The Effect of Coenzyme Q10 on Liver Injury Induced by Valproic Acid and Its Antiepileptic Activity in Rats
Abstract
1. Introduction
2. Materials and Methods
2.1. Tested Drugs
2.2. Methods
2.2.1. Study Design
Animals
Animal Groups
2.2.2. Experimental Procedure
Assessment of the Epileptogenic Effect Induced by PTZ Kindling
- Racine score: The rats were observed for 30 min after the administration of the sub-convulsant dose of PTZ, and the seizure activity was scored using a scoring system from 0 to 5 (Table 1):
- Development of PTZ kindling (GTCS) in days: The rats were considered kindled if GTCS occurred on two consecutive injections.
- Latency to GTCS: The onset of GTCS immediately following PTZ administration was recorded in seconds at the end of the 8th week.
- Duration of GTCS: Immediately following the PTZ administration, the duration of GTCS was recorded in seconds at the end of the 8th week.
Behavioral Assessment by the Rota Rod Performance Test
- Before testing: In a day free from PTZ injection, threats were placed in the testing room for at least 1 h for habituation and training. Each rat should be able to walk forward on a rotating rod at (12 rpm) for at least 60 s, repeated for a total of three trials separated by 5 min inter-trial intervals.
- Testing procedure: After the last PTZ injection, each rat was placed on the rotating rod (7 cm diameter) in separate lanes, at a speed of 12 rpm. The time spent on the rod was measured up to 180 s (latency to fall) [16].
2.2.3. Biochemical Studies
Sample Collection
Sample Preparation
- Serum Preparation
- Liver Homogenate Preparation
- Brain Homogenate Preparation
Serum Liver Function Test (LFE)
Serum Uric Acid Concentration
Serum Urea Concentration
Antioxidant, Oxidative Stress and Inflammatory Markers in the Hippocampal and Liver Homogenate
Cytochrome P-450 2E-1 (CYP2E1) in the Liver Homogenate
Measuring the Concentration of Glutamate in the Hippocampal and Cerebral Cortex Homogenates
Quantification of Glutamate in the Brain
Detection of the Total Protein in the Homogenate
2.2.4. Histopathological Studies
Hippocampus Histopathological Studies
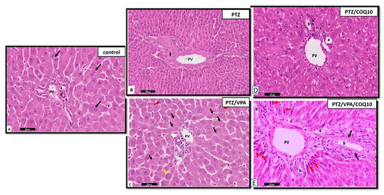
Liver Histopathological Studies
- A.
- H&E staining
- B.
- Mallory’s triple stain, which detects collagen fibers that appear blue.
2.3. Statistical Analysis
3. Results
3.1. Effects of CoQ10 on the Course of PTZ Kindling in Rats
Effects of CoQ10 on the Racine Score in Rats Subjected to PTZ Kindling
3.2. Effect of CoQ10 on the Pentylenetetrazole Rats’ Behavior according to the Rota Rod Performance Test
- As shown in Figure 3, the PTZ/COQ10 treatment group resulted in a significant (p < 0.05) increase in riding time compared to the animals treated with PTZ alone. The VPA/COQ10 combination group showed a significant (p < 0.05) increase in riding time compared to the PTZ/VPA-treated rats.
