R:TTTCTGCAGAGGTGGGTGTC | NM_175843.4 |
| Beclin | F:CTCGTCAAGGCGTCACTTCT R:CCTCCATTCTTTAGGCCCCG | NM_053739.2 |
| IL-10 | F:GAAAAATTGAACCACCCGGCA R:TTCCAAGGAGTTGCTCCCGT | NM_012854.2 |
| AKT | F:GAGGAGGAGACGATGGACTTC R:GGCATAGTAGCGACCTGTGG | NM_033230.3 |
| mTOR | F:TTGTGTCCTGCTGGTCTGAAC R:GCTCTTTGTAGTGTAGTGCTTTGG | NM_019906.2 |
| SDF1α | F:GAGCCATGTCGCCAGAGCCAAC R:CACACCTCTCACATCTTGAGCCTCT | NM_001033882.1 |
| TGF-β1 | F:CACTCCCGTGGCTTCTAGTG R:GGAC TGGCGAGCCTTAGTTT | NM_021578.2 |
| HIF-1α | F:TGCTTGGTGCTGATTTGTGA R:GGTCAGATGATCAGAGTCCA | NM_024359.1 |
| IL-6 | F:GCCCTTCAGGAACAGCTATGA R:TGTCAACAACATCAGTCCCAAGA | NM_012589.2 |
| NF-κB | F:GGACAGCACCACCTACGATG R:CTGGATCACTTCAATGGCCTC | NM_001276711.1 |
| GAPDH | F:AGACAGCCGCATCTTCTTGT R:TTCCCATTCTCAGCCTTGAC | NM_017008.4 |
| Groups | 3 Days (n = 10) | 7 Days (n = 10) | 10 Days (n = 10) |
|---|---|---|---|
| Serum Creatinine (mg/dL) | |||
| Control | 0.49 ± 0.02 | 0.48 ± 0.02 | 0.47 ± 0.02 |
| Cis | 2.07 ± 0.14 * | 1.7 ± 0.08 * | 1.18 ± 0.06 * |
| ADMSCs | 1.7 ± 0.06 *# | 1.38 ± 0.05 *# | 1.02 ± 0.06 *# |
| ADMSCs + Rapa | 1.55 ± 0.05 *#$ | 1.01 ± 0.06 *#$ | 0.78 ± 0.05 *#$ |
| BUN (mg/dL) | |||
| Control | 20.79 ± 1.57 | 21.11 ± 1.08 | 21.33 ± 0.76 |
| Cis | 70.1 ± 1.63 * | 63.68 ± 6.13 * | 55.04 ± 3.32 * |
| ADMSCs | 54.95 ± 3.75 *# | 42.18 ± 3.67 *# | 33.31 ± 3.52 *# |
| ADMSCs + Rapa | 41.56 ± 4.2 *#$ | 31.28 ± 3.38 *#$ | 28.69 ± 2.97 *#$ |
| Creatinine Clearance (mL/min) | |||
| Control | 1.38 ± 0.04 | 1.37 ± 0.04 | 1.41 ± 0.03 |
| Cis | 0.09 ± 0.02 * | 0.13 ± 0.04 * | 0.18 ± 0.05 * |
| ADMSCs | 0.43 ± 0.08 *# | 0.6 ± 0.05 *# | 0.91 ± 0.11 *# |
| ADMSCs + Rapa | 0.63 ± 0.09 *# | 0.94 ± 0.42 *#$ | 1.31 ± 0.08 #$ |
| Groups | 3 Days (n = 10) | 7 Days (n = 10) | 10 Days (n = 10) |
|---|---|---|---|
| Superoxide Dismutase (SOD) Activity (U/g kidney tissue) | |||
| Control | 203.8 ± 4.57 | 205.4 ± 4.76 | 208.7 ± 5.68 |
| Cis | 95.57 ± 12.2 * | 106 ± 7.68 * | 114.9 ± 8.95 * |
| ADMSCs | 116.6 ± 6.58 *# | 138.4 ± 6.9 *# | 156.9 ± 12.95 *# |
| MSCs + Rapa | 133.2 ± 6.85 *#$ | 164.4 ± 7 *#$ | 177.9 ± 7.47 *#$ |
| Catalase (CAT) Enzyme Activity (U/g kidney tissue) | |||
| Control | 5.02 ± 0.05 | 5.11 ± 0.08 | 4.99 ± 0.1 |
| Cis | 1.36 ± 0.1 * | 1.59 ± 0.08 * | 1.72 ± 0.07 * |
| ADMSCs | 1.93 ± 0.07 *# | 2.3 ± 0.05 *# | 3.01 ± 0.11 *# |
| ADMSCs+ Rapa | 3.16 ± 0.14 *#$ | 3.97 ± 0.05 *#$ | 4.1 ± 0.16 *#$ |
| Malondialdehyde (MDA) (nmol/g kidney tissue) | |||
| Control | 19.44 ± 1.17 | 18.12 ± 1.32 | 20.61 ± 1.65 |
| Cis | 67.37 ± 5.91 * | 71.21 ± 2.95 * | 74.55 ± 3.56 * |