3.3. Effects of CoQ10 Test Drugs on Antioxidants and Oxidative Stress Markers
3.3.1. Oxidative Stress Marker and Glutathione in Hippocampus Tissues of PTZ-Treated Rats
3.3.2. Quantification of Glutamate in the Hippocampus and Cortex Tissue Using a High-Performance Liquid Chromatography Test
3.3.3. Effects of the CoQ10 Test Drugs on the Antioxidants and Oxidative Stress Markers in the Hepatic Tissue of the PTZ-Treated Rats
3.3.4. Effects of COQ10 on VPA-Induced Liver Toxicity
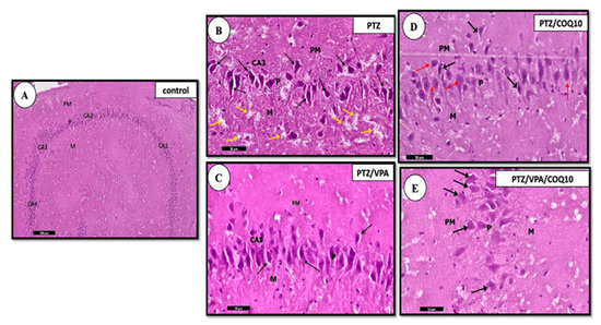
Hippocampus Histology
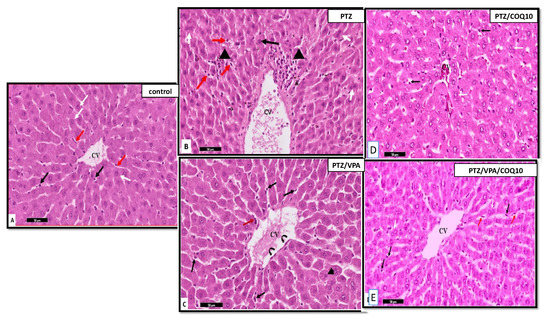
Liver Histology
4. Discussion
5. Conclusions
Author Contributions
Funding
Institutional Review Board Statement
Informed Consent Statement
Data Availability Statement
Conflicts of Interest
References
- Guo, C.; Sun, L.; Chen, X.; Zhang, D. Oxidative stress, mitochondrial damage and neurodegenerative diseases. Neural Regen. Res. 2013, 8, 2003–2014. [Google Scholar] [CrossRef] [PubMed]
- Kwan, P.; Arzimanoglou, A.; Berg, A.T.; Brodie, M.J.; Allen Hauser, W.; Mathern, G.; French, J. Definition of drug resistant epilepsy: Consensus proposal by the ad hoc task force of the ILAE commission on therapeutic strategies. Epilepsia 2010, 51, 1069–1077. [Google Scholar] [CrossRef] [PubMed]
- Rodrigues, A.D.; Scheffel, T.B.; Scola, G.; Santos, M.T.; Fank, B.; de Freitas, S.C.; Salvador, M. Neuroprotective and anticonvulsant effects of organic and conventional purple grape juices on seizures in Wistar rats induced by pentylenetetrazole. Neurochem. Int. 2012, 60, 799–805. [Google Scholar] [CrossRef] [PubMed]
- Chang, T.K.; Abbott, F.S. Oxidative stress as a mechanism of valproic acid-associated hepatotoxicity. Drug Metab. Rev. 2006, 38, 627–639. [Google Scholar] [CrossRef]
- Guerrini, R. Valproate as a mainstay of therapy for pediatric epilepsy. Paediatr. Drugs 2006, 8, 113–129. [Google Scholar] [CrossRef]
- Kassahun, K.; Farrell, K.; Abbott, F. Identification and characterization of the glutathione and N-acetylcysteine conjugates of (E)-2-propyl-2,4-pentadienoic acid, a toxic metabolite of valproic acid, in rats and humans. Drug Metab. Dispos. 1991, 19, 525–535. [Google Scholar]
- Floyd, R.A. Antioxidants, oxidative stress, and degenerative neurological disorders. Proc. Soc. Exp. Biol. Med. 1999, 222, 236–245. [Google Scholar] [CrossRef]
- Carvalho, A.N.; Firuzi, O.; Gama, M.J.; Horssen, J.V.; Saso, L. Oxidative stress and antioxidants in neurological diseases: Is there still hope? Curr. Drug Targets 2017, 18, 705–718. [Google Scholar] [CrossRef]
- Hidaka, T.; Fujii, K.; Funahashi, I.; Fukutomi, N.; Hosoe, K. Safety assessment of coenzyme Q10 (CoQ10). Biofactors 2008, 32, 199–208. [Google Scholar] [CrossRef]
- El-Mowafy, A.M.; Katary, M.M.; Pye, C.; Ibrahim, A.S.; Elmarakby, A.A. Novel molecular triggers underlie valproate-induced liver injury and its alleviation by the omega-3 fatty acid DHA: Role of inflammation and apoptosis. Heliyon 2016, 2, e00130. [Google Scholar] [CrossRef]
- Atack, J.R.; Cook, S.M.; Hutson, P.H.; File, S.E. Kindling induced by pentylenetetrazole in rats is not directly associated with changes in the expression of NMDA or benzodiazepine receptors. Pharm. Biochem. Behav. 2000, 65, 743–750. [Google Scholar] [CrossRef]
- Matthews, R.T.; Yang, L.; Browne, S.; Baik, M.; Beal, M.F. Coenzyme Q10 administration increases brain mitochondrial concentrations and exerts neuroprotective effects. Proc. Natl. Acad. Sci. USA 1998, 95, 8892–8897. [Google Scholar] [CrossRef]
- Hiroshi, Y.; Ohno, K.; Amada, Y.; Hattori, H.; Ozawa-Funatsu, Y.; Toya, T.; Inami, H.; Shishikura, J.-I.; Sakamoto, S.; Okada, M. ‘Effects of 2-[N-(4-Chlorophenyl)-N-methylamino]-4H-pyrido [3.2-e]-1, 3-thiazin-4-one (YM928), an Orally Active α-Amino-3-hydroxy-5-methyl-4-isoxazolepropionic Acid Receptor Antagonist, in Models of Generalized Epileptic Seizure in Mice and Rats’. J. Pharmacol. Exp. Ther. 2004, 308, 127–133. [Google Scholar]
- Giorgi, O.; Carboni, G.; Frau, V.; Orlandi, M.; Valentini, V.; Feldman, A.; Corda, M.G. Anticonvulsant effect of felbamate in the pentylenetetrazole kindling model of epilepsy in the rat. Naunyn Schmiedebergs Arch. Pharmacol. 1996, 354, 173–178. [Google Scholar] [CrossRef]
- Mehla, J.; Reeta, K.H.; Gupta, P.; Gupta, Y.K. Protective effect of curcumin against seizures and cognitive impairment in a pentylenetetrazole-kindled epileptic rat model. Life Sci. 2010, 87, 596–603. [Google Scholar] [CrossRef]
- Huang, R.Q.; Bell-Horner, C.L.; Dibas, M.I.; Covey, D.F.; Drewe, J.A.; Dillon, G.H. Pentylenetetrazole-induced inhibition of recombinant gamma-aminobutyric acid type A (GABA(A)) receptors: Mechanism and site of action. J. Pharm. Exp. Ther. 2001, 298, 986–995. [Google Scholar]
- Bancroft, J.D.; Gamble, M. Theory and Practice of Histological Techniques; Elsevier Health Sciences: Amsterdam, The Netherlands, 2008. [Google Scholar]
- Schmoll, H.; Badan, I.; Grecksch, G.; Walker, L.; Kessler, C.; Popa-Wagner, A. Kindling status in sprague-dawley rats induced by pentylenetetrazole: Involvement of a critical development period. Am. J. Pathol. 2003, 162, 1027–1034. [Google Scholar] [CrossRef]
- Sefil, F.; Arık, A.E.; Acar, M.D.; Bostancı, M.Ö.; Bagirici, F.; Kozan, R. Interaction between carbenoxolone and valproic acid on pentylenetetrazole kindling model of epilepsy. Int. J. Clin. Exp. Med. 2015, 8, 10508–10514. [Google Scholar]
- Li, Z.P.; Zhang, X.Y.; Lu, X.; Zhong, M.K.; Ji, Y.H. Dynamic release of amino acid transmitters induced by valproate in PTZ-kindled epileptic rat hippocampus. Neurochem. Int. 2004, 44, 263–270. [Google Scholar] [CrossRef]
- Sattarinezhad, E.; Shafaroodi, H.; Sheikhnouri, K.; Mousavi, Z.; Moezi, L. The effects of coenzyme Q10 on seizures in mice: The involvement of nitric oxide. Epilepsy Behav. 2014, 37, 36–42. [Google Scholar] [CrossRef]