| ADMSCs | 48.08 ± 4.69 *# | 41.28 ± 2.8 *# | 34.38 ± 3.97 *# |
| ADMSCs + Rapa | 40.91 ± 2.07 *#$ | 32.31 ± 4.46 *#$ | 25.17 ± 2.91 #$ |
| Nitric Oxide (NO) (nmol/g kidney tissue) | |||
| Control | 9.71 ± 1.39 | 10.86 ± 1.04 | 11.04 ± 1.78 |
| Cis | 57.29 ± 4.14 * | 51.43 ± 2.46 * | 48.9 ± 2.2 * |
| ADMSCs | 43.16 ± 3.87 *# | 35.59 ± 3.87 *# | 28.95 ± 2.38 *# |
| ADMSCs + Rapa | 38.87 ± 2.65 *# | 27.3 ± 2.93 *#$ | 19.67 ± 2.06 *#$ |
Publisher’s Note: MDPI stays neutral with regard to jurisdictional claims in published maps and institutional affiliations. |
© 2022 by the authors. Licensee MDPI, Basel, Switzerland. This article is an open access article distributed under the terms and conditions of the Creative Commons Attribution (CC BY) license (https://creativecommons.org/licenses/by/4.0/).
Share and Cite
Awadalla, A.; Hussein, A.M.; El-Far, Y.M.; El-Senduny, F.F.; Barakat, N.; Hamam, E.T.; Abdeen, H.M.; El-Sherbiny, M.; Serria, M.S.; Sarhan, A.A.; et al. Rapamycin Improves Adipose-Derived Mesenchymal Stem Cells (ADMSCs) Renoprotective Effect against Cisplatin-Induced Acute Nephrotoxicity in Rats by Inhibiting the mTOR/AKT Signaling Pathway. Biomedicines 2022, 10, 1295. https://doi.org/10.3390/biomedicines10061295
Awadalla A, Hussein AM, El-Far YM, El-Senduny FF, Barakat N, Hamam ET, Abdeen HM, El-Sherbiny M, Serria MS, Sarhan AA, et al. Rapamycin Improves Adipose-Derived Mesenchymal Stem Cells (ADMSCs) Renoprotective Effect against Cisplatin-Induced Acute Nephrotoxicity in Rats by Inhibiting the mTOR/AKT Signaling Pathway. Biomedicines. 2022; 10(6):1295. https://doi.org/10.3390/biomedicines10061295
Chicago/Turabian StyleAwadalla, Amira, Abdelaziz M. Hussein, Yousra M. El-Far, Fardous F. El-Senduny, Nashwa Barakat, Eman T. Hamam, Hanaa M. Abdeen, Mohamed El-Sherbiny, Mohamed S. Serria, Amira A. Sarhan, and et al. 2022. "Rapamycin Improves Adipose-Derived Mesenchymal Stem Cells (ADMSCs) Renoprotective Effect against Cisplatin-Induced Acute Nephrotoxicity in Rats by Inhibiting the mTOR/AKT Signaling Pathway" Biomedicines 10, no. 6: 1295. https://doi.org/10.3390/biomedicines10061295
APA StyleAwadalla, A., Hussein, A. M., El-Far, Y. M., El-Senduny, F. F., Barakat, N., Hamam, E. T., Abdeen, H. M., El-Sherbiny, M., Serria, M. S., Sarhan, A. A., Sena, A. M., & Shokeir, A. A. (2022). Rapamycin Improves Adipose-Derived Mesenchymal Stem Cells (ADMSCs) Renoprotective Effect against Cisplatin-Induced Acute Nephrotoxicity in Rats by Inhibiting the mTOR/AKT Signaling Pathway. Biomedicines, 10(6), 1295. https://doi.org/10.3390/biomedicines10061295