- Tawfik, M.K. Coenzyme Q10 enhances the anticonvulsant effect of phenytoin in pilocarpine-induced seizures in rats and ameliorates phenytoin-induced cognitive impairment and oxidative stress. Epilepsy Behav. 2011, 22, 671–677. [Google Scholar] [CrossRef] [PubMed]
- Bath, K.G.; Pimentel, T. Effect of early postnatal exposure to valproate on neurobehavioral development and regional BDNF expression in two strains of mice. Epilepsy Behav. 2017, 70 Pt A, 110–117. [Google Scholar] [CrossRef]
- Martínez-Ballesteros, C.; Pita-Calandre, E.; Sánchez-González, Y.; Rodríguez-López, C.M.; Agil, A. Peroxidación lipídica en pacientes epilépticos adultos tratados con ácido valproico [Lipid peroxidation in adult epileptic patients treated with valproic acid]. Rev. Neurol. 2004, 38, 101–106. (In Spanish) [Google Scholar] [PubMed]
- Abdel-Wahab, A.F.; Afify, M.A.; Mahfouz, A.M.; Shahzad, N.; Bamagous, G.A.; Al Ghamdi, S.S. Vitamin D enhances antiepileptic and cognitive effects of lamotrigine in pentylenetetrazole-kindled rats. Brain Res. 2017, 1673, 78–85. [Google Scholar] [CrossRef] [PubMed]
- Sakhaie, M.H.; Soleimani, M.; Pirhajati, V.; Soleimani Asl, S.; Madjd, Z.; Mehdizadeh, M. Coenzyme Q10 ameliorates Trimethyltin Chloride neurotoxicity in experimental model of injury in dentate gyrus of hippocampus: A histopathological and behavioral study. Iran. Red Crescent Med. J. 2016, 18, e30297. [Google Scholar] [CrossRef] [PubMed]
- Nagib, M.M.; Tadros, M.G.; Al-Khalek, H.A.A.; Rahmo, R.M.; Sabri, N.A.; Khalifa, A.E.; Masoud, S.I. Molecular mechanisms of neuroprotective effect of adjuvant therapy with phenytoin in pentylenetetrazole-induced seizures: Impact on Sirt1/NRF2 signaling pathways. Neurotoxicology 2018, 68, 47–65. [Google Scholar] [CrossRef] [PubMed]
- Bhardwaj, M.; Kumar, A. Neuroprotective mechanism of Coenzyme Q10 (CoQ10) against PTZ induced kindling and associated cognitive dysfunction: Possible role of microglia inhibition. Pharm. Rep. 2016, 68, 1301–1311. [Google Scholar] [CrossRef] [PubMed]
- Sedky, A.A.; El Serafy, O.M.H.; Hassan, O.A.; Abdel-Kawy, H.S.; Hasanin, A.H.; Raafat, M.H. Trimetazidine potentiates the antiepileptic activity and ameliorates the metabolic changes associated with pentylenetetrazole kindling in rats treated with valproic acid. Can. J. Physiol. Pharmacol. 2017, 95, 686–696. [Google Scholar] [CrossRef]
- Beheshti Nasr, S.M.; Moghimi, A.; Mohammad-Zadeh, M.; Shamsizadeh, A.; Noorbakhsh, S.M. The effect of minocycline on seizures induced by amygdala kindling in rats. Seizure 2013, 22, 670–674. [Google Scholar] [CrossRef]
- Langberg, T.; Dashek, R.; Mulvey, B.; Miller, K.A.; Osting, S.; Stafstrom, C.E.; Sutula, T.P. Distinct behavioral phenotypes in novel “fast” kindling-susceptible and “slow” kindling-resistant rat strains selected by stimulation of the hippocampal perforant path. Neurobiol. Dis. 2016, 85, 122–129. [Google Scholar] [CrossRef]
- Schmelzer, C.; Lindner, I.; Rimbach, G.; Niklowitz, P.; Menke, T.; Döring, F. Functions of coenzyme Q10 in inflammation and gene expression. Biofactors 2008, 32, 179–183. [Google Scholar] [CrossRef]
- Fouad, A.A.; Jresat, I. Hepatoprotective effect of coenzyme Q10 in rats with acetaminophen toxicity. Env. Toxicol. Pharmacol. 2012, 33, 158–167. [Google Scholar] [CrossRef]
- Guna, V.; Saha, L.; Bhatia, A.; Banerjee, D.; Chakrabarti, A. Anti-oxidant and anti-apoptotic effects of berberine in pentylenetetrazole-induced kindling model in rat. J. Epilepsy Res. 2018, 8, 66–73. [Google Scholar] [CrossRef]
- Schulz, J.B.; Lindenau, J.; Seyfried, J.; Dichgans, J. Glutathione, oxidative stress and neurodegeneration. Eur. J. Biochem. 2000, 267, 4904–4911. [Google Scholar] [CrossRef]
- Abdel-Dayem, M.A.; Elmarakby, A.A.; Abdel-Aziz, A.A.; Pye, C.; Said, S.A.; El-Mowafy, A.M. Valproate-induced liver injury: Modulation by the omega-3 fatty acid DHA proposes a novel anticonvulsant regimen. Drugs RD 2014, 14, 85–94. [Google Scholar] [CrossRef]
- Ashkani Esfahani, S.; Esmaeilzadeh, E.; Bagheri, F.; Emami, Y.; Farjam, M. The effect of co-enzyme q10 on acute liver damage in rats, a biochemical and pathological study. Hepat. Mon. 2013, 13, e13685. [Google Scholar] [CrossRef]
- Emam, A.M.; Georgy, G.S.; Shaker, O.G.; Fawzy, H.M.; Zaki, H.F. ‘Protective effects of alpha-lipoic acid and coenzyme Q10 on lipopolysaccharide-induced liver injury inrats’. Pharm. Lett. 2016, 8, 176–182. [Google Scholar]
- XXu, J.; Ma, H.Y.; Liang, S.; Sun, M.; Karin, G.; Koyama, Y.; Brenner, D.A. The role of human cytochrome P450 2E1 in liver inflammation and fibrosis. Hepatol. Commun. 2017, 1, 1043–1057. [Google Scholar] [CrossRef]
- Mantle, D.; Hargreaves, I. Coenzyme Q10 and degenerative disorders affecting longevity: An overview. Antioxidants 2019, 8, 44. [Google Scholar] [CrossRef]
- Farhangi, M.A.; Alipour, B.; Jafarvand, E.; Khoshbaten, M. Oral coenzyme Q10 supplementation in patients with nonalcoholic fatty liver disease: Effects on serum vaspin, chemerin, pentraxin 3, insulin resistance and oxidative stress. Arch. Med. Res. 2014, 45, 589–595. [Google Scholar] [CrossRef]
- Begriche, K.; Massart, J.; Robin, M.A.; Borgne-Sanchez, A.; Fromenty, B. Drug-induced toxicity on mitochondria and lipid metabolism: Mechanistic diversity and deleterious consequences for the liver. J. Hepatol. 2011, 54, 773–794. [Google Scholar] [CrossRef] [PubMed]
- Ahmed, S.K.; Mohammed, S.A.; Khalaf, G.; Fikry, H. Role of bone marrow mesenchymal stem cells in the treatment of CCL4 induced liver fibrosis in albino rats: A histological and immunohistochemical study. Int. J. Stem. Cells 2014, 7, 87–97. [Google Scholar] [CrossRef] [PubMed][Green Version]











| Stage 0 | No Response |
|---|---|
| Stage 1 | Hyperactivity, vibrissae twitching |
| Stage 2 | Head nodding, head clones and cyclonic jerk |
| Stage 3 | Unilateral forelimb clones |
| Stage 4 | Rearing with bilateral forelimb clones |
| Stage 5 | Generalized tonic–clonic seizure (GTCS) with loss of righting reflex. |
| Rats Groups N = 6 | Antioxidants and Oxidative Stress Markers | |||
|---|---|---|---|---|
| GSH ng/mg | ROS Unit/mg | MDA nmol/mg | PC nmol/mg | |
| Control | 101.18 ± 22.07 | 1077.18 ± 41.16 | 1.97 ± 0.41 | 1.216 ± 0.1 |
| PTZ | 19.5 ± 4.7 S * | 1271.2 ± 48.07 * | 7.64 ± 0.6 * | 1.945 ± 0.12 * |
| PTZ/VPA | 85.34 ± 6.5 #, | 1236.6 ± 41.53 | 6.70 ± 0.7 # | 1.737 ± 0.09 # |
| PTZ/COQ10 | 95.88 ± 2.45 # ↑80% | 1127.5 ± 41 ↓11% | 3.52 ± 0.66 # ↓50% | 1.422 ± 0.16 # |
| PTZ/VPA + COQ10 | 113.38 ± 3.5 #,$ ↑25% | 1062.64 ± 40.13 S #,$ ↓14% | 3.37 ± 0.46 #,$ ↓54% | 1.412 ± 0.13 # |
| Rats Groups N = 6 | Antioxidants and Oxidative Stress Markers | ||||
|---|---|---|---|---|---|
| GSH ng/mg | ROS Unit/mg | MDA nmol/mg | PC nmol/mg | CYP2EL ng/mg | |
| Control | 135.42 ± 4.08 | 1077.20 ± 50.4 | 2.35 ± 0.4 | 1.564 ± 0.09 | 18 ± 2.053 |
| PTZ | 30.56 ± 4.41 * | 1395.5 ± 58.7 * | 9.74 ± 0. 3 * | 2.230 ± 0.09 * | 96.42 ± 4.71 * |
| PTZ/VPA | 95.12 ± 5.23 # | 1204 ± 32.4 | 9.34 ± 0.35 | 1.95 ± 0.06 | 73.44 ± 5.78 # |
| PTZ/COQ10 | 130.3 ± 6.5 # ↑76% | 1116.9 ± 12.6 # ↓20% | 3.17 ± 0.7 # ↓67% | 1.852 ± 0.08 # ↓17% | 61.1 ± 1.055 # ↓36% |
| PTZ/VPA + COQ10 | 133.7 ± 3.3 #,$ ↑29% | 998.1 ± 32 #,$ ↓25% | 5.22 ± 0.61 #,$ ↓44% | 1.82 ± 0.04 # | 67.04 ± 4.097 # |
Publisher’s Note: MDPI stays neutral with regard to jurisdictional claims in published maps and institutional affiliations. |
© 2022 by the authors. Licensee MDPI, Basel, Switzerland. This article is an open access article distributed under the terms and conditions of the Creative Commons Attribution (CC BY) license (https://creativecommons.org/licenses/by/4.0/).
Share and Cite
Alqarni, F.; Eweis, H.S.; Ali, A.; Alrafiah, A.; Alsieni, M.; Karim, S.; Alkathyri, M.A. The Effect of Coenzyme Q10 on Liver Injury Induced by Valproic Acid and Its Antiepileptic Activity in Rats. Biomedicines 2022, 10, 168. https://doi.org/10.3390/biomedicines10010168
Alqarni F, Eweis HS, Ali A, Alrafiah A, Alsieni M, Karim S, Alkathyri MA. The Effect of Coenzyme Q10 on Liver Injury Induced by Valproic Acid and Its Antiepileptic Activity in Rats. Biomedicines. 2022; 10(1):168. https://doi.org/10.3390/biomedicines10010168
Chicago/Turabian StyleAlqarni, Fahad, Hala S. Eweis, Ahmed Ali, Aziza Alrafiah, Mohammed Alsieni, Shahid Karim, and Mosleh Ayed Alkathyri. 2022. "The Effect of Coenzyme Q10 on Liver Injury Induced by Valproic Acid and Its Antiepileptic Activity in Rats" Biomedicines 10, no. 1: 168. https://doi.org/10.3390/biomedicines10010168
APA StyleAlqarni, F., Eweis, H. S., Ali, A., Alrafiah, A., Alsieni, M., Karim, S., & Alkathyri, M. A. (2022). The Effect of Coenzyme Q10 on Liver Injury Induced by Valproic Acid and Its Antiepileptic Activity in Rats. Biomedicines, 10(1), 168. https://doi.org/10.3390/biomedicines10010168

